Spandidos Publications Logo
  • About
    • About Spandidos
    • Aims and Scopes
    • Abstracting and Indexing
    • Editorial Policies
    • Reprints and Permissions
    • Job Opportunities
    • Terms and Conditions
    • Contact
  • Journals
    • All Journals
    • Oncology Letters
      • Oncology Letters
      • Information for Authors
      • Editorial Policies
      • Editorial Board
      • Aims and Scope
      • Abstracting and Indexing
      • Bibliographic Information
      • Archive
    • International Journal of Oncology
      • International Journal of Oncology
      • Information for Authors
      • Editorial Policies
      • Editorial Board
      • Aims and Scope
      • Abstracting and Indexing
      • Bibliographic Information
      • Archive
    • Molecular and Clinical Oncology
      • Molecular and Clinical Oncology
      • Information for Authors
      • Editorial Policies
      • Editorial Board
      • Aims and Scope
      • Abstracting and Indexing
      • Bibliographic Information
      • Archive
    • Experimental and Therapeutic Medicine
      • Experimental and Therapeutic Medicine
      • Information for Authors
      • Editorial Policies
      • Editorial Board
      • Aims and Scope
      • Abstracting and Indexing
      • Bibliographic Information
      • Archive
    • International Journal of Molecular Medicine
      • International Journal of Molecular Medicine
      • Information for Authors
      • Editorial Policies
      • Editorial Board
      • Aims and Scope
      • Abstracting and Indexing
      • Bibliographic Information
      • Archive
    • Biomedical Reports
      • Biomedical Reports
      • Information for Authors
      • Editorial Policies
      • Editorial Board
      • Aims and Scope
      • Abstracting and Indexing
      • Bibliographic Information
      • Archive
    • Oncology Reports
      • Oncology Reports
      • Information for Authors
      • Editorial Policies
      • Editorial Board
      • Aims and Scope
      • Abstracting and Indexing
      • Bibliographic Information
      • Archive
    • Molecular Medicine Reports
      • Molecular Medicine Reports
      • Information for Authors
      • Editorial Policies
      • Editorial Board
      • Aims and Scope
      • Abstracting and Indexing
      • Bibliographic Information
      • Archive
    • World Academy of Sciences Journal
      • World Academy of Sciences Journal
      • Information for Authors
      • Editorial Policies
      • Editorial Board
      • Aims and Scope
      • Abstracting and Indexing
      • Bibliographic Information
      • Archive
    • International Journal of Functional Nutrition
      • International Journal of Functional Nutrition
      • Information for Authors
      • Editorial Policies
      • Editorial Board
      • Aims and Scope
      • Abstracting and Indexing
      • Bibliographic Information
      • Archive
    • International Journal of Epigenetics
      • International Journal of Epigenetics
      • Information for Authors
      • Editorial Policies
      • Editorial Board
      • Aims and Scope
      • Abstracting and Indexing
      • Bibliographic Information
      • Archive
    • Medicine International
      • Medicine International
      • Information for Authors
      • Editorial Policies
      • Editorial Board
      • Aims and Scope
      • Abstracting and Indexing
      • Bibliographic Information
      • Archive
  • Articles
  • Information
    • Information for Authors
    • Information for Reviewers
    • Information for Librarians
    • Information for Advertisers
    • Conferences
  • Language Editing
Spandidos Publications Logo
  • About
    • About Spandidos
    • Aims and Scopes
    • Abstracting and Indexing
    • Editorial Policies
    • Reprints and Permissions
    • Job Opportunities
    • Terms and Conditions
    • Contact
  • Journals
    • All Journals
    • Biomedical Reports
      • Information for Authors
      • Editorial Policies
      • Editorial Board
      • Aims and Scope
      • Abstracting and Indexing
      • Bibliographic Information
      • Archive
    • Experimental and Therapeutic Medicine
      • Information for Authors
      • Editorial Policies
      • Editorial Board
      • Aims and Scope
      • Abstracting and Indexing
      • Bibliographic Information
      • Archive
    • International Journal of Epigenetics
      • Information for Authors
      • Editorial Policies
      • Editorial Board
      • Aims and Scope
      • Abstracting and Indexing
      • Bibliographic Information
      • Archive
    • International Journal of Functional Nutrition
      • Information for Authors
      • Editorial Policies
      • Editorial Board
      • Aims and Scope
      • Abstracting and Indexing
      • Bibliographic Information
      • Archive
    • International Journal of Molecular Medicine
      • Information for Authors
      • Editorial Policies
      • Editorial Board
      • Aims and Scope
      • Abstracting and Indexing
      • Bibliographic Information
      • Archive
    • International Journal of Oncology
      • Information for Authors
      • Editorial Policies
      • Editorial Board
      • Aims and Scope
      • Abstracting and Indexing
      • Bibliographic Information
      • Archive
    • Medicine International
      • Information for Authors
      • Editorial Policies
      • Editorial Board
      • Aims and Scope
      • Abstracting and Indexing
      • Bibliographic Information
      • Archive
    • Molecular and Clinical Oncology
      • Information for Authors
      • Editorial Policies
      • Editorial Board
      • Aims and Scope
      • Abstracting and Indexing
      • Bibliographic Information
      • Archive
    • Molecular Medicine Reports
      • Information for Authors
      • Editorial Policies
      • Editorial Board
      • Aims and Scope
      • Abstracting and Indexing
      • Bibliographic Information
      • Archive
    • Oncology Letters
      • Information for Authors
      • Editorial Policies
      • Editorial Board
      • Aims and Scope
      • Abstracting and Indexing
      • Bibliographic Information
      • Archive
    • Oncology Reports
      • Information for Authors
      • Editorial Policies
      • Editorial Board
      • Aims and Scope
      • Abstracting and Indexing
      • Bibliographic Information
      • Archive
    • World Academy of Sciences Journal
      • Information for Authors
      • Editorial Policies
      • Editorial Board
      • Aims and Scope
      • Abstracting and Indexing
      • Bibliographic Information
      • Archive
  • Articles
  • Information
    • For Authors
    • For Reviewers
    • For Librarians
    • For Advertisers
    • Conferences
  • Language Editing
Login Register Submit
  • This site uses cookies
  • You can change your cookie settings at any time by following the instructions in our Cookie Policy. To find out more, you may read our Privacy Policy.

    I agree
Search articles by DOI, keyword, author or affiliation
Search
Advanced Search
presentation
Molecular and Clinical Oncology
Join Editorial Board Propose a Special Issue
Print ISSN: 2049-9450 Online ISSN: 2049-9469
Journal Cover
January-February 2013 Volume 1 Issue 1

Full Size Image

Sign up for eToc alerts
Recommend to Library

Journals

International Journal of Molecular Medicine

International Journal of Molecular Medicine

International Journal of Molecular Medicine is an international journal devoted to molecular mechanisms of human disease.

International Journal of Oncology

International Journal of Oncology

International Journal of Oncology is an international journal devoted to oncology research and cancer treatment.

Molecular Medicine Reports

Molecular Medicine Reports

Covers molecular medicine topics such as pharmacology, pathology, genetics, neuroscience, infectious diseases, molecular cardiology, and molecular surgery.

Oncology Reports

Oncology Reports

Oncology Reports is an international journal devoted to fundamental and applied research in Oncology.

Experimental and Therapeutic Medicine

Experimental and Therapeutic Medicine

Experimental and Therapeutic Medicine is an international journal devoted to laboratory and clinical medicine.

Oncology Letters

Oncology Letters

Oncology Letters is an international journal devoted to Experimental and Clinical Oncology.

Biomedical Reports

Biomedical Reports

Explores a wide range of biological and medical fields, including pharmacology, genetics, microbiology, neuroscience, and molecular cardiology.

Molecular and Clinical Oncology

Molecular and Clinical Oncology

International journal addressing all aspects of oncology research, from tumorigenesis and oncogenes to chemotherapy and metastasis.

World Academy of Sciences Journal

World Academy of Sciences Journal

Multidisciplinary open-access journal spanning biochemistry, genetics, neuroscience, environmental health, and synthetic biology.

International Journal of Functional Nutrition

International Journal of Functional Nutrition

Open-access journal combining biochemistry, pharmacology, immunology, and genetics to advance health through functional nutrition.

International Journal of Epigenetics

International Journal of Epigenetics

Publishes open-access research on using epigenetics to advance understanding and treatment of human disease.

Medicine International

Medicine International

An International Open Access Journal Devoted to General Medicine.

Journal Cover
January-February 2013 Volume 1 Issue 1

Full Size Image

Sign up for eToc alerts
Recommend to Library

  • Article
  • Citations
    • Cite This Article
    • Download Citation
    • Create Citation Alert
    • Remove Citation Alert
    • Cited By
  • Similar Articles
    • Related Articles (in Spandidos Publications)
    • Similar Articles (Google Scholar)
    • Similar Articles (PubMed)
  • Download PDF
  • Download XML
  • View XML
Case Report

Successful treatment of erythropoietin-producing advanced renal cell carcinoma after targeted therapy using sunitinib: Case report and review of the literature

  • Authors:
    • Kosuke Ueda
    • Shigetaka Suekane
    • Katsuaki Chikui
    • Makoto Nakiri
    • Fukuko Moriya
    • Tokumasa Hayashi
    • Jiro Miyajima
    • Kei Matsuoka
  • View Affiliations / Copyright

    Affiliations: Department of Urology, Kurume University School of Medicine, Kurume, Fukuoka 830-0011, Japan
  • Pages: 112-116
    |
    Published online on: August 3, 2012
       https://doi.org/10.3892/mco.2012.5
  • Expand metrics +
Metrics: Total Views: 0 (Spandidos Publications: | PMC Statistics: )
Metrics: Total PDF Downloads: 0 (Spandidos Publications: | PMC Statistics: )
Cited By (CrossRef): 0 citations Loading Articles...

This article is mentioned in:



Abstract

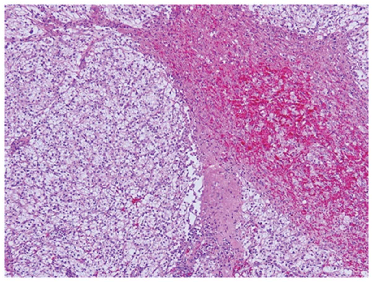
In general, only ≤5% of patients with renal cell carcinoma (RCC) develop paraneoplastic erythropoietin (EPO) overproduction‑induced polycythemia. However, a number of reports on EPO‑producing RCC are available. The present study aimed to report the first case of a patient demonstrating a therapeutic effect on EPO‑producing advanced RCC, subsequent to targeted pre‑surgical sunitinib therapy, with a review of the literature. The patient involved was a 62-year-old male who presented with a malformation of the left scrotum. Examination revealed a tumor of 73 mm in diameter along with lymph node metastasis. The histological examination indicated a clear cell RCC containing viable cells as well as hemorrhage and necrosis. EPO in cancer cells was confirmed by immunohistochemistry. Subsequently, a case of EPO-producing RCC with polycythemia was diagnosed. The EPO-producing RCC was successfully treated following targeted presurgical therapy with sunitinib.
View Figures

Figure 1

Figure 2

Figure 3

Figure 4

Figure 5

View References

1. 

Chow WH, Devesa SS, Warren JL and Fraumeni JF Jr: Rising incidence of renal cell carcinoma in the United States. JAMA. 281:1628–1638. 1999.

2. 

Marumo K, Kanayama H, Miyao N, Nakazawa H, Ozono S, Horie S, Nagamori S, Igarashi T, Hasegawa M, Kimura G, Nakao M, Nakamoto T and Naito S: Prevalence of renal cell carcinoma: a nation-wide survey in Japan, 2002. Int J Urol. 14:479–482. 2007.

3. 

Da Silva JL, Lacombe C, Bruneval P, Casadevall N, Leporrier M, Camilleri JP, Bariety J, Tambourin P and Varet B: Tumor cells are the site of erythropoietin synthesis in human renal cancers associated with polycythemia. Blood. 75:577–582. 1990.

4. 

Westenfelder C and Baranowski RL: Erythropoietin stimulates proliferation of human renal carcinoma cells. Kidney Int. 58:647–657. 2000.

5. 

Muta H, Funakoshi A, Baba T, Uike N, Wakasugi H, Kozuru M and Jimi A: Gene expression of erythropoietin in hepatocellular carcinoma. Intern Med. 33:427–431. 1994.

6. 

Trimble M, Caro J, Talalla A and Brain M: Secondary erythrocytosis due to a cerebellular hemangioblastoma: demonstration of erythropoietin mRNA in the tumor. Blood. 78:599–601. 1991.

7. 

Nseyo UO, Williams PD and Murphy GP: Clinical significance of erythropoietin levels in renal carcinoma. Urology. 28:301–306. 1986.

8. 

Motzer RJ, Bander NH and Nanus DM: Renal-cell carcinoma. N Engl J Med. 335:865–875. 1996.

9. 

Linehan WM, Pinto PA, Srinivasan R, Merino M, Choyke P, Choyke L, Coleman J, Toro J, Glenn G, Vocke C, Zbar B, Schmidt LS, Bottaro D and Neckers L: Identification of the genes for kidney cancer: opportunity for disease-specific targeted therapeutics. Clin Cancer Res. 13:671–679. 2007.

10. 

Prowse AH, Webster AR, Richards FM, Richard S, Olschwang S, Resche F, Affara NA and Maher ER: Somatic inactivation of the VHL gene in von Hippel-Lindau disease tumours. Am J Hum Genet. 60:765–771. 1997.

11. 

Na X, Wu G, Ryan CK, Schoen SR, di’Santagnese PA and Messing EM: Overproduction of vascular endothelial growth factor related to von Hippel-Lindau tumour suppressor gene mutations and hypoxia-inducible factor 1α expression in renal cell carcinoma. J Urol. 170:588–592. 2003.

12. 

Gong K, Zhang N, Zhang K and Na Y: The relationship of erythropoietin overexpression with von Hippel-Lindau tumour suppressor gene mutations between hypoxia-inducible factor-1α and -2α in sporadic clear cell renal carcinoma. Int J Mol Med. 26:907–912. 2010.

13. 

Alexandrescu DT, McClure R, Farzanmehr H and Dasanu CA: Secondary erythrocytosis produced by the tyrosine kinase inhibitors sunitinib and sorafenib. J Clin Oncol. 26:4047–4078. 2008.

14. 

Vroling L, van der Veldt AA, de Haas RR, Haanen JB, Schuurhuis GJ, Kuik DJ, van Cruijsen H, Verheul HM, van den Eertwegh AJ, Hoekman K, Boven E, van Hinsbergh VW and Broxterman HJ: Increased numbers of small circulating endothelial cells in renal cell cancer patients treated with sunitinib. Angiogenesis. 12:69–79. 2009.

15. 

Ebos JM, Lee CR, Christensen JG, Mutsaers AJ and Kerbel RS: Multiple circulating proangiogenic factors induced by sunitinib malate tumor-independent and correlate with antitumor efficacy. Proc Natl Acad Sci USA. 104:17069–17074. 2007.

16. 

Yoshida T, Kin S and Kounami T: A case of erythropoietin-producing renal cell carcinoma proved by immunohistochemistry. Hinyokika Kiyo. 43:339–342. 1997.(In Japanese).

17. 

Noguchi Y, Goto T, Yufu Y, Uike N, Hasegawa Y, Fukuda T, Jimi A and Funakoshi A: Gene expression of erythropoietin in renal cell carcinoma. Intern Med. 38:991–994. 1999.

18. 

Okuyama M, Nishihara M, Hashimoto H, Kaneko S and Yachiku S: A case of erythropoietin–producing renal cell carcinoma with polycythemia. Hinyokika Kiyo. 48:531–534. 2002.(In Japanese).

19. 

Rad FH, Ulusakarya A, Gad S, Sibony M, Juin F, Richard S, Machover D and Uzan G: Novel somatic mutations of the VHL gene in an erythropoietin-producing renal carcinoma associated with secondary polycythemia and elevated circulating endothelial progenitor cells. Am J Hematol. 83:155–158. 2008.

20. 

Sufrin G, Mirand EA, Moore RH, Chu TM and Murphy GP: Hormones in renal cancer. J Urol. 117:433–438. 1997.

21. 

Ljungherg B, Rasmuson T and Grankvist K: Erythropoietin in renal cell carcinoma: evaluation of its usefulness as a tumor marker. Eur Urol. 21:160–163. 1992.

22. 

Michael A, Politi E, Havranek E, Corbishley C, Karapanagiotou L, Anderson C, Relph K, Syrigos KN and Pandha H: Prognostic significance of erythropoietin expression in human renal cell carcinoma. BJU Int. 100:291–294. 2007.

23. 

Westenfelder C, Biddle DL and Baranowski RL: Human, rat, and mouse kidney cells express functional erythropoietin receptors. Kidney Int. 55:808–820. 1999.

24. 

Yomogi H, Odajima K, Nakamura H, et al: A case of erythropoietin-producing renal cell carcinoma. Rinsho Hinyokika. 48:139–141. 1994.

25. 

Teishima T, Sumi H, Ikemoto H, Himeno Y and Ishino T: A case of erythropoietin-producing renal cell carcinoma. Jpn J Urol Surg. 9:1181–1183. 1996.

26. 

Sato T, Hukui J, Okamoto S, et al: A case of renal cell carcinoma with polycythemia. Jpn J Urol Surg. 11:85–87. 1998.

27. 

Morita S, Watanabe K, Sakamoto H, et al: A case of erythropoietin-producing renal cell carcinoma. Rinsho Hinyokika. 55:651–653. 2001.

28. 

Hirose Y, Ando R, Nakane A, Akita H and Okamura T: A case of erythropoietin-producing renal cell carcinoma. Jpn J Urol Surg. 24:187–190. 2011.

Related Articles

  • Abstract
  • View
  • Download
  • Twitter
Copy and paste a formatted citation
Spandidos Publications style
Ueda K, Suekane S, Chikui K, Nakiri M, Moriya F, Hayashi T, Miyajima J and Matsuoka K: Successful treatment of erythropoietin-producing advanced renal cell carcinoma after targeted therapy using sunitinib: Case report and review of the literature. Mol Clin Oncol 1: 112-116, 2013.
APA
Ueda, K., Suekane, S., Chikui, K., Nakiri, M., Moriya, F., Hayashi, T. ... Matsuoka, K. (2013). Successful treatment of erythropoietin-producing advanced renal cell carcinoma after targeted therapy using sunitinib: Case report and review of the literature. Molecular and Clinical Oncology, 1, 112-116. https://doi.org/10.3892/mco.2012.5
MLA
Ueda, K., Suekane, S., Chikui, K., Nakiri, M., Moriya, F., Hayashi, T., Miyajima, J., Matsuoka, K."Successful treatment of erythropoietin-producing advanced renal cell carcinoma after targeted therapy using sunitinib: Case report and review of the literature". Molecular and Clinical Oncology 1.1 (2013): 112-116.
Chicago
Ueda, K., Suekane, S., Chikui, K., Nakiri, M., Moriya, F., Hayashi, T., Miyajima, J., Matsuoka, K."Successful treatment of erythropoietin-producing advanced renal cell carcinoma after targeted therapy using sunitinib: Case report and review of the literature". Molecular and Clinical Oncology 1, no. 1 (2013): 112-116. https://doi.org/10.3892/mco.2012.5
Copy and paste a formatted citation
x
Spandidos Publications style
Ueda K, Suekane S, Chikui K, Nakiri M, Moriya F, Hayashi T, Miyajima J and Matsuoka K: Successful treatment of erythropoietin-producing advanced renal cell carcinoma after targeted therapy using sunitinib: Case report and review of the literature. Mol Clin Oncol 1: 112-116, 2013.
APA
Ueda, K., Suekane, S., Chikui, K., Nakiri, M., Moriya, F., Hayashi, T. ... Matsuoka, K. (2013). Successful treatment of erythropoietin-producing advanced renal cell carcinoma after targeted therapy using sunitinib: Case report and review of the literature. Molecular and Clinical Oncology, 1, 112-116. https://doi.org/10.3892/mco.2012.5
MLA
Ueda, K., Suekane, S., Chikui, K., Nakiri, M., Moriya, F., Hayashi, T., Miyajima, J., Matsuoka, K."Successful treatment of erythropoietin-producing advanced renal cell carcinoma after targeted therapy using sunitinib: Case report and review of the literature". Molecular and Clinical Oncology 1.1 (2013): 112-116.
Chicago
Ueda, K., Suekane, S., Chikui, K., Nakiri, M., Moriya, F., Hayashi, T., Miyajima, J., Matsuoka, K."Successful treatment of erythropoietin-producing advanced renal cell carcinoma after targeted therapy using sunitinib: Case report and review of the literature". Molecular and Clinical Oncology 1, no. 1 (2013): 112-116. https://doi.org/10.3892/mco.2012.5
Follow us
  • Twitter
  • LinkedIn
  • Facebook
About
  • Spandidos Publications
  • Careers
  • Cookie Policy
  • Privacy Policy
How can we help?
  • Help
  • Live Chat
  • Contact
  • Email to our Support Team