Spandidos Publications Logo
  • About
    • About Spandidos
    • Aims and Scopes
    • Abstracting and Indexing
    • Editorial Policies
    • Reprints and Permissions
    • Job Opportunities
    • Terms and Conditions
    • Contact
  • Journals
    • All Journals
    • Oncology Letters
      • Oncology Letters
      • Information for Authors
      • Editorial Policies
      • Editorial Board
      • Aims and Scope
      • Abstracting and Indexing
      • Bibliographic Information
      • Archive
    • International Journal of Oncology
      • International Journal of Oncology
      • Information for Authors
      • Editorial Policies
      • Editorial Board
      • Aims and Scope
      • Abstracting and Indexing
      • Bibliographic Information
      • Archive
    • Molecular and Clinical Oncology
      • Molecular and Clinical Oncology
      • Information for Authors
      • Editorial Policies
      • Editorial Board
      • Aims and Scope
      • Abstracting and Indexing
      • Bibliographic Information
      • Archive
    • Experimental and Therapeutic Medicine
      • Experimental and Therapeutic Medicine
      • Information for Authors
      • Editorial Policies
      • Editorial Board
      • Aims and Scope
      • Abstracting and Indexing
      • Bibliographic Information
      • Archive
    • International Journal of Molecular Medicine
      • International Journal of Molecular Medicine
      • Information for Authors
      • Editorial Policies
      • Editorial Board
      • Aims and Scope
      • Abstracting and Indexing
      • Bibliographic Information
      • Archive
    • Biomedical Reports
      • Biomedical Reports
      • Information for Authors
      • Editorial Policies
      • Editorial Board
      • Aims and Scope
      • Abstracting and Indexing
      • Bibliographic Information
      • Archive
    • Oncology Reports
      • Oncology Reports
      • Information for Authors
      • Editorial Policies
      • Editorial Board
      • Aims and Scope
      • Abstracting and Indexing
      • Bibliographic Information
      • Archive
    • Molecular Medicine Reports
      • Molecular Medicine Reports
      • Information for Authors
      • Editorial Policies
      • Editorial Board
      • Aims and Scope
      • Abstracting and Indexing
      • Bibliographic Information
      • Archive
    • World Academy of Sciences Journal
      • World Academy of Sciences Journal
      • Information for Authors
      • Editorial Policies
      • Editorial Board
      • Aims and Scope
      • Abstracting and Indexing
      • Bibliographic Information
      • Archive
    • International Journal of Functional Nutrition
      • International Journal of Functional Nutrition
      • Information for Authors
      • Editorial Policies
      • Editorial Board
      • Aims and Scope
      • Abstracting and Indexing
      • Bibliographic Information
      • Archive
    • International Journal of Epigenetics
      • International Journal of Epigenetics
      • Information for Authors
      • Editorial Policies
      • Editorial Board
      • Aims and Scope
      • Abstracting and Indexing
      • Bibliographic Information
      • Archive
    • Medicine International
      • Medicine International
      • Information for Authors
      • Editorial Policies
      • Editorial Board
      • Aims and Scope
      • Abstracting and Indexing
      • Bibliographic Information
      • Archive
  • Articles
  • Information
    • Information for Authors
    • Information for Reviewers
    • Information for Librarians
    • Information for Advertisers
    • Conferences
  • Language Editing
Spandidos Publications Logo
  • About
    • About Spandidos
    • Aims and Scopes
    • Abstracting and Indexing
    • Editorial Policies
    • Reprints and Permissions
    • Job Opportunities
    • Terms and Conditions
    • Contact
  • Journals
    • All Journals
    • Biomedical Reports
      • Information for Authors
      • Editorial Policies
      • Editorial Board
      • Aims and Scope
      • Abstracting and Indexing
      • Bibliographic Information
      • Archive
    • Experimental and Therapeutic Medicine
      • Information for Authors
      • Editorial Policies
      • Editorial Board
      • Aims and Scope
      • Abstracting and Indexing
      • Bibliographic Information
      • Archive
    • International Journal of Epigenetics
      • Information for Authors
      • Editorial Policies
      • Editorial Board
      • Aims and Scope
      • Abstracting and Indexing
      • Bibliographic Information
      • Archive
    • International Journal of Functional Nutrition
      • Information for Authors
      • Editorial Policies
      • Editorial Board
      • Aims and Scope
      • Abstracting and Indexing
      • Bibliographic Information
      • Archive
    • International Journal of Molecular Medicine
      • Information for Authors
      • Editorial Policies
      • Editorial Board
      • Aims and Scope
      • Abstracting and Indexing
      • Bibliographic Information
      • Archive
    • International Journal of Oncology
      • Information for Authors
      • Editorial Policies
      • Editorial Board
      • Aims and Scope
      • Abstracting and Indexing
      • Bibliographic Information
      • Archive
    • Medicine International
      • Information for Authors
      • Editorial Policies
      • Editorial Board
      • Aims and Scope
      • Abstracting and Indexing
      • Bibliographic Information
      • Archive
    • Molecular and Clinical Oncology
      • Information for Authors
      • Editorial Policies
      • Editorial Board
      • Aims and Scope
      • Abstracting and Indexing
      • Bibliographic Information
      • Archive
    • Molecular Medicine Reports
      • Information for Authors
      • Editorial Policies
      • Editorial Board
      • Aims and Scope
      • Abstracting and Indexing
      • Bibliographic Information
      • Archive
    • Oncology Letters
      • Information for Authors
      • Editorial Policies
      • Editorial Board
      • Aims and Scope
      • Abstracting and Indexing
      • Bibliographic Information
      • Archive
    • Oncology Reports
      • Information for Authors
      • Editorial Policies
      • Editorial Board
      • Aims and Scope
      • Abstracting and Indexing
      • Bibliographic Information
      • Archive
    • World Academy of Sciences Journal
      • Information for Authors
      • Editorial Policies
      • Editorial Board
      • Aims and Scope
      • Abstracting and Indexing
      • Bibliographic Information
      • Archive
  • Articles
  • Information
    • For Authors
    • For Reviewers
    • For Librarians
    • For Advertisers
    • Conferences
  • Language Editing
Login Register Submit
  • This site uses cookies
  • You can change your cookie settings at any time by following the instructions in our Cookie Policy. To find out more, you may read our Privacy Policy.

    I agree
Search articles by DOI, keyword, author or affiliation
Search
Advanced Search
presentation
International Journal of Oncology
Join Editorial Board Propose a Special Issue
Print ISSN: 1019-6439 Online ISSN: 1791-2423
Journal Cover
August 2013 Volume 43 Issue 2

Full Size Image

Cover Legend PDF

Sign up for eToc alerts
Recommend to Library

Journals

International Journal of Molecular Medicine

International Journal of Molecular Medicine

International Journal of Molecular Medicine is an international journal devoted to molecular mechanisms of human disease.

International Journal of Oncology

International Journal of Oncology

International Journal of Oncology is an international journal devoted to oncology research and cancer treatment.

Molecular Medicine Reports

Molecular Medicine Reports

Covers molecular medicine topics such as pharmacology, pathology, genetics, neuroscience, infectious diseases, molecular cardiology, and molecular surgery.

Oncology Reports

Oncology Reports

Oncology Reports is an international journal devoted to fundamental and applied research in Oncology.

Experimental and Therapeutic Medicine

Experimental and Therapeutic Medicine

Experimental and Therapeutic Medicine is an international journal devoted to laboratory and clinical medicine.

Oncology Letters

Oncology Letters

Oncology Letters is an international journal devoted to Experimental and Clinical Oncology.

Biomedical Reports

Biomedical Reports

Explores a wide range of biological and medical fields, including pharmacology, genetics, microbiology, neuroscience, and molecular cardiology.

Molecular and Clinical Oncology

Molecular and Clinical Oncology

International journal addressing all aspects of oncology research, from tumorigenesis and oncogenes to chemotherapy and metastasis.

World Academy of Sciences Journal

World Academy of Sciences Journal

Multidisciplinary open-access journal spanning biochemistry, genetics, neuroscience, environmental health, and synthetic biology.

International Journal of Functional Nutrition

International Journal of Functional Nutrition

Open-access journal combining biochemistry, pharmacology, immunology, and genetics to advance health through functional nutrition.

International Journal of Epigenetics

International Journal of Epigenetics

Publishes open-access research on using epigenetics to advance understanding and treatment of human disease.

Medicine International

Medicine International

An International Open Access Journal Devoted to General Medicine.

Journal Cover
August 2013 Volume 43 Issue 2

Full Size Image

Cover Legend PDF

Sign up for eToc alerts
Recommend to Library

  • Article
  • Citations
    • Cite This Article
    • Download Citation
    • Create Citation Alert
    • Remove Citation Alert
    • Cited By
  • Similar Articles
    • Related Articles (in Spandidos Publications)
    • Similar Articles (Google Scholar)
    • Similar Articles (PubMed)
  • Download PDF
  • Download XML
  • View XML
Article

The Wnt signaling pathway and mitotic regulators in the initiation and evolution of mantle cell lymphoma: Gene expression analysis

  • Authors:
    • Yoshizo Kimura
    • Fumiko Arakawa
    • Junichi Kiyasu
    • Hiroaki Miyoshi
    • Maki Yoshida
    • Ayako Ichikawa
    • Daisuke Niino
    • Yasuo Sugita
    • Takashi Okamura
    • Atushi Doi
    • Kaori Yasuda
    • Kosuke Tashiro
    • Satoru Kuhara
    • Koichi Ohshima
  • View Affiliations / Copyright

    Affiliations: Department of Pathology, School of Medicine, Kurume University, Kurume, Fukuoka, Japan, Department of Hematology, School of Medicine, Kurume University, Kurume, Fukuoka, Japan, Cell Innovator Inc., Venture Business Laboratory of Kyushu University, Fukuoka, Japan, Department of Bioscience and Biotechnology, Faculty of Agriculture, Kyushu University, Fukuoka, Japan
  • Pages: 457-468
    |
    Published online on: June 12, 2013
       https://doi.org/10.3892/ijo.2013.1982
  • Expand metrics +
Metrics: Total Views: 0 (Spandidos Publications: | PMC Statistics: )
Metrics: Total PDF Downloads: 0 (Spandidos Publications: | PMC Statistics: )
Cited By (CrossRef): 0 citations Loading Articles...

This article is mentioned in:



Abstract

For an accurate understanding of mantle cell lymphoma (MCL), molecular behavior could be staged into two major events: lymphomagenesis with the t(11;14) translocation (initiation), and evolution into a more aggressive form (transformation). Unfortunately, it is still unknown which genes contribute to each event. In this study, we performed cDNA microarray experiments designed based on the concept that morphologically heterogeneous MCL samples would provide insights into the role of aberrant gene expression for both events. A total of 15 MCLs were collected from the files, which include a total of 237 MCL patients confirmed by histology as CCND1-positive. We posited four stepwise morphological grades for MCL: MCL in situ, MCL with classical form (cMCL), MCL with aggressive form (aMCL), and MCL with intermediate morphology between classical and aggressive forms at the same site (iMCL). To identify genes involved in initiation, we compared the tumor cells of MCL in situ (n=4) with normal mantle zone B lymphocytes (n=4), which were selected by laser microdissection (LMD). To identify genes contributing to transformation, we selected the overlapping genes differentially expressed between both cMCL (n=4) vs. aMCL (n=5) and classical vs. aggressive areas in iMCL (n=2) obtained by LMD. A significant number of genes (n=23, p=0.016) belonging to the Wnt signaling pathway were differentially expressed in initiation. This specific activation was confirmed by immuno­histochemistry, as MCL in situ had nuclear localization of phosphorylated-β-catenin with high levels of cytoplasmic Wnt3 staining. For transformation, identified 60 overlapping genes included a number of members of the p53 interaction network (CDC2, BIRC5 and FOXM1), which is known to mediate cell cycle progression during the G2/M transition. Thus, we observe that the Wnt signaling pathway may play an important role in initial lymphomagenesis in addition to t(11;14) translocations, and that specific mitotic regulators facilitate transformation into more aggressive forms.

Introduction

The pathological category of low-grade B cell non-Hodgkin’s lymphoma (NHL) encompasses mature B cell neoplasms with small to medium-sized cells such as follicular lymphoma (FL), marginal zone lymphoma (MZL), B cell chronic lymphocytic leukemia/small lymphocytic lymphoma (B-CLL/SLL), and mantle cell lymphoma (MCL). The histological transformation of low-grade lymphomas is thought to have a major impact on their prognosis, however, the clonal relationship between the two neoplasm types and the pathogenesis underlying the progression of the disease are still controversial.

MCL is considered a well categorized B cell NHL because virtually all cases feature the chromosomal translocation t(11;14)(q13;q32) (IgH/CCND1) which leads to cyclin D1 (CCND1) overexpression. Despite this strong genetic hallmark, MCL presents in a broad spectrum of morphological forms with a high number of additional chromosomal abnormalities. From a practical point of view, we can detect the mantle zone growth pattern, which represents the initial component of MCL, in only 8.6% of cases (1). Aggressive transformation in MCL is more notable, occurring in 32% of living cases and in 70% of autopsy cases (2). Hence, the presence of pathological evidence such as characteristic cytologies (small, classical, blastic and pleomorphic) or proliferating patterns (mantle-zone, nodular and diffuse) at the time of biopsy seems to depend on temporal changes in the accumulation of molecular genetic alterations.

For an accurate understanding of MCL, there are some questions requiring resolution. First, why is this lymphoma characterized by biological heterogeneity despite the characteristic translocation event? Second, what is required for the initial pathogenesis of MCL in addition to the t(11;14) translocation? A recent study has shown that the t(11;14) translocation alone is not sufficient to produce tumors (3) and, though at very low levels, t(11;14)-positive cells have been found in the blood of healthy individuals (4). Thus, key molecular behavior in MCL is thought to be divided into two major stages: initial lymphomagenesis in addition to the t(11;14) translocation (initiation) and the accumulation of variable secondary genomic alterations occurring over time, leading to the evolution into more aggressive forms (transformation).

Recently, microarray profiling studies have identified differential expression of several genes in the progression of MCL (5-7). Some of these studies have used purified mantle zone B lymphocytes sorted from reactive tonsillectomy specimens for gene expression profiling to avoid contamination with stromal cells, T cells and macrophages (6,7). In these studies, several genes identified as overexpressed in aggressive form are known to be involved in cell cycle control or apoptotic cell death, and several genes related to the PI3K/AKT, WNT and TGF-β signaling pathways are reportedly important in the pathogenesis of MCL. Although morphological heterogeneity remains a central issue in the prognosis and treatment of this lymphoma, no gene expression profiling studies to date have attempted to identify the genes and signaling pathways involved in the each event separately. The present study was designed based on the concept that gene expression profiling of morphologically heterogeneous MCL samples would provide insight into the role of aberrant gene expression for both initial lymphomagenesis and transformation events.

Materials and methods

Patients and tissue samples

We performed cDNA microarray experiments using frozen tissues of 19 lymph node biopsies. A total of 15 MCLs were collected from the files of the Departments of Pathology of Kurume University (Fukuoka, Japan), which include a total of 237 MCL patients (1) confirmed by histology as CCND1-positive (Table I). All 15 cases were subjected to cytogenetic and/or FISH studies and found positive for the IgH/CCND1. This study was approved by the Kurume University Institutional Review Board, and patients provided informed consent in accordance with the Declaration of Helsinki.

Table I.

Data of studied patients.

Table I.

Data of studied patients.

CaseAgeSexDiagnosisTissueGrowth patternPI (Ki-67)IgH/CCND1RNA extraction
R136FBenign lymphadenitisLN-NDNDLMD
R225FBenign lymphadenitisLN-NDNDLMD
R354MBenign lymphadenitisLN-NDNDLMD
R414MBenign lymphadenitisLN-NDNDLMD
MCL11268MMCL in situLNMZ15+LMD
MCL11349MMCL in situLNMZ10+LMD
MCL11473MMCL in situLNMZ20+LMD
MCL7157MMCL in situLNMZ5+LMD
MCL12679MClassical MCL (cMCL)LNN25+Whole
MCL13559McMCLLNN20+Whole
MCL14175McMCLLNN25+Whole
MCL20075McMCLLNN30+Whole
MCL8080MIntermediate MCL (iMCL)LNN&D20/80+LMD
MCL13267FiMCLLNN&D15/95+LMD
MCL571MAggressive MCL (aMCL)LND70+Whole
MCL4077FaMCLLND70+Whole
MCL9887MaMCLLND95+Whole
MCL10277MaMCLLND75+Whole
MCL10776MaMCLLND60+Whole

[i] LMD, laser microdissection; PI, proliferation index; ND, not done; LN, lymph node; MZ, mantle zone; N, nodular; D, diffuse.

In order to identify differentially expressed genes and their contribution to each event, we posited four stepwise morphological grades for MCL: MCL in situ, MCL with classical form (cMCL), MCL with aggressive form (aMCL), and MCL with intermediate morphology between classical and aggressive forms at the same site (iMCL) (Fig. 1). Namely, MCL in situ is defined as those samples with a very thin neoplastic mantle zone growth pattern and very little or no spreading of tumor cells into interfollicular areas. cMCL is characterized by a prominent nodular proliferation of atypical medium-sized tumor cells (classical form) without diffuse proliferation. aMCL is designated as a combination of two morphological forms: blastoid and pleomorphic. iMCL contains distinct areas of both classical and aggressive forms.

Figure 1.

Schema of the stepwise morphological grades for MCL used in the present study. This diagram shows the morphological evolution of MCL occurring in parallel with transformational development (classical, intermediate, and aggressive) and expansive development (mantle zone, nodular, nodular & diffuse, and diffuse). The origin of MCL cells is postulated as naive CD5-positive pre-germinal center B cells. In order to identify the genes contributing to each event, we posited four stepwise morphological grades for MCL: MCL in situ, MCL with classical form (cMCL), MCL with aggressive form (aMCL), and MCL with intermediate morphology between classical and aggressive forms at the same site (iMCL). MCL in situ represents the mantle zone growth pattern in that the neoplastic mantle zone was very thin and there was very little if any spreading of tumor cells into interfollicular areas. cMCL is characterized by a prominent nodular proliferation of atypical medium-sized tumor cells (classical form) without diffuse area. iMCL contains both classical and aggressive form areas but separated by border lines (black dotted line). aMCL was designated a combination of two morphological forms, blastoid and pleomorphic.

For evaluation of initiation, we compared samples from the tumor cells of MCL in situ (n=4) with those from normal mantle zone B-lymphocytes from benign lymphadenitis (n=4). Samples were derived from selected specimens by means of laser microdissection (LMD). We hypothesize that transformation into aMCL is a multistep process, similar to the progression of carcinomas. It may be beneficial to subdivide aMCL neoplasms into two major subtypes: ‘aMCL with genetic stepwise process’ which results from the accumulation of many molecular genetic alterations and ‘de novo aMCL’ resulting from fewer but stronger genetic alterations. Therefore, comparing cMCL with aMCL is not sufficient for the detection of transformation specific genes because it is not possible to distinguish them morphologically. Alternatively, we expected that using results from the gene selection method in combination with that of iMCL cases (n=2) would provide the candidate genes restricted within aMCL having genetic stepwise process. Additionally, using iMCL samples as a discovery set can compensate for individual differences between cases. For a concrete explanation of transformation, total RNA from whole tumor tissue samples, cMCL (n=4) and aMCL (n=5) were used [Fig. 2(I)]. We also compared classical areas with aggressive areas in iMCL obtained by LMD [Fig. 2(II)]. Finally, we selected the overlapping genes differentially expressed in both comparisons [Fig. 2(III)].

Figure 2.

Gene selection methods for the transformation. For the analysis of the method (I), we compared total RNAs from whole tumor tissue samples, cMCL (n=4) with aMCL (n=5). To compensate for individual differences and the influence of de novo aMCL, we also compared microdissected classical area with the aggressive area in iMCL (n=2) obtained by means of LMD [method (II)]. Finally, we selected the overlapping genes (III) differentially expressed in both comparisons.

Laser microdissection (LMD)

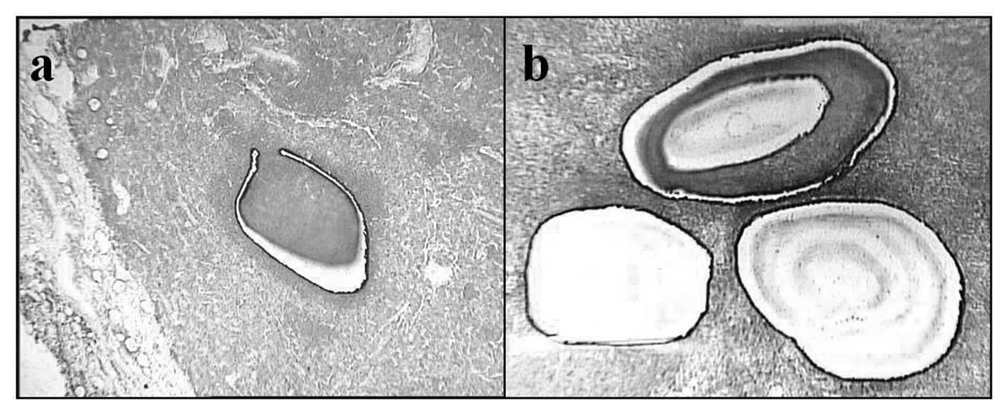
The tissue samples were immediately frozen in acetone/dry ice and stored at -80°C for microdissection. The lymph node samples were embedded in an optical cutting temperature (OCT) compound (Sakura Finetek, Tokyo, Japan) and frozen in liquid nitrogen. Cryosections (10-μm-thick) were mounted on 2.0-μm-thick PEN-Membrane slides (MicroDissect GmbH, Herborn, Germany). After fixation in 100% ethanol, the slides were stained rapidly with Toluidine Blue O (Chroma-Gesellschaft Schmid GmbH & Co., Köngen, Germany) and then washed in DEPC-treated water and air-dried with a fan. The frozen sections were microdissected with a Leica LMD6000 laser microdissection system by following the company’s protocol (Leica, Wetzlar, Germany). The sorting regions were micro-dissected from the tissue sections with LMD (Fig. 3), and the dissected cells were collected in 0.5 ml tubes filled with 50 μl lysis buffer for RNA extraction.

Figure 3.

Microdissection of the present cases (3a and 3b). After Toluidine blue staining, a section was subjected to LMD. Figures showing microdissected areas of (a) classical form in iMCL (case no. MCL132) and (b) of tumor cells in MCL in situ (case no. MCL113), respectively.

RNA extraction and biotinylated cRNA amplification

Total RNA was extracted from the LMD-obtained samples with an RNAqueous-Micro kit (Ambion, Austin, TX, USA) according to the manufacturer’s instructions. For cMCL and aMCL tissues, total RNA was isolated using TRIzol reagent (Invitrogen, Carlsbad, CA, USA). RNA samples were quantified by an ND-1000 spectrophotometer (NanoDrop Technologies, Wilmington, DE, USA) and the quality was confirmed with an Experion System (Bio-Rad Laboratories, Hercules, CA, USA). Both cRNA amplification and labeling with biotin were used to prepare samples for gene expression profiling by microarray analysis. Briefly, 350-500 ng total RNA was amplified overnight (14 h) with the Illumina Total Prep RNA Amplification kit (Ambion) in accordance with the manufacturer’s protocol. Reaction cRNA was biotinylated during in vitro transcription.

Illumina BeadChips microarray

Sentrix Human WG-6 v3.0 Expression BeadChips were purchased from Illumina, Inc. (San Diego, CA, USA). More than 48,000 different bead types, each with a 50-base gene-specific probe, are represented on a single Beadchip. For each probe represented on the array, beads are assembled with an average 30-fold redundancy. A hybridization mixture containing 1.5 μg biotinylated cRNA was hybridized to the beadchips at 58°C overnight (18 h) before being washed and stained with streptavidin-Cy3 (GE Healthcare, Buckinghamshire, UK) according to the manufacturer’s protocol. Beadchips were scanned on Illumina BeadStation 500 and fluorescent hybridization signals were assessed with Illumina BeadStudio software.

Immunohistochemistry

The samples were also evaluated for expression of markers such as Wnt3 (Abcam Inc., Cambridge, MA, USA), phosphorylated-β-catenin (Ser552) (pβ-catenin-S552) (Cell Signaling, Boston, MA, USA), and Ki-67 (Dako Cytomation, Glostrup, Denmark). Formalin-fixed, paraffin-embedded tissues were used for all immunohistochemical stains. Antibody dilutions and antigen retrieval procedures were performed as standards.

Data analysis and filter criteria

Pre-processing was performed on the raw signal intensities of all samples by log2-transformation and normalization using the quantile algorithm of the ‘preprocess Core’ library package (8) in Bioconductor (9). We selected the probes (excluding the control probes) where the detection p-value was <0.01 in all samples, and used only these probes to identify differentially expressed genes. For the samples meeting the criteria of initiation (MCL in situ vs. normal mantle zone B lymphocytes) and transformation (I) (cMCL vs. aMCL), we applied Linear Models for Microarray Analysis (limma) package (10) of Bioconductor. We used a cutoff of limma p-value <0.05 and absolute log-fold change (|logFC|) >0.5 to assess differentially expressed genes in each comparison. For the transformation (II) comparison (classical area vs. aggressive area in iMCL), we selected probes that contained a ‘P’ flag in both iMCL samples. To identify up or downregulated genes between aggressive and classical areas, we calculated Z-scores (11) and ratios (non-log scaled fold change) from the normalized signal intensities of each probe. Then we established criteria for regulated genes: absolute Z-score (|Z|) >2. Ingenuity Pathway Analysis (IPA6.0; Ingenuity Systems, Redwood, CA, USA; http://www.ingenuity.com) was used to identify networks of interacting genes. Lists of expressed (up and downregulated) genes were uploaded for IPA. A heat map of the differentially expressed genes was generated by MeV software (12). Array data are available on the Gene Expression Omnibus (GEO) website under accession numbers GSE30189 (http://www.ncbi.nlm.nih.gov/geo/).

Results

Differentially expressed genes in initiaion

In the analysis of MCL initiation, we selected 1,538 genes (851 upregulated and 787 downregulated) which showed significant differences (p<0.05) between normal mantle zone B lymphocytes and MCL in situ samples (http://www.ncbi.nlm.nih.gov/geo/). The identification of CCND1 as the most significantly upregulated gene in ‘initiation’ samples gives us confidence that these array experiments are measuring biologically relevant differences between the sample types. The top 10 up- and down-regulated genes in MCL in situ were: up, CCND1, FCGBP, IL17RB, NULL (probe ID; 5390192), WNT3, D4S234E, FBLN2, CPXM1, DBN1 and TEAD2; down, PLAC8, LOC439949, HVCN1, FGR, LOC651751, IL7R, DEF8, TXNDC8, GZMB and SLAMF1.

For further analysis, we focused on the canonical β-catenin-dependent Wnt pathway (WCP), which is critically involved in cell fate and diffrerentiation (13). As reasons for this, IPA analysis revealed that a significant number of differentially expressed genes (n=23) belong to this category (p=0.016), and none of the genes in this pathway were observed as differentially expressed in the transformation experiments (Table II). Whether the cytosolic pool of β-catenin participates in WCP signaling is dictated by the availability of its binding partners, and these binding interactions are regulated by phosphorylation (14). Phosphorylation of β-catenin at Ser552 by AKT can enhance β-catenin/TCF reporter activation, suggesting that pβ-catenin-S552 is a nuclear-localized form of β-catenin (active form) (15). Microarray results indicate that β-catenin was not significantly upregulated in MCL initiation, but immunohistochemical results revealed that the tumor cells of the MCL in situ samples showed nuclear localization of pβ-catenin-S552 with high levels of cytoplasmic Wnt3 staining (Fig. 4a-d). On the other hand, reactive mantle zone B cells were negative for pβ-catenin-S552 in the nuclear, and cytoplasmic Wnt3 staining was weak (Fig. 4e-h).

Figure 4.

Immunohistochemistry of (a, b, e and f) pβ-catenin-S552 and (c, d, g and h) Wnt3. The immunohistochemical studies revealed that the tumor cells of the MCL in situ showed nuclear localization of pβ-catenin-S552 (a and b) with high levels of cytoplasmic Wnt3 staining (c and d). The reactive mantle zone B cells were negative for pβ-catenin-S552 in the nuclear (e and f) with low lelels of cytoplasmic Wnt3 staining (g and h). pβ-catenin-S552 and Wnt3, original magnification: a, c, e and g, ×1,000 and b, d, f and h, ×2,000. GC, germinal center; MZ, marginal zone.

Table II.

Genes associated with Wnt signaling pathway (p<0.05).

Table II.

Genes associated with Wnt signaling pathway (p<0.05).

AccGene nameGene descriptionTime course p<0.05
Normal MZ vs. Fold changeMCL in situ P-valuecMCL vs. Fold changeaMCL P-value
NM_053056.2CCND1Cyclin D14.412.51E-08NSNS
NM_030753.3WNT3aWingless-type MMTV integration site family, member 32.650.000063NSNS
NM_024507.2KREMEN2Kringle containing transmembrane protein 21.520.001595NSNS
NM_002335.1LRP5bLow density lipoprotein receptor-related protein 51.040.000428NSNS
NM_020335.1VANGL2Vang-like 2 (van gogh, Drosophila)1.000.000208NSNS
NM_001466.2FZD2Frizzled homolog 2 (Drosophila)0.900.001185NSNS
NM_003199.2TCF4bTranscription factor 40.810.000155NSNS
NM_004380.2CREBBPbCREB binding protein0.720.000165NSNS
NM_001760.2GRNGranulin0.670.014332NSNS
NM_138713.2NFAT5Nuclear factor of activated T-cells 5, tonicity-responsive0.570.001586NSNS
NM_002738.5PRKCBProtein kinase C, beta0.550.003660NSNS
NM_152221.2CSNK1EbCasein kinase 1, epsilon0.530.004865NSNS
NM_001006610.1SIAH1Seven in absentia homolog 1 (Drosophila)0.520.001216NSNS
NM_004423.3DVL3bDishevelled, dsh homolog 3 (Drosophila)0.450.007706NSNS
NM_020248.2CTNNBIP1Catenin, beta interacting protein 10.420.016759NSNS
NM_003200.1TCF3Transcription factor 3 (E2A immunoglobulin enhancer binding factors E12/E47)0.350.031493NSNS
NM_181492.1TCF20Transcription factor 20 (AR1)−0.390.020984NSNS
NM_033120.2NKD2Naked cuticle homolog 2 (Drosophila)−0.390.037969NSNS
NM_002872.3RAC2Ras-related C3 botulinum toxin substrate 2 (rho family, small GTP binding protein Rac2)−0.420.008708NSNS
NM_007236.3CHPCalcium binding protein P22−0.450.005099NSNS
NM_002467.3MYCV-myc myelocytomatosis viral oncogene homolog (avian)−0.480.034874NSNS
NM_002737.2PRKCAProtein kinase C, alpha−0.720.002025NSNS
NM_016269.2LEF1Lymphoid enhancer-binding factor 1−0.870.004964NSNS

a MCL signature genes in agreement with CCND1-negative lymphomas that had MCL morphology and immunophenotype were classified as MCL (17).

b Genes aberrantly expressed in MCL related to WNT signaling pathway compared with naive B cells (6).

Differentially expressed genes in transformation

With the Illumina BeadStudio software, we detected 710 genes that showed significant differences in expression between cMCL and aMCL groups [Fig. 2(I)] (http://www.ncbi.nlm.nih.gov/geo/). Gene expression profiling in iMCL showed that 220 genes were differently expressed between microdissected classical area and aggressive area samples [Fig. 2(II)] (http://www.ncbi.nlm.nih.gov/geo/). Finally, we identified 60 overlapping genes [Fig. 2(III)] (Table III), both upregulated (n=58) and down-regulated (n=2), which showed significant differences in pre- vs. post-transformation with a p-value of <0.05. These genes are visualized as a heat map in Fig. 5.

Figure 5.

Heat map of the differentially expressed genes in the transformation. The genes displayed in this figure were identified by our selection methods. Color intensity represents the magnitude of deviation from the median. Yellow represents relative expression levels higher than the median level across all tissues and blue represents lower expression levels. The levels of most genes are more strongly upregulated in aggressive compared to classical MCL samples.

Table III.

Genes associated with the development of aggressive form of MCL (cMCL vs. aMCL using by iMCL).

Table III.

Genes associated with the development of aggressive form of MCL (cMCL vs. aMCL using by iMCL).

AccGene nameGene descriptionFold changeP-value
NM_181800.1UBE2C Ubiquitin-conjugating enzyme E2C1.840.000371
NM_181803.1UBE2C Ubiquitin-conjugating enzyme E2C1.740.000558
NM_002982.3CCL2Chemokine (C-C motif) ligand 21.600.038047
NM_001168.2BIRC5d,eBaculoviral IAP repeat-containing 51.580.000489
NM_080668.2CDCA5Cell division cycle associated 51.270.003079
NM_004701.2CCNB2cCyclin B21.210.004265
NM_001071.1TYMScThymidylate synthetase1.110.001068
NM_002263.2KIFC1Kinesin family member C11.090.007440
NM_001067.2TOP2Aa,cTopoisomerase (DNA) II alpha 170 kDa1.080.006076
NR_002734.1PTTG3Pituitary tumor-transforming 31.070.014845
NM_018136.3ASPMb,c,d,e‘Abnormal spindle (ASP) homolog, microcephaly associated (Drosophila)’1.070.005186
NM_021953.2FOXM1cForkhead box M11.010.003420
NM_005733.1KIF20AcKinesin family member 20A0.990.010183
NM_001761.1CCNFCyclin F0.990.006634
NM_001048201.1UHRF1a,eUbiquitin-like with PHD and ring finger domains 10.970.007291
NM_001002876.1CENPMCentromere protein M0.940.016725
NM_004091.2E2F2E2F transcription factor 20.940.019567
NM_001002876.1CENPMCentromere protein M0.940.035235
NM_030919.2FAM83D‘Family with sequence similarity 83, member D’0.920.007561
NM_024053.3CENPMCentromere protein M0.920.046319
NM_006845.2KIF2CKinesin family member 2C0.900.016135
NM_199420.3POLQ‘Polymerase (DNA directed), theta’0.890.004755
NM_012112.4TPX2‘TPX2, microtubule-associated, homolog (Xenopus laevis)’0.890.016590
NM_018131.3CEP55Centrosomal protein 55 kDa0.880.006728
NM_004523.2KIF11cKinesin family member 110.880.005905
NM_022346.3NCAPG‘Non-SMC condensin I complex, subunit G’0.880.014421
XM_934471.1LOC399942-0.870.039823
NM_002417.3MKI67eAntigen identified by monoclonal antibody Ki-670.860.022646
NM_001786.2CDC2b,c,d,e‘Cell division cycle 2, G1 to S and G2 to M’0.860.023818
NM_016343.3CENPFb,c,e‘Centromere protein F, 350/400ka (mitosin)’0.840.032315
NM_002497.2NEK2cNIMA (never in mitosis gene a)-related kinase 20.830.002697
NM_178448.2C9orf140Chromosome 9 open reading frame 1400.810.023110
NM_004219.2PTTG1Pituitary tumor-transforming 10.800.047544
NM_004856.4KIF23c,eKinesin family member 230.800.007960
NM_005192.2CDKN3a,cCyclin-dependent kinase inhibitor 30.790.029828
NM_004219.2PTTG1Pituitary tumor-transforming 10.790.038189
NM_002129.2HMGB2a,cHigh-mobility group box 20.790.045729
NM_152515.2CKAP2LCytoskeleton associated protein 2-like0.780.036949
NM_004523.2KIF11cKinesin family member 110.780.004380
NM_014746.2RNF144ARing finger protein 144A0.780.005460
NM_014750.3DLGAP5‘Discs, large (Drosophila) homolog-associated protein 5’0.760.009518
NM_014736.4KIAA0101cKIAA01010.760.045005
NM_032704.2TUBA1Cb‘Tubulin, alpha 1c’0.730.027816
NM_001813.2CENPEc,d‘Centromere protein E, 312 kDa’0.730.013906
BC004287NULLNull0.730.019170
NM_001789.2CDC25ACell division cycle 25 homolog A (S. pombe)0.730.025460
NM_002105.2H2AFX‘H2A histone family, member X’0.720.038540
NM_203394.2E2F7E2F transcription factor 70.680.032400
NM_001042426.1CENPAcCentromere protein A0.650.044459
NM_198434.1AURKAcAurora kinase A0.620.042391
NM_152562.2CDCA2Cell division cycle associated 20.610.040259
NM_006082.2TUBA1Ba,f‘Tubulin, alpha 1b’0.610.002775
NM_004111.4FEN1Flap structure-specific endonuclease 10.600.035752
NM_013296.3GPSM2‘G-protein signaling modulator 2 (AGS3-like, C. elegans)’0.550.033270
NM_182513.1SPC24‘SPC24, NDC80 kinetochore complex component, homolog (S. cerevisiae)’0.550.034394
XR_016048.1MGC40489-0.530.049409
NM_001733.4C1R‘Complement component 1, R subcomponent’0.520.039100
NM_006461.3SPAG5cSperm associated antigen 50.480.008955
NM_173509.2FAM163A‘Family with sequence similarity 163, member A’−0.390.007364
NM_017436.4A4GALT‘Alpha 1,4-galactosyltransferase’−1.280.000604

a High level of proliferation signature genes in MCL (17).

b Proliferation signature genes that predicted length of survival with high statistical significance in MCL (17).

c Identification of genes diffferentally expressed in MCL with low levels of long CCND1 transcript compared to other MCL (fold up) (18).

d Survival prediction genes in MCL (20).

e Most significant genes separating good and poor prognosis in MCL (fold up) (20).

f Genes separating good and poor prognosis not associated with cell cycle (fold up) (20).

As may be expected, IPA analysis of the filtered 60 genes revealed that most of these genes (42/60; 70%) were classified in the following categories, all of which are thought to be involved in transformation: 36 genes belonged to the category of ‘Cell cycle progression’ (UBE2C, BIRC5, CDCA5, TYMS, KIFC1, TOP2A, FOXM1, CCNF, E2F2, KIF2C, TPX2, KIF11, CDC2, CENPF, NEK2, CDKN3, PTTG1, DLGAP5, CENPE, CDC25A, AURKA, CCNB2, ASPM, KIF20A, UHRF1, CEP55, NCAPG, MKI67, KIF23, H2AFX, GPSM2); 28 ‘DNA replication, recombination and repair’ genes (AURKA, BIRC5, CENPE, DLGAP5, KIF2C, KIFC1, NCAPG, TOP2A, CCNB2, GPSM2, NEK2, PTTG1, KIF11, TPX2, CDCA5, CDK1, CDC25A, E2F2, FEN1, FOXM1, HMGB2, KIAA0101, H2AFX, POLQ, TYMS, KIF23, CENPA, UHRF1); 10 ‘cell death’ genes (A4GALT, AURKA, BIRC5, CCL2, CDC25A, CDCA2, CDK1, E2F2, NEK2, PTTG1, TOP2A, TYMS, UBE2C, CENPF, FEN1, FOXM1, HMGB2, KIF2C). As seen in Fig. 6, these genes recapitulate much of the p53 interaction network, a network centrally involved in cell cycle progression. Most of these genes (AURKA, BIRC5, CDC2, CDC25A, CENPF, CENPE, CCNB2, FOXM1, NEK2, PTTG1, TPX2, ASPM, TOP2A, DLGAP5, KIF2C, KIF23, UBE2C) were considered important players in MCL transformation because of their known function as mitotic regulators, which mediate cell cycle progression during the G2/M transition. CDC2, FOXM1 and BIRC5 in particular interact with many other highly expressed genes in aMCL, which suggests that they may play a critical role in transformational events along with p53. Of these transformation-associated genes, only CDCA5 and MKI67 were also significantly changed in initiation, while the remaining 58 genes were aberrantly expressed specifically in transformation.

Figure 6.

Gene network generated through the use of IPA. IPA was applied to 60 genes obtained by using iMCL as the transformation to create a network interrelated with mediator genes. Interacting nodes are defined by either direct relationships, which require direct physical contact (solid arrows), or indirect relationships (dashed arrows). The direction of the arrows shows the direction of the interaction. The chart clearly and in detail showed the network composed of p53 and several of its interaction partners. Most of these are mitotic regulators, and CDC2, FOXM1 and BIRC5 in particular interact with many other highly expressed genes in aMCL. The blue and orange lines indicate the connection with CDK1 (CDC2) and TP53, respectively. Red molecules indicate higher expression in aMCL than in cMCL at gene level.

Discussion

Biological heterogeneity has become an important position in the current understanding of MCL. To meet this need, we performed cDNA microarray experiments stratifying MCL samples into four morphological grades based on the files including a large series of patients. In order to investigate the molecular mechanisms underlying these differences, we compared initial component samples or transformational morphology samples and identified genes associated with the Wnt signaling pathway and several known mitotic regulators as differentially regulated.

Cell cycle alterations resulting in unscheduled proliferation are strongly associated with the evolution of malignant tumors. Most of these changes alter pathways involved in G1 progression or the G1/S transition (16). With regard to MCL, the ‘Lymphoma and Leukemia Molecular Profiling Project (LLMPP)’ demonstrated that the length of survival of MCL patients depends upon quantitative differences in progression from G1/S phase of the cell cycle (17). Sander et al also showed that a subset of MCL tumors with low levels of the long CCND1 transcript is highly proliferative and some of its related genes have homology to the group of cell cycle (G1/S) promoting E2F transcription partners (18). Indeed, there is a strong correlation between these reported genes and the 60 we identified in this study as involved in transformation (Table III), which emphasizes the importance of G1/S regulators in MCL evolution. The morphological classifications used in this study were based on our previous findings that MCL presents in three morphological evolutions: classical, intermediate and aggressive, and that the aggressive form is considered an important clinical signal of poor prognosis (1). Therefore, it might be natural to expect that dysregulation of G1/S proliferation signature genes is necessary to determine both the length of MCL patient survival and the time to neoplasm transformation.

Although the dysregulation of progression through mitosis does not directly promote proliferation, a few centrosomal and mitotic proteins (such as AURKA, PLK1 and PTTG1) have been reported to act as oncogenes (19). Interestingly, our results highlight a large number of mitotic regulators (CDC2, AURKA, BIRC5, CDC25A, CENPE, CCNB2, FOXM1, NEK2, PTTG1, TPX2, DLGAP5, KIF2C, KIF23 and UBE2C) in addition to G1/S regulators (CDC25A, E2F2, FOXM1 and TYMS). Of these genes, CDC2, FOXM1 and BIRC5 interact with many other highly expressed mitotic regulators within the p53 interaction network, suggesting that specific mitotic regulators facilitate the transformation of MCL into more aggressive form. In support of this hypothesis, Blenk et al identified significantly differentially expressed genes between samples with good and poor prognosis in MCL using exploratory analysis of gene expression values and CGH data (20). Surprisingly, the majority of the genes highlighted in that study (BIRC5, ASPM, MKI67, UHRF1, CDC2, CENPF and KIF23), including their survival predictor of genes for MCL patients (CENPE, CDC2, BIRC5 and ASPM), overlap with our current findings (Table III). These observations imply that both CDC2 and BIRC5 expression play central roles in MCL transformation and thus reflect prognosis.

CDC2 (also known as CDK1) is one of the master regulators of mitosis, as it is involved in the centrosome cycle and early mitotic events. Hui et al reported that elevated protein levels of CDC2 are correlated with the expression of proliferation marker, and represent a useful and simple method in evaluating the prognosis of MCL patients (21). Although BIRC5 (also known as survivin) is known as a member of inhibitor of apoptosis proteins gene family (22), several studies have shown that its role in cancer is not limited to apoptosis inhibition (23). Accordingly, BIRC5 expression levels are higher in aMCL samples than cMCL samples and are associated with proliferative activity and survival of the patients (24).

The role of FOXM1 in lymphoma has not been reported in the literature. However, FOXM1 was also significantly upregulated genes in MCL transformation (FC; 1.01 and p<0.005) in our results. FOXM1 is a typical proliferation-associated transcription factor, and is intimately involved in mitosis regulation (25). Namely, FOXM1 directly or indirectly (via MYC) regulates genes that control G1/S transition, S-phase progression, G2/M transition and M-phase progression (25), supporting that it is involved in tumorigenesis. It is of interest that its expression level is known to be increased in several other tumor grades, such as prostate carcinoma and glioblastoma (26,27). Thus, all of these genes, as well as the other mitotic regulators we found to have differential expression in MCL transformation, are potentially attractive therapeutic targets or strong diagnostic tools.

Alterations in the DNA damage response pathway and mitotic checkpoints through p53 are major additional genetic events in MCL, as indicated by the high rate of tetraploidy found in aMCL (28). In fact, p53 inactivation in MCL as a consequence of deletion or mutation occurs more frequently in the aggressive form than in the classic form (29). However, inactivating mutations of p53 are found in only 38% of aMCL cases (30,31), suggesting that several other genetic alterations also contribute to inactivation of the p53 pathway. Currently, ATM deletions are thought to be strongly associated with the dysregulation of the DNA damage response pathway through p53, and are probably present in the early phase of MCL (17,32-34). Our microarray experiments have revealed that ATM was significantly downregulated in initiation with strong fold change (FC=-0.73), while there was no significant change observed in transformation. In the results of our previous study using immunohistochemistry, higher cell positivity of p53 (DO7) was observed in iMCL than in cMCL, while there was no significant difference between iMCL and aMCL (1). This is due to the fact that there is a high concordance between p53 (DO7) nuclear overexpression and gene mutation in human carcinomas (35). These results strongly indicated that dysregulation of the ATM/p53 pathway in MCL would occur at undetectable levels as a relatively early phenomenon. After that, the disruption of central mitotic regulators (CDC2, BIRC5 and FOXM1) is responsible for the induction of chromosomal instability. Combined, these factors play an important pathogenic role in the evolution of MCL, perturbing the regulation of tumor cell cycling at the G2/M transition.

The mechanisms of the initial lymphomagenesis of MCL in addition to the IgH/CCND1 remain unclear, and new approaches are urgently needed to elucidate which genes and signaling pathways contribute to this event. Our results support the hypothesis that aberrant Wnt3 signaling is required for the MCL lymphomagenesis, because a significant number of WCP associated genes were aberrantly expressed in the initiation and not significantly changed in the transformation. Moreover, immunohistochemical findings revealed the special activation of WCP.

The significance of WCP signaling in tumor initiation may be straightforward from the view point of the adenoma-carcinoma sequence (36). Deletion of the APC gene resulting in the activation of WCP is a consistent finding among the earliest events in both de novo and sporadic colon carcinomas. Also, several studies support the notion that WCP can influence both lymphopoiesis (37,38) and hematological malignancies (39). In our initiation experiments, especially Wnt3 and LRP5 were genes with a high average increase (2.65- and 1.04-fold, respectively), and are reportedly highly expressed in MCL cases (40).

The binding of Wnt proteins to their respective cell surface receptors, including seven of the transmembrane fizzled (Fz) receptors and low-density lipoprotein receptor-related protein (LRP5 or 6), activates disheveled (Dvl). Activated Dvl can inhibit the degradation of β-catenin by the destruction complex, which is composed of adenomatous polyposis coli (APC), axin, casein kinase 1 (CK1) and GSK-3β. Consequently, accumulation of β-catenin in the nucleus regulates gene expression in cooperation with T cell factor (TCF)/lymphocyte enhancer factor (LEF) transcription factors, resulting in the activation of the WCP target genes such as CCND1 and c-Myc (13).

Using gene expression profiling, Rosenwald et al identified MCL signature genes in CCND1-negative lymphoma cases classified as MCL by both morphology and IHC. Wnt3 is one of these MCL signature genes, suggesting that Wnt3 is more intrinsic to MCL than CCND1 (17). According to Gelebart et al, Wnt 3 is highly and consistently expressed in MCL as detected by WCP-specific oligonucleotide arrays (40). Lako et al showed that Wnt3 protein can enhance haematopoietic commitment during in vitro differentiation of embryonic stem cells (41). From these studies, we speculate that aberrant expression of Wnt3 can emerge as potential activator of lymphomagenesis in MCL because CCND1 itself is an oncogenic target of activated WCP. In addition, several studies have shown that Wnt3 is highly expressed in B cell CLL (42,43) as well as in MCL.

To summarize, this study shed light on the mechanisms of initiation and evolution in MCL. The resulting patterns of gene dysregulation in these evens strongly indicate that the Wnt signaling pathway plays a critical role in initial lymphomagenesis, and that specific mitotic regulators facilitate transformation into more aggressive forms. Our unique approach may contribute to future understanding of various mature B cell lymphomas. These data hint at a novel system for the classification of low-grade B cell neoplasms using the expression levels of WCP genes and specific mitotic regulator genes as markers for disease stage and predicted outcomes.

Acknowledgements

The authors would like to thank Konomi Takasu, Mayumi Miura and Kanoko Miyazaki for their technical support.

References

1. 

Kimura Y, Sato K, Arakawa F, et al: Mantle cell lymphoma shows three morphological evolutions of classical, intermediate, and aggressive forms, which occur in parallel with increased labeling index of cyclin D1 and Ki-67. Cancer Sci. 101:806–814. 2010. View Article : Google Scholar

2. 

Kaleem Z, Wakoff AR, Smith RP and Hess JL: Blastic transformation of mantle cell lymphoma. Arch Pathol Lab Med. 120:577–580. 1996.PubMed/NCBI

3. 

Bodrug SE, Warner BJ, Bath ML, Lindeman GJ, Harris AW and Adams JM: Cyclin D1 transgene impedes lymphocyte maturation and collaborates in lymphomagenesis with the myc gene. EMBO J. 13:2124–2130. 1994.PubMed/NCBI

4. 

Hirt C, Schuler F, Dolken L, Schmidt CA and Dolken G: Low prevalence of circulating t(11;14)(q13;q32)-positive cells in the peripheral blood of healthy individuals as detected by real-time quantitative PCR. Blood. 104:904–905. 2004. View Article : Google Scholar : PubMed/NCBI

5. 

De Vos S, Krug U, Hofmann WK, et al: Cell cycle alterations in the blastoid variant of mantle cell lymphoma (MCL-BV) as detected by gene expression profiling of mantle cell lymphoma (MCL) and MCL-BV. Diagn Mol Pathol. 12:35–43. 2003.PubMed/NCBI

6. 

Rizzatti EG, Falcao RP, Panepucci RA, et al: Gene expression profiling of mantle cell lymphoma cells reveals aberrant expression of genes from the PI3K-AKT, WNT and TGFbeta signalling pathways. Br J Haematol. 130:516–526. 2005. View Article : Google Scholar : PubMed/NCBI

7. 

Martinez N, Camacho FI, Algara P, et al: The molecular signature of mantle cell lymphoma reveals multiple signals favoring cell survival. Cancer Res. 63:8226–8232. 2003.PubMed/NCBI

8. 

Bolstad BM, Irizarry RA, Astrand M and Speed TP: A comparison of normalization methods for high density oligonucleotide array data based on variance and bias. Bioinformatics. 19:185–193. 2003. View Article : Google Scholar : PubMed/NCBI

9. 

Gentleman RC, Carey VJ, Bates DM, et al: Bioconductor: open software development for computational biology and bioinformatics. Genome Biol. 5:R802004. View Article : Google Scholar : PubMed/NCBI

10. 

Smyth GK, Michaud J and Scott HS: Use of within-array replicate spots for assessing differential expression in micro-array experiments. Bioinformatics. 21:2067–2075. 2005. View Article : Google Scholar : PubMed/NCBI

11. 

Quackenbush J: Microarray data normalization and transformation. Nat Genet. 32(Suppl): 496–501. 2002. View Article : Google Scholar

12. 

Saeed AI, Sharov V, White J, et al: TM4: a free, open-source system for microarray data management and analysis. Biotechniques. 34:374–378. 2003.PubMed/NCBI

13. 

Aguilera O, Munoz A, Esteller M and Fraga MF: Epigenetic alterations of the Wnt/beta-catenin pathway in human disease. Endocr Metab Immune Disord Drug Targets. 7:13–21. 2007. View Article : Google Scholar : PubMed/NCBI

14. 

Daugherty RL and Gottardi CJ: Phospho-regulation of beta-catenin adhesion and signaling functions. Physiology (Bethesda). 22:303–309. 2007. View Article : Google Scholar : PubMed/NCBI

15. 

Fang D, Hawke D, Zheng Y, et al: Phosphorylation of beta-catenin by AKT promotes beta-catenin transcriptional activity. J Biol Chem. 282:11221–11229. 2007. View Article : Google Scholar : PubMed/NCBI

16. 

Massague J: G1 cell-cycle control and cancer. Nature. 432:298–306. 2004. View Article : Google Scholar : PubMed/NCBI

17. 

Rosenwald A, Wright G, Wiestner A, et al: The proliferation gene expression signature is a quantitative integrator of oncogenic events that predicts survival in mantle cell lymphoma. Cancer Cell. 3:185–197. 2003. View Article : Google Scholar : PubMed/NCBI

18. 

Sander B, Flygare J, Porwit-Macdonald A, et al: Mantle cell lymphomas with low levels of cyclin D1 long mRNA transcripts are highly proliferative and can be discriminated by elevated cyclin A2 and cyclin B1. Int J Cancer. 117:418–430. 2005. View Article : Google Scholar : PubMed/NCBI

19. 

Perez de Castro I, de Carcer G and Malumbres M: A census of mitotic cancer genes: new insights into tumor cell biology and cancer therapy. Carcinogenesis. 28:899–912. 2007.PubMed/NCBI

20. 

Blenk S, Engelmann JC, Pinkert S, et al: Explorative data analysis of MCL reveals gene expression networks implicated in survival and prognosis supported by explorative CGH analysis. BMC Cancer. 8:1062008. View Article : Google Scholar : PubMed/NCBI

21. 

Hui D, Reiman T, Hanson J, et al: Immunohistochemical detection of cdc2 is useful in predicting survival in patients with mantle cell lymphoma. Mod Pathol. 18:1223–1231. 2005. View Article : Google Scholar : PubMed/NCBI

22. 

Schimmer AD: Inhibitor of apoptosis proteins: translating basic knowledge into clinical practice. Cancer Res. 64:7183–7190. 2004. View Article : Google Scholar : PubMed/NCBI

23. 

Mita AC, Mita MM, Nawrocki ST and Giles FJ: Survivin: key regulator of mitosis and apoptosis and novel target for cancer therapeutics. Clin Cancer Res. 14:5000–5005. 2008. View Article : Google Scholar : PubMed/NCBI

24. 

Martinez A, Bellosillo B, Bosch F, et al: Nuclear survivin expression in mantle cell lymphoma is associated with cell proliferation and survival. Am J Pathol. 164:501–510. 2004. View Article : Google Scholar : PubMed/NCBI

25. 

Wierstra I and Alves J: FOXM1, a typical proliferation-associated transcription factor. Biol Chem. 388:1257–1274. 2007. View Article : Google Scholar : PubMed/NCBI

26. 

Liu M, Dai B, Kang SH, et al: FoxM1B is overexpressed in human glioblastomas and critically regulates the tumorigenicity of glioma cells. Cancer Res. 66:3593–3602. 2006. View Article : Google Scholar : PubMed/NCBI

27. 

Kalin TV, Wang IC, Ackerson TJ, et al: Increased levels of the FoxM1 transcription factor accelerate development and progression of prostate carcinomas in both TRAMP and LADY transgenic mice. Cancer Res. 66:1712–1720. 2006. View Article : Google Scholar : PubMed/NCBI

28. 

Ott G, Kalla J, Ott MM, et al: Blastoid variants of mantle cell lymphoma: frequent bcl-1 rearrangements at the major translocation cluster region and tetraploid chromosome clones. Blood. 89:1421–1429. 1997.PubMed/NCBI

29. 

Pinyol M, Hernandez L, Cazorla M, et al: Deletions and loss of expression of p16INK4a and p21Waf1 genes are associated with aggressive variants of mantle cell lymphomas. Blood. 89:272–280. 1997.PubMed/NCBI

30. 

Hernandez L, Fest T, Cazorla M, et al: p53 gene mutations and protein overexpression are associated with aggressive variants of mantle cell lymphomas. Blood. 87:3351–3359. 1996.PubMed/NCBI

31. 

Greiner TC, Moynihan MJ, Chan WC, et al: p53 mutations in mantle cell lymphoma are associated with variant cytology and predict a poor prognosis. Blood. 87:4302–4310. 1996.PubMed/NCBI

32. 

Bentz M, Plesch A, Bullinger L, et al: t(11;14)-positive mantle cell lymphomas exhibit complex karyotypes and share similarities with B-cell chronic lymphocytic leukemia. Genes Chromosomes Cancer. 27:285–294. 2000. View Article : Google Scholar : PubMed/NCBI

33. 

Monni O, Oinonen R, Elonen E, et al: Gain of 3q and deletion of 11q22 are frequent aberrations in mantle cell lymphoma. Genes Chromosomes Cancer. 21:298–307. 1998. View Article : Google Scholar : PubMed/NCBI

34. 

Stilgenbauer S, Winkler D, Ott G, et al: Molecular characterization of 11q deletions points to a pathogenic role of the ATM gene in mantle cell lymphoma. Blood. 94:3262–3264. 1999.PubMed/NCBI

35. 

Soong R, Robbins PD, Dix BR, et al: Concordance between p53 protein overexpression and gene mutation in a large series of common human carcinomas. Hum Pathol. 27:1050–1055. 1996. View Article : Google Scholar : PubMed/NCBI

36. 

Vogelstein B, Fearon ER, Hamilton SR, et al: Genetic alterations during colorectal-tumor development. N Engl J Med. 319:525–532. 1988. View Article : Google Scholar : PubMed/NCBI

37. 

Reya T, O’Riordan M, Okamura R, et al: Wnt signaling regulates B lymphocyte proliferation through a LEF-1 dependent mechanism. Immunity. 13:15–24. 2000. View Article : Google Scholar : PubMed/NCBI

38. 

Staal FJ and Sen JM: The canonical Wnt signaling pathway plays an important role in lymphopoiesis and hematopoiesis. Eur J Immunol. 38:1788–1794. 2008. View Article : Google Scholar : PubMed/NCBI

39. 

Ge X and Wang X: Role of Wnt canonical pathway in hematological malignancies. J Hematol Oncol. 3:332010. View Article : Google Scholar : PubMed/NCBI

40. 

Gelebart P, Anand M, Armanious H, et al: Constitutive activation of the Wnt canonical pathway in mantle cell lymphoma. Blood. 112:5171–5179. 2008. View Article : Google Scholar : PubMed/NCBI

41. 

Lako M, Lindsay S, Lincoln J, Cairns PM, Armstrong L and Hole N: Characterisation of Wnt gene expression during the differentiation of murine embryonic stem cells in vitro: role of Wnt3 in enhancing haematopoietic differentiation. Mech Dev. 103:49–59. 2001. View Article : Google Scholar : PubMed/NCBI

42. 

Lu D, Zhao Y, Tawatao R, et al: Activation of the Wnt signaling pathway in chronic lymphocytic leukemia. Proc Natl Acad Sci USA. 101:3118–3123. 2004. View Article : Google Scholar : PubMed/NCBI

43. 

Rosenwald A, Alizadeh AA, Widhopf G, et al: Relation of gene expression phenotype to immunoglobulin mutation genotype in B cell chronic lymphocytic leukemia. J Exp Med. 194:1639–1647. 2001. View Article : Google Scholar : PubMed/NCBI

Related Articles

  • Abstract
  • View
  • Download
  • Twitter
Copy and paste a formatted citation
Spandidos Publications style
Kimura Y, Arakawa F, Kiyasu J, Miyoshi H, Yoshida M, Ichikawa A, Niino D, Sugita Y, Okamura T, Doi A, Doi A, et al: The Wnt signaling pathway and mitotic regulators in the initiation and evolution of mantle cell lymphoma: Gene expression analysis. Int J Oncol 43: 457-468, 2013.
APA
Kimura, Y., Arakawa, F., Kiyasu, J., Miyoshi, H., Yoshida, M., Ichikawa, A. ... Ohshima, K. (2013). The Wnt signaling pathway and mitotic regulators in the initiation and evolution of mantle cell lymphoma: Gene expression analysis. International Journal of Oncology, 43, 457-468. https://doi.org/10.3892/ijo.2013.1982
MLA
Kimura, Y., Arakawa, F., Kiyasu, J., Miyoshi, H., Yoshida, M., Ichikawa, A., Niino, D., Sugita, Y., Okamura, T., Doi, A., Yasuda, K., Tashiro, K., Kuhara, S., Ohshima, K."The Wnt signaling pathway and mitotic regulators in the initiation and evolution of mantle cell lymphoma: Gene expression analysis". International Journal of Oncology 43.2 (2013): 457-468.
Chicago
Kimura, Y., Arakawa, F., Kiyasu, J., Miyoshi, H., Yoshida, M., Ichikawa, A., Niino, D., Sugita, Y., Okamura, T., Doi, A., Yasuda, K., Tashiro, K., Kuhara, S., Ohshima, K."The Wnt signaling pathway and mitotic regulators in the initiation and evolution of mantle cell lymphoma: Gene expression analysis". International Journal of Oncology 43, no. 2 (2013): 457-468. https://doi.org/10.3892/ijo.2013.1982
Copy and paste a formatted citation
x
Spandidos Publications style
Kimura Y, Arakawa F, Kiyasu J, Miyoshi H, Yoshida M, Ichikawa A, Niino D, Sugita Y, Okamura T, Doi A, Doi A, et al: The Wnt signaling pathway and mitotic regulators in the initiation and evolution of mantle cell lymphoma: Gene expression analysis. Int J Oncol 43: 457-468, 2013.
APA
Kimura, Y., Arakawa, F., Kiyasu, J., Miyoshi, H., Yoshida, M., Ichikawa, A. ... Ohshima, K. (2013). The Wnt signaling pathway and mitotic regulators in the initiation and evolution of mantle cell lymphoma: Gene expression analysis. International Journal of Oncology, 43, 457-468. https://doi.org/10.3892/ijo.2013.1982
MLA
Kimura, Y., Arakawa, F., Kiyasu, J., Miyoshi, H., Yoshida, M., Ichikawa, A., Niino, D., Sugita, Y., Okamura, T., Doi, A., Yasuda, K., Tashiro, K., Kuhara, S., Ohshima, K."The Wnt signaling pathway and mitotic regulators in the initiation and evolution of mantle cell lymphoma: Gene expression analysis". International Journal of Oncology 43.2 (2013): 457-468.
Chicago
Kimura, Y., Arakawa, F., Kiyasu, J., Miyoshi, H., Yoshida, M., Ichikawa, A., Niino, D., Sugita, Y., Okamura, T., Doi, A., Yasuda, K., Tashiro, K., Kuhara, S., Ohshima, K."The Wnt signaling pathway and mitotic regulators in the initiation and evolution of mantle cell lymphoma: Gene expression analysis". International Journal of Oncology 43, no. 2 (2013): 457-468. https://doi.org/10.3892/ijo.2013.1982
Follow us
  • Twitter
  • LinkedIn
  • Facebook
About
  • Spandidos Publications
  • Careers
  • Cookie Policy
  • Privacy Policy
How can we help?
  • Help
  • Live Chat
  • Contact
  • Email to our Support Team