Spandidos Publications Logo
  • About
    • About Spandidos
    • Aims and Scopes
    • Abstracting and Indexing
    • Editorial Policies
    • Reprints and Permissions
    • Job Opportunities
    • Terms and Conditions
    • Contact
  • Journals
    • All Journals
    • Oncology Letters
      • Oncology Letters
      • Information for Authors
      • Editorial Policies
      • Editorial Board
      • Aims and Scope
      • Abstracting and Indexing
      • Bibliographic Information
      • Archive
    • International Journal of Oncology
      • International Journal of Oncology
      • Information for Authors
      • Editorial Policies
      • Editorial Board
      • Aims and Scope
      • Abstracting and Indexing
      • Bibliographic Information
      • Archive
    • Molecular and Clinical Oncology
      • Molecular and Clinical Oncology
      • Information for Authors
      • Editorial Policies
      • Editorial Board
      • Aims and Scope
      • Abstracting and Indexing
      • Bibliographic Information
      • Archive
    • Experimental and Therapeutic Medicine
      • Experimental and Therapeutic Medicine
      • Information for Authors
      • Editorial Policies
      • Editorial Board
      • Aims and Scope
      • Abstracting and Indexing
      • Bibliographic Information
      • Archive
    • International Journal of Molecular Medicine
      • International Journal of Molecular Medicine
      • Information for Authors
      • Editorial Policies
      • Editorial Board
      • Aims and Scope
      • Abstracting and Indexing
      • Bibliographic Information
      • Archive
    • Biomedical Reports
      • Biomedical Reports
      • Information for Authors
      • Editorial Policies
      • Editorial Board
      • Aims and Scope
      • Abstracting and Indexing
      • Bibliographic Information
      • Archive
    • Oncology Reports
      • Oncology Reports
      • Information for Authors
      • Editorial Policies
      • Editorial Board
      • Aims and Scope
      • Abstracting and Indexing
      • Bibliographic Information
      • Archive
    • Molecular Medicine Reports
      • Molecular Medicine Reports
      • Information for Authors
      • Editorial Policies
      • Editorial Board
      • Aims and Scope
      • Abstracting and Indexing
      • Bibliographic Information
      • Archive
    • World Academy of Sciences Journal
      • World Academy of Sciences Journal
      • Information for Authors
      • Editorial Policies
      • Editorial Board
      • Aims and Scope
      • Abstracting and Indexing
      • Bibliographic Information
      • Archive
    • International Journal of Functional Nutrition
      • International Journal of Functional Nutrition
      • Information for Authors
      • Editorial Policies
      • Editorial Board
      • Aims and Scope
      • Abstracting and Indexing
      • Bibliographic Information
      • Archive
    • International Journal of Epigenetics
      • International Journal of Epigenetics
      • Information for Authors
      • Editorial Policies
      • Editorial Board
      • Aims and Scope
      • Abstracting and Indexing
      • Bibliographic Information
      • Archive
    • Medicine International
      • Medicine International
      • Information for Authors
      • Editorial Policies
      • Editorial Board
      • Aims and Scope
      • Abstracting and Indexing
      • Bibliographic Information
      • Archive
  • Articles
  • Information
    • Information for Authors
    • Information for Reviewers
    • Information for Librarians
    • Information for Advertisers
    • Conferences
  • Language Editing
Spandidos Publications Logo
  • About
    • About Spandidos
    • Aims and Scopes
    • Abstracting and Indexing
    • Editorial Policies
    • Reprints and Permissions
    • Job Opportunities
    • Terms and Conditions
    • Contact
  • Journals
    • All Journals
    • Biomedical Reports
      • Information for Authors
      • Editorial Policies
      • Editorial Board
      • Aims and Scope
      • Abstracting and Indexing
      • Bibliographic Information
      • Archive
    • Experimental and Therapeutic Medicine
      • Information for Authors
      • Editorial Policies
      • Editorial Board
      • Aims and Scope
      • Abstracting and Indexing
      • Bibliographic Information
      • Archive
    • International Journal of Epigenetics
      • Information for Authors
      • Editorial Policies
      • Editorial Board
      • Aims and Scope
      • Abstracting and Indexing
      • Bibliographic Information
      • Archive
    • International Journal of Functional Nutrition
      • Information for Authors
      • Editorial Policies
      • Editorial Board
      • Aims and Scope
      • Abstracting and Indexing
      • Bibliographic Information
      • Archive
    • International Journal of Molecular Medicine
      • Information for Authors
      • Editorial Policies
      • Editorial Board
      • Aims and Scope
      • Abstracting and Indexing
      • Bibliographic Information
      • Archive
    • International Journal of Oncology
      • Information for Authors
      • Editorial Policies
      • Editorial Board
      • Aims and Scope
      • Abstracting and Indexing
      • Bibliographic Information
      • Archive
    • Medicine International
      • Information for Authors
      • Editorial Policies
      • Editorial Board
      • Aims and Scope
      • Abstracting and Indexing
      • Bibliographic Information
      • Archive
    • Molecular and Clinical Oncology
      • Information for Authors
      • Editorial Policies
      • Editorial Board
      • Aims and Scope
      • Abstracting and Indexing
      • Bibliographic Information
      • Archive
    • Molecular Medicine Reports
      • Information for Authors
      • Editorial Policies
      • Editorial Board
      • Aims and Scope
      • Abstracting and Indexing
      • Bibliographic Information
      • Archive
    • Oncology Letters
      • Information for Authors
      • Editorial Policies
      • Editorial Board
      • Aims and Scope
      • Abstracting and Indexing
      • Bibliographic Information
      • Archive
    • Oncology Reports
      • Information for Authors
      • Editorial Policies
      • Editorial Board
      • Aims and Scope
      • Abstracting and Indexing
      • Bibliographic Information
      • Archive
    • World Academy of Sciences Journal
      • Information for Authors
      • Editorial Policies
      • Editorial Board
      • Aims and Scope
      • Abstracting and Indexing
      • Bibliographic Information
      • Archive
  • Articles
  • Information
    • For Authors
    • For Reviewers
    • For Librarians
    • For Advertisers
    • Conferences
  • Language Editing
Login Register Submit
  • This site uses cookies
  • You can change your cookie settings at any time by following the instructions in our Cookie Policy. To find out more, you may read our Privacy Policy.

    I agree
Search articles by DOI, keyword, author or affiliation
Search
Advanced Search
presentation
Molecular and Clinical Oncology
Join Editorial Board Propose a Special Issue
Print ISSN: 2049-9450 Online ISSN: 2049-9469
Journal Cover
March-2017 Volume 6 Issue 3

Full Size Image

Sign up for eToc alerts
Recommend to Library

Journals

International Journal of Molecular Medicine

International Journal of Molecular Medicine

International Journal of Molecular Medicine is an international journal devoted to molecular mechanisms of human disease.

International Journal of Oncology

International Journal of Oncology

International Journal of Oncology is an international journal devoted to oncology research and cancer treatment.

Molecular Medicine Reports

Molecular Medicine Reports

Covers molecular medicine topics such as pharmacology, pathology, genetics, neuroscience, infectious diseases, molecular cardiology, and molecular surgery.

Oncology Reports

Oncology Reports

Oncology Reports is an international journal devoted to fundamental and applied research in Oncology.

Experimental and Therapeutic Medicine

Experimental and Therapeutic Medicine

Experimental and Therapeutic Medicine is an international journal devoted to laboratory and clinical medicine.

Oncology Letters

Oncology Letters

Oncology Letters is an international journal devoted to Experimental and Clinical Oncology.

Biomedical Reports

Biomedical Reports

Explores a wide range of biological and medical fields, including pharmacology, genetics, microbiology, neuroscience, and molecular cardiology.

Molecular and Clinical Oncology

Molecular and Clinical Oncology

International journal addressing all aspects of oncology research, from tumorigenesis and oncogenes to chemotherapy and metastasis.

World Academy of Sciences Journal

World Academy of Sciences Journal

Multidisciplinary open-access journal spanning biochemistry, genetics, neuroscience, environmental health, and synthetic biology.

International Journal of Functional Nutrition

International Journal of Functional Nutrition

Open-access journal combining biochemistry, pharmacology, immunology, and genetics to advance health through functional nutrition.

International Journal of Epigenetics

International Journal of Epigenetics

Publishes open-access research on using epigenetics to advance understanding and treatment of human disease.

Medicine International

Medicine International

An International Open Access Journal Devoted to General Medicine.

Journal Cover
March-2017 Volume 6 Issue 3

Full Size Image

Sign up for eToc alerts
Recommend to Library

  • Article
  • Citations
    • Cite This Article
    • Download Citation
    • Create Citation Alert
    • Remove Citation Alert
    • Cited By
  • Similar Articles
    • Related Articles (in Spandidos Publications)
    • Similar Articles (Google Scholar)
    • Similar Articles (PubMed)
  • Download PDF
  • Download XML
  • View XML
Case Report

Efficacy of metformin for advanced-stage endometrial cancer: A case report

  • Authors:
    • Emi Sato
    • Kentaro Nakayama
    • Kohei Nakamura
    • Noriyoshi Ishikawa
    • Masako Ishikawa
    • Toshiko Minamoto
    • Tomoka Ishibashi
    • Satoru Kyo
  • View Affiliations / Copyright

    Affiliations: Department of Obstetrics and Gynaecology, Shimane University School of Medicine, Izumo, Shimane 6938501, Japan, Department of Organ Pathology, Shimane University School of Medicine, Izumo, Shimane 6938501, Japan
  • Pages: 441-443
    |
    Published online on: January 13, 2017
       https://doi.org/10.3892/mco.2017.1130
  • Expand metrics +
Metrics: Total Views: 0 (Spandidos Publications: | PMC Statistics: )
Metrics: Total PDF Downloads: 0 (Spandidos Publications: | PMC Statistics: )
Cited By (CrossRef): 0 citations Loading Articles...

This article is mentioned in:


Abstract

The paradigm of obesity, diabetes mellitus and insulin resistance possibly plays a critical role in the pathogenesis of endometrial cancer (EC). Impaired glucose tolerance and insulin resistance may play a direct or facilitating role in the neoplastic transformation of the endometrium, whereas antidiabetic therapy, particularly with metformin, has been suggested to inhibit EC progression. We herein present the case of a patient with EC who received metformin monotherapy due to complications after undergoing surgery. At 45 months after the introduction of metformin treatment, the patient had no complaints and continued receiving metformin without signs of tumor recurrence. As metformin is widely used among diabetic patients and in ongoing clinical trials in cancer patients, the aforementioned results deserve further clinical investigation.

Introduction

Endometrial cancer (EC) is the third most common gynecological malignancy worldwide, after breast and cervical cancers (1). While insulin resistance and diabetes mellitus (DM) may facilitate the initiation and progression of EC, effective DM control has been suggested to prevent or modulate EC (2). Metformin is an oral insulin-sensitizing agent used as first-line therapy for type 2 DM (3). As shown in a recent review, several in vitro and observational studies have evaluated the potential benefits of metformin in the prevention or treatment of gynecological cancers (4,5). In vitro data have demonstrated that metformin administration inhibits the growth and decreases the invasion and metastasis of EC cell lines (6,7). A multi-institutional study recently demonstrated that metformin use was associated with an improvement in the recurrence-free and overall survival of patients with EC (8). We herein describe the case of a patient with EC who was treated with metformin and remained disease-free during a long follow-up period.

Case report

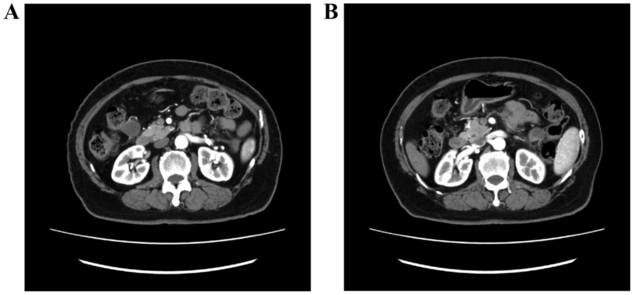
A 79-year-old woman, gravida 1, para 0, presented with lower abdominal pain. The patient was examined in a gynecological clinic (September, 2012). Magnetic resonance imaging (MRI) revealed a mass sized ~4 cm in the endometrium (Fig. 1) and computed tomography (CT) revealed two 2-cm peritoneal disseminations (Fig. 2). The carbohydrate antigen-125 level was 53 ng/ml (normal range, <35 ng/ml), and the carcinoembryonic antigen level was 8.6 ng/ml (normal range, <5.0 ng/ml). The diagnosis was endometrial adenocarcinoma. The patient had a history of type 2 DM and hypertension, but was not obese (body mass index, 23.6 kg/m2). The HbA1c level (National Glycohemoglobin Standardization Program) was 9.1%, and the patient was treated with oral medications [sulfonylurea and dipeptidyl peptidase-4 (DPP-4) inhibitor].

Figure 1.

Magnetic resonance image showing the endometrial cancer. Preoperative T2-weighted images: (A) sagittal section and (B) horizontal section

Figure 2.

Computed tomographic images showing peritoneal dissemination. (A) Dorsal side of the transverse colon and (B) anterior side of the left kidney.

The patient was referred to the Shimane University Hospital for treatment of the pelvic and abdominal masses, where she underwent modified radical hysterectomy, bilateral salpingo-oophorectomy, pelvic lymphadenectomy and abdominal mass resection. All identifiable masses were resected. Pathological examination revealed a stage IVB (International Federation of Gynecology and Obstetrics 2008), pT1aN0M1 endometrial serous adenocarcinoma.

Although adjuvant chemotherapy was planned, the postoperative follow-up was complicated by perforation of the digestive tract and severe inflammation of the peritoneum. To control glycemia, insulin was initially used, but it was replaced with metformin (250 mg once a day) and other oral medications (sulfonylurea and DPP-4 inhibitor) following discharge from the hospital. No further medical treatment was performed.

After being discharged from the hospital, the patient did not exhibit elevated levels of tumor markers or any metastases on CT. At 45 months after the initial metformin treatment, the patient had no complaints and maintained a good quality of life, without signs of tumor progression.

Discussion

The mechanism underlying the antitumor effect of metformin is considered to involve the activation of adenosine monophosphate-activated protein kinase and inhibition of the mammalian target of rapamycin, which reduces cell growth (9). Metformin arrests the cell cycle of EC cells, decreases human telomerase reverse transcriptase mRNA expression, and inhibits the phosphorylation of S6RP, resulting in the inhibition of signaling downstream of the mRNA pathway (10,11). Thus, in EC, cell cycle arrest by metformin has been observed in vitro, and inhibition of telomerase activity may be an important mechanism underlying the antitumor activity of this drug (10).

Clinical evidence on the effect of metformin on EC outcome is limited to retrospective data and does not generally account for the effects of multiple covariates, such as pathology, stage and treatment, on clinical outcome (12). It cannot be definitively concluded that patients who receive metformin are less likely to succumb to EC, as metformin may also reduce mortality from other causes (e.g., complications of diabetes and cardiovascular disease) (13).

In the present case, adjuvant chemotherapy and radiotherapy could not be administered, but the patient remained disease-free over a long period of time with metformin therapy alone. The contribution of complete surgical resection to this clinical benefit cannot be ruled out. Moreover, whether this was the natural course of EC in our patient remains unclear. Despite these limitations, this clinical case suggests that metformin is potentially beneficial in the prevention or treatment of EC. This finding deserves further validation in clinical studies (14–16).

References

1 

Siegel R, Ma J, Zou Z and Jemal A: Cancer statistics, 2014. CA Cancer J Clin 64. 9–29, 2014. Erratum in. CA Cancer J Clin. 64:3642014. View Article : Google Scholar

2 

Zhang Y, Liu Z, Yu X, Zhang X, Lü S, Chen X and Lü B: The association between metabolic abnormality and endometrial cancer: A large case-control study in China. Gynecol Oncol. 117:41–46. 2010. View Article : Google Scholar : PubMed/NCBI

3 

American Diabetes Association, . Executive summary: Standards of medical care in diabetes-2014. Diabetes Care. 37:(Suppl 1). S5–S13. 2014. View Article : Google Scholar : PubMed/NCBI

4 

Febbraro T, Lengyel E and Romero IL: Old drug, new trick: Repurposing metformin for gynecologic cancers? Gynecol Oncol. 135:614–621. 2014. View Article : Google Scholar : PubMed/NCBI

5 

Stine JE and Bae-Jump V: Metformin and gynecologic cancers. Obstet Gynecol Surv. 69:477–489. 2014. View Article : Google Scholar : PubMed/NCBI

6 

Tan BK, Adya R, Chen J, Lehnert H, Cassia LJ Sant and Randeva HS: Metformin treatment exerts antiinvasive and antimetastatic effects in human endometrial carcinoma cells. J Clin Endocrinol Metab. 96:808–816. 2011. View Article : Google Scholar : PubMed/NCBI

7 

Cantrell LA, Zhou C, Mendivil A, Malloy KM, Gehrig PA and Bae-Jump VL: Metformin is a potent inhibitor of endometrial cancer cell proliferation-implications for a novel treatment strategy. Gynecol Oncol. 116:92–98. 2010. View Article : Google Scholar : PubMed/NCBI

8 

Ko EM, Walter P, Jackson A, Clark L, Franasiak J, Bolac C, Havrilesky LJ, Secord AA, Moore DT, Gehrig PA, et al: Metformin is associated with improved survival in endometrial cancer. Gynecol Oncol. 132:438–442. 2014. View Article : Google Scholar : PubMed/NCBI

9 

Riedmaier A Emami, Fisel P, Nies AT, Schaeffeler E and Schwab M: Metformin and cancer: From the old medicine cabinet to pharmacological pitfalls and prospects. Trends Pharmacol Sci. 34:126–135. 2013. View Article : Google Scholar : PubMed/NCBI

10 

Ben Sahra I, Laurent K, Loubat A, Giorgetti-Peraldi S, Colosetti P, Auberger P, Tanti JF, Le Marchand-Brustel Y and Bost F: The antidiabetic drug metformin exerts an antitumoral effect in vitro and in vivo through a decrease of cyclin D1 level. Oncogene. 27:3576–3586. 2008. View Article : Google Scholar : PubMed/NCBI

11 

Tsuji K, Kisu I, Banno K, Yanokura M, Ueki A, Masuda K, Kobayashi Y, Yamagami W, Nomura H, Susumu N, et al: Metformin: A possible drug for treatment of endometrial cancer. Open J Obstet Gynecol. 2:1–6. 2012. View Article : Google Scholar

12 

Al Hilli MM, Bakkum-Gamez JN, Mariani A, Cliby WA, Mc Gree ME, Weaver AL, Dowdy SC and Podratz KC: The effect of diabetes and metformin on clinical outcomes is negligible in risk-adjusted endometrial cancer cohorts. Gynecol Oncol. 140:270–276. 2016. View Article : Google Scholar : PubMed/NCBI

13 

Ezewuiro O, Grushko TA, Kocherginsky M, Habis M, Hurteau JA, Mills KA, Hunn J, Olopade OI, Fleming GF and Romero IL: Association of Metformin Use with Outcomes in Advanced Endometrial Cancer Treated with Chemotherapy. PLoS One. 11:e01471452016. View Article : Google Scholar : PubMed/NCBI

14 

Amant F, Moerman P, Neven P, Timmerman D, Van Limbergen E and Vergote I: Endometrial cancer. Lancet. 366:491–505. 2005. View Article : Google Scholar : PubMed/NCBI

15 

Mitsuhashi A, Kiyokawa T, Sato Y and Shozu M: Effects of metformin on endometrial cancer cell growth in vivo: A preoperative prospective trial. Cancer. 120:2986–2995. 2014. View Article : Google Scholar : PubMed/NCBI

16 

Indraccolo S, Randon G, Zulato E, Nardin M, Aliberti C, Pomerri F, Casarin A and Nicoletto MO: Metformin: A modulator of bevacizumab activity in cancer? A case report. Cancer Biol Ther. 16:210–214. 2015. View Article : Google Scholar : PubMed/NCBI

Related Articles

  • Abstract
  • View
  • Download
  • Twitter
Copy and paste a formatted citation
Spandidos Publications style
Sato E, Nakayama K, Nakamura K, Ishikawa N, Ishikawa M, Minamoto T, Ishibashi T and Kyo S: Efficacy of metformin for advanced-stage endometrial cancer: A case report. Mol Clin Oncol 6: 441-443, 2017.
APA
Sato, E., Nakayama, K., Nakamura, K., Ishikawa, N., Ishikawa, M., Minamoto, T. ... Kyo, S. (2017). Efficacy of metformin for advanced-stage endometrial cancer: A case report. Molecular and Clinical Oncology, 6, 441-443. https://doi.org/10.3892/mco.2017.1130
MLA
Sato, E., Nakayama, K., Nakamura, K., Ishikawa, N., Ishikawa, M., Minamoto, T., Ishibashi, T., Kyo, S."Efficacy of metformin for advanced-stage endometrial cancer: A case report". Molecular and Clinical Oncology 6.3 (2017): 441-443.
Chicago
Sato, E., Nakayama, K., Nakamura, K., Ishikawa, N., Ishikawa, M., Minamoto, T., Ishibashi, T., Kyo, S."Efficacy of metformin for advanced-stage endometrial cancer: A case report". Molecular and Clinical Oncology 6, no. 3 (2017): 441-443. https://doi.org/10.3892/mco.2017.1130
Copy and paste a formatted citation
x
Spandidos Publications style
Sato E, Nakayama K, Nakamura K, Ishikawa N, Ishikawa M, Minamoto T, Ishibashi T and Kyo S: Efficacy of metformin for advanced-stage endometrial cancer: A case report. Mol Clin Oncol 6: 441-443, 2017.
APA
Sato, E., Nakayama, K., Nakamura, K., Ishikawa, N., Ishikawa, M., Minamoto, T. ... Kyo, S. (2017). Efficacy of metformin for advanced-stage endometrial cancer: A case report. Molecular and Clinical Oncology, 6, 441-443. https://doi.org/10.3892/mco.2017.1130
MLA
Sato, E., Nakayama, K., Nakamura, K., Ishikawa, N., Ishikawa, M., Minamoto, T., Ishibashi, T., Kyo, S."Efficacy of metformin for advanced-stage endometrial cancer: A case report". Molecular and Clinical Oncology 6.3 (2017): 441-443.
Chicago
Sato, E., Nakayama, K., Nakamura, K., Ishikawa, N., Ishikawa, M., Minamoto, T., Ishibashi, T., Kyo, S."Efficacy of metformin for advanced-stage endometrial cancer: A case report". Molecular and Clinical Oncology 6, no. 3 (2017): 441-443. https://doi.org/10.3892/mco.2017.1130
Follow us
  • Twitter
  • LinkedIn
  • Facebook
About
  • Spandidos Publications
  • Careers
  • Cookie Policy
  • Privacy Policy
How can we help?
  • Help
  • Live Chat
  • Contact
  • Email to our Support Team