Spandidos Publications Logo
  • About
    • About Spandidos
    • Aims and Scopes
    • Abstracting and Indexing
    • Editorial Policies
    • Reprints and Permissions
    • Job Opportunities
    • Terms and Conditions
    • Contact
  • Journals
    • All Journals
    • Oncology Letters
      • Oncology Letters
      • Information for Authors
      • Editorial Policies
      • Editorial Board
      • Aims and Scope
      • Abstracting and Indexing
      • Bibliographic Information
      • Archive
    • International Journal of Oncology
      • International Journal of Oncology
      • Information for Authors
      • Editorial Policies
      • Editorial Board
      • Aims and Scope
      • Abstracting and Indexing
      • Bibliographic Information
      • Archive
    • Molecular and Clinical Oncology
      • Molecular and Clinical Oncology
      • Information for Authors
      • Editorial Policies
      • Editorial Board
      • Aims and Scope
      • Abstracting and Indexing
      • Bibliographic Information
      • Archive
    • Experimental and Therapeutic Medicine
      • Experimental and Therapeutic Medicine
      • Information for Authors
      • Editorial Policies
      • Editorial Board
      • Aims and Scope
      • Abstracting and Indexing
      • Bibliographic Information
      • Archive
    • International Journal of Molecular Medicine
      • International Journal of Molecular Medicine
      • Information for Authors
      • Editorial Policies
      • Editorial Board
      • Aims and Scope
      • Abstracting and Indexing
      • Bibliographic Information
      • Archive
    • Biomedical Reports
      • Biomedical Reports
      • Information for Authors
      • Editorial Policies
      • Editorial Board
      • Aims and Scope
      • Abstracting and Indexing
      • Bibliographic Information
      • Archive
    • Oncology Reports
      • Oncology Reports
      • Information for Authors
      • Editorial Policies
      • Editorial Board
      • Aims and Scope
      • Abstracting and Indexing
      • Bibliographic Information
      • Archive
    • Molecular Medicine Reports
      • Molecular Medicine Reports
      • Information for Authors
      • Editorial Policies
      • Editorial Board
      • Aims and Scope
      • Abstracting and Indexing
      • Bibliographic Information
      • Archive
    • World Academy of Sciences Journal
      • World Academy of Sciences Journal
      • Information for Authors
      • Editorial Policies
      • Editorial Board
      • Aims and Scope
      • Abstracting and Indexing
      • Bibliographic Information
      • Archive
    • International Journal of Functional Nutrition
      • International Journal of Functional Nutrition
      • Information for Authors
      • Editorial Policies
      • Editorial Board
      • Aims and Scope
      • Abstracting and Indexing
      • Bibliographic Information
      • Archive
    • International Journal of Epigenetics
      • International Journal of Epigenetics
      • Information for Authors
      • Editorial Policies
      • Editorial Board
      • Aims and Scope
      • Abstracting and Indexing
      • Bibliographic Information
      • Archive
    • Medicine International
      • Medicine International
      • Information for Authors
      • Editorial Policies
      • Editorial Board
      • Aims and Scope
      • Abstracting and Indexing
      • Bibliographic Information
      • Archive
  • Articles
  • Information
    • Information for Authors
    • Information for Reviewers
    • Information for Librarians
    • Information for Advertisers
    • Conferences
  • Language Editing
Spandidos Publications Logo
  • About
    • About Spandidos
    • Aims and Scopes
    • Abstracting and Indexing
    • Editorial Policies
    • Reprints and Permissions
    • Job Opportunities
    • Terms and Conditions
    • Contact
  • Journals
    • All Journals
    • Biomedical Reports
      • Information for Authors
      • Editorial Policies
      • Editorial Board
      • Aims and Scope
      • Abstracting and Indexing
      • Bibliographic Information
      • Archive
    • Experimental and Therapeutic Medicine
      • Information for Authors
      • Editorial Policies
      • Editorial Board
      • Aims and Scope
      • Abstracting and Indexing
      • Bibliographic Information
      • Archive
    • International Journal of Epigenetics
      • Information for Authors
      • Editorial Policies
      • Editorial Board
      • Aims and Scope
      • Abstracting and Indexing
      • Bibliographic Information
      • Archive
    • International Journal of Functional Nutrition
      • Information for Authors
      • Editorial Policies
      • Editorial Board
      • Aims and Scope
      • Abstracting and Indexing
      • Bibliographic Information
      • Archive
    • International Journal of Molecular Medicine
      • Information for Authors
      • Editorial Policies
      • Editorial Board
      • Aims and Scope
      • Abstracting and Indexing
      • Bibliographic Information
      • Archive
    • International Journal of Oncology
      • Information for Authors
      • Editorial Policies
      • Editorial Board
      • Aims and Scope
      • Abstracting and Indexing
      • Bibliographic Information
      • Archive
    • Medicine International
      • Information for Authors
      • Editorial Policies
      • Editorial Board
      • Aims and Scope
      • Abstracting and Indexing
      • Bibliographic Information
      • Archive
    • Molecular and Clinical Oncology
      • Information for Authors
      • Editorial Policies
      • Editorial Board
      • Aims and Scope
      • Abstracting and Indexing
      • Bibliographic Information
      • Archive
    • Molecular Medicine Reports
      • Information for Authors
      • Editorial Policies
      • Editorial Board
      • Aims and Scope
      • Abstracting and Indexing
      • Bibliographic Information
      • Archive
    • Oncology Letters
      • Information for Authors
      • Editorial Policies
      • Editorial Board
      • Aims and Scope
      • Abstracting and Indexing
      • Bibliographic Information
      • Archive
    • Oncology Reports
      • Information for Authors
      • Editorial Policies
      • Editorial Board
      • Aims and Scope
      • Abstracting and Indexing
      • Bibliographic Information
      • Archive
    • World Academy of Sciences Journal
      • Information for Authors
      • Editorial Policies
      • Editorial Board
      • Aims and Scope
      • Abstracting and Indexing
      • Bibliographic Information
      • Archive
  • Articles
  • Information
    • For Authors
    • For Reviewers
    • For Librarians
    • For Advertisers
    • Conferences
  • Language Editing
Login Register Submit
  • This site uses cookies
  • You can change your cookie settings at any time by following the instructions in our Cookie Policy. To find out more, you may read our Privacy Policy.

    I agree
Search articles by DOI, keyword, author or affiliation
Search
Advanced Search
presentation
International Journal of Oncology
Join Editorial Board Propose a Special Issue
Print ISSN: 1019-6439 Online ISSN: 1791-2423
Journal Cover
August 2012 Volume 41 Issue 2

Full Size Image

Cover Legend PDF

Sign up for eToc alerts
Recommend to Library

Journals

International Journal of Molecular Medicine

International Journal of Molecular Medicine

International Journal of Molecular Medicine is an international journal devoted to molecular mechanisms of human disease.

International Journal of Oncology

International Journal of Oncology

International Journal of Oncology is an international journal devoted to oncology research and cancer treatment.

Molecular Medicine Reports

Molecular Medicine Reports

Covers molecular medicine topics such as pharmacology, pathology, genetics, neuroscience, infectious diseases, molecular cardiology, and molecular surgery.

Oncology Reports

Oncology Reports

Oncology Reports is an international journal devoted to fundamental and applied research in Oncology.

Experimental and Therapeutic Medicine

Experimental and Therapeutic Medicine

Experimental and Therapeutic Medicine is an international journal devoted to laboratory and clinical medicine.

Oncology Letters

Oncology Letters

Oncology Letters is an international journal devoted to Experimental and Clinical Oncology.

Biomedical Reports

Biomedical Reports

Explores a wide range of biological and medical fields, including pharmacology, genetics, microbiology, neuroscience, and molecular cardiology.

Molecular and Clinical Oncology

Molecular and Clinical Oncology

International journal addressing all aspects of oncology research, from tumorigenesis and oncogenes to chemotherapy and metastasis.

World Academy of Sciences Journal

World Academy of Sciences Journal

Multidisciplinary open-access journal spanning biochemistry, genetics, neuroscience, environmental health, and synthetic biology.

International Journal of Functional Nutrition

International Journal of Functional Nutrition

Open-access journal combining biochemistry, pharmacology, immunology, and genetics to advance health through functional nutrition.

International Journal of Epigenetics

International Journal of Epigenetics

Publishes open-access research on using epigenetics to advance understanding and treatment of human disease.

Medicine International

Medicine International

An International Open Access Journal Devoted to General Medicine.

Journal Cover
August 2012 Volume 41 Issue 2

Full Size Image

Cover Legend PDF

Sign up for eToc alerts
Recommend to Library

  • Article
  • Citations
    • Cite This Article
    • Download Citation
    • Create Citation Alert
    • Remove Citation Alert
    • Cited By
  • Similar Articles
    • Related Articles (in Spandidos Publications)
    • Similar Articles (Google Scholar)
    • Similar Articles (PubMed)
  • Download PDF
  • Download XML
  • View XML
Article Open Access

The role of human peritoneal mesothelial cells in the fibrosis and progression of gastric cancer

  • Authors:
    • Tomoya Tsukada
    • Sachio Fushida
    • Shinichi Harada
    • Yasumichi  Yagi
    • Jun  Kinoshita
    • Katsunobu Oyama
    • Hidehiro Tajima
    • Hideto  Fujita
    • Itasu Ninomiya
    • Takashi Fujimura
    • Tetsuo Ohta
  • View Affiliations / Copyright

    Affiliations: Department of Gastroenterological Surgery, Division of Cancer Medicine, Graduate School of Medical Science, Kanazawa University, Kanazawa, Ishikawa 920-8641, Japan, Center for Biomedical Research and Education, School of Medicine, Kanazawa University, Kanazawa, Ishikawa 920-8641, Japan
    Copyright: © Tsukada et al. This is an open access article distributed under the terms of Creative Commons Attribution License [CC BY_NC 3.0].
  • Pages: 476-482
    |
    Published online on: May 18, 2012
       https://doi.org/10.3892/ijo.2012.1490
  • Expand metrics +
Metrics: Total Views: 0 (Spandidos Publications: | PMC Statistics: )
Metrics: Total PDF Downloads: 0 (Spandidos Publications: | PMC Statistics: )
Cited By (CrossRef): 0 citations Loading Articles...

This article is mentioned in:



Abstract

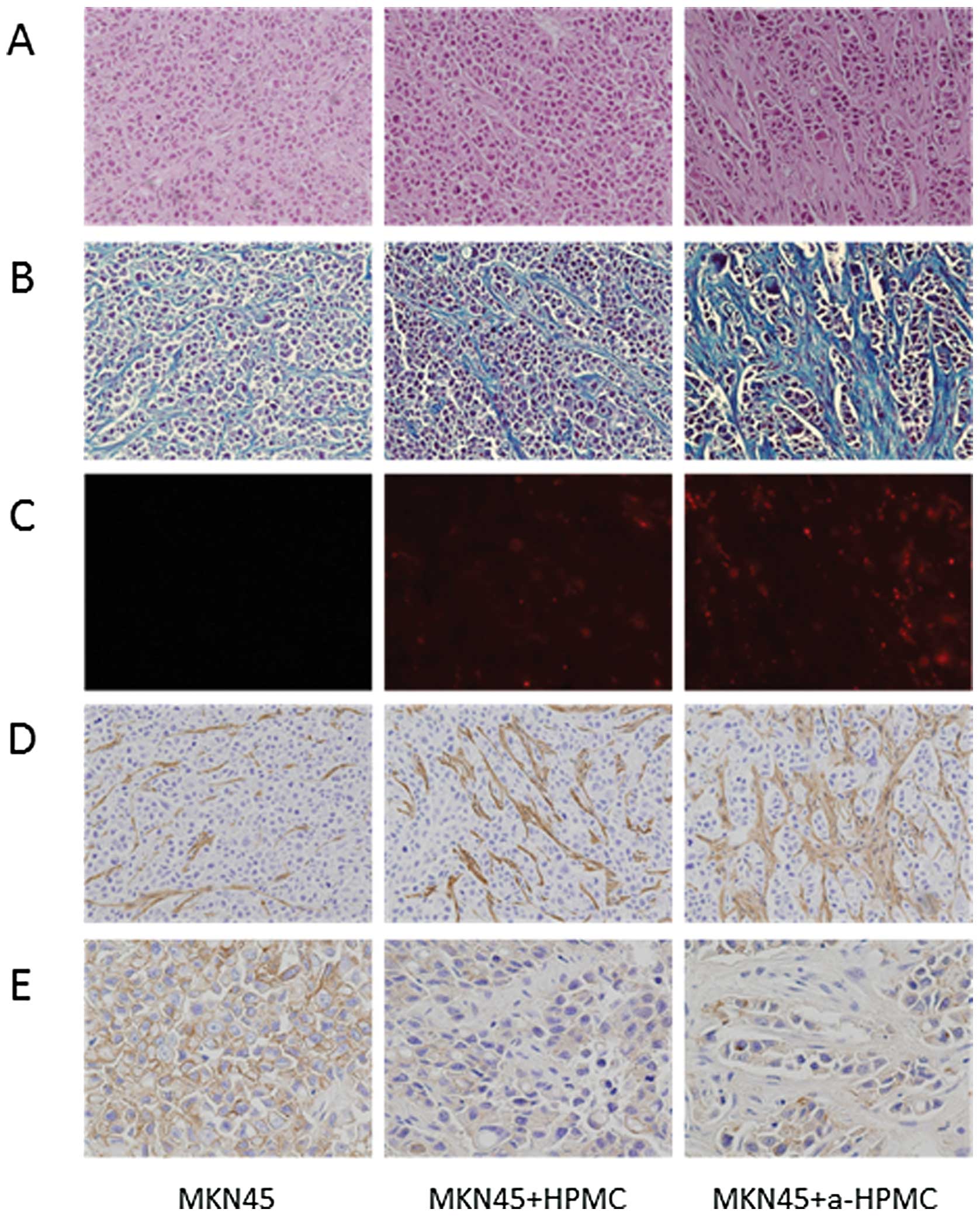
Peritoneal dissemination is the most frequent metastatic pattern of scirrhous gastric cancer. However, despite extensive research effort, disease outcomes have not improved sufficiently. Tumor progression and metastasis result from interactions between cancer and various cells in the stroma, including endothelial cells, immune cells and fibroblasts. Fibroblasts have been particularly well studied; they are known to change into carcinoma-associated fibroblasts (CAFs) and produce transforming growth factor β (TGF-β), which mediates cancer-stroma interactions. Here, we investigated whether TGF-β derived from cancer cells in the peritoneal microenvironment activates human peritoneal mesothelial cells (HPMCs), leading to the progression and fibrosis of gastric cancer. We found that activated HPMCs (a-HPMCs) took on a spindle shape formation, decreased the expression of E-cadherin and increased that of α-SMA. Furthermore, a-HPMCs became more invasive and upregulated proliferation of human gastric cancer-derived MKN45 cells following direct cell-cell contact. Notably, MKN45 cells co-cultured with a-HPMCs also acquired anchorage-independent cell growth and decreased expression of E-cadherin in vitro. To measure the effects of the co-culture in vivo, we developed a mouse xenograft model into which different culture products were subcutaneously injected. The largest tumors were observed in mice that had been given MKN45 cells co-cultured with a-HPMCs. Furthermore, these tumors contained HPMC-derived fibrous tissue. Thus, the epithelial-mesenchymal transition (EMT) of HPMCs appears to drive peritoneal dissemination and tumor fibrosis.
View Figures

Figure 1

Figure 2

Figure 3

Figure 4

Figure 5

Figure 6

View References

1 

Fushida S, Kinoshita J, Yagi Y, et al: Dual anti-cancer effects of weekly intraperitoneal docetaxel in treatment of advanced gastric cancer patients with peritoneal carcinomatosis: A feasibility and pharmacokinetic study. Oncol Rep. 19:1305–1310. 2008.

2 

Yonemura Y, Elnemr A, Endou Y, et al: Multidisciplinary therapy for treatment of patients with peritoneal carcinomatosis from gastric cancer. World J Gastrointest Oncol. 2:85–97. 2010. View Article : Google Scholar : PubMed/NCBI

3 

Kalluri R and Zeisberg M: Fibroblasts in cancer. Nat Rev Cancer. 6:392–401. 2006. View Article : Google Scholar

4 

Tlsty TD: Stromal cells can contribute oncogenic signals. Semin Cancer Biol. 11:97–104. 2001. View Article : Google Scholar : PubMed/NCBI

5 

Zeisberg EM, Potenta S, Xie L, Zeisberg M and Kalluri R: Discovery of endothelial to mesenchymal transition as a source for carcinoma-associated fibroblasts. Cancer Res. 67:10123–10128. 2007.PubMed/NCBI

6 

Pietras K and Ostman A: Hallmarks of cancer: interactions with the tumor stroma. Exp Cell Res. 316:1324–1331. 2010. View Article : Google Scholar : PubMed/NCBI

7 

De Wever O and Mareel M: Role of tissue stroma in cancer cell invasion. J Pathol. 200:429–447. 2003.PubMed/NCBI

8 

Yashiro M, Chung YS and Sowa M: Role of orthotopic fibroblasts in the development of scirrhous gastric carcinoma. Jpn J Cancer Res. 85:883–886. 1994. View Article : Google Scholar : PubMed/NCBI

9 

Semba S, Kodama Y, Ohnuma K, et al: Direct cancer-stromal interaction increases fibroblast proliferation and enhances invasive properties of scirrhous-type gastric carcinoma cells. Br J Cancer. 101:1365–1373. 2009. View Article : Google Scholar

10 

Nakazawa K, Yashiro M and Hirakawa K: Keratinocyte growth factor produced by gastric fibroblasts specifically stimulates proliferation of cancer cells from scirrhous gastric carcinoma. Cancer Res. 63:8848–8852. 2003.

11 

Elenbaas B and Weinberg RA: Heterotypic signaling between epithelial tumor cells and fibroblasts in carcinoma formation. Exp Cell Res. 264:169–184. 2001. View Article : Google Scholar : PubMed/NCBI

12 

Durning P, Schor SL and Sellwood RA: Fibroblasts from patients with breast cancer show abnormal migratory behaviour in vitro. Lancet. 2:890–892. 1984. View Article : Google Scholar : PubMed/NCBI

13 

Schor SL, Schor AM, Grey AM and Rushton G: Foetal and cancer patient fibroblasts produce an autocrine migration-stimulating factor not made by normal adult cells. J Cell Sci. 90:391–399. 1988.PubMed/NCBI

14 

Grünert S, Jechlinger M and Beug H: Diverse cellular and molecular mechanisms contribute to epithelial plasticity and metastasis. Nat Rev Mol Cell Biol. 4:657–665. 2003.PubMed/NCBI

15 

Brenmoehl J, Miller SN, Hofmann C, et al: Transforming growth factor-beta 1 induces intestinal myofibroblast differentiation and modulates their migration. World J Gastroenterol. 15:1431–1442. 2009. View Article : Google Scholar : PubMed/NCBI

16 

Andersson-Sjöland A, Erjefält JS, Bjermer L, Eriksson L and Westergren-Thorsson G: Fibrocytes are associated with vascular and parenchymal remodelling in patients with obliterative bronchiolitis. Respir Res. 10:1032009.PubMed/NCBI

17 

Tahara E: Abnormal growth factor/cytokine network in gastric cancer. Cancer Microenviron. 1:85–91. 2008. View Article : Google Scholar : PubMed/NCBI

18 

Yoshida K, Yokozaki H, Niimoto M, Ito H, Ito M and Tahara E: Expression of TGF-beta and procollagen type I and type III in human gastric carcinomas. Int J Cancer. 44:394–398. 1989. View Article : Google Scholar : PubMed/NCBI

19 

Wells RG: Fibrogenesis. V: TGF-beta signaling pathways. Am J Physiol Gastrointest Liver Physiol. 279:G845–850. 2000.PubMed/NCBI

20 

Blobe GC, Schiemann WP and Lodish HF: Role of transforming growth factor beta in human disease. N Engl J Med. 342:1350–1358. 2000. View Article : Google Scholar : PubMed/NCBI

21 

Zavadil J and Böttinger EP: TGF-beta and epithelial-to-mesenchymal transitions. Oncogene. 24:5764–5774. 2005. View Article : Google Scholar : PubMed/NCBI

22 

Thiery JP: Epithelial-mesenchymal transitions in tumour progression. Nat Rev Cancer. 2:442–454. 2002. View Article : Google Scholar : PubMed/NCBI

23 

Zhang XY, Pettengell R, Nasiri N, Kalia V, Dalgleish AG and Barton DP: Characteristics and growth patterns of human peritoneal mesothelial cells: comparison between advanced epithelial ovarian cancer and non-ovarian cancer sources. J Soc Gynecol Investig. 6:333–340. 1999.

24 

Jayne DG, Perry SL, Morrison E, Farmery SM and Guillou PJ: Activated mesothelial cells produce heparin-binding growth factors: implications for tumour metastases. Br J Cancer. 82:1233–1238. 2000.PubMed/NCBI

25 

Kajiyama H, Shibata K, Ino K, Nawa A, Mizutani S and Kikkawa F: Possible involvement of SDF-1alpha/CXCR4-DPPIV axis in TGF-beta1-induced enhancement of migratory potential in human peritoneal mesothelial cells. Cell Tissue Res. 330:221–229. 2007. View Article : Google Scholar : PubMed/NCBI

26 

Aroeira LS, Aguilera A, Sánchez-Tomero JA, et al: Epithelial to mesenchymal transition and peritoneal membrane failure in peritoneal dialysis patients: pathologic significance and potential therapeutic interventions. J Am Soc Nephrol. 18:2004–2013. 2007. View Article : Google Scholar

27 

Nishimura S, Chung YS, Yashiro M, Inoue T and Sowa M: Role of alpha 2 beta 1- and alpha 3 beta 1-integrin in the peritoneal implantation of scirrhous gastric carcinoma. Br J Cancer. 74:1406–1412. 1996. View Article : Google Scholar : PubMed/NCBI

28 

Yung S, Li FK and Chan TM: Peritoneal mesothelial cell culture and biology. Perit Dial Int. 26:162–173. 2006.PubMed/NCBI

29 

Yashiro M, Chung YS, Nishimura S, Inoue T and Sowa M: Peritoneal metastatic model for human scirrhous gastric carcinoma in nude mice. Clin Exp Metastasis. 14:43–54. 1996. View Article : Google Scholar : PubMed/NCBI

30 

Yashiro M, Chung YS, Inoue T, et al: Hepatocyte growth factor (HGF) produced by peritoneal fibroblasts may affect mesothelial cell morphology and promote peritoneal dissemination. Int J Cancer. 67:289–293. 1996. View Article : Google Scholar : PubMed/NCBI

31 

Yang S, Pham LK, Liao CP, Frenkel B, Reddi AH and Roy-Burman P: A novel bone morphogenetic protein signaling in heterotypic cell interactions in prostate cancer. Cancer Res. 68:198–205. 2008. View Article : Google Scholar : PubMed/NCBI

32 

Yasumoto K, Koizumi K, Kawashima A, et al: Role of the CXCL12/CXCR4 axis in peritoneal carcinomatosis of gastric cancer. Cancer Res. 66:2181–2187. 2006. View Article : Google Scholar : PubMed/NCBI

Related Articles

  • Abstract
  • View
  • Download
  • Twitter
Copy and paste a formatted citation
Spandidos Publications style
Tsukada T, Fushida S, Harada S, Yagi Y, Kinoshita J, Oyama K, Tajima H, Fujita H, Ninomiya I, Fujimura T, Fujimura T, et al: The role of human peritoneal mesothelial cells in the fibrosis and progression of gastric cancer . Int J Oncol 41: 476-482, 2012.
APA
Tsukada, T., Fushida, S., Harada, S., Yagi, Y., Kinoshita, J., Oyama, K. ... Ohta, T. (2012). The role of human peritoneal mesothelial cells in the fibrosis and progression of gastric cancer . International Journal of Oncology, 41, 476-482. https://doi.org/10.3892/ijo.2012.1490
MLA
Tsukada, T., Fushida, S., Harada, S., Yagi, Y., Kinoshita, J., Oyama, K., Tajima, H., Fujita, H., Ninomiya, I., Fujimura, T., Ohta, T."The role of human peritoneal mesothelial cells in the fibrosis and progression of gastric cancer ". International Journal of Oncology 41.2 (2012): 476-482.
Chicago
Tsukada, T., Fushida, S., Harada, S., Yagi, Y., Kinoshita, J., Oyama, K., Tajima, H., Fujita, H., Ninomiya, I., Fujimura, T., Ohta, T."The role of human peritoneal mesothelial cells in the fibrosis and progression of gastric cancer ". International Journal of Oncology 41, no. 2 (2012): 476-482. https://doi.org/10.3892/ijo.2012.1490
Copy and paste a formatted citation
x
Spandidos Publications style
Tsukada T, Fushida S, Harada S, Yagi Y, Kinoshita J, Oyama K, Tajima H, Fujita H, Ninomiya I, Fujimura T, Fujimura T, et al: The role of human peritoneal mesothelial cells in the fibrosis and progression of gastric cancer . Int J Oncol 41: 476-482, 2012.
APA
Tsukada, T., Fushida, S., Harada, S., Yagi, Y., Kinoshita, J., Oyama, K. ... Ohta, T. (2012). The role of human peritoneal mesothelial cells in the fibrosis and progression of gastric cancer . International Journal of Oncology, 41, 476-482. https://doi.org/10.3892/ijo.2012.1490
MLA
Tsukada, T., Fushida, S., Harada, S., Yagi, Y., Kinoshita, J., Oyama, K., Tajima, H., Fujita, H., Ninomiya, I., Fujimura, T., Ohta, T."The role of human peritoneal mesothelial cells in the fibrosis and progression of gastric cancer ". International Journal of Oncology 41.2 (2012): 476-482.
Chicago
Tsukada, T., Fushida, S., Harada, S., Yagi, Y., Kinoshita, J., Oyama, K., Tajima, H., Fujita, H., Ninomiya, I., Fujimura, T., Ohta, T."The role of human peritoneal mesothelial cells in the fibrosis and progression of gastric cancer ". International Journal of Oncology 41, no. 2 (2012): 476-482. https://doi.org/10.3892/ijo.2012.1490
Follow us
  • Twitter
  • LinkedIn
  • Facebook
About
  • Spandidos Publications
  • Careers
  • Cookie Policy
  • Privacy Policy
How can we help?
  • Help
  • Live Chat
  • Contact
  • Email to our Support Team