Spandidos Publications Logo
  • About
    • About Spandidos
    • Aims and Scopes
    • Abstracting and Indexing
    • Editorial Policies
    • Reprints and Permissions
    • Job Opportunities
    • Terms and Conditions
    • Contact
  • Journals
    • All Journals
    • Oncology Letters
      • Oncology Letters
      • Information for Authors
      • Editorial Policies
      • Editorial Board
      • Aims and Scope
      • Abstracting and Indexing
      • Bibliographic Information
      • Archive
    • International Journal of Oncology
      • International Journal of Oncology
      • Information for Authors
      • Editorial Policies
      • Editorial Board
      • Aims and Scope
      • Abstracting and Indexing
      • Bibliographic Information
      • Archive
    • Molecular and Clinical Oncology
      • Molecular and Clinical Oncology
      • Information for Authors
      • Editorial Policies
      • Editorial Board
      • Aims and Scope
      • Abstracting and Indexing
      • Bibliographic Information
      • Archive
    • Experimental and Therapeutic Medicine
      • Experimental and Therapeutic Medicine
      • Information for Authors
      • Editorial Policies
      • Editorial Board
      • Aims and Scope
      • Abstracting and Indexing
      • Bibliographic Information
      • Archive
    • International Journal of Molecular Medicine
      • International Journal of Molecular Medicine
      • Information for Authors
      • Editorial Policies
      • Editorial Board
      • Aims and Scope
      • Abstracting and Indexing
      • Bibliographic Information
      • Archive
    • Biomedical Reports
      • Biomedical Reports
      • Information for Authors
      • Editorial Policies
      • Editorial Board
      • Aims and Scope
      • Abstracting and Indexing
      • Bibliographic Information
      • Archive
    • Oncology Reports
      • Oncology Reports
      • Information for Authors
      • Editorial Policies
      • Editorial Board
      • Aims and Scope
      • Abstracting and Indexing
      • Bibliographic Information
      • Archive
    • Molecular Medicine Reports
      • Molecular Medicine Reports
      • Information for Authors
      • Editorial Policies
      • Editorial Board
      • Aims and Scope
      • Abstracting and Indexing
      • Bibliographic Information
      • Archive
    • World Academy of Sciences Journal
      • World Academy of Sciences Journal
      • Information for Authors
      • Editorial Policies
      • Editorial Board
      • Aims and Scope
      • Abstracting and Indexing
      • Bibliographic Information
      • Archive
    • International Journal of Functional Nutrition
      • International Journal of Functional Nutrition
      • Information for Authors
      • Editorial Policies
      • Editorial Board
      • Aims and Scope
      • Abstracting and Indexing
      • Bibliographic Information
      • Archive
    • International Journal of Epigenetics
      • International Journal of Epigenetics
      • Information for Authors
      • Editorial Policies
      • Editorial Board
      • Aims and Scope
      • Abstracting and Indexing
      • Bibliographic Information
      • Archive
    • Medicine International
      • Medicine International
      • Information for Authors
      • Editorial Policies
      • Editorial Board
      • Aims and Scope
      • Abstracting and Indexing
      • Bibliographic Information
      • Archive
  • Articles
  • Information
    • Information for Authors
    • Information for Reviewers
    • Information for Librarians
    • Information for Advertisers
    • Conferences
  • Language Editing
Spandidos Publications Logo
  • About
    • About Spandidos
    • Aims and Scopes
    • Abstracting and Indexing
    • Editorial Policies
    • Reprints and Permissions
    • Job Opportunities
    • Terms and Conditions
    • Contact
  • Journals
    • All Journals
    • Biomedical Reports
      • Information for Authors
      • Editorial Policies
      • Editorial Board
      • Aims and Scope
      • Abstracting and Indexing
      • Bibliographic Information
      • Archive
    • Experimental and Therapeutic Medicine
      • Information for Authors
      • Editorial Policies
      • Editorial Board
      • Aims and Scope
      • Abstracting and Indexing
      • Bibliographic Information
      • Archive
    • International Journal of Epigenetics
      • Information for Authors
      • Editorial Policies
      • Editorial Board
      • Aims and Scope
      • Abstracting and Indexing
      • Bibliographic Information
      • Archive
    • International Journal of Functional Nutrition
      • Information for Authors
      • Editorial Policies
      • Editorial Board
      • Aims and Scope
      • Abstracting and Indexing
      • Bibliographic Information
      • Archive
    • International Journal of Molecular Medicine
      • Information for Authors
      • Editorial Policies
      • Editorial Board
      • Aims and Scope
      • Abstracting and Indexing
      • Bibliographic Information
      • Archive
    • International Journal of Oncology
      • Information for Authors
      • Editorial Policies
      • Editorial Board
      • Aims and Scope
      • Abstracting and Indexing
      • Bibliographic Information
      • Archive
    • Medicine International
      • Information for Authors
      • Editorial Policies
      • Editorial Board
      • Aims and Scope
      • Abstracting and Indexing
      • Bibliographic Information
      • Archive
    • Molecular and Clinical Oncology
      • Information for Authors
      • Editorial Policies
      • Editorial Board
      • Aims and Scope
      • Abstracting and Indexing
      • Bibliographic Information
      • Archive
    • Molecular Medicine Reports
      • Information for Authors
      • Editorial Policies
      • Editorial Board
      • Aims and Scope
      • Abstracting and Indexing
      • Bibliographic Information
      • Archive
    • Oncology Letters
      • Information for Authors
      • Editorial Policies
      • Editorial Board
      • Aims and Scope
      • Abstracting and Indexing
      • Bibliographic Information
      • Archive
    • Oncology Reports
      • Information for Authors
      • Editorial Policies
      • Editorial Board
      • Aims and Scope
      • Abstracting and Indexing
      • Bibliographic Information
      • Archive
    • World Academy of Sciences Journal
      • Information for Authors
      • Editorial Policies
      • Editorial Board
      • Aims and Scope
      • Abstracting and Indexing
      • Bibliographic Information
      • Archive
  • Articles
  • Information
    • For Authors
    • For Reviewers
    • For Librarians
    • For Advertisers
    • Conferences
  • Language Editing
Login Register Submit
  • This site uses cookies
  • You can change your cookie settings at any time by following the instructions in our Cookie Policy. To find out more, you may read our Privacy Policy.

    I agree
Search articles by DOI, keyword, author or affiliation
Search
Advanced Search
presentation
Molecular and Clinical Oncology
Join Editorial Board Propose a Special Issue
Print ISSN: 2049-9450 Online ISSN: 2049-9469
Journal Cover
April-2018 Volume 8 Issue 4

Full Size Image

Sign up for eToc alerts
Recommend to Library

Journals

International Journal of Molecular Medicine

International Journal of Molecular Medicine

International Journal of Molecular Medicine is an international journal devoted to molecular mechanisms of human disease.

International Journal of Oncology

International Journal of Oncology

International Journal of Oncology is an international journal devoted to oncology research and cancer treatment.

Molecular Medicine Reports

Molecular Medicine Reports

Covers molecular medicine topics such as pharmacology, pathology, genetics, neuroscience, infectious diseases, molecular cardiology, and molecular surgery.

Oncology Reports

Oncology Reports

Oncology Reports is an international journal devoted to fundamental and applied research in Oncology.

Experimental and Therapeutic Medicine

Experimental and Therapeutic Medicine

Experimental and Therapeutic Medicine is an international journal devoted to laboratory and clinical medicine.

Oncology Letters

Oncology Letters

Oncology Letters is an international journal devoted to Experimental and Clinical Oncology.

Biomedical Reports

Biomedical Reports

Explores a wide range of biological and medical fields, including pharmacology, genetics, microbiology, neuroscience, and molecular cardiology.

Molecular and Clinical Oncology

Molecular and Clinical Oncology

International journal addressing all aspects of oncology research, from tumorigenesis and oncogenes to chemotherapy and metastasis.

World Academy of Sciences Journal

World Academy of Sciences Journal

Multidisciplinary open-access journal spanning biochemistry, genetics, neuroscience, environmental health, and synthetic biology.

International Journal of Functional Nutrition

International Journal of Functional Nutrition

Open-access journal combining biochemistry, pharmacology, immunology, and genetics to advance health through functional nutrition.

International Journal of Epigenetics

International Journal of Epigenetics

Publishes open-access research on using epigenetics to advance understanding and treatment of human disease.

Medicine International

Medicine International

An International Open Access Journal Devoted to General Medicine.

Journal Cover
April-2018 Volume 8 Issue 4

Full Size Image

Sign up for eToc alerts
Recommend to Library

  • Article
  • Citations
    • Cite This Article
    • Download Citation
    • Create Citation Alert
    • Remove Citation Alert
    • Cited By
  • Similar Articles
    • Related Articles (in Spandidos Publications)
    • Similar Articles (Google Scholar)
    • Similar Articles (PubMed)
  • Download PDF
  • Download XML
  • View XML
Case Report

Primary Castleman's disease in the liver: A case report and literature review

  • Authors:
    • Kun Lv
    • Chun‑Li Zhang
    • Mao‑Sheng Xu
  • View Affiliations / Copyright

    Affiliations: The First Clinical Medical College, Zhejiang Chinese Medical University, Hangzhou, Zhejiang 310006, P.R. China, Department of Pathology, The First Affiliated Hospital of Zhejiang Chinese Medical University, Hangzhou, Zhejiang 310006, P.R. China, Department of Radiology, The First Affiliated Hospital of Zhejiang Chinese Medical University, Hangzhou, Zhejiang 310006, P.R. China
  • Pages: 575-578
    |
    Published online on: February 15, 2018
       https://doi.org/10.3892/mco.2018.1576
  • Expand metrics +
Metrics: Total Views: 0 (Spandidos Publications: | PMC Statistics: )
Metrics: Total PDF Downloads: 0 (Spandidos Publications: | PMC Statistics: )
Cited By (CrossRef): 0 citations Loading Articles...

This article is mentioned in:



Abstract

Castleman's disease (CD) is a lymphoproliferative abnormality, also referred to as giant lymph node hyperplasia or follicular lymphoid hyperplasia. The occurrence of CD in the liver is rare. Radiological diagnosis of hepatic CD by computed tomography (CT) and magnetic resonance imaging (MRI) remains difficult. On imaging, hepatic CD is often expressed as a single, well‑defined soft tissue lesion, with rare cystic degeneration and focal necrosis. The CD lesions appear as hypervascular with abundant cell proliferation on CT and MRI. Polymorphic calcification is commonly identified in the lesion. However, these findings are non‑specific for a definitive radiological diagnosis. We herein present a case of hepatic CD and review its pathological and imaging characteristics. In particular, a strip‑like area was observed extending from the nodule, which may be helpful for the diagnosis of CD in the liver.

Introduction

Large-cell neuroendocrine carcinoma (LCNEC) was first reported in the lung (1). LCNECs have since been reported in several locations, including the mediastinum, head and neck, pancreas, gallbladder, intestine and gynecological organs (2,3). Among gynecological organs, LCNECs more frequently occur in the uterine cervix rather than the uterine corpus. To the best of our knowledge, after the first such case was reported in 2004 (4), only 18 cases of LCNEC arising in the uterine corpus have been published to date (5–8). Due to the small number of reported cases, LCNECs may be difficult to diagnose. We herein present a case of LCNEC arising in the endometrium, with aim to describe the histological characteristics of this tumor and emphasize its rapid progression and poor prognosis.

Case report

A 52-year-old woman (gravida 6, para 4), with no history of gynecological disorders, was referred to Toyooka Hospital (Toyooka, Japan) due to genital bleeding in February 2016. The patient had been taking a low-dose contraceptive pill for 18 months prior to the consultation to control functional bleeding. Regular gynecological physical examinations 3 months prior to the consultation failed to identify any abnormalities. The patient consulted her primary care doctor due to continuous genital bleeding for 50 days. The doctor diagnosed the patient with anemia [hemoglobin (Hb) level, 8.8 g/dl] and detected a uterine cervical polyp; the patient was subsequently referred to Toyooka Hospital. Upon pelvic examination at the Department of Gynecology, a cauliflower-shaped tumor, ~80 mm in diameter, was identified in the vaginal cavity. Continuous bleeding from the tumor surface was observed. Anemia was also observed on blood examination. The tumor appeared to develop from the uterine os, suggesting that it originated in the uterine cavity and extended into the vaginal cavity. Examination using ultrasound revealed a tumor occupying the entire uterine cavity and was attached to the fundus through a stalk. Magnetic resonance imaging examination revealed a homogeneous tumor, sized 16.9×8.4×7.8 mm, in the endometrial cavity, protruding into the vaginal cavity. A coronal contrast-enhanced computed tomography scan revealed a heterogeneously enhanced uterine tumor and enlargement of the paraaortic lymph nodes, external iliac lymph nodes, and partially necrotic internal iliac lymph nodes, suggesting lymph node metastasis. There was no detectable invasion of the tumor into the bladder or rectum on diagnostic imaging (Fig. 1). Laboratory data on admission included Hb 8.7 g/dl, C-reactive protein 8.73 mg/dl, creatinine 0.77 mg/dl, lactate dehydrogenase 814 U and carbohydrate antigen-125 36.5 U/ml. Histological examination of a biopsy sample from the tumor revealed atypical cells and necrotic tissue. The tumor cells were medium-large in size, with abundant cytoplasm and prominent nucleoli (Figs. 2A and B). Immunohistochemically, the tumor cells were positive for CD56 and synaptophysin (Figs. 2C and D), and negative for cytokeratin AE1/AE3, chromogranin A, P40, α-smooth muscle actin (SMA), S100, CD10 and CD34. The Ki-67 index was ~85% (Fig. 2E). Based on the histological characteristics and results of the immunochemical staining, the tumor was diagnosed as LCNEC. The blood levels of neuron-specific enolase (NSE) and proGRP was measured, and revealed that the level of proGRP was normal, but the level of NSE was extremely high (240.4 ng/ml; normal range, ≤10 ng/ml). Due to the poor condition of the patient and extent of tumor spread, palliative care using morphine hydrochloride (600 µg/kg/day) was administered in an attempt to alleviate the symptoms. However, the tumor rapidly progressed and the patient succumbed to the disease 36 days after admission.

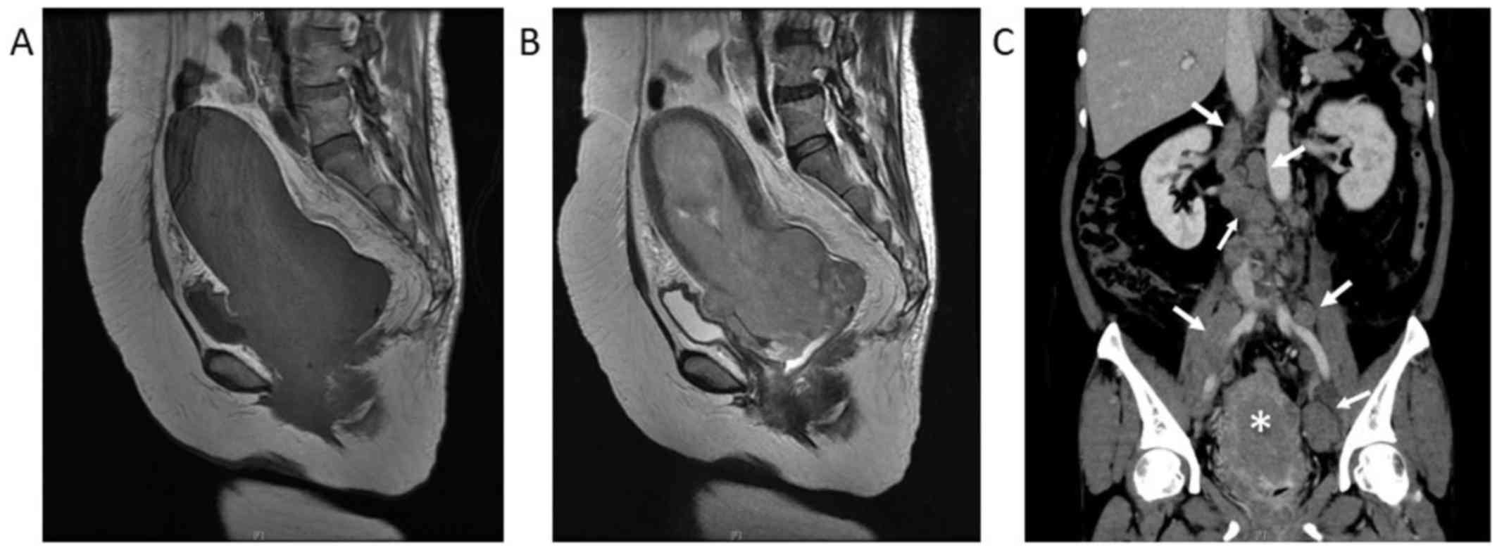
Figure 1.

Diagnostic imaging of the tumor. (A) Sagittal T1-weighted magnetic resonance imaging (MRI) without fat saturation and (B) T2-weighted MRI of the abdomen and pelvis revealed a sizeable homogeneous tumor in the endometrial cavity, which protruded into the vaginal cavity. (C) Coronal contrast-enhanced computed tomography scan revealed a heterogeneously enhanced uterine tumor (*) with enlargement of multiple para aortic and external iliac lymph nodes, and partially necrotic internal iliac lymph nodes (arrows).

Figure 2.

Histological findings from tumor biopsy. The biopsy sample was composed of medium-large atypical tumor cells with prominent nucleoli, and of necrotic tissue: Original magnification of objective lens, (A) ×20 and (B) ×60. On immunohistochemical staining, the tumor cells were positive for (C) CD56 and (D) synaptophysin; (E) the Ki-67 index was ~85% (original magnification of objective lens, × 40).

Discussion

Erhan et al first reported LCNEC arising in the endometrium in 2004 (4). To the best of our knowledge, only 18 cases (excluding the present case) have been reported in the literature to date. In 2013, Nguyen et al summarized 13 cases of endometrial LCNEC (5), and Kobayashi et al (6) reviewed 16 cases in 2017. While reviewing the relevant literature, 2 additional reports were identified (7,8). Thus, including the case presented herein, there are a total of 19 reported cases of endometrial LCNEC in patients aged 40–88 years [mean, 62 years; standard deviation (SD), 14.8 years].

Cases of LCNEC arising in the cervix have also been reported. Gilks et al reported 12 cases of LCNEC arising in the uterine cervix (cervical LCNEC) in patients aged 21–62 years (mean, 34 years) (9). Wang et al reported a mean age of 42 years and a SD of 11.3 years across 4 cases (10). Therefore, the mean age of patients with endometrial LCNEC appears to be higher compared with that of patients with cervical LCNEC.

The mean age at diagnosis of endometrioid carcinoma of the endometrium (the most common type of endometrial carcinoma) is ~63 years, while the majority of patients with microinvasive squamous cell carcinoma (SqCC) arising in the uterine cervix are aged 35–46 years (11). Microinvasive SqCC of the uterine cervix represents the early stage of SqCC, which is the most common type of carcinoma in the uterine cervix. These results suggest that the susceptible age range for LCNEC is similar to that of endometrioid carcinoma of the endometrium and SqCC of the uterine cervix. Of the 19 cases of endometrial LCNEC, 2 cases, including our patient, were diagnosed by biopsy only. Therefore, it remains unclear whether the tumors were composed purely of LCNEC cells, or incorporated other histological type(s). Of the 17 resected tumors, 6 contained an adenocarcinoma component, 5 contained endometrioid carcinoma and 1 contained serous carcinoma (8,12,13). These results suggest that adenocarcinoma of the endometrium may transform into LCNEC in a proportion of the cases. Even if the histological diagnosis is pure LCNEC, this may be the result of LCNEC cells overwhelming any other type of carcinoma and dominating the entire tumor. As LCNEC has a high Ki-67 index and exhibits rapid growth, the prognosis of endometrial LCNEC is poor. Of the 19 patients, 8 (42%) succumbed to the disease during the follow-up period. The mean period of follow-up of the 8 patients was 7 months (SD, 7.7 months). The survival rate was 46% at 1 year and 11% at 5 years after the diagnosis of LCNEC. In the present case, the patient succumbed to rapid tumor growth ~1 month after the hospital consultation. Similar rapidly progressing cases of endometrial LCNEC have been reported by Nguyen et al (5) and Makihara et al (14).

For diagnosis of LCNEC, histological examination is necessary. However, it has been reported that neuroendocrine carcinomas, including small-cell carcinoma and LCNEC, do not always express cytokeratin AE1/AE3, which is commonly used as an epithelial marker (15). In the present case, the tumor was negative for cytokeratin AE1/AE3. Therefore, sarcoma was first suspected and staining with anti-a-SMA, anti-S100 and anti-CD10 antibodies was performed; the tumor was negative for all three. Thereafter, staining for neuroendocrine markers was performed and the blood levels of NSE and proGRP were measured, which confirmed the diagnosis of LCNEC. If endometrial LCNEC had been considered earlier in the differential diagnosis, the patient may have been diagnosed sooner. Therefore, when a rapidly growing tumor is detected, even if that tumor is negative for cytokeratin, the possibility of LCNEC should be taken into consideration.

In conclusion, we herein present a rare case of LCNEC with rapid growth and poor prognosis. When the tumor is cytokeratin-negative, it must be carefully examined before a definitive diagnosis is reached. Other cytokeratin-negative carcinomas in addition to neuroendocrine tumors, such as sarcoma and hematopoietic tumors, should also be considered.

Acknowledgements

The authors would like to thank Ms. H. Ogaki, Mr. K Nagaoka, Mr. T. Kuge and Mr. H. Takenaka of the Toyooka Hospital for their expert technical assistance.

Funding

No funding was received.

Availability of data and materials

The datasets used and/or analyzed during the current study are available from the corresponding author on reasonable request.

Authors' contributions

JO, YA, KYas, AO, HN, KK, KYam, KS, TK and SI designed the study. JO, KYas, HN, KK, KYam, KS, TK and YA analyzed and interpreted the patient data. JO and YA were major contributors in writing the manuscript. AO, SI and YA performed the histological examination of the tumor and performed histological diagnosis.

Ethics approval and consent to participate

The Ethics Committee of the Toyooka Hospital (Toyooka, Japan) approved the present study and the patient provided written informed consent.

Consent for publication

The patient approved the publication of their data within this case report.

Competing interests

The authors confirm that they have no competing interests.

References

1 

Travis WD, Linnoila RI, Tsokos MG, et al: Neuroendocrine tumors of the lung with proposed criteria for large-cell neuroendocrine carcinoma. An ultrastructural, immunohistochemical, and flow cytometric study of 35 cases. Am J Surg Pathol. 15:529–553. 1991. View Article : Google Scholar : PubMed/NCBI

2 

Lukina O, Gorbunkov S, Dvorakovskaja I, Varlamov V and Akopov A: Fast-growing large cell neuroendocrine carcinoma of mediastinum. Ann Thorac Surg. 91:1618–1620. 2011. View Article : Google Scholar : PubMed/NCBI

3 

Faggiano A, Sabourin JC, Ducreux M, et al: Pulmonary and extrapulmonary poorly differentiated large cell neuroendocrine carcinomas: diagnostic and prognostic features. Cancer. 110:265–274. 2007. View Article : Google Scholar : PubMed/NCBI

4 

Erhan Y, Dikmen Y, Yucebilgin MS, Zekioglu O, Mgoyi L and Terek MC: Large cell neuroendocrine carcinoma of the uterine corpus metastatic to brain and lung: case report and review of the literature. Eur J Gynaecol Oncol. 25:109–112. 2004.PubMed/NCBI

5 

Nguyen ML, Han L, Minors AM, et al: Rare large cell neuroendocrine tumor of the endometrium: A case report and review of the literature. Int J Surg Case Rep. 4:651–655. 2013. View Article : Google Scholar : PubMed/NCBI

6 

Kobayashi A, Yahata T, Nanjo S, et al: Rapidly progressing large-cell neuroendocrine carcinoma arising from the uterine corpus: A case report and review of the literature. Mol Clin Oncol. 6:881–885. 2017. View Article : Google Scholar : PubMed/NCBI

7 

Froio E, D' Adda T, Fellegara G, et al: Uterine carcinosarcoma metastatic to the lung as large-cell neuroendocrine carcinoma with synchronous sarcoid granulomatosis. Lung Cancer. 64:371–377. 2009. View Article : Google Scholar : PubMed/NCBI

8 

Ono K, Yokota NR, Yoshioka E, et al: Metastatic large cell neuroendocrine carcinoma of the lung arising from the uterus: A pitfall in lung cancer diagnosis. Pathol Res Pract. 212:654–657. 2016. View Article : Google Scholar : PubMed/NCBI

9 

Gilks CB, Young RH, Gersell DJ and Clement PB: Large cell neuroendocrine [corrected] carcinoma of the uterine cervix: a clinicopathologic study of 12 cases. Am J Surg Pathol. 21:905–914. 1997. View Article : Google Scholar : PubMed/NCBI

10 

Wang KL, Yang YC, Wang TY, et al: Neuroendocrine carcinoma of the uterine cervix: A clinicopathologic retrospective study of 31 cases with prognostic implications. J Chemother. 18:209–216. 2006. View Article : Google Scholar : PubMed/NCBI

11 

Kurman RJ, Ronnett B.M..Sherman M.E..Wilkinson E.J.: Tumor of the cervix. ARP press; Silver Spring, Maryland: 2010

12 

Mulvany NJ and Allen DG: Combined large cell neuroendocrine and endometrioid carcinoma of the endometrium. Int J Gynecol Pathol. 27:49–57. 2008. View Article : Google Scholar : PubMed/NCBI

13 

Posligua L, Malpica A, Liu J, Brown J and Deavers MT: Combined large cell neuroendocrine carcinoma and papillary serous carcinoma of the endometrium with pagetoid spread. Arch Pathol Lab Med. 132:1821–1824. 2008.PubMed/NCBI

14 

Makihara N, Maeda T, Nishimura M, et al: Large cell neuroendocrine carcinoma originating from the uterine endometrium: a report on magnetic resonance features of 2 cases with very rare and aggressive tumor. Rare Tumors. 4:e372012. View Article : Google Scholar : PubMed/NCBI

15 

McCluggage WG, Oliva E, Connolly LE, McBride HA and Young RH: An immunohistochemical analysis of ovarian small cell carcinoma of hypercalcemic type. Int J Gynecol Pathol. 23:330–336. 2004. View Article : Google Scholar : PubMed/NCBI

Related Articles

  • Abstract
  • View
  • Download
  • Twitter
Copy and paste a formatted citation
Spandidos Publications style
Lv K, Zhang CL and Xu MS: Primary Castleman's disease in the liver: A case report and literature review. Mol Clin Oncol 8: 575-578, 2018.
APA
Lv, K., Zhang, C., & Xu, M. (2018). Primary Castleman's disease in the liver: A case report and literature review. Molecular and Clinical Oncology, 8, 575-578. https://doi.org/10.3892/mco.2018.1576
MLA
Lv, K., Zhang, C., Xu, M."Primary Castleman's disease in the liver: A case report and literature review". Molecular and Clinical Oncology 8.4 (2018): 575-578.
Chicago
Lv, K., Zhang, C., Xu, M."Primary Castleman's disease in the liver: A case report and literature review". Molecular and Clinical Oncology 8, no. 4 (2018): 575-578. https://doi.org/10.3892/mco.2018.1576
Copy and paste a formatted citation
x
Spandidos Publications style
Lv K, Zhang CL and Xu MS: Primary Castleman's disease in the liver: A case report and literature review. Mol Clin Oncol 8: 575-578, 2018.
APA
Lv, K., Zhang, C., & Xu, M. (2018). Primary Castleman's disease in the liver: A case report and literature review. Molecular and Clinical Oncology, 8, 575-578. https://doi.org/10.3892/mco.2018.1576
MLA
Lv, K., Zhang, C., Xu, M."Primary Castleman's disease in the liver: A case report and literature review". Molecular and Clinical Oncology 8.4 (2018): 575-578.
Chicago
Lv, K., Zhang, C., Xu, M."Primary Castleman's disease in the liver: A case report and literature review". Molecular and Clinical Oncology 8, no. 4 (2018): 575-578. https://doi.org/10.3892/mco.2018.1576
Follow us
  • Twitter
  • LinkedIn
  • Facebook
About
  • Spandidos Publications
  • Careers
  • Cookie Policy
  • Privacy Policy
How can we help?
  • Help
  • Live Chat
  • Contact
  • Email to our Support Team