Spandidos Publications Logo
  • About
    • About Spandidos
    • Aims and Scopes
    • Abstracting and Indexing
    • Editorial Policies
    • Reprints and Permissions
    • Job Opportunities
    • Terms and Conditions
    • Contact
  • Journals
    • All Journals
    • Oncology Letters
      • Oncology Letters
      • Information for Authors
      • Editorial Policies
      • Editorial Board
      • Aims and Scope
      • Abstracting and Indexing
      • Bibliographic Information
      • Archive
    • International Journal of Oncology
      • International Journal of Oncology
      • Information for Authors
      • Editorial Policies
      • Editorial Board
      • Aims and Scope
      • Abstracting and Indexing
      • Bibliographic Information
      • Archive
    • Molecular and Clinical Oncology
      • Molecular and Clinical Oncology
      • Information for Authors
      • Editorial Policies
      • Editorial Board
      • Aims and Scope
      • Abstracting and Indexing
      • Bibliographic Information
      • Archive
    • Experimental and Therapeutic Medicine
      • Experimental and Therapeutic Medicine
      • Information for Authors
      • Editorial Policies
      • Editorial Board
      • Aims and Scope
      • Abstracting and Indexing
      • Bibliographic Information
      • Archive
    • International Journal of Molecular Medicine
      • International Journal of Molecular Medicine
      • Information for Authors
      • Editorial Policies
      • Editorial Board
      • Aims and Scope
      • Abstracting and Indexing
      • Bibliographic Information
      • Archive
    • Biomedical Reports
      • Biomedical Reports
      • Information for Authors
      • Editorial Policies
      • Editorial Board
      • Aims and Scope
      • Abstracting and Indexing
      • Bibliographic Information
      • Archive
    • Oncology Reports
      • Oncology Reports
      • Information for Authors
      • Editorial Policies
      • Editorial Board
      • Aims and Scope
      • Abstracting and Indexing
      • Bibliographic Information
      • Archive
    • Molecular Medicine Reports
      • Molecular Medicine Reports
      • Information for Authors
      • Editorial Policies
      • Editorial Board
      • Aims and Scope
      • Abstracting and Indexing
      • Bibliographic Information
      • Archive
    • World Academy of Sciences Journal
      • World Academy of Sciences Journal
      • Information for Authors
      • Editorial Policies
      • Editorial Board
      • Aims and Scope
      • Abstracting and Indexing
      • Bibliographic Information
      • Archive
    • International Journal of Functional Nutrition
      • International Journal of Functional Nutrition
      • Information for Authors
      • Editorial Policies
      • Editorial Board
      • Aims and Scope
      • Abstracting and Indexing
      • Bibliographic Information
      • Archive
    • International Journal of Epigenetics
      • International Journal of Epigenetics
      • Information for Authors
      • Editorial Policies
      • Editorial Board
      • Aims and Scope
      • Abstracting and Indexing
      • Bibliographic Information
      • Archive
    • Medicine International
      • Medicine International
      • Information for Authors
      • Editorial Policies
      • Editorial Board
      • Aims and Scope
      • Abstracting and Indexing
      • Bibliographic Information
      • Archive
  • Articles
  • Information
    • Information for Authors
    • Information for Reviewers
    • Information for Librarians
    • Information for Advertisers
    • Conferences
  • Language Editing
Spandidos Publications Logo
  • About
    • About Spandidos
    • Aims and Scopes
    • Abstracting and Indexing
    • Editorial Policies
    • Reprints and Permissions
    • Job Opportunities
    • Terms and Conditions
    • Contact
  • Journals
    • All Journals
    • Biomedical Reports
      • Information for Authors
      • Editorial Policies
      • Editorial Board
      • Aims and Scope
      • Abstracting and Indexing
      • Bibliographic Information
      • Archive
    • Experimental and Therapeutic Medicine
      • Information for Authors
      • Editorial Policies
      • Editorial Board
      • Aims and Scope
      • Abstracting and Indexing
      • Bibliographic Information
      • Archive
    • International Journal of Epigenetics
      • Information for Authors
      • Editorial Policies
      • Editorial Board
      • Aims and Scope
      • Abstracting and Indexing
      • Bibliographic Information
      • Archive
    • International Journal of Functional Nutrition
      • Information for Authors
      • Editorial Policies
      • Editorial Board
      • Aims and Scope
      • Abstracting and Indexing
      • Bibliographic Information
      • Archive
    • International Journal of Molecular Medicine
      • Information for Authors
      • Editorial Policies
      • Editorial Board
      • Aims and Scope
      • Abstracting and Indexing
      • Bibliographic Information
      • Archive
    • International Journal of Oncology
      • Information for Authors
      • Editorial Policies
      • Editorial Board
      • Aims and Scope
      • Abstracting and Indexing
      • Bibliographic Information
      • Archive
    • Medicine International
      • Information for Authors
      • Editorial Policies
      • Editorial Board
      • Aims and Scope
      • Abstracting and Indexing
      • Bibliographic Information
      • Archive
    • Molecular and Clinical Oncology
      • Information for Authors
      • Editorial Policies
      • Editorial Board
      • Aims and Scope
      • Abstracting and Indexing
      • Bibliographic Information
      • Archive
    • Molecular Medicine Reports
      • Information for Authors
      • Editorial Policies
      • Editorial Board
      • Aims and Scope
      • Abstracting and Indexing
      • Bibliographic Information
      • Archive
    • Oncology Letters
      • Information for Authors
      • Editorial Policies
      • Editorial Board
      • Aims and Scope
      • Abstracting and Indexing
      • Bibliographic Information
      • Archive
    • Oncology Reports
      • Information for Authors
      • Editorial Policies
      • Editorial Board
      • Aims and Scope
      • Abstracting and Indexing
      • Bibliographic Information
      • Archive
    • World Academy of Sciences Journal
      • Information for Authors
      • Editorial Policies
      • Editorial Board
      • Aims and Scope
      • Abstracting and Indexing
      • Bibliographic Information
      • Archive
  • Articles
  • Information
    • For Authors
    • For Reviewers
    • For Librarians
    • For Advertisers
    • Conferences
  • Language Editing
Login Register Submit
  • This site uses cookies
  • You can change your cookie settings at any time by following the instructions in our Cookie Policy. To find out more, you may read our Privacy Policy.

    I agree
Search articles by DOI, keyword, author or affiliation
Search
Advanced Search
presentation
Molecular and Clinical Oncology
Join Editorial Board Propose a Special Issue
Print ISSN: 2049-9450 Online ISSN: 2049-9469
Journal Cover
November-2016 Volume 5 Issue 5

Full Size Image

Sign up for eToc alerts
Recommend to Library

Journals

International Journal of Molecular Medicine

International Journal of Molecular Medicine

International Journal of Molecular Medicine is an international journal devoted to molecular mechanisms of human disease.

International Journal of Oncology

International Journal of Oncology

International Journal of Oncology is an international journal devoted to oncology research and cancer treatment.

Molecular Medicine Reports

Molecular Medicine Reports

Covers molecular medicine topics such as pharmacology, pathology, genetics, neuroscience, infectious diseases, molecular cardiology, and molecular surgery.

Oncology Reports

Oncology Reports

Oncology Reports is an international journal devoted to fundamental and applied research in Oncology.

Experimental and Therapeutic Medicine

Experimental and Therapeutic Medicine

Experimental and Therapeutic Medicine is an international journal devoted to laboratory and clinical medicine.

Oncology Letters

Oncology Letters

Oncology Letters is an international journal devoted to Experimental and Clinical Oncology.

Biomedical Reports

Biomedical Reports

Explores a wide range of biological and medical fields, including pharmacology, genetics, microbiology, neuroscience, and molecular cardiology.

Molecular and Clinical Oncology

Molecular and Clinical Oncology

International journal addressing all aspects of oncology research, from tumorigenesis and oncogenes to chemotherapy and metastasis.

World Academy of Sciences Journal

World Academy of Sciences Journal

Multidisciplinary open-access journal spanning biochemistry, genetics, neuroscience, environmental health, and synthetic biology.

International Journal of Functional Nutrition

International Journal of Functional Nutrition

Open-access journal combining biochemistry, pharmacology, immunology, and genetics to advance health through functional nutrition.

International Journal of Epigenetics

International Journal of Epigenetics

Publishes open-access research on using epigenetics to advance understanding and treatment of human disease.

Medicine International

Medicine International

An International Open Access Journal Devoted to General Medicine.

Journal Cover
November-2016 Volume 5 Issue 5

Full Size Image

Sign up for eToc alerts
Recommend to Library

  • Article
  • Citations
    • Cite This Article
    • Download Citation
    • Create Citation Alert
    • Remove Citation Alert
    • Cited By
  • Similar Articles
    • Related Articles (in Spandidos Publications)
    • Similar Articles (Google Scholar)
    • Similar Articles (PubMed)
  • Download PDF
  • Download XML
  • View XML
Case Report

Pregnancy and cesarean delivery after multimodal therapy for vulvar carcinoma: A case report

  • Authors:
    • Kuniaki Toriyabe
    • Haruki Taniguchi
    • Tokihiro Senda
    • Masako Nakano
    • Yoshinari Kobayashi
    • Miho Izawa
    • Hirohiko Tanaka
    • Tetsuo Asakura
    • Tsutomu Tabata
    • Tomoaki Ikeda
  • View Affiliations / Copyright

    Affiliations: Department of Obstetrics and Gynecology, Mie University Graduate School of Medicine, Tsu, Mie 514‑8507, Japan, Department of Obstetrics and Gynecology, Mie Prefectural General Medical Center, Yokkaichi, Mie 510‑8561, Japan
  • Pages: 583-586
    |
    Published online on: September 19, 2016
       https://doi.org/10.3892/mco.2016.1021
  • Expand metrics +
Metrics: Total Views: 0 (Spandidos Publications: | PMC Statistics: )
Metrics: Total PDF Downloads: 0 (Spandidos Publications: | PMC Statistics: )
Cited By (CrossRef): 0 citations Loading Articles...

This article is mentioned in:



Abstract

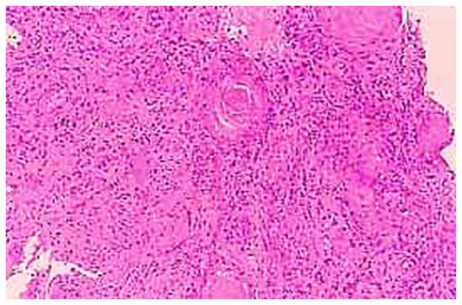
Reports of pregnancy following treatment for vulvar carcinoma are extremely uncommon, as the main problem of subsequent pregnancy is vulvar scarring following radical surgery. We herein report the case of a patient who was diagnosed with stage I squamous cell carcinoma of the vulva at the age of 17 years and was treated with multimodal therapy, including neoadjuvant chemotherapy, wide local excision with bilateral inguinal lymph node dissection and adjuvant radiotherapy. The patient became pregnant spontaneously 9 years after her initial diagnosis and the antenatal course was good, except for mild acute pyelonephritis at 25 weeks of gestation. An elective caesarean section was performed at 38 weeks of gestation due to vulvar scarring following multimodal therapy, particularly radiotherapy. The patient remains alive and well, without signs of recurrence or metastasis 12 years after her diagnosis and treatment. radical vulvectomy as well as multimodal therapy for vulvar carcinoma, particularly radiotherapy, may cause extensive skin scarring. The presence of vulvar scarring following multimodal therapy for vulvar carcinoma may increase the incidence of caesarean delivery.
View Figures

Figure 1

Figure 2

Figure 3

Figure 4

Figure 5

View References

1 

Hampl M, Deckers-Figiel S, Hampl JA, Rein D and Bender HG: New aspects of vulvar cancer: Changes in localization and age of onset. Gynecol Oncol. 109:340–345. 2008. View Article : Google Scholar : PubMed/NCBI

2 

Palmer JE and Tidy JA: Pregnancy following vulvar squamous cell carcinoma: A report of two cases. J Gynecol Oncol. 20:254–256. 2009. View Article : Google Scholar : PubMed/NCBI

3 

Dahle T: Carcinoma of the vulva and subsequent successful pregnancy. Acta Obstet Gynecol Scand. 38:448–452. 1959. View Article : Google Scholar : PubMed/NCBI

4 

Collins JH, Birch HW, Pailet M and Avent JK: Pregnancy and delivery following extensive vulvectomy. Am J Obstet Gynecol. 80:167–171. 1960.PubMed/NCBI

5 

Gemmell AA and Haines M: Pregnancy following radical vulvectomy for carcinoma of the vulva. J Obstet Gynaecol Br Emp. 67:199–207. 1960. View Article : Google Scholar : PubMed/NCBI

6 

Rubin A and Lewis GC Jr: Pregnancy and vaginal delivery following radical surgery for cancer of the vulva; review of the literature and case report. Am J Obstet Gynecol. 65:1347–1349. 1953. View Article : Google Scholar : PubMed/NCBI

7 

Arjona JE, Velasco E, Cervelo P, Espejo E, Pizarro I, Carrasco S and Castelo-Branco C: Pregnancy following radical vulvectomy for carcinoma of the vulva: A case report and literature review. Eur J Obstet Gynecol Reprod Biol. 158:113–114. 2011. View Article : Google Scholar : PubMed/NCBI

8 

Mahner S, Jueckstock J, Hilpert F, Neuser P, Harter P, de Gregorio N, Hasenburg A, Sehouli J, Habermann A, Hillemanns P, et al: AGO-CaRE 1 investigators: Adjuvant therapy in lymph node-positive vulvar cancer: The AGO-CaRE-1 Study. J Natl Cancer Ins. 107:dju4262015. View Article : Google Scholar

9 

Matsuo K, Whitman SA, Blake EA, Conturie CL, Ciccone MA, Jung CE, Takiuchi T and Nishimura M: Feto-maternal outcome of pregnancy complicated by vulvar cancer: A systematic review of literature. Eur J Obstet Gyn Reprod Biol. 179:216–223. 2014. View Article : Google Scholar

Related Articles

  • Abstract
  • View
  • Download
  • Twitter
Copy and paste a formatted citation
Spandidos Publications style
Toriyabe K, Taniguchi H, Senda T, Nakano M, Kobayashi Y, Izawa M, Tanaka H, Asakura T, Tabata T, Ikeda T, Ikeda T, et al: Pregnancy and cesarean delivery after multimodal therapy for vulvar carcinoma: A case report. Mol Clin Oncol 5: 583-586, 2016.
APA
Toriyabe, K., Taniguchi, H., Senda, T., Nakano, M., Kobayashi, Y., Izawa, M. ... Ikeda, T. (2016). Pregnancy and cesarean delivery after multimodal therapy for vulvar carcinoma: A case report. Molecular and Clinical Oncology, 5, 583-586. https://doi.org/10.3892/mco.2016.1021
MLA
Toriyabe, K., Taniguchi, H., Senda, T., Nakano, M., Kobayashi, Y., Izawa, M., Tanaka, H., Asakura, T., Tabata, T., Ikeda, T."Pregnancy and cesarean delivery after multimodal therapy for vulvar carcinoma: A case report". Molecular and Clinical Oncology 5.5 (2016): 583-586.
Chicago
Toriyabe, K., Taniguchi, H., Senda, T., Nakano, M., Kobayashi, Y., Izawa, M., Tanaka, H., Asakura, T., Tabata, T., Ikeda, T."Pregnancy and cesarean delivery after multimodal therapy for vulvar carcinoma: A case report". Molecular and Clinical Oncology 5, no. 5 (2016): 583-586. https://doi.org/10.3892/mco.2016.1021
Copy and paste a formatted citation
x
Spandidos Publications style
Toriyabe K, Taniguchi H, Senda T, Nakano M, Kobayashi Y, Izawa M, Tanaka H, Asakura T, Tabata T, Ikeda T, Ikeda T, et al: Pregnancy and cesarean delivery after multimodal therapy for vulvar carcinoma: A case report. Mol Clin Oncol 5: 583-586, 2016.
APA
Toriyabe, K., Taniguchi, H., Senda, T., Nakano, M., Kobayashi, Y., Izawa, M. ... Ikeda, T. (2016). Pregnancy and cesarean delivery after multimodal therapy for vulvar carcinoma: A case report. Molecular and Clinical Oncology, 5, 583-586. https://doi.org/10.3892/mco.2016.1021
MLA
Toriyabe, K., Taniguchi, H., Senda, T., Nakano, M., Kobayashi, Y., Izawa, M., Tanaka, H., Asakura, T., Tabata, T., Ikeda, T."Pregnancy and cesarean delivery after multimodal therapy for vulvar carcinoma: A case report". Molecular and Clinical Oncology 5.5 (2016): 583-586.
Chicago
Toriyabe, K., Taniguchi, H., Senda, T., Nakano, M., Kobayashi, Y., Izawa, M., Tanaka, H., Asakura, T., Tabata, T., Ikeda, T."Pregnancy and cesarean delivery after multimodal therapy for vulvar carcinoma: A case report". Molecular and Clinical Oncology 5, no. 5 (2016): 583-586. https://doi.org/10.3892/mco.2016.1021
Follow us
  • Twitter
  • LinkedIn
  • Facebook
About
  • Spandidos Publications
  • Careers
  • Cookie Policy
  • Privacy Policy
How can we help?
  • Help
  • Live Chat
  • Contact
  • Email to our Support Team