Spandidos Publications Logo
  • About
    • About Spandidos
    • Aims and Scopes
    • Abstracting and Indexing
    • Editorial Policies
    • Reprints and Permissions
    • Job Opportunities
    • Terms and Conditions
    • Contact
  • Journals
    • All Journals
    • Oncology Letters
      • Oncology Letters
      • Information for Authors
      • Editorial Policies
      • Editorial Board
      • Aims and Scope
      • Abstracting and Indexing
      • Bibliographic Information
      • Archive
    • International Journal of Oncology
      • International Journal of Oncology
      • Information for Authors
      • Editorial Policies
      • Editorial Board
      • Aims and Scope
      • Abstracting and Indexing
      • Bibliographic Information
      • Archive
    • Molecular and Clinical Oncology
      • Molecular and Clinical Oncology
      • Information for Authors
      • Editorial Policies
      • Editorial Board
      • Aims and Scope
      • Abstracting and Indexing
      • Bibliographic Information
      • Archive
    • Experimental and Therapeutic Medicine
      • Experimental and Therapeutic Medicine
      • Information for Authors
      • Editorial Policies
      • Editorial Board
      • Aims and Scope
      • Abstracting and Indexing
      • Bibliographic Information
      • Archive
    • International Journal of Molecular Medicine
      • International Journal of Molecular Medicine
      • Information for Authors
      • Editorial Policies
      • Editorial Board
      • Aims and Scope
      • Abstracting and Indexing
      • Bibliographic Information
      • Archive
    • Biomedical Reports
      • Biomedical Reports
      • Information for Authors
      • Editorial Policies
      • Editorial Board
      • Aims and Scope
      • Abstracting and Indexing
      • Bibliographic Information
      • Archive
    • Oncology Reports
      • Oncology Reports
      • Information for Authors
      • Editorial Policies
      • Editorial Board
      • Aims and Scope
      • Abstracting and Indexing
      • Bibliographic Information
      • Archive
    • Molecular Medicine Reports
      • Molecular Medicine Reports
      • Information for Authors
      • Editorial Policies
      • Editorial Board
      • Aims and Scope
      • Abstracting and Indexing
      • Bibliographic Information
      • Archive
    • World Academy of Sciences Journal
      • World Academy of Sciences Journal
      • Information for Authors
      • Editorial Policies
      • Editorial Board
      • Aims and Scope
      • Abstracting and Indexing
      • Bibliographic Information
      • Archive
    • International Journal of Functional Nutrition
      • International Journal of Functional Nutrition
      • Information for Authors
      • Editorial Policies
      • Editorial Board
      • Aims and Scope
      • Abstracting and Indexing
      • Bibliographic Information
      • Archive
    • International Journal of Epigenetics
      • International Journal of Epigenetics
      • Information for Authors
      • Editorial Policies
      • Editorial Board
      • Aims and Scope
      • Abstracting and Indexing
      • Bibliographic Information
      • Archive
    • Medicine International
      • Medicine International
      • Information for Authors
      • Editorial Policies
      • Editorial Board
      • Aims and Scope
      • Abstracting and Indexing
      • Bibliographic Information
      • Archive
  • Articles
  • Information
    • Information for Authors
    • Information for Reviewers
    • Information for Librarians
    • Information for Advertisers
    • Conferences
  • Language Editing
Spandidos Publications Logo
  • About
    • About Spandidos
    • Aims and Scopes
    • Abstracting and Indexing
    • Editorial Policies
    • Reprints and Permissions
    • Job Opportunities
    • Terms and Conditions
    • Contact
  • Journals
    • All Journals
    • Biomedical Reports
      • Information for Authors
      • Editorial Policies
      • Editorial Board
      • Aims and Scope
      • Abstracting and Indexing
      • Bibliographic Information
      • Archive
    • Experimental and Therapeutic Medicine
      • Information for Authors
      • Editorial Policies
      • Editorial Board
      • Aims and Scope
      • Abstracting and Indexing
      • Bibliographic Information
      • Archive
    • International Journal of Epigenetics
      • Information for Authors
      • Editorial Policies
      • Editorial Board
      • Aims and Scope
      • Abstracting and Indexing
      • Bibliographic Information
      • Archive
    • International Journal of Functional Nutrition
      • Information for Authors
      • Editorial Policies
      • Editorial Board
      • Aims and Scope
      • Abstracting and Indexing
      • Bibliographic Information
      • Archive
    • International Journal of Molecular Medicine
      • Information for Authors
      • Editorial Policies
      • Editorial Board
      • Aims and Scope
      • Abstracting and Indexing
      • Bibliographic Information
      • Archive
    • International Journal of Oncology
      • Information for Authors
      • Editorial Policies
      • Editorial Board
      • Aims and Scope
      • Abstracting and Indexing
      • Bibliographic Information
      • Archive
    • Medicine International
      • Information for Authors
      • Editorial Policies
      • Editorial Board
      • Aims and Scope
      • Abstracting and Indexing
      • Bibliographic Information
      • Archive
    • Molecular and Clinical Oncology
      • Information for Authors
      • Editorial Policies
      • Editorial Board
      • Aims and Scope
      • Abstracting and Indexing
      • Bibliographic Information
      • Archive
    • Molecular Medicine Reports
      • Information for Authors
      • Editorial Policies
      • Editorial Board
      • Aims and Scope
      • Abstracting and Indexing
      • Bibliographic Information
      • Archive
    • Oncology Letters
      • Information for Authors
      • Editorial Policies
      • Editorial Board
      • Aims and Scope
      • Abstracting and Indexing
      • Bibliographic Information
      • Archive
    • Oncology Reports
      • Information for Authors
      • Editorial Policies
      • Editorial Board
      • Aims and Scope
      • Abstracting and Indexing
      • Bibliographic Information
      • Archive
    • World Academy of Sciences Journal
      • Information for Authors
      • Editorial Policies
      • Editorial Board
      • Aims and Scope
      • Abstracting and Indexing
      • Bibliographic Information
      • Archive
  • Articles
  • Information
    • For Authors
    • For Reviewers
    • For Librarians
    • For Advertisers
    • Conferences
  • Language Editing
Login Register Submit
  • This site uses cookies
  • You can change your cookie settings at any time by following the instructions in our Cookie Policy. To find out more, you may read our Privacy Policy.

    I agree
Search articles by DOI, keyword, author or affiliation
Search
Advanced Search
presentation
International Journal of Oncology
Join Editorial Board Propose a Special Issue
Print ISSN: 1019-6439 Online ISSN: 1791-2423
Journal Cover
April-2015 Volume 46 Issue 4

Full Size Image

Cover Legend PDF

Sign up for eToc alerts
Recommend to Library

Journals

International Journal of Molecular Medicine

International Journal of Molecular Medicine

International Journal of Molecular Medicine is an international journal devoted to molecular mechanisms of human disease.

International Journal of Oncology

International Journal of Oncology

International Journal of Oncology is an international journal devoted to oncology research and cancer treatment.

Molecular Medicine Reports

Molecular Medicine Reports

Covers molecular medicine topics such as pharmacology, pathology, genetics, neuroscience, infectious diseases, molecular cardiology, and molecular surgery.

Oncology Reports

Oncology Reports

Oncology Reports is an international journal devoted to fundamental and applied research in Oncology.

Experimental and Therapeutic Medicine

Experimental and Therapeutic Medicine

Experimental and Therapeutic Medicine is an international journal devoted to laboratory and clinical medicine.

Oncology Letters

Oncology Letters

Oncology Letters is an international journal devoted to Experimental and Clinical Oncology.

Biomedical Reports

Biomedical Reports

Explores a wide range of biological and medical fields, including pharmacology, genetics, microbiology, neuroscience, and molecular cardiology.

Molecular and Clinical Oncology

Molecular and Clinical Oncology

International journal addressing all aspects of oncology research, from tumorigenesis and oncogenes to chemotherapy and metastasis.

World Academy of Sciences Journal

World Academy of Sciences Journal

Multidisciplinary open-access journal spanning biochemistry, genetics, neuroscience, environmental health, and synthetic biology.

International Journal of Functional Nutrition

International Journal of Functional Nutrition

Open-access journal combining biochemistry, pharmacology, immunology, and genetics to advance health through functional nutrition.

International Journal of Epigenetics

International Journal of Epigenetics

Publishes open-access research on using epigenetics to advance understanding and treatment of human disease.

Medicine International

Medicine International

An International Open Access Journal Devoted to General Medicine.

Journal Cover
April-2015 Volume 46 Issue 4

Full Size Image

Cover Legend PDF

Sign up for eToc alerts
Recommend to Library

  • Article
  • Citations
    • Cite This Article
    • Download Citation
    • Create Citation Alert
    • Remove Citation Alert
    • Cited By
  • Similar Articles
    • Related Articles (in Spandidos Publications)
    • Similar Articles (Google Scholar)
    • Similar Articles (PubMed)
  • Download PDF
  • Download XML
  • View XML
Article Open Access

A novel point-of-care system for high-speed real-time polymerase chain reaction testing for epidermal growth factor receptor mutations in bronchial lavage fluids after transbronchial biopsy in patients with non-small cell lung cancer

  • Authors:
    • Tomohiro Sakamoto
    • Masahiro Kodani
    • Miyako Takata
    • Hiroki Chikumi
    • Masaki Nakamoto
    • Shizuka Nishii-Ito
    • Yasuto Ueda
    • Hiroki Izumi
    • Haruhiko Makino
    • Hirokazu Touge
    • Kenichi Takeda
    • Akira Yamasaki
    • Masaaki Yanai
    • Natsumi Tanaka
    • Tadashi Igishi
    • Eiji Shimizu
  • View Affiliations / Copyright

    Affiliations: Division of Medical Oncology and Molecular Respirology, Faculty of Medicine, Tottori University, Yonago, Japan
    Copyright: © Sakamoto et al. This is an open access article distributed under the terms of Creative Commons Attribution License [CC BY_NC 3.0].
  • Pages: 1473-1480
    |
    Published online on: February 4, 2015
       https://doi.org/10.3892/ijo.2015.2875
  • Expand metrics +
Metrics: Total Views: 0 (Spandidos Publications: | PMC Statistics: )
Metrics: Total PDF Downloads: 0 (Spandidos Publications: | PMC Statistics: )
Cited By (CrossRef): 0 citations Loading Articles...

This article is mentioned in:



Abstract

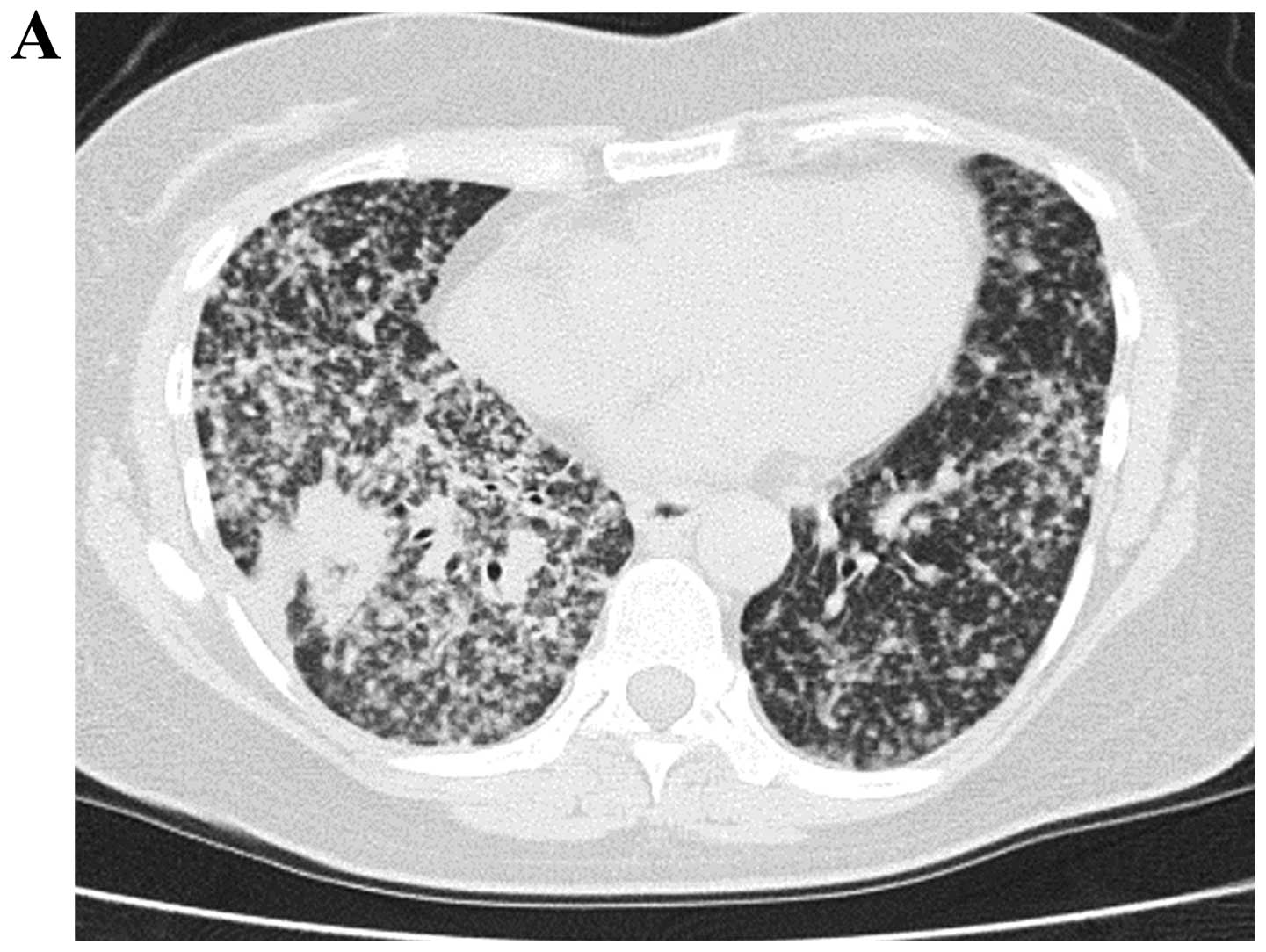
Epidermal growth factor receptor (EGFR) gene mutation testing is essential for choosing appropriate treatment options in patients with advanced non-small cell lung cancer (NSCLC). However, a time delay occurs between histological diagnosis and molecular diagnosis in clinical situations. To minimize this delay, we developed a novel point-of-care test for EGFR mutations, based on a high-speed real-time polymerase chain reaction (PCR) system designated here as ultrarapid PCR combined with highly accurate bronchoscopic sampling. We investigated whether our system for detecting EGFR mutations was valid by comparing test results with those obtained using a commercialized EGFR mutation test. We obtained small amounts of bronchial lavage fluids after transbronchial biopsies (TBBs) were performed on enrolled patients (n=168) who underwent endobronchial ultrasonography using a guide sheath (EBUS-GS). EGFR mutation analysis was performed by ultrarapid PCR immediately after EBUS-GS-TBBs were obtained (on the same day). After pathological diagnoses of NSCLC, EGFR mutation status in formalin-fixed, paraffin- embedded samples was confirmed by the PCR-invader method, and the concordance rates between the PCR methods were compared. The total diagnostic yield of EBUS-GS-TBB was 91.0%. The positive concordance rates for detecting 19del and L858R with the ultrarapid PCR and PCR-invader methods were both 100%. Negative concordance rates were 97.2 and 98.1%, respectively. We also demonstrated a dramatic effect of early erlotinib administration, based on ultrarapid PCR results, for a 52-year-old woman suffering from respiratory failure due to severe intrapulmonary metastases with poor performance status. In conclusion, ultrarapid PCR combined with EBUS-GS-TBB enabled rapid and reliable point-of-care testing for EGFR mutations.
View Figures

Figure 1

Figure 2

Figure 3

Figure 4

View References

1 

Fukuoka M, Wu YL, Thongprasert S, et al: Biomarker analyses and final overall survival results from a phase III, randomized, open-label, first-line study of gefitinib versus carboplatin/paclitaxel in clinically selected patients with advanced non-small-cell lung cancer in Asia (IPASS). J Clin Oncol. 29:2866–2874. 2011. View Article : Google Scholar : PubMed/NCBI

2 

Maemondo M, Inoue A, Kobayashi K, et al: Gefitinib or chemotherapy for non-small-cell lung cancer with mutated EGFR. N Engl J Med. 362:2380–2388. 2010. View Article : Google Scholar : PubMed/NCBI

3 

Mitsudomi T, Morita S, Yatabe Y, et al: Gefitinib versus cisplatin plus docetaxel in patients with non-small-cell lung cancer harbouring mutations of the epidermal growth factor receptor (WJTOG3405): an open label, randomised phase 3 trial. Lancet Oncol. 11:121–128. 2010. View Article : Google Scholar

4 

Paez JG, Janne PA, Lee JC, et al: EGFR mutations in lung cancer: correlation with clinical response to gefitinib therapy. Science. 304:1497–1500. 2004. View Article : Google Scholar : PubMed/NCBI

5 

Zhou C, Wu YL, Chen G, et al: Erlotinib versus chemotherapy as first-line treatment for patients with advanced EGFR mutation-positive non-small-cell lung cancer (OPTIMAL, CTONG-0802): a multicentre, open-label, randomised, phase 3 study. Lancet Oncol. 12:735–742. 2011. View Article : Google Scholar : PubMed/NCBI

6 

Asano H, Toyooka S, Tokumo M, et al: Detection of EGFR gene mutation in lung cancer by mutant-enriched polymerase chain reaction assay. Clin Cancer Res. 12:43–48. 2006. View Article : Google Scholar : PubMed/NCBI

7 

Hoshi K, Takakura H, Mitani Y, et al: Rapid detection of epidermal growth factor receptor mutations in lung cancer by the SMart-Amplification Process. Clin Cancer Res. 13:4974–4983. 2007. View Article : Google Scholar : PubMed/NCBI

8 

Hall JG, Eis PS, Law SM, et al: Sensitive detection of DNA polymorphisms by the serial invasive signal amplification reaction. Proc Natl Acad Sci USA. 97:8272–8277. 2000. View Article : Google Scholar : PubMed/NCBI

9 

Nagai Y, Miyazawa H, Huqun, et al: Genetic heterogeneity of the epidermal growth factor receptor in non-small cell lung cancer cell lines revealed by a rapid and sensitive detection system, the peptide nucleic acid-locked nucleic acid PCR clamp. Cancer Res. 65:7276–7282. 2005. View Article : Google Scholar : PubMed/NCBI

10 

Naoki K, Soejima K, Okamoto H, et al: The PCR-invader method (structure-specific 5′ nuclease-based method), a sensitive method for detecting EGFR gene mutations in lung cancer specimens; comparison with direct sequencing. Int J Clin Oncol. 16:335–344. 2011. View Article : Google Scholar : PubMed/NCBI

11 

Sasaki H, Endo K, Konishi A, et al: EGFR mutation status in Japanese lung cancer patients: genotyping analysis using LightCycler. Clin Cancer Res. 11:2924–2929. 2005. View Article : Google Scholar : PubMed/NCBI

12 

Fujimoto T, Konagaya M, Enomoto M, et al: Novel high-speed real-time PCR method (Hyper-PCR): results from its application to adenovirus diagnosis. Jpn J infect Dis. 63:31–35. 2010.PubMed/NCBI

13 

Asahina H, Yamazaki K, Onodera Y, Kikuchi E, Shinagawa N, Asano F and Nishimura M: Transbronchial biopsy using endobronchial ultrasonography with a guide sheath and virtual bronchoscopic navigation. Chest. 128:1761–1765. 2005. View Article : Google Scholar : PubMed/NCBI

14 

Asano F, Matsuno Y, Shinagawa N, Yamazaki K, Suzuki T, Ishida T and Moriya H: A virtual bronchoscopic navigation system for pulmonary peripheral lesions. Chest. 130:559–566. 2006. View Article : Google Scholar : PubMed/NCBI

15 

Eberhardt R, Anantham D, Ernst A, Feller-Kopman D and Herth F: Multimodality bronchoscopic diagnosis of peripheral lung lesions: a randomized controlled trial. Am J Respir Crit Care Med. 176:36–41. 2007. View Article : Google Scholar : PubMed/NCBI

16 

Eberhardt R, Kahn N, Gompelmann D, Schumann M, Heussel CP and Herth FJ: LungPoint - a new approach to peripheral lesions. J Thorac Oncol. 5:1559–1563. 2010. View Article : Google Scholar : PubMed/NCBI

17 

Fielding DI, Chia C, Nguyen P, Bashirzadeh F, Hundloe J, Brown IG and Steinke K: Prospective randomised trial of endobronchial ultrasound-guide sheath versus computed tomography-guided percutaneous core biopsies for peripheral lung lesions. Intern Med J. 42:894–900. 2012. View Article : Google Scholar : PubMed/NCBI

18 

Gildea TR, Mazzone PJ, Karnak D, Meziane M and Mehta AC: Electromagnetic navigation diagnostic bronchoscopy: a prospective study. Am J Respir Crit Care Med. 174:982–989. 2006. View Article : Google Scholar : PubMed/NCBI

19 

Seijo LM, de Torres JP, Lozano MD, Bastarrika G, Alcaide AB, Lacunza MM and Zulueta JJ: Diagnostic yield of electromagnetic navigation bronchoscopy is highly dependent on the presence of a Bronchus sign on CT imaging: results from a prospective study. Chest. 138:1316–1321. 2010. View Article : Google Scholar : PubMed/NCBI

20 

Kurimoto N, Miyazawa T, Okimasa S, Maeda A, Oiwa H, Miyazu Y and Murayama M: Endobronchial ultrasonography using a guide sheath increases the ability to diagnose peripheral pulmonary lesions endoscopically. Chest. 126:959–965. 2004. View Article : Google Scholar : PubMed/NCBI

21 

Kundel HL and Polansky M: Measurement of observer agreement. Radiology. 228:303–308. 2003. View Article : Google Scholar : PubMed/NCBI

22 

Landis JR and Koch GG: The measurement of observer agreement for categorical data. Biometrics. 33:159–174. 1977. View Article : Google Scholar : PubMed/NCBI

23 

Vansteenkiste J, De Ruysscher D, Eberhardt WE, Lim E, Senan S, Felip E and Peters S; ESMO Guidelines Working Group. Early and locally advanced non-small-cell lung cancer (NSCLC): ESMO Clinical Practice Guidelines for diagnosis, treatment and follow-up. Ann Oncol. 24(Suppl 6): vi89–vi98. 2013. View Article : Google Scholar : PubMed/NCBI

24 

Ishida T, Asano F, Yamazaki K, et al: Virtual bronchoscopic navigation combined with endobronchial ultrasound to diagnose small peripheral pulmonary lesions: a randamized trial. Thorax. 66:1072–1077. 2011. View Article : Google Scholar : PubMed/NCBI

25 

Yamaguchi F, Kugawa S, Tateno H, Kokubu F and Fukuchi K: Analysis of EGFR, KRAS and P53 mutations in lung cancer using cells in the curette lavage fluid obtained by bronchoscopy. Lung Cancer. 78:201–206. 2012. View Article : Google Scholar : PubMed/NCBI

26 

Jurado J, Saqi A, Maxfield R, et al: The efficacy of EBUS-guided transbronchial needle aspiration for molecular testing in lung adenocarcinoma. Ann Thorac Surg. 96:1196–1202. 2013. View Article : Google Scholar : PubMed/NCBI

27 

Santis G, Angell R, Nickless G, Quinn A, Herbert A, Cane P, Spicer J, Breen R, McLean E and Tobal K: Screening for EGFR and KRAS mutations in endobronchial ultrasound derived trans-bronchial needle aspirates in non-small cell lung cancer using COLD-PCR. PLoS One. 6:e251912011. View Article : Google Scholar

28 

Tsai TH, Yang CY, Ho CC, et al: Multi-gene analyses from waste brushing specimens for patients with peripheral lung cancer receiving EBUS-assisted bronchoscopy. Lung Cancer. 82:420–425. 2013. View Article : Google Scholar : PubMed/NCBI

29 

Lewandowska MA, Jozwicki W, Jochymski C and Kowalewski J: Application of PCR methods to evaluate EGFR, KRAS and BRAF mutations in a small number of tumor cells in cytological material from lung cancer patients. Oncol Rep. 30:1045–1052. 2013.PubMed/NCBI

30 

van Eijk R, Licht J, Schrumpf M, et al: Rapid KRAS, EGFR, BRAF and PIK3CA mutation analysis of fine needle aspirates from non-small-cell lung cancer using allele-specific qPCR. PLoS One. 6:e177912011. View Article : Google Scholar : PubMed/NCBI

31 

Buttitta F, Felicioni L, Del Grammastro M, et al: Effective assessment of egfr mutation status in bronchoalveolar lavage and pleural fluids by next-generation sequencing. Clin Cancer Res. 19:691–698. 2013. View Article : Google Scholar

32 

Pfister DG, Johnson DH, Azzoli CG, et al: American Society of Clinical Oncology treatment of unresectable non-small-cell lung cancer guideline: update 2003. J Clin Oncol. 22:330–353. 2004. View Article : Google Scholar

33 

Inoue A, Kobayashi K, Usui K, et al: First-line gefitinib for patients with advanced non-small-cell lung cancer harboring epidermal growth factor receptor mutations without indication for chemotherapy. J Clin Oncol. 27:1394–1400. 2009. View Article : Google Scholar : PubMed/NCBI

34 

Kudoh S, Kato H, Nishiwaki Y, et al: Interstitial lung disease in Japanese patients with lung cancer: a cohort and nested case-control study. Am J Respir Crit Care Med. 177:1348–1357. 2008. View Article : Google Scholar : PubMed/NCBI

35 

Mitsudomi T and Yatabe Y: Mutations of the epidermal growth factor receptor gene and related genes as determinants of epidermal growth factor receptor tyrosine kinase inhibitors sensitivity in lung cancer. Cancer Sci. 98:1817–1824. 2007. View Article : Google Scholar : PubMed/NCBI

36 

Watanabe S, Minegishi Y, Yoshizawa H, et al: Effectiveness of gefitinib against non-small-cell lung cancer with uncommon EGFR mutations G719X and L861Q. J Thorac Oncol. 9:189–194. 2014. View Article : Google Scholar : PubMed/NCBI

37 

Cross DA, Ashton SE, Ghiorghiu S, et al: AZD9291, an irreversible EGFR TKI, overcomes T790M-mediated resistance to EGFR inhibitors in lung cancer. Cancer Dicov. 4:1046–1061. 2014. View Article : Google Scholar

Related Articles

  • Abstract
  • View
  • Download
  • Twitter
Copy and paste a formatted citation
Spandidos Publications style
Sakamoto T, Kodani M, Takata M, Chikumi H, Nakamoto M, Nishii-Ito S, Ueda Y, Izumi H, Makino H, Touge H, Touge H, et al: A novel point-of-care system for high-speed real-time polymerase chain reaction testing for epidermal growth factor receptor mutations in bronchial lavage fluids after transbronchial biopsy in patients with non-small cell lung cancer. Int J Oncol 46: 1473-1480, 2015.
APA
Sakamoto, T., Kodani, M., Takata, M., Chikumi, H., Nakamoto, M., Nishii-Ito, S. ... Shimizu, E. (2015). A novel point-of-care system for high-speed real-time polymerase chain reaction testing for epidermal growth factor receptor mutations in bronchial lavage fluids after transbronchial biopsy in patients with non-small cell lung cancer. International Journal of Oncology, 46, 1473-1480. https://doi.org/10.3892/ijo.2015.2875
MLA
Sakamoto, T., Kodani, M., Takata, M., Chikumi, H., Nakamoto, M., Nishii-Ito, S., Ueda, Y., Izumi, H., Makino, H., Touge, H., Takeda, K., Yamasaki, A., Yanai, M., Tanaka, N., Igishi, T., Shimizu, E."A novel point-of-care system for high-speed real-time polymerase chain reaction testing for epidermal growth factor receptor mutations in bronchial lavage fluids after transbronchial biopsy in patients with non-small cell lung cancer". International Journal of Oncology 46.4 (2015): 1473-1480.
Chicago
Sakamoto, T., Kodani, M., Takata, M., Chikumi, H., Nakamoto, M., Nishii-Ito, S., Ueda, Y., Izumi, H., Makino, H., Touge, H., Takeda, K., Yamasaki, A., Yanai, M., Tanaka, N., Igishi, T., Shimizu, E."A novel point-of-care system for high-speed real-time polymerase chain reaction testing for epidermal growth factor receptor mutations in bronchial lavage fluids after transbronchial biopsy in patients with non-small cell lung cancer". International Journal of Oncology 46, no. 4 (2015): 1473-1480. https://doi.org/10.3892/ijo.2015.2875
Copy and paste a formatted citation
x
Spandidos Publications style
Sakamoto T, Kodani M, Takata M, Chikumi H, Nakamoto M, Nishii-Ito S, Ueda Y, Izumi H, Makino H, Touge H, Touge H, et al: A novel point-of-care system for high-speed real-time polymerase chain reaction testing for epidermal growth factor receptor mutations in bronchial lavage fluids after transbronchial biopsy in patients with non-small cell lung cancer. Int J Oncol 46: 1473-1480, 2015.
APA
Sakamoto, T., Kodani, M., Takata, M., Chikumi, H., Nakamoto, M., Nishii-Ito, S. ... Shimizu, E. (2015). A novel point-of-care system for high-speed real-time polymerase chain reaction testing for epidermal growth factor receptor mutations in bronchial lavage fluids after transbronchial biopsy in patients with non-small cell lung cancer. International Journal of Oncology, 46, 1473-1480. https://doi.org/10.3892/ijo.2015.2875
MLA
Sakamoto, T., Kodani, M., Takata, M., Chikumi, H., Nakamoto, M., Nishii-Ito, S., Ueda, Y., Izumi, H., Makino, H., Touge, H., Takeda, K., Yamasaki, A., Yanai, M., Tanaka, N., Igishi, T., Shimizu, E."A novel point-of-care system for high-speed real-time polymerase chain reaction testing for epidermal growth factor receptor mutations in bronchial lavage fluids after transbronchial biopsy in patients with non-small cell lung cancer". International Journal of Oncology 46.4 (2015): 1473-1480.
Chicago
Sakamoto, T., Kodani, M., Takata, M., Chikumi, H., Nakamoto, M., Nishii-Ito, S., Ueda, Y., Izumi, H., Makino, H., Touge, H., Takeda, K., Yamasaki, A., Yanai, M., Tanaka, N., Igishi, T., Shimizu, E."A novel point-of-care system for high-speed real-time polymerase chain reaction testing for epidermal growth factor receptor mutations in bronchial lavage fluids after transbronchial biopsy in patients with non-small cell lung cancer". International Journal of Oncology 46, no. 4 (2015): 1473-1480. https://doi.org/10.3892/ijo.2015.2875
Follow us
  • Twitter
  • LinkedIn
  • Facebook
About
  • Spandidos Publications
  • Careers
  • Cookie Policy
  • Privacy Policy
How can we help?
  • Help
  • Live Chat
  • Contact
  • Email to our Support Team