Spandidos Publications Logo
  • About
    • About Spandidos
    • Aims and Scopes
    • Abstracting and Indexing
    • Editorial Policies
    • Reprints and Permissions
    • Job Opportunities
    • Terms and Conditions
    • Contact
  • Journals
    • All Journals
    • Oncology Letters
      • Oncology Letters
      • Information for Authors
      • Editorial Policies
      • Editorial Board
      • Aims and Scope
      • Abstracting and Indexing
      • Bibliographic Information
      • Archive
    • International Journal of Oncology
      • International Journal of Oncology
      • Information for Authors
      • Editorial Policies
      • Editorial Board
      • Aims and Scope
      • Abstracting and Indexing
      • Bibliographic Information
      • Archive
    • Molecular and Clinical Oncology
      • Molecular and Clinical Oncology
      • Information for Authors
      • Editorial Policies
      • Editorial Board
      • Aims and Scope
      • Abstracting and Indexing
      • Bibliographic Information
      • Archive
    • Experimental and Therapeutic Medicine
      • Experimental and Therapeutic Medicine
      • Information for Authors
      • Editorial Policies
      • Editorial Board
      • Aims and Scope
      • Abstracting and Indexing
      • Bibliographic Information
      • Archive
    • International Journal of Molecular Medicine
      • International Journal of Molecular Medicine
      • Information for Authors
      • Editorial Policies
      • Editorial Board
      • Aims and Scope
      • Abstracting and Indexing
      • Bibliographic Information
      • Archive
    • Biomedical Reports
      • Biomedical Reports
      • Information for Authors
      • Editorial Policies
      • Editorial Board
      • Aims and Scope
      • Abstracting and Indexing
      • Bibliographic Information
      • Archive
    • Oncology Reports
      • Oncology Reports
      • Information for Authors
      • Editorial Policies
      • Editorial Board
      • Aims and Scope
      • Abstracting and Indexing
      • Bibliographic Information
      • Archive
    • Molecular Medicine Reports
      • Molecular Medicine Reports
      • Information for Authors
      • Editorial Policies
      • Editorial Board
      • Aims and Scope
      • Abstracting and Indexing
      • Bibliographic Information
      • Archive
    • World Academy of Sciences Journal
      • World Academy of Sciences Journal
      • Information for Authors
      • Editorial Policies
      • Editorial Board
      • Aims and Scope
      • Abstracting and Indexing
      • Bibliographic Information
      • Archive
    • International Journal of Functional Nutrition
      • International Journal of Functional Nutrition
      • Information for Authors
      • Editorial Policies
      • Editorial Board
      • Aims and Scope
      • Abstracting and Indexing
      • Bibliographic Information
      • Archive
    • International Journal of Epigenetics
      • International Journal of Epigenetics
      • Information for Authors
      • Editorial Policies
      • Editorial Board
      • Aims and Scope
      • Abstracting and Indexing
      • Bibliographic Information
      • Archive
    • Medicine International
      • Medicine International
      • Information for Authors
      • Editorial Policies
      • Editorial Board
      • Aims and Scope
      • Abstracting and Indexing
      • Bibliographic Information
      • Archive
  • Articles
  • Information
    • Information for Authors
    • Information for Reviewers
    • Information for Librarians
    • Information for Advertisers
    • Conferences
  • Language Editing
Spandidos Publications Logo
  • About
    • About Spandidos
    • Aims and Scopes
    • Abstracting and Indexing
    • Editorial Policies
    • Reprints and Permissions
    • Job Opportunities
    • Terms and Conditions
    • Contact
  • Journals
    • All Journals
    • Biomedical Reports
      • Information for Authors
      • Editorial Policies
      • Editorial Board
      • Aims and Scope
      • Abstracting and Indexing
      • Bibliographic Information
      • Archive
    • Experimental and Therapeutic Medicine
      • Information for Authors
      • Editorial Policies
      • Editorial Board
      • Aims and Scope
      • Abstracting and Indexing
      • Bibliographic Information
      • Archive
    • International Journal of Epigenetics
      • Information for Authors
      • Editorial Policies
      • Editorial Board
      • Aims and Scope
      • Abstracting and Indexing
      • Bibliographic Information
      • Archive
    • International Journal of Functional Nutrition
      • Information for Authors
      • Editorial Policies
      • Editorial Board
      • Aims and Scope
      • Abstracting and Indexing
      • Bibliographic Information
      • Archive
    • International Journal of Molecular Medicine
      • Information for Authors
      • Editorial Policies
      • Editorial Board
      • Aims and Scope
      • Abstracting and Indexing
      • Bibliographic Information
      • Archive
    • International Journal of Oncology
      • Information for Authors
      • Editorial Policies
      • Editorial Board
      • Aims and Scope
      • Abstracting and Indexing
      • Bibliographic Information
      • Archive
    • Medicine International
      • Information for Authors
      • Editorial Policies
      • Editorial Board
      • Aims and Scope
      • Abstracting and Indexing
      • Bibliographic Information
      • Archive
    • Molecular and Clinical Oncology
      • Information for Authors
      • Editorial Policies
      • Editorial Board
      • Aims and Scope
      • Abstracting and Indexing
      • Bibliographic Information
      • Archive
    • Molecular Medicine Reports
      • Information for Authors
      • Editorial Policies
      • Editorial Board
      • Aims and Scope
      • Abstracting and Indexing
      • Bibliographic Information
      • Archive
    • Oncology Letters
      • Information for Authors
      • Editorial Policies
      • Editorial Board
      • Aims and Scope
      • Abstracting and Indexing
      • Bibliographic Information
      • Archive
    • Oncology Reports
      • Information for Authors
      • Editorial Policies
      • Editorial Board
      • Aims and Scope
      • Abstracting and Indexing
      • Bibliographic Information
      • Archive
    • World Academy of Sciences Journal
      • Information for Authors
      • Editorial Policies
      • Editorial Board
      • Aims and Scope
      • Abstracting and Indexing
      • Bibliographic Information
      • Archive
  • Articles
  • Information
    • For Authors
    • For Reviewers
    • For Librarians
    • For Advertisers
    • Conferences
  • Language Editing
Login Register Submit
  • This site uses cookies
  • You can change your cookie settings at any time by following the instructions in our Cookie Policy. To find out more, you may read our Privacy Policy.

    I agree
Search articles by DOI, keyword, author or affiliation
Search
Advanced Search
presentation
Molecular and Clinical Oncology
Join Editorial Board Propose a Special Issue
Print ISSN: 2049-9450 Online ISSN: 2049-9469
Journal Cover
November-2016 Volume 5 Issue 5

Full Size Image

Sign up for eToc alerts
Recommend to Library

Journals

International Journal of Molecular Medicine

International Journal of Molecular Medicine

International Journal of Molecular Medicine is an international journal devoted to molecular mechanisms of human disease.

International Journal of Oncology

International Journal of Oncology

International Journal of Oncology is an international journal devoted to oncology research and cancer treatment.

Molecular Medicine Reports

Molecular Medicine Reports

Covers molecular medicine topics such as pharmacology, pathology, genetics, neuroscience, infectious diseases, molecular cardiology, and molecular surgery.

Oncology Reports

Oncology Reports

Oncology Reports is an international journal devoted to fundamental and applied research in Oncology.

Experimental and Therapeutic Medicine

Experimental and Therapeutic Medicine

Experimental and Therapeutic Medicine is an international journal devoted to laboratory and clinical medicine.

Oncology Letters

Oncology Letters

Oncology Letters is an international journal devoted to Experimental and Clinical Oncology.

Biomedical Reports

Biomedical Reports

Explores a wide range of biological and medical fields, including pharmacology, genetics, microbiology, neuroscience, and molecular cardiology.

Molecular and Clinical Oncology

Molecular and Clinical Oncology

International journal addressing all aspects of oncology research, from tumorigenesis and oncogenes to chemotherapy and metastasis.

World Academy of Sciences Journal

World Academy of Sciences Journal

Multidisciplinary open-access journal spanning biochemistry, genetics, neuroscience, environmental health, and synthetic biology.

International Journal of Functional Nutrition

International Journal of Functional Nutrition

Open-access journal combining biochemistry, pharmacology, immunology, and genetics to advance health through functional nutrition.

International Journal of Epigenetics

International Journal of Epigenetics

Publishes open-access research on using epigenetics to advance understanding and treatment of human disease.

Medicine International

Medicine International

An International Open Access Journal Devoted to General Medicine.

Journal Cover
November-2016 Volume 5 Issue 5

Full Size Image

Sign up for eToc alerts
Recommend to Library

  • Article
  • Citations
    • Cite This Article
    • Download Citation
    • Create Citation Alert
    • Remove Citation Alert
    • Cited By
  • Similar Articles
    • Related Articles (in Spandidos Publications)
    • Similar Articles (Google Scholar)
    • Similar Articles (PubMed)
  • Download PDF
  • Download XML
  • View XML
Case Report

Palliative sequential chemoradiotherapy for pulmonary sulcus tumor: A case report

  • Authors:
    • Miki Kikuchi
    • Toshihiro Ohtani
    • Tomohiro Tamura
    • Hiroaki Satoh
  • View Affiliations / Copyright

    Affiliations: Division of Nursing, Mito Medical Center, University of Tsukuba, Mito, Ibaraki 310‑0015, Japan, Division of Pharmacy, Mito Medical Center, University of Tsukuba, Mito, Ibaraki 310‑0015, Japan, Division of Respiratory Medicine, Mito Medical Center, University of Tsukuba, Mito, Ibaraki 310‑0015, Japan
  • Pages: 651-652
    |
    Published online on: September 21, 2016
       https://doi.org/10.3892/mco.2016.1026
  • Expand metrics +
Metrics: Total Views: 0 (Spandidos Publications: | PMC Statistics: )
Metrics: Total PDF Downloads: 0 (Spandidos Publications: | PMC Statistics: )
Cited By (CrossRef): 0 citations Loading Articles...

This article is mentioned in:


Abstract

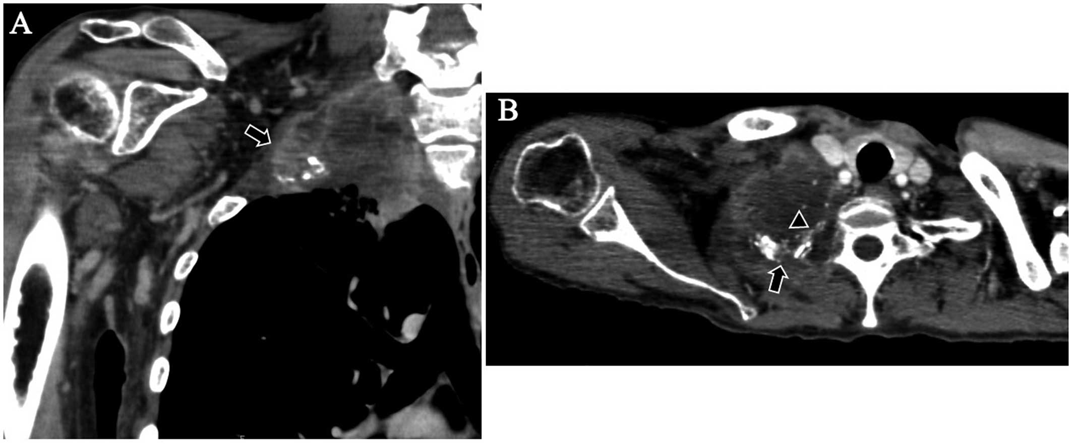
Pulmonary sulcus tumors are occasionally encountered in non‑small-cell lung cancer (NSCLC) patients. If the patients have a good clinical condition, concurrent chemoradiotherapy is indicated. However, palliative chemotherapy and chemoradiotherapy for patients exhibiting a poor overall condition have not been reported to date. We herein report the case of a 54‑year‑old female patient with a pulmonary sulcus tumor, who had a poor performance status. The patient received sequential chemoradiotherapy, with no severe complications. There was no local recurrence until the time of death, 8 months after the initiation of therapy. Palliative sequential chemoradiotherapy for pulmonary sulcus NSCLC must be effective and carry low risk of complications. Palliative sequential chemoradiotherapy may be considered in certain patients with pulmonary sulcus NSCLC. Either chemotherapy or radiotherapy is administered first and, if there is no apparent deterioration of the patient's general condition, the next treatment modality is administered.
View Figures

Figure 1

View References

1 

Glassman LR and Hyman K: Pancoast tumor: A modern perspective on an old problem. Curr Opin Pulm Med. 19:340–343. 2013. View Article : Google Scholar : PubMed/NCBI

2 

Peedell C, Dunning J and Bapusamy A: Is there a standard of care for the radical management of non-small cell lung cancer involving the apical chest wall (Pancoast tumours)? Clin Oncol (R Coll Radiol). 22:334–346. 2010. View Article : Google Scholar : PubMed/NCBI

3 

Laine AM, Westover KD and Choy H: Radiation therapy as a backbone of treatment of locally advanced non-small cell lung cancer. Semin Oncol. 41:57–68. 2014. View Article : Google Scholar : PubMed/NCBI

4 

Antoni D and Mornex F: Chemoradiotherapy of locally advanced nonsmall cell lung cancer: State of the art and perspectives. Curr Opin Oncol. 28:104–109. 2016. View Article : Google Scholar : PubMed/NCBI

5 

Xu P and Le Pechoux C: Chemoradiotherapy for stage III non-small cell lung cancer: Have we reached the limit? Chin Clin Oncol. 4:452015.PubMed/NCBI

6 

Topkan E, Yildirim BA, Guler OC, Parlak C, Pehlivan B and Selek U: Safety and palliative efficacy of single-dose 8-Gy reirradiation for painful local failure in patients with stage IV non-small cell lung cancer previously treated with radical chemoradiation therapy. Int J Radiat Oncol Biol Phys. 91:774–780. 2015. View Article : Google Scholar : PubMed/NCBI

7 

Dandekar VK, Young J, Kiel K, Bonomi P, Fidler MJ, Batus M and Sher DJ: Efficacy and tolerability of palliative split-course thoracic chemoradiotherapy for symptomatic Non-small cell lung cancer. Am J Clin Oncol. 38:605–609. 2015. View Article : Google Scholar : PubMed/NCBI

8 

Sculier JP and Moro-Sibilot D: First- and second-line therapy for advanced nonsmall cell lung cancer. Eur Respir J. 33:915–930. 2009. View Article : Google Scholar : PubMed/NCBI

9 

Bareschino MA, Schettino C, Rossi A, Maione P, Sacco PC, Zeppa R and Gridelli C: Treatment of advanced non small cell lung cancer. J Thorac Dis. 3:122–133. 2011.PubMed/NCBI

10 

Thomas A, Liu SV, Subramaniam DS and Giaccone G: Refining the treatment of NSCLC according to histological and molecular subtypes. Nat Rev Clin Oncol. 12:511–526. 2015. View Article : Google Scholar : PubMed/NCBI

11 

Gerber DE, Gandhi L and Costa DB: Management and future directions in non-small cell lung cancer with known activating mutations. Am Soc Clin Oncol Educ Book. e353–e365. 2014. View Article : Google Scholar : PubMed/NCBI

Related Articles

  • Abstract
  • View
  • Download
  • Twitter
Copy and paste a formatted citation
Spandidos Publications style
Kikuchi M, Ohtani T, Tamura T and Satoh H: Palliative sequential chemoradiotherapy for pulmonary sulcus tumor: A case report. Mol Clin Oncol 5: 651-652, 2016.
APA
Kikuchi, M., Ohtani, T., Tamura, T., & Satoh, H. (2016). Palliative sequential chemoradiotherapy for pulmonary sulcus tumor: A case report. Molecular and Clinical Oncology, 5, 651-652. https://doi.org/10.3892/mco.2016.1026
MLA
Kikuchi, M., Ohtani, T., Tamura, T., Satoh, H."Palliative sequential chemoradiotherapy for pulmonary sulcus tumor: A case report". Molecular and Clinical Oncology 5.5 (2016): 651-652.
Chicago
Kikuchi, M., Ohtani, T., Tamura, T., Satoh, H."Palliative sequential chemoradiotherapy for pulmonary sulcus tumor: A case report". Molecular and Clinical Oncology 5, no. 5 (2016): 651-652. https://doi.org/10.3892/mco.2016.1026
Copy and paste a formatted citation
x
Spandidos Publications style
Kikuchi M, Ohtani T, Tamura T and Satoh H: Palliative sequential chemoradiotherapy for pulmonary sulcus tumor: A case report. Mol Clin Oncol 5: 651-652, 2016.
APA
Kikuchi, M., Ohtani, T., Tamura, T., & Satoh, H. (2016). Palliative sequential chemoradiotherapy for pulmonary sulcus tumor: A case report. Molecular and Clinical Oncology, 5, 651-652. https://doi.org/10.3892/mco.2016.1026
MLA
Kikuchi, M., Ohtani, T., Tamura, T., Satoh, H."Palliative sequential chemoradiotherapy for pulmonary sulcus tumor: A case report". Molecular and Clinical Oncology 5.5 (2016): 651-652.
Chicago
Kikuchi, M., Ohtani, T., Tamura, T., Satoh, H."Palliative sequential chemoradiotherapy for pulmonary sulcus tumor: A case report". Molecular and Clinical Oncology 5, no. 5 (2016): 651-652. https://doi.org/10.3892/mco.2016.1026
Follow us
  • Twitter
  • LinkedIn
  • Facebook
About
  • Spandidos Publications
  • Careers
  • Cookie Policy
  • Privacy Policy
How can we help?
  • Help
  • Live Chat
  • Contact
  • Email to our Support Team