Spandidos Publications Logo
  • About
    • About Spandidos
    • Aims and Scopes
    • Abstracting and Indexing
    • Editorial Policies
    • Reprints and Permissions
    • Job Opportunities
    • Terms and Conditions
    • Contact
  • Journals
    • All Journals
    • Oncology Letters
      • Oncology Letters
      • Information for Authors
      • Editorial Policies
      • Editorial Board
      • Aims and Scope
      • Abstracting and Indexing
      • Bibliographic Information
      • Archive
    • International Journal of Oncology
      • International Journal of Oncology
      • Information for Authors
      • Editorial Policies
      • Editorial Board
      • Aims and Scope
      • Abstracting and Indexing
      • Bibliographic Information
      • Archive
    • Molecular and Clinical Oncology
      • Molecular and Clinical Oncology
      • Information for Authors
      • Editorial Policies
      • Editorial Board
      • Aims and Scope
      • Abstracting and Indexing
      • Bibliographic Information
      • Archive
    • Experimental and Therapeutic Medicine
      • Experimental and Therapeutic Medicine
      • Information for Authors
      • Editorial Policies
      • Editorial Board
      • Aims and Scope
      • Abstracting and Indexing
      • Bibliographic Information
      • Archive
    • International Journal of Molecular Medicine
      • International Journal of Molecular Medicine
      • Information for Authors
      • Editorial Policies
      • Editorial Board
      • Aims and Scope
      • Abstracting and Indexing
      • Bibliographic Information
      • Archive
    • Biomedical Reports
      • Biomedical Reports
      • Information for Authors
      • Editorial Policies
      • Editorial Board
      • Aims and Scope
      • Abstracting and Indexing
      • Bibliographic Information
      • Archive
    • Oncology Reports
      • Oncology Reports
      • Information for Authors
      • Editorial Policies
      • Editorial Board
      • Aims and Scope
      • Abstracting and Indexing
      • Bibliographic Information
      • Archive
    • Molecular Medicine Reports
      • Molecular Medicine Reports
      • Information for Authors
      • Editorial Policies
      • Editorial Board
      • Aims and Scope
      • Abstracting and Indexing
      • Bibliographic Information
      • Archive
    • World Academy of Sciences Journal
      • World Academy of Sciences Journal
      • Information for Authors
      • Editorial Policies
      • Editorial Board
      • Aims and Scope
      • Abstracting and Indexing
      • Bibliographic Information
      • Archive
    • International Journal of Functional Nutrition
      • International Journal of Functional Nutrition
      • Information for Authors
      • Editorial Policies
      • Editorial Board
      • Aims and Scope
      • Abstracting and Indexing
      • Bibliographic Information
      • Archive
    • International Journal of Epigenetics
      • International Journal of Epigenetics
      • Information for Authors
      • Editorial Policies
      • Editorial Board
      • Aims and Scope
      • Abstracting and Indexing
      • Bibliographic Information
      • Archive
    • Medicine International
      • Medicine International
      • Information for Authors
      • Editorial Policies
      • Editorial Board
      • Aims and Scope
      • Abstracting and Indexing
      • Bibliographic Information
      • Archive
  • Articles
  • Information
    • Information for Authors
    • Information for Reviewers
    • Information for Librarians
    • Information for Advertisers
    • Conferences
  • Language Editing
Spandidos Publications Logo
  • About
    • About Spandidos
    • Aims and Scopes
    • Abstracting and Indexing
    • Editorial Policies
    • Reprints and Permissions
    • Job Opportunities
    • Terms and Conditions
    • Contact
  • Journals
    • All Journals
    • Biomedical Reports
      • Information for Authors
      • Editorial Policies
      • Editorial Board
      • Aims and Scope
      • Abstracting and Indexing
      • Bibliographic Information
      • Archive
    • Experimental and Therapeutic Medicine
      • Information for Authors
      • Editorial Policies
      • Editorial Board
      • Aims and Scope
      • Abstracting and Indexing
      • Bibliographic Information
      • Archive
    • International Journal of Epigenetics
      • Information for Authors
      • Editorial Policies
      • Editorial Board
      • Aims and Scope
      • Abstracting and Indexing
      • Bibliographic Information
      • Archive
    • International Journal of Functional Nutrition
      • Information for Authors
      • Editorial Policies
      • Editorial Board
      • Aims and Scope
      • Abstracting and Indexing
      • Bibliographic Information
      • Archive
    • International Journal of Molecular Medicine
      • Information for Authors
      • Editorial Policies
      • Editorial Board
      • Aims and Scope
      • Abstracting and Indexing
      • Bibliographic Information
      • Archive
    • International Journal of Oncology
      • Information for Authors
      • Editorial Policies
      • Editorial Board
      • Aims and Scope
      • Abstracting and Indexing
      • Bibliographic Information
      • Archive
    • Medicine International
      • Information for Authors
      • Editorial Policies
      • Editorial Board
      • Aims and Scope
      • Abstracting and Indexing
      • Bibliographic Information
      • Archive
    • Molecular and Clinical Oncology
      • Information for Authors
      • Editorial Policies
      • Editorial Board
      • Aims and Scope
      • Abstracting and Indexing
      • Bibliographic Information
      • Archive
    • Molecular Medicine Reports
      • Information for Authors
      • Editorial Policies
      • Editorial Board
      • Aims and Scope
      • Abstracting and Indexing
      • Bibliographic Information
      • Archive
    • Oncology Letters
      • Information for Authors
      • Editorial Policies
      • Editorial Board
      • Aims and Scope
      • Abstracting and Indexing
      • Bibliographic Information
      • Archive
    • Oncology Reports
      • Information for Authors
      • Editorial Policies
      • Editorial Board
      • Aims and Scope
      • Abstracting and Indexing
      • Bibliographic Information
      • Archive
    • World Academy of Sciences Journal
      • Information for Authors
      • Editorial Policies
      • Editorial Board
      • Aims and Scope
      • Abstracting and Indexing
      • Bibliographic Information
      • Archive
  • Articles
  • Information
    • For Authors
    • For Reviewers
    • For Librarians
    • For Advertisers
    • Conferences
  • Language Editing
Login Register Submit
  • This site uses cookies
  • You can change your cookie settings at any time by following the instructions in our Cookie Policy. To find out more, you may read our Privacy Policy.

    I agree
Search articles by DOI, keyword, author or affiliation
Search
Advanced Search
presentation
Molecular and Clinical Oncology
Join Editorial Board Propose a Special Issue
Print ISSN: 2049-9450 Online ISSN: 2049-9469
Journal Cover
August-2022 Volume 17 Issue 2

Full Size Image

Sign up for eToc alerts
Recommend to Library

Journals

International Journal of Molecular Medicine

International Journal of Molecular Medicine

International Journal of Molecular Medicine is an international journal devoted to molecular mechanisms of human disease.

International Journal of Oncology

International Journal of Oncology

International Journal of Oncology is an international journal devoted to oncology research and cancer treatment.

Molecular Medicine Reports

Molecular Medicine Reports

Covers molecular medicine topics such as pharmacology, pathology, genetics, neuroscience, infectious diseases, molecular cardiology, and molecular surgery.

Oncology Reports

Oncology Reports

Oncology Reports is an international journal devoted to fundamental and applied research in Oncology.

Experimental and Therapeutic Medicine

Experimental and Therapeutic Medicine

Experimental and Therapeutic Medicine is an international journal devoted to laboratory and clinical medicine.

Oncology Letters

Oncology Letters

Oncology Letters is an international journal devoted to Experimental and Clinical Oncology.

Biomedical Reports

Biomedical Reports

Explores a wide range of biological and medical fields, including pharmacology, genetics, microbiology, neuroscience, and molecular cardiology.

Molecular and Clinical Oncology

Molecular and Clinical Oncology

International journal addressing all aspects of oncology research, from tumorigenesis and oncogenes to chemotherapy and metastasis.

World Academy of Sciences Journal

World Academy of Sciences Journal

Multidisciplinary open-access journal spanning biochemistry, genetics, neuroscience, environmental health, and synthetic biology.

International Journal of Functional Nutrition

International Journal of Functional Nutrition

Open-access journal combining biochemistry, pharmacology, immunology, and genetics to advance health through functional nutrition.

International Journal of Epigenetics

International Journal of Epigenetics

Publishes open-access research on using epigenetics to advance understanding and treatment of human disease.

Medicine International

Medicine International

An International Open Access Journal Devoted to General Medicine.

Journal Cover
August-2022 Volume 17 Issue 2

Full Size Image

Sign up for eToc alerts
Recommend to Library

  • Article
  • Citations
    • Cite This Article
    • Download Citation
    • Create Citation Alert
    • Remove Citation Alert
    • Cited By
  • Similar Articles
    • Related Articles (in Spandidos Publications)
    • Similar Articles (Google Scholar)
    • Similar Articles (PubMed)
  • Download PDF
  • Download XML
  • View XML
Case Report Open Access

Synchronous colon cancer after treatment for rectal follicular lymphoma: A case report

  • Authors:
    • Makoto Saito
    • Hiroki Egami
    • Takashi Kato
    • Emi Yokoyama
    • Koh Izumiyama
    • Akio Mori
    • Masanobu Morioka
    • Takeshi Kondo
    • Zen-Ichi Tanei
  • View Affiliations / Copyright

    Affiliations: Blood Disorders Center, Aiiku Hospital, Sapporo, Hokkaido 064‑0804, Japan, Department of Gastroenterology, Aiiku Hospital, Sapporo, Hokkaido 064‑0804, Japan, Department of Cancer Pathology, Faculty of Medicine, Hokkaido University, Sapporo, Hokkaido 060‑8638, Japan
    Copyright: © Saito et al. This is an open access article distributed under the terms of Creative Commons Attribution License.
  • Article Number: 129
    |
    Published online on: June 21, 2022
       https://doi.org/10.3892/mco.2022.2562
  • Expand metrics +
Metrics: Total Views: 0 (Spandidos Publications: | PMC Statistics: )
Metrics: Total PDF Downloads: 0 (Spandidos Publications: | PMC Statistics: )
Cited By (CrossRef): 0 citations Loading Articles...

This article is mentioned in:



Abstract

Colorectal follicular lymphoma (FL) is rare. In addition, it is even rarer that colon cancer develops synchronously with colorectal lymphoma. The present study reports a case of sigmoid colon cancer that developed 6 months after endoscopic resection of rectal FL. A 71‑year‑old man with a history of developing mucosa‑associated lymphoid tissue lymphoma in his stomach at age 48, right neck region at age 59 (the latter later modified as FL) and lung adenocarcinoma at age 60 now suffers from rectal FL. Endoscopic submucosal dissection (ESD) was performed at our hospital (Aiiku Hospital), and 6 months after the treatment, sigmoid colon cancer was confirmed by colonoscopy for the follow‑up study. The patient was successfully curatively resected by ESD plus local resection and has survived without a recurrence for >3 years with no treatment. It was speculated that in the present case, cancer‑related genes were changed as a carcinogenic mechanism due to decreased immune function associated with the onset of lymphoma.

Introduction

According to the definition by Gluckman (1), ‘synchronous carcinomas’ include carcinomas that present either simultaneously or within six months of identifying the original tumor.

Colorectal lymphoma is rare, with less than 0.5% incidence of all colorectal malignancies (2), and follicular lymphoma (FL) is less common (3). In addition, it is rarer for colorectal cancer to co-occur with colorectal lymphoma synchronously, and there was a report that the estimated incidence is ~0.0002% (4). The etiology is often unclear, and there is no standard treatment strategy. As histopathological subtypes of malignant lymphoma with colorectal cancer synchronously, diffuse large B-cell lymphoma (DLBCL) (5), mantle cell lymphoma (6), mucosa-associated lymphoid tissue (MALT) lymphoma (7), and extranodal natural killer/T-cell lymphoma (8) have been reported previously. More recently, it has also been reported in FL (9,10). We report a case of sigmoid colon cancer that was found 6 months after endoscopic resection of rectal FL, was resected curatively and survived for more than 3 years without recurrence.

Case report

A 71-year-old male patient with diabetes mellitus and hypertension was aware of lower abdominal discomfort and underwent colonoscopy at a nearby hospital (Otaru General Hospital, Otaru, Japan). A neoplastic lesion was found in his rectum, and a biopsy suggested malignant lymphoma, so he was referred to our hospital. This patient has a medical history described below (Fig. 1). In June 1995 (at the age of 48), this patient underwent a total gastrectomy with primary gastric MALT lymphoma at another hospital (Otaru Kyokai Hospital, Otaru, Japan). In April 2006 (at the age of 59), a tumor developed at the hard palate, right parotid gland and right submandibular lymph nodes. A biopsy was performed at the department of otorhinolaryngology in Hokkaido University Hospital (Sapporo, Japan), and the pathological diagnosis was consistent with MALT lymphoma. This patient received chemotherapy [3 cycles of rituximab + THP-COP (cyclophosphamide, pirarubicin, vincristine and prednisone)] and radiation (40 Gy) at our hospital and was evaluated for complete remission (CR). The following year, September 2007 (at the age of 60), lung cancer (2 cm in size, poorly differentiated adenocarcinoma) was found during his regular follow-up, and curative resection was performed at our hospital. After that, the visit to our hospital was discontinued.

Figure 1

Clinical course. MALT, mucosa-associated lymphoid tissue, FL, follicular lymphoma; X, 1995.

In April 2018 (at the age of 71), he was admitted to our hospital for the first time in 11 years and re-examined the colonoscopy. As a finding, a flat elevated lesion with a diameter of ~2 cm was confirmed in the rectum (Fig. 2), and endoscopic submucosal dissection (ESD) was performed for the purpose of complete biopsy. Histopathologically, a dense collection of small lymphocytes with positive CD20, mainly from the lamina propria to the submucosa, was confirmed (Fig. 3). The pathological diagnosis was consistent with FL equivalent to Grades 1-2. IgH/BCL2 was positive (86.1%) in fluorescence in situ hybridization (FISH), confirming the diagnosis of this patient as FL. On the other hand, a tumor in the cervical region 12 years previously was also positive for IgH/BCL2 in FISH, and the diagnosis was corrected as FL rather than MALT lymphoma. The specimen of gastric lymphoma 23 years ago was no longer left, and its histopathological details were unknown. Regarding this time, small lymph nodes near the lower esophagus and in the diaphragmatic leg were accumulated on the positron emission tomography (PET)-CT (standardized uptake value max 3, not shown), and they were consistent with FL lesions. Rituximab monotherapy was administered 3 times every 2 months, but the treatment was terminated, because he had to continue his daily work.

Figure 2

Endoscopic findings of rectal lesions. (A) A flat elevated lesion with a diameter of ~2 cm was observed, in which the image of blood vessels was unclear. (B) In the narrow-band imaging, the microvasculature of the mucosal surface was increased, some vessels were dilated, and the shape looked heterogeneous.

Figure 3

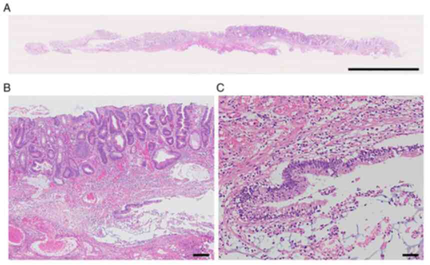
Histopathological findings of excised specimens. (A) Loupe status (Scale bar, 5 mm). (B) Proliferation of lymphoid follicles was observed from the lamina propria to the submucosa (scale bar, 200 µm). (C) A dense collection of small lymphocytes was observed (scale bar, 200 µm). (D) CD20 immunostaining. The lymphocytes were strongly positive (scale bar, 20 µm). Panels A-C were stained using hematoxylin and eosin.

The patient occasionally continued to have lower abdominal discomfort. In October 2018, a follow-up colonoscopy 6 months after the above endoscopic procedure confirmed a 15-20 mm flat elevated lesion in the sigmoid colon (Fig. 4). A pathological diagnosis of colon cancer was made by biopsy. No abnormalities except for the lymph nodes mentioned above were found on CT, and ESD was performed to completely resect the lesion as stage I colon cancer. Histopathologically, the tumor infiltrated the submucosa, and well-differentiated adenocarcinoma was predominant, but some components of mucinous carcinoma were found (Fig. 5). Mucus components were found in the vertical stump, and additional local resection was performed at a later date. However, no residual tumor was observed, and as a result, it was determined that the tumor was almost resected endoscopically. After more than 3 years with no treatment, and now at the age of 75, the patient can lead a normal daily life with no recurrence of both colorectal lymphoma and cancer.

Figure 4

Endoscopic findings of sigmoid colon lesion. (A) Normal observation. (B) After dyeing with indigocarmine. The tumor was laterally spread with a diameter of 15-20 mm, and was a non-granular, reddish, flat-elevated lesion.

Figure 5

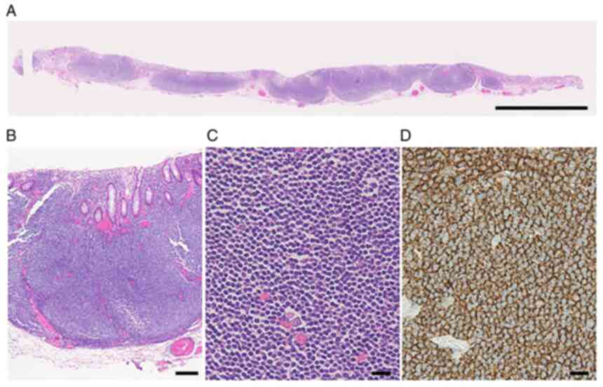
Histopathological findings of excised specimens. (A) Loupe status (Scale bar, 5 mm). (B) Tumor cells had slightly more atypia than adenomas and had infiltrated into submucosal tissue (scale bar, 200 µm). (C) Tumor cells were floating in the abundant mucus component in the submucosa (scale bar, 50 μm). Panels A-C were stained using hematoxylin and eosin.

Discussion

As a subtype of FL, it was referred to as ‘duodenal-type FL’ in the revised 4th edition (11). Epidemiologically, D-FL has been recognized as a rare entity that accounts for ~4% of primary gastrointestinal lymphomas (12). Colorectal involvement of FL is thought to be even less frequent in cases of FL (3). Takata et al reported that only 4%, that is, 5 cases, originated from the large intestine (cecum 2, colon 1, rectum 2) among the 125 cases of intestinal FL (13).

In the past, two patients developed FL and adenocarcinoma synchronously in the large intestine (9,10). Both cases were collision tumors that developed in the right large intestine (cecum and hepatic flexure). One patient died of rapid progression of FL after treatment with FOLFOX chemotherapy (folinic acid, fluorouracil and oxaliplatin) for adenocarcinoma with a predominant tumor volume (9). The other case was carcinoma in adenoma with FL (10). In our case, the initial colonoscopy diagnosed with rectal FL could have overlooked this sigmoid colon cancer; in particular, precancerous mucosal changes may have already existed. This is the first report of a case in which colorectal FL and adenocarcinoma were resected at an early stage.

After the diagnosis of this rectal FL was confirmed, it became clear that the lymphoma in the cervical region that was treated as MALT lymphoma 11 years previously was actually FL. Meanwhile, the patient underwent total gastrectomy for primary gastric lymphoma 23 years previously. Regarding the treatment of gastric MALT lymphoma, in 1995, it was allowed to be treated by surgical resection instead of Helicobacter pylori eradication, and sometimes by total gastrectomy for the multiple and/or spreading lesions. However, gastric MALT lymphoma at that time may actually have been FL. In either case, our patient had a long-term recurrence of indolent lymphoma from 48 years of age for 23 years in other regions approximately every 10 years and had two solid cancers (lung and colon) in the short term, only six months to one year after the onset of lymphoma. We hypothesize that curative resection of these cancers was possible because we were able to detect them at an early stage by closely following up on the lymphomas. Indolent B-cell lymphoma has repeatedly recurred in different regions without transformation to DLBCL over numerous years. It can be inferred that some of this patient's immunosurveillance mechanisms may be failing. Moreover, a definitive relationship between the onset of lymphoma and carcinoma has not been established. It may be a coincidence that FL and adenocarcinoma developed in the same large intestine synchronously. It is unlikely that administration of rituximab monotherapy after endoscopic excision of lymphoma induced carcinogenesis. According to Haddadi et al, the development of lymphoma may accelerate malignant changes in existing precancerous lesions (14).

This study has several limitations. Firstly, the cervical tumor at age 59 was FL, not MALT Lymphoma. However, since both are in the category of indolent lymphomas, the delay in diagnosis at that time is not considered to have had a negative effect on the subsequent clinical course. Secondly, there is a lack of data related to carcinogenesis, such as immune function at the onset of sigmoid colon cancer, especially natural killer cell activity, or CD8/regulatory T-cells (Treg). In our case, it is speculated that lymphoma developed due to immune dysfunction, such as proliferation of Treg, which may have led to the activation of oncogenes or the inactivation of tumor suppressor genes in the precancerous component.

In conclusion, a patient who was first affected 23 years previously and repeatedly developed indolent lymphoma in another region approximately every 10 years suffered from rectal FL this time. Six months after endoscopic resection, he had sigmoid colon cancer. As a mechanism of this carcinogenesis, it was speculated that the genes involved in cancer development were changed due to the decrease in immune function associated with the onset of lymphoma.

Acknowledgements

Not applicable.

Funding

Funding: No funding was received.

Availability of data and materials

All data generated or analyzed during this study are included in this published article.

Authors' contributions

HE and TK were involved in endoscopic procedure, and ZIT was involved in the pathological procedure. MS and HE confirm the authenticity of all the raw data. MS, HE, TK, EY, KI, AM, MM, TK and ZIT made substantial contributions to conception and design, acquisition of data or analysis and interpretation of data; took part in drafting the article or revising it critically for important intellectual content; gave final approval of the version to be published; and agree to be accountable for all aspects of the work.

Ethics approval and consent to participate

This study was conducted in accordance with the World Medical Association Declaration of Helsinki, and the Aiiku Hospital Clinical Research Review Board does not require ethical approval for reporting a case report.

Patient consent for publication

Written informed consent was obtained from the patient for publication of this case report and the accompanying images.

Competing interests

The authors declare that they have no competing interests.

Authors' information

Dr Makoto Saito, ORCID: 0000-0002-2683-9475.

References

1 

Gluckman JL, Crissman JD and Donegan JO: Multicentric squamous-cell carcinoma of the upper aerodigestive tract. Head Neck Surg. 3:90–96. 1980.PubMed/NCBI View Article : Google Scholar

2 

Zighelboim J and Larson MV: Primary colonic lymphoma. Clinical presentation, histopathologic features, and outcome with combination chemotherapy. J Clin Gastroenterol. 18:291–297. 1994.PubMed/NCBI

3 

LeBrun DP, Kamel OW, Cleary ML, Dorfman RF and Warnke RA: Follicular lymphomas of the gastrointestinal tract. Pathologic features in 31 cases and bcl-2 oncogenic protein expression. Am J Pathol. 140:1327–1335. 1992.PubMed/NCBI

4 

Barron BA and Localio SA: A statistical note on the association of colorectal cancer and lymphoma. Am J Epidemiol. 104:517–522. 1976.PubMed/NCBI View Article : Google Scholar

5 

Wang W and Li P: Coexistence of colon adenocarcinoma, diffuse large B-cell lymphoma, and myelodysplastic syndrome: A case report. Medicine (Baltimore). 98(e16742)2019.PubMed/NCBI View Article : Google Scholar

6 

Padmanabhan V and Trainer TD: Synchronous adenocarcinoma and mantle cell lymphoma of the colon. Arch Pathol Lab Med. 127:E64–E66. 2003.PubMed/NCBI View Article : Google Scholar

7 

Wagle SD, Mohandas KM, Vazifdar KF, Dhir V, Swaroop VS, Jagannath P and Desouza LJ: Synchronous adenocarcinoma and lymphoma of the colon. Indian J Gastroenterol. 16:28–29. 1997.PubMed/NCBI

8 

Tseng CE, Shu TW, Lin CW and Liao KS: Synchronous adenocarcinoma and extranodal natural killer/T-cell lymphoma of the colon: A case report and literature review. World J Gastroenterol. 19:1850–1854. 2013.PubMed/NCBI View Article : Google Scholar

9 

Kus T, Aktas G, Kalender ME, Sari I, Ulker E and Camci C: Collision tumor consisting of primary follicular lymphoma and adenocarcinoma in the cecum: A case report and literature review. Oncol Lett. 11:2801–2805. 2016.PubMed/NCBI View Article : Google Scholar

10 

Lin YS, Hamilton AER, Henderson C and Farzin M: Tiny but mighty: Collision tumor of a superficial adenocarcinoma arising from a tubulovillous adenoma with associated low-grade follicular lymphoma. Int J Surg Pathol. 29:759–763. 2021.PubMed/NCBI View Article : Google Scholar

11 

Jaffe ES, Harris NL, Swerdlow SH, Ott G and Nathwani BN: Follicular lymphoma. In: WHO Classification of Tumours of Haematopietic and Lymphoid Tissues. Revised 4th edition. IARC Press, Lyon, pp266-277, 2017.

12 

Marks E and Shi Y: Duodenal-Type follicular lymphoma: A clinicopathologic review. Arch Pathol Lab Med. 142:542–547. 2018.PubMed/NCBI View Article : Google Scholar

13 

Takata K, Okada H, Ohmiya N, Nakamura S, Kitadai Y, Tari A, Akamatsu T, Kawai H, Tanaka S, Araki H, et al: Primary gastrointestinal follicular lymphoma involving the duodenal second portion is a distinct entity: A multicenter, retrospective analysis in Japan. Cancer Sci. 102:1532–1536. 2011.PubMed/NCBI View Article : Google Scholar

14 

Haddadi S, Touati R, Graidia N, Ourdane R, Yahia-Messaoud Y and Namaoui Y: Synchronous adenocarcinoma and marginal zone B-cell lymphoma of the colon. A case report. Int J Surg Case Rep. 84(106025)2021.PubMed/NCBI View Article : Google Scholar

Related Articles

  • Abstract
  • View
  • Download
  • Twitter
Copy and paste a formatted citation
Spandidos Publications style
Saito M, Egami H, Kato T, Yokoyama E, Izumiyama K, Mori A, Morioka M, Kondo T and Tanei Z: Synchronous colon cancer after treatment for rectal follicular lymphoma: A case report. Mol Clin Oncol 17: 129, 2022.
APA
Saito, M., Egami, H., Kato, T., Yokoyama, E., Izumiyama, K., Mori, A. ... Tanei, Z. (2022). Synchronous colon cancer after treatment for rectal follicular lymphoma: A case report. Molecular and Clinical Oncology, 17, 129. https://doi.org/10.3892/mco.2022.2562
MLA
Saito, M., Egami, H., Kato, T., Yokoyama, E., Izumiyama, K., Mori, A., Morioka, M., Kondo, T., Tanei, Z."Synchronous colon cancer after treatment for rectal follicular lymphoma: A case report". Molecular and Clinical Oncology 17.2 (2022): 129.
Chicago
Saito, M., Egami, H., Kato, T., Yokoyama, E., Izumiyama, K., Mori, A., Morioka, M., Kondo, T., Tanei, Z."Synchronous colon cancer after treatment for rectal follicular lymphoma: A case report". Molecular and Clinical Oncology 17, no. 2 (2022): 129. https://doi.org/10.3892/mco.2022.2562
Copy and paste a formatted citation
x
Spandidos Publications style
Saito M, Egami H, Kato T, Yokoyama E, Izumiyama K, Mori A, Morioka M, Kondo T and Tanei Z: Synchronous colon cancer after treatment for rectal follicular lymphoma: A case report. Mol Clin Oncol 17: 129, 2022.
APA
Saito, M., Egami, H., Kato, T., Yokoyama, E., Izumiyama, K., Mori, A. ... Tanei, Z. (2022). Synchronous colon cancer after treatment for rectal follicular lymphoma: A case report. Molecular and Clinical Oncology, 17, 129. https://doi.org/10.3892/mco.2022.2562
MLA
Saito, M., Egami, H., Kato, T., Yokoyama, E., Izumiyama, K., Mori, A., Morioka, M., Kondo, T., Tanei, Z."Synchronous colon cancer after treatment for rectal follicular lymphoma: A case report". Molecular and Clinical Oncology 17.2 (2022): 129.
Chicago
Saito, M., Egami, H., Kato, T., Yokoyama, E., Izumiyama, K., Mori, A., Morioka, M., Kondo, T., Tanei, Z."Synchronous colon cancer after treatment for rectal follicular lymphoma: A case report". Molecular and Clinical Oncology 17, no. 2 (2022): 129. https://doi.org/10.3892/mco.2022.2562
Follow us
  • Twitter
  • LinkedIn
  • Facebook
About
  • Spandidos Publications
  • Careers
  • Cookie Policy
  • Privacy Policy
How can we help?
  • Help
  • Live Chat
  • Contact
  • Email to our Support Team