Spandidos Publications Logo
  • About
    • About Spandidos
    • Aims and Scopes
    • Abstracting and Indexing
    • Editorial Policies
    • Reprints and Permissions
    • Job Opportunities
    • Terms and Conditions
    • Contact
  • Journals
    • All Journals
    • Oncology Letters
      • Oncology Letters
      • Information for Authors
      • Editorial Policies
      • Editorial Board
      • Aims and Scope
      • Abstracting and Indexing
      • Bibliographic Information
      • Archive
    • International Journal of Oncology
      • International Journal of Oncology
      • Information for Authors
      • Editorial Policies
      • Editorial Board
      • Aims and Scope
      • Abstracting and Indexing
      • Bibliographic Information
      • Archive
    • Molecular and Clinical Oncology
      • Molecular and Clinical Oncology
      • Information for Authors
      • Editorial Policies
      • Editorial Board
      • Aims and Scope
      • Abstracting and Indexing
      • Bibliographic Information
      • Archive
    • Experimental and Therapeutic Medicine
      • Experimental and Therapeutic Medicine
      • Information for Authors
      • Editorial Policies
      • Editorial Board
      • Aims and Scope
      • Abstracting and Indexing
      • Bibliographic Information
      • Archive
    • International Journal of Molecular Medicine
      • International Journal of Molecular Medicine
      • Information for Authors
      • Editorial Policies
      • Editorial Board
      • Aims and Scope
      • Abstracting and Indexing
      • Bibliographic Information
      • Archive
    • Biomedical Reports
      • Biomedical Reports
      • Information for Authors
      • Editorial Policies
      • Editorial Board
      • Aims and Scope
      • Abstracting and Indexing
      • Bibliographic Information
      • Archive
    • Oncology Reports
      • Oncology Reports
      • Information for Authors
      • Editorial Policies
      • Editorial Board
      • Aims and Scope
      • Abstracting and Indexing
      • Bibliographic Information
      • Archive
    • Molecular Medicine Reports
      • Molecular Medicine Reports
      • Information for Authors
      • Editorial Policies
      • Editorial Board
      • Aims and Scope
      • Abstracting and Indexing
      • Bibliographic Information
      • Archive
    • World Academy of Sciences Journal
      • World Academy of Sciences Journal
      • Information for Authors
      • Editorial Policies
      • Editorial Board
      • Aims and Scope
      • Abstracting and Indexing
      • Bibliographic Information
      • Archive
    • International Journal of Functional Nutrition
      • International Journal of Functional Nutrition
      • Information for Authors
      • Editorial Policies
      • Editorial Board
      • Aims and Scope
      • Abstracting and Indexing
      • Bibliographic Information
      • Archive
    • International Journal of Epigenetics
      • International Journal of Epigenetics
      • Information for Authors
      • Editorial Policies
      • Editorial Board
      • Aims and Scope
      • Abstracting and Indexing
      • Bibliographic Information
      • Archive
    • Medicine International
      • Medicine International
      • Information for Authors
      • Editorial Policies
      • Editorial Board
      • Aims and Scope
      • Abstracting and Indexing
      • Bibliographic Information
      • Archive
  • Articles
  • Information
    • Information for Authors
    • Information for Reviewers
    • Information for Librarians
    • Information for Advertisers
    • Conferences
  • Language Editing
Spandidos Publications Logo
  • About
    • About Spandidos
    • Aims and Scopes
    • Abstracting and Indexing
    • Editorial Policies
    • Reprints and Permissions
    • Job Opportunities
    • Terms and Conditions
    • Contact
  • Journals
    • All Journals
    • Biomedical Reports
      • Information for Authors
      • Editorial Policies
      • Editorial Board
      • Aims and Scope
      • Abstracting and Indexing
      • Bibliographic Information
      • Archive
    • Experimental and Therapeutic Medicine
      • Information for Authors
      • Editorial Policies
      • Editorial Board
      • Aims and Scope
      • Abstracting and Indexing
      • Bibliographic Information
      • Archive
    • International Journal of Epigenetics
      • Information for Authors
      • Editorial Policies
      • Editorial Board
      • Aims and Scope
      • Abstracting and Indexing
      • Bibliographic Information
      • Archive
    • International Journal of Functional Nutrition
      • Information for Authors
      • Editorial Policies
      • Editorial Board
      • Aims and Scope
      • Abstracting and Indexing
      • Bibliographic Information
      • Archive
    • International Journal of Molecular Medicine
      • Information for Authors
      • Editorial Policies
      • Editorial Board
      • Aims and Scope
      • Abstracting and Indexing
      • Bibliographic Information
      • Archive
    • International Journal of Oncology
      • Information for Authors
      • Editorial Policies
      • Editorial Board
      • Aims and Scope
      • Abstracting and Indexing
      • Bibliographic Information
      • Archive
    • Medicine International
      • Information for Authors
      • Editorial Policies
      • Editorial Board
      • Aims and Scope
      • Abstracting and Indexing
      • Bibliographic Information
      • Archive
    • Molecular and Clinical Oncology
      • Information for Authors
      • Editorial Policies
      • Editorial Board
      • Aims and Scope
      • Abstracting and Indexing
      • Bibliographic Information
      • Archive
    • Molecular Medicine Reports
      • Information for Authors
      • Editorial Policies
      • Editorial Board
      • Aims and Scope
      • Abstracting and Indexing
      • Bibliographic Information
      • Archive
    • Oncology Letters
      • Information for Authors
      • Editorial Policies
      • Editorial Board
      • Aims and Scope
      • Abstracting and Indexing
      • Bibliographic Information
      • Archive
    • Oncology Reports
      • Information for Authors
      • Editorial Policies
      • Editorial Board
      • Aims and Scope
      • Abstracting and Indexing
      • Bibliographic Information
      • Archive
    • World Academy of Sciences Journal
      • Information for Authors
      • Editorial Policies
      • Editorial Board
      • Aims and Scope
      • Abstracting and Indexing
      • Bibliographic Information
      • Archive
  • Articles
  • Information
    • For Authors
    • For Reviewers
    • For Librarians
    • For Advertisers
    • Conferences
  • Language Editing
Login Register Submit
  • This site uses cookies
  • You can change your cookie settings at any time by following the instructions in our Cookie Policy. To find out more, you may read our Privacy Policy.

    I agree
Search articles by DOI, keyword, author or affiliation
Search
Advanced Search
presentation
Molecular and Clinical Oncology
Join Editorial Board Propose a Special Issue
Print ISSN: 2049-9450 Online ISSN: 2049-9469
Journal Cover
November-2016 Volume 5 Issue 5

Full Size Image

Sign up for eToc alerts
Recommend to Library

Journals

International Journal of Molecular Medicine

International Journal of Molecular Medicine

International Journal of Molecular Medicine is an international journal devoted to molecular mechanisms of human disease.

International Journal of Oncology

International Journal of Oncology

International Journal of Oncology is an international journal devoted to oncology research and cancer treatment.

Molecular Medicine Reports

Molecular Medicine Reports

Covers molecular medicine topics such as pharmacology, pathology, genetics, neuroscience, infectious diseases, molecular cardiology, and molecular surgery.

Oncology Reports

Oncology Reports

Oncology Reports is an international journal devoted to fundamental and applied research in Oncology.

Experimental and Therapeutic Medicine

Experimental and Therapeutic Medicine

Experimental and Therapeutic Medicine is an international journal devoted to laboratory and clinical medicine.

Oncology Letters

Oncology Letters

Oncology Letters is an international journal devoted to Experimental and Clinical Oncology.

Biomedical Reports

Biomedical Reports

Explores a wide range of biological and medical fields, including pharmacology, genetics, microbiology, neuroscience, and molecular cardiology.

Molecular and Clinical Oncology

Molecular and Clinical Oncology

International journal addressing all aspects of oncology research, from tumorigenesis and oncogenes to chemotherapy and metastasis.

World Academy of Sciences Journal

World Academy of Sciences Journal

Multidisciplinary open-access journal spanning biochemistry, genetics, neuroscience, environmental health, and synthetic biology.

International Journal of Functional Nutrition

International Journal of Functional Nutrition

Open-access journal combining biochemistry, pharmacology, immunology, and genetics to advance health through functional nutrition.

International Journal of Epigenetics

International Journal of Epigenetics

Publishes open-access research on using epigenetics to advance understanding and treatment of human disease.

Medicine International

Medicine International

An International Open Access Journal Devoted to General Medicine.

Journal Cover
November-2016 Volume 5 Issue 5

Full Size Image

Sign up for eToc alerts
Recommend to Library

  • Article
  • Citations
    • Cite This Article
    • Download Citation
    • Create Citation Alert
    • Remove Citation Alert
    • Cited By
  • Similar Articles
    • Related Articles (in Spandidos Publications)
    • Similar Articles (Google Scholar)
    • Similar Articles (PubMed)
  • Download PDF
  • Download XML
  • View XML
Case Report

Favorable control of advanced colon adenocarcinoma with severe bone marrow metastasis: A case report

  • Authors:
    • Fumiyasu Hanamura
    • Yoshihiro Shibata
    • Tsuyoshi Shirakawa
    • Miyuki Kuwayama
    • Hisanobu Oda
    • Hiroshi Ariyama
    • Kenichi Taguchi
    • Taito Esaki
    • Eishi Baba
  • View Affiliations / Copyright

    Affiliations: Department of Medical Oncology, Fukuoka Wajiro Hospital, Fukuoka 811‑021, Japan, Department of Gastrointestinal and Medical Oncology, National Hospital Organization Kyushu Cancer Center, Fukuoka 811‑1395, Japan, Department of Hematology and Oncology, Kyushu University Hospital, Fukuoka 812‑8582, Japan, Department of Cancer Biology, National Hospital Organization Kyushu Cancer Center, Fukuoka 811‑1395, Japan, Department of Comprehensive Clinical Oncology, Faculty of Medical Sciences, Kyushu University, Fukuoka 812‑8582, Japan
  • Pages: 579-582
    |
    Published online on: September 21, 2016
       https://doi.org/10.3892/mco.2016.1029
  • Expand metrics +
Metrics: Total Views: 0 (Spandidos Publications: | PMC Statistics: )
Metrics: Total PDF Downloads: 0 (Spandidos Publications: | PMC Statistics: )
Cited By (CrossRef): 0 citations Loading Articles...

This article is mentioned in:



Abstract

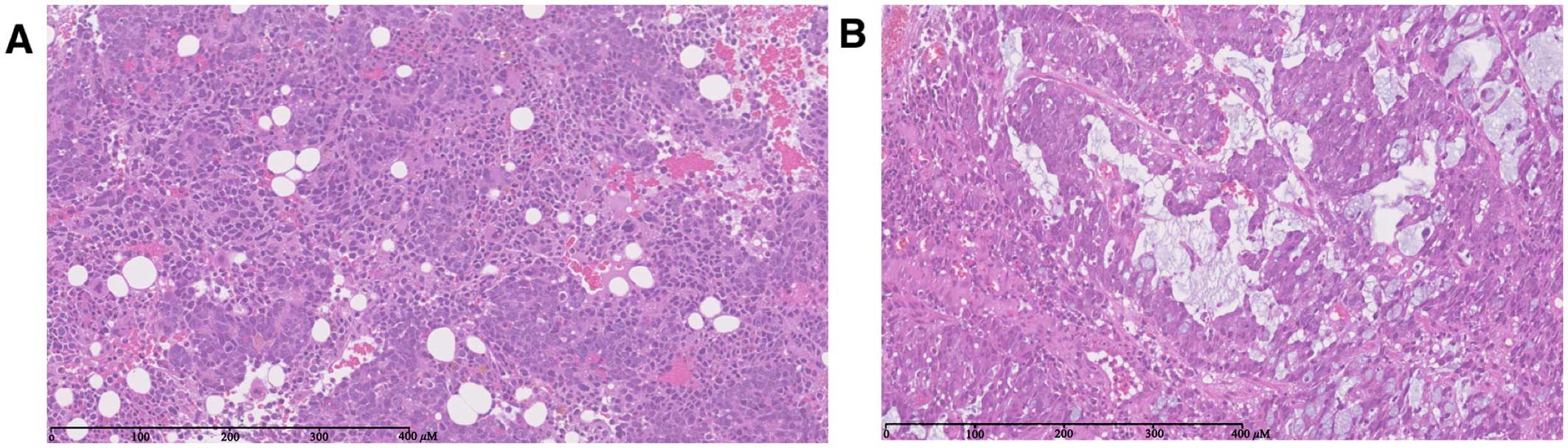
Colorectal cancer (CRC) has a propensity to metastasize to the liver, lungs and regional abdominal lymph nodes, but rarely to the bone marrow. A 60‑year‑old man presented to the National Hospital Organization Kyushu Cancer Center with a 4‑week history of persistent lower back pain, anorexia and difficulty defecating. Complete blood count revealed severe thrombocytopenia and erythroblastosis, suggesting a hematological malignancy. However, the bone marrow examination demonstrated involvement by a moderately to poorly differentiated adenocarcinoma, but no hematopoietic abnormalities. A computed tomography scan revealed thickening of the wall of the sigmoid colon, with para‑aortic, hilar, mediastinal and supraclavicular lymphadenopathy. The patient was thus diagnosed with sigmoid colon adenocarcinoma with lymph node and bone marrow metastasis. Modified FOLFOX6 was promptly initiated, with concurrent therapy for disseminated intravascular coagulation (DIC). An increased number of thrombocytes was observed on day 6. After 3 cycles of treatment, the patient recovered from DIC and the levels of serum carcinoembryonic antigen and cytokeratin 19 fragment were decreased. Tumor biopsy during colonoscopy following recovery from DIC demonstrated poorly differentiated adenocarcinoma with mucin production, without mutations in the RAS, BRAF or PIK3CA genes, and a cytokeratin (CK) 7‑negative, CK20‑positive phenotype. The patient has been treated with chemotherapy for 150 days without disease progression. However, the efficacy of chemotherapy for rarely encountered bone marrow metastasis from CRC is poor. The present case was favorably maintained on chemotherapy and survived for 10 months.
View Figures

Figure 1

Figure 2

View References

1 

Papac RJ: Bone marrow metastases. A review. Cancer. 74:2403–2413. 1994. View Article : Google Scholar : PubMed/NCBI

2 

Hayes DF: Prognostic and predictive factors revisited. Breast. 14:493–499. 2005. View Article : Google Scholar : PubMed/NCBI

3 

Kobayashi M, Okabayashi T, Sano T and Araki K: Metastatic bone cancer as a recurrence of early gastric cancer-characteristics and possible mechanisms. World J Gastroenterol. 11:5587–5591. 2005.PubMed/NCBI

4 

Wiedswang G, Borgen E, Kåresen R, Kvalheim G, Nesland JM, Qvist H, Schlichting E, Sauer T, Janbu J, Harbitz T and Naume B: Detection of isolated tumor cells in bone marrow is an independent prognostic factor in breast cancer. J Clin Oncol. 21:3469–3478. 2003. View Article : Google Scholar : PubMed/NCBI

5 

Haggar FA and Boushey RP: Colorectal cancer epidemiology: Incidence, mortality, survival, and risk factors. Clin Colon Rectal Surg. 22:191–197. 2009. View Article : Google Scholar : PubMed/NCBI

6 

Shah SM, Rosenthal MH, Griffin GK, Jacobsen ED and McCleary NJ: An aggressive presentation of colorectal cancer with an atypical lymphoproliferative pattern of metastatic disease: A case report and review of the literature. Clin Colorectal Cancer. 13:e5–e11. 2014. View Article : Google Scholar : PubMed/NCBI

7 

Lee JL, Lee JH, Kim MK, Cho HS, Bae YK, Cho KH, Bae SH, Ryoo HM, Lee KH and Hyun MS: A case of bone marrow necrosis with thrombotic thrombocttopenic purpura as a manifestation of occult colon cancer. Jpn J Clin Oncol. 34:476–480. 2004. View Article : Google Scholar : PubMed/NCBI

8 

Pleyer L, Went P, Russ G, Prinz E, Faber V, Röwert HJ, Karlbauer R and Greil R: Massive infiltration of bone marrow in colon carcinoma after treatment with activated protein C. Wiener Klinische Wochenschrift. 119:254–258. 2007. View Article : Google Scholar : PubMed/NCBI

9 

Wang YC, Chang PY and Yao NS: Bone marrow necrosis caused by metastatic colon cancer. J Clin Oncol. 27:e482009. View Article : Google Scholar : PubMed/NCBI

10 

Song JY and Dwyre DM: Metastatic adenocarcinoma involving the bone marrow. Blood. 120:31702012. View Article : Google Scholar : PubMed/NCBI

11 

Wada H, Gabazza EC, Asakura H, Koike K, Okamoto K, Maruyama I, Shiku H and Nobori T: Comparison of diagnostic criteria For Disseminated Intravascular Coaglation (DIC): Diagnostic criteria of the International Society of Thrombosis and Hemostasis (ISTH) and of the Japanese Ministry of Health and Welfare for Overt DIC. Am J Hematol. 74:17–22. 2003. View Article : Google Scholar : PubMed/NCBI

12 

National Cancer Institute, . Common Terminology Criteria for Adverse Events v4.0. NIH Publication: Number 10-5410. 2010.

13 

Braun S, Pantel K, Müller P, Janni W, Hepp F, Kentenich CR, Gastroph S, Wischnik A, Dimpfl T, Kindermann G, et al: Cytokeratin-positive cells in the bone marrow and survival of patients with stage I, II, or III breast cancer. N Engl J Med. 342:525–533. 2000. View Article : Google Scholar : PubMed/NCBI

14 

Iguchi H: Recent aspects for disseminated carcinomatosis of the bone marrow associated with gastric cancer: What has been done for the past, and what will be needed in future? World J Gastroenterol. 21:12249–12260. 2015. View Article : Google Scholar : PubMed/NCBI

15 

Pai RK, Jayachandran P, Koong AC, Chang DT, Kwok S, Ma L, Arber DA, Balise RR, Tubbs RR, Shadrach B and Pai RK: BRAF-mutated, microsatellite-stable adenocarcinoma of the proximal colon: An aggressive adenocarcinoma with poor survival, mucinous differentiation, and adverse morphologic features. Am J Surg Pathol. 36:744–752. 2012. View Article : Google Scholar : PubMed/NCBI

16 

Therkildsen C, Bergmann TK, Henrichsen-Schnack T, Ladelund S and Nilbert M: The predictive value of KRAS, NRAS, BRAF, PIK3CA and PTEN for anti-EGFR treatment in metastatic colorectal cancer: A systematic review and meta-analysis. Acta Oncol. 53:852–864. 2014. View Article : Google Scholar : PubMed/NCBI

17 

Sartore-Bianchi A, Martini M, Molinari F, Veronese S, Nichelatti M, Artale S, Di Nicolantonio F, Saletti P, De Dosso S, Mazzucchelli L, et al: PIK3CA mutations in colorectal cancer are associated with clinical resistance to EGFR-targeted monoclonal antibodies. Cancer Res. 69:1851–1857. 2009. View Article : Google Scholar : PubMed/NCBI

18 

Coulombe PA and Wong P: Cytoplasmic intermediate filaments revealed as dynamic and multipurpose scaffolds. Nat Cell Biol. 6:699–706. 2004. View Article : Google Scholar : PubMed/NCBI

19 

Bayrak R, Yenidünya S and Haltas H: Cytokeratin 7 and cytokeratin 20 expression in colorectal adenocarcinomas. Pathol Res Pract. 207:156–160. 2011. View Article : Google Scholar : PubMed/NCBI

20 

Park SY, Kim BH, Kim JH, Lee S and Kang GH: Panels of immunohistochemical markers help determine primary sites of metastatic adenocarcinoma. Arch Pathol Lab Med. 131:1561–1567. 2007.PubMed/NCBI

21 

Pierga JY, Deneux L, Bonneton C, Vincent-Salomon A, Nos C, Anract P, Magdelénat H, Pouillart P and Thiery JP: Prognostic value of cytokeratin 19 fragment (CYFRA 21-1) and cytokeratin-positive cells in bone marrow samples of breast cancer patients. Int J Biol Markers. 19:23–31. 2004.PubMed/NCBI

22 

Dalerba P, Sahoo D, Paik S, Guo X, Yothers G, Song N, Wilcox-Fogel N, Forgó E, Rajendran PS, Miranda SP, et al: CDX2 as a prognostic biomarker in stage II and stage III colon cancer. N Engl J Med. 374:211–222. 2016. View Article : Google Scholar : PubMed/NCBI

Related Articles

  • Abstract
  • View
  • Download
  • Twitter
Copy and paste a formatted citation
Spandidos Publications style
Hanamura F, Shibata Y, Shirakawa T, Kuwayama M, Oda H, Ariyama H, Taguchi K, Esaki T and Baba E: Favorable control of advanced colon adenocarcinoma with severe bone marrow metastasis: A case report. Mol Clin Oncol 5: 579-582, 2016.
APA
Hanamura, F., Shibata, Y., Shirakawa, T., Kuwayama, M., Oda, H., Ariyama, H. ... Baba, E. (2016). Favorable control of advanced colon adenocarcinoma with severe bone marrow metastasis: A case report. Molecular and Clinical Oncology, 5, 579-582. https://doi.org/10.3892/mco.2016.1029
MLA
Hanamura, F., Shibata, Y., Shirakawa, T., Kuwayama, M., Oda, H., Ariyama, H., Taguchi, K., Esaki, T., Baba, E."Favorable control of advanced colon adenocarcinoma with severe bone marrow metastasis: A case report". Molecular and Clinical Oncology 5.5 (2016): 579-582.
Chicago
Hanamura, F., Shibata, Y., Shirakawa, T., Kuwayama, M., Oda, H., Ariyama, H., Taguchi, K., Esaki, T., Baba, E."Favorable control of advanced colon adenocarcinoma with severe bone marrow metastasis: A case report". Molecular and Clinical Oncology 5, no. 5 (2016): 579-582. https://doi.org/10.3892/mco.2016.1029
Copy and paste a formatted citation
x
Spandidos Publications style
Hanamura F, Shibata Y, Shirakawa T, Kuwayama M, Oda H, Ariyama H, Taguchi K, Esaki T and Baba E: Favorable control of advanced colon adenocarcinoma with severe bone marrow metastasis: A case report. Mol Clin Oncol 5: 579-582, 2016.
APA
Hanamura, F., Shibata, Y., Shirakawa, T., Kuwayama, M., Oda, H., Ariyama, H. ... Baba, E. (2016). Favorable control of advanced colon adenocarcinoma with severe bone marrow metastasis: A case report. Molecular and Clinical Oncology, 5, 579-582. https://doi.org/10.3892/mco.2016.1029
MLA
Hanamura, F., Shibata, Y., Shirakawa, T., Kuwayama, M., Oda, H., Ariyama, H., Taguchi, K., Esaki, T., Baba, E."Favorable control of advanced colon adenocarcinoma with severe bone marrow metastasis: A case report". Molecular and Clinical Oncology 5.5 (2016): 579-582.
Chicago
Hanamura, F., Shibata, Y., Shirakawa, T., Kuwayama, M., Oda, H., Ariyama, H., Taguchi, K., Esaki, T., Baba, E."Favorable control of advanced colon adenocarcinoma with severe bone marrow metastasis: A case report". Molecular and Clinical Oncology 5, no. 5 (2016): 579-582. https://doi.org/10.3892/mco.2016.1029
Follow us
  • Twitter
  • LinkedIn
  • Facebook
About
  • Spandidos Publications
  • Careers
  • Cookie Policy
  • Privacy Policy
How can we help?
  • Help
  • Live Chat
  • Contact
  • Email to our Support Team