Spandidos Publications Logo
  • About
    • About Spandidos
    • Aims and Scopes
    • Abstracting and Indexing
    • Editorial Policies
    • Reprints and Permissions
    • Job Opportunities
    • Terms and Conditions
    • Contact
  • Journals
    • All Journals
    • Oncology Letters
      • Oncology Letters
      • Information for Authors
      • Editorial Policies
      • Editorial Board
      • Aims and Scope
      • Abstracting and Indexing
      • Bibliographic Information
      • Archive
    • International Journal of Oncology
      • International Journal of Oncology
      • Information for Authors
      • Editorial Policies
      • Editorial Board
      • Aims and Scope
      • Abstracting and Indexing
      • Bibliographic Information
      • Archive
    • Molecular and Clinical Oncology
      • Molecular and Clinical Oncology
      • Information for Authors
      • Editorial Policies
      • Editorial Board
      • Aims and Scope
      • Abstracting and Indexing
      • Bibliographic Information
      • Archive
    • Experimental and Therapeutic Medicine
      • Experimental and Therapeutic Medicine
      • Information for Authors
      • Editorial Policies
      • Editorial Board
      • Aims and Scope
      • Abstracting and Indexing
      • Bibliographic Information
      • Archive
    • International Journal of Molecular Medicine
      • International Journal of Molecular Medicine
      • Information for Authors
      • Editorial Policies
      • Editorial Board
      • Aims and Scope
      • Abstracting and Indexing
      • Bibliographic Information
      • Archive
    • Biomedical Reports
      • Biomedical Reports
      • Information for Authors
      • Editorial Policies
      • Editorial Board
      • Aims and Scope
      • Abstracting and Indexing
      • Bibliographic Information
      • Archive
    • Oncology Reports
      • Oncology Reports
      • Information for Authors
      • Editorial Policies
      • Editorial Board
      • Aims and Scope
      • Abstracting and Indexing
      • Bibliographic Information
      • Archive
    • Molecular Medicine Reports
      • Molecular Medicine Reports
      • Information for Authors
      • Editorial Policies
      • Editorial Board
      • Aims and Scope
      • Abstracting and Indexing
      • Bibliographic Information
      • Archive
    • World Academy of Sciences Journal
      • World Academy of Sciences Journal
      • Information for Authors
      • Editorial Policies
      • Editorial Board
      • Aims and Scope
      • Abstracting and Indexing
      • Bibliographic Information
      • Archive
    • International Journal of Functional Nutrition
      • International Journal of Functional Nutrition
      • Information for Authors
      • Editorial Policies
      • Editorial Board
      • Aims and Scope
      • Abstracting and Indexing
      • Bibliographic Information
      • Archive
    • International Journal of Epigenetics
      • International Journal of Epigenetics
      • Information for Authors
      • Editorial Policies
      • Editorial Board
      • Aims and Scope
      • Abstracting and Indexing
      • Bibliographic Information
      • Archive
    • Medicine International
      • Medicine International
      • Information for Authors
      • Editorial Policies
      • Editorial Board
      • Aims and Scope
      • Abstracting and Indexing
      • Bibliographic Information
      • Archive
  • Articles
  • Information
    • Information for Authors
    • Information for Reviewers
    • Information for Librarians
    • Information for Advertisers
    • Conferences
  • Language Editing
Spandidos Publications Logo
  • About
    • About Spandidos
    • Aims and Scopes
    • Abstracting and Indexing
    • Editorial Policies
    • Reprints and Permissions
    • Job Opportunities
    • Terms and Conditions
    • Contact
  • Journals
    • All Journals
    • Biomedical Reports
      • Information for Authors
      • Editorial Policies
      • Editorial Board
      • Aims and Scope
      • Abstracting and Indexing
      • Bibliographic Information
      • Archive
    • Experimental and Therapeutic Medicine
      • Information for Authors
      • Editorial Policies
      • Editorial Board
      • Aims and Scope
      • Abstracting and Indexing
      • Bibliographic Information
      • Archive
    • International Journal of Epigenetics
      • Information for Authors
      • Editorial Policies
      • Editorial Board
      • Aims and Scope
      • Abstracting and Indexing
      • Bibliographic Information
      • Archive
    • International Journal of Functional Nutrition
      • Information for Authors
      • Editorial Policies
      • Editorial Board
      • Aims and Scope
      • Abstracting and Indexing
      • Bibliographic Information
      • Archive
    • International Journal of Molecular Medicine
      • Information for Authors
      • Editorial Policies
      • Editorial Board
      • Aims and Scope
      • Abstracting and Indexing
      • Bibliographic Information
      • Archive
    • International Journal of Oncology
      • Information for Authors
      • Editorial Policies
      • Editorial Board
      • Aims and Scope
      • Abstracting and Indexing
      • Bibliographic Information
      • Archive
    • Medicine International
      • Information for Authors
      • Editorial Policies
      • Editorial Board
      • Aims and Scope
      • Abstracting and Indexing
      • Bibliographic Information
      • Archive
    • Molecular and Clinical Oncology
      • Information for Authors
      • Editorial Policies
      • Editorial Board
      • Aims and Scope
      • Abstracting and Indexing
      • Bibliographic Information
      • Archive
    • Molecular Medicine Reports
      • Information for Authors
      • Editorial Policies
      • Editorial Board
      • Aims and Scope
      • Abstracting and Indexing
      • Bibliographic Information
      • Archive
    • Oncology Letters
      • Information for Authors
      • Editorial Policies
      • Editorial Board
      • Aims and Scope
      • Abstracting and Indexing
      • Bibliographic Information
      • Archive
    • Oncology Reports
      • Information for Authors
      • Editorial Policies
      • Editorial Board
      • Aims and Scope
      • Abstracting and Indexing
      • Bibliographic Information
      • Archive
    • World Academy of Sciences Journal
      • Information for Authors
      • Editorial Policies
      • Editorial Board
      • Aims and Scope
      • Abstracting and Indexing
      • Bibliographic Information
      • Archive
  • Articles
  • Information
    • For Authors
    • For Reviewers
    • For Librarians
    • For Advertisers
    • Conferences
  • Language Editing
Login Register Submit
  • This site uses cookies
  • You can change your cookie settings at any time by following the instructions in our Cookie Policy. To find out more, you may read our Privacy Policy.

    I agree
Search articles by DOI, keyword, author or affiliation
Search
Advanced Search
presentation
International Journal of Oncology
Join Editorial Board Propose a Special Issue
Print ISSN: 1019-6439 Online ISSN: 1791-2423
Journal Cover
September-2014 Volume 45 Issue 3

Full Size Image

Cover Legend PDF

Sign up for eToc alerts
Recommend to Library

Journals

International Journal of Molecular Medicine

International Journal of Molecular Medicine

International Journal of Molecular Medicine is an international journal devoted to molecular mechanisms of human disease.

International Journal of Oncology

International Journal of Oncology

International Journal of Oncology is an international journal devoted to oncology research and cancer treatment.

Molecular Medicine Reports

Molecular Medicine Reports

Covers molecular medicine topics such as pharmacology, pathology, genetics, neuroscience, infectious diseases, molecular cardiology, and molecular surgery.

Oncology Reports

Oncology Reports

Oncology Reports is an international journal devoted to fundamental and applied research in Oncology.

Experimental and Therapeutic Medicine

Experimental and Therapeutic Medicine

Experimental and Therapeutic Medicine is an international journal devoted to laboratory and clinical medicine.

Oncology Letters

Oncology Letters

Oncology Letters is an international journal devoted to Experimental and Clinical Oncology.

Biomedical Reports

Biomedical Reports

Explores a wide range of biological and medical fields, including pharmacology, genetics, microbiology, neuroscience, and molecular cardiology.

Molecular and Clinical Oncology

Molecular and Clinical Oncology

International journal addressing all aspects of oncology research, from tumorigenesis and oncogenes to chemotherapy and metastasis.

World Academy of Sciences Journal

World Academy of Sciences Journal

Multidisciplinary open-access journal spanning biochemistry, genetics, neuroscience, environmental health, and synthetic biology.

International Journal of Functional Nutrition

International Journal of Functional Nutrition

Open-access journal combining biochemistry, pharmacology, immunology, and genetics to advance health through functional nutrition.

International Journal of Epigenetics

International Journal of Epigenetics

Publishes open-access research on using epigenetics to advance understanding and treatment of human disease.

Medicine International

Medicine International

An International Open Access Journal Devoted to General Medicine.

Journal Cover
September-2014 Volume 45 Issue 3

Full Size Image

Cover Legend PDF

Sign up for eToc alerts
Recommend to Library

  • Article
  • Citations
    • Cite This Article
    • Download Citation
    • Create Citation Alert
    • Remove Citation Alert
    • Cited By
  • Similar Articles
    • Related Articles (in Spandidos Publications)
    • Similar Articles (Google Scholar)
    • Similar Articles (PubMed)
  • Download PDF
  • Download XML
  • View XML
Article

The hexane fraction of Naematoloma sublateritium extract suppresses the TNF-α-induced metastatic potential of MDA-MB-231 breast cancer cells through modulation of the JNK and p38 pathways

  • Authors:
    • Yu Ran Lee
    • Ki Mo Kim
    • Byeong Hwa Jeon
    • Sunga Choi
  • View Affiliations / Copyright

    Affiliations: Department of Physiology, School of Medicine, Chungnam National University, Daejeon 301747, Republic of Korea, Cancer Research Team, Korean Medicine Based Herbal Drug Research Group, Herbal Medicine Research Division, Korea Institute of Oriental Medicine (KIOM), Daejeon 305811, Republic of Korea
  • Pages: 1284-1292
    |
    Published online on: June 27, 2014
       https://doi.org/10.3892/ijo.2014.2526
  • Expand metrics +
Metrics: Total Views: 0 (Spandidos Publications: | PMC Statistics: )
Metrics: Total PDF Downloads: 0 (Spandidos Publications: | PMC Statistics: )
Cited By (CrossRef): 0 citations Loading Articles...

This article is mentioned in:



Abstract

Naematoloma sublateritium (Fr.) P. Karst is a basidiomycete that has been used as traditional medicine. N. sublateritium produces a triterpenoid antitumor compound, clavaric acid, but, in general, the effects of N. sublateritium constituents against tumor invasion and metastasis have been poorly studied. To investigate the inhibitory effect of N. sublateritium constituents on highly invasive and metastatic tumor cells, the TNF-α-stimulated human breast cancer cell line, MDA-MB‑231 was treated with the hexane fraction of an N. sublateritium extract (HFNS). Non-cytotoxic concentrations of HFNS markedly inhibited the invasion and migration of the MDA-MB‑231 cells in the Matrigel invasion assay and wound-healing analysis, respectively. Gelatin zymography showed that HFNS suppressed the activity of MMP-9, but not of MMP-2. Immunoblotting demonstrated that treatment with HFNS had decreased the level of MMP-9 and urokinase plasminogen activator-1 (uPA-1), but had upregulated expression of the endogenous inhibitor proteins, including TIMP-1,-2, and PAI-1, in a dose-dependent manner. Furthermore, HFNS suppressed the phosphorylation of p38 and JNK1/2, but not that of ERK1/2. This was confirmed by pretreatment of cells with specific inhibitors prior to stimulation with TNF-α. HFNS treatment also led to a dose-dependent inhibition of the DNA-binding activities of AP-1 and NFκB, which are downstream targets of JNK and p38. These data suggested that HFNS inhibits the metastatic potential of MDA-MB‑231 cells by inhibiting the phosphorylation of JNK/p38 and reducing AP-1 and NFκB DNA-binding activities. Therefore, HFNS may be a potential therapeutic agent against metastasis of breast cancer.

Introduction

Despite years of research and development of various therapies, cancer remains one of the major causes of mortality worldwide. Breast cancer is a leading cause of cancer-related deaths amongst women globally. Recently, the increasing incidence of breast cancer has slowed down, but this varies between countries, due to differences in reproductive and hormonal factors, and the availability of early diagnostic services (1). There has also been an increase in the breast cancer mortality rate, which is probably caused by improper treatment, the poor prognosis related to metastatic cancer, and recurrence of cancer after surgery (2,3). Metastatic breast cancer could spread beyond the original organ, to bone, liver, lung, and brain, causing secondary cancers; for example, breast cancer cells that metastasize is considered invasive breast cancer, not lung cancer.

Tumor metastasis proceeds by sequential and selective steps including cell adhesion, uncontrolled proliferation, formation of the malignant phenotype, detachment from the primary site, invasion into the connective tissue and circulation, and extravasation into the organ parenchyma (4,5). A crucial step during migration and invasion, which results in a secondary tumor at a distant site is the degradation of environmental barriers, such as the extracellular matrix and the basement membrane, by various proteolytic enzymes, called matrix metalloproteinases (MMPs). MMPs are a family of secretory membrane-anchored proteases and are directly activated by the serine protease plasmin, which is produced from plasminogen by the serine protease urokinase-type plasminogen activator-1 (uPA-1) (6). It has been found that MMP-2, -9 and uPA-1 are highly expressed in cancerous organs, including breast tissue, and, together, they are associated with invasiveness and progression of breast cancer (7–11). Tumor necrosis factor-α (TNF-α) also regulates tumor remodeling by stimulating cell motility and invasion, via induction of MMPs (8,12,13). The activities of MMPs and of proteolytic uPA-1 are modulated by tissue inhibitors of metalloproteinases (TIMPs) and plasminogen activator inhibitor (PAI), respectively; this protects the basement membrane against excessive degradation (14–16). Therefore, regulation of the expression of MMPs and TIMPs and/or regulation of uPA-1-mediated migration or invasion could be considered as a potential treatment for preventing or inhibiting cancer metastasis.

Exploration of novel therapeutic drugs for the treatment of advanced, recurrent, and metastatic breast cancer carries a high priority. Many studies have reported that natural products, dietary phytochemicals, such as sulforaphane and isothiocyanates from broccoli and watercress (17,18), tea catechins (19), genistein, apigenin (20), ganoderic acid from the Ganoderma lucidum mushroom (21), and Phellinus linteus (22,23) have a variety of anticancer, anti-invasive, and anti-metastatic activities. Naematolma (Syn. Hypoloma) spp. are basidiomycete that are known to produce an antitumor compound, clavaric acid (24–26). In our previous studies, we reported the high-performance liquid chromatography (HPLC) profiles and biological functions including, anti-oxidative, anti-inflammatory, and anticancer activities against various cancer cells of N. sublateritium extracts (27,28). Particularly, among fractions sequentially prepared from N. sublateritium ethanol extract, hexane fractions (HFNS) and the dichloromethane fraction of N. sublateritium exhibited the ability to inhibit cell proliferation and viability of triple-negative breast cancer cell line (TNBC), MDA-MB-231 (27).

These observation led us to consider whether the activity of HFNS also extend to modulation of metastatic potential. Thus, in the present study, we investigated the effects of HFNS on the motility and migration of MDA-MB-231 cells along with its ability to modulate the regulatory proteins MMP-2, MMP-9, uPA-1, TIMP, and PAI. Furthermore, the influence of HFNS on the MAPK signaling, which is related to MMPs activation (29) through regulation of the transcriptional factors nuclear factor-κB (NFκB) and activator protein-1 (AP-1), was also investigated. The results of our study indicate the significant potential of HFNS as a preventive agent against the occurrence or metastasis of TNBC.

Materials and methods

Materials

The human breast cancer cell line, MDA-MB-231 was obtained from the Korean Cell Line Bank (Seoul, Korea). RPMI-1640 medium, fetal bovine serum (FBS), and antibiotics were purchased from Gibco (Grand Island, NY, USA). Human TNF-α, 3-(4, 5-dimethylthiazol-2-yl)-2,5-diphenyltetrazolium bromide (MTT), dimethyl sulfoxide (DMSO) and anti β-actin antibody were purchased from Sigma (St. Louis, MO, USA). Antibodies against MMP-2, MMP-9, TIMP-1, TIMP-2, PAI-1, phospho-JNK1/2, phospho-ERK1/2, and phospho-p38 were obtained from Cell Signaling Technology (Beverly, MA, USA). Antibodies against uPA-1, JNK1/2, ERK, and p38 were purchased from Santa Cruz Biotechnology (Santa Cruz, CA, USA). Cultrex basement membrane extract (BME) cell invasion assay kit and gelatin precast gels were from Trevigen Inc. (Gathersburg, MD, USA) and Bio-Rad (Hercules, CA, USA), respectively.

Preparation of HFNS

The ethanolic extract of N. sublateritium was prepared as described (28). The extract was sequentially fractionated using the organic solvents, hexane, dichloromethane, n-butanol and ethyl acetate. The hexane fraction was concentrated, passed through a 0.2-μm filter and dried using a freeze-drier. Dried HFNS was reconstituted in vehicle for cell culture studies. The HPLC chromatogram of HFNS confirmed the non-polar characteristics of the extract at late retention times (27)

Proliferation and viability assay

Monolayer cultures of MDA-MB-231 cells were maintained in RPMI-1640 medium supplemented with 10% (v/v) FBS and antibiotics. Cells were maintained in an atmosphere of 95% air and 5% CO2 at 37°C. The effect of HFNS on cell proliferation and viability was determined by the MTT colorimetric method and propidium iodide (PI) staining, respectively (27). Cells were treated with DMSO (control) or HFNS for 24 or 48 h. Results are expressed as the ratio of the number of live cells with HFNS treatment relative to that observed after DMSO-treatment.

Wound-healing assay

Cells were plated in a 6-well plate and allowed to form a confluent monolayer for 24 h. Cells were then serum starved for 24 h and the monolayer in each cell was scratched with a pipette tip, and washed with serum-free medium to remove floating cells. Cells were then treated with TNF-α (20 ng/ml) in the presence of various concentrations of HFNS for 18 h. The cells were allowed to migrate across the scratch, and photographed at three randomly selected sites per well through an inverted microscope (x40 magnification).

Invasion assay

The invasion assay was performed using Cultrex® 96-well BME Cell invasion assay kit. Briefly, duplicate transwell chambers with 8-μm pore polycarbonate filters were coated with 50 μl of ice-cold 0.8X BME in coat buffer and incubated overnight at 37°C. To monitor cell migration, 1×105 cells were seeded on to BME-coated filter, which was then inserted into the upper chamber, containing serum-free media. The lower chamber was filled with 500 μl of medium containing TNF-α, as well as various concentrations of HFNS. The control well contained media only. After incubation for 24 h, the cells on the underside of the filter were quantified using Calcein-AM according to the assay kit manual. Cells that had migrated to the bottom of the membrane were visualized and counted using an inverted fluorescence microscope.

Gelatin zymography assay

The activities of MMP-2 and MMP-9 medium released from MDA-MB-231 cells into the medium were measured using a gelatin zymography protease assay. Cells were serum starved for 18 h and then treated with TNF-α or TNF-α combined with HFNS for the indicated time or concentration for 12 h. The cell culture medium was then collected and concentrated using Microcon YM-10 filters (Millipore, Billerica, MA, USA). The concentrated sample was subjected to electrophoresis on 7% polyacrylamide gels containing gelatin, in the absence of a reducing agent.

Immunoblotting

Cells were treated with different HFNS concentrations in the presence of TNF-α for the indicated time. The cell culture medium was collected and concentrated. Cell lysates were prepared by centrifugation at 12,000 × g for 20 min, as previously described (18). Proteins were resolved on SDS-PAGE and transferred onto a PVDF membrane. Immunoblotting was performed with antibodies specific for uPA-1 PAI-1, TIMP-1, TIMP-2, MMP-2 and MMP-9. Changes in total protein level and phospho-JNK1/2, phospho-ERK1/2, and phospho-p38 levels were also determined using specific antibodies. The immunoreactive bands were visualized using enhanced chemiluminescence. The band intensity was quantified using a densitometer followed by normalization to the density of β-actin.

Semi-quantitative reverse transcription-PCR

MDA-MB-231 cells were treated with TNF-α or TNF-α plus HFNS of the indicated concentration and for the indicated time, and then total RNA was extracted using the BCP Phase Separation Reagent (MRC Inc., Cincinnati, OH, USA). The RNA was converted to cDNA using a reverse transcription-PCR kit containing oligo(dT) primers (Intron Biotech., Seoul, Korea) according to the manufacturer’s protocol (28). The primers and PCR conditions are listed in Table I. PCR products were electrophoresed on 1% agarose gels and visualized under ultraviolet light after ethidium bromide staining.

Table I

PCR primers.

Table I

PCR primers.

Target genesPrimer sequencesSize (bp)Annealing temperature (°C)Cycle
PAI-1Sense 5′-TGCTGGTGAATGCCCTCTACT-3′3995828
Antisense 5′-TAGAGAACCTGGGAATGACCG-3′
uPA-1Sense 5′-CACGCAAGGGGAGATGAA-3′3415828
Antisense 5′-AAGTCACCACCAAAATGCTGT-3′
TIMP-1Sense 5′-CTTCCACAGGTCCCACAACC-3′3046030
Antisense 5′-GCCTCGGGAGCCAGGGCTG-3′
TIMP-2Sense 5′-GATGCACATCACCCTCTGTGA-3′1965230
Antisense 5′-AGAACATCAACGGGCAC-3′
MMP-9Sense 5′-GCACGACGTCTTCCAGTACC-3′1305828
Antisense 5′-ACCTATGACATCCTGCAGTGC-3′
β-actinSense 5′-AGCAGAGAATGGAAAGTCAAA49055a
Antisense 5′-ATGCTGCTTACATGTCTCGAT-3′

a The cycle of β-actin as an internal control was adjusted to that of each target gene.

Electrophoretic mobility shift assay for AP-1 and NFκB

Cells were treated with the different HFNS concentrations in the presence of TNF-α. Nuclear extracts of the cells were prepared and the proteins were subjected to electrophoretic mobility shift assays (EMSA) as previously described (28). Briefly, 2 μg of nuclear extract was combined with 0.25 mg/ml poly(dI)-poly(dC)-non-specific competitor in Gel Shift binding buffer (20% glycerol, 5 mM MgCl2, 2.5 mM EDTA, 2.5 mM DTT, 250 mM NaCl, and 50 mM Tris-HCl); to this was added IRDye 700-labeled AP-1 or NFκB oligonucleotide (LI-COR Inc., Lincoln, NE, USA). After incubation at room temperature for 30 min, the protein-DNA complexes were separated from the free probe on a pre-run 8% polyacrylamide gel. The signal was then detected and quantified using the Odyssey Infrared Imaging System (LI-COR Inc.).

Statistical analysis

Differences in the measured variables between the control and HFNS-treated groups were determined using a one-way analysis of variance (ANOVA) followed by Dunnett’s or Bonferroni’s test for multiple comparisons. P-values of <0.05 were considered significant.

Results

Effect of HFNS on the viability and proliferation of TNF-α-stimulated MDA-MB-231 cells

In a previous study, we observed that HFNS significantly inhibited growth of various human cancer cell lines (27). The HFNS concentration required for 50% inhibition of viability and proliferation of MDA-MB-231 cells was 200 μg/ml for a 24 h treatment. To verify the effects of HFNS, MDA-MB-231 cells were exposed to different concentrations of HFNS and were then stimulated with TNF-α for 24 or 48 h. As shown in Fig. 1, the viability of MDA-MB-231 cells was not affected by up to 100 μg/ml HFNS treatment, indicating that these were non-cytotoxic concentrations of HFNS in the presence of TNF-α. A significant decrease in cell viability was observed after a 24 h exposure of 200 μg/ml HFNS: cell viability was reduced by ~39.7% relative to that of cells treated with TNF-α only (Fig. 1A). The MTT assay indicated that proliferation of MDA-MB-231 cells was markedly inhibited by HFNS treatment, even at 50 μg/ml for 24 h, confirming the anti-proliferating activity of HFNS on MDA-MB-231 cells (Fig. 1B). These results suggested that the change in cell viability observed at 100 μg/ml HFNS can be attributed mainly to the inhibition of proliferation. Moreover, HFNS could regulate the metastatic properties of MDA-MB-231 cells without causing significant cell death.

Figure 1

Effect of HFNS on the viability and proliferation of MDA-MB-231 cells. (A) The MDA-MB-231 human breast cancer cell line was treated with increasing concentrations of HFNS for 24 or 48 h. The effects of HFNS at the indicated concentrations on the viability of MDA-MB-231 cells was determined by propidium iodide (PI) staining and was compared with those on the viability of TNF-α-stimulated controls. (B) Cell proliferation was analyzed using an MTT assay. Data are presented as means ± SEM (n=3). *P<0.05, significantly different compared with control, by one-way ANOVA followed by Dunnett’s test. Similar results were observed in replicate experiments.

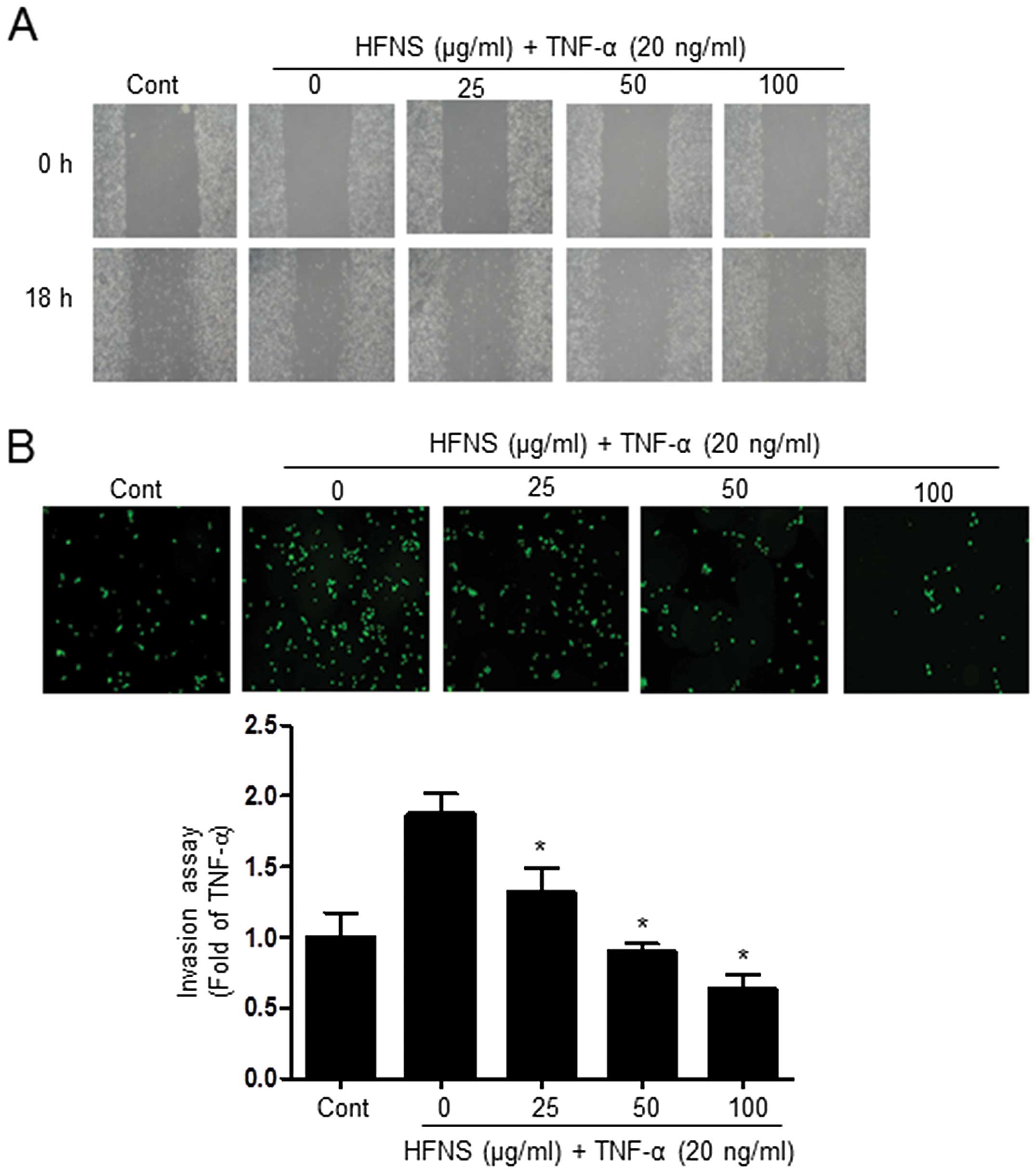
HFNS inhibits migration and invasion of TNF-α-stimulated MDA-MB-231 cells

Next, we investigated the effects of HFNS on TNF-α-stimulated MDA-MB-231 cells, considering the highly invasive nature of TNBC. We investigated whether HFNS could inhibit the migration and invasive potential of TNF-α-stimulated MDA-MB-231 cells, using a wound-healing repair assay and an in vitro transwell assay, respectively. After cell monolayers were wounded in the repair assay, TNF-α-treated cells migrated to the cleared area, but treatment with HFNS dose-dependently inhibited TNF-α-stimulated migration of MDA-MB-231 cells (Fig. 2A). Moreover, the invasive activity of MDA-MB-231 cells was significantly regulated by HFNS treatment in a dose-dependent manner. As shown in Fig. 2B, in the transwell chamber assay, HFNS induced a decrease in the fluorescence of MDA-MB-231 invasive cells in the lower chamber, reached through a Matrigel-coated membrane. More specifically, the fluorescent intensity was reduced by 51.4% relative to that seen with TNF-α-treated control cells following a 24 h exposure to 50 μg/ml of HFNS. These results indicated that HFNS has an inhibitory effect on the migration and invasiveness of TNF-α-stimulated MDA-MB-231 cells.

Figure 2

The inhibitory effects of HFNS on migration and invasion of TNF-α-stimulated MDA-MB-231 cells. (A) Confluent monolayers of cells were scratched with a pipette tip and were then treated with either TNF-α (20 ng/ml) alone, or TNF-α plus HFNS at the indicated concentrations. Cell migration into the wound was observed using a phase contrast microscope (x100 magnification) at 0 and 18 h. (B) MDA-MB-231 cells were plated on a Matrigel membrane (8-μm), and the insert was placed into a well containing TNF-α along with various concentrations of HFNS for 18 h. The cells invading the membrane were photographed by fluorescent microscopy (x400 magnification). Quantification of the number of invading cells was obtained from three separate experiments. Data are expressed as the ratio to HFNS-treated cells. Columns, mean; bars, SE. *P<0.05, significant difference from HFNS-treated cells (n ≥3).

Inhibition of MMP activity by HFNS

Because MMPs have emerged as critical regulators of metastasis, by their role in degrading the basement membrane, we investigated the effect of HFNS treatment on the activity of secreted MMP-9 and MMP-2 in TNF-α-stimulated MDA-MB-231 cells. The effect of HFNS on the gelatinase activity of MMP-2 and MMP-9 was analyzed using zymogram gels containing gelatin, the preferred substrate. The activity of MMPs present in the cell culture supernatant was identified by digestion of the substrate at a molecular weight corresponding to that attribute to specific MMPs (MMP-9: 92 kDa), which is seen as a clear band.

As can be seen in Fig. 3, in conditioned medium from cells treated with only TNF-α, the intensity of the MMP-9 band was decreased in a dose- and time-dependent manner. Treatment of cells with 100 μg/ml HFNS resulted in a rapid decrease in the intensity of this band (~34.2% decrease, compared to the levels of the TNF-α-treated control cells) within 2 h, indicating inhibition of MMP-9 activity. In contrast, no detectable amount of MMP-2 activity was seen with either TNF-α or HFNS treatment (Fig. 3B). This suggests that the inhibitory activity of HFNS on the migration and invasion of MDA-MB-231 cells may be due mainly to inhibition of MMP-9 activity.

Figure 3

Modulation of metastatic proteins in TNF-α-stimulated MDA-MB-231 cells. (A,B) Inhibition of MMP-9 or MMP-2 activity in conditioned medium from MDA-MB-231 cells treated with HFNS at the indicated concentration and for the indicated time was evaluated using gelatin zymography. Bands were visualized on a Bio-Rad imaging system. Equal amounts of sample were electrophoresed, run on 7% acrylamide gels and gels were then stained with Coomassie Blue as loading control. Representative data from a single experiment is shown. Fold-changes in HFNS inhibited-MMP activity relative to TNF-α-only-treated controls are shown for each point in a bar graph. *Significantly different (P<0.05) compared with TNF-α-only-treated control by one-way ANOVA followed by Dunnett’s test. Similar results were observed in two independent experiments.

Regulation of MMP-9, TIMP-2, uPA-1, and PAI-1 expression by HFNS treatment

Because HFNS treatment resulted in inhibition of MMP-9 activity, we also evaluated the secretion of MMP-9, MMP-2, uPA-1, and the MMP inhibitors, viz., TIMP-1, TIMP-2, and PAI-1 in MDA-MB-231 cells. In immunoblot analysis, the levels of MMP-9 and uPA-1 were significantly decreased by HFNS treatment, in accordance with the decreased MMP-9 activity. There were no noticeable changes in MMP-2 levels in TNF-α- or HFNS-treated MDA-MB-231 cells (data not shown).

The level of MMPs and uPA-1 are inversely related to the levels of TIMPs and PAIs, respectively. Interestingly, the treatment with HFNS induced a modest increase in levels of TIMP-2 and PAI-1 in a dose-dependent manner, although the change in the level of TIMP-2 was not statistically significant. However, upregulated TIMP2 and PAI-1 at transcript level was also observed by semi-quantitative RT-PCR analysis after treatment of cells with HFNS (Fig. 4B).

Figure 4

Effects of HFNS on expression of TNF-α-induced metastatic molecules. (A) Immunoblotting for metastatic regulatory proteins, MMP-9, uPA-1, TIMP-2 and PAI-1 using concentrated culture supernatant from TNF-α-stimulated MDA-MB-231 cells that had been treated with HFNS at the indicated concentrations for 18 h. Equal protein loading sample was confirmed by Ponceau S staining of the membrane prior to immunoblotting. (B) Effects of HFNS on the metastatic molecule transcript levels, as determined by semi-quantitative RT-PCR. RT-PCR for β-actin was performed in parallel, displaying an equal amount of total RNA in the sample. Relative expression fold-changes were calculated based on densitometric scanning data of each band, and are shown on top of the bands.

Inhibition of MAPK signaling pathways by HFNS treatment

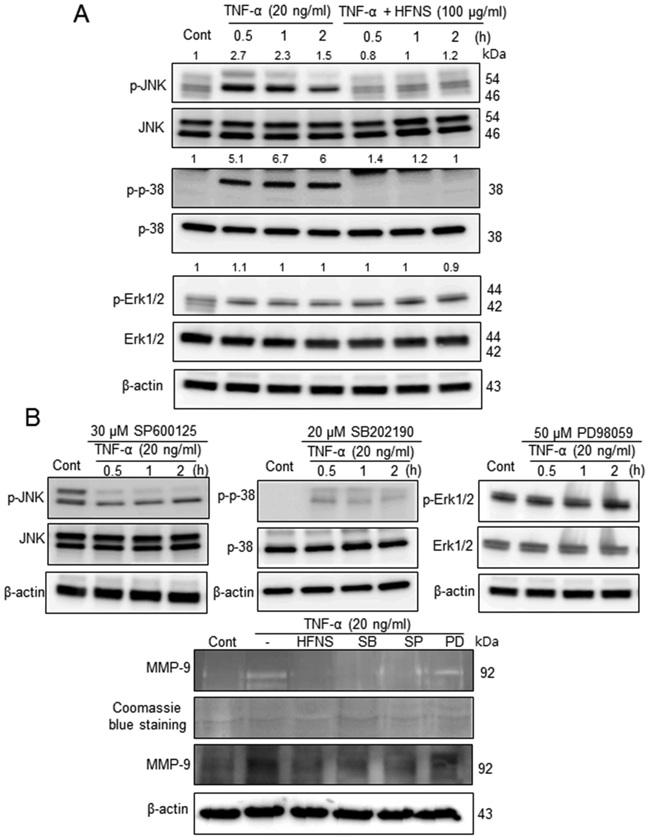
Previous reports have demonstrated that natural product-derived agents could regulate metastasis through suppression of MAPKs (13,29,30). To gain insights into the mechanism underlying the anti-metastatic effects of HFNS in MDA-MB-231 cells, we investigated the MAPK signaling pathways, and determined the effects of HFNS on JNK, p38-MAPK, and ERK1/2 activation. In response to TNF-α stimulation, JNK and p38 proteins were phosphorylated within 30 min and the levels reached ~2.7- and 5.1-fold those in the control cells, respectively (Fig. 5A). The activation of p38 MAPK was prolonged for >2 h after exposure to TNF-α-simulated MDA-MB-231 cells (Fig. 5A), although JNK activation declined gradually. However, cells exposed to 100 μg/ml HFNS exhibited a rapid and complete inactivation of JNK and p38, which was not induced by changes in their total protein level (Fig. 5A). In contrast, phosphorylation of ERK was not affected by HFNS treatment or by the ERK inhibitor PD98059 (Fig. 5). These results indicated that HFNS-mediated supression of MAPKs was selective for the regulation of metastatic MDA-MB-231 cells.

Figure 5

The inhibitory effects of HFNS on TNF-α-stimulated MAP kinases that regulate MMP-9. Immunoblotting of phospho-JNK1/2 (P-JNK1/2), phospho-p38 (P-p38), and phospho-ERK1/2 (P-ERK1/2) in MDA-MB-231 cells. (A) Cells were pre-incubated with 100 μg/ml HFNS for the indicated time and were then stimulated with TNF-α. (B) Cells were pretreated with SP600125 (30 μM, JNK1/2 inhibitor), SB202190 (20 μM, p38 MAPK inhibitor), or PD98059 (50 μM, MEK1-ERK1/2 inhibitor) for 2 h and were then stimulated with TNF-α for the indicated time. Each blot was stripped and reprobed with anti-JNK1/2, p-38, or ERK1/2 antibody to correct for differences in protein levels. Medium conditioned by, and lysates of MDA-MB-231 cells that had been treated with HFNS or the above inhibitors were evaluated by gelatin zymography and immunoblot for MMP-9, respectively. Densitometric scanning data after correction for actin loading control are shown on top of the bands. Immunoblotting of each protein was done at least twice using independently prepared lysates and the results were similar. Representative data from a single experiment are shown.

Furthermore, we confirmed the functional significance of MAPK downregulation using pharmacologic inhibitors of JNK1/2 (SP600125), p38 MAPK (SB202190), and ERK1/2 (PD98059). The activation of MAPKs in response to TNF-α was attenuated by pretreatment of cells with SP600125 or SB202190, but not PD98059, indicating inactivation of JNK1/2 or p38, but not ERK1/2, respectively. The pharmacological inactivation of MAPK also caused downregulated expression and enzymatic inactivation of MMP-9 as shown in Fig. 5B. The results were comparable to those of HFNS-treated MDA-MB-231 cells. Collectively, these results pointed toward an important regulatory role for JNK1/2 and p38 MAPK anti-metastatic effect of HFNS on MDA-MB-231 human breast cancer cells.

HFNS inhibits AP-1 and NFκB DNA binding activities

The expression of MMP-encoding genes is regulated by the transcription factors AP-1 or NFκB (3,11,21,29), which are upregulated by TNF-α in a variety of cancer cell lines, including breast cancer cells (28,31,32). To confirm whether the repressive effect of HFNS on TNF-α-induced MMP-9 or uPA-1 expression is mediated via AP-1 or NFκB motifs, TNF-α-stimulated MDA-MB-231 cells were dose-dependently treated with HFNS for 18 h. The DNA-binding activity of these transcription factors was then determined using nuclear extracts and EMSA, TNF-α treatment caused an increase in AP-1 and NFκB binding activity (Fig. 6A). The activity of NFκB was markedly inhibited at treatment of cells with 100 μg/ml HFNS; more specifically, the initial TNF-α-induced activation was followed by 25.4% inhibition (Fig. 6B). The binding activity of AP-1 was sustained at first and then declined to 27.1% of that in the TNF-α-treated control after treatment with 200 μg/ml HFNS (Fig. 6B). Based on these results, it is plausible that HFNS treatment inhibits the binding of transcription factors to their DNA response element in response to TNF-α signaling, leading to downregulation of MMP-9 expression.

Figure 6

The inhibitory effects of HFNS on AP-1 and NFκB DNA-binding in TNF-α-stimulated MDA-MB-231 cells. (A) DNA-binding activity of AP-1 or NFκB in TNF-α-stimulated cells that had been treated with HFNS at the indicated concentration was determined by an electrophoretic mobility shift assay (EMSA). Nuclear extracts were incubated with IRDye-700-labeled NF-κ oligonucleotide. Representative EMSA data are shown. (B) Relative band intensity was calculated based on densitometric scanning data of each band and is shown as a bar graph. *Significantly different (P<0.05) compared with only TNF-α-treated controls, by one-way ANOVA followed by Dunnett’s test. Similar results were observed in two independent experiments.

Discussion

Regulation of metastasis in breast cancer has been a major goal for successful treatment because most breast cancer-related deaths are due to advanced disease and progressive metastasis. The present study first revealed that HFNS prevents invasive potential of the TNF-α activated human MDA-MB-231 breast cancer cells; regulation of invasion is important to prevent tumor reoccurrence. HFNS treatment significantly induced inhibition of cell proliferation and migration of MDA-MB-231 cells. This correlated with a decrease in protein levels of MMP-9, and uPA-1, leading to inhibition of these protease activities; concurrently, levels of TIMP-2, and PAI-1, which are involved in the MAPK signaling pathway were upregulated. In addition, we demonstrated that HFNS suppressed TNF-α-mediated MMP-9 activation by decreasing AP-1 or NFκB DNA-binding activity.

As described in previous invasive model studies using breast cancer cells, the protective activities of natural products against metastasis were proposed to be related to regulation of MMPs and TIMPs, and indicated a correlation between MMP expression levels and aggressiveness of tumor cell growth and metastatic potential of such cells (3,9,11,14,33). Therefore, inhibition of invasion mediated by MMPs and uPA-1 could be an important strategy in the prevention of cancer metastasis. Among MMPs, MMP-9 and MMP-2 are considered to play critical roles in tumor invasion and metastasis (34). Our present study findings also demonstrated that HFNS decreased the activity or protein levels of MMP-9 in a dose- and time-dependent manner. In contrast, the treatment with HFNS had no effect on MMP-2 expression and activity in TNF-α-stimulated MDA-MB-231 cells. This may be due to tighter regulation of MMP-2; in contrast, other zymogen MMPs are cleaved and activated, and show the ability to activate themselves or other members of this family. MMP-2 is the most commonly expressed MMP in normal tissues (34). Furthermore, differences between tissues and cell types can account for variation of activated MMPs, at least in part, although the expression and secretion of MMPs is controlled in a similar manner in the MAPKs signaling pathways (35). For example, our previous results showed that HFNS exhibited anticancer effect against MDA-MB 231 cells, while having no significant effect on other cancer cell lines, viz., HeLa (cervical carcinoma), HT29 (colonic adenocarcinoma), and breast MCF-7 (breast adenocarcinoma) (27).

Additionally, a number of dietary phytochemicals including extracts or single compounds derived from natural products have been found to target regulatory proteins, including NFκB, AP-1, and MAPKs. Some studies have reported that the cis-acting elements of human MMP-9 include NFκB, SP-1 and AP-1 elements (13,21,29); thus, exposure to phytochemicals may cause DNA binding activities of NFκB, or AP-1, which can then regulate MMP-9 expression (35). Interestingly, our present results showed that the binding activity of both AP-1 and NFκB was increased in TNF-α-stimulated human breast cancer MDA-MB-231 cells. HFNS treatment significantly suppressed the TNF-α-induced increase in the binding activity of both AP-1 and NFκB, confirming transcriptional regulation of MMP-9 via motifs corresponding to NFκB or AP-1 binding sites. We also demonstrated that HFNS treatment inhibited phosphorylation of p38, and JNK1/2 and that this resulted in a concurrent reduction in the levels of MMPs and uPA-1, indicating a possible mechanism of inhibition of MMPs or uPA-1 synthesis by HFNS. These results present the first systematic investigation of the molecular mechanism underlying the anti-metastatic effects of HFNS. These observations confirm and expand the reported anticancer action of N. sublateritium.

Functional compounds identified in N. sublateritium are predominantly polysaccharides, triterpenoids, steroids and lipid molecules such as ceramide (24,25,36). HFNS contains non-polar compounds (27), including tripenoid, clavaric acid, with antitumor activity, which has been shown to significantly inhibit the metastatic ability of MDA-MB-231 cells, which represent TNBC. For effective targeted therapy against TNBC, it has been suggested that chemotherapy be used as first-line therapy (37). Because therapeutic options in both early and late stage breast cancer are significantly affected by the expression of the estrogen receptor, progesterone receptor, and HER-2/Neu. Given the lack of established molecular targets and the adverse clinical outcome typical in patients with TNBC, there is a clear need for continued development of therapies using chemotherapeutic agents derived from natural products.

In conclusion, HFNS treatment inhibits metastatic steps including migration and invasion in TNF-α-stimulated MDA-MB-231 cells. This is achieved by regulation of the activities of migration and invasion-associated proteinases and their inhibitors. The anti-metastatic effect of HFNS is mediated by suppression of MAPKs signaling pathways and NFκB/AP-1 DNA-binding activities. Taken together, our results indicated that HFNS may be a potential therapeutic approach to the treatment of TNBC.

Acknowledgements

This study was supported by the National Research Foundation of Korea (NRF) grant funded by the Ministry of Science, ICT and Future Planning (2012R1A1A3015385, 2007-0054932), Korea. This study was also supported by ‘Forest Science & Technology Projects (no. S120911L110000)’ Korea Forest Service (KFS).

References

1 

Jemal A, Bray F, Center MM, Ferlay J, Ward E and Forman D: Global cancer statistics. CA Cancer J Clin. 61:69–90. 2011. View Article : Google Scholar

2 

Kreusel KM, Bechrakis NE, Wiegel T, Krause L and Foerster MH: Incidence and clinical characteristics of symptomatic choroidal metastasis from lung cancer. Acta Ophthalmol. 86:515–519. 2008. View Article : Google Scholar : PubMed/NCBI

3 

Yang HL, Kuo YH, Tsai CT, et al: Anti-metastatic activities of Antrodia camphorata against human breast cancer cells mediated through suppression of the MAPK signaling pathway. Food Chem Toxicol. 49:290–298. 2011. View Article : Google Scholar

4 

Fidler IJ: Orthotopic implantation of human colon carcinomas into nude mice provides a valuable model for the biology and therapy of metastasis. Cancer Metastasis Rev. 10:229–243. 1991. View Article : Google Scholar : PubMed/NCBI

5 

Yilmaz M, Christofori G and Lehembre F: Distinct mechanisms of tumor invasion and metastasis. Trends Mol Med. 13:535–541. 2007. View Article : Google Scholar : PubMed/NCBI

6 

Sliva D, English D, Lyons D and Lloyd FP Jr: Protein kinase C induces motility of breast cancers by upregulating secretion of urokinase-type plasminogen activator through activation of AP-1 and NF-kappaB. Biochem Biophys Res Commun. 290:552–557. 2002. View Article : Google Scholar

7 

Zheng H, Takahashi H, Murai Y, et al: Expressions of MMP-2, MMP-9 and VEGF are closely linked to growth, invasion, metastasis and angiogenesis of gastric carcinoma. Anticancer Res. 26:3579–3583. 2006.PubMed/NCBI

8 

Westermarck J and Kahari VM: Regulation of matrix metalloproteinase expression in tumor invasion. FASEB J. 13:781–792. 1999.PubMed/NCBI

9 

Quaranta M, Daniele A, Coviello M, et al: MMP-2, MMP-9, VEGF and CA 15.3 in breast cancer. Anticancer Res. 27:3593–3600. 2007.

10 

Folgueras AR, Pendas AM, Sanchez LM and Lopez-Otin C: Matrix metalloproteinases in cancer: from new functions to improved inhibition strategies. Int J Dev Biol. 48:411–424. 2004. View Article : Google Scholar : PubMed/NCBI

11 

Look M, van Putten W, Duffy M, et al: Pooled analysis of prognostic impact of uPA and PAI-1 in breast cancer patients. Thromb Haemost. 90:538–548. 2003.PubMed/NCBI

12 

Rosen EM, Goldberg ID, Liu D, et al: Tumor necrosis factor stimulates epithelial tumor cell motility. Cancer Res. 51:5315–5321. 1991.PubMed/NCBI

13 

Hagemann T, Wilson J, Kulbe H, et al: Macrophages induce invasiveness of epithelial cancer cells via NF-kappa B and JNK. J Immunol. 175:1197–1205. 2005. View Article : Google Scholar : PubMed/NCBI

14 

Chazaud B, Ricoux R, Christov C, Plonquet A, Gherardi RK and Barlovatz-Meimon G: Promigratory effect of plasminogen activator inhibitor-1 on invasive breast cancer cell populations. Am J Pathol. 160:237–246. 2002. View Article : Google Scholar : PubMed/NCBI

15 

Stetler-Stevenson WG: Tissue inhibitors of metalloproteinases in cell signaling: metalloproteinase-independent biological activities. Sci Signal. 1:re62008. View Article : Google Scholar

16 

Lijnen HR: Pleiotropic functions of plasminogen activator inhibitor-1. J Thromb Haemost. 3:35–45. 2005. View Article : Google Scholar : PubMed/NCBI

17 

Rose P, Huang Q, Ong CN and Whiteman M: Broccoli and watercress suppress matrix metalloproteinase-9 activity and invasiveness of human MDA-MB-231 breast cancer cells. Toxicol Appl Pharmacol. 209:105–113. 2005. View Article : Google Scholar : PubMed/NCBI

18 

Choi S and Singh SV: Bax and Bak are required for apoptosis induction by sulforaphane, a cruciferous vegetable-derived cancer chemopreventive agent. Cancer Res. 65:2035–2043. 2005. View Article : Google Scholar : PubMed/NCBI

19 

Ho YC, Yang SF, Peng CY, Chou MY and Chang YC: Epigallocatechin-3-gallate inhibits the invasion of human oral cancer cells and decreases the productions of matrix metalloproteinases and urokinase-plasminogen activator. J Oral Pathol Med. 36:588–593. 2007. View Article : Google Scholar : PubMed/NCBI

20 

Seo HS, DeNardo DG, Jacquot Y, et al: Stimulatory effect of genistein and apigenin on the growth of breast cancer cells correlates with their ability to activate ER alpha. Breast Cancer Res Treat. 99:121–134. 2006. View Article : Google Scholar : PubMed/NCBI

21 

Jiang J, Grieb B, Thyagarajan A and Sliva D: Ganoderic acids suppress growth and invasive behavior of breast cancer cells by modulating AP-1 and NF-kappaB signaling. Int J Mol Med. 21:577–584. 2008.PubMed/NCBI

22 

Sliva D, Jedinak A, Kawasaki J, Harvey K and Slivova V: Phellinus linteus suppresses growth, angiogenesis and invasive behaviour of breast cancer cells through the inhibition of AKT signalling. Br J Cancer. 98:1348–1356. 2008. View Article : Google Scholar

23 

Kim HG, Yoon DH, Lee WH, et al: Phellinus linteus inhibits inflammatory mediators by suppressing redox-based NF-kappaB and MAPKs activation in lipopolysaccharide-induced RAW 264.7 macrophage. J Ethnopharmacol. 114:307–315. 2007. View Article : Google Scholar

24 

Godio RP, Fouces R, Gudina EJ and Martin JF: Agrobacterium tumefaciens-mediated transformation of the antitumor clavaric acid-producing basidiomycete Hypholoma sublateritium. Curr Genet. 46:287–294. 2004. View Article : Google Scholar

25 

Godio RP, Fouces R and Martin JF: A squalene epoxidase is involved in biosynthesis of both the antitumor compound clavaric acid and sterols in the basidiomycete H. sublateritium. Chem Biol. 14:1334–1346. 2007. View Article : Google Scholar : PubMed/NCBI

26 

Godio RP and Martin JF: Modified oxidosqualene cyclases in the formation of bioactive secondary metabolites: biosynthesis of the antitumor clavaric acid. Fungal Genet Biol. 46:232–242. 2009. View Article : Google Scholar : PubMed/NCBI

27 

Choi S, Jang HJ, Choi JY, Kim MS, Lee YR, Kim HS, Choi SW, Jeon BH, Won SI, Kim TW and Choi JW: Antioxidant and anticancer activity of fractions of the ethanol extract of Naematoloma sublateritium. J Med Plants Res. 6:92012.

28 

Lee YR, Kim KM, Jeon BH, Choi JW and Choi S: The n-butanol fraction of Naematoloma sublateritium suppresses the inflammatory response through downregulation of NF-kappaB in human endothelial cells. Int J Mol Med. 29:801–808. 2012.

29 

Kajanne R, Miettinen P, Mehlem A, et al: EGF-R regulates MMP function in fibroblasts through MAPK and AP-1 pathways. J Cel Physiol. 212:489–497. 2007. View Article : Google Scholar : PubMed/NCBI

30 

Cohen M, Meisser A, Haenggeli L and Bischof P: Involvement of MAPK pathway in TNF-alpha-induced MMP-9 expression in human trophoblastic cells. Mol Hum Reprod. 12:225–232. 2006. View Article : Google Scholar : PubMed/NCBI

31 

Leber TM and Balkwill FR: Regulation of monocyte MMP-9 production by TNF-alpha and a tumour-derived soluble factor (MMPSF). Br J Cancer. 78:724–732. 1998. View Article : Google Scholar : PubMed/NCBI

32 

Stuelten CH, DaCosta Byfield S, Arany PR, Karpova TS, Stetler-Stevenson WG and Roberts AB: Breast cancer cells induce stromal fibroblasts to express MMP-9 via secretion of TNF-alpha and TGF-beta. J Cell Sci. 118:2143–2153. 2005. View Article : Google Scholar : PubMed/NCBI

33 

Bachmeier BE, Nerlich AG, Lichtinghagen R and Sommerhoff CP: Matrix metalloproteinases (MMPs) in breast cancer cell lines of different tumorigenicity. Anticancer Res. 21:3821–3828. 2001.PubMed/NCBI

34 

John A and Tuszynski G: The role of matrix metalloproteinases in tumor angiogenesis and tumor metastasis. Pathol Oncol Res. 7:14–23. 2001. View Article : Google Scholar : PubMed/NCBI

35 

Lee EJ, Kim WJ and Moon SK: Cordycepin suppresses TNF-alpha-induced invasion, migration and matrix metalloproteinase-9 expression in human bladder cancer cells. Phytother Res. 24:1755–1761. 2010. View Article : Google Scholar : PubMed/NCBI

36 

Yaoita Y, Matsuki K, Iijima T, et al: New sterols and triterpenoids from four edible mushrooms. Chem Pharm Bull. 49:589–594. 2001. View Article : Google Scholar : PubMed/NCBI

37 

Chavez KJ, Garimella SV and Lipkowitz S: Triple negative breast cancer cell lines: one tool in the search for better treatment of triple negative breast cancer. Breast Dis. 32:35–48. 2010.PubMed/NCBI

Related Articles

  • Abstract
  • View
  • Download
  • Twitter
Copy and paste a formatted citation
Spandidos Publications style
Lee YR, Kim KM, Jeon BH and Choi S: The hexane fraction of Naematoloma sublateritium extract suppresses the TNF-α-induced metastatic potential of MDA-MB-231 breast cancer cells through modulation of the JNK and p38 pathways. Int J Oncol 45: 1284-1292, 2014.
APA
Lee, Y.R., Kim, K.M., Jeon, B.H., & Choi, S. (2014). The hexane fraction of Naematoloma sublateritium extract suppresses the TNF-α-induced metastatic potential of MDA-MB-231 breast cancer cells through modulation of the JNK and p38 pathways. International Journal of Oncology, 45, 1284-1292. https://doi.org/10.3892/ijo.2014.2526
MLA
Lee, Y. R., Kim, K. M., Jeon, B. H., Choi, S."The hexane fraction of Naematoloma sublateritium extract suppresses the TNF-α-induced metastatic potential of MDA-MB-231 breast cancer cells through modulation of the JNK and p38 pathways". International Journal of Oncology 45.3 (2014): 1284-1292.
Chicago
Lee, Y. R., Kim, K. M., Jeon, B. H., Choi, S."The hexane fraction of Naematoloma sublateritium extract suppresses the TNF-α-induced metastatic potential of MDA-MB-231 breast cancer cells through modulation of the JNK and p38 pathways". International Journal of Oncology 45, no. 3 (2014): 1284-1292. https://doi.org/10.3892/ijo.2014.2526
Copy and paste a formatted citation
x
Spandidos Publications style
Lee YR, Kim KM, Jeon BH and Choi S: The hexane fraction of Naematoloma sublateritium extract suppresses the TNF-α-induced metastatic potential of MDA-MB-231 breast cancer cells through modulation of the JNK and p38 pathways. Int J Oncol 45: 1284-1292, 2014.
APA
Lee, Y.R., Kim, K.M., Jeon, B.H., & Choi, S. (2014). The hexane fraction of Naematoloma sublateritium extract suppresses the TNF-α-induced metastatic potential of MDA-MB-231 breast cancer cells through modulation of the JNK and p38 pathways. International Journal of Oncology, 45, 1284-1292. https://doi.org/10.3892/ijo.2014.2526
MLA
Lee, Y. R., Kim, K. M., Jeon, B. H., Choi, S."The hexane fraction of Naematoloma sublateritium extract suppresses the TNF-α-induced metastatic potential of MDA-MB-231 breast cancer cells through modulation of the JNK and p38 pathways". International Journal of Oncology 45.3 (2014): 1284-1292.
Chicago
Lee, Y. R., Kim, K. M., Jeon, B. H., Choi, S."The hexane fraction of Naematoloma sublateritium extract suppresses the TNF-α-induced metastatic potential of MDA-MB-231 breast cancer cells through modulation of the JNK and p38 pathways". International Journal of Oncology 45, no. 3 (2014): 1284-1292. https://doi.org/10.3892/ijo.2014.2526
Follow us
  • Twitter
  • LinkedIn
  • Facebook
About
  • Spandidos Publications
  • Careers
  • Cookie Policy
  • Privacy Policy
How can we help?
  • Help
  • Live Chat
  • Contact
  • Email to our Support Team