Spandidos Publications Logo
  • About
    • About Spandidos
    • Aims and Scopes
    • Abstracting and Indexing
    • Editorial Policies
    • Reprints and Permissions
    • Job Opportunities
    • Terms and Conditions
    • Contact
  • Journals
    • All Journals
    • Oncology Letters
      • Oncology Letters
      • Information for Authors
      • Editorial Policies
      • Editorial Board
      • Aims and Scope
      • Abstracting and Indexing
      • Bibliographic Information
      • Archive
    • International Journal of Oncology
      • International Journal of Oncology
      • Information for Authors
      • Editorial Policies
      • Editorial Board
      • Aims and Scope
      • Abstracting and Indexing
      • Bibliographic Information
      • Archive
    • Molecular and Clinical Oncology
      • Molecular and Clinical Oncology
      • Information for Authors
      • Editorial Policies
      • Editorial Board
      • Aims and Scope
      • Abstracting and Indexing
      • Bibliographic Information
      • Archive
    • Experimental and Therapeutic Medicine
      • Experimental and Therapeutic Medicine
      • Information for Authors
      • Editorial Policies
      • Editorial Board
      • Aims and Scope
      • Abstracting and Indexing
      • Bibliographic Information
      • Archive
    • International Journal of Molecular Medicine
      • International Journal of Molecular Medicine
      • Information for Authors
      • Editorial Policies
      • Editorial Board
      • Aims and Scope
      • Abstracting and Indexing
      • Bibliographic Information
      • Archive
    • Biomedical Reports
      • Biomedical Reports
      • Information for Authors
      • Editorial Policies
      • Editorial Board
      • Aims and Scope
      • Abstracting and Indexing
      • Bibliographic Information
      • Archive
    • Oncology Reports
      • Oncology Reports
      • Information for Authors
      • Editorial Policies
      • Editorial Board
      • Aims and Scope
      • Abstracting and Indexing
      • Bibliographic Information
      • Archive
    • Molecular Medicine Reports
      • Molecular Medicine Reports
      • Information for Authors
      • Editorial Policies
      • Editorial Board
      • Aims and Scope
      • Abstracting and Indexing
      • Bibliographic Information
      • Archive
    • World Academy of Sciences Journal
      • World Academy of Sciences Journal
      • Information for Authors
      • Editorial Policies
      • Editorial Board
      • Aims and Scope
      • Abstracting and Indexing
      • Bibliographic Information
      • Archive
    • International Journal of Functional Nutrition
      • International Journal of Functional Nutrition
      • Information for Authors
      • Editorial Policies
      • Editorial Board
      • Aims and Scope
      • Abstracting and Indexing
      • Bibliographic Information
      • Archive
    • International Journal of Epigenetics
      • International Journal of Epigenetics
      • Information for Authors
      • Editorial Policies
      • Editorial Board
      • Aims and Scope
      • Abstracting and Indexing
      • Bibliographic Information
      • Archive
    • Medicine International
      • Medicine International
      • Information for Authors
      • Editorial Policies
      • Editorial Board
      • Aims and Scope
      • Abstracting and Indexing
      • Bibliographic Information
      • Archive
  • Articles
  • Information
    • Information for Authors
    • Information for Reviewers
    • Information for Librarians
    • Information for Advertisers
    • Conferences
  • Language Editing
Spandidos Publications Logo
  • About
    • About Spandidos
    • Aims and Scopes
    • Abstracting and Indexing
    • Editorial Policies
    • Reprints and Permissions
    • Job Opportunities
    • Terms and Conditions
    • Contact
  • Journals
    • All Journals
    • Biomedical Reports
      • Information for Authors
      • Editorial Policies
      • Editorial Board
      • Aims and Scope
      • Abstracting and Indexing
      • Bibliographic Information
      • Archive
    • Experimental and Therapeutic Medicine
      • Information for Authors
      • Editorial Policies
      • Editorial Board
      • Aims and Scope
      • Abstracting and Indexing
      • Bibliographic Information
      • Archive
    • International Journal of Epigenetics
      • Information for Authors
      • Editorial Policies
      • Editorial Board
      • Aims and Scope
      • Abstracting and Indexing
      • Bibliographic Information
      • Archive
    • International Journal of Functional Nutrition
      • Information for Authors
      • Editorial Policies
      • Editorial Board
      • Aims and Scope
      • Abstracting and Indexing
      • Bibliographic Information
      • Archive
    • International Journal of Molecular Medicine
      • Information for Authors
      • Editorial Policies
      • Editorial Board
      • Aims and Scope
      • Abstracting and Indexing
      • Bibliographic Information
      • Archive
    • International Journal of Oncology
      • Information for Authors
      • Editorial Policies
      • Editorial Board
      • Aims and Scope
      • Abstracting and Indexing
      • Bibliographic Information
      • Archive
    • Medicine International
      • Information for Authors
      • Editorial Policies
      • Editorial Board
      • Aims and Scope
      • Abstracting and Indexing
      • Bibliographic Information
      • Archive
    • Molecular and Clinical Oncology
      • Information for Authors
      • Editorial Policies
      • Editorial Board
      • Aims and Scope
      • Abstracting and Indexing
      • Bibliographic Information
      • Archive
    • Molecular Medicine Reports
      • Information for Authors
      • Editorial Policies
      • Editorial Board
      • Aims and Scope
      • Abstracting and Indexing
      • Bibliographic Information
      • Archive
    • Oncology Letters
      • Information for Authors
      • Editorial Policies
      • Editorial Board
      • Aims and Scope
      • Abstracting and Indexing
      • Bibliographic Information
      • Archive
    • Oncology Reports
      • Information for Authors
      • Editorial Policies
      • Editorial Board
      • Aims and Scope
      • Abstracting and Indexing
      • Bibliographic Information
      • Archive
    • World Academy of Sciences Journal
      • Information for Authors
      • Editorial Policies
      • Editorial Board
      • Aims and Scope
      • Abstracting and Indexing
      • Bibliographic Information
      • Archive
  • Articles
  • Information
    • For Authors
    • For Reviewers
    • For Librarians
    • For Advertisers
    • Conferences
  • Language Editing
Login Register Submit
  • This site uses cookies
  • You can change your cookie settings at any time by following the instructions in our Cookie Policy. To find out more, you may read our Privacy Policy.

    I agree
Search articles by DOI, keyword, author or affiliation
Search
Advanced Search
presentation
International Journal of Molecular Medicine
Join Editorial Board Propose a Special Issue
Print ISSN: 1107-3756 Online ISSN: 1791-244X
Journal Cover
May-2018 Volume 41 Issue 5

Full Size Image

Sign up for eToc alerts
Recommend to Library

Journals

International Journal of Molecular Medicine

International Journal of Molecular Medicine

International Journal of Molecular Medicine is an international journal devoted to molecular mechanisms of human disease.

International Journal of Oncology

International Journal of Oncology

International Journal of Oncology is an international journal devoted to oncology research and cancer treatment.

Molecular Medicine Reports

Molecular Medicine Reports

Covers molecular medicine topics such as pharmacology, pathology, genetics, neuroscience, infectious diseases, molecular cardiology, and molecular surgery.

Oncology Reports

Oncology Reports

Oncology Reports is an international journal devoted to fundamental and applied research in Oncology.

Experimental and Therapeutic Medicine

Experimental and Therapeutic Medicine

Experimental and Therapeutic Medicine is an international journal devoted to laboratory and clinical medicine.

Oncology Letters

Oncology Letters

Oncology Letters is an international journal devoted to Experimental and Clinical Oncology.

Biomedical Reports

Biomedical Reports

Explores a wide range of biological and medical fields, including pharmacology, genetics, microbiology, neuroscience, and molecular cardiology.

Molecular and Clinical Oncology

Molecular and Clinical Oncology

International journal addressing all aspects of oncology research, from tumorigenesis and oncogenes to chemotherapy and metastasis.

World Academy of Sciences Journal

World Academy of Sciences Journal

Multidisciplinary open-access journal spanning biochemistry, genetics, neuroscience, environmental health, and synthetic biology.

International Journal of Functional Nutrition

International Journal of Functional Nutrition

Open-access journal combining biochemistry, pharmacology, immunology, and genetics to advance health through functional nutrition.

International Journal of Epigenetics

International Journal of Epigenetics

Publishes open-access research on using epigenetics to advance understanding and treatment of human disease.

Medicine International

Medicine International

An International Open Access Journal Devoted to General Medicine.

Journal Cover
May-2018 Volume 41 Issue 5

Full Size Image

Sign up for eToc alerts
Recommend to Library

  • Article
  • Citations
    • Cite This Article
    • Download Citation
    • Create Citation Alert
    • Remove Citation Alert
    • Cited By
  • Similar Articles
    • Related Articles (in Spandidos Publications)
    • Similar Articles (Google Scholar)
    • Similar Articles (PubMed)
  • Download PDF
  • Download XML
  • View XML
Article

α‑lipoic acid can greatly alleviate the toxic effect of AGES on SH‑SY5Y cells

  • Authors:
    • Guifen Niu
    • Jianfei Guo
    • Yaqiang Tian
    • Kexiang Zhao
    • Jian Li
    • Qian Xiao
  • View Affiliations / Copyright

    Affiliations: Department of Endocrinology, Liaocheng City People's Hospital, Liaocheng, Shandong 252000, P.R. China, Department of Endocrinology, Liaocheng Brain Hospital, Liaocheng, Shandong 252000, P.R. China, Department of the Elderly, Chongqing Medical University, Chongqing 400016, P.R. China
  • Pages: 2855-2864
    |
    Published online on: February 8, 2018
       https://doi.org/10.3892/ijmm.2018.3477
  • Expand metrics +
Metrics: Total Views: 0 (Spandidos Publications: | PMC Statistics: )
Metrics: Total PDF Downloads: 0 (Spandidos Publications: | PMC Statistics: )
Cited By (CrossRef): 0 citations Loading Articles...

This article is mentioned in:



Abstract

The aim of the study was to explore the influence of α‑lipoic acid (α‑LA) on the cytotoxicity of advanced glycation end‑products (AGEs) against SH‑SY5Y cells. AGE‑bovine serum albumin (BSA) was incubated in vitro using SH‑SY5Y cells as a target model, and the control group was set. Cells were exposed to AGE‑BSA, and α‑LA was selectively added to the cells. Cell growth and death was determined by the MTT assay, which measures cellular metabolic rate, lactate dehydrogenase (LDH) leakage rate and cellular axonal length. Immunocytochemistry was employed to detect the expression of β‑amyloid (Aβ) protein in cells, and mRNA expression of amyloid precursor protein (APP) and the receptor for AGE (RAGE) were assayed by PT‑PCR. The metabolism of MTT was clearly increased, the rate of LDH leakage was significantly decreased, and axonal length was significantly increased in cells treated with α‑LA (0.1 g/l) as compared to untreated cells. Furthermore, the expression levels of Aβ protein were also decreased. In addition, α‑LA (0.1 g/l) markedly inhibited the expression of RAGE mRNA, and did not influence APP mRNA expression as compared the control group. α‑LA (0.1 g/l) was effective at dampening the cytotoxicity of AGE‑BSA, a preliminary observation that confirms the ability of α‑LA to significantly alleviate the cytotoxicity of AGEs against SH‑SY5Y cells.

Introduction

It has been reported that diabetes may be an independent risk factor for dementia (1,2). The risks of cognitive impairment and Alzheimer's disease (AD) in type-2 diabetic patients were 1.5- and 1.6-fold of the normal population, respectively (3). Furthermore, the degree of brain atrophy seen in AD patients complicated by diabetes was more severe than that seen in AD patients, indicating that diabetes could accelerate the brain aging process of AD patients (4).

Advanced glycation end-products (AGEs) are formed by the irreversible reaction between reducing sugar (glucose) and protein or lipid free radicals (5). The levels of AGEs in diabetes patients were <5-fold that seen in non-diabetes individuals, which also plays a very important role in the occurrence and development of chronic diabetes-related complications (6). It was reported that AGEs were present in the senile plaque (SP) and neurofibrillary tangles (NFTS) in the brain of AD patients (7). When AGE accumulation increased, it stimulated glial cells to generate inflammatory factors and increased RAGE expression, making the inflammatory reaction even more severe (8). However, AGEs-RAGE could initiate distinct signaling pathways including p21/Ras, MAP kinase and NF-κB in an oxidative stress-dependent manner, and enhance neuronal expression of β-secretase. This process could further stimulate the generation of some cytokines, growth factors and adhesion molecules, and promote cell proliferation and vascular permeability. In addition, it also caused macrophage migration, stimulated endothelin formation, and promoted the synthesis of proteoglycans and fibers, which thus influenced β-amyloid (Aβ) protein secretion (9).

AD was first described by and named after Alzheimer in 1907, which was a primary degenerative disease that occurred in the elderly population. The typical pathologic changes included SP, NFTS, neuronal loss and axonal abnormalities, including astrocyte and microglial cell responses, and vascular amyloid changes. The major component of SP is Aβ, which is derived from the degradation of the amyloid precursor protein (APP) via the Aβ formation pathway. Thus, the influence of APP expression will indirectly regulate formation of Aβ protein.

Aβ is composed of 39–43 amino acids with a β-pleated sheet structure. Under normal physiological conditions, Aβ is soluble, its formation, degradation and elimination are in dynamic balance. In the brain of the AD patient, if such balance is destroyed, Aβ will form insoluble precipitation deposits by aggregation and might further lead to SP, which is the initiating factor for the occurrence of AD. Therefore, inhibition of Aβ formation plays a highly significant role in AD treatment. Thus, identifying an inhibitory drug therapy will also be very important in the treatment of AD.

α-lipoic acid (α-LA) is a natural product that was primarily extracted from pork liver by Reed in 1951. It is an indispensable substance in the tricarboxylic acid cycle and serves as a cofactor for pyruvate dehydrogenase. α-LA is metabolized to dihydrolipoic acid in vivo, and exists in the forms of LA and dihydrolipoic acid with synergistic effects that form a universal antioxidant. α-LA not only eliminates reactive oxygen and reduce oxidative stress levels, but it also increase GSH concentrations in tissues and prevents sharp decreases in GSH after oxidative damage of tissues (10).

It has been demonstrated that α-LA could improve the learning and memory functions in a rat model (11,12), and increased glucose metabolism and insulin sensitivity. Moreover, it could inhibit the developments of diabetic cardiovascular disease, diabetic cataract, diabetic peripheral nerve and autonomic neuropathy. Hager et al (13) attempted to use α-LA in the treatment of AD. In that study, 9 patients were orally administrated LA for 1 year, which was the first attempt in the LA-mediated treatment of AD in the clinic. It was found that the cognitive function of the patients was greatly improved by neuropsychological tests (13). However, the mechanism responsible for the ability of LA to protect neurons remains unclear.

In an in vitro study, Zhang et al found that LA could combat the damage that was mediated by the Aβ peptide and H2O2 on mouse neurons by activating the PKB/Akt signaling pathway (14). In the latest study, it was also found that α-LA inhibited Aβ protein aggregation, reduced Aβ fiber formation and depolymerized the aggregated Aβ (15). Nevertheless, studies of inhibiting Aβ formation remain very limited.

In the current study, we employed α-LA to treat cells, following which, we observed the protective effect on neurons and explored the possible mechanisms involved in an attempt to provide a theoretical basis for its application in the near future.

Materials and methods

The source of the cell-line and materials

SH-SY5Y wells were provided by The Institute of Basic Medical Sciences, Chinese Academy of Medical Sciences (Beijing, China). D-glucose 1.1.2 (Amresco, LLC., Solon, OH, USA); MEM culture medium (HyClone, Logan, UT, USA); fetal bovine serum (Zhejiang Tianhang Biotechnology Co., Ltd., Hangzhou, China); 0.1% pancreatic enzymes, 0.02% EDTA, BSA and MTT (Beifangtongzheng); lactate dehydrogenase (LDH) test kit (Nanjing Jiancheng Bioengineering Institute, Nanjing, China); RT-PCR reagents (Sangon Biotech Co., Ltd., Shanghai, China); rabbit anti-human Aβ (Wuhan Boster Biological Technology, Ltd., Wuhan, China); SP immumohistochemical staining kit and DAB colour developing reagent kit (ZSGB-BIO, Beijing, China); and α-LA (Yabao Pharmaceutical Group Co., Ltd., Beijing, China).

Incubation of SH-SY5Y cells

SH-SY5Y cells were cultured in MEM medium that was supplemented with 10% FBS, 1% double-antibody (penicillin and streptomycin) and incubated at 37°C and 5% CO2 in air in a culture flask. The medium was replaced every two days. The cells were digested with 0.1% pancreatic enzymes (containing 0.02% EDTA) and seeded at a homogeneous density in a new flask.

Cell counting

The cells were digested as described above, collected and centrifuged at 700 rpm for 5 min. The supernatant was removed, and medium was added. Next, cells were pipetted up and down into a cell suspension. An aliquot of the suspension was taken and mixed with an equal volume of trypan blue. Trace volume of the suspension was dropped on one side of the coverslip in a counting plate, and the suspension did not overflow out of the coverslip. An objective lens ×10 magnification was used to count the cells in the four squares of the counting chamber. If cells were found on the center line, the cell found on the left and top left was counted. The cell density was calculated as follows: Cell number/ml original medium = (sum of cell number in 4 squares/4) ×104 ×2.

Preparation for AGE-BSA

FBS 5 g/l, D-glucose 0.5 M, penicillin 100 µ/l, streptomycin 100 µ/l and EDTA 1 mmol/l were dissolved in PBS (pH 7.4), then filtered by 0.22 µm microfiltration membrane and incubated at 37°C avoiding light for three months. The systems with the same FBS but under conditions of different glucose concentrations were used as control. PBS (pH 7.4) was used to dialyze the unbound glucose before use. The solution was stored at −20°C. AGEs was detected by a fluorospectrophotometer (4).

Grouping

First, the cells were divided into three groups randomly. Group 1 was the control group without any processing; group 2 was treated by different BSA concentrations (terminal concentrations of 0, 20, 40, 80, 160 and 320 µg/ml) for 48 h; and group 3 was treated by different AGE-BSA concentrations (terminal concentrations of 0, 20, 40, 80, 160 and 320 µg/ml) for 48 h. According to the results of the above experiment, group 4 was added, which represented cells treated by different α-LA concentrations (terminal concentrations of 0.01, 0.1 and 1 g/l) to intervene in cells 30 min prior to AGE-BSA (160 µg/ml) treatment, which was then added to treat the cells for 48 h. According to the result of group 4, group 5 was added, which included treatment by α-LA (0.1 g/l) to intervene cells 30 min prior to AGE-BSA (80 µg/ml) treatment for 48 h. The cell growth state were assayed by MTT metabolic rate, LDH leakage rate and cell axonal length. Immunocytochemistry was used to detect Aβ protein expression. Further, mRNA expression of APP and RAGE were tested by RT-PCR wherein the AGE-BSA concentration was chosen that slightly influenced cell growth. The concentration in each control group was found to be consistent with group 3.

MTT assay

SH-SY5Y cells were seeded at a density of 5×104/ml in 96 well-plates and incubated in 200 µl medium. Serum-free medium was added to replace the original medium after 24 h of culture. The cells were randomly divided into five groups. Group 1 was added with different BSA concentrations (0, 20, 40, 80, 160 and 320 µg/ml) for 48 h; group 2 was treated by different AGE-BSA concentrations (0, 20, 40, 80, 160 and 320 µg/ml) for 48 h. Group 3 was treated by different α-LA concentrations (0.01, 0.1 and 1 g/l) to intervene in cells 30 min earlier and then AGE-BSA (160 µg/ml) was added to treat cells for 48 h. Group 4 was added to introduce treatment of cells with α-LA (0.1 g/l) for 30 mins followed by treatment by AGE-BSA (80 µg/ml) for 48 h. Group 5 was a control treatment in the absence of any treatment. After 48 h of treatment, 5 mg/ml of MTT reagent (20 µl) was added to each well. The cells were further incubated for 4 h at 37°C, which were then collected, centrifuged and washed once in culture medium without serum. DMSO (150 µl) was added to each well and shaken for 10 min to completely dissolve the formazan crystals. The optical density (OD) at a test wavelength of 570 nm was read by an automatic microplate reader. The cell viability in the control group was set as 100%, and the MTT metabolic rate was calculated by the ratio of OD to the control.

LDH release assay

SH-SY5Y cells were seeded at 5×104/ml in 24 well-plates and incubated in 1 ml medium. Medium without serum was added to replace the original after 24 h. The groups were the same as described for the MTT assay. Culture medium in each group was taken after 48 h, and OD values of the medium were measured by ultraviolet spectrophotometry at 440 nm according to the manufacturer's instruction. Furthermore, the best sample volume was obtained from the standard curve.

Detection for cell axon length

SH-SY5Y cells were seeded at a density of 5×104/ml in 35 mm culture flasks. Serum-free medium was added to replace the original after 24 h. The groups were the same as that described for the MTT assay. Photographic images of cells (random sampling of 30 cells) were taken 48 h after treatment by inverted phase contrast microscopy and the cell axon length was analyzed by pathologic image analysis.

Detection of APP mRNA and AGER mRNA by RT-PCR

The β-actin amplified fragment was 318 bp. Forward primer: 5′-ATCATGTTTGAGACCTTCAACA-3′. Reverse primer: 5′-CATCTCTTGATCGAAGTCCA-3′. The APP amplified fragment was 704 bp. Forward primer: 5′-CACATCCCTGGGCTTACGGT-3′. Reverse primer: 5′-TCAAGTTGGAGGCGGAGTTGC-3′. The RAGE: amplified fragment was 376 bp. Forward primer: 5′-GGCTGGTGTTCCCAATAAGG-3′. Reverse primer: 5′-ACAGGTCAGGGTTACGGTTC-3′. Detection of SH-SY5Y intracellular Aβ levels by immunocytochemistry. Wells with SH-SY5Y cells were seeded at a density of 5×104/ml in 6-well plates. A small slide was placed in the plate before seeding. The assigned groups were as described for the MTT assay.

Statistical analysis

All data were analyzed by SPSS v.13.0 (SPSS, Inc. Chicago, IL, USA), and Microsoft Excel. The data are represented as mean ± SD. The comparisons of measured data among multiple groups were analyzed by one-way analysis of variance to determine the homogeneity test of variance. An α value of P<0.05 was considered to indicate a statistically significant difference.

Results

Fluorescence identification for AGEs-BSA

After 90 days of incubation of cells with BSA and D-glucose, the fluorescence spectrum of AGEs-BSA showed that the excitation spectrum peak and emission spectrum peak were at 360 and 446 nm, respectively, in accordance with the characteristics of AGEs. However, that of the control BSA group had no such feature (Fig. 1).

Figure 1

Expression of APP mRNA in SH-SY5Y cells dose-dependently treated by BSA and AGE-BSA. BSA, bovine serum albumin; AGE, advanced glycation end-product; APP, amyloid precursor protein.

The influence of BSA/AGE-BSA concentration on growth of SH-SY5Y

When the concentration of AGE-BSA exceeded 40 µg/ml, the growth of SH-SY5Y cells was influenced in a concentration-dependence manner, which led to decreased MTT metabolic rate, increased LDH release and a shortening in the axon length. It was suggested that AGE-BSA had evidently damaged neurons, which was in line with the studies of Wolter et al (16) and Takeuchi et al (17).

Compared with the control group, there was no significant difference in MMT metabolic rate in the BSA treated groups. AGE-BSA at 40 µg/ml reduced the MMT metabolic rate significantly (P<0.05) and further decreased in an increasing concentration-dependent manner until reaching the lowest level at 320 µg/ml (P<0.01). A comparison of the AGE-BSA concentration group and the BSA alone group at the same concentration, demonstrated that the rate was significantly reduced at 40, 80, 160, 320 µg/ml (P<0.05). Although the group treated by 20 µg/ml was lower than the control group, it was not statistically significant (Table I).

Table I

Concentration-dependent effect of BSA/AGE-BSA at 48 h on the MTT metabolic rate of SH-SY5Y cells.

Table I

Concentration-dependent effect of BSA/AGE-BSA at 48 h on the MTT metabolic rate of SH-SY5Y cells.

Groups (µg/ml)MTT metabolic rate
BSA groupAGE-BSA group
Control1±01±0
201.0019±0.02130.9902±0.0143
401.0001±0.0222 0.9346±0.0209a,b
800.9952±0.0222 0.8783±0.0188a,b
1600.9922±0.0213 0.6434±0.0178c,d
3200.9928±0.0256 0.3406±0.0124c,d

{ label (or @symbol) needed for fn[@id='tfn1-ijmm-41-05-2855'] } Data are presented as the means ± SD. vs. Control,

a P<0.05; vs BSA,

b P<0.05, vs. control,

c P<0.01, vs. BSA,

d P<0.01. BSA, bovine serum albumin; AGE, advanced glycation end-product.

Compared with the control group, there was no significant difference on LDH release in the BSA treated groups. AGE-BSA at a concentration of 40 µg/ml increased the release of LDH significantly (P<0.05) and reached the highest level at 320 µg/ml (P<0.01). The comparison of the AGE-BSA concentration group and the BSA alone group at the same concentrations demonstrated that the rate was significantly reduced at 40, 80, 160 and 320 µg/ml (P<0.05). Although the group treated with 20 µg/ml was lower than the control group, it was not statistically significant (Table II).

Table II

Concentration-dependent effect of BSA/AGE-BSA on LDH release by SH-SY5Y cells.

Table II

Concentration-dependent effect of BSA/AGE-BSA on LDH release by SH-SY5Y cells.

GroupsLDH leakage rate (µ/l)
BSAAGE-BSA
Control431.15±65.19431.15±65.19
20438.21±13.06483.53±15.02
40451.83±10.26 739.57±67.02a,b
80453.90±17.85 1066.35±300.96a,b
160447.80±24.61 1608.22±141.3c,d
320441.21±19.32 2500.45±146.48c,d

{ label (or @symbol) needed for fn[@id='tfn6-ijmm-41-05-2855'] } Data are presented as the means ± SD. vs. Control,

a P<0.05; vs. BSA group,

b P<0.05; vs. control,

c P<0.01, vs. BSA,

d P<0.01. BSA, bovine serum albumin; LDH, lactate dehydrogenase; AGE, advanced glycation end-product; SD, standard deviation.

Compared with the control group, there was no significant difference in cell axon length in the BSA treated groups. In addition, 40 µg/ml AGE-BSA shortened the length significantly (P<0.05) and shortened gradually as concentration increased until reaching a peak at 320 µg/ml (P<0.01). The comparison of the AGE-BSA concentration group and the BSA alone group at the same concentrations demonstrated that the length was significantly short at 40, 80, 160 and 320 µg/ml (P<0.05). Although the group treated with 20 µg/ml was shorter than that of the control group, the observation was not significantly different (Table III).

Table III

Effect of different concentrations of BSA/AGE-BSA on axonal length of SH-SY5Y cells.

Table III

Effect of different concentrations of BSA/AGE-BSA on axonal length of SH-SY5Y cells.

Groups (µg/ml)Axonal length (Pixel total points)
BSA (µg/ml)AGE-BSA (µg/ml)
Control42.00±12.7842.15±10.00
2040.45±11.4841.52±11.40
4041.94±10.8835.44±9.19a,b
8040.23±11.3428.69±6.88a,b
16040.82±11.4521.13±5.61c,d
32041.91±9.0112.47±5.56c,d

{ label (or @symbol) needed for fn[@id='tfn11-ijmm-41-05-2855'] } Data are presented as the means ± SD. vs. Control,

a P<0.05; vs. BSA,

b P<0.05; vs. control,

c P<0.01, vs. BSA,

d P<0.01. BSA, bovine serum albumin; AGE, advanced glycation end-product; SD, standard deviation.

Influence of BSA/AGE-BSA concentration on Aβ protein expression in SH-SY5Y cells

The color of positive Aβ protein expression was brownish red. In the control group, Aβ protein expression was decreased in the cytoplasm. As compared with control group, there was no significant change in terms of Aβ protein expression in the cytoplasm of cells that were dose-dependently treated by BSA. However, those treated by different AGE-BSA concentrations showed a significant difference (P<0.05). Compared with the corresponding BSA concentration group, Aβ protein expression in the cytoplasm was significantly increased following treatment with AGE-BSA (P<0.05; Table IV).

Table IV

Dose-dependent effect of different concentrations of BSA/AGE-BSA on expression of Aβ protein in SH -SY5Y cells.

Table IV

Dose-dependent effect of different concentrations of BSA/AGE-BSA on expression of Aβ protein in SH -SY5Y cells.

Groups (µg/ml)Aβ protein (OD value)
BSA groupAGE-BSA group
Control0.129±0.0250.129±0.025
200.126±0.0170.167±0.029a,b
400.125±0.0220.226±0.076a,b
800.128±0.0180.309±0.073c,d

{ label (or @symbol) needed for fn[@id='tfn16-ijmm-41-05-2855'] } vs. control,

a P<0.05; vs. group BSA,

b P<0.05; vs. control,

c P<0.01, vs. BSA,

d P<0.01. BSA, bovine serum albumin; AGE, advanced glycation end-product; SD, standard deviation; OD, optical density; Aβ, β-amyloid.

Influence of AGE-BSA concentrations on APP mRNA expression in SH-SY5Y cells

The group with the least influence on the state of cell growth was chosen. Compared with the control group, there was no significant difference on APP mRNA expression following treatment with AGE-BSA, or the BSA groups (Table V).

Table V

Dose-dependent effect of BSA/AGE-BSA on the expression of APP mRNA in SH-SY5Y cells.

Table V

Dose-dependent effect of BSA/AGE-BSA on the expression of APP mRNA in SH-SY5Y cells.

Groups (µg/ml)APP mRNA/actin mRNA
BSA groupAGE-BSA group
00.284±0.0330.284±0.033
200.290±0.0320.283±0.025
400.289±0.0270.281±0.026
800.288±0.0190.286±0.020

[i] Data are presented as the means ± SD. BSA, bovine serum albumin; AGE, advanced glycation end-product; SD, standard deviation; APP, amyloid precursor protein.

Influence of BSA/AGE-BSA concentration on RAGE mRNA expression in SH-SY5Y cells

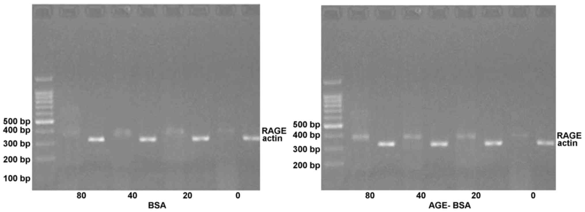
Compared with control group, there was no significant difference on RAGE mRNA expression following treatment with BSA alone. In the AGE-BSA group, the RAGE mRNA expression was significantly increased at 20 µg/ml (P<0.05). Moreover, at 40 µg/ml and 80 µg/ml, RAGE mRNA expression showed a significant difference as compared with the control group (RAGE mRNA). As compared with the corresponding BSA concentration group, RAGE mRNA expression was significantly increased following treatment with AGE-BSA (P<0.05; Table VI and Fig. 2).

Figure 2

Expression of RAGE mRNA in SH-SY5Y cells treated by different concentrations of BSA and AGE-BSA. BSA, bovine serum albumin; AGE, advanced glycation end-product; RAGE, receptor for AGE.

Table VI

Dose-dependent effect of BSA/AGE-BSA on mRNA expression of RAGE in SH-SY5Y cells.

Table VI

Dose-dependent effect of BSA/AGE-BSA on mRNA expression of RAGE in SH-SY5Y cells.

Groups (µg/ml)RAGE mRNA/actin mRNA
BSA groupAGE-BSA group
00.491±0.0170.491±0.017
200.494±0.0270.522±0.031a,b
400.507±0.0130.542±0.026a,b
800.486±0.0100.591±0.040a,b

{ label (or @symbol) needed for fn[@id='tfn22-ijmm-41-05-2855'] } Data are presented as the means ± SD. vs. Control,

a P<0.05; vs. BSA group,

b P<0.05. BSA, bovine serum albumin; AGE, advanced glycation end-product; RAGE, receptor for AGE; SD, standard deviation.

Observation of cell growth state following dose-dependent intervention with α-LA

According to the above results, the cells in the AGE-BSA 160 µg/ml) group were chosen. In the α-LA (0.1 g/l) intervention group, the MMT metabolic rate significantly increased, LDH release significantly decreased, and axonal length significantly increased as compared with that of the control group (P<0.05). Compared with the AGE-BSA (160 µg/ml) group, it was noted that the α-LA (0.01 g/l) intervention group showed an increased MMT metabolic rate, a decreased LDH release rate and increased axonal length as compared that of the control group - although this was not significantly different. It is interesting to note that the protective effect in the α-LA (1 g/l) intervention group disappeared. Compared with the control group, there was no evident changes in MTT metabolic rate or axonal length, and yet LDH release slightly increased (P>0.05; Table VII).

Table VII

Levels of MTT metabolic rate, LDH release rate and axonal length in SH-SY5Y cells following intervention by LA before treatment with 160 µg/ml AGE-BSA.

Table VII

Levels of MTT metabolic rate, LDH release rate and axonal length in SH-SY5Y cells following intervention by LA before treatment with 160 µg/ml AGE-BSA.

Groups (g/l)MTT metabolic rateLDH leakage rate (µ/l)Axon length (Pixel total points)
Control0.643±0.0181608.22±141.3721.13±5.61
0.010.684±0.0221538.40±102.0722.33±4.81
0.10.840±0.068a 1151.70±146.47a29.11±7.56a
10.630±0.0291662.52±110.8220.89±3.68

{ label (or @symbol) needed for fn[@id='tfn25-ijmm-41-05-2855'] } Data are presented as the means ± SD. vs control,

a P<0.05. BSA, bovine serum albumin; LDH, lactate dehydrogenase; AGE, advanced glycation end-product; SD, standard deviation; LA, lipoic acid.

According to the above described results, it was found that α-LA (0.1 g/l) was protective for SH-SY5Y cells under treatment by 160 µg/ml AGE-BSA. Thus, we selected the cells in the AGE-BSA (80 µg/ml) group, and used α-LA at 0.1 g/l to intervene in the cells. Compared with the AGE-BSA (80 µg/ml) group, the Aβ expression significantly decreased in the intervention group (P<0.01; Table VIII).

Table VIII

Levels of Aβ protein expression in SH-SY5Y cells that were intervened by LA before being treated with 80 µg/ml AGE-BSA.

Table VIII

Levels of Aβ protein expression in SH-SY5Y cells that were intervened by LA before being treated with 80 µg/ml AGE-BSA.

GroupsAβ protein (OD value)
80 µg/ml AGE-BSA0.309±0.073
0.1 g/l LA0.213±0.046a
Control0.129±0.025

{ label (or @symbol) needed for fn[@id='tfn27-ijmm-41-05-2855'] } Data are presented as the means ± SD. vs. 80 µg/ml AGE-BSA group,

a P<0.01. BSA, bovine serum albumin; AGE, advanced glycation end-product; SD, standard deviation; LA, lipoic acid; Aβ, β-amyloid; OD, optical density.

The cells in the AGE-BSA (80 µg/ml) group were chosen. In the α-LA (0.1 g/l) intervention group, there were no evident changes in APP mRNA as compared with the control group (Table IX and Fig. 3).

Figure 3

Levels of APP mRNA expression in SH-SY5Y cells that were intervened by LA before treatment with 80 µg/ml AGE-BSA. BSA, bovine serum albumin; AGE, advanced glycation end-product; APP, amyloid precursor protein; LA, lipoic acid.

Table IX

Levels of APP mRNA expression in SH-SY5Y cells that were intervened by LA before treatment with 80 µg/ml AGE-BSA.

Table IX

Levels of APP mRNA expression in SH-SY5Y cells that were intervened by LA before treatment with 80 µg/ml AGE-BSA.

Groups (g/l)APP mRNA/actin mRNA
80 µg/ml AGE-BSA0.278±0.030
0.1 g/lα-LA0.281±0.027a
Control0.284±0.033

{ label (or @symbol) needed for fn[@id='tfn29-ijmm-41-05-2855'] } Data are presented as the means ± SD. vs. control,

a P>0.05. BSA, bovine serum albumin; AGE, advanced glycation end-product; SD, standard deviation; APP, amyloid precursor protein; LA, lipoic acid.

Changes in RAGE mRNA expression in cells intervened by α-LA (0.1 g/l)

The cells in the AGE-BSA (8 µg/ml) group were chosen. In the α-LA (0.1 g/l) intervention group, there was no evidence of any changes in APP mRNA expression as compared with the control group (Table X and Fig. 4).

Figure 4

Levels of RAGE mRNA expression in SH-SY5Y cells that were intervened by LA before treatment with 80 µg/ml AGE-BSA. BSA, bovine serum albumin; AGE, advanced glycation end-product; RAGE, receptor for AGE; LA, lipoic acid.

Table X

Levels of RAGE mRNA expression in SH-SY5Y cells intervened by LA before treatment with 80 µg/ml AGE-BSA (mean ± SD).

Table X

Levels of RAGE mRNA expression in SH-SY5Y cells intervened by LA before treatment with 80 µg/ml AGE-BSA (mean ± SD).

Groups (g/l)RAGE mRNA/actin mRNA
80 µg/ml AGE-BSA0.591±0.040
0.1 g/l α-LA0.543±0.030a
Control0.49±0.017

{ label (or @symbol) needed for fn[@id='tfn31-ijmm-41-05-2855'] } Data are presented as the means ± SD. vs. control,

a P<0.05. BSA, bovine serum albumin; AGE, advanced glycation end-product; SD, standard deviation; LA, lipoic acid.

Discussion

Recent studies showed that AGEs play a very important role in the pathogenic process of neurodegenerative diseases, and such studies mainly focused on the direct toxic effect of AGEs on neurons. Sasaki et al found that there were many AGEs deposited in SP, NFTS, microglial cells and astrocytes in the brain tissue of AD patients (18). It was also indicated that AGE precursors such as methylglyoxal, glyoxal and HNE displayed cytotoxicity independently of Aβ, and further promoted Aβ aggregation (16). Takeuchi et al employed chicken egg albumin and BSA-AGEs to treat SH-SY5Y cells, primary astrocytes and N9 cells, which led to cell death (17).

The neurotoxic mechanism of AGEs remains unclear. It was reported that AGEs could indirectly modify Aβ in SP and tau protein in NFTS, and that the protein modified by AGEs were cytotoxic, a property that increased with the extent of modification (19). However, the inflammatory response generated by glycosylated Aβ simulating the microglial cell was much more severe than that of non-glycosylated Aβ (20). In vitro, Aβ formed a core with AGEs, which provoked additional aggregation by soluble Aβ. The unmodified Aβ as signal combined with the receptor for AGEs induced gene expression and aggravated the glycosylated process.

The modified tau protein could cause abnormal phosphorylation and cross-linking and significantly decreased microtubule assembly, further promoting pathologic changes commonly seen in AD. It was reported that AGE-modified MAP-tau would result in increased APP expression and increased formation of Aβ when introduced into the neuron. However, in our study, it was demonstrated that AGE-BSA also directly improved Aβ formation in a concentration-dependent manner, suggesting increased formation of Aβ is involved in the cytotoxicity of AGEs. Moreover, it was also revealed that there was no clear alteration of APP mRNA expression in SH-SY5Y cells at 48 h after being treated by different protein concentrations (20, 40 and 80 µg/ml) in the RT-PCR test. It was speculated that the increased formation of Aβ was not caused by an increase in APP expression as a result of increased APP mRNA expression. It was also reported that the toxic effect of AGEs were predominantly mediated by oxidative stress (21). Maczurek et al (22) found that there was AGE-specific receptor on the surface of neurogliocytes. It was combined with AGEs and further activated intracellular signal transduction pathway, which resulted in the generation of many cytokines and oxidative stress. Misonou et al (23) used H2O2 to study the effect of oxidative stress on SH-SY5Y cells, and found that it decreased COOH-terminal fragments in the β-secretase pathway. Cho et al (24) proved that the RAGE signaling pathway could enhance BACEI expression by activating NFAJI both in vitro and in vivo, further causing increases in Aβ formation. Furthermore, AGE-RAGE could play a part by inducing CTGF expression, and not necessarily by oxidative stress (25,26).

In addition, we also confirmed that AGE-BSA induced increases in RAGE mRNA expression in SH-SY5Y cells. RAGE is the receptor of Aβ, and its expression would be increased in the abundant Aβ environment (27). It was also combined with Aβ at the nanomole level and amplified the neuronal damage that was mediated by Aβ (28). In the in vitro study, the combination of Aβ and RAGE could activate NF-κB and simulate secretion of macrophage colony stimulating factor (M-CSF) and IL-6, suggesting that Aβ-RAGE played a very important role in the neuronal inflammatory response (29). A prior study found that in a transgenic rat model that expressed both neuronal RAGE and APP showed evident cognitive disorder and decreased axonal conduction ability as compared the rat with normal expression of neuronal RAGE or APP in three to four month-old rats. At this time, the rat showed no characteristic pathological changes consistent with AD, indicating that the activation of RAGE by Aβ could involve neuronal damage in the early stages of AD (6).

In our study, intracellular Aβ expression was evidently increased after being treated by AGE-BSA, suggesting increased formation of Aβ. RAGE mRNA expression was increased, which was seen after Aβ combined with neurons and RAGE expression being evident on the cytoplasmic membranes of oligodendroglia cells. Then, NF-κB was initiated resulting in a persistent inflammatory response, neuronal cytotoxicity and cell death (30). However, in the environment with abundant Aβ, the expression was persistently increased, which amplified the pathogenic effect that was induced by Aβ (31). Zlokovic (32) found that in the neurons of APP transgenic mice, the expression of RAGE accelerated the decrease in cognitive function and dysfunction of neurons that was induced by Aβ. RAGE on the surface of encephalic vascular endothelial cells could assist Aβ to pass through the blood-brain barrier in the peripheral circulation (33), upregulate CCR5 expression, and stimulate T cells that entered the endocardium, causing a systemic inflammatory response (34). Above all, as the ligand of RAGE, Aβ could mutually interact, and thereby play a major role in cytotoxicity of AGE-BSA.

Moreover, since RAGE is the specific receptor of AGEs, it can mediate toxic effect of AGEs in many chronic diabetic complications. It was found that the combination of AGEs-RAGE also activated the NF-κB signaling pathway in microglial cells and astrocytes (20), which was one of the promoters that regulated RAGE expression (35). The activation of site 1 and 2 upregulated RAGE expression, and further promoted the combination of AGEs and RAGE.

In addition, such combination also activated many pathways such as that of protein kinase C signaling, protein tyrosine kinases, and P21RAS, causing a coordinated cellular damage response (36). In short, AGEs possess evident toxicity against nerve cells, directly leading to increased formation of Aβ and neurodegeneration. In the context of a toxic effect, the Aβ-RAGE combination, AGEs-RAGE combination, Aβ and RAGE could all be involved. The increased formation of Aβ would not be realized by increased APP expression caused by increased APP mRNA expression, the detailed mechanism requires further exploration.

The α-LA with terminal concentrations of 0.01, 0.1 and 1 g/l was employed to pre-treat SH-SY5Y cells for 30 min to study the influence of α-LA on the toxic effects of nerve cells caused by AGEs. The results show that α-LA at a dose of 0.1 g/l significantly resisted the toxic effect of AGEs-BSA to SH-SY5Y. Compared with the corresponding control group, the MTT metabolic rate was significantly increased, LDH release was significantly decreased and cell morphology was greatly improved. It suggested that α-LA had a protective effect for nerve cells.

In our study, we found that LA had a protective effect on nerve cells but not in a dose-dependent manner. Therefore, we deduced that LA entered cells by a certain carrier, and when the carrier was saturating, the effect would not be increased as the carrier supply. Moreover, increased LA concentration provoked altered osmotic pressure and pH, directly influenced the external environment of incubated cells, and further influenced the effect of LA.

We chose α-LA with an optimal concentration of 0.1 g/l to pre-treat cells in the AGE-BSA (80 µg/ml) group for 30 min and then tested the influence of α-LA on intracellular Aβ protein, APP mRNA and TAGE mRNA expression profiles. We found that as compared with the corresponding AGEs-BSA treatment group, the intracellular Aβ expression significantly decreased, which suggested that α-LA was partly related to a decreased expression in Aβ, at least in the protection of SH-SY5Y cells (Fig. 5).

Figure 5

(A) 1–1 expression of Aβ in normal SH-SY5Y (10×40); (B) the SH-SY5Y of negative control group (10×40); (C) 1–2 expression of Aβ in SH-SY5Y treated by BSA(20 µg/ml) for 48 h (10×40); (D) 1–3 Expression of Aβ in SH-SY5Y treated by AGE-BSA(20 µg/ml) for 48 h (10×40); (E) 1–4 expression of Aβ in SH-SY5Y treated by BSA (40 µg/ml) for 48 h (10×40); (F) 1–5 expression of Aβ in SH-SY5Y treated by AGE-BSA (40 µg/ml) for 48 h (10×40); (G) 1–6 expression of Aβ in SH-SY5Y treated by BSA (80 µg/ml) for 48 h (10×40); (H) 1–7 expression of Aβ in SH-SY5Y treated by AGE-BSA (80 µg/ml) for 48 h (10×40); (I) photo 1–8 expression of Aβ in SH-SY5Y intervention by LA(0.1 g/l) 30 min before being treated by AGE-BSA(80 µg/ml) for 48 h (10×40).

There was no evident change in APP mRNA expression, which suggested that decreased Aβ was not realized by decreased APP expression that was caused by decreased APP mRNA expression. Furthermore, the expression of TAGE mRNA was significantly reduced. The results indicated that using an anti-RAGE antibody to prevent the combination of RAGE and ligand, significantly reduced the generation of inflammatory cytokines and nitric oxide by microglial cells (37).

The RAGE antagonist, sRAGE (soluble RAGE) was used to treat diabetic rats that lacked Apo-E. In this mode, treatment inhibited development of early angiosclerosis (38). High doses of sRAGE to mouse would isolate Aβ in the plasms, and would thus decrease intracranial Aβ levels (31). It was deduced that the weakened combination of Aβ-RAGE and AGEs-RAGE were also involved in the protective effect of LA for nerve cells. AGEs decreased the intake of glucose into SH-SY5Y cells, which was related to the inactivation of the glucose transporter, as previously reported by Keller et al (ref.?) However, after LA enters cells, pyruvate dehydrogenase would be activated, which would thus increase aerobic metabolism of glucose. Besides, it also made the glucose transporter (GLUT1, GLUT3, and GLUT4) translocate to the cytoplasmic membrane by activating phosphatidylino-sitol-3. Therefore, α-LA possibly enabled neuronal cells to resist damage that was caused by AGEs-BSA via improving glucose metabolism. The effect of decreased Aβ formation on improving glycometabolism still requires further exploration.

In conclusion, we found that Aβ is the key factor for AD pathological mechanisms, which is also an important target for AD treatment. In addition, α-LA could reduce Aβ generation and inhibit Aβ aggregation, and it also demonstrated utility in absorbing and passing through the blood-brain barrier, thus playing a very important role in the central nervous system degenerative diseases. Thus, we believe that Aβ should have wide developmental utility in the future.

Acknowledgments

Not applicable.

Notes

[1] Funding

No funding was received.

[2] Availability of data and material

The datasets used and/or analyzed during the current study are available from the corresponding author on reasonable request.

[3] Authors' contributions

GN and JG carried out the studies, participated in collecting data, and drafted the manuscript. YT and KZ performed the statistical analysis and participated in its design. JL was also involved in the conception of the study and helped to draft the manuscript. QX helped to design the studies and modified the manuscript. All authors read and approved the final manuscript.

[4] Ethics approval and consent to participate

Not applicable.

[5] Consent for publication

Not applicable.

[6] Competing interests

The authors declare that they have no competing interests.

References

1 

Biessels GJ, Staekenborg S, Brunner E, Brayne C and Scheltens P: Risk of dementia in diabetes mellitus: A systematic review. Lancet Neurol. 5:64–74. 2006. View Article : Google Scholar

2 

Lu FP, Lin KP and Kuo HK: Diabetes and the risk of multi-system aging phenotypes: A systematic review and meta-analysis. PLoS One. 4:e41442009. View Article : Google Scholar : PubMed/NCBI

3 

Cukierman T, Gerstein HC and Williamson JD: Cognitive decline and dementia in diabetes-systematic overview of prospective observational studies. Diabetologia. 48:2460–2469. 2005. View Article : Google Scholar : PubMed/NCBI

4 

Vasan S, Foiles PG and Founds HW: Therapeutic potential of AGE inhibitors and breakers of AGE protein cross-links. Expert Opin Investig Drugs. 10:1977–1987. 2001. View Article : Google Scholar

5 

Gong CX, Liu F, Grundke-Iqbal I and Iqbal K: Impaired brain glucose metabolism leads to Alzheimer neurofibrillary degeneration through a decrease in tau O-GlcNAcylation. J Alzheimers Dis. 9:1–12. 2006. View Article : Google Scholar : PubMed/NCBI

6 

Arancio O, Zhang HP, Chen X, Lin C, Trinchese F, Puzzo D, Liu S, Hegde A, Yan SF, Stern A, Luddy JS, et al: RAGE potentiates Abeta-induced perturbation of neuronal function in transgenic mice. EMBO J. 23:4096–4105. 2004. View Article : Google Scholar : PubMed/NCBI

7 

Lefebvre T, Ferreira S, Dupont-Wallois L, Bussière T, Dupire MJ, Delacourte A, Michalski JC and Caillet-Boudin ML: Evidence of a balance between phosphorylation and O-GlcNAc glycosylation of Tau proteins-a role in nuclear localization. Biochim Biophys Acta. 1619:167–176. 2003. View Article : Google Scholar : PubMed/NCBI

8 

Hoyer S: Causes and consequences of disturbances of cerebral glucose metabolism in sporadic Alzheimer disease: Therapeutic implications. Adv Exp Med Biol. 541:135–152. 2004. View Article : Google Scholar : PubMed/NCBI

9 

Guglielmotto M, Aragno M, Tamagno E, Vercellinatto I, Visentin S, Medana C, Catalano MG, Smith MA, Perry G, Danni O, et al: AGEs/RAGE complex upregulates BACE1 via NF-kappaB pathway activation. Neurobiol Aging. 33:196 e113–127. 2012. View Article : Google Scholar

10 

Farr SA, Price TO, Banks WA, Ercal N and Morley JE: Effect of alpha-lipoic acid on memory, oxidation, and lifespan in SAMP8 mice. J Alzheimers Dis. 32:447–455. 2012.PubMed/NCBI

11 

Shinto L, Quinn J, Montine T, Dodge HH, Woodward W, Baldauf-Wagner S, Waichunas D, Bumgarner L, Bourdette D, Silbert L, et al: A randomized placebo-controlled pilot trial of omega-3 fatty acids and alpha lipoic acid in Alzheimer's disease. J Alzheimers Dis. 38:111–120. 2014.

12 

Galasko DR, Peskind E, Clark CM, Quinn JF, Ringman JM, Jicha GA, Cotman C, Cottrell B, Montine TJ, Thomas RG, et al: Alzheimer's Disease Cooperative Study: Antioxidants for Alzheimer disease: A randomized clinical trial with cerebrospinal fluid biomarker measures. Arch Neurol. 69:836–841. 2012. View Article : Google Scholar : PubMed/NCBI

13 

Hager K, Marahrens A, Kenklies M, Riederer P and Münch G: Alpha-lipoic acid as a new treatment option for Alzheimer [corrected] type dementia. Arch Gerontol Geriatr. 32:275–282. 2001. View Article : Google Scholar : PubMed/NCBI

14 

Zhang L, Xing GQ, Barker JL, Chang Y, Maric D, Ma W, Li BS and Rubinow DR: Alpha-lipoic acid protects rat cortical neurons against cell death induced by amyloid and hydrogen peroxide through the Akt signalling pathway. Neurosci Lett. 312:125–128. 2001. View Article : Google Scholar : PubMed/NCBI

15 

Ono K, Hirohata M and Yamada M: Alpha-lipoic acid exhibits anti-amyloidogenicity for beta-amyloid fibrils in vitro. Biochem Biophys Res Commun. 341:1046–1052. 2006. View Article : Google Scholar : PubMed/NCBI

16 

Woltjer RL, Maezawa I, Ou JJ, Montine KS and Montine TJ: Advanced glycation endproduct precursor alters intracellular amyloid-beta/A beta PP carboxy-terminal fragment aggregation and cytotoxicity. J Alzheimers Dis. 5:467–476. 2003. View Article : Google Scholar

17 

Takeuchi M, Bucala R, Suzuki T, Ohkubo T, Yamazaki M, Koike T, Kameda Y and Makita Z: Neurotoxicity of advanced glycation end-products for cultured cortical neurons. J Neuropathol Exp Neurol. 59:1094–1105. 2000. View Article : Google Scholar

18 

Sasaki N, Fukatsu R, Tsuzuki K, Hayashi Y, Yoshida T, Fujii N, Koike T, Wakayama I, Yanagihara R, Garruto R, et al: Advanced glycation end products in Alzheimer's disease and other neurodegenerative diseases. Am J Pathol. 153:1149–1155. 1998. View Article : Google Scholar : PubMed/NCBI

19 

Saxena P, Saxena AK, Cui XL, Obrenovich M, Gudipaty K and Monnier VM: Transition metal-catalyzed oxidation of ascorbate in human cataract extracts: Possible role of advanced glycation end products. Invest Ophthalmol Vis Sci. 41:1473–1481. 2000.PubMed/NCBI

20 

Singh R, Barden A, Mori T and Beilin L: Advanced glycation end-products: A review. Diabetologia. 44:129–146. 2001. View Article : Google Scholar : PubMed/NCBI

21 

Münch G, Kuhla B, Lüth HJ, Arendt T and Robinson SR: Anti-AGEing defences against Alzheimer's disease. Biochem Soc Trans. 31:1397–1399. 2003. View Article : Google Scholar : PubMed/NCBI

22 

Maczurek A, Shanmugam K and Münch G: Inflammation and the redox-sensitive AGE-RAGE pathway as a therapeutic target in Alzheimer's disease. Ann N Y Acad Sci. 1126:147–151. 2008. View Article : Google Scholar : PubMed/NCBI

23 

Misonou H, Morishima-Kawashima M and Ihara Y: Oxidative stress induces intracellular accumulation of amyloid beta-protein (Abeta) in human neuroblastoma cells. Biochemistry. 39:6951–6959. 2000. View Article : Google Scholar : PubMed/NCBI

24 

Cho HJ, Son SM, Jin SM, Hong HS, Shin DH, Kim SJ, Huh K and Mook-Jung I: RAGE regulates BACE1 and Abeta generation via NFAT1 activation in Alzheimer's disease animal model. FASEB J. 23:2639–2649. 2009. View Article : Google Scholar : PubMed/NCBI

25 

Twigg SM, Chen MM, Joly AH, Chakrapani SD, Tsubaki J, Kim HS, Oh Y and Rosenfeld RG: Advanced glycosylation end products up-regulate connective tissue growth factor (insulin-like growth factor-binding protein-related protein 2) in human fibroblasts: A potential mechanism for expansion of extracellular matrix in diabetes mellitus. Endocrinology. 142:1760–1769. 2001. View Article : Google Scholar : PubMed/NCBI

26 

Hughes JM, Kuiper EJ, Klaassen I, Canning P, Stitt AW, Van Bezu J, Schalkwijk CG, van Noorden CJ and Schlingemann RO: Advanced glycation end products cause increased CCN family and extracellular matrix gene expression in the diabetic rodent retina. Diabetologia. 50:1089–1098. 2007. View Article : Google Scholar : PubMed/NCBI

27 

Deane R, Du Yan S, Submamaryan RK, LaRue B, Jovanovic S, Hogg E, Welch D, Manness L, Lin C, Yu J, et al: RAGE mediates amyloid-beta peptide transport across the blood-brain barrier and accumulation in brain. Nat Med. 9:907–913. 2003. View Article : Google Scholar : PubMed/NCBI

28 

Brady MJ, Bourbonais FJ and Saltiel AR: The activation of glycogen synthase by insulin switches from kinase inhibition to phosphatase activation during adipogenesis in 3T3-L1 cells. J Biol Chem. 273:14063–14066. 1998. View Article : Google Scholar : PubMed/NCBI

29 

Wang HY, Lee DH, D'Andrea MR, Peterson PA, Shank RP and Reitz AB: beta-Amyloid(1–42) binds to alpha7 nicotinic acetyl-choline receptor with high affinity. Implications for Alzheimer's disease pathology. J Biol Chem. 275:5626–5632. 2000. View Article : Google Scholar : PubMed/NCBI

30 

Onyango IG, Tuttle JB and Bennett JP Jr: Altered intracellular signaling and reduced viability of Alzheimer's disease neuronal cybrids is reproduced by beta-amyloid peptide acting through receptor for advanced glycation end products (RAGE). Mol Cell Neurosci. 29:333–343. 2005. View Article : Google Scholar : PubMed/NCBI

31 

Deane R, Singh I, Sagare AP, Bell RD, Ross NT, LaRue B, Love R, Perry S, Paquette N, Deane RJ, et al: A multimodal RAGE-specific inhibitor reduces amyloid β-mediated brain disorder in a mouse model of Alzheimer disease. J Clin Invest. 122:1377–1392. 2012. View Article : Google Scholar : PubMed/NCBI

32 

Zlokovic BV: Neurovascular mechanisms of Alzheimer's neurodegeneration. Trends Neurosci. 28:202–208. 2005. View Article : Google Scholar : PubMed/NCBI

33 

Baiguera S, Fioravanzo L, Grandi C, Di Liddo R, Parnigotto PP and Folin M: Involvement of the receptor for advanced glycation-end products (RAGE) in β-amyloid-induced toxic effects in rat cerebromicrovascular endothelial cells cultured in vitro. Int J Mol Med. 24:9–15. 2009.PubMed/NCBI

34 

Li M, Shang DS, Zhao WD, Tian L, Li B, Fang WG, Zhu L, Man SM and Chen YH: Amyloid beta interaction with receptor for advanced glycation end products up-regulates brain endothelial CCR5 expression and promotes T cells crossing the blood-brain barrier. J Immunol. 182:5778–5788. 2009. View Article : Google Scholar : PubMed/NCBI

35 

Wong A, Lüth HJ, Deuther-Conrad W, Dukic-Stefanovic S, Gasic-Milenkovic J, Arendt T and Münch G: Advanced glycation endproducts co-localize with inducible nitric oxide synthase in Alzheimer's disease. Brain Res. 920:32–40. 2001. View Article : Google Scholar : PubMed/NCBI

36 

Boulanger E, Dequiedt P and Wautier JL: Advanced glycosylation end products (AGE): New toxins. Nephrologie. 23:351–359. 2002.In French.

37 

Berbaum K, Shanmugam K, Stuchbury G, Wiede F, Körner H and Münch G: Induction of novel cytokines and chemokines by advanced glycation endproducts determined with a cytometric bead array. Cytokine. 41:198–203. 2008. View Article : Google Scholar : PubMed/NCBI

38 

Anzai Y, Hayashi M, Fueki N, Kurata K and Ohya T: Protracted juvenile neuronal ceroid lipofuscinosis - an autopsy report and immunohistochemical analysis. Brain Dev. 28:462–465. 2006. View Article : Google Scholar : PubMed/NCBI

Related Articles

  • Abstract
  • View
  • Download
  • Twitter
Copy and paste a formatted citation
Spandidos Publications style
Niu G, Guo J, Tian Y, Zhao K, Li J and Xiao Q: α‑lipoic acid can greatly alleviate the toxic effect of AGES on SH‑SY5Y cells. Int J Mol Med 41: 2855-2864, 2018.
APA
Niu, G., Guo, J., Tian, Y., Zhao, K., Li, J., & Xiao, Q. (2018). α‑lipoic acid can greatly alleviate the toxic effect of AGES on SH‑SY5Y cells. International Journal of Molecular Medicine, 41, 2855-2864. https://doi.org/10.3892/ijmm.2018.3477
MLA
Niu, G., Guo, J., Tian, Y., Zhao, K., Li, J., Xiao, Q."α‑lipoic acid can greatly alleviate the toxic effect of AGES on SH‑SY5Y cells". International Journal of Molecular Medicine 41.5 (2018): 2855-2864.
Chicago
Niu, G., Guo, J., Tian, Y., Zhao, K., Li, J., Xiao, Q."α‑lipoic acid can greatly alleviate the toxic effect of AGES on SH‑SY5Y cells". International Journal of Molecular Medicine 41, no. 5 (2018): 2855-2864. https://doi.org/10.3892/ijmm.2018.3477
Copy and paste a formatted citation
x
Spandidos Publications style
Niu G, Guo J, Tian Y, Zhao K, Li J and Xiao Q: α‑lipoic acid can greatly alleviate the toxic effect of AGES on SH‑SY5Y cells. Int J Mol Med 41: 2855-2864, 2018.
APA
Niu, G., Guo, J., Tian, Y., Zhao, K., Li, J., & Xiao, Q. (2018). α‑lipoic acid can greatly alleviate the toxic effect of AGES on SH‑SY5Y cells. International Journal of Molecular Medicine, 41, 2855-2864. https://doi.org/10.3892/ijmm.2018.3477
MLA
Niu, G., Guo, J., Tian, Y., Zhao, K., Li, J., Xiao, Q."α‑lipoic acid can greatly alleviate the toxic effect of AGES on SH‑SY5Y cells". International Journal of Molecular Medicine 41.5 (2018): 2855-2864.
Chicago
Niu, G., Guo, J., Tian, Y., Zhao, K., Li, J., Xiao, Q."α‑lipoic acid can greatly alleviate the toxic effect of AGES on SH‑SY5Y cells". International Journal of Molecular Medicine 41, no. 5 (2018): 2855-2864. https://doi.org/10.3892/ijmm.2018.3477
Follow us
  • Twitter
  • LinkedIn
  • Facebook
About
  • Spandidos Publications
  • Careers
  • Cookie Policy
  • Privacy Policy
How can we help?
  • Help
  • Live Chat
  • Contact
  • Email to our Support Team