Spandidos Publications Logo
  • About
    • About Spandidos
    • Aims and Scopes
    • Abstracting and Indexing
    • Editorial Policies
    • Reprints and Permissions
    • Job Opportunities
    • Terms and Conditions
    • Contact
  • Journals
    • All Journals
    • Oncology Letters
      • Oncology Letters
      • Information for Authors
      • Editorial Policies
      • Editorial Board
      • Aims and Scope
      • Abstracting and Indexing
      • Bibliographic Information
      • Archive
    • International Journal of Oncology
      • International Journal of Oncology
      • Information for Authors
      • Editorial Policies
      • Editorial Board
      • Aims and Scope
      • Abstracting and Indexing
      • Bibliographic Information
      • Archive
    • Molecular and Clinical Oncology
      • Molecular and Clinical Oncology
      • Information for Authors
      • Editorial Policies
      • Editorial Board
      • Aims and Scope
      • Abstracting and Indexing
      • Bibliographic Information
      • Archive
    • Experimental and Therapeutic Medicine
      • Experimental and Therapeutic Medicine
      • Information for Authors
      • Editorial Policies
      • Editorial Board
      • Aims and Scope
      • Abstracting and Indexing
      • Bibliographic Information
      • Archive
    • International Journal of Molecular Medicine
      • International Journal of Molecular Medicine
      • Information for Authors
      • Editorial Policies
      • Editorial Board
      • Aims and Scope
      • Abstracting and Indexing
      • Bibliographic Information
      • Archive
    • Biomedical Reports
      • Biomedical Reports
      • Information for Authors
      • Editorial Policies
      • Editorial Board
      • Aims and Scope
      • Abstracting and Indexing
      • Bibliographic Information
      • Archive
    • Oncology Reports
      • Oncology Reports
      • Information for Authors
      • Editorial Policies
      • Editorial Board
      • Aims and Scope
      • Abstracting and Indexing
      • Bibliographic Information
      • Archive
    • Molecular Medicine Reports
      • Molecular Medicine Reports
      • Information for Authors
      • Editorial Policies
      • Editorial Board
      • Aims and Scope
      • Abstracting and Indexing
      • Bibliographic Information
      • Archive
    • World Academy of Sciences Journal
      • World Academy of Sciences Journal
      • Information for Authors
      • Editorial Policies
      • Editorial Board
      • Aims and Scope
      • Abstracting and Indexing
      • Bibliographic Information
      • Archive
    • International Journal of Functional Nutrition
      • International Journal of Functional Nutrition
      • Information for Authors
      • Editorial Policies
      • Editorial Board
      • Aims and Scope
      • Abstracting and Indexing
      • Bibliographic Information
      • Archive
    • International Journal of Epigenetics
      • International Journal of Epigenetics
      • Information for Authors
      • Editorial Policies
      • Editorial Board
      • Aims and Scope
      • Abstracting and Indexing
      • Bibliographic Information
      • Archive
    • Medicine International
      • Medicine International
      • Information for Authors
      • Editorial Policies
      • Editorial Board
      • Aims and Scope
      • Abstracting and Indexing
      • Bibliographic Information
      • Archive
  • Articles
  • Information
    • Information for Authors
    • Information for Reviewers
    • Information for Librarians
    • Information for Advertisers
    • Conferences
  • Language Editing
Spandidos Publications Logo
  • About
    • About Spandidos
    • Aims and Scopes
    • Abstracting and Indexing
    • Editorial Policies
    • Reprints and Permissions
    • Job Opportunities
    • Terms and Conditions
    • Contact
  • Journals
    • All Journals
    • Biomedical Reports
      • Information for Authors
      • Editorial Policies
      • Editorial Board
      • Aims and Scope
      • Abstracting and Indexing
      • Bibliographic Information
      • Archive
    • Experimental and Therapeutic Medicine
      • Information for Authors
      • Editorial Policies
      • Editorial Board
      • Aims and Scope
      • Abstracting and Indexing
      • Bibliographic Information
      • Archive
    • International Journal of Epigenetics
      • Information for Authors
      • Editorial Policies
      • Editorial Board
      • Aims and Scope
      • Abstracting and Indexing
      • Bibliographic Information
      • Archive
    • International Journal of Functional Nutrition
      • Information for Authors
      • Editorial Policies
      • Editorial Board
      • Aims and Scope
      • Abstracting and Indexing
      • Bibliographic Information
      • Archive
    • International Journal of Molecular Medicine
      • Information for Authors
      • Editorial Policies
      • Editorial Board
      • Aims and Scope
      • Abstracting and Indexing
      • Bibliographic Information
      • Archive
    • International Journal of Oncology
      • Information for Authors
      • Editorial Policies
      • Editorial Board
      • Aims and Scope
      • Abstracting and Indexing
      • Bibliographic Information
      • Archive
    • Medicine International
      • Information for Authors
      • Editorial Policies
      • Editorial Board
      • Aims and Scope
      • Abstracting and Indexing
      • Bibliographic Information
      • Archive
    • Molecular and Clinical Oncology
      • Information for Authors
      • Editorial Policies
      • Editorial Board
      • Aims and Scope
      • Abstracting and Indexing
      • Bibliographic Information
      • Archive
    • Molecular Medicine Reports
      • Information for Authors
      • Editorial Policies
      • Editorial Board
      • Aims and Scope
      • Abstracting and Indexing
      • Bibliographic Information
      • Archive
    • Oncology Letters
      • Information for Authors
      • Editorial Policies
      • Editorial Board
      • Aims and Scope
      • Abstracting and Indexing
      • Bibliographic Information
      • Archive
    • Oncology Reports
      • Information for Authors
      • Editorial Policies
      • Editorial Board
      • Aims and Scope
      • Abstracting and Indexing
      • Bibliographic Information
      • Archive
    • World Academy of Sciences Journal
      • Information for Authors
      • Editorial Policies
      • Editorial Board
      • Aims and Scope
      • Abstracting and Indexing
      • Bibliographic Information
      • Archive
  • Articles
  • Information
    • For Authors
    • For Reviewers
    • For Librarians
    • For Advertisers
    • Conferences
  • Language Editing
Login Register Submit
  • This site uses cookies
  • You can change your cookie settings at any time by following the instructions in our Cookie Policy. To find out more, you may read our Privacy Policy.

    I agree
Search articles by DOI, keyword, author or affiliation
Search
Advanced Search
presentation
Molecular and Clinical Oncology
Join Editorial Board Propose a Special Issue
Print ISSN: 2049-9450 Online ISSN: 2049-9469
Journal Cover
November-2020 Volume 13 Issue 5

Full Size Image

Sign up for eToc alerts
Recommend to Library

Journals

International Journal of Molecular Medicine

International Journal of Molecular Medicine

International Journal of Molecular Medicine is an international journal devoted to molecular mechanisms of human disease.

International Journal of Oncology

International Journal of Oncology

International Journal of Oncology is an international journal devoted to oncology research and cancer treatment.

Molecular Medicine Reports

Molecular Medicine Reports

Covers molecular medicine topics such as pharmacology, pathology, genetics, neuroscience, infectious diseases, molecular cardiology, and molecular surgery.

Oncology Reports

Oncology Reports

Oncology Reports is an international journal devoted to fundamental and applied research in Oncology.

Experimental and Therapeutic Medicine

Experimental and Therapeutic Medicine

Experimental and Therapeutic Medicine is an international journal devoted to laboratory and clinical medicine.

Oncology Letters

Oncology Letters

Oncology Letters is an international journal devoted to Experimental and Clinical Oncology.

Biomedical Reports

Biomedical Reports

Explores a wide range of biological and medical fields, including pharmacology, genetics, microbiology, neuroscience, and molecular cardiology.

Molecular and Clinical Oncology

Molecular and Clinical Oncology

International journal addressing all aspects of oncology research, from tumorigenesis and oncogenes to chemotherapy and metastasis.

World Academy of Sciences Journal

World Academy of Sciences Journal

Multidisciplinary open-access journal spanning biochemistry, genetics, neuroscience, environmental health, and synthetic biology.

International Journal of Functional Nutrition

International Journal of Functional Nutrition

Open-access journal combining biochemistry, pharmacology, immunology, and genetics to advance health through functional nutrition.

International Journal of Epigenetics

International Journal of Epigenetics

Publishes open-access research on using epigenetics to advance understanding and treatment of human disease.

Medicine International

Medicine International

An International Open Access Journal Devoted to General Medicine.

Journal Cover
November-2020 Volume 13 Issue 5

Full Size Image

Sign up for eToc alerts
Recommend to Library

  • Article
  • Citations
    • Cite This Article
    • Download Citation
    • Create Citation Alert
    • Remove Citation Alert
    • Cited By
  • Similar Articles
    • Related Articles (in Spandidos Publications)
    • Similar Articles (Google Scholar)
    • Similar Articles (PubMed)
  • Download PDF
  • Download XML
  • View XML
Case Report Open Access

Combination nivolumab and bevacizumab for metastatic myxofibrosarcoma: A case report and review of the literature

  • Authors:
    • Lei Song
    • Dejian Pan
    • Rengui Zhou
  • View Affiliations / Copyright

    Affiliations: Department of Hematology and Oncology, The 904 Hospital of The PLA (Chinese People's Liberation Army), Wuxi, Jiangsu 214044, P.R. China
    Copyright: © Song et al. This is an open access article distributed under the terms of Creative Commons Attribution License.
  • Article Number: 54
    |
    Published online on: August 24, 2020
       https://doi.org/10.3892/mco.2020.2124
  • Expand metrics +
Metrics: Total Views: 0 (Spandidos Publications: | PMC Statistics: )
Metrics: Total PDF Downloads: 0 (Spandidos Publications: | PMC Statistics: )
Cited By (CrossRef): 0 citations Loading Articles...

This article is mentioned in:



Abstract

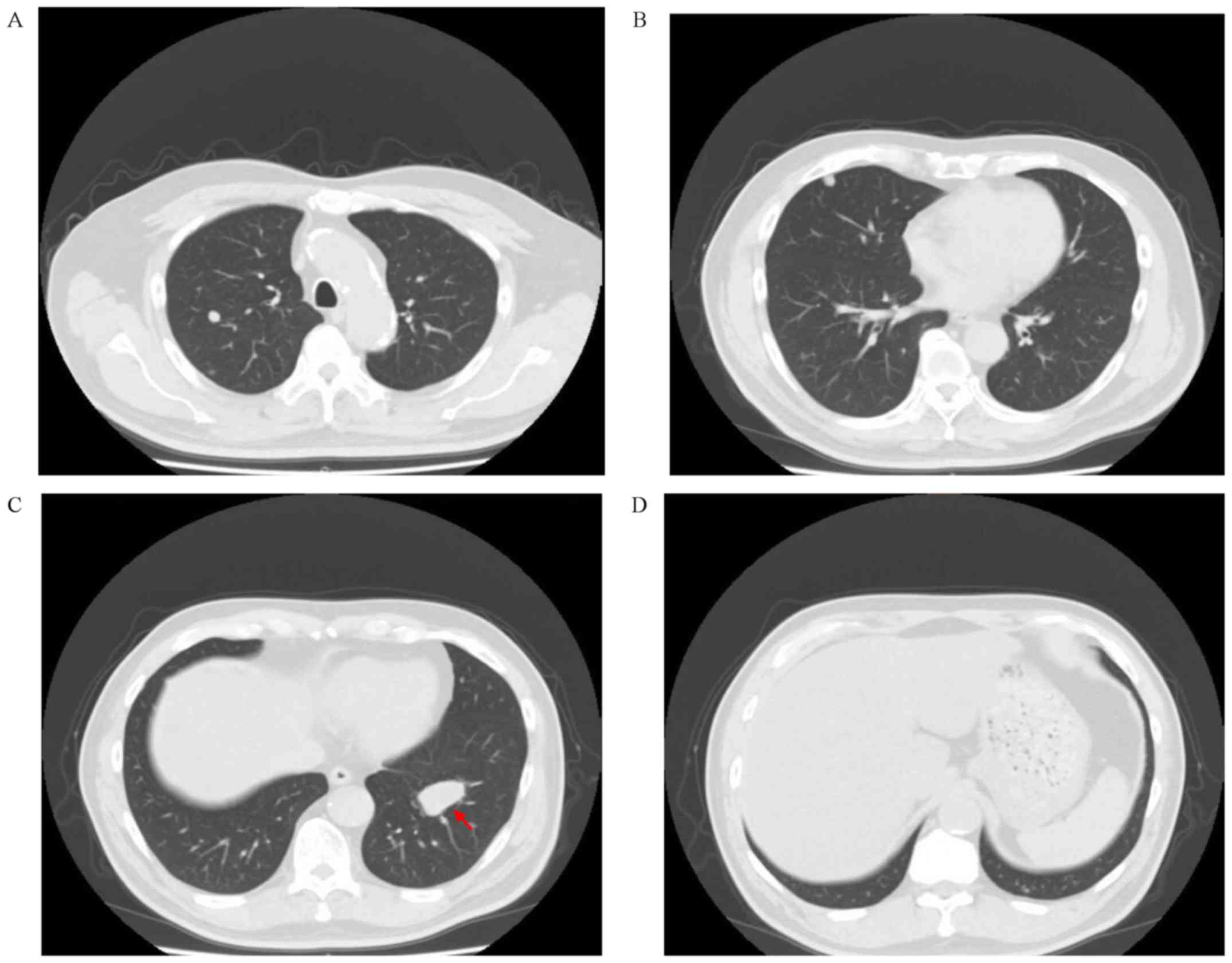
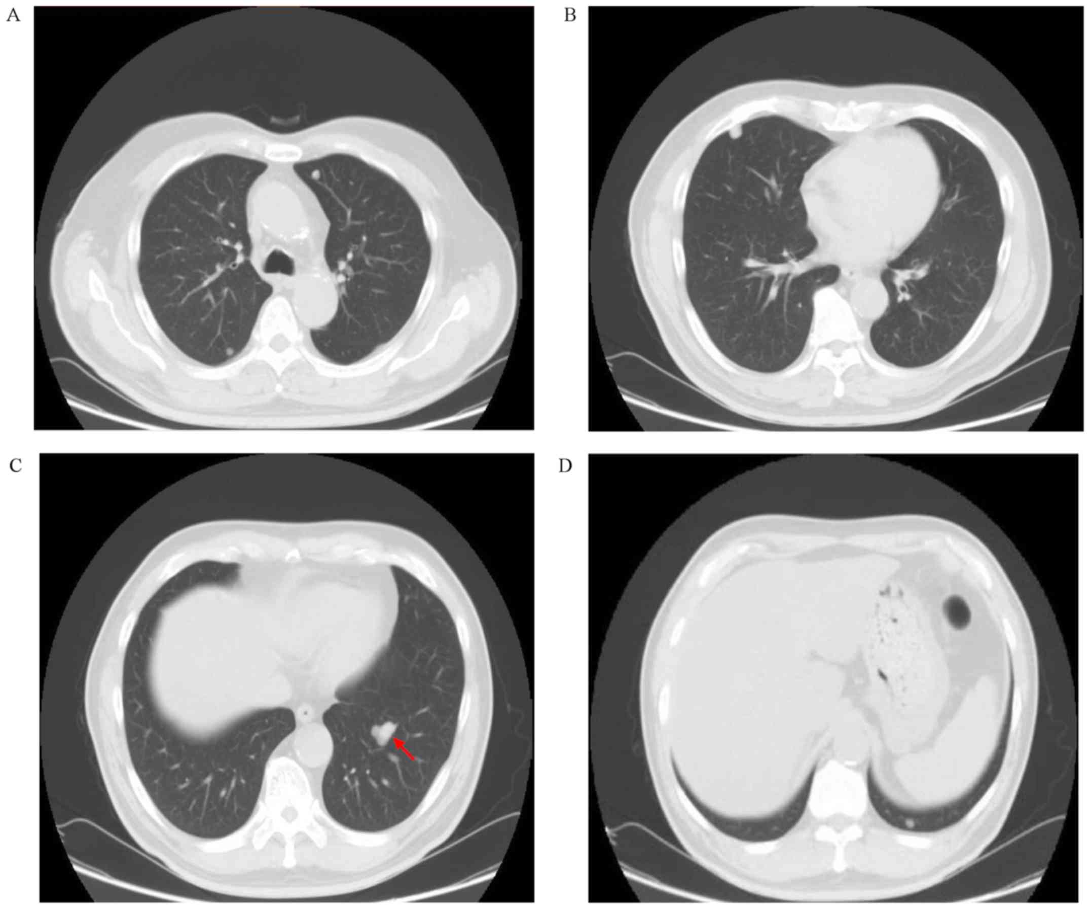
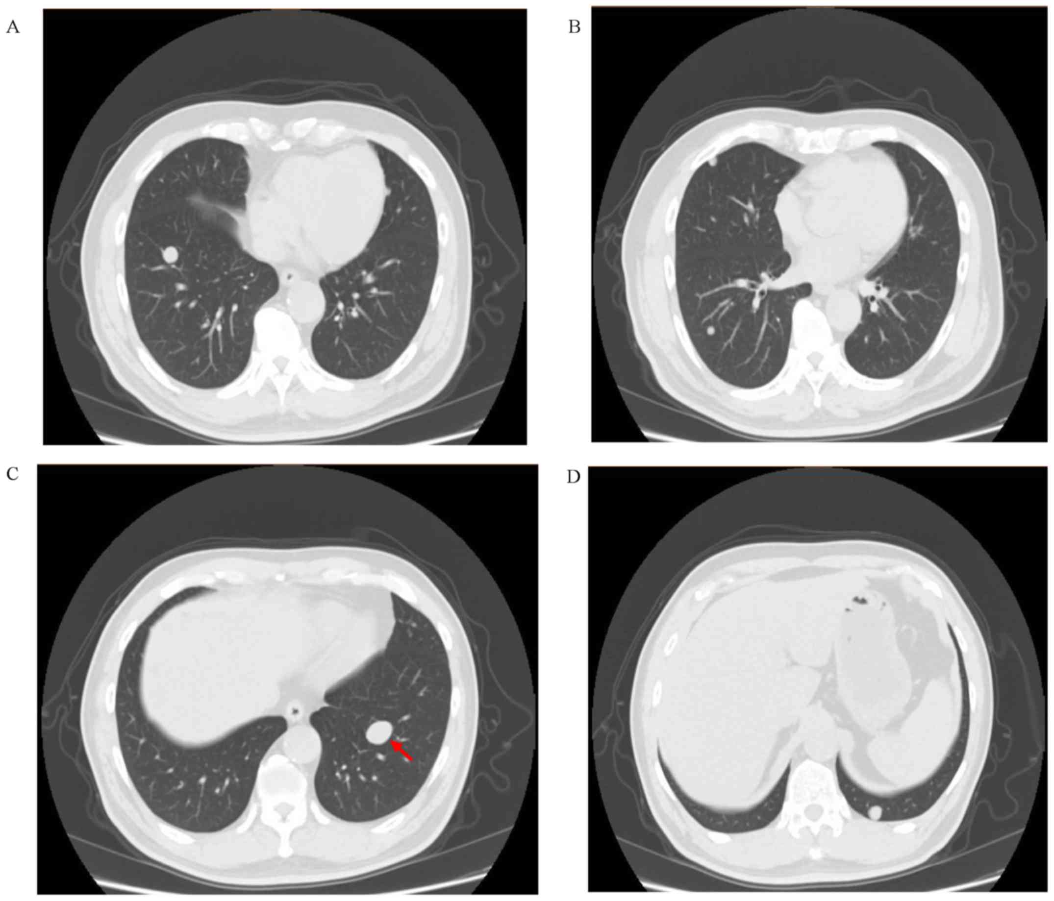
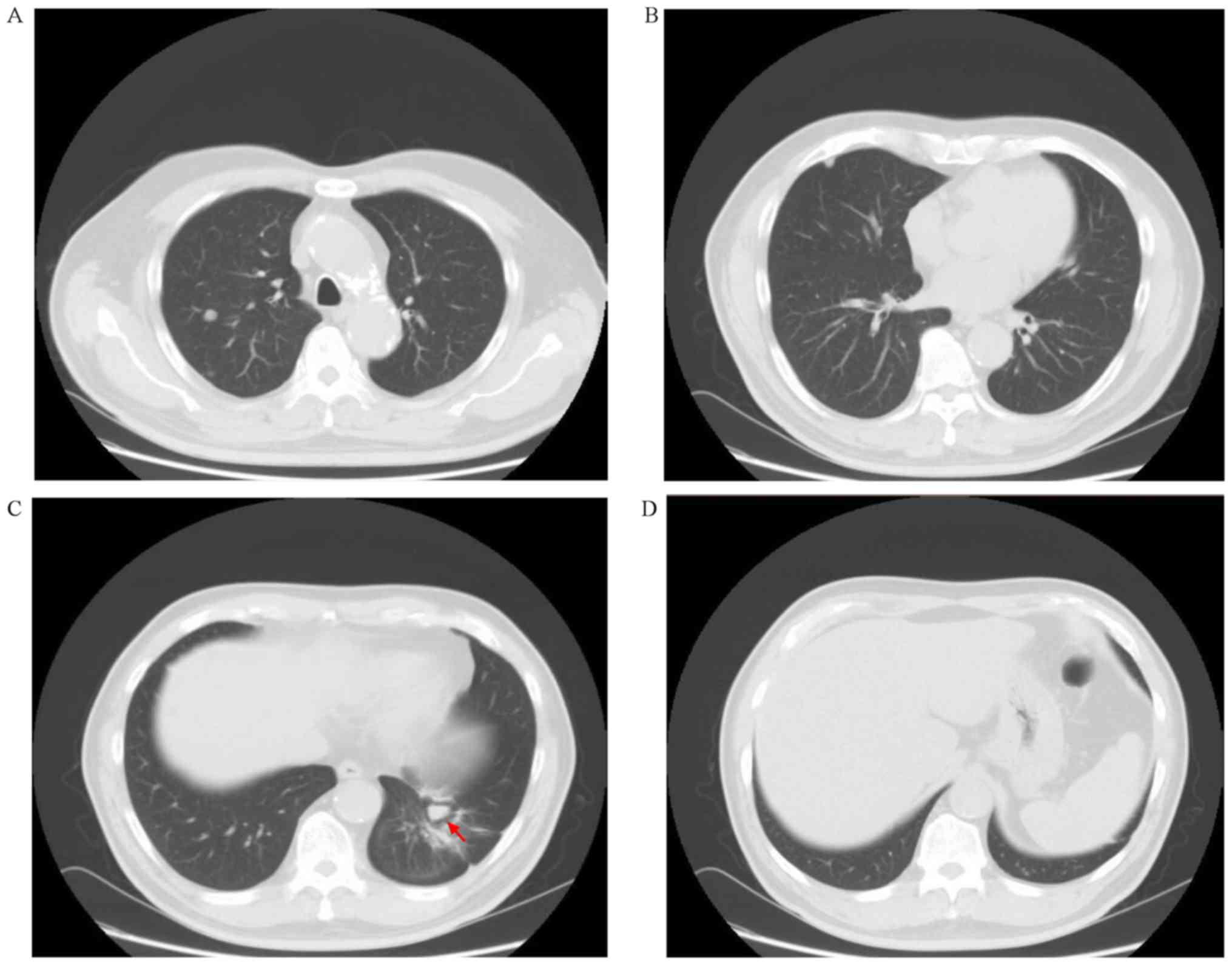
The main therapeutic strategy for metastatic Myxofibrosarcoma (MFS) is palliative chemotherapy. A number of studies have demonstrated that anti‑angiogenic therapy and immunotherapy could improve the survival rate of patients with metastases. However, the effectiveness of the combination of anti‑angiogenic therapy and immunotherapy for the therapy of MFS is undetermined. The current study reports a case of metastatic myxofibrosarcoma that was treated with combination Nivolumab (monoclonal antibody, PD‑1 inhibitor) and Bevacizumab (monoclonal antibody, anti‑VEGF) after progression from the single use of Nivolumab. The aim of the current study is to assess the efficacy and safety of Nivolumab and Bevacizumab for metastatic myxofibrosarcoma and to review the literature. Up to the termination of the follow‑up, the patient achieved a partial response for 16 months, had an overall survival for over 29 months since the metastasis and demonstrated a sustained benefit from treatment. The most frequent adverse events were fatigue, abnormality of Alanine aminotransferase (ALT), hypertension and proteinuria. Nivolumab and Bevacizumab treatment indicate beneficial clinical effects and are indicated to be safe to use in patients with metastatic myxofibrosarcoma.
View Figures

Figure 1

Figure 2

Figure 3

Figure 4

Figure 5

Figure 6

Figure 7

Figure 8

Figure 9

View References

1 

Angervall L, Kindblom LG and Merk C: Ayxofibrosarcoma: A study of 30 cases. Acta Pathol Microbiol Scand A. 85A:127–140. 1977.PubMed/NCBI

2 

Fletcher CD, Bridge JA, Hogendoorn PC, et al: WHO classifitation of tumours of soft tissue and bone. Lyon, IARC Press, 93-94, 2013.

3 

Uehara T, Fujiwara T, Takeda K, Kunisada T, Ozaki T and Udono H: Immunotherapy for bone and soft tissue sarcomas. Biomed Res Int. 2015(820813)2015.PubMed/NCBI View Article : Google Scholar

4 

Tawbi HA, Burgess M, Bolejack V, Van Tine BA, Schuetze SM, Hu J, D'Angelo S, Attia S, Riedel RF, Priebat DA, et al: Pembrolizumab in advanced soft-tissue sarcoma and bone sarcoma (SARC028): A multicentre, two-cohort, single-arm,open-label, phase 2 trial. Lancet Oncol. 18:1493–1501. 2017.PubMed/NCBI View Article : Google Scholar

5 

D'Adamo DR, Anderson SE, Albritton K, Yamada J, Riedel E, Scheu K, Schwartz GK, Chen H and Maki RG: Phase II study of doxorubicin and bevacizumab for patients with metastatic soft-tissue sarcomas. J Clin Oncol. 23:7135–7142. 2005.PubMed/NCBI View Article : Google Scholar

6 

Ruihua Xu: Medical Oncology. Bei Jing: People's Medical publishing house, 549-565, 2014 (In Chinese).

7 

Yin QL, Wu D and Yu YY: Progression in anti-angiogenesis agents for soft tissue sarcoma. Chinese Clinical Oncol. 22:839–844. 2017.(In Chinese).

8 

Sleijfer S, Ray-Coquard I, Papai Z, Le Cesne A, Scurr M, Schöffski P, Collin F, Pandite L, Marreaud S, De Brauwer A, et al: Pazopanib, a muhikinase angiogenesis inhibitor, in patients with relapsed or refractory advanced soft tissue sarcoma: A phaseIIstudy from the European organisatiou for research and treatment of eaneer-sofc tissue and bone sarcoma group (EORTC study 62043). J Clin Oncol. 27:3126–3132. 2009.PubMed/NCBI View Article : Google Scholar

9 

Van der Graaf WT, Blay JY, Chawla SP, Kim DW, Bui-Nguyen B, Casali PG, Schöffski P, Aglietta M, Staddon AP, Beppu Y, et al: Pazopanib for metastatic soft-tissue sarcoma (PALETTE): A randomised, double-blind, placebo-controlled phase 3 trial. Lancet. 379:1879–1886. 2012.PubMed/NCBI View Article : Google Scholar

10 

In GK, Hu JS and Tseng WW: Treatment of abvanced, metastatic soft tissue sarcoma: Latest evidence and clinical considerations. Ther Adv Med Oncol. 9:533–550. 2017.PubMed/NCBI View Article : Google Scholar

11 

Sarcoma Committee of Chinese Anti-Cancer Association; Chinese Society of Clinical Oncology. Chinese expert consensus on diagnosis and treatment of soft tissue sarcomas (Version 2015). Zhonghua Zhong Liu Za Zhi. 38:310–320. 2016.PubMed/NCBI View Article : Google Scholar : (In Chinese).

12 

Chi Y, Fang Z, Hong X, Yao Y, Sun P, Wang G, Du F, Sun Y, Wu Q, Qu G, et al: Safety and efficacy of anlotinib, a multikinase angiogenesis inhibitor, in patients with refractory metastatic soft-tissue sarcoma. Clin Cancer Res 24: 5233-5238.

13 

Paoluzzi L, Cacario A, Ghesani M, Karambelkar A, Rapkiewicz A, Weber J and Rosen G: Response to anti-PD1 therapy with nivolumab in metastatic sarcomas. Clin Sarcoma Res. 6(24)2016.PubMed/NCBI View Article : Google Scholar

14 

Ben-Ami E, Barysauskas CM, Solomon S, Tahlil K, Malley R, Hohos M, Polson K, Loucks M, Severgnini M, Patel T, et al: Immunotherapy with single agent nivolumab foe advanced leiomyosarcoma of the uterus: Results of a phase 2 study. Cancer. 123:3285–3290. 2017.PubMed/NCBI View Article : Google Scholar

15 

D'Angelo SP, Mahoaey MR, VanTine BA, Atkins J, Milhem MM, Jahagirdar BN, Antonescu CR, Horvath E, Tap WD, Schwartz GK and Streicher H: Nivolumab with or without ipilimumab treatment for metastatic sarcoma (Alliance A091401): Two open-label non-comparative, randomized,phase 2 trials. Lancet oncol. 19:416–426. 2018.PubMed/NCBI View Article : Google Scholar

16 

Wagner MJ, Ricciotti RW, Mantilla J, Loggers ET, Pollack SM and Cranmer LD: Response to PD1 inhibition in conventional chondrosarcoma. J Immunother Cance. 6(94)2018.PubMed/NCBI View Article : Google Scholar

17 

Linpeng Zhen, Luping Zhang, Zihan Xu, et al: Radiation therapy combined with immunological checkpoint inhibitors and distant effects. Chin J Lung Dis (Electronic Edition). 11:227–230. 2018.(In Chinese).

18 

Zhouguang Hui, Meng Yuan and Yu Men: Application mechanism of radiotherapy combined with immune checkpiont inhibitors. Chin J Radiat Oncol. 27:875–879. 2018.(In Chinese).

19 

Wang Q and Li B: Research progress in PD-1/PD-L1 monoclonal antibody combined with radiotherapy in treatment of solid tumors. Chin J Radiat Oncol. 25:1375–1378. 2016.(In Chinese).

20 

Peng X and Zhou Q: First-line combination immunotherapy in advanced non-small cell lung cancer. Zhongguo Fei Ai Za Zhi. 21:924–930. 2018.PubMed/NCBI View Article : Google Scholar : (In Chinese).

21 

Zhang J, Zhang W, Qian Z, Gao B and Xiang Y: Tumor vascular normalization improves cancer treatment efficacy. China Oncology. 26:188–192. 2016.(In Chinese).

22 

Xu Y, Zhang L and Jin L: Mechanism of tumor tolerance mediated hy immune microenvironment and its targeted therapy. J Int Oncol. 44:594–596. 2017.(In Chinese).

23 

Zhang B and Yue H: The mechanisms of immune microenvironment in cancer development and progression. Modern Oncol. 23:862–864. 2015.(In Chinese).

Related Articles

  • Abstract
  • View
  • Download
  • Twitter
Copy and paste a formatted citation
Spandidos Publications style
Song L, Pan D and Zhou R: Combination nivolumab and bevacizumab for metastatic myxofibrosarcoma: A case report and review of the literature. Mol Clin Oncol 13: 54, 2020.
APA
Song, L., Pan, D., & Zhou, R. (2020). Combination nivolumab and bevacizumab for metastatic myxofibrosarcoma: A case report and review of the literature. Molecular and Clinical Oncology, 13, 54. https://doi.org/10.3892/mco.2020.2124
MLA
Song, L., Pan, D., Zhou, R."Combination nivolumab and bevacizumab for metastatic myxofibrosarcoma: A case report and review of the literature". Molecular and Clinical Oncology 13.5 (2020): 54.
Chicago
Song, L., Pan, D., Zhou, R."Combination nivolumab and bevacizumab for metastatic myxofibrosarcoma: A case report and review of the literature". Molecular and Clinical Oncology 13, no. 5 (2020): 54. https://doi.org/10.3892/mco.2020.2124
Copy and paste a formatted citation
x
Spandidos Publications style
Song L, Pan D and Zhou R: Combination nivolumab and bevacizumab for metastatic myxofibrosarcoma: A case report and review of the literature. Mol Clin Oncol 13: 54, 2020.
APA
Song, L., Pan, D., & Zhou, R. (2020). Combination nivolumab and bevacizumab for metastatic myxofibrosarcoma: A case report and review of the literature. Molecular and Clinical Oncology, 13, 54. https://doi.org/10.3892/mco.2020.2124
MLA
Song, L., Pan, D., Zhou, R."Combination nivolumab and bevacizumab for metastatic myxofibrosarcoma: A case report and review of the literature". Molecular and Clinical Oncology 13.5 (2020): 54.
Chicago
Song, L., Pan, D., Zhou, R."Combination nivolumab and bevacizumab for metastatic myxofibrosarcoma: A case report and review of the literature". Molecular and Clinical Oncology 13, no. 5 (2020): 54. https://doi.org/10.3892/mco.2020.2124
Follow us
  • Twitter
  • LinkedIn
  • Facebook
About
  • Spandidos Publications
  • Careers
  • Cookie Policy
  • Privacy Policy
How can we help?
  • Help
  • Live Chat
  • Contact
  • Email to our Support Team