Spandidos Publications Logo
  • About
    • About Spandidos
    • Aims and Scopes
    • Abstracting and Indexing
    • Editorial Policies
    • Reprints and Permissions
    • Job Opportunities
    • Terms and Conditions
    • Contact
  • Journals
    • All Journals
    • Oncology Letters
      • Oncology Letters
      • Information for Authors
      • Editorial Policies
      • Editorial Board
      • Aims and Scope
      • Abstracting and Indexing
      • Bibliographic Information
      • Archive
    • International Journal of Oncology
      • International Journal of Oncology
      • Information for Authors
      • Editorial Policies
      • Editorial Board
      • Aims and Scope
      • Abstracting and Indexing
      • Bibliographic Information
      • Archive
    • Molecular and Clinical Oncology
      • Molecular and Clinical Oncology
      • Information for Authors
      • Editorial Policies
      • Editorial Board
      • Aims and Scope
      • Abstracting and Indexing
      • Bibliographic Information
      • Archive
    • Experimental and Therapeutic Medicine
      • Experimental and Therapeutic Medicine
      • Information for Authors
      • Editorial Policies
      • Editorial Board
      • Aims and Scope
      • Abstracting and Indexing
      • Bibliographic Information
      • Archive
    • International Journal of Molecular Medicine
      • International Journal of Molecular Medicine
      • Information for Authors
      • Editorial Policies
      • Editorial Board
      • Aims and Scope
      • Abstracting and Indexing
      • Bibliographic Information
      • Archive
    • Biomedical Reports
      • Biomedical Reports
      • Information for Authors
      • Editorial Policies
      • Editorial Board
      • Aims and Scope
      • Abstracting and Indexing
      • Bibliographic Information
      • Archive
    • Oncology Reports
      • Oncology Reports
      • Information for Authors
      • Editorial Policies
      • Editorial Board
      • Aims and Scope
      • Abstracting and Indexing
      • Bibliographic Information
      • Archive
    • Molecular Medicine Reports
      • Molecular Medicine Reports
      • Information for Authors
      • Editorial Policies
      • Editorial Board
      • Aims and Scope
      • Abstracting and Indexing
      • Bibliographic Information
      • Archive
    • World Academy of Sciences Journal
      • World Academy of Sciences Journal
      • Information for Authors
      • Editorial Policies
      • Editorial Board
      • Aims and Scope
      • Abstracting and Indexing
      • Bibliographic Information
      • Archive
    • International Journal of Functional Nutrition
      • International Journal of Functional Nutrition
      • Information for Authors
      • Editorial Policies
      • Editorial Board
      • Aims and Scope
      • Abstracting and Indexing
      • Bibliographic Information
      • Archive
    • International Journal of Epigenetics
      • International Journal of Epigenetics
      • Information for Authors
      • Editorial Policies
      • Editorial Board
      • Aims and Scope
      • Abstracting and Indexing
      • Bibliographic Information
      • Archive
    • Medicine International
      • Medicine International
      • Information for Authors
      • Editorial Policies
      • Editorial Board
      • Aims and Scope
      • Abstracting and Indexing
      • Bibliographic Information
      • Archive
  • Articles
  • Information
    • Information for Authors
    • Information for Reviewers
    • Information for Librarians
    • Information for Advertisers
    • Conferences
  • Language Editing
Spandidos Publications Logo
  • About
    • About Spandidos
    • Aims and Scopes
    • Abstracting and Indexing
    • Editorial Policies
    • Reprints and Permissions
    • Job Opportunities
    • Terms and Conditions
    • Contact
  • Journals
    • All Journals
    • Biomedical Reports
      • Information for Authors
      • Editorial Policies
      • Editorial Board
      • Aims and Scope
      • Abstracting and Indexing
      • Bibliographic Information
      • Archive
    • Experimental and Therapeutic Medicine
      • Information for Authors
      • Editorial Policies
      • Editorial Board
      • Aims and Scope
      • Abstracting and Indexing
      • Bibliographic Information
      • Archive
    • International Journal of Epigenetics
      • Information for Authors
      • Editorial Policies
      • Editorial Board
      • Aims and Scope
      • Abstracting and Indexing
      • Bibliographic Information
      • Archive
    • International Journal of Functional Nutrition
      • Information for Authors
      • Editorial Policies
      • Editorial Board
      • Aims and Scope
      • Abstracting and Indexing
      • Bibliographic Information
      • Archive
    • International Journal of Molecular Medicine
      • Information for Authors
      • Editorial Policies
      • Editorial Board
      • Aims and Scope
      • Abstracting and Indexing
      • Bibliographic Information
      • Archive
    • International Journal of Oncology
      • Information for Authors
      • Editorial Policies
      • Editorial Board
      • Aims and Scope
      • Abstracting and Indexing
      • Bibliographic Information
      • Archive
    • Medicine International
      • Information for Authors
      • Editorial Policies
      • Editorial Board
      • Aims and Scope
      • Abstracting and Indexing
      • Bibliographic Information
      • Archive
    • Molecular and Clinical Oncology
      • Information for Authors
      • Editorial Policies
      • Editorial Board
      • Aims and Scope
      • Abstracting and Indexing
      • Bibliographic Information
      • Archive
    • Molecular Medicine Reports
      • Information for Authors
      • Editorial Policies
      • Editorial Board
      • Aims and Scope
      • Abstracting and Indexing
      • Bibliographic Information
      • Archive
    • Oncology Letters
      • Information for Authors
      • Editorial Policies
      • Editorial Board
      • Aims and Scope
      • Abstracting and Indexing
      • Bibliographic Information
      • Archive
    • Oncology Reports
      • Information for Authors
      • Editorial Policies
      • Editorial Board
      • Aims and Scope
      • Abstracting and Indexing
      • Bibliographic Information
      • Archive
    • World Academy of Sciences Journal
      • Information for Authors
      • Editorial Policies
      • Editorial Board
      • Aims and Scope
      • Abstracting and Indexing
      • Bibliographic Information
      • Archive
  • Articles
  • Information
    • For Authors
    • For Reviewers
    • For Librarians
    • For Advertisers
    • Conferences
  • Language Editing
Login Register Submit
  • This site uses cookies
  • You can change your cookie settings at any time by following the instructions in our Cookie Policy. To find out more, you may read our Privacy Policy.

    I agree
Search articles by DOI, keyword, author or affiliation
Search
Advanced Search
presentation
Molecular and Clinical Oncology
Join Editorial Board Propose a Special Issue
Print ISSN: 2049-9450 Online ISSN: 2049-9469
Journal Cover
April-2022 Volume 16 Issue 4

Full Size Image

Sign up for eToc alerts
Recommend to Library

Journals

International Journal of Molecular Medicine

International Journal of Molecular Medicine

International Journal of Molecular Medicine is an international journal devoted to molecular mechanisms of human disease.

International Journal of Oncology

International Journal of Oncology

International Journal of Oncology is an international journal devoted to oncology research and cancer treatment.

Molecular Medicine Reports

Molecular Medicine Reports

Covers molecular medicine topics such as pharmacology, pathology, genetics, neuroscience, infectious diseases, molecular cardiology, and molecular surgery.

Oncology Reports

Oncology Reports

Oncology Reports is an international journal devoted to fundamental and applied research in Oncology.

Experimental and Therapeutic Medicine

Experimental and Therapeutic Medicine

Experimental and Therapeutic Medicine is an international journal devoted to laboratory and clinical medicine.

Oncology Letters

Oncology Letters

Oncology Letters is an international journal devoted to Experimental and Clinical Oncology.

Biomedical Reports

Biomedical Reports

Explores a wide range of biological and medical fields, including pharmacology, genetics, microbiology, neuroscience, and molecular cardiology.

Molecular and Clinical Oncology

Molecular and Clinical Oncology

International journal addressing all aspects of oncology research, from tumorigenesis and oncogenes to chemotherapy and metastasis.

World Academy of Sciences Journal

World Academy of Sciences Journal

Multidisciplinary open-access journal spanning biochemistry, genetics, neuroscience, environmental health, and synthetic biology.

International Journal of Functional Nutrition

International Journal of Functional Nutrition

Open-access journal combining biochemistry, pharmacology, immunology, and genetics to advance health through functional nutrition.

International Journal of Epigenetics

International Journal of Epigenetics

Publishes open-access research on using epigenetics to advance understanding and treatment of human disease.

Medicine International

Medicine International

An International Open Access Journal Devoted to General Medicine.

Journal Cover
April-2022 Volume 16 Issue 4

Full Size Image

Sign up for eToc alerts
Recommend to Library

  • Article
  • Citations
    • Cite This Article
    • Download Citation
    • Create Citation Alert
    • Remove Citation Alert
    • Cited By
  • Similar Articles
    • Related Articles (in Spandidos Publications)
    • Similar Articles (Google Scholar)
    • Similar Articles (PubMed)
  • Download PDF
  • Download XML
  • View XML
Case Report

Regression of advanced maxillary sinus cancer with orbital invasion by combined chemotherapy and immunotherapy: A one‑year follow‑up case report

  • Authors:
    • Yu-Hsuan Kuo
    • Chih-Shin Lin
  • View Affiliations / Copyright

    Affiliations: Department of Hematology and Oncology, Chi‑Mei Medical Center, Tainan 710, Taiwan, R.O.C., Department of Otolaryngology, Chi‑Mei Medical Center, Tainan 710, Taiwan, R.O.C.
  • Article Number: 94
    |
    Published online on: March 1, 2022
       https://doi.org/10.3892/mco.2022.2527
  • Expand metrics +
Metrics: Total Views: 0 (Spandidos Publications: | PMC Statistics: )
Metrics: Total PDF Downloads: 0 (Spandidos Publications: | PMC Statistics: )
Cited By (CrossRef): 0 citations Loading Articles...

This article is mentioned in:



Abstract

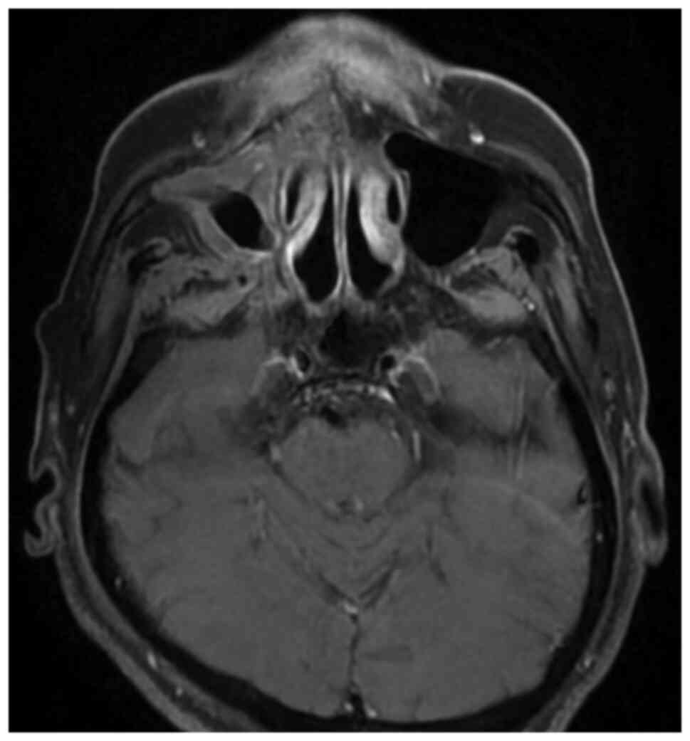
A case of advanced maxillary cancer undergoing a combination of chemotherapy and immunotherapy is reported. The subject a 59‑year‑old man had a history of nasopharyngeal carcinoma treated with concurrent chemoradiotherapy in 2004. The patient was diagnosed with a right maxillary sinus carcinoma invading the right orbital fossa (cT4aN0M0, stage IVA) in 2019. Computed tomography revealed soft tissue swelling involving the right maxillary sinus, right nasal cavity, inferior extraconal space of the right eye, right cheek and right hard palate with extension into the right pterygopalatine fossa. The patient refused surgery and radiotherapy but accepted chemotherapy in combination with immunotherapy. A marked regression of advanced maxillary sinus cancer with orbital invasion using this regimen was noted in the one‑year follow‑up period. A literature review on treatment for advanced maxillary sinus cancer was also conducted and the results revealed that this combination regimen may play a role in the treatment of advanced maxillary sinus cancer but further investigation is required to determine the effect of combination of chemotherapy and immunotherapy on advanced maxillary sinus cancer.
View Figures

Figure 1

Figure 2

Figure 3

Figure 4

Figure 5

View References

1 

Won HS, Chun SH, Kim BS, Chung SR, Yoo IeR, Jung CK, Kim YS, Sun DI, Kim MS and Kang JH: Treatment outcome of maxillary sinus cancer. Rare Tumours. 1(e36)2009.PubMed/NCBI View Article : Google Scholar

2 

Praveena NM and Maragathavalli G: Carcinoma of the maxillary antrum: A case report. Cureus. 10(e2614)2018.PubMed/NCBI View Article : Google Scholar

3 

Dulguerov P, Jacobsen MS, Allal AS, Lehmann W and Calcaterra T: Nasal and paranasal sinus carcinoma: Are we making progress? A series of 220 patients and a systematic review. Cancer. 92:3012–3029. 2001.PubMed/NCBI View Article : Google Scholar

4 

Dooley L and Shah J: Management of the neck in maxillary sinus carcinomas. Curr Opin Otolaryngol Head Neck Surg. 23:107–114. 2015.PubMed/NCBI View Article : Google Scholar

5 

Ashraf M, Biswas J, Dam A, Bhowmick A, Jha Sing V and Nayak S: Results of treatment of squamous cell carcinoma of maxillary sinus: A 26-year experience. World J Oncol. 1:28–34. 2010.PubMed/NCBI View Article : Google Scholar

6 

Noronha V, Patil VM, Joshi A, Krishna MV, Dhumal S, Juvekar S, Pai P, Chatturvedi P, Chaukar DA, Agarwal JP, et al: Induction chemotherapy in technically unresectable locally advanced carcinoma of maxillary sinus. Chemother Res Pract. 2014(487872)2014.PubMed/NCBI View Article : Google Scholar

7 

Xiang JJ, Uy NF, Minja FJ, Verter EE and Burtness BA: Hyperprogression after one dose of nivolumab in sinonasal cancer: A case report. Laryngoscope. 130:907–910. 2020.PubMed/NCBI View Article : Google Scholar

8 

Yazici G, Gullu I, Cengiz M, Elmali A, Yilmaz MT, Aksoy S, Yuce Sari S and Ozyigit G: The synergistic effect of immune checkpoint blockade and radiotherapy in recurrent/metastatic sinonasal cancer. Cureus. 10(e3519)2018.PubMed/NCBI View Article : Google Scholar

9 

Guram K, Nunez M, Einck J, Mell LK, Cohen E, Sanders PD, Miyauchi S, Weihe E, Kurzrock R, Boles S and Sharabi AB: Radiation therapy combined with checkpoint blockade immunotherapy for metastatic undifferentiated pleomorphic sarcoma of the maxillary sinus with a complete response. Front Oncol. 8(435)2018.PubMed/NCBI View Article : Google Scholar

10 

Rose TL, Harrison MR, Deal AM, Ramalingam S, Whang YE, Brower B, Dunn M, Osterman CK, Heiling HM, Bjurlin MA, et al: Phase II study of gemcitabine and split-dose cisplatin plus pembrolizumab as neoadjuvant therapy before radical cystectomy in patients with muscle-invasive bladder cancer. J Clin Oncol. 39:3140–3148. 2021.PubMed/NCBI View Article : Google Scholar

11 

Gandhi L, Rodríguez-Abreu D, Gadgeel S, Esteban E, Felip E, De Angelis F, Domine M, Clingan P, Hochmair MJ, Powell SF, et al: Pembrolizumab plus chemotherapy in metastatic non-small-cell lung cancer. N Engl J Med. 378:2078–2092. 2018.PubMed/NCBI View Article : Google Scholar

12 

Emens LA and Middleton G: The interplay of immunotherapy and chemotherapy: Harnessing potential synergies. Cancer Immunol Res. 3:436–443. 2015.PubMed/NCBI View Article : Google Scholar

Related Articles

  • Abstract
  • View
  • Download
  • Twitter
Copy and paste a formatted citation
Spandidos Publications style
Kuo Y and Lin C: Regression of advanced maxillary sinus cancer with orbital invasion by combined chemotherapy and immunotherapy: A one‑year follow‑up case report. Mol Clin Oncol 16: 94, 2022.
APA
Kuo, Y., & Lin, C. (2022). Regression of advanced maxillary sinus cancer with orbital invasion by combined chemotherapy and immunotherapy: A one‑year follow‑up case report. Molecular and Clinical Oncology, 16, 94. https://doi.org/10.3892/mco.2022.2527
MLA
Kuo, Y., Lin, C."Regression of advanced maxillary sinus cancer with orbital invasion by combined chemotherapy and immunotherapy: A one‑year follow‑up case report". Molecular and Clinical Oncology 16.4 (2022): 94.
Chicago
Kuo, Y., Lin, C."Regression of advanced maxillary sinus cancer with orbital invasion by combined chemotherapy and immunotherapy: A one‑year follow‑up case report". Molecular and Clinical Oncology 16, no. 4 (2022): 94. https://doi.org/10.3892/mco.2022.2527
Copy and paste a formatted citation
x
Spandidos Publications style
Kuo Y and Lin C: Regression of advanced maxillary sinus cancer with orbital invasion by combined chemotherapy and immunotherapy: A one‑year follow‑up case report. Mol Clin Oncol 16: 94, 2022.
APA
Kuo, Y., & Lin, C. (2022). Regression of advanced maxillary sinus cancer with orbital invasion by combined chemotherapy and immunotherapy: A one‑year follow‑up case report. Molecular and Clinical Oncology, 16, 94. https://doi.org/10.3892/mco.2022.2527
MLA
Kuo, Y., Lin, C."Regression of advanced maxillary sinus cancer with orbital invasion by combined chemotherapy and immunotherapy: A one‑year follow‑up case report". Molecular and Clinical Oncology 16.4 (2022): 94.
Chicago
Kuo, Y., Lin, C."Regression of advanced maxillary sinus cancer with orbital invasion by combined chemotherapy and immunotherapy: A one‑year follow‑up case report". Molecular and Clinical Oncology 16, no. 4 (2022): 94. https://doi.org/10.3892/mco.2022.2527
Follow us
  • Twitter
  • LinkedIn
  • Facebook
About
  • Spandidos Publications
  • Careers
  • Cookie Policy
  • Privacy Policy
How can we help?
  • Help
  • Live Chat
  • Contact
  • Email to our Support Team