Spandidos Publications Logo
  • About
    • About Spandidos
    • Aims and Scopes
    • Abstracting and Indexing
    • Editorial Policies
    • Reprints and Permissions
    • Job Opportunities
    • Terms and Conditions
    • Contact
  • Journals
    • All Journals
    • Oncology Letters
      • Oncology Letters
      • Information for Authors
      • Editorial Policies
      • Editorial Board
      • Aims and Scope
      • Abstracting and Indexing
      • Bibliographic Information
      • Archive
    • International Journal of Oncology
      • International Journal of Oncology
      • Information for Authors
      • Editorial Policies
      • Editorial Board
      • Aims and Scope
      • Abstracting and Indexing
      • Bibliographic Information
      • Archive
    • Molecular and Clinical Oncology
      • Molecular and Clinical Oncology
      • Information for Authors
      • Editorial Policies
      • Editorial Board
      • Aims and Scope
      • Abstracting and Indexing
      • Bibliographic Information
      • Archive
    • Experimental and Therapeutic Medicine
      • Experimental and Therapeutic Medicine
      • Information for Authors
      • Editorial Policies
      • Editorial Board
      • Aims and Scope
      • Abstracting and Indexing
      • Bibliographic Information
      • Archive
    • International Journal of Molecular Medicine
      • International Journal of Molecular Medicine
      • Information for Authors
      • Editorial Policies
      • Editorial Board
      • Aims and Scope
      • Abstracting and Indexing
      • Bibliographic Information
      • Archive
    • Biomedical Reports
      • Biomedical Reports
      • Information for Authors
      • Editorial Policies
      • Editorial Board
      • Aims and Scope
      • Abstracting and Indexing
      • Bibliographic Information
      • Archive
    • Oncology Reports
      • Oncology Reports
      • Information for Authors
      • Editorial Policies
      • Editorial Board
      • Aims and Scope
      • Abstracting and Indexing
      • Bibliographic Information
      • Archive
    • Molecular Medicine Reports
      • Molecular Medicine Reports
      • Information for Authors
      • Editorial Policies
      • Editorial Board
      • Aims and Scope
      • Abstracting and Indexing
      • Bibliographic Information
      • Archive
    • World Academy of Sciences Journal
      • World Academy of Sciences Journal
      • Information for Authors
      • Editorial Policies
      • Editorial Board
      • Aims and Scope
      • Abstracting and Indexing
      • Bibliographic Information
      • Archive
    • International Journal of Functional Nutrition
      • International Journal of Functional Nutrition
      • Information for Authors
      • Editorial Policies
      • Editorial Board
      • Aims and Scope
      • Abstracting and Indexing
      • Bibliographic Information
      • Archive
    • International Journal of Epigenetics
      • International Journal of Epigenetics
      • Information for Authors
      • Editorial Policies
      • Editorial Board
      • Aims and Scope
      • Abstracting and Indexing
      • Bibliographic Information
      • Archive
    • Medicine International
      • Medicine International
      • Information for Authors
      • Editorial Policies
      • Editorial Board
      • Aims and Scope
      • Abstracting and Indexing
      • Bibliographic Information
      • Archive
  • Articles
  • Information
    • Information for Authors
    • Information for Reviewers
    • Information for Librarians
    • Information for Advertisers
    • Conferences
  • Language Editing
Spandidos Publications Logo
  • About
    • About Spandidos
    • Aims and Scopes
    • Abstracting and Indexing
    • Editorial Policies
    • Reprints and Permissions
    • Job Opportunities
    • Terms and Conditions
    • Contact
  • Journals
    • All Journals
    • Biomedical Reports
      • Information for Authors
      • Editorial Policies
      • Editorial Board
      • Aims and Scope
      • Abstracting and Indexing
      • Bibliographic Information
      • Archive
    • Experimental and Therapeutic Medicine
      • Information for Authors
      • Editorial Policies
      • Editorial Board
      • Aims and Scope
      • Abstracting and Indexing
      • Bibliographic Information
      • Archive
    • International Journal of Epigenetics
      • Information for Authors
      • Editorial Policies
      • Editorial Board
      • Aims and Scope
      • Abstracting and Indexing
      • Bibliographic Information
      • Archive
    • International Journal of Functional Nutrition
      • Information for Authors
      • Editorial Policies
      • Editorial Board
      • Aims and Scope
      • Abstracting and Indexing
      • Bibliographic Information
      • Archive
    • International Journal of Molecular Medicine
      • Information for Authors
      • Editorial Policies
      • Editorial Board
      • Aims and Scope
      • Abstracting and Indexing
      • Bibliographic Information
      • Archive
    • International Journal of Oncology
      • Information for Authors
      • Editorial Policies
      • Editorial Board
      • Aims and Scope
      • Abstracting and Indexing
      • Bibliographic Information
      • Archive
    • Medicine International
      • Information for Authors
      • Editorial Policies
      • Editorial Board
      • Aims and Scope
      • Abstracting and Indexing
      • Bibliographic Information
      • Archive
    • Molecular and Clinical Oncology
      • Information for Authors
      • Editorial Policies
      • Editorial Board
      • Aims and Scope
      • Abstracting and Indexing
      • Bibliographic Information
      • Archive
    • Molecular Medicine Reports
      • Information for Authors
      • Editorial Policies
      • Editorial Board
      • Aims and Scope
      • Abstracting and Indexing
      • Bibliographic Information
      • Archive
    • Oncology Letters
      • Information for Authors
      • Editorial Policies
      • Editorial Board
      • Aims and Scope
      • Abstracting and Indexing
      • Bibliographic Information
      • Archive
    • Oncology Reports
      • Information for Authors
      • Editorial Policies
      • Editorial Board
      • Aims and Scope
      • Abstracting and Indexing
      • Bibliographic Information
      • Archive
    • World Academy of Sciences Journal
      • Information for Authors
      • Editorial Policies
      • Editorial Board
      • Aims and Scope
      • Abstracting and Indexing
      • Bibliographic Information
      • Archive
  • Articles
  • Information
    • For Authors
    • For Reviewers
    • For Librarians
    • For Advertisers
    • Conferences
  • Language Editing
Login Register Submit
  • This site uses cookies
  • You can change your cookie settings at any time by following the instructions in our Cookie Policy. To find out more, you may read our Privacy Policy.

    I agree
Search articles by DOI, keyword, author or affiliation
Search
Advanced Search
presentation
Molecular and Clinical Oncology
Join Editorial Board Propose a Special Issue
Print ISSN: 2049-9450 Online ISSN: 2049-9469
Journal Cover
November-2020 Volume 13 Issue 5

Full Size Image

Sign up for eToc alerts
Recommend to Library

Journals

International Journal of Molecular Medicine

International Journal of Molecular Medicine

International Journal of Molecular Medicine is an international journal devoted to molecular mechanisms of human disease.

International Journal of Oncology

International Journal of Oncology

International Journal of Oncology is an international journal devoted to oncology research and cancer treatment.

Molecular Medicine Reports

Molecular Medicine Reports

Covers molecular medicine topics such as pharmacology, pathology, genetics, neuroscience, infectious diseases, molecular cardiology, and molecular surgery.

Oncology Reports

Oncology Reports

Oncology Reports is an international journal devoted to fundamental and applied research in Oncology.

Experimental and Therapeutic Medicine

Experimental and Therapeutic Medicine

Experimental and Therapeutic Medicine is an international journal devoted to laboratory and clinical medicine.

Oncology Letters

Oncology Letters

Oncology Letters is an international journal devoted to Experimental and Clinical Oncology.

Biomedical Reports

Biomedical Reports

Explores a wide range of biological and medical fields, including pharmacology, genetics, microbiology, neuroscience, and molecular cardiology.

Molecular and Clinical Oncology

Molecular and Clinical Oncology

International journal addressing all aspects of oncology research, from tumorigenesis and oncogenes to chemotherapy and metastasis.

World Academy of Sciences Journal

World Academy of Sciences Journal

Multidisciplinary open-access journal spanning biochemistry, genetics, neuroscience, environmental health, and synthetic biology.

International Journal of Functional Nutrition

International Journal of Functional Nutrition

Open-access journal combining biochemistry, pharmacology, immunology, and genetics to advance health through functional nutrition.

International Journal of Epigenetics

International Journal of Epigenetics

Publishes open-access research on using epigenetics to advance understanding and treatment of human disease.

Medicine International

Medicine International

An International Open Access Journal Devoted to General Medicine.

Journal Cover
November-2020 Volume 13 Issue 5

Full Size Image

Sign up for eToc alerts
Recommend to Library

  • Article
  • Citations
    • Cite This Article
    • Download Citation
    • Create Citation Alert
    • Remove Citation Alert
    • Cited By
  • Similar Articles
    • Related Articles (in Spandidos Publications)
    • Similar Articles (Google Scholar)
    • Similar Articles (PubMed)
  • Download PDF
  • Download XML
  • View XML
Case Report Open Access

Two primary cancers: Primary squamous cell carcinoma with extensive ichthyosis uteri and cervical endometrioid carcinoma: A case report

  • Authors:
    • Yoshika Akizawa
    • Tomoko Yamamoto
    • Toshiyuki Kanno
    • Yu Horibe
    • Kensuke Odaira
    • Yuki Abe
    • Yoji Nagashima
    • Tsutomu Tabata
  • View Affiliations / Copyright

    Affiliations: Department of Obstetrics and Gynecology, Tokyo Women's Medical University, Tokyo 162‑8666, Japan, Department of Surgical Pathology, Tokyo Women's Medical University, Tokyo 162‑8666, Japan
    Copyright: © Akizawa et al. This is an open access article distributed under the terms of Creative Commons Attribution License.
  • Article Number: 44
    |
    Published online on: August 13, 2020
       https://doi.org/10.3892/mco.2020.2113
  • Expand metrics +
Metrics: Total Views: 0 (Spandidos Publications: | PMC Statistics: )
Metrics: Total PDF Downloads: 0 (Spandidos Publications: | PMC Statistics: )
Cited By (CrossRef): 0 citations Loading Articles...

This article is mentioned in:



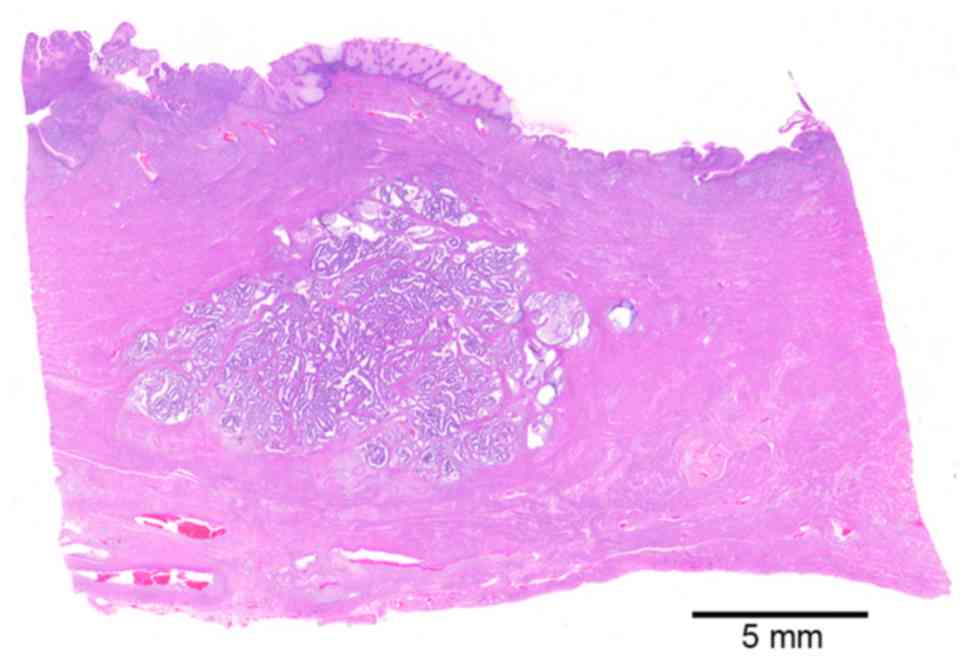
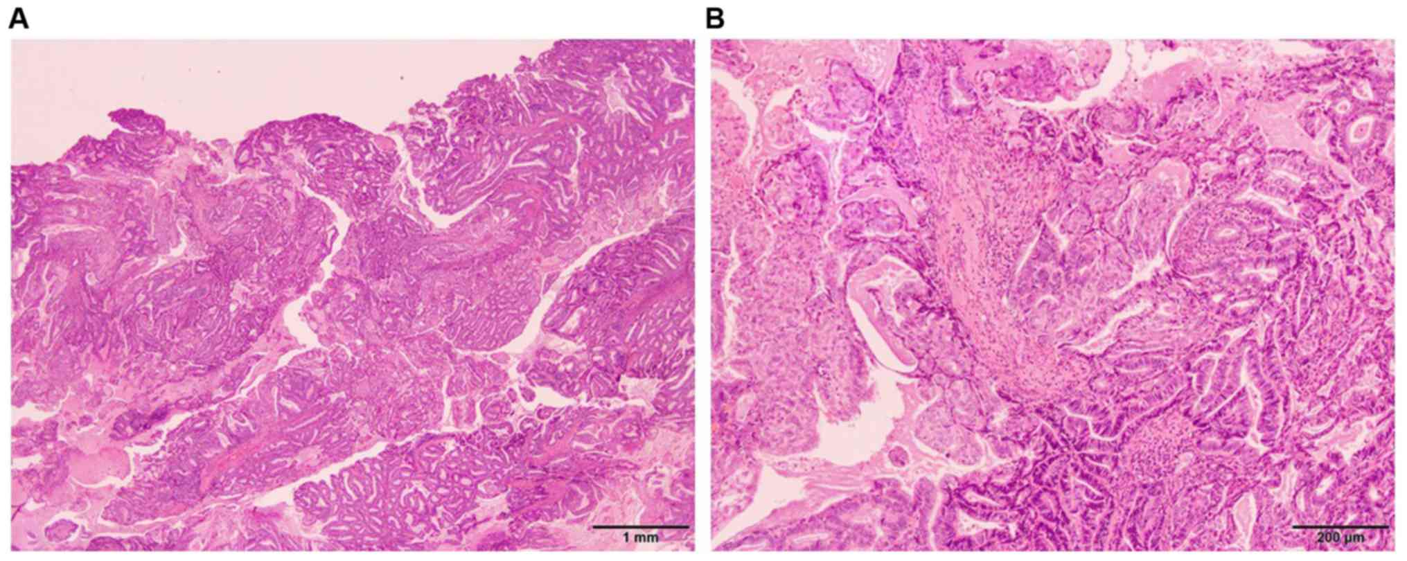
Abstract

Squamous cell carcinoma of the endometrium is extremely rare, accounting for approximately 1% of uterine body malignancies. The present report describes a case of squamous cell carcinoma of the uterine body arising from ichthyosis due to persistent pyometra. A 68‑year‑old Japanese woman, gravida 1 para 1, was referred to the Gynecological Department of Tokyo Women's Medical University, due to watery brown vaginal discharge which had persisted for 10 days. Pelvic magnetic resonance (MRI) imaging revealed a tumorous lesion occupying the cervical uteri, measuring 3 cm in diameter, and pyometra. The endometrial biopsy specimen obtained after drainage of the purulent fluid in the uterus was insufficient for obtaining a definitive pathological diagnosis. Under a clinical diagnosis of cervical tumor and pyometra, total transabdominal hysterectomy with bilateral salpingo‑oophorectomy was performed. Histopathologically, two primary cancers were diagnosed, i.e., cervical endometrioid carcinoma and squamous cell carcinoma of the endometrium. The patient was treated with additional chemotherapy with carboplatin (area under the curve, 6) and paclitaxel (175 mg/m2). The patient has remained alive, without recurrence, for 1 year to date. In this case, preexisting cervical endometrioid carcinoma caused stenosis of the uterine orifice and also resulted in pyometra. The uterine body squamous cell carcinoma appeared to have been caused by persistent inflammatory stimuli to the endometrium. One must be cautious regarding cancer in elderly postmenopausal females presenting with pyometra. The findings in this case report suggest that chronic inflammation of the endometrium may be associated with primary squamous cell carcinoma of the endometrium.
View Figures

Figure 1

Figure 2

Figure 3

Figure 4

Figure 5

View References

1 

Jain M, Kashyap A and Biswas R: Primary endometrial squamous cell carcinoma in-situ with extensive ichthyosis uteri: A rare case report. J Clin Diagn Res. 11:ED13–ED14. 2017.PubMed/NCBI View Article : Google Scholar

2 

Takeuchi K, Tsujino T, Yabuta M and Kitazawa S: A case of primary squamous cell carcinoma of the endometrium associated with extensive ‘ichthyosis uteri’. Eur J Gynaecol Oncol. 33:552–554. 2012.PubMed/NCBI

3 

Lee SJ and Choi HJ: Primary endometrial squamous cell carcinoma: A case report and review of relevant literature on Korean women. Korean J Pathol. 46:395–398. 2012.PubMed/NCBI View Article : Google Scholar

4 

Baggish MS and Woodruff JD: The occurrence of squamous epithelium in the endometrium. Obstet Gynecol Surv. 22:69–115. 1967.PubMed/NCBI View Article : Google Scholar

5 

Goodman A, Zukerberg LR, Rice LW, Fuller AF, Young RH and Scully RE: Squamous cell carcinoma of the endometrium: A report of eight cases and a review of the literature. Gynecol Oncol. 61:54–60. 1996.PubMed/NCBI View Article : Google Scholar

6 

Kurman RJ, Carcangiu ML, Herrington CS and Young RH: IARC. WHO Classification of Tumours of Female Reproductive Organs. 4rth edition. In: WHO Classification of Tumours, vol. 6. IARC, Lyon, France, 2014.

7 

Farhane FZ, Alami Z, Bouhafa T, Elmazghi A and Hassouni K: Primary squamous cell carcinoma of endometrium: Case report and literature review. Pan Afr Med J. 30(208)2018.PubMed/NCBI View Article : Google Scholar

8 

Terada T and Tateoka K: Primary pure squamous cell carcinoma of the endometrium: A case report. Int J Clin Exp Pathol. 6:990–993. 2013.PubMed/NCBI

9 

Fluhmann CF: The histogenesis of squamous cell metaplasia of the cervix and endometrium. Surg Gynecol Obstet. 97:45–58. 1953.PubMed/NCBI

10 

Lim XR, Xiang W, Tan JWL, Koh LW, Lian TY, Leong KP and Koh ET: TTSH Rheumatoid Arthritis Study Group. Incidence and patterns of malignancies in a multi-ethnic cohort of rheumatoid arthritis patients. Int J Rheum Dis. 22:1679–1685. 2019.PubMed/NCBI View Article : Google Scholar

Related Articles

  • Abstract
  • View
  • Download
  • Twitter
Copy and paste a formatted citation
Spandidos Publications style
Akizawa Y, Yamamoto T, Kanno T, Horibe Y, Odaira K, Abe Y, Nagashima Y and Tabata T: Two primary cancers: Primary squamous cell carcinoma with extensive ichthyosis uteri and cervical endometrioid carcinoma: A case report. Mol Clin Oncol 13: 44, 2020.
APA
Akizawa, Y., Yamamoto, T., Kanno, T., Horibe, Y., Odaira, K., Abe, Y. ... Tabata, T. (2020). Two primary cancers: Primary squamous cell carcinoma with extensive ichthyosis uteri and cervical endometrioid carcinoma: A case report. Molecular and Clinical Oncology, 13, 44. https://doi.org/10.3892/mco.2020.2113
MLA
Akizawa, Y., Yamamoto, T., Kanno, T., Horibe, Y., Odaira, K., Abe, Y., Nagashima, Y., Tabata, T."Two primary cancers: Primary squamous cell carcinoma with extensive ichthyosis uteri and cervical endometrioid carcinoma: A case report". Molecular and Clinical Oncology 13.5 (2020): 44.
Chicago
Akizawa, Y., Yamamoto, T., Kanno, T., Horibe, Y., Odaira, K., Abe, Y., Nagashima, Y., Tabata, T."Two primary cancers: Primary squamous cell carcinoma with extensive ichthyosis uteri and cervical endometrioid carcinoma: A case report". Molecular and Clinical Oncology 13, no. 5 (2020): 44. https://doi.org/10.3892/mco.2020.2113
Copy and paste a formatted citation
x
Spandidos Publications style
Akizawa Y, Yamamoto T, Kanno T, Horibe Y, Odaira K, Abe Y, Nagashima Y and Tabata T: Two primary cancers: Primary squamous cell carcinoma with extensive ichthyosis uteri and cervical endometrioid carcinoma: A case report. Mol Clin Oncol 13: 44, 2020.
APA
Akizawa, Y., Yamamoto, T., Kanno, T., Horibe, Y., Odaira, K., Abe, Y. ... Tabata, T. (2020). Two primary cancers: Primary squamous cell carcinoma with extensive ichthyosis uteri and cervical endometrioid carcinoma: A case report. Molecular and Clinical Oncology, 13, 44. https://doi.org/10.3892/mco.2020.2113
MLA
Akizawa, Y., Yamamoto, T., Kanno, T., Horibe, Y., Odaira, K., Abe, Y., Nagashima, Y., Tabata, T."Two primary cancers: Primary squamous cell carcinoma with extensive ichthyosis uteri and cervical endometrioid carcinoma: A case report". Molecular and Clinical Oncology 13.5 (2020): 44.
Chicago
Akizawa, Y., Yamamoto, T., Kanno, T., Horibe, Y., Odaira, K., Abe, Y., Nagashima, Y., Tabata, T."Two primary cancers: Primary squamous cell carcinoma with extensive ichthyosis uteri and cervical endometrioid carcinoma: A case report". Molecular and Clinical Oncology 13, no. 5 (2020): 44. https://doi.org/10.3892/mco.2020.2113
Follow us
  • Twitter
  • LinkedIn
  • Facebook
About
  • Spandidos Publications
  • Careers
  • Cookie Policy
  • Privacy Policy
How can we help?
  • Help
  • Live Chat
  • Contact
  • Email to our Support Team