Spandidos Publications Logo
  • About
    • About Spandidos
    • Aims and Scopes
    • Abstracting and Indexing
    • Editorial Policies
    • Reprints and Permissions
    • Job Opportunities
    • Terms and Conditions
    • Contact
  • Journals
    • All Journals
    • Oncology Letters
      • Oncology Letters
      • Information for Authors
      • Editorial Policies
      • Editorial Board
      • Aims and Scope
      • Abstracting and Indexing
      • Bibliographic Information
      • Archive
    • International Journal of Oncology
      • International Journal of Oncology
      • Information for Authors
      • Editorial Policies
      • Editorial Board
      • Aims and Scope
      • Abstracting and Indexing
      • Bibliographic Information
      • Archive
    • Molecular and Clinical Oncology
      • Molecular and Clinical Oncology
      • Information for Authors
      • Editorial Policies
      • Editorial Board
      • Aims and Scope
      • Abstracting and Indexing
      • Bibliographic Information
      • Archive
    • Experimental and Therapeutic Medicine
      • Experimental and Therapeutic Medicine
      • Information for Authors
      • Editorial Policies
      • Editorial Board
      • Aims and Scope
      • Abstracting and Indexing
      • Bibliographic Information
      • Archive
    • International Journal of Molecular Medicine
      • International Journal of Molecular Medicine
      • Information for Authors
      • Editorial Policies
      • Editorial Board
      • Aims and Scope
      • Abstracting and Indexing
      • Bibliographic Information
      • Archive
    • Biomedical Reports
      • Biomedical Reports
      • Information for Authors
      • Editorial Policies
      • Editorial Board
      • Aims and Scope
      • Abstracting and Indexing
      • Bibliographic Information
      • Archive
    • Oncology Reports
      • Oncology Reports
      • Information for Authors
      • Editorial Policies
      • Editorial Board
      • Aims and Scope
      • Abstracting and Indexing
      • Bibliographic Information
      • Archive
    • Molecular Medicine Reports
      • Molecular Medicine Reports
      • Information for Authors
      • Editorial Policies
      • Editorial Board
      • Aims and Scope
      • Abstracting and Indexing
      • Bibliographic Information
      • Archive
    • World Academy of Sciences Journal
      • World Academy of Sciences Journal
      • Information for Authors
      • Editorial Policies
      • Editorial Board
      • Aims and Scope
      • Abstracting and Indexing
      • Bibliographic Information
      • Archive
    • International Journal of Functional Nutrition
      • International Journal of Functional Nutrition
      • Information for Authors
      • Editorial Policies
      • Editorial Board
      • Aims and Scope
      • Abstracting and Indexing
      • Bibliographic Information
      • Archive
    • International Journal of Epigenetics
      • International Journal of Epigenetics
      • Information for Authors
      • Editorial Policies
      • Editorial Board
      • Aims and Scope
      • Abstracting and Indexing
      • Bibliographic Information
      • Archive
    • Medicine International
      • Medicine International
      • Information for Authors
      • Editorial Policies
      • Editorial Board
      • Aims and Scope
      • Abstracting and Indexing
      • Bibliographic Information
      • Archive
  • Articles
  • Information
    • Information for Authors
    • Information for Reviewers
    • Information for Librarians
    • Information for Advertisers
    • Conferences
  • Language Editing
Spandidos Publications Logo
  • About
    • About Spandidos
    • Aims and Scopes
    • Abstracting and Indexing
    • Editorial Policies
    • Reprints and Permissions
    • Job Opportunities
    • Terms and Conditions
    • Contact
  • Journals
    • All Journals
    • Biomedical Reports
      • Information for Authors
      • Editorial Policies
      • Editorial Board
      • Aims and Scope
      • Abstracting and Indexing
      • Bibliographic Information
      • Archive
    • Experimental and Therapeutic Medicine
      • Information for Authors
      • Editorial Policies
      • Editorial Board
      • Aims and Scope
      • Abstracting and Indexing
      • Bibliographic Information
      • Archive
    • International Journal of Epigenetics
      • Information for Authors
      • Editorial Policies
      • Editorial Board
      • Aims and Scope
      • Abstracting and Indexing
      • Bibliographic Information
      • Archive
    • International Journal of Functional Nutrition
      • Information for Authors
      • Editorial Policies
      • Editorial Board
      • Aims and Scope
      • Abstracting and Indexing
      • Bibliographic Information
      • Archive
    • International Journal of Molecular Medicine
      • Information for Authors
      • Editorial Policies
      • Editorial Board
      • Aims and Scope
      • Abstracting and Indexing
      • Bibliographic Information
      • Archive
    • International Journal of Oncology
      • Information for Authors
      • Editorial Policies
      • Editorial Board
      • Aims and Scope
      • Abstracting and Indexing
      • Bibliographic Information
      • Archive
    • Medicine International
      • Information for Authors
      • Editorial Policies
      • Editorial Board
      • Aims and Scope
      • Abstracting and Indexing
      • Bibliographic Information
      • Archive
    • Molecular and Clinical Oncology
      • Information for Authors
      • Editorial Policies
      • Editorial Board
      • Aims and Scope
      • Abstracting and Indexing
      • Bibliographic Information
      • Archive
    • Molecular Medicine Reports
      • Information for Authors
      • Editorial Policies
      • Editorial Board
      • Aims and Scope
      • Abstracting and Indexing
      • Bibliographic Information
      • Archive
    • Oncology Letters
      • Information for Authors
      • Editorial Policies
      • Editorial Board
      • Aims and Scope
      • Abstracting and Indexing
      • Bibliographic Information
      • Archive
    • Oncology Reports
      • Information for Authors
      • Editorial Policies
      • Editorial Board
      • Aims and Scope
      • Abstracting and Indexing
      • Bibliographic Information
      • Archive
    • World Academy of Sciences Journal
      • Information for Authors
      • Editorial Policies
      • Editorial Board
      • Aims and Scope
      • Abstracting and Indexing
      • Bibliographic Information
      • Archive
  • Articles
  • Information
    • For Authors
    • For Reviewers
    • For Librarians
    • For Advertisers
    • Conferences
  • Language Editing
Login Register Submit
  • This site uses cookies
  • You can change your cookie settings at any time by following the instructions in our Cookie Policy. To find out more, you may read our Privacy Policy.

    I agree
Search articles by DOI, keyword, author or affiliation
Search
Advanced Search
presentation
Molecular and Clinical Oncology
Join Editorial Board Propose a Special Issue
Print ISSN: 2049-9450 Online ISSN: 2049-9469
Journal Cover
January-2019 Volume 10 Issue 1

Full Size Image

Sign up for eToc alerts
Recommend to Library

Journals

International Journal of Molecular Medicine

International Journal of Molecular Medicine

International Journal of Molecular Medicine is an international journal devoted to molecular mechanisms of human disease.

International Journal of Oncology

International Journal of Oncology

International Journal of Oncology is an international journal devoted to oncology research and cancer treatment.

Molecular Medicine Reports

Molecular Medicine Reports

Covers molecular medicine topics such as pharmacology, pathology, genetics, neuroscience, infectious diseases, molecular cardiology, and molecular surgery.

Oncology Reports

Oncology Reports

Oncology Reports is an international journal devoted to fundamental and applied research in Oncology.

Experimental and Therapeutic Medicine

Experimental and Therapeutic Medicine

Experimental and Therapeutic Medicine is an international journal devoted to laboratory and clinical medicine.

Oncology Letters

Oncology Letters

Oncology Letters is an international journal devoted to Experimental and Clinical Oncology.

Biomedical Reports

Biomedical Reports

Explores a wide range of biological and medical fields, including pharmacology, genetics, microbiology, neuroscience, and molecular cardiology.

Molecular and Clinical Oncology

Molecular and Clinical Oncology

International journal addressing all aspects of oncology research, from tumorigenesis and oncogenes to chemotherapy and metastasis.

World Academy of Sciences Journal

World Academy of Sciences Journal

Multidisciplinary open-access journal spanning biochemistry, genetics, neuroscience, environmental health, and synthetic biology.

International Journal of Functional Nutrition

International Journal of Functional Nutrition

Open-access journal combining biochemistry, pharmacology, immunology, and genetics to advance health through functional nutrition.

International Journal of Epigenetics

International Journal of Epigenetics

Publishes open-access research on using epigenetics to advance understanding and treatment of human disease.

Medicine International

Medicine International

An International Open Access Journal Devoted to General Medicine.

Journal Cover
January-2019 Volume 10 Issue 1

Full Size Image

Sign up for eToc alerts
Recommend to Library

  • Article
  • Citations
    • Cite This Article
    • Download Citation
    • Create Citation Alert
    • Remove Citation Alert
    • Cited By
  • Similar Articles
    • Related Articles (in Spandidos Publications)
    • Similar Articles (Google Scholar)
    • Similar Articles (PubMed)
  • Download PDF
  • Download XML
  • View XML
Article

Overexpression of TBX3 transcription factor as a potential diagnostic marker for breast cancer

  • Authors:
    • Saeb Aliwaini
    • Abdel Monem Lubbad
    • Ahmed Shourfa
    • Hosam A.A. Hamada
    • Basim Ayesh
    • Husam Eddeen M. Abu Tayem
    • Ayman Abu Mustafa
    • Fayek Abu Rouk
    • Moen M. Redwan
    • Mohamed Al‑Najjar
  • View Affiliations / Copyright

    Affiliations: Department of Biological Sciences and Biotechnology, Faculty of Sciences, Islamic University of Gaza, 108 Gaza, Palestine, Department of Pathology, Faculty of Medicine, Islamic University of Gaza, 108 Gaza, Palestine , Department of Oncology, European Gaza Hospital, 7049 Gaza, Palestine, Department of Pathology, Alshefa Hospital, 1016 Gaza, Palestine, Department of Laboratory Medical Sciences, Alaqsa University, 4051 Gaza, Palestine, Nursing Department, Palestine College of Nursing, 7049 Gaza, Palestine
    Copyright: © Aliwaini et al. This is an open access article distributed under the terms of Creative Commons Attribution License.
  • Pages: 105-112
    |
    Published online on: November 9, 2018
       https://doi.org/10.3892/mco.2018.1761
  • Expand metrics +
Metrics: Total Views: 0 (Spandidos Publications: | PMC Statistics: )
Metrics: Total PDF Downloads: 0 (Spandidos Publications: | PMC Statistics: )
Cited By (CrossRef): 0 citations Loading Articles...

This article is mentioned in:



Abstract

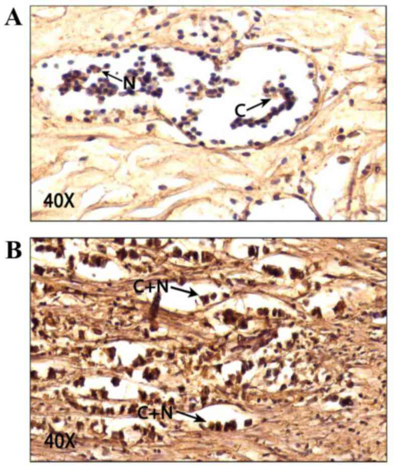
The T‑box 3 (TBX3) transcription factor has been shown to serve multiple roles in normal development. Recent findings have revealed that TBX3 is overexpressed in different types of carcinomas, including breast, cervical, ovarian, melanoma, pancreatic, lung, liver, bladder, head and neck. Therefore, the present study investigated the significance of TBX3 as a diagnostic marker of breast cancer. To achieve this aim, breast cancer samples and their adjacent normal tissues were collected from 51 breast cancer patients from the European Gaza hospital during 2015‑2016. Sections from each sample were immune‑stained by anti‑TBX3 and suitable secondary and tertiary antibodies. TBX3 levels were evaluated in cancerous and normal samples. Clinicopathological data for each patient were documented. The correlation between TBX3 levels and the clinicopathological parameters were statistically tested. The results revealed that TBX3 is significantly overexpressed in breast cancer tissues when compared with normal tissues. Furthermore, TBX3 was mainly a cytoplasmic protein in normal and breast cancer tissues. Notably, TBX3 levels exhibited a sensitivity of 78.4%, specificity of 79.6%, accuracy of 79% and area under the curve of 0.791 (0.700‑0.882) at a cut‑off value=9 as breast cancer marker. However, no significant associations were observed between TBX3 levels and other breast cancer markers including oestrogen receptor, progesterone receptor, human epidermal growth factor receptor 2, cancer antigen 15‑3 and breast cancer stages. Altogether, these results suggested that TBX3 overexpression may be a potential biomarker for breast cancer.
View Figures

Figure 1

Figure 2

Figure 3

View References

1 

Willmer T, Peres J, Mowla S, Abrahams A and Prince S: The T-Box factor TBX3 is important in S-phase and is regulated by c-Myc and cyclin A-CDK2. Cell Cycle. 14:3173–3183. 2015. View Article : Google Scholar : PubMed/NCBI

2 

Cheng HD, Lui YM and Freimanis RI: A novel approach to microcalcification detection using fuzzy logic technique. IEEE Trans Med Imaging. 17:442–450. 1998. View Article : Google Scholar : PubMed/NCBI

3 

American Cancer Society: Cancer Treatment and Survivorship Facts and Figures 2012–2013. https://www.cancer.org/content/dam/cancer-org/research/cancer-facts-and-statistics/cancer-treatment-and-surviorship-facts-and-figures/cancer-treatment-and-survivorship-facts-and-figures-2012-2013.pdfJanuary 1–2012

4 

Ashkenazi A: Targeting the extrinsic apoptosis pathway in cancer. Cytokine Growth Factor Rev. 19:325–331. 2008. View Article : Google Scholar : PubMed/NCBI

5 

Naiche LA, Harrelson Z, Kelly RG and Papaioannou VE: T-box genes in vertebrate development. Annu Rev Genet. 39:219–239. 2005. View Article : Google Scholar : PubMed/NCBI

6 

Peres J and Prince S: The T-box transcription factor, TBX3, is sufficient to promote melanoma formation and invasion. Mol Cancer. 12:1172013. View Article : Google Scholar : PubMed/NCBI

7 

Bilican B and Goding CR: Cell cycle regulation of the T-box transcription factor tbx2. Exp Cell Res. 312:2358–2366. 2006. View Article : Google Scholar : PubMed/NCBI

8 

Burgucu D, Guney K, Sahinturk D, Ozbudak IH, Ozel D, Ozbilim G and Yavuzer U: Tbx3 represses PTEN and is over-expressed in head and neck squamous cell carcinoma. BMC Cancer. 12:4812012. View Article : Google Scholar : PubMed/NCBI

9 

Demay F, Bilican B, Rodriguez M, Carreira S, Pontecorvi M, Ling Y and Goding CR: T-box factors: Targeting to chromatin and interaction with the histone H3 N-terminal tail. Pigment Cell Res. 20:279–287. 2007. View Article : Google Scholar : PubMed/NCBI

10 

Hoogaars WM, Barnett P, Rodriguez M, Clout DE, Moorman AF, Goding CR and Christoffels VM: TBX3 and its splice variant TBX3 + exon 2a are functionally similar. Pigment Cell Melanoma Res. 21:379–387. 2008. View Article : Google Scholar : PubMed/NCBI

11 

Humtsoe JO, Koya E, Pham E, Aramoto T, Zuo J, Ishikawa T and Kramer RH: Transcriptional profiling identifies upregulated genes following induction of epithelial-mesenchymal transition in squamous carcinoma cells. Exp Cell Res. 318:379–390. 2012. View Article : Google Scholar : PubMed/NCBI

12 

Peres J, Davis E, Mowla S, Bennett DC, Li JA, Wansleben S and Prince S: The highly homologous T-Box transcription factors, TBX2 and TBX3, have distinct roles in the oncogenic process. Genes Cancer. 1:272–282. 2010. View Article : Google Scholar : PubMed/NCBI

13 

Hoek K, Rimm DL, Williams KR, Zhao H, Ariyan S, Lin A, Kluger HM, Berger AJ, Cheng E, Trombetta ES, et al: Expression profiling reveals novel pathways in the transformation of melanocytes to melanomas. Cancer Res. 64:5270–5282. 2004. View Article : Google Scholar : PubMed/NCBI

14 

Peres J, Mowla S and Prince S: The T-box transcription factor, TBX3, is a key substrate of AKT3 in melanomagenesis. Oncotarget. 6:1821–1833. 2015. View Article : Google Scholar : PubMed/NCBI

15 

Douglas NC and Papaioannou VE: The T-box transcription factors TBX2 and TBX3 in mammary gland development and breast cancer. J Mammary Gland Biol Neoplasia. 18:143–147. 2013. View Article : Google Scholar : PubMed/NCBI

16 

Wu G, Sinclair C, Hinson S, Ingle JN, Roche PC and Couch FJ: Structural analysis of the 17q22-23 amplicon identifies several independent targets of amplification in breast cancer cell lines and tumors. Cancer Res. 61:4951–4955. 2001.PubMed/NCBI

17 

Jacobs JJ, Keblusek P, Robanus-Maandag E, Kristel P, Lingbeek M, Nederlof PM, van Welsem T, van de Vijver MJ, Koh EY, Daley GQ, et al: Senescence bypass screen identifies TBX2, which represses Cdkn2a (p19 (ARF)) and is amplified in a subset of human breast cancers. Nat Genet. 26:291–299. 2000. View Article : Google Scholar : PubMed/NCBI

18 

Redmond KL, Crawford NT, Farmer H, D'Costa ZC, O'Brien GJ, Buckley NE, Kennedy RD, Johnston PG, Harkin DP and Mullan PB: T-box 2 represses NDRG1 through an EGR1-dependent mechanism to drive the proliferation of breast cancer cells. Oncogene. 29:3252–3262. 2010. View Article : Google Scholar : PubMed/NCBI

19 

Yu J, Ma X, Cheung KF, Li X, Tian L, Wang S, Wu CW, Wu WK, He M, Wang M, et al: Epigenetic inactivation of T-box transcription factor 5, a novel tumor suppressor gene, is associated with colon cancer. Oncogene. 29:6464–6474. 2010. View Article : Google Scholar : PubMed/NCBI

20 

Wansleben S, Davis E, Peres J and Prince S: A novel role for the anti-senescence factor TBX2 in DNA repair and cisplatin resistance. Cell Death Dis. 4:e8462013. View Article : Google Scholar : PubMed/NCBI

21 

Yarosh W, Barrientos T, Esmailpour T, Lin L, Carpenter PM, Osann K, Anton-Culver H and Huang T: TBX3 is overexpressed in breast cancer and represses p14 ARF by interacting with histone deacetylases. Cancer Res. 68:693–699. 2008. View Article : Google Scholar : PubMed/NCBI

22 

Lomnytska M, Dubrovska A, Hellman U, Volodko N and Souchelnytskyi S: Increased expression of cSHMT, Tbx3 and utrophin in plasma of ovarian and breast cancer patients. Int J Cancer. 118:412–421. 2006. View Article : Google Scholar : PubMed/NCBI

23 

Leake R, Barnes D, Pinder S, Ellis I, Anderson L, Anderson T, Adamson R, Rhodes T, Miller K and Walker R: Immunohistochemical detection of steroid receptors in breast cancer: A working protocol. UK Receptor Group, UK NEQAS, The Scottish Breast Cancer Pathology Group, and The Receptor and Biomarker Study Group of the EORTC. J Clin Pathol. 53:634–635. 2000. View Article : Google Scholar : PubMed/NCBI

24 

Sasaki T, Ryo A, Uemura H, Ishiguro H, Inayama Y, Yamanaka S, Kubota Y, Nagashima Y, Harada M and Aoki I: An immunohistochemical scoring system of prolyl isomerase Pin1 for predicting relapse of prostate carcinoma after radical prostatectomy. Pathol Res Pract. 202:357–364. 2006. View Article : Google Scholar : PubMed/NCBI

25 

Fan W, Huang X, Chen C, Gray J and Huang T: TBX3 and its isoform TBX3+2a are functionally distinctive in inhibition of senescence and are overexpressed in a subset of breast cancer cell lines. Cancer Res. 64:5132–5139. 2004. View Article : Google Scholar : PubMed/NCBI

26 

Sasaki K, Bastacky SI, Zynger DL and Parwani AV: Use of immunohistochemical markers to confirm the presence of vas deferens in vasectomy specimens. Am J Clin Pathol. 132:893–898. 2009. View Article : Google Scholar : PubMed/NCBI

27 

Li X, Gao H, Chen Z, Zhang L, Zhu X, Wang S and Peng W: Diagnosis of breast cancer based on microcalcifications using grating-based phase contrast CT. Eur Radiol. 28:3742–3750. 2018. View Article : Google Scholar : PubMed/NCBI

28 

Wu SG, He ZY, Zhou J, Sun JY, Li FY, Lin Q, Guo L and Lin HX: Serum levels of CEA and CA15-3 in different molecular subtypes and prognostic value in Chinese breast cancer. Breast. 23:88–93. 2014. View Article : Google Scholar : PubMed/NCBI

29 

Di Gioia D, Blankenburg I, Nagel D, Heinemann V and Stieber P: Tumor markers in the early detection of tumor recurrence in breast cancer patients: CA 125, CYFRA 21-1, HER2 shed antigen, LDH and CRP in combination with CEA and CA 15-3. Clin Chim Acta. 461:1–7. 2016. View Article : Google Scholar : PubMed/NCBI

30 

Wang W, Xu X, Tian B, Wang Y, Du L, Sun T, Shi Y, Zhao X and Jing J: The diagnostic value of serum tumor markers CEA, CA19-9, CA125, CA15-3, and TPS in metastatic breast cancer. Clin Chim Acta. 470:51–55. 2017. View Article : Google Scholar : PubMed/NCBI

31 

Willmer T, Hare S, Peres J and Prince S: The T-box transcription factor TBX3 drives proliferation by direct repression of the p21(WAF1) cyclin-dependent kinase inhibitor. Cell Div. 11:62016. View Article : Google Scholar : PubMed/NCBI

32 

Horton AC, Mahadevan NR, Minguillon C, Osoegawa K, Rokhsar DS, Ruvinsky I, de Jong PJ, Logan MP and Gibson-Brown JJ: Conservation of linkage and evolution of developmental function within the Tbx2/3/4/5 subfamily of T-box genes: Implications for the origin of vertebrate limbs. Dev Genes Evol. 218:613–628. 2008. View Article : Google Scholar : PubMed/NCBI

33 

Aran D, Camarda R, Odegaard J, Paik H, Oskotsky B, Krings G, Goga A, Sirota M and Butte AJ: Comprehensive analysis of normal adjacent to tumor transcriptomes. Nat Commun. 8:10772017. View Article : Google Scholar : PubMed/NCBI

34 

Kunasegaran K, Ho V, Chang TH, De Silva D, Bakker ML, Christoffels VM and Pietersen AM: Transcriptional repressor Tbx3 is required for the hormone-sensing cell lineage in mammary epithelium. PLoS One. 9:e1101912014. View Article : Google Scholar : PubMed/NCBI

35 

Sunwoo HH and Suresh MR: Cancer markers. In The ImmunoassayHandbook. 1. 4th edition. Elsevier Ltd.; Oxford: pp. 673–693. 2013

36 

Willmer T, Cooper A, Peres J, Omar R and Prince S: The T-Box transcription factor 3 in development and cancer. Biosci Trends. 11:254–266. 2017. View Article : Google Scholar : PubMed/NCBI

Related Articles

  • Abstract
  • View
  • Download
  • Twitter
Copy and paste a formatted citation
Spandidos Publications style
Aliwaini S, Lubbad AM, Shourfa A, Hamada HA, Ayesh B, Abu Tayem HE, Abu Mustafa A, Abu Rouk F, Redwan MM, Al‑Najjar M, Al‑Najjar M, et al: Overexpression of TBX3 transcription factor as a potential diagnostic marker for breast cancer. Mol Clin Oncol 10: 105-112, 2019.
APA
Aliwaini, S., Lubbad, A.M., Shourfa, A., Hamada, H.A., Ayesh, B., Abu Tayem, H.E. ... Al‑Najjar, M. (2019). Overexpression of TBX3 transcription factor as a potential diagnostic marker for breast cancer. Molecular and Clinical Oncology, 10, 105-112. https://doi.org/10.3892/mco.2018.1761
MLA
Aliwaini, S., Lubbad, A. M., Shourfa, A., Hamada, H. A., Ayesh, B., Abu Tayem, H. E., Abu Mustafa, A., Abu Rouk, F., Redwan, M. M., Al‑Najjar, M."Overexpression of TBX3 transcription factor as a potential diagnostic marker for breast cancer". Molecular and Clinical Oncology 10.1 (2019): 105-112.
Chicago
Aliwaini, S., Lubbad, A. M., Shourfa, A., Hamada, H. A., Ayesh, B., Abu Tayem, H. E., Abu Mustafa, A., Abu Rouk, F., Redwan, M. M., Al‑Najjar, M."Overexpression of TBX3 transcription factor as a potential diagnostic marker for breast cancer". Molecular and Clinical Oncology 10, no. 1 (2019): 105-112. https://doi.org/10.3892/mco.2018.1761
Copy and paste a formatted citation
x
Spandidos Publications style
Aliwaini S, Lubbad AM, Shourfa A, Hamada HA, Ayesh B, Abu Tayem HE, Abu Mustafa A, Abu Rouk F, Redwan MM, Al‑Najjar M, Al‑Najjar M, et al: Overexpression of TBX3 transcription factor as a potential diagnostic marker for breast cancer. Mol Clin Oncol 10: 105-112, 2019.
APA
Aliwaini, S., Lubbad, A.M., Shourfa, A., Hamada, H.A., Ayesh, B., Abu Tayem, H.E. ... Al‑Najjar, M. (2019). Overexpression of TBX3 transcription factor as a potential diagnostic marker for breast cancer. Molecular and Clinical Oncology, 10, 105-112. https://doi.org/10.3892/mco.2018.1761
MLA
Aliwaini, S., Lubbad, A. M., Shourfa, A., Hamada, H. A., Ayesh, B., Abu Tayem, H. E., Abu Mustafa, A., Abu Rouk, F., Redwan, M. M., Al‑Najjar, M."Overexpression of TBX3 transcription factor as a potential diagnostic marker for breast cancer". Molecular and Clinical Oncology 10.1 (2019): 105-112.
Chicago
Aliwaini, S., Lubbad, A. M., Shourfa, A., Hamada, H. A., Ayesh, B., Abu Tayem, H. E., Abu Mustafa, A., Abu Rouk, F., Redwan, M. M., Al‑Najjar, M."Overexpression of TBX3 transcription factor as a potential diagnostic marker for breast cancer". Molecular and Clinical Oncology 10, no. 1 (2019): 105-112. https://doi.org/10.3892/mco.2018.1761
Follow us
  • Twitter
  • LinkedIn
  • Facebook
About
  • Spandidos Publications
  • Careers
  • Cookie Policy
  • Privacy Policy
How can we help?
  • Help
  • Live Chat
  • Contact
  • Email to our Support Team