Spandidos Publications Logo
  • About
    • About Spandidos
    • Aims and Scopes
    • Abstracting and Indexing
    • Editorial Policies
    • Reprints and Permissions
    • Job Opportunities
    • Terms and Conditions
    • Contact
  • Journals
    • All Journals
    • Oncology Letters
      • Oncology Letters
      • Information for Authors
      • Editorial Policies
      • Editorial Board
      • Aims and Scope
      • Abstracting and Indexing
      • Bibliographic Information
      • Archive
    • International Journal of Oncology
      • International Journal of Oncology
      • Information for Authors
      • Editorial Policies
      • Editorial Board
      • Aims and Scope
      • Abstracting and Indexing
      • Bibliographic Information
      • Archive
    • Molecular and Clinical Oncology
      • Molecular and Clinical Oncology
      • Information for Authors
      • Editorial Policies
      • Editorial Board
      • Aims and Scope
      • Abstracting and Indexing
      • Bibliographic Information
      • Archive
    • Experimental and Therapeutic Medicine
      • Experimental and Therapeutic Medicine
      • Information for Authors
      • Editorial Policies
      • Editorial Board
      • Aims and Scope
      • Abstracting and Indexing
      • Bibliographic Information
      • Archive
    • International Journal of Molecular Medicine
      • International Journal of Molecular Medicine
      • Information for Authors
      • Editorial Policies
      • Editorial Board
      • Aims and Scope
      • Abstracting and Indexing
      • Bibliographic Information
      • Archive
    • Biomedical Reports
      • Biomedical Reports
      • Information for Authors
      • Editorial Policies
      • Editorial Board
      • Aims and Scope
      • Abstracting and Indexing
      • Bibliographic Information
      • Archive
    • Oncology Reports
      • Oncology Reports
      • Information for Authors
      • Editorial Policies
      • Editorial Board
      • Aims and Scope
      • Abstracting and Indexing
      • Bibliographic Information
      • Archive
    • Molecular Medicine Reports
      • Molecular Medicine Reports
      • Information for Authors
      • Editorial Policies
      • Editorial Board
      • Aims and Scope
      • Abstracting and Indexing
      • Bibliographic Information
      • Archive
    • World Academy of Sciences Journal
      • World Academy of Sciences Journal
      • Information for Authors
      • Editorial Policies
      • Editorial Board
      • Aims and Scope
      • Abstracting and Indexing
      • Bibliographic Information
      • Archive
    • International Journal of Functional Nutrition
      • International Journal of Functional Nutrition
      • Information for Authors
      • Editorial Policies
      • Editorial Board
      • Aims and Scope
      • Abstracting and Indexing
      • Bibliographic Information
      • Archive
    • International Journal of Epigenetics
      • International Journal of Epigenetics
      • Information for Authors
      • Editorial Policies
      • Editorial Board
      • Aims and Scope
      • Abstracting and Indexing
      • Bibliographic Information
      • Archive
    • Medicine International
      • Medicine International
      • Information for Authors
      • Editorial Policies
      • Editorial Board
      • Aims and Scope
      • Abstracting and Indexing
      • Bibliographic Information
      • Archive
  • Articles
  • Information
    • Information for Authors
    • Information for Reviewers
    • Information for Librarians
    • Information for Advertisers
    • Conferences
  • Language Editing
Spandidos Publications Logo
  • About
    • About Spandidos
    • Aims and Scopes
    • Abstracting and Indexing
    • Editorial Policies
    • Reprints and Permissions
    • Job Opportunities
    • Terms and Conditions
    • Contact
  • Journals
    • All Journals
    • Biomedical Reports
      • Information for Authors
      • Editorial Policies
      • Editorial Board
      • Aims and Scope
      • Abstracting and Indexing
      • Bibliographic Information
      • Archive
    • Experimental and Therapeutic Medicine
      • Information for Authors
      • Editorial Policies
      • Editorial Board
      • Aims and Scope
      • Abstracting and Indexing
      • Bibliographic Information
      • Archive
    • International Journal of Epigenetics
      • Information for Authors
      • Editorial Policies
      • Editorial Board
      • Aims and Scope
      • Abstracting and Indexing
      • Bibliographic Information
      • Archive
    • International Journal of Functional Nutrition
      • Information for Authors
      • Editorial Policies
      • Editorial Board
      • Aims and Scope
      • Abstracting and Indexing
      • Bibliographic Information
      • Archive
    • International Journal of Molecular Medicine
      • Information for Authors
      • Editorial Policies
      • Editorial Board
      • Aims and Scope
      • Abstracting and Indexing
      • Bibliographic Information
      • Archive
    • International Journal of Oncology
      • Information for Authors
      • Editorial Policies
      • Editorial Board
      • Aims and Scope
      • Abstracting and Indexing
      • Bibliographic Information
      • Archive
    • Medicine International
      • Information for Authors
      • Editorial Policies
      • Editorial Board
      • Aims and Scope
      • Abstracting and Indexing
      • Bibliographic Information
      • Archive
    • Molecular and Clinical Oncology
      • Information for Authors
      • Editorial Policies
      • Editorial Board
      • Aims and Scope
      • Abstracting and Indexing
      • Bibliographic Information
      • Archive
    • Molecular Medicine Reports
      • Information for Authors
      • Editorial Policies
      • Editorial Board
      • Aims and Scope
      • Abstracting and Indexing
      • Bibliographic Information
      • Archive
    • Oncology Letters
      • Information for Authors
      • Editorial Policies
      • Editorial Board
      • Aims and Scope
      • Abstracting and Indexing
      • Bibliographic Information
      • Archive
    • Oncology Reports
      • Information for Authors
      • Editorial Policies
      • Editorial Board
      • Aims and Scope
      • Abstracting and Indexing
      • Bibliographic Information
      • Archive
    • World Academy of Sciences Journal
      • Information for Authors
      • Editorial Policies
      • Editorial Board
      • Aims and Scope
      • Abstracting and Indexing
      • Bibliographic Information
      • Archive
  • Articles
  • Information
    • For Authors
    • For Reviewers
    • For Librarians
    • For Advertisers
    • Conferences
  • Language Editing
Login Register Submit
  • This site uses cookies
  • You can change your cookie settings at any time by following the instructions in our Cookie Policy. To find out more, you may read our Privacy Policy.

    I agree
Search articles by DOI, keyword, author or affiliation
Search
Advanced Search
presentation
Molecular and Clinical Oncology
Join Editorial Board Propose a Special Issue
Print ISSN: 2049-9450 Online ISSN: 2049-9469
Journal Cover
June-2020 Volume 12 Issue 6

Full Size Image

Sign up for eToc alerts
Recommend to Library

Journals

International Journal of Molecular Medicine

International Journal of Molecular Medicine

International Journal of Molecular Medicine is an international journal devoted to molecular mechanisms of human disease.

International Journal of Oncology

International Journal of Oncology

International Journal of Oncology is an international journal devoted to oncology research and cancer treatment.

Molecular Medicine Reports

Molecular Medicine Reports

Covers molecular medicine topics such as pharmacology, pathology, genetics, neuroscience, infectious diseases, molecular cardiology, and molecular surgery.

Oncology Reports

Oncology Reports

Oncology Reports is an international journal devoted to fundamental and applied research in Oncology.

Experimental and Therapeutic Medicine

Experimental and Therapeutic Medicine

Experimental and Therapeutic Medicine is an international journal devoted to laboratory and clinical medicine.

Oncology Letters

Oncology Letters

Oncology Letters is an international journal devoted to Experimental and Clinical Oncology.

Biomedical Reports

Biomedical Reports

Explores a wide range of biological and medical fields, including pharmacology, genetics, microbiology, neuroscience, and molecular cardiology.

Molecular and Clinical Oncology

Molecular and Clinical Oncology

International journal addressing all aspects of oncology research, from tumorigenesis and oncogenes to chemotherapy and metastasis.

World Academy of Sciences Journal

World Academy of Sciences Journal

Multidisciplinary open-access journal spanning biochemistry, genetics, neuroscience, environmental health, and synthetic biology.

International Journal of Functional Nutrition

International Journal of Functional Nutrition

Open-access journal combining biochemistry, pharmacology, immunology, and genetics to advance health through functional nutrition.

International Journal of Epigenetics

International Journal of Epigenetics

Publishes open-access research on using epigenetics to advance understanding and treatment of human disease.

Medicine International

Medicine International

An International Open Access Journal Devoted to General Medicine.

Journal Cover
June-2020 Volume 12 Issue 6

Full Size Image

Sign up for eToc alerts
Recommend to Library

  • Article
  • Citations
    • Cite This Article
    • Download Citation
    • Create Citation Alert
    • Remove Citation Alert
    • Cited By
  • Similar Articles
    • Related Articles (in Spandidos Publications)
    • Similar Articles (Google Scholar)
    • Similar Articles (PubMed)
  • Download PDF
  • Download XML
  • View XML
Case Report

Cytopathological evaluation of potential malignancy of duodenal gastrinoma using aspiration smears from two patients' resected tumors (NET G1, NET G2): A case report

  • Authors:
    • Hirotaka Noda
    • Kazuyoshi Masuda
    • Masami Kanbara
    • Hiromi Maeda
    • Tadao K. Kobayashi
    • Chikao Yutani
  • View Affiliations / Copyright

    Affiliations: Department of Pathology, Amagasaki Chuo Hospital, Amagasaki, Hyogo 661‑0976, Japan, Department of Clinical Laboratory, Amagasaki Chuo Hospital, Amagasaki, Hyogo 661‑0976, Japan, Division of Health Sciences, Cancer Education and Research Center, Osaka University Graduate School of Medicine, Osaka 565‑0871, Japan
  • Pages: 592-596
    |
    Published online on: April 10, 2020
       https://doi.org/10.3892/mco.2020.2030
  • Expand metrics +
Metrics: Total Views: 0 (Spandidos Publications: | PMC Statistics: )
Metrics: Total PDF Downloads: 0 (Spandidos Publications: | PMC Statistics: )
Cited By (CrossRef): 0 citations Loading Articles...

This article is mentioned in:



Abstract

Sporadic gastrin‑producing neuroendocrine tumors (NETs) of the duodenum present with either Zollinger‑Ellison syndrome or unspecific syndromes. Ki‑67 scoring in cytopathology is an alternative approach for establishing the gastrinoma grade. Although the majority of NETs, including gastrinomas, occur in the duodenum, most research regarding the Ki‑67 index is focused on tumors of pancreatic origin. To the best of our knowledge, there is no study on the Ki‑67 index for cytological analysis of duodenal gastrinoma. The current report presents two cases of a 56‑year‑old man and a 66‑year‑old woman with NET G1 and G2 gastrinoma, respectively, arising in the duodenal bulb. The present report focused on the differences in nuclear pleomorphism and Ki‑67 index between these two cases.

Introduction

Gastrinoma is a rare neuroendocrine tumor (NET) with an annual incidence of 0.05-0.2 cases per 100,000 population overall (1). When Zollinger-Ellison described the eponymous syndrome (Zollinger-Ellison syndrome, ZES) in 1955(2), the pancreas seemed the most frequent location of gastrinomas. Over time, however, studies have found that gastrinoma occurs far more commonly in the duodenum than in the pancreas (2). Gastrinoma is the cause of 0.1% of peptic ulcers and 2-5% of recurrent ulcers (3). The tumors are often misdiagnosed because of their relative rarity and lack of specific symptoms. Typical symptoms include abdominal pain, secretory diarrhea, esophagitis, and hypercalcemia (4,5). The prognosis of sporadic and multiple endocrine neoplasia type 1 (MEN1)-associated duodenal gastrinoma is better than that of pancreatic gastrinoma, as the former slowly progresses to metastasis (6). Surgical management is the only curative treatment for gastrinoma (7). Malignancy in gastrinoma is graded by assessing resected specimens according to the World Health Organization (WHO) 2017 criteria (1). Ki-67 scoring in cytology is an alternative approach for establishing the gastrinoma grade (8). However, the feasibility of such grading using cytopathological specimens remains unclear (1).

Cytopathological analysis of the Ki-67 index of duodenal gastrinoma has never been described previously (9,10). Therefore, this study determined the optimal method of measuring the Ki-67 index and the role of cytomorphology in cytological and histopathological specimens, using resected duodenal gastrinomas as the standard criterion.

Case report

Materials

For cytological examination, to simulate the clinical practice of sampling methods by fine needle aspiration, we sampled freshly removed surgical specimens by aspiration biopsy using an 18G needle mounted on a syringe. Several smears were obtained which were wet fixed with 95% ethanol for at least 15 min and dried in cold air.

Methods

Pap and May-Grünwald-Giemsa stains were performed, and immunocytochemistry (ICC) staining was done using chromogranin A (Nichirei Biosciences Inc.), cytokeratin AE1/AE3 (Agilent Technologies Japan, Ltd.), gastrin (Agilent Technologies Japan), Ki-67 antigen (Agilent Technologies Japan), and synaptophysin (Agilent Technologies Japan). For dilutions in immunohistochemistry (IHC) and ICC, we used the commercial base of antibodies. Retrieval methods were followed in accordance with the IMMUNOSAVER protocol (Nissin EM Co. Ltd.).

To precisely evaluate Ki-67 positive nuclei in both samples, ‘hot spots’ with more frequent positive nuclei were identified on both cytopathological and histopathological preparations. Digital images of the latter were taken, and positive nuclei were manually counted in 10 different microscopic images taken in equivalent high power magnification, (magnification, x400) microscopic fields.

For histological examination, tissues fixed in 10% buffered formalin were dehydrated and embedded in paraffin. Then, 5-µm-thick sections were cut and stained with hematoxylin and eosin and Verhoeff-van Gieson elastic stain. IHC was performed in the same manner as ICC, except deparaffinization.

For electron microscopy, specimens were immersed in a fixative containing 1.5% glutaraldehyde buffered with a 0.1 M phosphate buffer (pH 7.4), postfixed, with osmium tetroxide, dehydrated in a graded series of ethanol baths, and embedded in epoxy resin. Ultrathin sections were cut, double-stained with uranyl acetate and lead citrate, and examined under an 80 kv H-7650 electron microscope (Hitachi).

The length of tumor cell nuclei, nuclear cleavage, and neurosecretory granules were measured using Image J software and then statistically compared.

Statistical analysis

All statistical analyses were performed using EZR version 1.27 (Saitama Medical Center, Jichi Medical University). Between-group differences at specific stages were assessed using Student's t-test (unpaired t-test assuming equal variances). P<0.001 was considered statistically significant.

Case 1

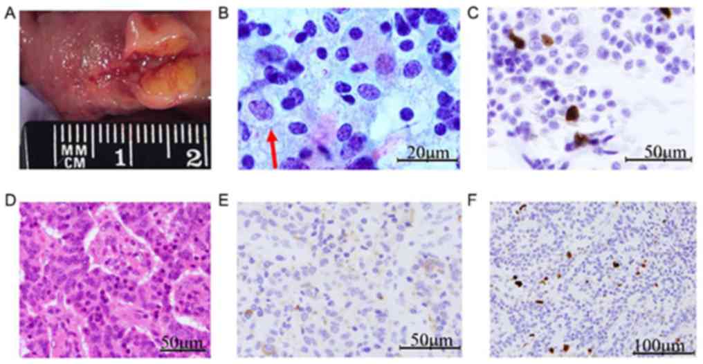
A 56-year-old man was admitted to Amagasaki Chuo Hospital, Hyogo, Japan, for abdominal pain, increased serum hepatobiliary enzymes, and biliary sludge and dilatation of the common bile duct on computed tomography (CT). Upper gastrointestinal (GI) endoscopic examination showed a duodenal submucosal tumor, and incisional biopsy revealed gastrinoma. Laparoscopic partial gastrectomy around the pyloric ring was performed, and postoperative course was uneventful. Postoperatively, the patient's serum gastrin was 84 pg/ml, and the serum intact parathyroid hormone (PTH) level was 37 pg/ml. After 3 years of follow-up, the patient is alive and has not had any complaints. Macroscopically, the resected tumor located at the duodenal gastrinoma triangle measured 12x10 mm, with a fibrous capsule showing partial invasion into neighboring tissue. The cut surface had a light- yellow tinge similar in color to the functioning tumor's cut surface. Pap staining showed a highly cellular neoplasm with a clean background (Fig. 1). Neoplastic cells were found both in loosely cohesive clusters and as dispersed elements. The nuclei were uniform and round to oval and contained coarsely granular chromatin, referred to as a ‘salt and pepper pattern.’ An organoid pattern was observed, in the form of rosette-like groups, a finding that is suspicious for gastrinoma. Optically recognizable mitotic figures were not observed.

Figure 1

Case 1. (A) Endoscopic view showing duodenal gastrinoma in the gastrinoma triangle, measuring 12x10 mm with a smooth surface and a light yellow-tinged cut surface. (B) Pap staining of a cytologic smear, showing a highly cellular organoid neoplasm with a clean background. Neoplastic cells presented as loosely cohesive clusters or as singly dispersed elements. Plasmacytoid configuration was characteristic. Uniform, round-to-oval nuclei contain coarsely granular chromatin, also defined as a ‘salt-and-pepper pattern’. Rosette-like structures (arrow), characteristic of gastrinomas could also be observed. Mitotic figures were not observed (Pap stain; magnification, x1,000). (C) ICC detecting expression of Ki-67 antigen (magnification, x400). (D) Tumor cells displayed an organoid pattern, with oval-shaped nuclei and clear cytoplasms. Rosette-like arrangements could occasionally be observed. Definite atypia or mitotic figures are both rare (hematoxylin and eosin stain; magnification, x400). (E) IHC staining for gastrin (magnification, x400). (F) Positive expression of Ki-67 antigen (IHC; magnification, x400). Pap, Papanicolou; ICC, immunocytochemistry; IHC, immunohistochemistry.

Table I shows ICC results. IHC results were identical to ICC results. Therefore, a diagnosis of gastrinoma of the duodenum, NET G1, was made (4).

Table I

ICC and IHC results of Cases 1 and 2.

Table I

ICC and IHC results of Cases 1 and 2.

ParametersCase 1Case 2P-value
Salt and pepper pattern++ 
Rosette-like arrangement++ 
Chromogranin A (ICC)++ 
Cytokeratin AE1/AE3 (ICC)++ 
Gastrin (ICC)++ 
Ki-67 antigen (ICC), %214 
Ki-67 antigen (IHC), %210 
Synaptophysin (ICC)++ 
Mitosis<2/10 HPF<2/10 HPF 
Level of tumor cell nuclear cleavage, %0.107.65<0.001 (tumor cells, n=954)
Mean of major axis of tumor cell nuclei, µm6.136.46<0.001 (tumor cells, n=486)
Mean of major axis of neurosecretory granules, nm207.94427.94<0.001 (granules, n=49)
Focal margin invasion-+ 
Lymphovascular invasion-partial + 
HistologyNET G1NET G2 

[i] Nuclear cleavage refers to prominent cleaved nucleus by HPF. ICC, immunocytochemistry; IHC, immunohistochemistry; HPF, high power field; NET, neuroendocrine tumor.

Case 2

A 66-year-old woman with epigastric distress 44 months prior to admission to our hospital underwent upper GI tract-endoscopic examination; duodenal bulb biopsy revealed a NET. Chest and abdominal CT showed no particular changes; however, we detected, calcification of the right thyroid lobe. Cystic lesions of the liver and kidney were also observed, while cranial magnetic resonance imaging did not reveal pituitary adenoma. Her parathyroid glands showed no swelling. Abdominal exploratory subtotal resection of the stomach including the pyloric ring, was performed, using the Roux-en-Y method. The patient's serum gastrin was 684 pg/ml before surgery and 80 pg/ml after surgery, and her serum intact PTH level was 15 pg/ml. After 2 years of follow-up, the patient has not complained of GI tract symptoms. The submucosal tumor at the duodenal bulb measured 10x10x7 mm, and its cut surface, too, revealed a light-yellow tinge. Pap staining of the obtained smears showed tumor cells arranged in loosely cohesive clusters or individually; both contained slightly coarse cytoplasmatic granules. The tumor cell chromatin was finely granular and showed a salt-and-pepper or focally dispersed pattern. Nuclear atypia was present, but mitotic figures were rare (Fig. 2). Table I shows ICC results. The tumor capsule/pseudocapsule showed focal invasion but was mostly intact, while partial lymphovascular invasion was observed. IHC results were similar to ICC results. Therefore, a diagnosis of gastrinoma of the duodenum, NET G2, was made. Table I also shows comparisons of the Ki-67 index and nuclear cleavage between Cases 1 and 2. The Ki-67 indexes of Cases 1 and 2 were cytologically 2 and 14%, respectively. Alternatively, histopathologically they were 2 and 10%, respectively. The optical mitotic count was <2/10 high power fields (HPF) in both cases. The tumor cell nuclear cleavage level was statistically significant (P<0.001; n=954) between Cases 1 and 2. In addition, the major axis of tumor cell nuclei was statistically significant (P<0.001 0.001; n=486) between Cases 1 and 2 (Table I). We found variable numbers of membrane-bound electron-dense neurosecretory granules (Fig. 3), either nonpolarized within the cytoplasm or oriented near the basal surfaces facing the capillaries. The major axis of neurosecretory granules on ultrastructural findings was statistically significant (P<0.001; n=49) between Cases 1 and 2 (Table I).

Figure 2

Case 2. (A) Submucosal tumor of the duodenal bulb measuring 10x10x7 mm with a light-yellow-tinged cut surface. (B) Pap staining revealed that tumor cells were arranged in loosely cohesive acinar clusters with slightly coarse cytoplasmic granules. Tumor cell chromatin exhibited a salt-and-pepper or dispersed arrangement. Nuclear atypia (arrow) was present but mitotic figures were rare (magnification, x400). (C) ICC for expression of Ki-67 antigen (magnification, x400). (D) Tumor cells form trabecular, glandular or mixed structures. The tumor capsule/pseudocapsule was relatively well preserved, with partial lymphovascular invasion. Rosette-like structures were occasionally visible and mitotic figures were rare (hematoxylin and eosin; magnification, x400). (E) IHC for expression of gastrin (magnification, x400). (F) IHC for expression of Ki-67 antigen (magnification, x400). Pap, Papanicolou; ICC, immunocytochemistry; IHC, immunohistochemistry.

Figure 3

Electron microscopy images. A variable number of membrane-bound electron-dense neurosecretory granules were found, either nonpolarized within the cytoplasm or oriented near the basal surfaces facing the capillaries. Granule morphology was nonspecific. (A) Case 1, NET G1. (B) Case 2, NET G2. NET, neuroendocrine tumor.

Discussion

We found no remarkable differences in clinical characteristics between Cases 1 and 2; that is, neither tumor revealed ZES or MEN1 findings. Differences between Cases 1 and 2 were observed not only at the serum gastrin level but also in the following cytopathological findings. Among cytological findings, the Ki-67 index, the nuclear cleavage level, the major axis of tumor cell nuclei, and the major axis of neurosecretory granules in Case 1 were lower than in Case 2. Among histopathological findings, focal margin invasion by tumor extension and lymphovascular invasion were observed in Case 2 but not in Case 1 (Table I).

With regard to the development and differentiation of gastrinoma cells, Imamura et al (11) have reported that duodenal gastrinomas do not seem to behave in as malignant a fashion as sporadic pancreatic gastrinomas. However, this report does, not validate this difference. On the basis of the Ki-67 index as a potential prognostic marker, we also applied the WHO Ki-67 labeling scheme for grading on cytological samples. The two cases in this study indicated that cytologic samples from duodenal gastrinomas can be accurately graded on the basis of the WHO Ki-67 labeling scheme, indicating that Ki-67 scoring of cytology preparations is an alternative approach for establishing the pancreatic NET (PanNET) grade, as shown by Farrell et al (8).

As stated by Adsay (12) in an editorial in the American Journal of Surgical Pathology, the question is no longer whether to count Ki-67 in gastrointestinal and pancreatobiliary tract ΝΕΤs; rather, it is how to perform this count and how to improve the diagnostic and prognostic value of this proliferation marker (12). However, the new WHO classification states, that mitotic figures are not usually seen in gastrinomas and that nonfunctioning pancreatic neuroendocrine tumor (NF-PanNET) grading on the basis of cytological specimens is not well established (1). The data presented here revealed that mitotic figures are not contributory for the evaluation of potential malignancy; rather, the Ki-67 index is really contributive.

According to Chatzipantelis et al (9), with regard to cytopathological findings, nuclear pleomorphism/multinucleation and the presence of nucleoli are also reliable for predicting malignant PanNETs. Therefore, we also considered nuclear pleomorphism as a criterion suggestive of potential malignancy. Our findings revealed a positive relationship between nuclear pleomorphism and the Ki-67 index.

In recent years, numerous suggestions have been made to predict the biological behavior of these tumors. The most recent WHO classification includes several clinicopathologic criteria: Tumor size, metastasis likelihood, vascular invasion, necrosis, status of regional lymph nodes, tumor grade, mitotic rate, and Ki-67 index (1).

In conclusion, this study demonstrates the role of proliferative activity (Ki-67) in cytology specimens as a reliable predictive factor for duodenal gastrinomas. In addition, specific cytologic features such as nuclear cleavage and nuclear major axis can contribute to the prediction of these tumors. However, because of the limited number of cases here (two), large series will be needed to confirm our findings.

Acknowledgements

Not applicable.

Funding

No funding was received.

Availability of data and materials

The datasets used and/or analyzed during the present study are available from the corresponding author on reasonable request.

Authors' contributions

The present study was designed and organized by HN, KM, MK, HM, CY and TKK. Clinical data were corrected by HN and CY. Immunostaining was evaluated by HN. HN, CY and TKK contributed to data analysis, interpretation and drafting manuscript. All authors read and approved the final manuscript.

Ethics approval and consent to participate.

Ethical approval for the study was obtained from the Ethics Committee of Amagasaki Chuo Hospital and the two patients provided informed consent.

Patient consent for publication

Written informed consent was obtained from the two patients for publication of the clinical data and any accompanying images.

Competing interests

The authors declare that they have no competing interests.

References

1 

Lloyd RV, Osamura RY, Klöppel G and Rosai J: WHO classification of tumours of endocrine organs 4th edition, Lyon, France: IARC Press: pp 229-232, 2017.

2 

Zollinger RM and Ellison EH: Primary peptic ulcerations of the jejunum associated with islet cell tumors of the pancreas. 1955. CA Cancer J Clin. 39:231–247. 1989.PubMed/NCBI View Article : Google Scholar

3 

Rosentraeger MJ, Garbrecht N, Anlauf M, Raffel A, Knoefel WT, Wiedenmann B and Klöppel G: Syndromic versus non-syndromic sporadic gastrin-producing neuroendocrine tumors of the duodenum: Comparison of pathological features and biological behavior. Virchows Arch. 468:277–287. 2016.PubMed/NCBI View Article : Google Scholar

4 

Roy PK, Venzon DJ, Shojamanesh H, Abou-Saif A, Peghini P, Doppman JL, Gibril F and Jensen RT: Zollinger-Ellison syndrome. Clinical presentation in 261 patients. Medicine (Baltimore). 79:379–411. 2000.PubMed/NCBI View Article : Google Scholar

5 

Zhang WD, Liu DR, Wang P, Zhao JG, Wang ZF and Chen LI: Clinical treatment of gastrinoma: A case report and review of the literature. Oncol Lett. 11:3433–3437. 2016.PubMed/NCBI View Article : Google Scholar

6 

Anlauf M, Garbrecht N, Henopp T, Schmitt A, Schlenger R, Raffel A, Krausch M, Gimm O, Eisenberger CF, Knoefel WT, et al: Sporadic versus hereditary gastrinomas of the duodenum and pancreas: Distinct clinic-pathological and epidemiogical features. World J Gastrenteterol. 12:5440–5446. 2006.PubMed/NCBI View Article : Google Scholar

7 

Norton JA, Fraker DL, Alexander HR, Venzon DJ, Doppman JL, Serrano J, Goebel SU, Peghini PL, Roy PK, Gibril F and Jensen RT: Surgery to cure the Zollinger-Ellison syndrome. N Engl J Med. 341:635–644. 1999.PubMed/NCBI View Article : Google Scholar

8 

Farrell JM, Pang JC, Kim GE and Tabatabai ZL: Pancreatic neuroendocrine tumors: Accurate grading with Ki-67 index on fine-needle aspiration specimens using the WHO 2010/ENETS criteria. Cancer Cytopathol. 122:770–778. 2014.PubMed/NCBI View Article : Google Scholar

9 

Chatzipantelis P, Konstantinou P, Kaklamanos M, Apostolou G and Salla C: The role of cytomorphology and proliferative activity in predicting biological behavior of pancreatic neuroendocrine tumors: A study by endoscopic ultrasound-guided fine-needle aspiration cytology. Cancer. 117:211–216. 2009.PubMed/NCBI View Article : Google Scholar

10 

Klöppel G and Anlauf M: Gastrinoma-morphological aspects. Wien Klin Wochenschr. 119:579–584. 2007.PubMed/NCBI View Article : Google Scholar

11 

Imamura M, Kanda M, Takahashi K, Shimada Y, Miyahara T, Wagata T, Hashimoto M, Tobe T and Soga J: Clinicopathological characteristics of duodenal microgastrinomas. World J Surg. 16:703–709. 1992.PubMed/NCBI View Article : Google Scholar

12 

Adsay V: Ki67 labeling index in neuroendocrine tumors of the gastrointetinal and pancreatobiliary tract: To count or not to count is not the question, but rather how to count. Am J Surg Pathol. 36:1743–1746. 2012.PubMed/NCBI View Article : Google Scholar

Related Articles

  • Abstract
  • View
  • Download
  • Twitter
Copy and paste a formatted citation
Spandidos Publications style
Noda H, Masuda K, Kanbara M, Maeda H, Kobayashi TK and Yutani C: Cytopathological evaluation of potential malignancy of duodenal gastrinoma using aspiration smears from two patients' resected tumors (NET G1, NET G2): A case report. Mol Clin Oncol 12: 592-596, 2020.
APA
Noda, H., Masuda, K., Kanbara, M., Maeda, H., Kobayashi, T.K., & Yutani, C. (2020). Cytopathological evaluation of potential malignancy of duodenal gastrinoma using aspiration smears from two patients' resected tumors (NET G1, NET G2): A case report. Molecular and Clinical Oncology, 12, 592-596. https://doi.org/10.3892/mco.2020.2030
MLA
Noda, H., Masuda, K., Kanbara, M., Maeda, H., Kobayashi, T. K., Yutani, C."Cytopathological evaluation of potential malignancy of duodenal gastrinoma using aspiration smears from two patients' resected tumors (NET G1, NET G2): A case report". Molecular and Clinical Oncology 12.6 (2020): 592-596.
Chicago
Noda, H., Masuda, K., Kanbara, M., Maeda, H., Kobayashi, T. K., Yutani, C."Cytopathological evaluation of potential malignancy of duodenal gastrinoma using aspiration smears from two patients' resected tumors (NET G1, NET G2): A case report". Molecular and Clinical Oncology 12, no. 6 (2020): 592-596. https://doi.org/10.3892/mco.2020.2030
Copy and paste a formatted citation
x
Spandidos Publications style
Noda H, Masuda K, Kanbara M, Maeda H, Kobayashi TK and Yutani C: Cytopathological evaluation of potential malignancy of duodenal gastrinoma using aspiration smears from two patients' resected tumors (NET G1, NET G2): A case report. Mol Clin Oncol 12: 592-596, 2020.
APA
Noda, H., Masuda, K., Kanbara, M., Maeda, H., Kobayashi, T.K., & Yutani, C. (2020). Cytopathological evaluation of potential malignancy of duodenal gastrinoma using aspiration smears from two patients' resected tumors (NET G1, NET G2): A case report. Molecular and Clinical Oncology, 12, 592-596. https://doi.org/10.3892/mco.2020.2030
MLA
Noda, H., Masuda, K., Kanbara, M., Maeda, H., Kobayashi, T. K., Yutani, C."Cytopathological evaluation of potential malignancy of duodenal gastrinoma using aspiration smears from two patients' resected tumors (NET G1, NET G2): A case report". Molecular and Clinical Oncology 12.6 (2020): 592-596.
Chicago
Noda, H., Masuda, K., Kanbara, M., Maeda, H., Kobayashi, T. K., Yutani, C."Cytopathological evaluation of potential malignancy of duodenal gastrinoma using aspiration smears from two patients' resected tumors (NET G1, NET G2): A case report". Molecular and Clinical Oncology 12, no. 6 (2020): 592-596. https://doi.org/10.3892/mco.2020.2030
Follow us
  • Twitter
  • LinkedIn
  • Facebook
About
  • Spandidos Publications
  • Careers
  • Cookie Policy
  • Privacy Policy
How can we help?
  • Help
  • Live Chat
  • Contact
  • Email to our Support Team