Spandidos Publications Logo
  • About
    • About Spandidos
    • Aims and Scopes
    • Abstracting and Indexing
    • Editorial Policies
    • Reprints and Permissions
    • Job Opportunities
    • Terms and Conditions
    • Contact
  • Journals
    • All Journals
    • Oncology Letters
      • Oncology Letters
      • Information for Authors
      • Editorial Policies
      • Editorial Board
      • Aims and Scope
      • Abstracting and Indexing
      • Bibliographic Information
      • Archive
    • International Journal of Oncology
      • International Journal of Oncology
      • Information for Authors
      • Editorial Policies
      • Editorial Board
      • Aims and Scope
      • Abstracting and Indexing
      • Bibliographic Information
      • Archive
    • Molecular and Clinical Oncology
      • Molecular and Clinical Oncology
      • Information for Authors
      • Editorial Policies
      • Editorial Board
      • Aims and Scope
      • Abstracting and Indexing
      • Bibliographic Information
      • Archive
    • Experimental and Therapeutic Medicine
      • Experimental and Therapeutic Medicine
      • Information for Authors
      • Editorial Policies
      • Editorial Board
      • Aims and Scope
      • Abstracting and Indexing
      • Bibliographic Information
      • Archive
    • International Journal of Molecular Medicine
      • International Journal of Molecular Medicine
      • Information for Authors
      • Editorial Policies
      • Editorial Board
      • Aims and Scope
      • Abstracting and Indexing
      • Bibliographic Information
      • Archive
    • Biomedical Reports
      • Biomedical Reports
      • Information for Authors
      • Editorial Policies
      • Editorial Board
      • Aims and Scope
      • Abstracting and Indexing
      • Bibliographic Information
      • Archive
    • Oncology Reports
      • Oncology Reports
      • Information for Authors
      • Editorial Policies
      • Editorial Board
      • Aims and Scope
      • Abstracting and Indexing
      • Bibliographic Information
      • Archive
    • Molecular Medicine Reports
      • Molecular Medicine Reports
      • Information for Authors
      • Editorial Policies
      • Editorial Board
      • Aims and Scope
      • Abstracting and Indexing
      • Bibliographic Information
      • Archive
    • World Academy of Sciences Journal
      • World Academy of Sciences Journal
      • Information for Authors
      • Editorial Policies
      • Editorial Board
      • Aims and Scope
      • Abstracting and Indexing
      • Bibliographic Information
      • Archive
    • International Journal of Functional Nutrition
      • International Journal of Functional Nutrition
      • Information for Authors
      • Editorial Policies
      • Editorial Board
      • Aims and Scope
      • Abstracting and Indexing
      • Bibliographic Information
      • Archive
    • International Journal of Epigenetics
      • International Journal of Epigenetics
      • Information for Authors
      • Editorial Policies
      • Editorial Board
      • Aims and Scope
      • Abstracting and Indexing
      • Bibliographic Information
      • Archive
    • Medicine International
      • Medicine International
      • Information for Authors
      • Editorial Policies
      • Editorial Board
      • Aims and Scope
      • Abstracting and Indexing
      • Bibliographic Information
      • Archive
  • Articles
  • Information
    • Information for Authors
    • Information for Reviewers
    • Information for Librarians
    • Information for Advertisers
    • Conferences
  • Language Editing
Spandidos Publications Logo
  • About
    • About Spandidos
    • Aims and Scopes
    • Abstracting and Indexing
    • Editorial Policies
    • Reprints and Permissions
    • Job Opportunities
    • Terms and Conditions
    • Contact
  • Journals
    • All Journals
    • Biomedical Reports
      • Information for Authors
      • Editorial Policies
      • Editorial Board
      • Aims and Scope
      • Abstracting and Indexing
      • Bibliographic Information
      • Archive
    • Experimental and Therapeutic Medicine
      • Information for Authors
      • Editorial Policies
      • Editorial Board
      • Aims and Scope
      • Abstracting and Indexing
      • Bibliographic Information
      • Archive
    • International Journal of Epigenetics
      • Information for Authors
      • Editorial Policies
      • Editorial Board
      • Aims and Scope
      • Abstracting and Indexing
      • Bibliographic Information
      • Archive
    • International Journal of Functional Nutrition
      • Information for Authors
      • Editorial Policies
      • Editorial Board
      • Aims and Scope
      • Abstracting and Indexing
      • Bibliographic Information
      • Archive
    • International Journal of Molecular Medicine
      • Information for Authors
      • Editorial Policies
      • Editorial Board
      • Aims and Scope
      • Abstracting and Indexing
      • Bibliographic Information
      • Archive
    • International Journal of Oncology
      • Information for Authors
      • Editorial Policies
      • Editorial Board
      • Aims and Scope
      • Abstracting and Indexing
      • Bibliographic Information
      • Archive
    • Medicine International
      • Information for Authors
      • Editorial Policies
      • Editorial Board
      • Aims and Scope
      • Abstracting and Indexing
      • Bibliographic Information
      • Archive
    • Molecular and Clinical Oncology
      • Information for Authors
      • Editorial Policies
      • Editorial Board
      • Aims and Scope
      • Abstracting and Indexing
      • Bibliographic Information
      • Archive
    • Molecular Medicine Reports
      • Information for Authors
      • Editorial Policies
      • Editorial Board
      • Aims and Scope
      • Abstracting and Indexing
      • Bibliographic Information
      • Archive
    • Oncology Letters
      • Information for Authors
      • Editorial Policies
      • Editorial Board
      • Aims and Scope
      • Abstracting and Indexing
      • Bibliographic Information
      • Archive
    • Oncology Reports
      • Information for Authors
      • Editorial Policies
      • Editorial Board
      • Aims and Scope
      • Abstracting and Indexing
      • Bibliographic Information
      • Archive
    • World Academy of Sciences Journal
      • Information for Authors
      • Editorial Policies
      • Editorial Board
      • Aims and Scope
      • Abstracting and Indexing
      • Bibliographic Information
      • Archive
  • Articles
  • Information
    • For Authors
    • For Reviewers
    • For Librarians
    • For Advertisers
    • Conferences
  • Language Editing
Login Register Submit
  • This site uses cookies
  • You can change your cookie settings at any time by following the instructions in our Cookie Policy. To find out more, you may read our Privacy Policy.

    I agree
Search articles by DOI, keyword, author or affiliation
Search
Advanced Search
presentation
Molecular and Clinical Oncology
Join Editorial Board Propose a Special Issue
Print ISSN: 2049-9450 Online ISSN: 2049-9469
Journal Cover
March-2017 Volume 6 Issue 3

Full Size Image

Sign up for eToc alerts
Recommend to Library

Journals

International Journal of Molecular Medicine

International Journal of Molecular Medicine

International Journal of Molecular Medicine is an international journal devoted to molecular mechanisms of human disease.

International Journal of Oncology

International Journal of Oncology

International Journal of Oncology is an international journal devoted to oncology research and cancer treatment.

Molecular Medicine Reports

Molecular Medicine Reports

Covers molecular medicine topics such as pharmacology, pathology, genetics, neuroscience, infectious diseases, molecular cardiology, and molecular surgery.

Oncology Reports

Oncology Reports

Oncology Reports is an international journal devoted to fundamental and applied research in Oncology.

Experimental and Therapeutic Medicine

Experimental and Therapeutic Medicine

Experimental and Therapeutic Medicine is an international journal devoted to laboratory and clinical medicine.

Oncology Letters

Oncology Letters

Oncology Letters is an international journal devoted to Experimental and Clinical Oncology.

Biomedical Reports

Biomedical Reports

Explores a wide range of biological and medical fields, including pharmacology, genetics, microbiology, neuroscience, and molecular cardiology.

Molecular and Clinical Oncology

Molecular and Clinical Oncology

International journal addressing all aspects of oncology research, from tumorigenesis and oncogenes to chemotherapy and metastasis.

World Academy of Sciences Journal

World Academy of Sciences Journal

Multidisciplinary open-access journal spanning biochemistry, genetics, neuroscience, environmental health, and synthetic biology.

International Journal of Functional Nutrition

International Journal of Functional Nutrition

Open-access journal combining biochemistry, pharmacology, immunology, and genetics to advance health through functional nutrition.

International Journal of Epigenetics

International Journal of Epigenetics

Publishes open-access research on using epigenetics to advance understanding and treatment of human disease.

Medicine International

Medicine International

An International Open Access Journal Devoted to General Medicine.

Journal Cover
March-2017 Volume 6 Issue 3

Full Size Image

Sign up for eToc alerts
Recommend to Library

  • Article
  • Citations
    • Cite This Article
    • Download Citation
    • Create Citation Alert
    • Remove Citation Alert
    • Cited By
  • Similar Articles
    • Related Articles (in Spandidos Publications)
    • Similar Articles (Google Scholar)
    • Similar Articles (PubMed)
  • Download PDF
  • Download XML
  • View XML
Case Report Open Access

Biliary intraductal papillary neoplasm with metachronous multiple tumors - true multicentric tumors or intrabiliary dissemination: A case report and review of the literature

  • Authors:
    • Masataka Yokode
    • Yukimasa Yamashita
    • Yoh Zen
  • View Affiliations / Copyright

    Affiliations: Department of Gastroenterology and Hepatology, Kobe City Medical Center West Hospital, Kobe, Hyogo 653-0013, Japan, Department of Diagnostic Pathology, Kobe University Graduate School of Medicine, Kobe, Hyogo 650-0017, Japan
    Copyright: © Yokode et al. This is an open access article distributed under the terms of Creative Commons Attribution License.
  • Pages: 315-320
    |
    Published online on: January 23, 2017
       https://doi.org/10.3892/mco.2017.1139
  • Expand metrics +
Metrics: Total Views: 0 (Spandidos Publications: | PMC Statistics: )
Metrics: Total PDF Downloads: 0 (Spandidos Publications: | PMC Statistics: )
Cited By (CrossRef): 0 citations Loading Articles...

This article is mentioned in:



Abstract

Intraductal papillary neoplasms of the bile duct (IPNBs) are recognized as a distinct type of biliary tumor. We herein discuss the possible mechanisms underlying the development of multiple tumors in patients with IPNBs through a case presentation and literature review. A 64-year-old woman initially underwent extended right hepatectomy for IPNB in the right hepatic duct. Although the surgical margin of the common bile duct was tumor-free, recurrence was detected in the intrapancreatic bile duct 26 months later. Both tumors had similar histopathological characteristics (intestinal-type IPNB with high-grade dysplasia, but no invasive cancer). A literature review identified 9 additional cases of multiple IPNBs. Unlike conventional IPNBs, which typically affect the intrahepatic or hilar bile duct, 80% of recurrent multiple tumors developed in the extrahepatic bile duct. Although multicentric tumors have been suggested in such cases, the intrabiliary dissemination of tumor cells appears to be more likely, as the majority of recurrent tumors develop in more distal parts of the bile duct compared with the primary tumor.

Introduction

Intraductal papillary neoplasms of the bile duct (IPNBs) are recognized as a distinct type of biliary tumor (1,2). This entity includes previous categories, such as biliary papillomatosis and mucin-producing bile duct tumors (3). IPNBs share clinicopathological characteristics with intraductal papillary mucinous neoplasms (IPMNs) of the pancreas, as they both typically present with dilatation of the affected ducts, predominantly intraductal papillary masses and the overproduction of mucin (3,4). The development of multiple separate tumors is a characteristic feature potentially associated with either condition. An index report of IPNBs included a case of multiple IPNBs, in which three separate tumors developed in the intrapancreatic bile duct 6 years after the initial tumor in the cystic duct was resected (1). However, multiple IPNBs have only been described in a small number of reports, suggesting that a presentation with multiple biliary tumors is less common compared with pancreatic IPMNs. The rarity of multiple IPNBs has restricted the discussion on clinicopathological characteristics and developmental mechanisms.

We herein describe another case of metachronous multiple IPNBs and review the literature in order to establish whether these cases represent true multicentric tumors or intrabiliary tumor dissemination.

Case report

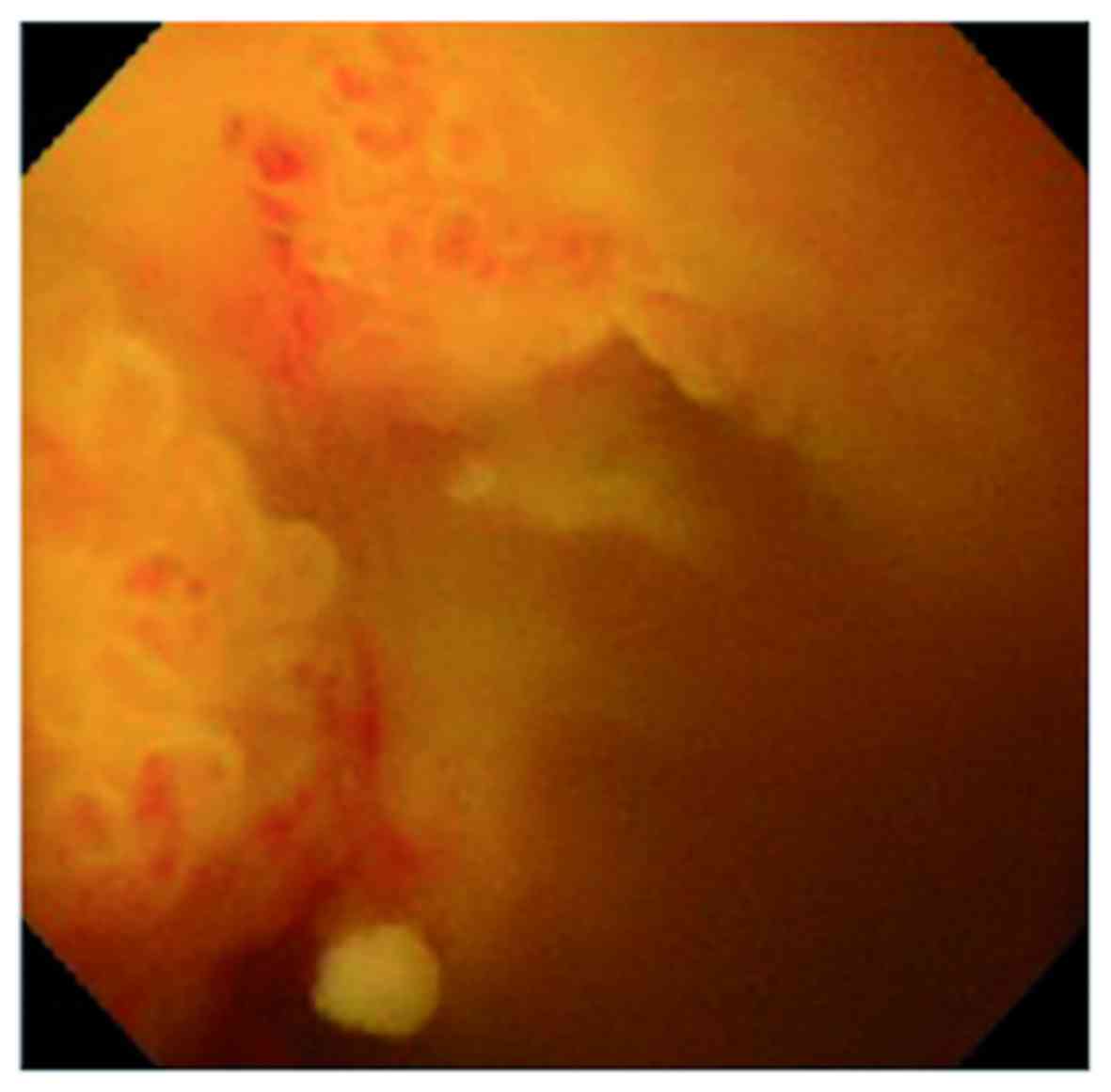
A 64-year-old woman with no particular previous medical history presented with fever lasting for 1 week. No remarkable findings were noted in a physical examination. The serological tests revealed elevated levels of C-reactive protein (13.4 mg/dl; normal range, <0.5 mg/dl), alanine aminotransferase (62 IU/l; normal range, 5–36 IU/l), alkaline phosphatase (816 IU/l; normal range, 110–370 IU/l) and γ-glutamyl transpeptidase (360 IU/l; normal range, 9–50 IU/l). The leukocyte count and serum levels of aspartate aminotransferase, total bilirubin, carcinoembryonic antigen and carbohydrate antigen 19–9 were within the normal range. On computed tomography (CT), a 75-mm cystic mass in the right hepatic lobe and dilatation of the intrahepatic bile duct were detected (Fig. 1A). Following aspiration due to a suspected infectious liver cyst, the patient underwent endoscopic retrograde cholangiography (ERC), which revealed filling defects within the dilated common hepatic duct (Fig. 1B). On peroral cholangioscopy (POCS), a papillary mucin-producing tumor was identified around the orifice of the right hepatic duct, while no obvious tumor was present in the left hepatic and common bile ducts (Fig. 2). Although the small bile duct biopsy from the papillary tumor was not conclusive, extended right hepatectomy was performed for suspected IPNB. On intraoperative frozen section examination, the common hepatic duct margin was tumor-free, while the left hepatic duct appeared to be positive for an intraepithelial tumor with high-grade dysplasia. Despite additional resection of the left hepatic duct, the final resection margin remained focally positive for an intraepithelial neoplasm.

Figure 1.

Findings on contrast-enhanced computed tomography (CT) and endoscopic retrograde cholangiography (ERC). (A) Contrast-enhanced CT (coronal image) showing a 75-mm cystic mass in the right hepatic lobe and dilatation of the intrahepatic bile duct. (B) ERC showing a filling defect in the common duct (arrow). The cyst is not visible, as it was aspirated prior to ERC.

Figure 2.

Findings on peroral cholangioscopy. A papillary tumor with a granular surface is observed in the orifice of the right hepatic duct to the common hepatic duct.

On macroscopic examination, the main tumor was located in the right hepatic duct and exhibited mucin overproduction. The tumor also extended into the dilated intrahepatic bile ducts. Microscopically, the biliary neoplasm consisted of atypical epithelial cells arranged in a high papillary architecture along thin fibrovascular stalks (Fig. 3). The tumor cells exhibited intestinal-type morphology (e.g., nuclear stratification and goblet cells), with enlarged nuclei and loss of polarity, characteristics consistent with high-grade dysplasia. No invasive growth was observed. On immunostaining, the cells were diffusely positive for mucin core protein (MUC)2 and MUC5AC (Fig. 3), focally positive for MUC1, MUC6 and cytokeratin (CK)20, and negative for CK7. Based on the histological findings, the tumor was diagnosed as intestinal-type IPNB with high-grade dysplasia. Since the left hepatic duct margin was positive for tumor cells, gemcitabine 1,000 mg/m2 was administered every 2 weeks for a total of 15 courses.

Figure 3.

Histopathological findings of primary intraductal papillary neoplasm of the bile duct. The tumor consists of high-papillary proliferation of the atypical biliary epithelium along delicate fibrovascular stalks [upper left panel, hematoxylin and eosin (H&E) staining; magnification, ×40]. The tumor cells displayed elongated nuclei and nuclear stratification, an overall appearance that was consistent with an intestinal-type neoplasm (upper right panel, H&E staining; magnification, ×100). The tumor cells were immunoreactive to mucin core protein (MUC)2 and MUC5AC (lower left and right panels, respectively; magnification, ×100).

Twenty-six months later, the patient underwent a follow-up CT, which revealed no recurrence in the left hepatic duct, but detected a papillary tumor in the common bile duct (Fig. 4A). On ERC, the tumor appeared to be a mucin-producing neoplasm with abundant mucus secreted from the dilated ampulla of Vater (Fig. 4B). Pancreatoduodenectomy was thus performed for suspected recurrent IPNB. In the resected specimen, the tumor was located in the lower common bile duct (Fig. 5). The histological appearance of the tumor was nearly identical to that of the original neoplasm, with a similar immunohistochemical phenotype (Fig. 5). No invasive cancer was found. The tumor was surrounded by non-neoplastic epithelium. The postoperative course was uneventful, with no signs of recurrence at the time of writing of this manuscript (follow-up of 12 months).

Figure 4.

Contrast-enhanced computed tomography (CT) and endoscopic retrograde cholangiopancreatography showing a recurrent intraductal papillary neoplasm of the bile duct. (A) Contrast-enhanced CT (coronal image) showing a mass lesion in the distal bile duct (arrow). (B) The orifice of the ampulla of Vater is dilated with mucus secretion.

Figure 5.

Histopathological findings of recurrent intraductal papillary neoplasm of the bile duct. On macroscopic examination, the papillary tumor was located in the lower bile duct (upper left panel). The recurrent tumor exhibited papillary proliferation of intestinal-type atypical cells along thin fibrovascular stalks (upper right panel, hematoxylin and eosin staining; magnification, ×40). The tumor cells were immunoreactive to mucin core protein (MUC)2 and MUC5AC (lower left and right panels, respectively; magnification, ×100). The overall appearance is similar to that of the primary tumor.

Verbal consent for publication of the case details was obtained from the patient.

Discussion

In the present case, two separate IPNBs developed over a ~2-year period. Although the left hepatic duct margin in the initial surgery was focally positive for intraepithelial neoplasia, the second tumor developed in the lower common bile duct. The recurrent tumor was surrounded by non-neoplastic epithelium, suggesting that the two IPNBs were separate, with no tumor cells between them. This case was originally considered to be multicentric IPNBs. However, we also hypothesized that the second tumor represented intrabiliary tumor dissemination, as both tumors had a nearly identical histological appearance, and the second tumor developed in the lower part of the bile duct compared with the primary tumor. Since intrabiliary dissemination is not considered as progression in IPNBs, a literature review was performed to investigate this possibility.

Large studies were first reviewed, in which >20 cases of IPNBs were investigated, in terms of how often multiple tumors develop in patients with IPNBs. Among ~10 large studies reported to date from Asia, Europe and the USA, two provided detailed descriptions of patients with multiple biliary tumors (5,6). In a study by Paik et al (5), 4 of the 25 investigated cases with IPNBs were found to have tumor recurrence after complete resection with negative surgical margins. Two patients had recurrence in the liver parenchyma and lymph nodes, representing remote metastasis of the invasive components. In the remaining 2 patients, the primary IPNBs were located in the intrahepatic bile ducts, whereas the recurrent tumors developed in the distal bile duct, similar to our patient. Kang et al (6) also reported multifocal tumors in 43 of 84 (51%) patients with IPNBs; however, this number appears to be markedly higher compared with that in other studies, which leads us to question the definition of multiple IPNBs used in that study. No or limited information was available in terms of multiple tumors in the remaining studies (7–10).

An additional literature review was conducted with a focus on case reports. The PubMed database was searched using the terms ‘IPNB’, ‘mucin-producing bile duct tumor’, ‘biliary papillomatosis’, ‘multiple’, ‘multiplicity’ and ‘recurrence’, and the selected manuscripts were reviewed. A similar search was also conducted through ICHUSHI (http://login.jamas.or.jp/), which enables searching for medical literature and abstracts written in Japanese. Cases of recurrent tumors at the anastomotic site were excluded, as they were most likely to be local recurrence rather than multiple tumors. A total of 9 additional case reports describing multiple separate IPNBs were eventually retrieved (11–19). The clinicopathological characteristics of these cases and our patient are summarized in Table I. Of the 10 patients, 8 initially underwent liver resection for IPNBs that developed in the hilar or intrahepatic bile duct, while the remaining 2 received bile duct resection for a cystic duct neoplasm or cholecystectomy for a gallbladder IPNB. Multiple tumors were identified in the original resected specimens in 2 patients (cases 4 and 9, Table I). Recurrence occurred over a median period of 25 months. Recurrent tumors developed in more distal parts of the bile duct compared with the primary tumors in 8 of the 10 patients.

Table I.

Reported cases of multiple recurrent intraductal papillary neoplasms of the bile duct.

Table I.

Reported cases of multiple recurrent intraductal papillary neoplasms of the bile duct.

Primary tumorRecurrent tumor


CaseSiteNo. of tumorsSurgical procedureResection marginNo. of episodesSiteNo. of tumorsTreatmentInterval (months)Refs.
  1IHBD (B2/3)1Left hepatectomyNegative1Lower CBD1Whipple36(11)
  2Cystic duct to CBD1Choledochectomy and cholecystectomyNegative1Lower CBD3Whipple57(12)
  3IHBD (B4)1Left hepatectomyNegative4IHBD (B1)1Laser ablation  6(13)
Upper CBD1Enucleation  7
RHD1Choledochectomy28
IHBD (right posterior segmental duct)1Laser ablation  2
  4IHBD (B2/3)2Left hepatectomyNot described1Lower CBD1Whipple24(14)
  5RHD1Left hepatectomy and choledochectomyNegative1Lower CBD1Whipple48(15)
  6Gallbladder1CholecystectomyNegative1Lower CBD3Whipple10(16)
  7IHBD (B2)1Left hepatectomyNegative2Upper CBD1Choledochectomy15(17)
Lower CBD1Whipple35
  8IHBD (B8)1Right hepatectomy and choledochectomyNegative1Lower CBD1Whipple16(18)
  9LHD2Left hepatectomyNegative1IHBD (right lobe)1Drainage stent only29(19)
10RHD1Right hepatectomyPositive1Lower CBD1Whipple26Present

Although the majority of the patients had a single episode of tumor recurrence, 2 patients had multiple episodes (cases 3 and 7 in Table I) (13,17). Miyata et al (17) described a case that developed recurrent IPNB twice. A 66-year-old woman originally had IPNB in the left hepatic lobe and underwent left hepatectomy with a negative surgical margin. Fifteen months later, a recurrent tumor was detected in the upper common bile duct, which was surgically resected. Although the bile duct margin in the second surgery was also tumor-free, another papillary tumor was detected in the intrapancreatic bile duct 35 months later, requiring the Whipple procedure.

The literature review clearly demonstrated that recurrent tumors typically develop in the lower bile duct compared with the primary IPNBs. Of note, 84% of primary IPNBs develop in the intrahepatic or hilar bile duct (20), in contrast to recurrent IPNBs, 80% of which developed in the common bile duct (Table I). These findings suggest that intrabiliary dissemination is a more likely mechanism for multiple IPNBs, rather than true multicentricity in the majority of the patients. However, multicentric IPNBs remain a possibility in a specific proportion of patients, particularly those with risk factors for this biliary neoplasm, such as hepatolithiasis. Future molecular studies comparing gene abnormalities in multiple IPNBs are required to elucidate the frequency of true multicentric IPNBs developing in the biliary tree.

Matsubara et al (21) recently reported a case of papillary adenocarcinoma of the ampulla of Vater, which was subsequently complicated by retrograde intraductal dissemination in the pancreas. Although this is the only report raising the possibility of cancer cells possibly disseminating along the pancreatobiliary duct system, we have observed similar cases, in which ampullary cancers or intrapancreatic cholangiocarcinomas were intraductally disseminated to the pancreas. To the best of our knowledge, the present study is the first report suggesting that a similar pattern of tumor extension may also occur in the bile duct. Multiple IPMNs, particularly of the branch-duct type, are common; however, the majority are suspected to represent true multicentric tumors. One reason is that the majority of branch-duct type IPMNs are low-grade, with a low propensity for dissemination. Another potential factor is that the pancreatic duct is located horizontally, in contrast to the bile duct, which is positioned vertically.

In conclusion, the results of our case indicate that multiple IPNBs may be attributed to the biliary dissemination of tumor cells. This hypothesis is supported by the literature review. True multicentric IPNBs appear to be less common than initially considered, given that the extrahepatic lower bile duct is typically affected by recurrent IPNBs.

Glossary

Abbreviations

Abbreviations:

IPNBs

intraductal papillary neoplasms of the bile duct

IPMNs

intraductal papillary mucinous neoplasms

CT

computed tomography

ERC

endoscopic retrograde cholangiography

POCS

peroral cholangioscopy

References

1 

Zen Y, Fujii T, Itatsu K, Nakamura K, Minato H, Kasashima S, Kurumaya H, Katayanagi K, Kawashima A, Masuda S, et al: Biliary papillary tumors share pathological features with intraductal papillary mucinous neoplasm of the pancreas. Hepatology. 44:1333–1343. 2006. View Article : Google Scholar : PubMed/NCBI

2 

Zen Y, Sasaki M, Fujii T, Chen TC, Chen MF, Yeh TS, Jan YY, Huang SF, Nimura Y and Nakanuma Y: Different expression patterns of mucin core proteins and cytokeratins during intrahepatic cholangiocarcinogenesis from biliary intraepithelial neoplasia and intraductal papillary neoplasm of the bile duct-an immunohistochemical study of 110 cases of hepatolithiasis. J Hepatol. 44:350–358. 2006. View Article : Google Scholar : PubMed/NCBI

3 

Ohtsuka M, Shimizu H, Kato A, Yoshitomi H, Furukawa K, Tsuyuguchi T, Sakai Y, Yokosuka O and Miyazaki M: Intraductal papillary neoplasms of the bile duct. Int J Hepatol. 2014:4590912014. View Article : Google Scholar : PubMed/NCBI

4 

Zen Y, Fujii T, Itatsu K, Nakamura K, Konishi F, Masuda S, Mitsui T, Asada Y, Miura S, Miyayama S, et al: Biliary cystic tumors with bile duct communication: A cystic variant of intraductal papillary neoplasm of the bile duct. Mod Pathol. 19:1243–1254. 2006. View Article : Google Scholar : PubMed/NCBI

5 

Paik KY, Heo JS, Choi SH and Choi DW: Intraductal papillary neoplasm of the bile ducts: The clinical features and surgical outcome of 25 cases. J Surg Oncol. 97:508–512. 2008. View Article : Google Scholar : PubMed/NCBI

6 

Kang MJ, Jang JY, Lee KB, Han IW and Kim SW: Impact of macroscopic morphology, multifocality, and mucin secretion on survival outcome of intraductal papillary neoplasm of the bile duct. J Gastrointest Surg. 17:931–938. 2013. View Article : Google Scholar : PubMed/NCBI

7 

Jung G, Park KM, Lee SS, Yu E, Hong SM and Kim J: Long-term clinical outcome of the surgically resected intraductal papillary neoplasm of the bile duct. J Hepatol. 57:787–793. 2012. View Article : Google Scholar : PubMed/NCBI

8 

Lee SS, Kim MH, Lee SK, Jang SJ, Song MH, Kim KP, Kim HJ, Seo DW, Song DE, Yu E, et al: Clinicopathologic review of 58 patients with biliary papillomatosis. Cancer. 100:783–793. 2004. View Article : Google Scholar : PubMed/NCBI

9 

Rocha FG, Lee H, Katabi N, DeMatteo RP, Fong Y, D'Angelica MI, Allen PJ, Klimstra DS and Jarnagin WR: Intraductal papillary neoplasm of the bile duct: A biliary equivalent to intraductal papillary mucinous neoplasm of the pancreas? Hepatology. 56:1352–1360. 2012. View Article : Google Scholar : PubMed/NCBI

10 

Yeh TS, Tseng JH, Chiu CT, Liu NJ, Chen TC, Jan YY and Chen MF: Cholangiographic spectrum of intraductal papillary mucinous neoplasm of the bile ducts. Ann Surg. 244:248–253. 2006. View Article : Google Scholar : PubMed/NCBI

11 

Hirano H, Nakamura M, Yoshikawa T, Araida T, Azuma T, Ohta T, Takasaki K and Hanyu F: A Recent Case of Mucin-producing Distal Bile Duct Carcinoma Recurred 3 Years after Resection of Mucin-producing Intrahepatic Bile Duct Carcinoma. Tan to Sui. 17:497–502. 1996.(In Japanese).

12 

Fujioka M, Mitsui T, Terada T, Takehara A, Uno A, Kawaguchi M, Munemoto Y, Asada Y, Miura S and Zen Y: A Case of Biliary Papillomatosis with Asynchronous Recurrence. Tan to Sui. 28:231–236. 2007.(In Japanese).

13 

Kurahara H, Shinchi H, Mataki Y, Maeda S, Natsugoe S and Takao S: A long-term survival case of mucin-producing bile duct carcinoma treated with repetitive surgical procedure. Jpn J Gastroenterol Surg. 42:510–515. 2009.(In Japanese). View Article : Google Scholar

14 

Fukuda S, Koide K, Mukai S, Oishi K, Fujisaki S, Arita M, Sakimoto H, Eto T and Takahashi M: A case of biliary papillomatosis with asynchronous recurrence after curative operation. Jpn J Gastroenterol Surg. 43:815–821. 2010.(In Japanese). View Article : Google Scholar

15 

Ito E, Watanabe J, Hatano M, Kushihata F and Takada Y: A case of intraductal papillary neoplasm of bile duct, which recurred 4 years after primary curative resection. J Jpn Surg Assoc. 74:791–796. 2013.(In Japanese). View Article : Google Scholar

16 

Sato H, Sato Y, Harada K, Sasaki M, Hirano K and Nakanuma Y: Metachronous intracystic and intraductal papillary neoplasms of the biliary tree. World J Gastroenterol. 19:6125–6126. 2013. View Article : Google Scholar : PubMed/NCBI

17 

Miyata T, Kawamukai J, Sakurai K, Terakawa H, Matsui D, Watanabe T, Kawahara Y, Kinoshita J, Amaya S, Terada I, et al: A Case of Intraductal Papillary Neoplasm of Bile Duct, which Recurred 2 Times after Primary Curative Resection. Tan to Sui. 35:1319–1326. 2014.(In Japanese).

18 

Ohgi K, Sugiura T, Kanemoto H, Okamura Y, Ito T, Kuribara T, Asida R, Sasaki K, Nakamura Y and Uesaka K: A case of intraductal papillary neoplasm of the bile duct recurred at the remnant lower bile duct after curative liver resection. JJBA. 29:271–278. 2015.(In Japanese).

19 

Narita M, Endo B, Mizumoto Y, Matsusue R, Hata H, Yamaguchi T, Otani T and Ikai I: Multicentric recurrence of intraductal papillary neoplasms of bile duct in the remnant intrahepatic bile duct after curative resection. Int J Surg Case Rep. 12:123–127. 2015. View Article : Google Scholar : PubMed/NCBI

20 

Fujikura K, Fukumoto T, Ajiki T, Otani K, Kanzawa M, Akita M, Kido M, Ku Y, Itoh T and Zen Y: Comparative clinicopathological study of biliary intraductal papillary neoplasms and papillary cholangiocarcinomas. Histopathology. (In press). PubMed/NCBI

21 

Matsubara A, Nara S, Sekine S, Ojima H, Kosuge T, Shimada K, Kushima R, Kanai Y and Hiraoka N: Intraductal dissemination of papillary adenocarcinoma of the ampulla of Vater in the pancreatic duct. Pathol Int. 64:39–44. 2014. View Article : Google Scholar : PubMed/NCBI

Related Articles

  • Abstract
  • View
  • Download
  • Twitter
Copy and paste a formatted citation
Spandidos Publications style
Yokode M, Yamashita Y and Zen Y: Biliary intraductal papillary neoplasm with metachronous multiple tumors - true multicentric tumors or intrabiliary dissemination: A case report and review of the literature. Mol Clin Oncol 6: 315-320, 2017.
APA
Yokode, M., Yamashita, Y., & Zen, Y. (2017). Biliary intraductal papillary neoplasm with metachronous multiple tumors - true multicentric tumors or intrabiliary dissemination: A case report and review of the literature. Molecular and Clinical Oncology, 6, 315-320. https://doi.org/10.3892/mco.2017.1139
MLA
Yokode, M., Yamashita, Y., Zen, Y."Biliary intraductal papillary neoplasm with metachronous multiple tumors - true multicentric tumors or intrabiliary dissemination: A case report and review of the literature". Molecular and Clinical Oncology 6.3 (2017): 315-320.
Chicago
Yokode, M., Yamashita, Y., Zen, Y."Biliary intraductal papillary neoplasm with metachronous multiple tumors - true multicentric tumors or intrabiliary dissemination: A case report and review of the literature". Molecular and Clinical Oncology 6, no. 3 (2017): 315-320. https://doi.org/10.3892/mco.2017.1139
Copy and paste a formatted citation
x
Spandidos Publications style
Yokode M, Yamashita Y and Zen Y: Biliary intraductal papillary neoplasm with metachronous multiple tumors - true multicentric tumors or intrabiliary dissemination: A case report and review of the literature. Mol Clin Oncol 6: 315-320, 2017.
APA
Yokode, M., Yamashita, Y., & Zen, Y. (2017). Biliary intraductal papillary neoplasm with metachronous multiple tumors - true multicentric tumors or intrabiliary dissemination: A case report and review of the literature. Molecular and Clinical Oncology, 6, 315-320. https://doi.org/10.3892/mco.2017.1139
MLA
Yokode, M., Yamashita, Y., Zen, Y."Biliary intraductal papillary neoplasm with metachronous multiple tumors - true multicentric tumors or intrabiliary dissemination: A case report and review of the literature". Molecular and Clinical Oncology 6.3 (2017): 315-320.
Chicago
Yokode, M., Yamashita, Y., Zen, Y."Biliary intraductal papillary neoplasm with metachronous multiple tumors - true multicentric tumors or intrabiliary dissemination: A case report and review of the literature". Molecular and Clinical Oncology 6, no. 3 (2017): 315-320. https://doi.org/10.3892/mco.2017.1139
Follow us
  • Twitter
  • LinkedIn
  • Facebook
About
  • Spandidos Publications
  • Careers
  • Cookie Policy
  • Privacy Policy
How can we help?
  • Help
  • Live Chat
  • Contact
  • Email to our Support Team