Spandidos Publications Logo
  • About
    • About Spandidos
    • Aims and Scopes
    • Abstracting and Indexing
    • Editorial Policies
    • Reprints and Permissions
    • Job Opportunities
    • Terms and Conditions
    • Contact
  • Journals
    • All Journals
    • Oncology Letters
      • Oncology Letters
      • Information for Authors
      • Editorial Policies
      • Editorial Board
      • Aims and Scope
      • Abstracting and Indexing
      • Bibliographic Information
      • Archive
    • International Journal of Oncology
      • International Journal of Oncology
      • Information for Authors
      • Editorial Policies
      • Editorial Board
      • Aims and Scope
      • Abstracting and Indexing
      • Bibliographic Information
      • Archive
    • Molecular and Clinical Oncology
      • Molecular and Clinical Oncology
      • Information for Authors
      • Editorial Policies
      • Editorial Board
      • Aims and Scope
      • Abstracting and Indexing
      • Bibliographic Information
      • Archive
    • Experimental and Therapeutic Medicine
      • Experimental and Therapeutic Medicine
      • Information for Authors
      • Editorial Policies
      • Editorial Board
      • Aims and Scope
      • Abstracting and Indexing
      • Bibliographic Information
      • Archive
    • International Journal of Molecular Medicine
      • International Journal of Molecular Medicine
      • Information for Authors
      • Editorial Policies
      • Editorial Board
      • Aims and Scope
      • Abstracting and Indexing
      • Bibliographic Information
      • Archive
    • Biomedical Reports
      • Biomedical Reports
      • Information for Authors
      • Editorial Policies
      • Editorial Board
      • Aims and Scope
      • Abstracting and Indexing
      • Bibliographic Information
      • Archive
    • Oncology Reports
      • Oncology Reports
      • Information for Authors
      • Editorial Policies
      • Editorial Board
      • Aims and Scope
      • Abstracting and Indexing
      • Bibliographic Information
      • Archive
    • Molecular Medicine Reports
      • Molecular Medicine Reports
      • Information for Authors
      • Editorial Policies
      • Editorial Board
      • Aims and Scope
      • Abstracting and Indexing
      • Bibliographic Information
      • Archive
    • World Academy of Sciences Journal
      • World Academy of Sciences Journal
      • Information for Authors
      • Editorial Policies
      • Editorial Board
      • Aims and Scope
      • Abstracting and Indexing
      • Bibliographic Information
      • Archive
    • International Journal of Functional Nutrition
      • International Journal of Functional Nutrition
      • Information for Authors
      • Editorial Policies
      • Editorial Board
      • Aims and Scope
      • Abstracting and Indexing
      • Bibliographic Information
      • Archive
    • International Journal of Epigenetics
      • International Journal of Epigenetics
      • Information for Authors
      • Editorial Policies
      • Editorial Board
      • Aims and Scope
      • Abstracting and Indexing
      • Bibliographic Information
      • Archive
    • Medicine International
      • Medicine International
      • Information for Authors
      • Editorial Policies
      • Editorial Board
      • Aims and Scope
      • Abstracting and Indexing
      • Bibliographic Information
      • Archive
  • Articles
  • Information
    • Information for Authors
    • Information for Reviewers
    • Information for Librarians
    • Information for Advertisers
    • Conferences
  • Language Editing
Spandidos Publications Logo
  • About
    • About Spandidos
    • Aims and Scopes
    • Abstracting and Indexing
    • Editorial Policies
    • Reprints and Permissions
    • Job Opportunities
    • Terms and Conditions
    • Contact
  • Journals
    • All Journals
    • Biomedical Reports
      • Information for Authors
      • Editorial Policies
      • Editorial Board
      • Aims and Scope
      • Abstracting and Indexing
      • Bibliographic Information
      • Archive
    • Experimental and Therapeutic Medicine
      • Information for Authors
      • Editorial Policies
      • Editorial Board
      • Aims and Scope
      • Abstracting and Indexing
      • Bibliographic Information
      • Archive
    • International Journal of Epigenetics
      • Information for Authors
      • Editorial Policies
      • Editorial Board
      • Aims and Scope
      • Abstracting and Indexing
      • Bibliographic Information
      • Archive
    • International Journal of Functional Nutrition
      • Information for Authors
      • Editorial Policies
      • Editorial Board
      • Aims and Scope
      • Abstracting and Indexing
      • Bibliographic Information
      • Archive
    • International Journal of Molecular Medicine
      • Information for Authors
      • Editorial Policies
      • Editorial Board
      • Aims and Scope
      • Abstracting and Indexing
      • Bibliographic Information
      • Archive
    • International Journal of Oncology
      • Information for Authors
      • Editorial Policies
      • Editorial Board
      • Aims and Scope
      • Abstracting and Indexing
      • Bibliographic Information
      • Archive
    • Medicine International
      • Information for Authors
      • Editorial Policies
      • Editorial Board
      • Aims and Scope
      • Abstracting and Indexing
      • Bibliographic Information
      • Archive
    • Molecular and Clinical Oncology
      • Information for Authors
      • Editorial Policies
      • Editorial Board
      • Aims and Scope
      • Abstracting and Indexing
      • Bibliographic Information
      • Archive
    • Molecular Medicine Reports
      • Information for Authors
      • Editorial Policies
      • Editorial Board
      • Aims and Scope
      • Abstracting and Indexing
      • Bibliographic Information
      • Archive
    • Oncology Letters
      • Information for Authors
      • Editorial Policies
      • Editorial Board
      • Aims and Scope
      • Abstracting and Indexing
      • Bibliographic Information
      • Archive
    • Oncology Reports
      • Information for Authors
      • Editorial Policies
      • Editorial Board
      • Aims and Scope
      • Abstracting and Indexing
      • Bibliographic Information
      • Archive
    • World Academy of Sciences Journal
      • Information for Authors
      • Editorial Policies
      • Editorial Board
      • Aims and Scope
      • Abstracting and Indexing
      • Bibliographic Information
      • Archive
  • Articles
  • Information
    • For Authors
    • For Reviewers
    • For Librarians
    • For Advertisers
    • Conferences
  • Language Editing
Login Register Submit
  • This site uses cookies
  • You can change your cookie settings at any time by following the instructions in our Cookie Policy. To find out more, you may read our Privacy Policy.

    I agree
Search articles by DOI, keyword, author or affiliation
Search
Advanced Search
presentation
Molecular and Clinical Oncology
Join Editorial Board Propose a Special Issue
Print ISSN: 2049-9450 Online ISSN: 2049-9469
Journal Cover
April-2016 Volume 4 Issue 4

Full Size Image

Sign up for eToc alerts
Recommend to Library

Journals

International Journal of Molecular Medicine

International Journal of Molecular Medicine

International Journal of Molecular Medicine is an international journal devoted to molecular mechanisms of human disease.

International Journal of Oncology

International Journal of Oncology

International Journal of Oncology is an international journal devoted to oncology research and cancer treatment.

Molecular Medicine Reports

Molecular Medicine Reports

Covers molecular medicine topics such as pharmacology, pathology, genetics, neuroscience, infectious diseases, molecular cardiology, and molecular surgery.

Oncology Reports

Oncology Reports

Oncology Reports is an international journal devoted to fundamental and applied research in Oncology.

Experimental and Therapeutic Medicine

Experimental and Therapeutic Medicine

Experimental and Therapeutic Medicine is an international journal devoted to laboratory and clinical medicine.

Oncology Letters

Oncology Letters

Oncology Letters is an international journal devoted to Experimental and Clinical Oncology.

Biomedical Reports

Biomedical Reports

Explores a wide range of biological and medical fields, including pharmacology, genetics, microbiology, neuroscience, and molecular cardiology.

Molecular and Clinical Oncology

Molecular and Clinical Oncology

International journal addressing all aspects of oncology research, from tumorigenesis and oncogenes to chemotherapy and metastasis.

World Academy of Sciences Journal

World Academy of Sciences Journal

Multidisciplinary open-access journal spanning biochemistry, genetics, neuroscience, environmental health, and synthetic biology.

International Journal of Functional Nutrition

International Journal of Functional Nutrition

Open-access journal combining biochemistry, pharmacology, immunology, and genetics to advance health through functional nutrition.

International Journal of Epigenetics

International Journal of Epigenetics

Publishes open-access research on using epigenetics to advance understanding and treatment of human disease.

Medicine International

Medicine International

An International Open Access Journal Devoted to General Medicine.

Journal Cover
April-2016 Volume 4 Issue 4

Full Size Image

Sign up for eToc alerts
Recommend to Library

  • Article
  • Citations
    • Cite This Article
    • Download Citation
    • Create Citation Alert
    • Remove Citation Alert
    • Cited By
  • Similar Articles
    • Related Articles (in Spandidos Publications)
    • Similar Articles (Google Scholar)
    • Similar Articles (PubMed)
  • Download PDF
  • Download XML
  • View XML
Case Report

Serous cystadenoma of the pancreas with atypical clinical manifestations: A case report

  • Authors:
    • Yuan Gao
    • Jing Ping Zhang
    • Ping Zhu
  • View Affiliations / Copyright

    Affiliations: Department of General Surgery, The Second People's Hospital of Changzhou Affiliated to Nanjing Medical University, Changzhou, Jiangsu 213000, P.R. China
  • Pages: 584-586
    |
    Published online on: February 8, 2016
       https://doi.org/10.3892/mco.2016.771
  • Expand metrics +
Metrics: Total Views: 0 (Spandidos Publications: | PMC Statistics: )
Metrics: Total PDF Downloads: 0 (Spandidos Publications: | PMC Statistics: )
Cited By (CrossRef): 0 citations Loading Articles...

This article is mentioned in:



Abstract

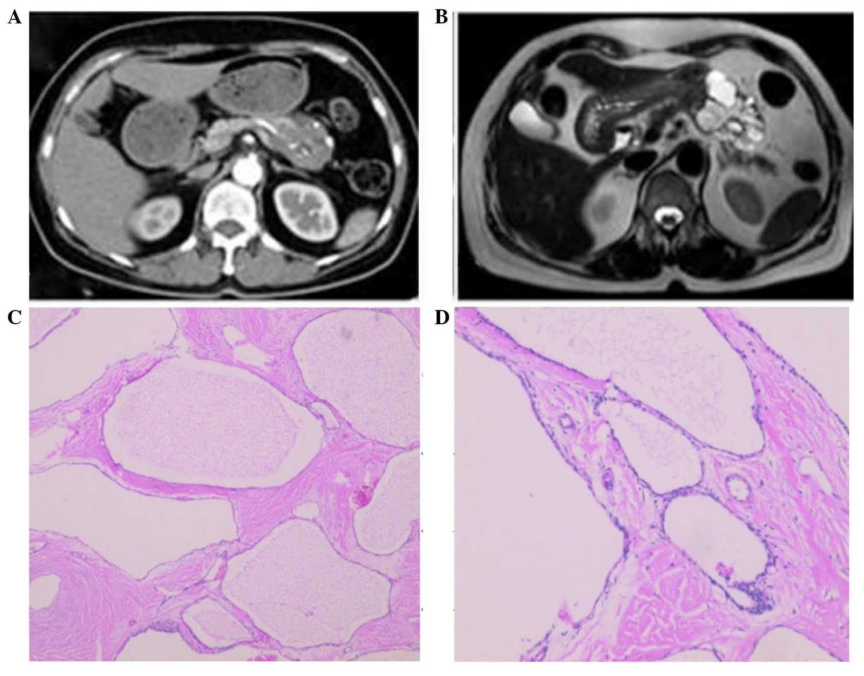
The present study reported a 4.8 cm space-occupying cystic solid mass of the pancreas, which caused recurrent bilateral lower back discomfort in a 60-year-old female. Combined with the clinical data, an impression of a solid-pseudopapillary neoplasm was generated prior to surgery. Abdominal exploration revealed splenic vessel encasement by the mass similar to the invasion observed in a malignant tumor. Distal pancreatectomy with splenectomy was subsequently performed. Grossly, the tumor was solid and consisted of numerous small cysts. Histopathological examination of the cystic solid mass revealed classic microcystic serous cystadenoma of the pancreas. These findings suggested that microcystic serous cystadenoma can exhibit atypical clinical manifestations. Asymptomatic patients with a small lesion (<4 cm) require imaging surveillance every 2 years; however, tumors >4 cm with atypical presentations require surgical resection.
View Figures

Figure 1

View References

1 

Compagno J and Oertel JE: Microcystic adenomas of the pancreas (glycogen-rich cystadenomas): A clinicopathologic study of 34 cases. Am J Clin Pathol. 69:289–298. 1978. View Article : Google Scholar : PubMed/NCBI

2 

Choi JY, Kim MJ, Lee JY, Lim JS, Chung JJ, Kim KW and Yoo HS: Typical and atypical manifestations of serous cystadenoma of the pancreas: Imaging findings with pathologic correlation. AJR Am J Roentgenol. 193:136–142. 2009. View Article : Google Scholar : PubMed/NCBI

3 

Kehagias D, Smyrniotis V, Gouliamos A and Vlahos L: Cystic pancreatic neoplasms: Computed tomography and magnetic resonance imaging findings. Int J Pancreatol. 28:223–230. 2000. View Article : Google Scholar : PubMed/NCBI

4 

Galanis C, Zamani A, Cameron JL, Campbell KA, Lillemoe KD, Caparrelli D, Chang D, Hruban RH and Yeo CJ: Resected serous cystic neoplasms of the pancreas: A review of 158 patients with recommendations for treatment. J Gastrointest Surg. 11:820–826. 2007. View Article : Google Scholar : PubMed/NCBI

5 

Bassi C, Salvia R, Molinari E, Biasutti C, Falconi M and Pederzoli P: Management of 100 consecutive cases of pancreatic serous cystadenoma: Wait for symptoms and see at imaging or vice versa? World J Surg. 27:319–323. 2003. View Article : Google Scholar : PubMed/NCBI

6 

Kimura W, Moriya T, Hirai I, Hanada K, Abe H, Yanagisawa A, Fukushima N, Ohike N, Shimizu M, Hatori T, et al: Multicenter study of serous cystic neoplasm of the Japan pancreas society. Pancreas. 41:380–387. 2012. View Article : Google Scholar : PubMed/NCBI

7 

Charlesworth M, Verbeke CS, Falk GA, Walsh M, Smith AM and Morris-Stiff G: Pancreatic lesions in von hippel-lindau disease? A systematic review and meta-synthesis of the literature. J Gastrointest Surg. 16:1422–1428. 2012. View Article : Google Scholar : PubMed/NCBI

8 

Khashab MA, Kim K, Lennon AM, Shin EJ, Tignor AS, Amateau SK, Singh VK, Wolfgang CL, Hruban RH and Canto MI: Should we do EUS/FNA on patients with pancreatic cysts? The incremental diagnostic yield of EUS over CT/MRI for prediction of cystic neoplasms. Pancreas. 42:717–721. 2013. View Article : Google Scholar : PubMed/NCBI

9 

Malleo G, Bassi C and Salvia R: Appraisal of the surgical management for pancreatic serous cystic neoplasms. Surg Endosc. 27:2646–2647. 2013. View Article : Google Scholar : PubMed/NCBI

10 

Abe H, Kubota K, Mori M, Miki K, Minagawa M, Noie T, Kimura W and Makuuchi M: Serous cystadenoma of the pancreas with invasive growth: Benign or malignant? Am J Gastroenterol. 93:1963–1966. 1998. View Article : Google Scholar : PubMed/NCBI

11 

Pravisani R, Intini SG, Girometti R, Avellini C, Leo CA, Bugiantella W and Risaliti A: Macrocystic serous cystadenoma of the pancreas: Report of 4 cases. Int J Surg. 21:S98–S101. 2015. View Article : Google Scholar : PubMed/NCBI

12 

Tseng JF, Warshaw AL, Sahani DV, Lauwers GY, Rattner DW and Fernandez-del Castillo C: Serous cystadenoma of the pancreas: Tumor growth rates and recommendations for treatment. Ann Surg. 242:413–419. 2005.PubMed/NCBI

13 

Dina I, Ginghina O, Iacobescu C, Vrabie C, Gidea C, Munteanu R, Iosifescu R and Iordache N: Spleen preservation in a caudal pancreatic serous cystadenoma-case report. J Med Life. 8:106–108. 2015.PubMed/NCBI

14 

Oh HC, Seo DW, Kim SH, Min B and Kim J: Systemic effect of endoscopic ultrasonography-guided pancreatic cyst ablation with ethanol and paclitaxel. Dig Dis Sci. 59:1573–1577. 2014. View Article : Google Scholar : PubMed/NCBI

15 

Oh HC, Seo DW, Song TJ, Moon SH, Park Do H, Lee Soo S, Lee SK, Kim MH and Kim J: Endoscopic ultrasonography-guided ethanol lavage with paclitaxel injection treats patients with pancreatic cysts. Gastroenterology. 140:172–179. 2011. View Article : Google Scholar : PubMed/NCBI

Related Articles

  • Abstract
  • View
  • Download
  • Twitter
Copy and paste a formatted citation
Spandidos Publications style
Gao Y, Zhang JP and Zhu P: Serous cystadenoma of the pancreas with atypical clinical manifestations: A case report. Mol Clin Oncol 4: 584-586, 2016.
APA
Gao, Y., Zhang, J.P., & Zhu, P. (2016). Serous cystadenoma of the pancreas with atypical clinical manifestations: A case report. Molecular and Clinical Oncology, 4, 584-586. https://doi.org/10.3892/mco.2016.771
MLA
Gao, Y., Zhang, J. P., Zhu, P."Serous cystadenoma of the pancreas with atypical clinical manifestations: A case report". Molecular and Clinical Oncology 4.4 (2016): 584-586.
Chicago
Gao, Y., Zhang, J. P., Zhu, P."Serous cystadenoma of the pancreas with atypical clinical manifestations: A case report". Molecular and Clinical Oncology 4, no. 4 (2016): 584-586. https://doi.org/10.3892/mco.2016.771
Copy and paste a formatted citation
x
Spandidos Publications style
Gao Y, Zhang JP and Zhu P: Serous cystadenoma of the pancreas with atypical clinical manifestations: A case report. Mol Clin Oncol 4: 584-586, 2016.
APA
Gao, Y., Zhang, J.P., & Zhu, P. (2016). Serous cystadenoma of the pancreas with atypical clinical manifestations: A case report. Molecular and Clinical Oncology, 4, 584-586. https://doi.org/10.3892/mco.2016.771
MLA
Gao, Y., Zhang, J. P., Zhu, P."Serous cystadenoma of the pancreas with atypical clinical manifestations: A case report". Molecular and Clinical Oncology 4.4 (2016): 584-586.
Chicago
Gao, Y., Zhang, J. P., Zhu, P."Serous cystadenoma of the pancreas with atypical clinical manifestations: A case report". Molecular and Clinical Oncology 4, no. 4 (2016): 584-586. https://doi.org/10.3892/mco.2016.771
Follow us
  • Twitter
  • LinkedIn
  • Facebook
About
  • Spandidos Publications
  • Careers
  • Cookie Policy
  • Privacy Policy
How can we help?
  • Help
  • Live Chat
  • Contact
  • Email to our Support Team