Spandidos Publications Logo
  • About
    • About Spandidos
    • Aims and Scopes
    • Abstracting and Indexing
    • Editorial Policies
    • Reprints and Permissions
    • Job Opportunities
    • Terms and Conditions
    • Contact
  • Journals
    • All Journals
    • Oncology Letters
      • Oncology Letters
      • Information for Authors
      • Editorial Policies
      • Editorial Board
      • Aims and Scope
      • Abstracting and Indexing
      • Bibliographic Information
      • Archive
    • International Journal of Oncology
      • International Journal of Oncology
      • Information for Authors
      • Editorial Policies
      • Editorial Board
      • Aims and Scope
      • Abstracting and Indexing
      • Bibliographic Information
      • Archive
    • Molecular and Clinical Oncology
      • Molecular and Clinical Oncology
      • Information for Authors
      • Editorial Policies
      • Editorial Board
      • Aims and Scope
      • Abstracting and Indexing
      • Bibliographic Information
      • Archive
    • Experimental and Therapeutic Medicine
      • Experimental and Therapeutic Medicine
      • Information for Authors
      • Editorial Policies
      • Editorial Board
      • Aims and Scope
      • Abstracting and Indexing
      • Bibliographic Information
      • Archive
    • International Journal of Molecular Medicine
      • International Journal of Molecular Medicine
      • Information for Authors
      • Editorial Policies
      • Editorial Board
      • Aims and Scope
      • Abstracting and Indexing
      • Bibliographic Information
      • Archive
    • Biomedical Reports
      • Biomedical Reports
      • Information for Authors
      • Editorial Policies
      • Editorial Board
      • Aims and Scope
      • Abstracting and Indexing
      • Bibliographic Information
      • Archive
    • Oncology Reports
      • Oncology Reports
      • Information for Authors
      • Editorial Policies
      • Editorial Board
      • Aims and Scope
      • Abstracting and Indexing
      • Bibliographic Information
      • Archive
    • Molecular Medicine Reports
      • Molecular Medicine Reports
      • Information for Authors
      • Editorial Policies
      • Editorial Board
      • Aims and Scope
      • Abstracting and Indexing
      • Bibliographic Information
      • Archive
    • World Academy of Sciences Journal
      • World Academy of Sciences Journal
      • Information for Authors
      • Editorial Policies
      • Editorial Board
      • Aims and Scope
      • Abstracting and Indexing
      • Bibliographic Information
      • Archive
    • International Journal of Functional Nutrition
      • International Journal of Functional Nutrition
      • Information for Authors
      • Editorial Policies
      • Editorial Board
      • Aims and Scope
      • Abstracting and Indexing
      • Bibliographic Information
      • Archive
    • International Journal of Epigenetics
      • International Journal of Epigenetics
      • Information for Authors
      • Editorial Policies
      • Editorial Board
      • Aims and Scope
      • Abstracting and Indexing
      • Bibliographic Information
      • Archive
    • Medicine International
      • Medicine International
      • Information for Authors
      • Editorial Policies
      • Editorial Board
      • Aims and Scope
      • Abstracting and Indexing
      • Bibliographic Information
      • Archive
  • Articles
  • Information
    • Information for Authors
    • Information for Reviewers
    • Information for Librarians
    • Information for Advertisers
    • Conferences
  • Language Editing
Spandidos Publications Logo
  • About
    • About Spandidos
    • Aims and Scopes
    • Abstracting and Indexing
    • Editorial Policies
    • Reprints and Permissions
    • Job Opportunities
    • Terms and Conditions
    • Contact
  • Journals
    • All Journals
    • Biomedical Reports
      • Information for Authors
      • Editorial Policies
      • Editorial Board
      • Aims and Scope
      • Abstracting and Indexing
      • Bibliographic Information
      • Archive
    • Experimental and Therapeutic Medicine
      • Information for Authors
      • Editorial Policies
      • Editorial Board
      • Aims and Scope
      • Abstracting and Indexing
      • Bibliographic Information
      • Archive
    • International Journal of Epigenetics
      • Information for Authors
      • Editorial Policies
      • Editorial Board
      • Aims and Scope
      • Abstracting and Indexing
      • Bibliographic Information
      • Archive
    • International Journal of Functional Nutrition
      • Information for Authors
      • Editorial Policies
      • Editorial Board
      • Aims and Scope
      • Abstracting and Indexing
      • Bibliographic Information
      • Archive
    • International Journal of Molecular Medicine
      • Information for Authors
      • Editorial Policies
      • Editorial Board
      • Aims and Scope
      • Abstracting and Indexing
      • Bibliographic Information
      • Archive
    • International Journal of Oncology
      • Information for Authors
      • Editorial Policies
      • Editorial Board
      • Aims and Scope
      • Abstracting and Indexing
      • Bibliographic Information
      • Archive
    • Medicine International
      • Information for Authors
      • Editorial Policies
      • Editorial Board
      • Aims and Scope
      • Abstracting and Indexing
      • Bibliographic Information
      • Archive
    • Molecular and Clinical Oncology
      • Information for Authors
      • Editorial Policies
      • Editorial Board
      • Aims and Scope
      • Abstracting and Indexing
      • Bibliographic Information
      • Archive
    • Molecular Medicine Reports
      • Information for Authors
      • Editorial Policies
      • Editorial Board
      • Aims and Scope
      • Abstracting and Indexing
      • Bibliographic Information
      • Archive
    • Oncology Letters
      • Information for Authors
      • Editorial Policies
      • Editorial Board
      • Aims and Scope
      • Abstracting and Indexing
      • Bibliographic Information
      • Archive
    • Oncology Reports
      • Information for Authors
      • Editorial Policies
      • Editorial Board
      • Aims and Scope
      • Abstracting and Indexing
      • Bibliographic Information
      • Archive
    • World Academy of Sciences Journal
      • Information for Authors
      • Editorial Policies
      • Editorial Board
      • Aims and Scope
      • Abstracting and Indexing
      • Bibliographic Information
      • Archive
  • Articles
  • Information
    • For Authors
    • For Reviewers
    • For Librarians
    • For Advertisers
    • Conferences
  • Language Editing
Login Register Submit
  • This site uses cookies
  • You can change your cookie settings at any time by following the instructions in our Cookie Policy. To find out more, you may read our Privacy Policy.

    I agree
Search articles by DOI, keyword, author or affiliation
Search
Advanced Search
presentation
Molecular and Clinical Oncology
Join Editorial Board Propose a Special Issue
Print ISSN: 2049-9450 Online ISSN: 2049-9469
Journal Cover
January-February 2013 Volume 1 Issue 1

Full Size Image

Sign up for eToc alerts
Recommend to Library

Journals

International Journal of Molecular Medicine

International Journal of Molecular Medicine

International Journal of Molecular Medicine is an international journal devoted to molecular mechanisms of human disease.

International Journal of Oncology

International Journal of Oncology

International Journal of Oncology is an international journal devoted to oncology research and cancer treatment.

Molecular Medicine Reports

Molecular Medicine Reports

Covers molecular medicine topics such as pharmacology, pathology, genetics, neuroscience, infectious diseases, molecular cardiology, and molecular surgery.

Oncology Reports

Oncology Reports

Oncology Reports is an international journal devoted to fundamental and applied research in Oncology.

Experimental and Therapeutic Medicine

Experimental and Therapeutic Medicine

Experimental and Therapeutic Medicine is an international journal devoted to laboratory and clinical medicine.

Oncology Letters

Oncology Letters

Oncology Letters is an international journal devoted to Experimental and Clinical Oncology.

Biomedical Reports

Biomedical Reports

Explores a wide range of biological and medical fields, including pharmacology, genetics, microbiology, neuroscience, and molecular cardiology.

Molecular and Clinical Oncology

Molecular and Clinical Oncology

International journal addressing all aspects of oncology research, from tumorigenesis and oncogenes to chemotherapy and metastasis.

World Academy of Sciences Journal

World Academy of Sciences Journal

Multidisciplinary open-access journal spanning biochemistry, genetics, neuroscience, environmental health, and synthetic biology.

International Journal of Functional Nutrition

International Journal of Functional Nutrition

Open-access journal combining biochemistry, pharmacology, immunology, and genetics to advance health through functional nutrition.

International Journal of Epigenetics

International Journal of Epigenetics

Publishes open-access research on using epigenetics to advance understanding and treatment of human disease.

Medicine International

Medicine International

An International Open Access Journal Devoted to General Medicine.

Journal Cover
January-February 2013 Volume 1 Issue 1

Full Size Image

Sign up for eToc alerts
Recommend to Library

  • Article
  • Citations
    • Cite This Article
    • Download Citation
    • Create Citation Alert
    • Remove Citation Alert
    • Cited By
  • Similar Articles
    • Related Articles (in Spandidos Publications)
    • Similar Articles (Google Scholar)
    • Similar Articles (PubMed)
  • Download PDF
  • Download XML
  • View XML
Article

Diversity of angiogenesis among malignant bone tumors

  • Authors:
    • Tadahiko Kubo
    • Shoji Shimose
    • Jun Fujimori
    • Koji Arihiro
    • Mitsuo Ochi
  • View Affiliations / Copyright

    Affiliations: Department of Orthopaedic Surgery, Graduate School of Biomedical Sciences, Hiroshima University, Hiroshima 734-8551, Japan, Department of Anatomical Pathology, Hiroshima University Hospital, Minami-ku, Hiroshima 734-8551, Japan
  • Pages: 131-136
    |
    Published online on: August 10, 2012
       https://doi.org/10.3892/mco.2012.11
  • Expand metrics +
Metrics: Total Views: 0 (Spandidos Publications: | PMC Statistics: )
Metrics: Total PDF Downloads: 0 (Spandidos Publications: | PMC Statistics: )
Cited By (CrossRef): 0 citations Loading Articles...

This article is mentioned in:



Abstract

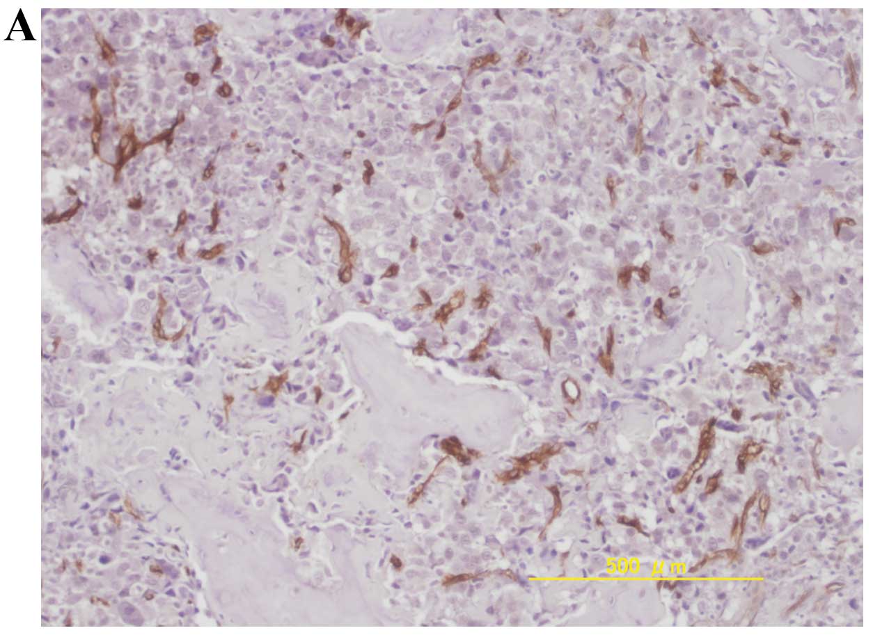
Several studies have demonstrated that angiogenesis assessed by microvessel density (MVD) correlates with patient prognosis in various types of cancer, whereas data regarding the relevance of angiogenesis and prognosis in malignant bone tumors are scarce and controversial. The aim of this study was to examine MVD in representative malignant bone tumors, such as osteosarcoma, chondrosarcoma and Ewing's sarcoma, in order to clarify the role of angiogenesis in prognosis. A total of 69 patients with malignant bone tumors, including 44 osteosarcomas, 20 chondrosarcomas and 5 Ewing's sarcomas, were reviewed retrospectively and treated at our hospital between 1980 and 2007. Biopsy or pre-chemotherapy surgical specimens were immunohistochemically stained with anti-CD34 antibody. The MVD values of osteosarcomas and Ewing's sarcomas were significantly higher compared to chondrosarcoma. In osteosarcomas with high MVD, American Joint Committee on Cancer stage IIA, good histological response to chemotherapy was significantly correlated with better disease-free survival, while MVD was closely associated with age and chemotherapy response. In chondrosarcomas, the surgical margin (marginal and intralesional), MVD (high), tumor size (≥8) and histological grade (grades 2 and 3) significantly correlated with a shorter disease-free survival, while MVD was closely associated with age and histological grade. These findings showed that osteosarcomas and Ewing's sarcomas were hypervascular, compared to chondrosarcomas. In osteosarcomas, hypervascularity induced good chemotherapy response, leading to better prognosis, while in chondrosarcomas, high MVD was associated with histological grade and predicted poor prognosis.
View Figures

Figure 1

Figure 2

View References

1. 

Bacci G, Briccoli A, Ferrari S, et al: Neoadjuvant chemotherapy for osteosarcoma of the extremity: long-term results of the Rizzoli’s 4th protocol. Eur J Cancer. 37:2030–2039. 2001.

2. 

Bielack SS, Kempf-Bielack B, Delling G, et al: Prognostic factors in high-grade osteosarcoma of the extremities or trunk: an analysis of 1,702 patients treated on neoadjuvant cooperative osteosarcoma study group protocols. J Clin Oncol. 20:776–790. 2002.

3. 

Paulussen M, Fröhlich B and Jürgens H: Ewing tumour: incidence, prognosis and treatment options. Paediatr Drugs. 3:899–913. 2001.

4. 

Paulussen M, Ahrens S, Dunst J, et al: Localized Ewing tumor of bone: final results of the cooperative Ewing’s Sarcoma Study CESS 86. J Clin Oncol. 19:1818–1829. 2001.

5. 

Rizzo M, Ghert MA, Harrelson JM and Scully SP: Chondrosarcoma of bone: analysis of 108 cases and evaluation for predictors of outcome. Clin Orthop Relat Res. 391:224–233. 2001.

6. 

Welkerling H, Kratz S, Ewerbeck V and Delling G: A reproducible and simple grading system for classical chondrosarcomas. Analysis of 35 chondrosarcomas and 16 enchondromas with emphasis on recurrence rate and radiological and clinical data. Virchows Arch. 443:725–733. 2003.

7. 

Folkman J, Watson K, Ingber D and Hanahan D: Induction of angiogenesis during the transition from hyperplasia to neoplasia. Nature. 339:58–61. 1989.

8. 

Hasan J, Byers R and Jayson GC: Intra-tumoural microvessel density in human solid tumours. Br J Cancer. 86:1566–1577. 2002.

9. 

Kawaguchi N, Matumoto S and Manabe J: New method of evaluating the surgical margin and safety margin for musculoskeletal sarcoma, analysed on the basis of 457 surgical cases. J Cancer Res Clin Oncol. 121:555–563. 1995.

10. 

Huvos AG: Bone Tumors: Diagnosis, Treatment, and Prognosis. 2nd edition. W.B. Saunders; Philadelphia: pp. 85–155. 1991

11. 

Weidner N, Semple JP, Welch WR and Folkman J: Tumor angiogenesis and metastasis-correlation in invasive breast carcinoma. N Engl J Med. 324:1–8. 1991.

12. 

Iwamoto Y, Tanaka K, Isu K, et al: Multiinstitutional phase II study of neoadjuvant chemotherapy for osteosarcoma (NECO study) in Japan: NECO-93J and NECO-95J. J Orthop Sci. 14:397–404. 2009.

13. 

Kimura H, Tsuchiya H, Shirai T, et al: Caffeine-potentiated chemotherapy for metastatic osteosarcoma. J Orthop Sci. 14:556–565. 2009.

14. 

Mikulić D, Ilić I, Cepulić M, et al: Tumor angiogenesis and outcome in osteosarcoma. Pediatr Hematol Oncol. 21:611–619. 2004.

15. 

Kaya M, Wada T, Nagoya S, Sasaki M, Matsumura T and Yamashita T: The level of vascular endothelial growth factor as a predictor of a poor prognosis in osteosarcoma. J Bone Joint Surg Br. 91:784–788. 2009.

16. 

Mantadakis E, Kim G, Reisch J, et al: Lack of prognostic significance of intratumoral angiogenesis in nonmetastatic osteosarcoma. J Pediatr Hematol Oncol. 23:286–289. 2001.

17. 

Ek ET, Ojaimi J, Kitagawa Y and Choong PF: Does the degree of intratumoural microvessel density and VEGF expression have prognostic significance in osteosarcoma? Oncol Rep. 16:17–23. 2006.

18. 

Ek ET, Ojaimi J, Kitagawa Y and Choong PF: Outcome of patients with osteosarcoma over 40 years of age: is angiogenesis a marker of survival? Int Semin Surg Oncol. 3:72006.

19. 

Kreuter M, Bieker R, Bielack SS, et al: Prognostic relevance of increased angiogenesis in osteosarcoma. Clin Cancer Res. 10:8531–8537. 2004.

20. 

Ayala G, Liu C, Nicosia R, Horowitz S and Lackman R: Microvasculature and VEGF expression in cartilaginous tumors. Hum Pathol. 31:341–346. 2000.

21. 

McGough RL, Aswad BI and Terek RM: Pathologic neovascularization in cartilage tumors. Clin Orthop Relat Res. 397:76–82. 2002.

22. 

McGough RL, Lin C, Meitner P, Aswad BI and Terek RM: Angiogenic cytokines in cartilage tumors. Clin Orthop Relat Res. 397:62–69. 2002.

23. 

Kalinski T, Sel S, Kouznetsova I, Röpke M and Roessner A: Heterogeneity of angiogenesis and blood vessel maturation in cartilage tumors. Pathol Res Pract. 205:339–345. 2009.

24. 

Nakagawa SA, Lopes A, Lopes de Carvalho A, et al: Nitric oxide synthases, cyclooxygenase-2, nitrotyrosine, and angiogenesis in chondrosarcoma and their relation to prognosis. J Bone Joint Surg Am. 92:1738–1746. 2010.

25. 

Riedel RF, Larrier N, Dodd L, Kirsch D, Martinez S and Brigman BE: The clinical management of chondrosarcoma. Curr Treat Options Oncol. 10:94–106. 2009.

Related Articles

  • Abstract
  • View
  • Download
  • Twitter
Copy and paste a formatted citation
Spandidos Publications style
Kubo T, Shimose S, Fujimori J, Arihiro K and Ochi M: Diversity of angiogenesis among malignant bone tumors. Mol Clin Oncol 1: 131-136, 2013.
APA
Kubo, T., Shimose, S., Fujimori, J., Arihiro, K., & Ochi, M. (2013). Diversity of angiogenesis among malignant bone tumors. Molecular and Clinical Oncology, 1, 131-136. https://doi.org/10.3892/mco.2012.11
MLA
Kubo, T., Shimose, S., Fujimori, J., Arihiro, K., Ochi, M."Diversity of angiogenesis among malignant bone tumors". Molecular and Clinical Oncology 1.1 (2013): 131-136.
Chicago
Kubo, T., Shimose, S., Fujimori, J., Arihiro, K., Ochi, M."Diversity of angiogenesis among malignant bone tumors". Molecular and Clinical Oncology 1, no. 1 (2013): 131-136. https://doi.org/10.3892/mco.2012.11
Copy and paste a formatted citation
x
Spandidos Publications style
Kubo T, Shimose S, Fujimori J, Arihiro K and Ochi M: Diversity of angiogenesis among malignant bone tumors. Mol Clin Oncol 1: 131-136, 2013.
APA
Kubo, T., Shimose, S., Fujimori, J., Arihiro, K., & Ochi, M. (2013). Diversity of angiogenesis among malignant bone tumors. Molecular and Clinical Oncology, 1, 131-136. https://doi.org/10.3892/mco.2012.11
MLA
Kubo, T., Shimose, S., Fujimori, J., Arihiro, K., Ochi, M."Diversity of angiogenesis among malignant bone tumors". Molecular and Clinical Oncology 1.1 (2013): 131-136.
Chicago
Kubo, T., Shimose, S., Fujimori, J., Arihiro, K., Ochi, M."Diversity of angiogenesis among malignant bone tumors". Molecular and Clinical Oncology 1, no. 1 (2013): 131-136. https://doi.org/10.3892/mco.2012.11
Follow us
  • Twitter
  • LinkedIn
  • Facebook
About
  • Spandidos Publications
  • Careers
  • Cookie Policy
  • Privacy Policy
How can we help?
  • Help
  • Live Chat
  • Contact
  • Email to our Support Team