Spandidos Publications Logo
  • About
    • About Spandidos
    • Aims and Scopes
    • Abstracting and Indexing
    • Editorial Policies
    • Reprints and Permissions
    • Job Opportunities
    • Terms and Conditions
    • Contact
  • Journals
    • All Journals
    • Oncology Letters
      • Oncology Letters
      • Information for Authors
      • Editorial Policies
      • Editorial Board
      • Aims and Scope
      • Abstracting and Indexing
      • Bibliographic Information
      • Archive
    • International Journal of Oncology
      • International Journal of Oncology
      • Information for Authors
      • Editorial Policies
      • Editorial Board
      • Aims and Scope
      • Abstracting and Indexing
      • Bibliographic Information
      • Archive
    • Molecular and Clinical Oncology
      • Molecular and Clinical Oncology
      • Information for Authors
      • Editorial Policies
      • Editorial Board
      • Aims and Scope
      • Abstracting and Indexing
      • Bibliographic Information
      • Archive
    • Experimental and Therapeutic Medicine
      • Experimental and Therapeutic Medicine
      • Information for Authors
      • Editorial Policies
      • Editorial Board
      • Aims and Scope
      • Abstracting and Indexing
      • Bibliographic Information
      • Archive
    • International Journal of Molecular Medicine
      • International Journal of Molecular Medicine
      • Information for Authors
      • Editorial Policies
      • Editorial Board
      • Aims and Scope
      • Abstracting and Indexing
      • Bibliographic Information
      • Archive
    • Biomedical Reports
      • Biomedical Reports
      • Information for Authors
      • Editorial Policies
      • Editorial Board
      • Aims and Scope
      • Abstracting and Indexing
      • Bibliographic Information
      • Archive
    • Oncology Reports
      • Oncology Reports
      • Information for Authors
      • Editorial Policies
      • Editorial Board
      • Aims and Scope
      • Abstracting and Indexing
      • Bibliographic Information
      • Archive
    • Molecular Medicine Reports
      • Molecular Medicine Reports
      • Information for Authors
      • Editorial Policies
      • Editorial Board
      • Aims and Scope
      • Abstracting and Indexing
      • Bibliographic Information
      • Archive
    • World Academy of Sciences Journal
      • World Academy of Sciences Journal
      • Information for Authors
      • Editorial Policies
      • Editorial Board
      • Aims and Scope
      • Abstracting and Indexing
      • Bibliographic Information
      • Archive
    • International Journal of Functional Nutrition
      • International Journal of Functional Nutrition
      • Information for Authors
      • Editorial Policies
      • Editorial Board
      • Aims and Scope
      • Abstracting and Indexing
      • Bibliographic Information
      • Archive
    • International Journal of Epigenetics
      • International Journal of Epigenetics
      • Information for Authors
      • Editorial Policies
      • Editorial Board
      • Aims and Scope
      • Abstracting and Indexing
      • Bibliographic Information
      • Archive
    • Medicine International
      • Medicine International
      • Information for Authors
      • Editorial Policies
      • Editorial Board
      • Aims and Scope
      • Abstracting and Indexing
      • Bibliographic Information
      • Archive
  • Articles
  • Information
    • Information for Authors
    • Information for Reviewers
    • Information for Librarians
    • Information for Advertisers
    • Conferences
  • Language Editing
Spandidos Publications Logo
  • About
    • About Spandidos
    • Aims and Scopes
    • Abstracting and Indexing
    • Editorial Policies
    • Reprints and Permissions
    • Job Opportunities
    • Terms and Conditions
    • Contact
  • Journals
    • All Journals
    • Biomedical Reports
      • Information for Authors
      • Editorial Policies
      • Editorial Board
      • Aims and Scope
      • Abstracting and Indexing
      • Bibliographic Information
      • Archive
    • Experimental and Therapeutic Medicine
      • Information for Authors
      • Editorial Policies
      • Editorial Board
      • Aims and Scope
      • Abstracting and Indexing
      • Bibliographic Information
      • Archive
    • International Journal of Epigenetics
      • Information for Authors
      • Editorial Policies
      • Editorial Board
      • Aims and Scope
      • Abstracting and Indexing
      • Bibliographic Information
      • Archive
    • International Journal of Functional Nutrition
      • Information for Authors
      • Editorial Policies
      • Editorial Board
      • Aims and Scope
      • Abstracting and Indexing
      • Bibliographic Information
      • Archive
    • International Journal of Molecular Medicine
      • Information for Authors
      • Editorial Policies
      • Editorial Board
      • Aims and Scope
      • Abstracting and Indexing
      • Bibliographic Information
      • Archive
    • International Journal of Oncology
      • Information for Authors
      • Editorial Policies
      • Editorial Board
      • Aims and Scope
      • Abstracting and Indexing
      • Bibliographic Information
      • Archive
    • Medicine International
      • Information for Authors
      • Editorial Policies
      • Editorial Board
      • Aims and Scope
      • Abstracting and Indexing
      • Bibliographic Information
      • Archive
    • Molecular and Clinical Oncology
      • Information for Authors
      • Editorial Policies
      • Editorial Board
      • Aims and Scope
      • Abstracting and Indexing
      • Bibliographic Information
      • Archive
    • Molecular Medicine Reports
      • Information for Authors
      • Editorial Policies
      • Editorial Board
      • Aims and Scope
      • Abstracting and Indexing
      • Bibliographic Information
      • Archive
    • Oncology Letters
      • Information for Authors
      • Editorial Policies
      • Editorial Board
      • Aims and Scope
      • Abstracting and Indexing
      • Bibliographic Information
      • Archive
    • Oncology Reports
      • Information for Authors
      • Editorial Policies
      • Editorial Board
      • Aims and Scope
      • Abstracting and Indexing
      • Bibliographic Information
      • Archive
    • World Academy of Sciences Journal
      • Information for Authors
      • Editorial Policies
      • Editorial Board
      • Aims and Scope
      • Abstracting and Indexing
      • Bibliographic Information
      • Archive
  • Articles
  • Information
    • For Authors
    • For Reviewers
    • For Librarians
    • For Advertisers
    • Conferences
  • Language Editing
Login Register Submit
  • This site uses cookies
  • You can change your cookie settings at any time by following the instructions in our Cookie Policy. To find out more, you may read our Privacy Policy.

    I agree
Search articles by DOI, keyword, author or affiliation
Search
Advanced Search
presentation
Molecular and Clinical Oncology
Join Editorial Board Propose a Special Issue
Print ISSN: 2049-9450 Online ISSN: 2049-9469
Journal Cover
May-2022 Volume 16 Issue 5

Full Size Image

Sign up for eToc alerts
Recommend to Library

Journals

International Journal of Molecular Medicine

International Journal of Molecular Medicine

International Journal of Molecular Medicine is an international journal devoted to molecular mechanisms of human disease.

International Journal of Oncology

International Journal of Oncology

International Journal of Oncology is an international journal devoted to oncology research and cancer treatment.

Molecular Medicine Reports

Molecular Medicine Reports

Covers molecular medicine topics such as pharmacology, pathology, genetics, neuroscience, infectious diseases, molecular cardiology, and molecular surgery.

Oncology Reports

Oncology Reports

Oncology Reports is an international journal devoted to fundamental and applied research in Oncology.

Experimental and Therapeutic Medicine

Experimental and Therapeutic Medicine

Experimental and Therapeutic Medicine is an international journal devoted to laboratory and clinical medicine.

Oncology Letters

Oncology Letters

Oncology Letters is an international journal devoted to Experimental and Clinical Oncology.

Biomedical Reports

Biomedical Reports

Explores a wide range of biological and medical fields, including pharmacology, genetics, microbiology, neuroscience, and molecular cardiology.

Molecular and Clinical Oncology

Molecular and Clinical Oncology

International journal addressing all aspects of oncology research, from tumorigenesis and oncogenes to chemotherapy and metastasis.

World Academy of Sciences Journal

World Academy of Sciences Journal

Multidisciplinary open-access journal spanning biochemistry, genetics, neuroscience, environmental health, and synthetic biology.

International Journal of Functional Nutrition

International Journal of Functional Nutrition

Open-access journal combining biochemistry, pharmacology, immunology, and genetics to advance health through functional nutrition.

International Journal of Epigenetics

International Journal of Epigenetics

Publishes open-access research on using epigenetics to advance understanding and treatment of human disease.

Medicine International

Medicine International

An International Open Access Journal Devoted to General Medicine.

Journal Cover
May-2022 Volume 16 Issue 5

Full Size Image

Sign up for eToc alerts
Recommend to Library

  • Article
  • Citations
    • Cite This Article
    • Download Citation
    • Create Citation Alert
    • Remove Citation Alert
    • Cited By
  • Similar Articles
    • Related Articles (in Spandidos Publications)
    • Similar Articles (Google Scholar)
    • Similar Articles (PubMed)
  • Download PDF
  • Download XML
  • View XML
Case Report

Mediastinal and hilar sarcoid‑like reaction in a patient treated with dabrafenib and trametinib for metastatic melanoma: A case report and review of the literature

  • Authors:
    • Vanessa-Meletia Bala
    • Maria Mitsogianni
    • Konstantinos Laschos
    • Evangelia Pliakou
    • Eirini Lazaridi
    • Dimitra-Ioanna Lampropoulou
    • Gerasimos Aravantinos
  • View Affiliations / Copyright

    Affiliations: 2nd Department of Medical Oncology, General Oncology Hospital of Kifissia ‘Agioi Anargyroi’, Athens 145 64, Greece
  • Article Number: 99
    |
    Published online on: March 18, 2022
       https://doi.org/10.3892/mco.2022.2532
  • Expand metrics +
Metrics: Total Views: 0 (Spandidos Publications: | PMC Statistics: )
Metrics: Total PDF Downloads: 0 (Spandidos Publications: | PMC Statistics: )
Cited By (CrossRef): 0 citations Loading Articles...

This article is mentioned in:



Abstract

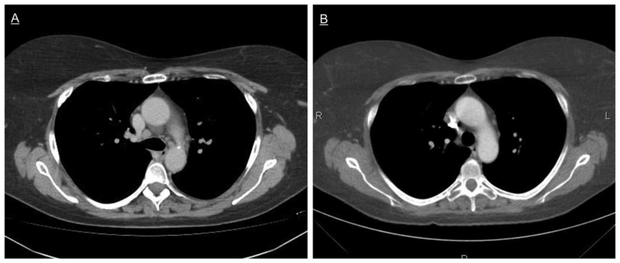
BRAF/MEK inhibitors are considered standard of care in the treatment of advanced BRAF‑mutated malignant melanoma, and have been, in rare cases, associated with granulomatous reactions, mostly limited to skin lesions. The present study reported the case of a patient with metastatic melanoma developing a sarcoid‑like reaction manifesting as asymptomatic mediastinal and right hilar lymphadenopathy while on antineoplastic therapy with dabrafenib and trametinib. To the best of our knowledge, this is the first reported case of isolated lymphadenopathy as a manifestation of drug‑induced sarcoid‑like reaction under dabrafenib and trametinib. Overall, only 17 other cases of granulomatosis have been reported in the literature. Although uncommon, such reactions should be considered in the differential diagnosis of lymph node enlargement, and distinguishing them from tumor progress is important and can be challenging in clinical practice.
View Figures

Figure 1

Figure 2

View References

1 

Siegel RL, Miller KD, Fuchs HE and Jemal A: Cancer statistics, 2021. CA Cancer J Clin. 71:7–33. 2021.PubMed/NCBI View Article : Google Scholar

2 

Rubin KM and Lawrence DP: Your patient with melanoma: Staging, prognosis, and treatment. Oncology (Williston Park). 23 (Suppl 8):S13–S21. 2009.PubMed/NCBI

3 

Michielin O, van Akkooi ACJ, Ascierto PA, Dummer R and Keilholz U: ESMO Guidelines Committee. Electronic address: simpleclinicalguidelines@esmo.org. Cutaneous melanoma: ESMO clinical practice guidelines for diagnosis, treatment and follow-up†. Ann Oncol. 30:1884–1901. 2019.PubMed/NCBI View Article : Google Scholar

4 

Mandalà M and Voit C: Targeting BRAF in melanoma: Biological and clinical challenges. Crit Rev Oncol Hematol. 87:239–255. 2013.PubMed/NCBI View Article : Google Scholar

5 

El Jammal T, Pavic M, Gerfaud-Valentin M, Jamilloux Y and Sève P: Sarcoidosis and cancer: A complex relationship. Front Med (Lausanne). 7(594118)2020.PubMed/NCBI View Article : Google Scholar

6 

Seve P, Schott AM, Pavic M, Broussolle C, Gilis L and Thomas L: Sarcoidosis and melanoma: A referral center study of 1,199 cases. Dermatology. 219:25–31. 2009.PubMed/NCBI View Article : Google Scholar

7 

Cohen Aubart F, Lhote R, Amoura A, Valeyre D, Haroche J, Amoura Z and Lebrun-Vignes B: Drug-induced sarcoidosis: An overview of the WHO pharmacovigilance database. J Intern Med. 288:356–362. 2020.PubMed/NCBI View Article : Google Scholar

8 

Gkiozos I, Kopitopoulou A, Kalkanis A, Vamvakaris IN, Judson MA and Syrigos KN: Sarcoidosis-like reactions induced by checkpoint inhibitors. J Thorac Oncol. 13:1076–1082. 2018.PubMed/NCBI View Article : Google Scholar

9 

Rubio-Rivas M, Moreira C and Marcoval J: Sarcoidosis related to checkpoint and BRAF/MEK inhibitors in melanoma. Autoimmun Rev. 19(102587)2020.PubMed/NCBI View Article : Google Scholar

10 

Dimitriou F, Frauchiger AL, Urosevic-Maiwald M, Naegeli MC, Goldinger SM, Barysch M, Franzen D, Kamarachev J, Braun R, Dummer R and Mangana J: Sarcoid-like reactions in patients receiving modern melanoma treatment. Melanoma Res. 28:230–236. 2018.PubMed/NCBI View Article : Google Scholar

11 

Wilmott JS, Haydu LE, Menzies AM, Lum T, Hyman J, Thompson JF, Hersey P, Kefford RF, Scolyer RA and Long GV: Dynamics of chemokine, cytokine, and growth factor serum levels in BRAF-mutant melanoma patients during BRAF inhibitor treatment. J Immunol. 192:2505–2513. 2014.PubMed/NCBI View Article : Google Scholar

12 

Green JS, Norris DA and Wisell J: Novel cutaneous effects of combination chemotherapy with BRAF and MEK inhibitors: A report of two cases. Br J Dermatol. 169:172–176. 2013.PubMed/NCBI View Article : Google Scholar

13 

Park JJ, Hawryluk EB, Tahan SR, Flaherty K and Kim CC: Cutaneous granulomatous eruption and successful response to potent topical steroids in patients undergoing targeted BRAF inhibitor treatment for metastatic melanoma. JAMA Dermatol. 150:307–311. 2014.PubMed/NCBI View Article : Google Scholar

14 

Jansen YJ, Janssens P, Hoorens A, Schreuer MS, Seremet T, Wilgenhof S and Neyns B: Granulomatous nephritis and dermatitis in a patient with BRAF V600E mutant metastatic melanoma treated with dabrafenib and trametinib. Melanoma Res. 25:550–554. 2015.PubMed/NCBI View Article : Google Scholar

15 

Winkler JK, Buder-Bakhaya K, Ellert E, Herpel E, Martens UM, Enk A and Hassel JC: Acute heart failure as a result of granulomatous myocarditis: Case report on a patient with metastatic melanoma treated with dabrafenib and trametinib. J Eur Acad Dermatol Venereol. 32:e31–e32. 2018.PubMed/NCBI View Article : Google Scholar

16 

Rueda-Rueda T, Sánchez-Vicente JL, Moruno-Rodríguez A, Molina-Socola FE, Martínez-Borrego AC and López-Herrero F: Uveitis and serous retinal detachment secondary to systemic dabrafenib and trametinib. Arch Soc Esp Oftalmol (Engl Ed). 93:458–462. 2018.PubMed/NCBI View Article : Google Scholar : (In English, Spanish).

17 

Korman AM, Nisar MS and Somach SC: Subclinical granulomas in benign skin lesions heralding the onset of BRAF and MEK inhibitor-associated granulomatous dermatitis in a patient with metastatic melanoma. JAAD Case Rep. 4:722–724. 2018.PubMed/NCBI View Article : Google Scholar

18 

Giet G, Lebas E, Rorive A, Arrese JE and Nikkels AF: Granulomatous reactions from tattoos following BRAF inhibitor therapy. Case Rep Dermatol. 11:101–107. 2019.PubMed/NCBI View Article : Google Scholar

19 

Huynh S, Lheure C, Franck N, Goldman-Lévy G, Aractingi S, Dupin N, Kramkimel N and Guégan S: Induced sarcoid-like reactions in patients with metastatic melanoma treated with dabrafenib and trametinib: A monocentric retrospective study. Melanoma Res. 30:317–320. 2020.PubMed/NCBI View Article : Google Scholar

20 

Boutros A, Schiavi C, Cecchi F, Spagnolo F, Guadagno A, Tanda ET, Giusti F, Murdaca G and Queirolo P: Case report: Immune-related toxicity during adjuvant treatment with BRAF plus MEK inhibitors in a melanoma patient. Front Immunol. 11(579523)2020.PubMed/NCBI View Article : Google Scholar

21 

Adam A, Thomas L, Bories N, Zaharia D, Balme B, Freymond N and Dalle S: Sarcoidosis associated with vemurafenib. Br J Dermatol. 169:206–208. 2013.PubMed/NCBI View Article : Google Scholar

22 

Hui Ong EL, Sinha R, Jmor S and Fearfield L: BRAF inhibitor-associated granulomatous dermatitis: A report of 3 cases. Am J Dermatopathol. 41:214–217. 2019.PubMed/NCBI View Article : Google Scholar

23 

Assan F, Schlemmer F, Assie JB, Mahevas M, Sustronck P, Ortonne N, Velter C, Fardet L and Zehou O: Atypical systemic sarcoid-like granulomatosis in two patients treated with BRAF and MEK inhibitors. Eur J Dermatol. 29:556–557. 2019.PubMed/NCBI View Article : Google Scholar

24 

Lheure C, Kramkimel N, Franck N, Laurent-Roussel S, Carlotti A, Queant A, Goldwasser F, Avril MF and Dupin N: Sarcoidosis in patients treated with vemurafenib for metastatic melanoma: A paradoxical autoimmune activation. Dermatology. 231:378–384. 2015.PubMed/NCBI View Article : Google Scholar

Related Articles

  • Abstract
  • View
  • Download
  • Twitter
Copy and paste a formatted citation
Spandidos Publications style
Bala V, Mitsogianni M, Laschos K, Pliakou E, Lazaridi E, Lampropoulou D and Aravantinos G: Mediastinal and hilar sarcoid‑like reaction in a patient treated with dabrafenib and trametinib for metastatic melanoma: A case report and review of the literature. Mol Clin Oncol 16: 99, 2022.
APA
Bala, V., Mitsogianni, M., Laschos, K., Pliakou, E., Lazaridi, E., Lampropoulou, D., & Aravantinos, G. (2022). Mediastinal and hilar sarcoid‑like reaction in a patient treated with dabrafenib and trametinib for metastatic melanoma: A case report and review of the literature. Molecular and Clinical Oncology, 16, 99. https://doi.org/10.3892/mco.2022.2532
MLA
Bala, V., Mitsogianni, M., Laschos, K., Pliakou, E., Lazaridi, E., Lampropoulou, D., Aravantinos, G."Mediastinal and hilar sarcoid‑like reaction in a patient treated with dabrafenib and trametinib for metastatic melanoma: A case report and review of the literature". Molecular and Clinical Oncology 16.5 (2022): 99.
Chicago
Bala, V., Mitsogianni, M., Laschos, K., Pliakou, E., Lazaridi, E., Lampropoulou, D., Aravantinos, G."Mediastinal and hilar sarcoid‑like reaction in a patient treated with dabrafenib and trametinib for metastatic melanoma: A case report and review of the literature". Molecular and Clinical Oncology 16, no. 5 (2022): 99. https://doi.org/10.3892/mco.2022.2532
Copy and paste a formatted citation
x
Spandidos Publications style
Bala V, Mitsogianni M, Laschos K, Pliakou E, Lazaridi E, Lampropoulou D and Aravantinos G: Mediastinal and hilar sarcoid‑like reaction in a patient treated with dabrafenib and trametinib for metastatic melanoma: A case report and review of the literature. Mol Clin Oncol 16: 99, 2022.
APA
Bala, V., Mitsogianni, M., Laschos, K., Pliakou, E., Lazaridi, E., Lampropoulou, D., & Aravantinos, G. (2022). Mediastinal and hilar sarcoid‑like reaction in a patient treated with dabrafenib and trametinib for metastatic melanoma: A case report and review of the literature. Molecular and Clinical Oncology, 16, 99. https://doi.org/10.3892/mco.2022.2532
MLA
Bala, V., Mitsogianni, M., Laschos, K., Pliakou, E., Lazaridi, E., Lampropoulou, D., Aravantinos, G."Mediastinal and hilar sarcoid‑like reaction in a patient treated with dabrafenib and trametinib for metastatic melanoma: A case report and review of the literature". Molecular and Clinical Oncology 16.5 (2022): 99.
Chicago
Bala, V., Mitsogianni, M., Laschos, K., Pliakou, E., Lazaridi, E., Lampropoulou, D., Aravantinos, G."Mediastinal and hilar sarcoid‑like reaction in a patient treated with dabrafenib and trametinib for metastatic melanoma: A case report and review of the literature". Molecular and Clinical Oncology 16, no. 5 (2022): 99. https://doi.org/10.3892/mco.2022.2532
Follow us
  • Twitter
  • LinkedIn
  • Facebook
About
  • Spandidos Publications
  • Careers
  • Cookie Policy
  • Privacy Policy
How can we help?
  • Help
  • Live Chat
  • Contact
  • Email to our Support Team