Spandidos Publications Logo
  • About
    • About Spandidos
    • Aims and Scopes
    • Abstracting and Indexing
    • Editorial Policies
    • Reprints and Permissions
    • Job Opportunities
    • Terms and Conditions
    • Contact
  • Journals
    • All Journals
    • Oncology Letters
      • Oncology Letters
      • Information for Authors
      • Editorial Policies
      • Editorial Board
      • Aims and Scope
      • Abstracting and Indexing
      • Bibliographic Information
      • Archive
    • International Journal of Oncology
      • International Journal of Oncology
      • Information for Authors
      • Editorial Policies
      • Editorial Board
      • Aims and Scope
      • Abstracting and Indexing
      • Bibliographic Information
      • Archive
    • Molecular and Clinical Oncology
      • Molecular and Clinical Oncology
      • Information for Authors
      • Editorial Policies
      • Editorial Board
      • Aims and Scope
      • Abstracting and Indexing
      • Bibliographic Information
      • Archive
    • Experimental and Therapeutic Medicine
      • Experimental and Therapeutic Medicine
      • Information for Authors
      • Editorial Policies
      • Editorial Board
      • Aims and Scope
      • Abstracting and Indexing
      • Bibliographic Information
      • Archive
    • International Journal of Molecular Medicine
      • International Journal of Molecular Medicine
      • Information for Authors
      • Editorial Policies
      • Editorial Board
      • Aims and Scope
      • Abstracting and Indexing
      • Bibliographic Information
      • Archive
    • Biomedical Reports
      • Biomedical Reports
      • Information for Authors
      • Editorial Policies
      • Editorial Board
      • Aims and Scope
      • Abstracting and Indexing
      • Bibliographic Information
      • Archive
    • Oncology Reports
      • Oncology Reports
      • Information for Authors
      • Editorial Policies
      • Editorial Board
      • Aims and Scope
      • Abstracting and Indexing
      • Bibliographic Information
      • Archive
    • Molecular Medicine Reports
      • Molecular Medicine Reports
      • Information for Authors
      • Editorial Policies
      • Editorial Board
      • Aims and Scope
      • Abstracting and Indexing
      • Bibliographic Information
      • Archive
    • World Academy of Sciences Journal
      • World Academy of Sciences Journal
      • Information for Authors
      • Editorial Policies
      • Editorial Board
      • Aims and Scope
      • Abstracting and Indexing
      • Bibliographic Information
      • Archive
    • International Journal of Functional Nutrition
      • International Journal of Functional Nutrition
      • Information for Authors
      • Editorial Policies
      • Editorial Board
      • Aims and Scope
      • Abstracting and Indexing
      • Bibliographic Information
      • Archive
    • International Journal of Epigenetics
      • International Journal of Epigenetics
      • Information for Authors
      • Editorial Policies
      • Editorial Board
      • Aims and Scope
      • Abstracting and Indexing
      • Bibliographic Information
      • Archive
    • Medicine International
      • Medicine International
      • Information for Authors
      • Editorial Policies
      • Editorial Board
      • Aims and Scope
      • Abstracting and Indexing
      • Bibliographic Information
      • Archive
  • Articles
  • Information
    • Information for Authors
    • Information for Reviewers
    • Information for Librarians
    • Information for Advertisers
    • Conferences
  • Language Editing
Spandidos Publications Logo
  • About
    • About Spandidos
    • Aims and Scopes
    • Abstracting and Indexing
    • Editorial Policies
    • Reprints and Permissions
    • Job Opportunities
    • Terms and Conditions
    • Contact
  • Journals
    • All Journals
    • Biomedical Reports
      • Information for Authors
      • Editorial Policies
      • Editorial Board
      • Aims and Scope
      • Abstracting and Indexing
      • Bibliographic Information
      • Archive
    • Experimental and Therapeutic Medicine
      • Information for Authors
      • Editorial Policies
      • Editorial Board
      • Aims and Scope
      • Abstracting and Indexing
      • Bibliographic Information
      • Archive
    • International Journal of Epigenetics
      • Information for Authors
      • Editorial Policies
      • Editorial Board
      • Aims and Scope
      • Abstracting and Indexing
      • Bibliographic Information
      • Archive
    • International Journal of Functional Nutrition
      • Information for Authors
      • Editorial Policies
      • Editorial Board
      • Aims and Scope
      • Abstracting and Indexing
      • Bibliographic Information
      • Archive
    • International Journal of Molecular Medicine
      • Information for Authors
      • Editorial Policies
      • Editorial Board
      • Aims and Scope
      • Abstracting and Indexing
      • Bibliographic Information
      • Archive
    • International Journal of Oncology
      • Information for Authors
      • Editorial Policies
      • Editorial Board
      • Aims and Scope
      • Abstracting and Indexing
      • Bibliographic Information
      • Archive
    • Medicine International
      • Information for Authors
      • Editorial Policies
      • Editorial Board
      • Aims and Scope
      • Abstracting and Indexing
      • Bibliographic Information
      • Archive
    • Molecular and Clinical Oncology
      • Information for Authors
      • Editorial Policies
      • Editorial Board
      • Aims and Scope
      • Abstracting and Indexing
      • Bibliographic Information
      • Archive
    • Molecular Medicine Reports
      • Information for Authors
      • Editorial Policies
      • Editorial Board
      • Aims and Scope
      • Abstracting and Indexing
      • Bibliographic Information
      • Archive
    • Oncology Letters
      • Information for Authors
      • Editorial Policies
      • Editorial Board
      • Aims and Scope
      • Abstracting and Indexing
      • Bibliographic Information
      • Archive
    • Oncology Reports
      • Information for Authors
      • Editorial Policies
      • Editorial Board
      • Aims and Scope
      • Abstracting and Indexing
      • Bibliographic Information
      • Archive
    • World Academy of Sciences Journal
      • Information for Authors
      • Editorial Policies
      • Editorial Board
      • Aims and Scope
      • Abstracting and Indexing
      • Bibliographic Information
      • Archive
  • Articles
  • Information
    • For Authors
    • For Reviewers
    • For Librarians
    • For Advertisers
    • Conferences
  • Language Editing
Login Register Submit
  • This site uses cookies
  • You can change your cookie settings at any time by following the instructions in our Cookie Policy. To find out more, you may read our Privacy Policy.

    I agree
Search articles by DOI, keyword, author or affiliation
Search
Advanced Search
presentation
International Journal of Oncology
Join Editorial Board Propose a Special Issue
Print ISSN: 1019-6439 Online ISSN: 1791-2423
Journal Cover
November-2014 Volume 45 Issue 5

Full Size Image

Cover Legend PDF

Sign up for eToc alerts
Recommend to Library

Journals

International Journal of Molecular Medicine

International Journal of Molecular Medicine

International Journal of Molecular Medicine is an international journal devoted to molecular mechanisms of human disease.

International Journal of Oncology

International Journal of Oncology

International Journal of Oncology is an international journal devoted to oncology research and cancer treatment.

Molecular Medicine Reports

Molecular Medicine Reports

Covers molecular medicine topics such as pharmacology, pathology, genetics, neuroscience, infectious diseases, molecular cardiology, and molecular surgery.

Oncology Reports

Oncology Reports

Oncology Reports is an international journal devoted to fundamental and applied research in Oncology.

Experimental and Therapeutic Medicine

Experimental and Therapeutic Medicine

Experimental and Therapeutic Medicine is an international journal devoted to laboratory and clinical medicine.

Oncology Letters

Oncology Letters

Oncology Letters is an international journal devoted to Experimental and Clinical Oncology.

Biomedical Reports

Biomedical Reports

Explores a wide range of biological and medical fields, including pharmacology, genetics, microbiology, neuroscience, and molecular cardiology.

Molecular and Clinical Oncology

Molecular and Clinical Oncology

International journal addressing all aspects of oncology research, from tumorigenesis and oncogenes to chemotherapy and metastasis.

World Academy of Sciences Journal

World Academy of Sciences Journal

Multidisciplinary open-access journal spanning biochemistry, genetics, neuroscience, environmental health, and synthetic biology.

International Journal of Functional Nutrition

International Journal of Functional Nutrition

Open-access journal combining biochemistry, pharmacology, immunology, and genetics to advance health through functional nutrition.

International Journal of Epigenetics

International Journal of Epigenetics

Publishes open-access research on using epigenetics to advance understanding and treatment of human disease.

Medicine International

Medicine International

An International Open Access Journal Devoted to General Medicine.

Journal Cover
November-2014 Volume 45 Issue 5

Full Size Image

Cover Legend PDF

Sign up for eToc alerts
Recommend to Library

  • Article
  • Citations
    • Cite This Article
    • Download Citation
    • Create Citation Alert
    • Remove Citation Alert
    • Cited By
  • Similar Articles
    • Related Articles (in Spandidos Publications)
    • Similar Articles (Google Scholar)
    • Similar Articles (PubMed)
  • Download PDF
  • Download XML
  • View XML
Article

Postnatal Notch1 activation induces T‑cell malignancy in conditional and inducible mouse models

  • Authors:
    • Ju Liu
    • Fengyun Dong
    • Iris Fung
    • Edwin Chen
    • Thaddeus  D. Allen
    • Urban Deutsch
    • Corrinne G. Lobe
  • View Affiliations / Copyright

    Affiliations: Medical Research Center, Shandong Provincial Qianfoshan Hospital, Shandong University, Jinan, Shandong 250014, P.R. China, Molecular and Cellular Biology Division, Sunnybrook Health Science Centre, Toronto, ON M4N 3M5, Canada, Department of Medicine, Brigham and Women's Hospital, Harvard Medical School, Boston, MA 02115, USA, Molecular and Cellular Biology Division, Sunnybrook Health Science Centre, Toronto, ON M4N 3M5, Canada, Theodor‑Kocher‑Institute, University of Berne, 3012 Berne, Switzerland
  • Pages: 1997-2004
    |
    Published online on: August 29, 2014
       https://doi.org/10.3892/ijo.2014.2626
  • Expand metrics +
Metrics: Total Views: 0 (Spandidos Publications: | PMC Statistics: )
Metrics: Total PDF Downloads: 0 (Spandidos Publications: | PMC Statistics: )
Cited By (CrossRef): 0 citations Loading Articles...

This article is mentioned in:


Abstract

The Notch1 signaling pathway is essential for hematopoietic development. However, the effects of postnatal activation of Notch1 signaling on hematopoietic system is not yet fully understood. We previously generated ZEG‑IC‑Notch1 transgenic mice that have a floxed β‑geo/stop signal between a CMV promoter and intracellular domain of Notch1 (IC‑Notch1). Constitutively active IC‑Notch1 is silent until the introduction of Cre recombinase. In this study, endothelial/hematopoietic specific expression of IC‑Notch1 in double transgenic ZEG‑IC‑Notch1/Tie2‑Cre embryos induced embryonic lethality at E9.5 with defects in vascular system but not in hematopoietic system. Inducible IC‑Notch1 expression in adult mice was achieved by using tetracycline regulated Cre system. The ZEG‑IC‑Notch1/Tie2‑tTA/tet‑O‑Cre triple transgenic mice survived embryonic development when maintained on tetracycline. Post‑natal withdrawal of tetracycline induced expression of IC‑Notch1 transgene in hematopoietic cells of adult mice. The triple transgenic mice displayed extensive T‑cell infiltration in multiple organs and T‑cell malignancy of lymph nodes. In addition, the protein levels of p53 and alternative reading frame (ARF) were decreased in lymphoma‑like neoplasms from the triple transgenic mice while their mRNA expression remained unchanged, suggesting that IC‑Notch1 might repress ARF‑p53 pathway by a post‑transcriptional mechanism. This study demonstrated that activation of constitutive Notch1 signaling after embryonic development alters adult hematopoiesis and induces T‑cell malignancy.

Introduction

Notch is a family of highly conserved cell-surface receptors that are required in many mammalian developmental processes (1). The interaction of Notch receptors and its ligands initiates a cascade of proteolytic cleavages. TNF-α converting enzyme, a metalloprotease, cleaves the extracellular subunit to leave membrane-bound form of the transmembrane subunit of Notch receptors. Then a presenilin-associated multiprotein complex with γ-secretase activity recognizes and cleaves a site within the transmembrane domain to release the intracellular domain of Notch (IC-Notch). IC-Notch translocates to the nucleus and converts the transcription factor CBF1/Su(H)/LAG1 (CSL) from a repressor to a transcriptional activator (2). The downstream targets of Notch/CSL include Hairy-Enhancer of split (HES) and Hes-related protein (HERP/HEY) families, which function as transcriptional repressors suppressing the expression of cell type specific target genes (3).

To date, four Notch receptors (Notch 1–4) and five ligands (δ-like 1, 2 and 4; Jagged 1 and 2) have been described in mammals (2). Notch1 is expressed in most embryonic and adult tissues. Notch1 protein has an extracellular domain consisting of multiple EGF-like repeats and three cysteine-rich Lin12 repeats with heterodimerization (HD) domain, a transmembrane domain and intracellular domain containing a CSL associating motif domain, six ankyrin repeats, nuclear localization signals (NLS), a glutamine-rich domain (OPA) and a proline-glutamic acid-serine-threonine rich (PEST) sequence (3). In hematopoietic system, Notch1 signaling regulates the generation of hematopoietic stem cells (HSC) from endothelial cells and the self-renewal of HSCs (4,5). Notch1 signaling is also necessary and sufficient for T-cell lineage commitment (4,6,7). In addition, Notch1 signaling participates in later cell fate decisions promoting CD8+ fate during the CD4/CD8 lineage decision in T-cells (8). In adults, excessive Notch1 signaling has been associated with multiple human cancers (2,9).

The human Notch1 gene was identified from the t(7;9) (q34;q34.3) chromosomal translocation detected in a subset of T-cell acute lymphoblastic leukemia (T-ALL) (10). This translocation juxtaposes Notch1 with the T-cell receptor β gene and leads to the dis-regulated expression of a truncated form of Notch1, which is constitutively active. Further studies showed that sustained Notch1 signaling is critical for proliferation and survival of T-ALL cell lines harboring Notch1 translocations (11). Although the t(7;9) translocation is present in <1% of human T-ALL, >50% of human T-cell leukemia/lymphomas have mutations on the extracellular HD domain or the C-terminal PEST domain of Notch1 (12), with both classes of mutations resulting in excessive Notch1 signaling. Notch1 is highly expressed in tumor cells of Hodgkin and anaplastic large cell lymphoma (ALCL), and directly interacts with the ligand Jagged 1 to induce proliferation and inhibit apoptosis (13). In addition, the amplification of a region of chromosome 9q34 which contains c-abl and Notch1 has been identified as the most frequent genetic aberration in enteropathy-type T-cell lymphoma (14). Although aberrant Notch1 signaling is frequently linked to the induction of T-cell leukemias/lymphomas, the precise roles of Notch1 signaling in hematopoietic malignancies have not been fully understood.

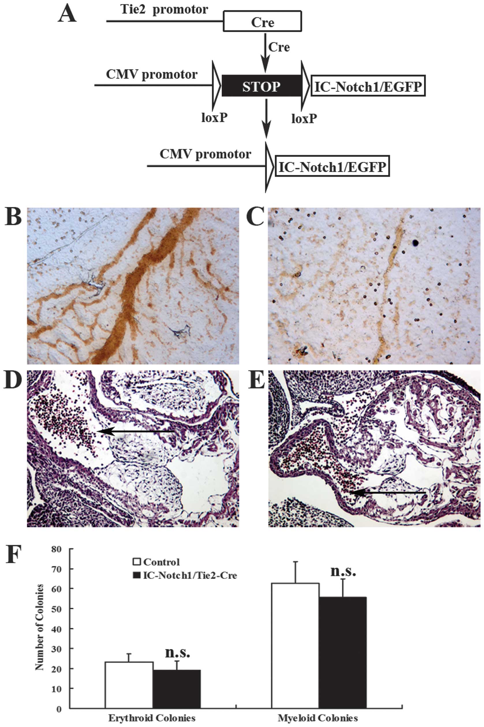
To study the effect of constitutively active Notch1 signaling in vivo, we established the ZEG-IC-Notch1 transgenic mouse line in which intracellular domain of Notch1 (IC-Notch1) expression can be activated by expression of Cre-recombinase (15). ZEG-IC-Notch1 construct contains a loxP-flanked STOP sequence consisting of the β-geo fusion gene and three polyadenylation sequences placed between a CMV promoter and IC-Notch1 coding sequence with an internal ribosomal entry site (IRES) linked enhanced green fluorescence protein (EGFP) (Fig. 1A). The efficiency of the ZEG-IC-Notch1 mice was validated by crossing with pCX-Cre mice, a global Cre expressing line. Ubiquitous IC-Notch1 expression leads to embryonic lethality at E9.5 with marked growth arrest and various developmental defects, including lack of neural tube closure, disorganized somites, and disrupted vasculature (15).

Figure 1

Hematopoietic cells in ZEG-IC-Notch1/Tie2-Cre embryos. (A) Strategy for Cre-conditional intracellular domain of Notch1 (IC-Notch1) activation. The floxed βgeo/stop signal was placed between a CMV promoter and the constitutively active IC-Notch1. The reporter coding sequence of enhanced green fluorescence protein (EGFP) fused with internal ribosomal entry site (IRES) was placed downstream of the IC-Notch1. In the endothelial and hematopoietic cells of double transgenic embryos, Tie2-Cre transgene expresses Cre recombinase, which excises the βgeo/stop signal sequence. Then IC-Notch1 expression is driven by the CMV promoter and detected through visualizing EGFP. (B) Blood vessels of yolk sacs from control and (C) ZEG-IC-Notch1/Tie2-Cre E9.5 embryos. (D) H&E staining of E9.5 embryo heart (100X) from control and (E) ZEG-IC-Notch/Tie2-Cre embryo. Arrows refer to hematopoietic cells. (F) The average number of erythroid and myeloid colonies generated by control and ZEG-IC-Notch1/Tie2-Cre E9.5 yolk sacs in methylcellulose colony forming assays. n=11; n.s., non-significant.

In this study, we extend our previous findings by generating and characterizing two additional transgenic mouse lines: i) an ZEG-IC-Notch1/Tie2-Cre double-transgenic line in which IC-Notch1 expression is restricted to the endothelial and hematopoietic compartments; and ii) an inducible ZEG-IC-Notch1/Tie2-tTA/tet-O-Cre triple-transgenic mouse in which Cre-mediated excision is controlled by a tetracycline-inducible system and which facilitates activation of IC-Notch1 expression post-natally. These mouse lines provide significant insights into the role of tissue-specific and post-natal IC-Notch1 expression in malignant transformation.

Materials and methods

Transgenic mice

The ZEG-IC-Notch1 transgenic mice were previously generated in our laboratory (15). The Tie2-tTA mice express the tetracycline transactivator (tTA) (tet repressor fused to a VP16 activator) in endothelial and hematopoietic cells under the regulation of 2.1b Tie2 promoter (16) (provided by Dr Urban Deutsch, Theodor-Kocher-Institute). The tet-O-Cre mice carry the Cre coding sequence downstream of a minimal CMV promoter and tetracycline operator (17) (provided by Dr Andras Nagy, Samuel Lunenfeld Research Institute). Tie2-Cre mice have multiple copies of a transgene comprised of the Tie2 promoter, Cre cDNA, and MT-1 polyA followed by Tie2 intron 1 enhancer (18) (provided by Dr Masashi Yanagisawa, University of Texas Southwestern Medical Center). All mouse strains were maintained on mixed backgrounds and genotyped as previously described in literature. Experiments complied with ethical standards of the Sunnybrook Health Sciences Center Research Institute Animal Care Committee.

Yolk sac hematopoietic colony assay

Intact yolk sacs were taken from the whole litter of E8.5–9 (18–20 somites) of ZEG-IC-Notch1/Tie2-Cre mouse embryos and washed with Iscove’s modified Dulbecco’s medium (IMDM). To obtain single cell suspension, individual yolk sacs were incubated with 0.2 ml 0.05% Trypsin in 37°C for 3 min and suspended in 0.5 ml of IMDM. The cell suspension were then plated in 1.5 ml of 1.0% methylcellulose in IMDM supplemented with 15% (vol/vol) FCS, 100 μM 2-mercaptoethanol, 2 mM L-glutamine, 1% BSA, 10 μg/ml pancreatic insulin, 200 μg/ml human transferring, 3 U/ml erythropoietin, 10 ng/ml IL-3, 10 ng/ml IL-6, and 50 ng/ml stem cell factor (MethoCult GFM3434; StemCell Technologies) (19). Colonies were incubated in a humidified CO2 atmosphere at 37°C and scored by microscopy at day 10. The erythroid colonies were identified according to positive benzidine staining (20).

Tetracycline inducible Cre system

We previously developed a tetracycline inducible Cre system that combines the tetracycline-off and Cre/loxP systems to gain both temporal and spatial control of transgene expression (21). In this study, ZEG-IC-Notch1 transgenic mice were bred with Tie2-tTA mice and double transgenic offspring were then crossed with tet-O-Cre mice. The breeding pairs were maintained with 0.1 mg/ml doxycycline (tetracycline analogue; Sigma) in drinking water with 5% sucrose (22). To maintain the efficiency of doxycycline, the drinking water was protected from light and replaced every 24 h. Doxycycline was withdrawn on the day the pups were born, and genotyped to identify triple transgenic offspring (ZEG-IC-Notch1/Tie2-tTA/tet-O-Cre).

Immunohistochemistry

Tissue preparation and immunohistochemistry were performed as previous described (23). Briefly, tissue samples were fixed with 4% paraformaldehyde before embeded in Tissue-Tek OCT (Sakura Finetechnical) over dry ice. The frozen blocks were cryosectioned at 7 μm, placed onto L-polylysine-coated slides (Thermo Fisher Scientific), dried, and stored at −80°C. All tissue sections were treated with 3% H2O2 in methanol for 30 min to block endogenous peroxidase activity and incubated in a humidified chamber in blocking buffer of 5% normal goat serum (Vector Laboratories) for 1 h. Slides were then incubated at 4°C overnight with the rat anti-CD90 primary antibody (1:500; BD Pharmingen). The next day, slides were exposed for 30 min to the biotinylated secondary antibody (1:200; Vector Laboratories). Antibody binding was visualized via the streptavidin-horseradish peroxidase (HRP) together with diaminobenzidine (DAB) detection systems (Vector Laboratories). The slides were then washed, counterstained with hematoxylin, dehydrated, and mounted for examination. All slides were photographed using a Leica DFC300 camera with the Leica FireCam 120 program.

Flow cytometry

Single cell suspensions were prepared by mechanically dissociating tissues in FACS buffer (PBS with Ca2+/Mg2+, 0.1% NaN3 and 5% FCS) and filtering through a 40 μm cell filter. Spleen samples were treated with freshly prepared red blood cell lysis buffer (9:1 mix of 0.83% NH4Cl and 1 M Tris-HCl pH 7.65) and re-filtered. Cells were resuspended in FACS buffer. Fluorescence of EGFP was detected on the FL1 channel of a FACSCalibur (Becton-Dickinson Biosciences). Results were then analyzed using FlowJo (TreeStar, Inc.).

Western blot analysis

The lymphoma and lymph node tissues were lysated in ice cold RIPA buffer (20 mM Tris pH 7.5, 150 mM NaCl, 50 mM NaF, 1% NP40, 0.1% DOC, 0.1% SDS, 1 mM EDTA and supplemented with 1 mM PMSF and 1 μg/ml leupeptin). The protein concentration was determined using the BCA assay (Bio-Rad). Then equal amounts of protein were separated by a 10% SDS-PAGE and transferred onto PVDF membrane. Membranes were blocked with 2.5% BSA, and incubated with the primary antibodies at 4°C overnight in PBS-T. Primary antibodies included rabbit anti-p53 antibody, rabbit anti-ARF antibody (both from Santa Cruz Biotechnology), and mouse anti-β-actin antibody (Sigma). Immunoreactivity was visualized with HRP-linked secondary antibodies and chemiluminescence (Millipore). β-actin levels were used as controls for protein loading.

Semi-quantitative PCR analysis

Total RNA isolation from embryo hearts was performed using TRIzol reagent (Invitrogen Life Technologies) according to the manufacturer’s protocol. An aliquot of 2 μg total RNA from each sample was used for synthesis of cDNA using a High-Capacity cDNA Reverse Transcription kits (Applied Biosystems). The first-strand cDNA was amplified in a final volume of 20 μl with 1 unit of Taq DNA polymerase (Invitrogen Life Technologies and 10 pmol of each primer. Oligonucleotide primer sequences are listed in Table I. The thermal-cycle program was: 95°C for 5 min (1 cycle), 94°C for 1 min, 58°C for 1 min 72°C for 1 min (30 cycles), 72°C for 5 min (1 cycle). The PCR products were visualized by ethidium bromide staining following a 1.5% agarose gel electrophoresis.

Table I

PCR primer sequences.

Table I

PCR primer sequences.

GeneSequence (5′→3′)Size (bp)Tm (°C)
m-p53F: GGATTTGTATCCCGAGTATCTG18357.21
R: GTCTCAGTGTGATGATGGTA58.17
m-ARFF: GCGCACGATCCT6659.36
R: TTGAGCAGAGAGCTGCTACGT61.98
β-actinF: GGCACACACTCTACAATG35259.19
R: GTGTGTGAGCTGTAGCC60.96

[i] Tm, temperature; F, Forward; R, Reverse; ARF, alternative reading frame.

Statistical analysis

Data are expressed as mean ± standard error (SE). The significance of differences was estimated by one-way ANOVA. All statistical analyses were performed with SPSS software (SPSS, Inc.).

Results

ZEG-IC-Notch1/Tie2-Cre embryos was lethal at mid-gestation without significant alterations in hematopoietic system

The Tie2 promoter directs expression specifically in endothelial cells and hematopoietic cells (18). The ZEG-IC-Notch1 mice were crossed with Tie2-Cre mice to activate IC-Notch1 expression in these two cell types (Fig. 1A). No ZEG-IC-Notch1/Tie2-Cre positive offspring were obtained, and we found that the double transgenic embryos died before E10.5 with defects in vascular development and widespread hemorrhaging. These observations were consistent with our previous studies showing the lethality of ZEG-IC-Notch1/Tie2-Cre embryos with lack of angiogenic remodeling and branching in the yolk sacs and embryonic bodies (24,25). In these IC-Notch1 expressing embryos, the circulation system of hematopoietic cells have been developed before the death of the embryos. On the yolk sac, hematopoietic cells are still present in the disrupted vessels (Fig. 1C). Histological analysis revealed the presence of hematopoietic cells within the lumen of dorsal aorta and cardinal vein (Fig. 1E). We observed a fraction of hematopoietic cells expressing second reporter EGFP in the double transgenic embryos at E9.5, suggesting Cre excision under Tie2 promoter is effective in hematopoietic cells at this stage (18).

Notch signaling involves in erythroid vs. myeloid lineage decision by inhibiting erythroid differentiation (26,27), thus we measured the extent of primitive hematopoiesis by in vitro colony assay of yolk-sac cells from E9.5 embryos (Table II). The average number of erythroid, myeloid and total colonies derived from ZEG-IC-Notch1/Tie2-Cre yolk sacs were comparable to the control (Fig. 1F; p=0.17, p=0.31, p=0.38, respectively). The morphology of the colonies did not show obvious abnormalities. These data suggested that primitive hematopoiesis was not significantly affected in the ZEG-IC-Notch1/Tie2-Cre embryos at mid-gestation and the embryonic lethal phenotype resulted from disruption of the vasculature.

Table II

Number of hematopoietic colonies generated from yolk sacs in methylcellulose colony forming assays.

Table II

Number of hematopoietic colonies generated from yolk sacs in methylcellulose colony forming assays.

Mouse GenotypeErythroid ColoniesMyeloid ColoniesTotal Colonies
Control23.4±462.6±10.886.5±12.3
ZEG-IC-Notch1/Tie2-Cre19.2±4.5a55.8±9.1b74.4±10.4c

a P=0.17;

b p=0.31;

c p=0.38.

IC-Notch1 expression was activated in hematopoietic cells postnatally by using tetracycline regulated Cre system

To activate IC-Notch1 in adults, ZEG-IC-Notch1 were bred with Tie2-tTA/Tet-O-Cre mice and maintained on tetracycline. The Tie2 promoter drives tTA expression in endothelial cells and hematopoietic cells but the tTA protein is bound and disabled by tetracycline, which prevents the expression of Cre recombinase. After the pups were born, tetracycline was withdrawn to release the tTA protein, which activates the tet-operator and induces Cre expression. Cre recombinase excises the STOP sequence of the ZEG-IC-Notch1 transgene, leading to the expression of IC-Notch1 and EGFP reporter driven by the CMV promoter (Fig. 2A). In this configuration the Cre excision makes permanent genomic alterations to cells and their progeny. We obtained a normal Mendelian ratio of live-born triple transgenic ZEG-IC-Notch1/Tie2-tTA/tet-O-Cre pups, and these triple transgenic mice continued to survive after removal of doxycycline. To determine transgene activation in these triple transgenic mice, the reporter EGFP expression in the hematopoietic organs were examined by flow cytometry. We found that all the triple transgenic mice have EGFP positive cells in thymus and spleen (Fig. 2B–E). However, the expression level varies substantially from mouse to mouse. In thymus, the proportion of GFP positive cells ranges from 17–55%. In spleen, the proportion of GFP positive cells ranges from 12–70%. Mosaic expression was also observed in endothelial cells of the triple transgenic mice (25).

Figure 2

Intracellular domain of Notch1 (IC-Notch1) expression in hematopoietic cells of ZEG-IC-Notch1/Tie2-tTA/tet-O-Cre mice. (A) Tetracycline-Cre inducible system: ZEG-IC-Notch1 mice were crossed with Tie2-tTA/tet-O-Cre mice to obtain triple transgenic mice. In the presence of tetracycline, the tetracycline-bound tetracycline transactivator (tTA) cannot bind the tet operator. After tetracycline withdrawal, the tTA binds the tet operator, resulting in expression of Cre and IC-Notch1. (B–E) IC-Notch1 expression in thymus and spleen of ZEG-IC-Notch1/Tie2-tTA/tet-O-Cre mice. (B and C) Enhanced green fluorescence protein (EGFP) FACS analysis of thymocytes from control and IC-Notch1 expressing mice. (D and E) EGFP FACS analysis of splenocytes from control and IC-Notch1 expressing mice.

Postnatal IC-Notch1 activation induced abnormalities in hematopoietic system

The ZEG-IC-Notch1/Tie2-tTA/tet-O-Cre triple transgenic mice displayed no overt phenotype and no obvious abnormalities in the organs examined macroscopically. Since Notch signaling regulates T lymphocyte development, we examined CD90/Thy1.2 antigen, which is expressed at high levels on peripheral T-cells, in organs from IC-Notch1 expressing triple transgenic mice. The CD90 positive cells were detected in the lymph nodes, thymus and spleen of all the triple transgenic mice examined. The liver and kidney, where T-cells do not normally present, showed clusters of CD90 positive cells (Fig. 3A–D). Most CD90 positive cells were adjacent to, but not limited to, small blood vessels. Furthermore, 33.3% of triple transgenic mice displayed neoplastic mass with many T-cells in the kidneys at the age of 6 months. A group of IC-Notch1 expressing triple transgenic mice, their littermate controls and ZEG/Tie2-tTA/tet-O-Cre control transgenic mice were maintained to the age of 12 months and monitored for signs of disease. Surprisingly, 88.89% (8/9) of IC-Notch1 expressing triple transgenic mice displayed lymphoma-like neoplasm (Table III). The lymph nodes from the control mice were invisible, but most of the lymphoma-like neoplasm of triple transgenic mice showed a diameter of 0.4–0.8 cm and some of them were even larger than the heart (Fig. 3G). The majority of lymphoma-like neoplasms were superior mesenteric nodes, while a few of them located at chest and posterior abdomen. Immunostaining showed that most cells in the lymphoma-like neoplasms from IC-Notch1 expressing transgenic mice were stained positive for CD90 while only a fraction of cells in normal lymph node were CD90 positive (Fig. 3E and F). In addition, the architecture of the lymphoma-like neoplasm was destroyed, and replaced with a mass of fat blast T-cells and apoptotic cells. Taken together, the IC-Notch1 expressing triple transgenic mice developed lymphoma-like T-cell malignancies.

Figure 3

T-cell malignancies in ZEG-IC-Notch1/Tie2-tTA/tet-O-Cre mice. (A) CD90 immunostaining of the livers from a wild-type mouse and (B) a ZEG-IC-Notch1/Tie2-tTA/tet-O-Cre mouse (100X). (C) CD90 immunostaining of the kidneys from a wild-type mouse and (D) a ZEG-IC-Notch1/Tie2-tTA/tet-O-Cre mouse (100X). Arrows refer to T-cells infiltrated into the tissue. (E) CD90 immunostaining of a normal lymph node and (F) a lymphoma-like neoplasm from a ZEG-IC-Notch1/Tie2-tTA/tet-O-Cre mouse (400X). (G) A lymphoma-like neoplasm from a ZEG-IC-Notch1/Tie2-tTA/tet-O-Cre mouse is larger than the heart.

Table III

Incidence of LLN in 12-month old mice.

Table III

Incidence of LLN in 12-month old mice.

Mouse GenotypeNo. of mice examinedNo. of mice with LLNIncidence rate %
Control1715.9
ZEG/Tie2-tTA/tet-O-Cre1119.1
ZEG-IC-Notch1/9888.9a
Tie2-tTA/tet-O-Cre

a P<0.01.

{ label (or @symbol) needed for fn[@id='tfn6-ijo-45-05-1997'] } LLN, lymphoma-like neoplasm.

p53 activity was suppressed in lymphoma-like neoplasms from IC-Notch1 expressing triple transgenic mice

The tumor suppressor protein p53 plays a critical role in maintaining cellular homeostasis in response to various cellular stresses (28–30). Stability of p53 protein is negatively regulated by the ubiquitin ligase mdm2 (30). The alternative reading frame (ARF) protein, which is a tumor suppressor transcribed from an alternate reading frame of the INK4a/ARF locus, inhibits the activity of mdm2 and activates p53 (31,32). We performed western blot analysis using protein lysates from the lymphoma-like neoplasm of IC-Notch1 expressing triple transgenic mice, and the lymph nodes from WT mice were used as control. As shown in Fig. 4A, the protein of p53 and ARF was significantly decreased in lymphoma-like neoplasm. In addition, we examined the mRNA expression of p53 and ARF by semi-quantitative PCR, and no significant changes was found between the lymphoma-like neoplasms and normal lymph nodes (Fig. 4B). These data suggested a post-transcriptional downregulation of p53 and ARF in the lymphoma-like neoplasm of IC-Notch1 expressing triple transgenic mice.

Figure 4

p53 and alternative reading frame (ARF) expression in lymphoma-like neoplasms from ZEG-IC-Notch1/Tie2-tTA/tet-O-Cre mice. (A) Western blot analysis of p53 and ARF protein from lymph nodes of wild-type mice and lymphoma-like neoplasms of ZEG-IC-Notch1/Tie2-tTA/tet-O-Cre. (B) Semi-quantitative PCR of total RNA from extracted from lymph nodes of wild-type mice and lymphoma-like neoplasm of ZEG-IC-Notch1/Tie2-tTA/tet-O-Cre mice. WT, wild-type; Notch, ZEG-IC-Notch1/Tie2-tTA/tet-O-Cre.

Discussion

Notch signaling pathway regulates a spectrum of cell fate decisions and differentiation processes of hematopoietic system during fetal and postnatal development (1). The role of Notch signaling during lymphopoiesis and T-cell neoplasia have been studied using gain-of-function and conditional loss-of-function animal models for the Notch1 ligands and receptors as well as their downstream targets (33). However, hematopoietic system is a developmental system (34,35), and alteration of Notch signaling at different stages of development may result in distinct types of diseases or prognosis. Using conditional and inducible mouse model system, we were able to examine the effects of constitutively active Notch1 signaling in the hematopoietic system at early embryogenesis and adulthood. At E9.5, IC-Notch1 activation does not significantly affect the hematopoietic system. However, postnatal activation of IC-Notch1 induces T-cell malignancies, which may be mediated by post-transcriptional downregulation of p53 and ARF. These results contribute to the understanding of the role of Notch1 signaling in leukemiagenesis/lymphomagenesis in adults.

The homogenous deletion of Notch1 or constitutive activation of Notch1 under Tie2 promoter in mice all induced early embryonic lethality between 9.5–11.5 with a phenotype of disruption of vasculature (24,36). Since Notch1 and Tie2 promoter are also expressed in hematopoietic cells, defects in hematopoietic system might contribute to the phenotype. In this study, we demonstrated that circulation of hematopoietic cells and erythroid/myeloid cell fate decision is not significantly affected by IC-Notch1 activation even though the embryos are dying. The loss of function study in which Tie2-Cre were crossed with floxed Notch1 mice also displayed that hematopoietic systems are largely normal while it produced a similar vascular defect phenotype as the Notch1 homogeneous knockout embryos (37). These results might partially be due to mosaic expression of Tie2-Cre transgene as only a fraction of hematopoietic cells have the Cre excision at this stage, however, hematopoietic development was not inhibited in the embryos with global IC-Notch1 activation (15). In addition, another gain of function study showed that expressing intracellular domain of Notch4 at flk1 locus results in embryonic lethality at E9.5 without disturbing the hematopoietic development (19). Though aberrant Notch signaling induces vascular defects and embryonic lethal phenotype, it may not significantly affect the development of hematopoietic system before mid-gestation.

By combination of Cre/loxP and tetracycline inducible system, we successfully activated constitutive Notch1 signaling in hematopoietic cells of adult mice and observed T-cell malignancy in the IC-Notch1 expressing triple transgenic mice. Notch signaling is critical for normal T-cell development and excessive Notch1 signaling is associated with T-cell leukemia (38). In addition, high levels of Notch1 protein expression were found in twelve primary human T-cell ALCL samples as compared to B-cell lymphomas, and high levels of cleaved Notch1 were seen in two human ALCL-derived cell lines (13). Activation of Notch1 signaling may block T-cell differentiation, inhibit apoptosis and promote proliferation (33). Though the time point of gene alteration in hematopoietic cells is important for development of malignancies, in vivo studies that activate Notch signaling in adults have been limited. From bone marrow transplant reconstitution models in which retrovirally transduced HSC were transferred to lethally irradiated recipients, constitutive expression of human IC-Notch1 led exclusively to CD8+CD24+ or CD4+CD8+ T-cell leukemia/lymphomas (39). Thus, postnatal activation of Notch1 signaling hematopoietic cells may initiate and promote T-cell malignancies in normal adults.

In this study, we activated the entire Notch1 intracellular domain containing OPA and PEST sequence, which were deleted in many commonly-used Notch1 transgenic mouse models (8). The importance of the OPA domain for transformation has been demonstrated by IC-Notch1 transgenic constructs showing the difference in sequence between the fully leukemogenic with OPA and weakly leukemogenic constructs without OPA (40). Removal of the PEST sequences leads to decreased degradation of Notch1 protein and subsequently increased Notch signaling (41). Other studies suggest that Numb, a negative Notch regulator, binds PEST sequences and inhibits Notch signaling (42,43). However, the presence of PEST sequence is not essential for blocking IC-Notch1 induced leukemiagenesis (44). Here we demonstrated that activation of IC-Notch1 with PEST sequence still induces T-cell malignancy.

ARF-mdm2-p53 pathway is an important tumor suppressing mechanism that is activated in response to inappropriately sustained proliferative signals (32,45). Mutation of these genes leads to inactivation of p53 function and development of lymphoma (46). Attenuation of Notch1 expression causes a remarkably increase in p53 protein levels and initiation of apoptotic programs in tumor cells (47). Activation of Notch signaling pathway reduces p53 protein through mdm2-dependent p53 degradation (47,48). In this study, we found a decrease of p53 protein level but not the mRNA expression in lymphoma-like neoplasms from IC-Notch1 expressing mice, implicating the possibility of p53 protein degradation. The ARF tumor suppressor binds to and inhibits the activity of mdm2, leading to p53 activation (49). In the tet-on IC-Notch1 mouse model, Notch-induced lymphomas do not express ARF protein (47). Though we observed ARF protein expression in the lymphoma-like neoplasms from our IC-Notch1 mouse model, the expression level is dramatically decreased. In addition, the mRNA level of ARF remains unchanged, suggesting that IC-Notch1 activation might repress ARF protein by a post-transcriptional mechanism.

In summary, we activated IC-Notch1 in hematopoietic cells under temporal control in transgenic mouse models using tetracycline-induced Cre system. Our data suggested a new perspective for understanding pathogenesis of T-cell malignancies in adults. Modification of the time point of IC-Notch1 activation in this model allows us to investigate the relationship between Notch1 signaling and a range of hematopoietic diseases.

Acknowledgements

This study was supported by a grant from the Heart and Stroke Foundation of Canada. We are grateful for the support from Shandong Taishan Scholarship (to Ju Liu).

References

1 

Artavanis-Tsakonas S, Rand MD and Lake RJ: Notch signaling: cell fate control and signal integration in development. Science. 284:770–776. 1999. View Article : Google Scholar : PubMed/NCBI

2 

Hansson EM, Lendahl U and Chapman G: Notch signaling in development and disease. Semin Cancer Biol. 14:320–328. 2004. View Article : Google Scholar : PubMed/NCBI

3 

Baron M: An overview of the Notch signalling pathway. Semin Cell Dev Biol. 14:113–119. 2003. View Article : Google Scholar

4 

Radtke F, Wilson A, Stark G, et al: Deficient T cell fate specification in mice with an induced inactivation of Notch1. Immunity. 10:547–558. 1999. View Article : Google Scholar : PubMed/NCBI

5 

Kumano K, Chiba S, Kunisato A, et al: Notch1 but not Notch2 is essential for generating hematopoietic stem cells from endothelial cells. Immunity. 18:699–711. 2003. View Article : Google Scholar : PubMed/NCBI

6 

Milner LA and Bigas A: Notch as a mediator of cell fate determination in hematopoiesis: evidence and speculation. Blood. 93:2431–2448. 1999.PubMed/NCBI

7 

Schmitt TM and Zúñiga-Pflücker JC: Induction of T cell development from hematopoietic progenitor cells by delta-like-1 in vitro. Immunity. 17:749–756. 2002. View Article : Google Scholar : PubMed/NCBI

8 

Robey E, Chang D, Itano A, et al: An activated form of Notch influences the choice between CD4 and CD8 T cell lineages. Cell. 87:483–492. 1996. View Article : Google Scholar : PubMed/NCBI

9 

Politi K, Feirt N and Kitajewski J: Notch in mammary gland development and breast cancer. Semin Cancer Biol. 14:341–347. 2004. View Article : Google Scholar : PubMed/NCBI

10 

Ellisen LW, Bird J, West DC, et al: TAN-1, the human homolog of the Drosophila notch gene, is broken by chromosomal translocations in T lymphoblastic neoplasms. Cell. 66:649–661. 1991.PubMed/NCBI

11 

Weng AP, Nam Y, Wolfe MS, et al: Growth suppression of pre-T acute lymphoblastic leukemia cells by inhibition of notch signaling. Mol Cell Biol. 23:655–664. 2003. View Article : Google Scholar : PubMed/NCBI

12 

Weng AP and Aster JC: Multiple niches for Notch in cancer: context is everything. Curr Opin Genet Dev. 14:48–54. 2004. View Article : Google Scholar : PubMed/NCBI

13 

Jundt F, Anagnostopoulos I, Förster R, Mathas S, Stein H and Dörken B: Activated Notch1 signaling promotes tumor cell proliferation and survival in Hodgkin and anaplastic large cell lymphoma. Blood. 99:3398–3403. 2002. View Article : Google Scholar : PubMed/NCBI

14 

Baumgärtner AK, Zettl A, Chott A, Ott G, Müller-Hermelink HK and Starostik P: High frequency of genetic aberrations in enteropathy-type T-cell lymphoma. Lab Invest. 83:1509–1516. 2003.PubMed/NCBI

15 

Liu J and Lobe CG: Cre-conditional expression of constitutively active Notch1 in transgenic mice. Genesis. 45:259–265. 2007. View Article : Google Scholar : PubMed/NCBI

16 

Holopainen T, Saharinen P, D’Amico G, et al: Effects of angiopoietin-2-blocking antibody on endothelial cell-cell junctions and lung metastasis. J Natl Cancer Inst. 104:461–475. 2012. View Article : Google Scholar : PubMed/NCBI

17 

Chen L, Meng Q, Kao W and Xia Y: IκB kinase β regulates epithelium migration during corneal wound healing. PloS One. 6:e161322011.

18 

Kisanuki YY, Hammer RE, Miyazaki J, Williams SC, Richardson JA and Yanagisawa M: Tie2-Cre transgenic mice: a new model for endothelial cell-lineage analysis in vivo. Dev Biol. 230:230–242. 2001. View Article : Google Scholar : PubMed/NCBI

19 

Uyttendaele H, Ho J, Rossant J and Kitajewski J: Vascular patterning defects associated with expression of activated Notch4 in embryonic endothelium. Proc Natl Acad Sci USA. 98:5643–5648. 2001. View Article : Google Scholar : PubMed/NCBI

20 

Puri MC and Bernstein A: Requirement for the TIE family of receptor tyrosine kinases in adult but not fetal hematopoiesis. Proc Natl Acad Sci USA. 100:12753–12758. 2003. View Article : Google Scholar : PubMed/NCBI

21 

Liu J, Deutsch U, Fung I and Lobe C: Conditional and inducible transgene expression in endothelial and hematopoietic cells using Cre/loxP and tetracycline-off systems. Exp Ther Med. (In press).

22 

Sarao R and Dumont DJ: Conditional transgene expression in endothelial cells. Transgenic Res. 7:421–427. 1998. View Article : Google Scholar : PubMed/NCBI

23 

Liu J, Yuan L, Molema G, et al: Vascular bed-specific regulation of the von Willebrand factor promoter in the heart and skeletal muscle. Blood. 117:342–351. 2011. View Article : Google Scholar

24 

Liu J, Dong F, Jeong J, Masuda T and Lobe CG: Constitutively active Notch1 signaling promotes endothelial-mesenchymal transition in a conditional transgenic mouse model. Int J Mol Med. 34:669–676. 2014.

25 

Liu J, Deutsch U, Jeong J and Lobe CG: Constitutive notch signaling in adult transgenic mice inhibits bFGF-induced angiogenesis and blocks ovarian follicle development. Genesis. May 10–2014.(Epub ahead of print).

26 

Schroeder T and Just U: Notch signalling via RBP-J promotes myeloid differentiation. EMBO J. 19:2558–2568. 2000. View Article : Google Scholar : PubMed/NCBI

27 

Lam LT, Ronchini C, Norton J, Capobianco AJ and Bresnick EH: Suppression of erythroid but not megakaryocytic differentiation of human K562 erythroleukemic cells by notch-1. J Biol Chem. 275:19676–19684. 2000. View Article : Google Scholar : PubMed/NCBI

28 

Dai C and Gu W: p53 post-translational modification: deregulated in tumorigenesis. Trends Mol Med. 16:528–536. 2010. View Article : Google Scholar : PubMed/NCBI

29 

Bode AM and Dong Z: Post-translational modification of p53 in tumorigenesis. Nat Rev Cancer. 4:793–805. 2004. View Article : Google Scholar : PubMed/NCBI

30 

Kubbutat MH, Jones SN and Vousden KH: Regulation of p53 stability by Mdm2. Nature. 387:299–303. 1997. View Article : Google Scholar : PubMed/NCBI

31 

Zhang Y, Xiong Y and Yarbrough WG: ARF promotes MDM2 degradation and stabilizes p53: ARF-INK4a locus deletion impairs both the Rb and p53 tumor suppression pathways. Cell. 92:725–734. 1998. View Article : Google Scholar : PubMed/NCBI

32 

Kamijo T, Weber JD, Zambetti G, Zindy F, Roussel MF and Sherr CJ: Functional and physical interactions of the ARF tumor suppressor with p53 and Mdm2. Proc Natl Acad Sci USA. 95:8292–8297. 1998. View Article : Google Scholar : PubMed/NCBI

33 

Radtke F, Wilson A, Mancini SJ and MacDonald HR: Notch regulation of lymphocyte development and function. Nat Immunol. 5:247–253. 2004. View Article : Google Scholar : PubMed/NCBI

34 

Steinman RA: Cell cycle regulators and hematopoiesis. Oncogene. 21:3403–3413. 2002. View Article : Google Scholar : PubMed/NCBI

35 

Smith C: Hematopoietic stem cells and hematopoiesis. Cancer Control. 10:9–16. 2003.PubMed/NCBI

36 

Krebs LT, Xue Y, Norton CR, et al: Notch signaling is essential for vascular morphogenesis in mice. Genes Dev. 14:1343–1352. 2000.PubMed/NCBI

37 

Limbourg FP, Takeshita K, Radtke F, Bronson RT, Chin MT and Liao JK: Essential role of endothelial Notch1 in angiogenesis. Circulation. 111:1826–1832. 2005. View Article : Google Scholar : PubMed/NCBI

38 

Zweidler-McKay PA and Pear WS: Notch and T cell malignancy. Semin Cancer Biol. 14:329–340. 2004. View Article : Google Scholar

39 

Pear WS, Aster JC, Scott ML, et al: Exclusive development of T cell neoplasms in mice transplanted with bone marrow expressing activated Notch alleles. J Exp Med. 183:2283–2291. 1996. View Article : Google Scholar : PubMed/NCBI

40 

Washburn T, Schweighoffer E, Gridley T, et al: Notch activity influences the alphabeta versus gammadelta T cell lineage decision. Cell. 88:833–843. 1997. View Article : Google Scholar : PubMed/NCBI

41 

Feldman BJ, Hampton T and Cleary ML: A carboxy-terminal deletion mutant of Notch1 accelerates lymphoid oncogenesis in E2A-PBX1 transgenic mice. Blood. 96:1906–1913. 2000.PubMed/NCBI

42 

Gupta-Rossi N, Le Bail O, Gonen H, et al: Functional interaction between SEL-10, an F-box protein, and the nuclear form of activated Notch1 receptor. J Biol Chem. 276:34371–34378. 2001. View Article : Google Scholar : PubMed/NCBI

43 

Oberg C, Li J, Pauley A, Wolf E, Gurney M and Lendahl U: The Notch intracellular domain is ubiquitinated and negatively regulated by the mammalian Sel-10 homolog. J Biol Chem. 276:35847–35853. 2001. View Article : Google Scholar : PubMed/NCBI

44 

Campese AF, Bellavia D, Gulino A and Screpanti I: Notch signalling at the crossroads of T cell development and leukemogenesis. Semin Cell Dev Biol. 14:151–157. 2003. View Article : Google Scholar : PubMed/NCBI

45 

Sherr CJ: The INK4a/ARF network in tumour suppression. Nat Rev Mol Cell Biol. 2:731–737. 2001. View Article : Google Scholar : PubMed/NCBI

46 

Eischen CM, Weber JD, Roussel MF, Sherr CJ and Cleveland JL: Disruption of the ARF-Mdm2-p53 tumor suppressor pathway in Myc-induced lymphomagenesis. Genes Dev. 13:2658–2669. 1999. View Article : Google Scholar : PubMed/NCBI

47 

Beverly LJ, Felsher DW and Capobianco AJ: Suppression of p53 by Notch in lymphomagenesis: implications for initiation and regression. Cancer Res. 65:7159–7168. 2005. View Article : Google Scholar : PubMed/NCBI

48 

Nair P, Somasundaram K and Krishna S: Activated Notch1 inhibits p53-induced apoptosis and sustains transformation by human papillomavirus type 16 E6 and E7 oncogenes through a PI3K-PKB/Akt-dependent pathway. J Virol. 77:7106–7112. 2003. View Article : Google Scholar : PubMed/NCBI

49 

Reed SM, Hagen J, Tompkins VS, Thies K, Quelle FW and Quelle DE: Nuclear interactor of ARF and Mdm2 regulates multiple pathways to activate p53. Cell Cycle. 13:1288–1298. 2014. View Article : Google Scholar : PubMed/NCBI

Related Articles

  • Abstract
  • View
  • Download
  • Twitter
Copy and paste a formatted citation
Spandidos Publications style
Liu J, Dong F, Fung I, Chen E, Allen TD, Deutsch U and Lobe CG: Postnatal Notch1 activation induces T‑cell malignancy in conditional and inducible mouse models. Int J Oncol 45: 1997-2004, 2014.
APA
Liu, J., Dong, F., Fung, I., Chen, E., Allen, T.D., Deutsch, U., & Lobe, C.G. (2014). Postnatal Notch1 activation induces T‑cell malignancy in conditional and inducible mouse models. International Journal of Oncology, 45, 1997-2004. https://doi.org/10.3892/ijo.2014.2626
MLA
Liu, J., Dong, F., Fung, I., Chen, E., Allen, T. D., Deutsch, U., Lobe, C. G."Postnatal Notch1 activation induces T‑cell malignancy in conditional and inducible mouse models". International Journal of Oncology 45.5 (2014): 1997-2004.
Chicago
Liu, J., Dong, F., Fung, I., Chen, E., Allen, T. D., Deutsch, U., Lobe, C. G."Postnatal Notch1 activation induces T‑cell malignancy in conditional and inducible mouse models". International Journal of Oncology 45, no. 5 (2014): 1997-2004. https://doi.org/10.3892/ijo.2014.2626
Copy and paste a formatted citation
x
Spandidos Publications style
Liu J, Dong F, Fung I, Chen E, Allen TD, Deutsch U and Lobe CG: Postnatal Notch1 activation induces T‑cell malignancy in conditional and inducible mouse models. Int J Oncol 45: 1997-2004, 2014.
APA
Liu, J., Dong, F., Fung, I., Chen, E., Allen, T.D., Deutsch, U., & Lobe, C.G. (2014). Postnatal Notch1 activation induces T‑cell malignancy in conditional and inducible mouse models. International Journal of Oncology, 45, 1997-2004. https://doi.org/10.3892/ijo.2014.2626
MLA
Liu, J., Dong, F., Fung, I., Chen, E., Allen, T. D., Deutsch, U., Lobe, C. G."Postnatal Notch1 activation induces T‑cell malignancy in conditional and inducible mouse models". International Journal of Oncology 45.5 (2014): 1997-2004.
Chicago
Liu, J., Dong, F., Fung, I., Chen, E., Allen, T. D., Deutsch, U., Lobe, C. G."Postnatal Notch1 activation induces T‑cell malignancy in conditional and inducible mouse models". International Journal of Oncology 45, no. 5 (2014): 1997-2004. https://doi.org/10.3892/ijo.2014.2626
Follow us
  • Twitter
  • LinkedIn
  • Facebook
About
  • Spandidos Publications
  • Careers
  • Cookie Policy
  • Privacy Policy
How can we help?
  • Help
  • Live Chat
  • Contact
  • Email to our Support Team