Spandidos Publications Logo
  • About
    • About Spandidos
    • Aims and Scopes
    • Abstracting and Indexing
    • Editorial Policies
    • Reprints and Permissions
    • Job Opportunities
    • Terms and Conditions
    • Contact
  • Journals
    • All Journals
    • Oncology Letters
      • Oncology Letters
      • Information for Authors
      • Editorial Policies
      • Editorial Board
      • Aims and Scope
      • Abstracting and Indexing
      • Bibliographic Information
      • Archive
    • International Journal of Oncology
      • International Journal of Oncology
      • Information for Authors
      • Editorial Policies
      • Editorial Board
      • Aims and Scope
      • Abstracting and Indexing
      • Bibliographic Information
      • Archive
    • Molecular and Clinical Oncology
      • Molecular and Clinical Oncology
      • Information for Authors
      • Editorial Policies
      • Editorial Board
      • Aims and Scope
      • Abstracting and Indexing
      • Bibliographic Information
      • Archive
    • Experimental and Therapeutic Medicine
      • Experimental and Therapeutic Medicine
      • Information for Authors
      • Editorial Policies
      • Editorial Board
      • Aims and Scope
      • Abstracting and Indexing
      • Bibliographic Information
      • Archive
    • International Journal of Molecular Medicine
      • International Journal of Molecular Medicine
      • Information for Authors
      • Editorial Policies
      • Editorial Board
      • Aims and Scope
      • Abstracting and Indexing
      • Bibliographic Information
      • Archive
    • Biomedical Reports
      • Biomedical Reports
      • Information for Authors
      • Editorial Policies
      • Editorial Board
      • Aims and Scope
      • Abstracting and Indexing
      • Bibliographic Information
      • Archive
    • Oncology Reports
      • Oncology Reports
      • Information for Authors
      • Editorial Policies
      • Editorial Board
      • Aims and Scope
      • Abstracting and Indexing
      • Bibliographic Information
      • Archive
    • Molecular Medicine Reports
      • Molecular Medicine Reports
      • Information for Authors
      • Editorial Policies
      • Editorial Board
      • Aims and Scope
      • Abstracting and Indexing
      • Bibliographic Information
      • Archive
    • World Academy of Sciences Journal
      • World Academy of Sciences Journal
      • Information for Authors
      • Editorial Policies
      • Editorial Board
      • Aims and Scope
      • Abstracting and Indexing
      • Bibliographic Information
      • Archive
    • International Journal of Functional Nutrition
      • International Journal of Functional Nutrition
      • Information for Authors
      • Editorial Policies
      • Editorial Board
      • Aims and Scope
      • Abstracting and Indexing
      • Bibliographic Information
      • Archive
    • International Journal of Epigenetics
      • International Journal of Epigenetics
      • Information for Authors
      • Editorial Policies
      • Editorial Board
      • Aims and Scope
      • Abstracting and Indexing
      • Bibliographic Information
      • Archive
    • Medicine International
      • Medicine International
      • Information for Authors
      • Editorial Policies
      • Editorial Board
      • Aims and Scope
      • Abstracting and Indexing
      • Bibliographic Information
      • Archive
  • Articles
  • Information
    • Information for Authors
    • Information for Reviewers
    • Information for Librarians
    • Information for Advertisers
    • Conferences
  • Language Editing
Spandidos Publications Logo
  • About
    • About Spandidos
    • Aims and Scopes
    • Abstracting and Indexing
    • Editorial Policies
    • Reprints and Permissions
    • Job Opportunities
    • Terms and Conditions
    • Contact
  • Journals
    • All Journals
    • Biomedical Reports
      • Information for Authors
      • Editorial Policies
      • Editorial Board
      • Aims and Scope
      • Abstracting and Indexing
      • Bibliographic Information
      • Archive
    • Experimental and Therapeutic Medicine
      • Information for Authors
      • Editorial Policies
      • Editorial Board
      • Aims and Scope
      • Abstracting and Indexing
      • Bibliographic Information
      • Archive
    • International Journal of Epigenetics
      • Information for Authors
      • Editorial Policies
      • Editorial Board
      • Aims and Scope
      • Abstracting and Indexing
      • Bibliographic Information
      • Archive
    • International Journal of Functional Nutrition
      • Information for Authors
      • Editorial Policies
      • Editorial Board
      • Aims and Scope
      • Abstracting and Indexing
      • Bibliographic Information
      • Archive
    • International Journal of Molecular Medicine
      • Information for Authors
      • Editorial Policies
      • Editorial Board
      • Aims and Scope
      • Abstracting and Indexing
      • Bibliographic Information
      • Archive
    • International Journal of Oncology
      • Information for Authors
      • Editorial Policies
      • Editorial Board
      • Aims and Scope
      • Abstracting and Indexing
      • Bibliographic Information
      • Archive
    • Medicine International
      • Information for Authors
      • Editorial Policies
      • Editorial Board
      • Aims and Scope
      • Abstracting and Indexing
      • Bibliographic Information
      • Archive
    • Molecular and Clinical Oncology
      • Information for Authors
      • Editorial Policies
      • Editorial Board
      • Aims and Scope
      • Abstracting and Indexing
      • Bibliographic Information
      • Archive
    • Molecular Medicine Reports
      • Information for Authors
      • Editorial Policies
      • Editorial Board
      • Aims and Scope
      • Abstracting and Indexing
      • Bibliographic Information
      • Archive
    • Oncology Letters
      • Information for Authors
      • Editorial Policies
      • Editorial Board
      • Aims and Scope
      • Abstracting and Indexing
      • Bibliographic Information
      • Archive
    • Oncology Reports
      • Information for Authors
      • Editorial Policies
      • Editorial Board
      • Aims and Scope
      • Abstracting and Indexing
      • Bibliographic Information
      • Archive
    • World Academy of Sciences Journal
      • Information for Authors
      • Editorial Policies
      • Editorial Board
      • Aims and Scope
      • Abstracting and Indexing
      • Bibliographic Information
      • Archive
  • Articles
  • Information
    • For Authors
    • For Reviewers
    • For Librarians
    • For Advertisers
    • Conferences
  • Language Editing
Login Register Submit
  • This site uses cookies
  • You can change your cookie settings at any time by following the instructions in our Cookie Policy. To find out more, you may read our Privacy Policy.

    I agree
Search articles by DOI, keyword, author or affiliation
Search
Advanced Search
presentation
Molecular and Clinical Oncology
Join Editorial Board Propose a Special Issue
Print ISSN: 2049-9450 Online ISSN: 2049-9469
Journal Cover
September-2022 Volume 17 Issue 3

Full Size Image

Sign up for eToc alerts
Recommend to Library

Journals

International Journal of Molecular Medicine

International Journal of Molecular Medicine

International Journal of Molecular Medicine is an international journal devoted to molecular mechanisms of human disease.

International Journal of Oncology

International Journal of Oncology

International Journal of Oncology is an international journal devoted to oncology research and cancer treatment.

Molecular Medicine Reports

Molecular Medicine Reports

Covers molecular medicine topics such as pharmacology, pathology, genetics, neuroscience, infectious diseases, molecular cardiology, and molecular surgery.

Oncology Reports

Oncology Reports

Oncology Reports is an international journal devoted to fundamental and applied research in Oncology.

Experimental and Therapeutic Medicine

Experimental and Therapeutic Medicine

Experimental and Therapeutic Medicine is an international journal devoted to laboratory and clinical medicine.

Oncology Letters

Oncology Letters

Oncology Letters is an international journal devoted to Experimental and Clinical Oncology.

Biomedical Reports

Biomedical Reports

Explores a wide range of biological and medical fields, including pharmacology, genetics, microbiology, neuroscience, and molecular cardiology.

Molecular and Clinical Oncology

Molecular and Clinical Oncology

International journal addressing all aspects of oncology research, from tumorigenesis and oncogenes to chemotherapy and metastasis.

World Academy of Sciences Journal

World Academy of Sciences Journal

Multidisciplinary open-access journal spanning biochemistry, genetics, neuroscience, environmental health, and synthetic biology.

International Journal of Functional Nutrition

International Journal of Functional Nutrition

Open-access journal combining biochemistry, pharmacology, immunology, and genetics to advance health through functional nutrition.

International Journal of Epigenetics

International Journal of Epigenetics

Publishes open-access research on using epigenetics to advance understanding and treatment of human disease.

Medicine International

Medicine International

An International Open Access Journal Devoted to General Medicine.

Journal Cover
September-2022 Volume 17 Issue 3

Full Size Image

Sign up for eToc alerts
Recommend to Library

  • Article
  • Citations
    • Cite This Article
    • Download Citation
    • Create Citation Alert
    • Remove Citation Alert
    • Cited By
  • Similar Articles
    • Related Articles (in Spandidos Publications)
    • Similar Articles (Google Scholar)
    • Similar Articles (PubMed)
  • Download PDF
  • Download XML
  • View XML
Article Open Access

Overexpression of Annexin A1 is associated with the formation of capillaries in infantile hemangioma

  • Authors:
    • Xinyuan Pan
    • Huang Hui
    • Xiaopin Teng
    • Kuicheng Wei
  • View Affiliations / Copyright

    Affiliations: Department of Plastic Surgery, The People's Hospital of Guangxi Zhuang Autonomous Region, Nanning, Guangxi Zhuang Autonomous Region 530021, P.R. China, Department of Orthopedics, Minzu Hospital of Guangxi Zhuang Autonomous Region, Nanning, Guangxi Zhuang Autonomous Region 530001, P.R. China
    Copyright: © Pan et al. This is an open access article distributed under the terms of Creative Commons Attribution License.
  • Article Number: 133
    |
    Published online on: July 12, 2022
       https://doi.org/10.3892/mco.2022.2566
  • Expand metrics +
Metrics: Total Views: 0 (Spandidos Publications: | PMC Statistics: )
Metrics: Total PDF Downloads: 0 (Spandidos Publications: | PMC Statistics: )
Cited By (CrossRef): 0 citations Loading Articles...

This article is mentioned in:


Abstract

Infantile hemangioma is a common benign tumor in infants. However, the molecular mechanism that controls the proliferation and differentiation of hemangioma is not well understood. Annexin A1 (ANX A1) is a phospholipid‑binding protein involved in a variety of biological processes, including inflammation, cell proliferation and apoptosis. To explore the significance of ANX A1 in the process of proliferation or differentiation of hemangioma, proliferating and involuting hemangioma tissues were collected to detect the expression of ANX A1 using immunohistochemistry and western blotting. Normal skin tissues were used as the negative control. The results revealed that ANX A1 was upregulated in the proliferative phase of hemangioma, and its expression was decreased when the hemangioma entered the involuting phase. Additionally, in the proliferative phase, the strongest staining of ANX A1 was observed in newly born capillaries, and the staining of ANX A1 became weaker in enlarged vessels, indicating that ANX A1 plays an important role in promoting the formation of capillaries. The expression of hypoxia‑inducible factor (HIF)‑1α was positively associated with the expression trend of ANX A1, suggesting that the overexpression of ANX A1 may be associated with the increase of HIF‑1α. In summary, the results of the present study revealed that the expression of ANX A1 was increased in proliferating hemangioma tissue, and that high expression of ANX A1 may be closely associated with the formation of capillaries in infantile hemangioma.

Introduction

Infantile hemangioma is a benign vascular neoplasm with abnormal proliferation of vascular endothelial cells. It is the most common benign tumor in infants and children, with an incidence of 4-5% (1,2). The development of infantile hemangioma can generally be divided in two phases, namely, the proliferative phase and the involuting phase. The majority of hemangiomas can naturally subside after 1-5 years without the need for intervention (3); however, ~10% of infantile hemangiomas with a particular location and large size may develop functional or life-threatening complications (4). Treatment of extensive hemangioma is diverse and difficult, and is accompanied with a risk of scar formation, organ dysfunction or tumor recurrence after medical intervention (5). With the continuous development and progress of gene therapy research, numerous studies have focused on the exploration of target genes, and various genes associated with hemangioma proliferation and differentiation have been identified (6,7). However, the molecular mechanism that controls the proliferation and differentiation of hemangioma is not well understood.

Annexin A1 (ANX A1) is a 37-kDa calcium and phospholipid-binding protein involved in a variety of biological processes, including inflammation, cell proliferation and apoptosis (8). ANX A1 was initially widely studied in inflammatory reactions, but subsequent studies found that the change in the expression level of the protein was associated with the formation and development of different types of malignant tumors (8,9). The expression changes of the ANX A1 gene in different cell lines vary. It has been reported that the expression of ANX A1 was significantly increased in colorectal cancer, melanoma, pancreatic cancer and hepatocellular carcinoma (10-13), while it was reduced in esophageal and prostate cancer (14). ANX A1 was reported to play a key role in the differentiation of various types of cells. During the differentiation of oral squamous cell carcinoma, it has been demonstrated that the expression of ANX A1 increases, while downregulation of ANX A1 significantly inhibits the differentiation process (15). Upregulation of ANX A1 was observed in the differentiation process of C2C12 myoblasts, which induces the transforming growth factor-β signaling pathway in-turn promoting differentiation (16). However, Vishwanatha et al (17) reported that knocking down the ANX A1 gene promoted B lymphocytes to differentiate into non-Hodgkin's lymphoma-like cells. The aforementioned studies have confirmed that ANX A1 plays an important role in regulating tumorigenesis.

However, the study of ANX A1 protein in infantile hemangioma has not been reported. Whether the proliferation and differentiation of infantile hemangioma are associated with ANX A1 is worthy of investigation. In the present study, proliferating and involuting infantile hemangioma tissues were collected to detect the expression of ANX A1, and to explore the significance of ANX A1 in the process of proliferation or differentiation of hemangioma.

Materials and methods

Reagents and antibodies

The following antibodies were used for immunohistochemical and western blot analyses in the present study: Anti-hypoxia-inducible factor (HIF)-1α antibody (product code ab51608; Abcam), anti-ANX A1 antibody (product code ab88865; Abcam), anti-phosphorylated (p)-44/42 mitogen-activated protein kinase (MAPK) (Thr202/Tyr204) rabbit monoclonal antibody (mAb) (product no. 4370; Cell Signaling Technology, Inc.), anti-p44/42 MAPK rabbit mAb (product no. 4695; Cell Signaling Technology, Inc.), anti-acetyl-α-tubulin rabbit mAb (product no. 5335; Cell Signaling Technology, Inc.), goat anti-rabbit IgG H&L (DyLight® 488; product code ab150077; Abcam), goat anti-mouse (DyLight® 647; product code ab150115; Abcam) and goat anti-rabbit/mouse IRDye-800CW secondary antibodies (product nos. 926-32211 and 926-32210, respectively; LI-COR Biosciences). The immunohistochemical staining kit (cat. no. D01-18) was purchased from OriGene Technologies, Inc.

Collection of clinical specimens

A total of 30 patients with hemangioma admitted to Minzu Hospital of Guangxi Zhuang Autonomous Region (Nanning, China) between March 2019 and October 2020 were selected as research subjects. The age of the patients ranged between 6 months and 5 years. The cohort consisted of male and female patients (13 males and 17 females) of Asian ethnicity and different body weights. None of the patients had received any treatment before the surgery. Pathological examination was used to confirm the diagnosis of hemangioma after surgery. In addition, normal skin tissues of patients with cleft lip were excised during cheiloplasty and used as a negative control in the present study.

The use of tissue samples in the present study was conducted with the authorization of the patients or their relatives. The present study was approved by the Bioethics Committee of Minzu Hospital of Guangxi Zhuang Autonomous Region [approval no. (2018)12; Nanning, China].

Hematoxylin and eosin (H&E) staining to identify hemangioma pathologically

Hemangioma tissues were preserved in a 10% neutral buffered formalin at room temperature for 24 h. The tissues were embedded in paraffin and cut into slices with a thickness of 5 µm. After permeabilization and dehydration, the slices were washed with PBS three times, and then incubated with a hematoxylin dye solution at room temperature for 5 min. Subsequently, the tissue sections were stained with eosin at room temperature for 2 min. The H&E-stained sections of hemangioma tissues were examined under a light microscope (BX53; Olympus Corporation).

Immunohistochemical analysis

Hemangioma specimens were fixed in 10% neutral buffered formalin at room temperature for 24 h, and then were embedded in paraffin and cut into slices of 5 µm in thickness. Paraffin sections were deparaffinized and incubated with 5% normal goat serum (product no. PH0424; Phygene Scientific) for 10 min at room temperature. After blocking and incubation with a mouse anti-ANX A1 mAb (at 1:500 dilution; product no. ab88865; Abcam) at 4˚C overnight, the sections were washed three times with PBS and then incubated with streptavidin-peroxidase-conjugated secondary antibodies (product no. D01-18; OriGene Technologies, Inc.) at room temperature for 10 min. The specimens were incubated for 5 min with a 3,3'-diaminobenzidine solution. Positively stained cells were detected under a light microscope. The expression levels of ANX A1 were quantified by determining the integral optical density (IOD) using Image Pro Plus 6.0 (Media Cybernetics, Inc.).

Double-label immunofluorescence

The paraffin sections were prepared as previously described for immunohistochemistry. Paraffin sections were thoroughly washed in PBS and blocked with 1% BSA/10% normal goat serum/0.3 M glycine in 0.1% PBS-Tween-20 at room temperature for 1 h. Sections were then incubated overnight at 4˚C with mouse polyclonal to ANX A1 (product code ab88865; Abcam) and rabbit polyclonal to HIF-1α (cat. no. ab51608; Abcam) antibodies at a dilution of 1:200. The secondary antibodies used were goat anti-rabbit IgG H&L (DyLight® 488) and goat anti-mouse (DyLight® 647) at a dilution of 1:500, at room temperature for 1 h. Nuclei were counterstained with 5 µg/ml of DAPI for 5 min at room temperature,. Protein expression was observed using a fluorescence microscope.

Western blot analysis

Proteins were extracted from the hemangioma tissues using a lysis buffer containing 0.5% Nonidet P-40, 10 mM Tris (pH 7.4), 150 mM NaCl, 1 mM EDTA and 1 mM Na3VO4. Protein concentrations were determined using a BCA protein assay kit. Total proteins (30-40 µg/lane) were separated by 10% SDS-PAGE and then transferred onto nitrocellulose membranes for 1.5 h at 100 mA. Next, the membranes were blocked with BSA-Tween-20 (containing 3% TBS and 0.05% Tween-20) for 1 h at room temperature. Appropriate dilutions of the primary antibodies against ANX A1 (1:1,000 dilution; product code ab88865; Abcam), HIF-1α (1:2,000 dilution; product no. 5335), p-ERK1/2 (1:1,000 dilution; product no. 4370) and total-ERK1/2 (1:1,000 dilution; product no. 4695; all from Cell Signaling Technology, Inc.) were used to incubate the nitrocellulose membranes at 4˚C overnight, respectively. Subsequently, the membranes were incubated with a fluorescent dye-conjugated secondary antibody IRDye-800CW (1:10,000 dilution; product no. 926-32211 or 926-32210; LI-COR Biosciences) at room temperature for 1 h. Blots were visualized using the Odyssey Imaging System (LI-COR Biosciences). Densitometric analysis was performed using Quantity One 4.6.2 software (Bio-Rad Laboratories, Inc.).

Statistical analysis

All experiments were repeated three times for data analysis. The results are presented as the mean ± SD. An unpaired Student's t-test was used to compare differences between two groups, and an one-way ANOVA followed by a Tukey's post hoc test was used to compare differences between three groups. All analyses were performed using SPSS 25.0 software (IBM Corp.). P<0.05 was considered to indicate a statistically significant difference.

Results

Histopathological analysis of the hemangioma tissues

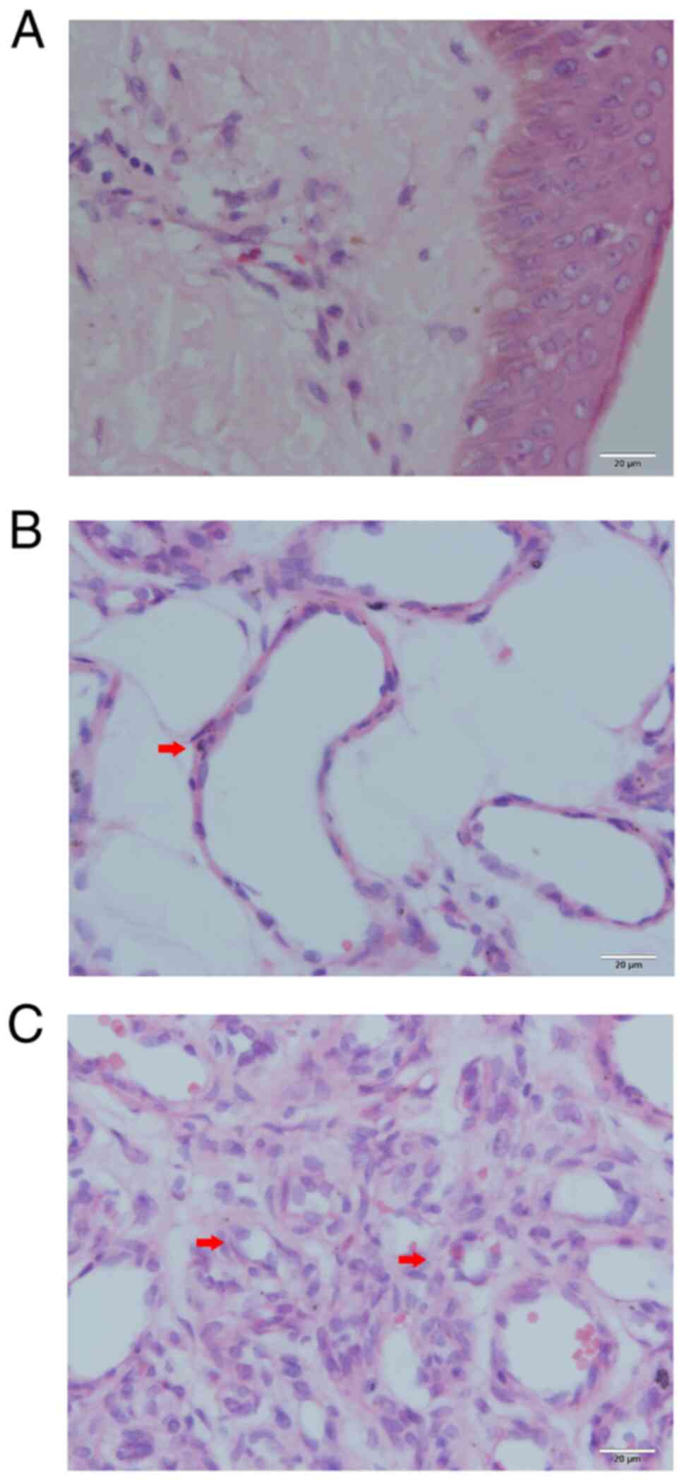
To observe the histopathological morphology of hemangioma tissue sections, they were stained with H&E. According to the morphology of vascular endothelial cells, the hemangiomas were divided into a proliferative phase group and an involution phase group. A total of 15 samples were classified as proliferative hemangioma. Microscopic observation of proliferative hemangioma revealed that the vascular endothelial cells were densely packed and formed small capillaries (Fig. 1C). These endothelial cells exhibited enlarged nuclei and an abundance of clear cytoplasm. The proliferative capillaries formed a lobulated arrangement and were separated by slender fibrous septa. The other 15 cases were classified as the involution phase. The numbers of capillaries and pericytes had decreased, which was accompanied by enlargement of the vascular lumen (Fig. 1B). In addition, apoptotic bodies were observed in the endothelial cells and pericytes. By contrast, the normal skin of the control group had few blood vessels with a small lumen (Fig. 1A).

Figure 1

Histopathological analysis of hemangioma tissues. (A) Normal skin, (B) involuting hemangioma and (C) proliferative hemangioma tissue staining by hematoxylin and eosin. The red arrow in B indicates apoptotic bodies in endothelial cells. The red arrows in C indicate the formation of small capillaries. Scale bar, 20 µM.

Western blot analysis of ANX A1 expression

To detect the expression levels of ANX A1 in hemangioma tissues in an accurate manner, western blotting was used to detect the changes in the expression levels of ANX A1 in the proliferative and involuting hemangioma tissues. The results demonstrated that the expression levels of ANX A1 in both the proliferating and involuting hemangioma tissues were higher than those in the control group (normal skin tissue; P<0.01). However, the expression levels of ANX A1 in involuting hemangioma were lower than those in proliferating hemangioma (P<0.01; Fig. 2). These data suggested that increased ANX A1 expression may be associated with the development of hemangioma.

Figure 2

Detection of ANX A1 expression using western blot analysis. Detection of ANX A1 expression in Cont (normal skin tissue), IH and PH by western blot analysis. Tubulin was used as an internal control and the expression of ANX A1 protein was quantified using densitometric analysis. ANX A1 was upregulated in PH and IH compared with Cont. Each data point represents the mean ± SD. *P<0.01 vs. Cont; #P<0.01 vs. IH. n=15 for each group. ANX A1, Annexin A1; Cont, control; IH, involuting hemangioma; PH, proliferative hemangioma.

Localization of ANX A1 in hemangioma tissues

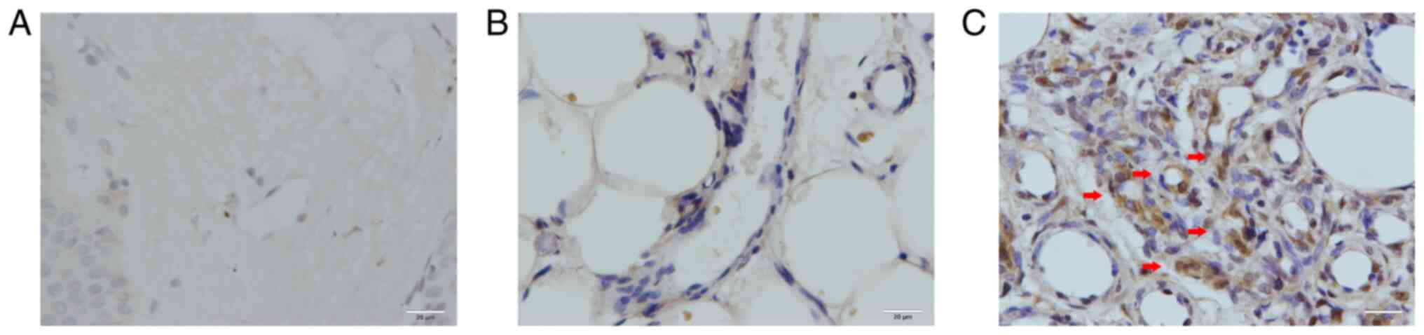
To determine the intracellular localization of ANX A1, immunohistochemical analysis of hemangioma tissues was performed. A total of 6 samples were randomly selected from each group for immunohistochemical analysis. In the control group (normal skin tissues), only a small number of fibroblasts were positive for ANX A1 (Fig. 3A). As revealed in Fig. 3B and C, ANX A1 was primarily expressed in the nucleus and cytoplasm of endothelial cells at both the proliferative and involution phases of hemangioma. In the involution phase of hemangioma, ANX A1 was mainly expressed in the endothelial cells, and its expression was markedly lower than that in the proliferative phase. Of note, in the proliferative phase of hemangioma, ANX A1 showed a strong positive reaction in the endothelial cells of newly born capillaries. With the continuous expansion of the capillary lumen, ANX1 A1 expression gradually decreased. These results were consistent with those observed by western blotting. The IOD data of ANX A1 are presented in Table I.

Figure 3

Detection of ANX A1 using immunohistochemical staining. Immunohistochemical staining of ANX A1 expression in (A) normal skin, (B) involuting hemangioma and (C) proliferative hemangioma. ANX A1 was strongly expressed in both proliferative hemangioma and involuting hemangioma compared with normal skin tissue. Red arrows in C indicate a strong positive reaction of ANX A1 in the newly born capillaries. Scale bar, 20 µM. ANX A1, Annexin A1.

Table I

Expression of Annexin A1 in hemangioma and normal skin tissue.

Table I

Expression of Annexin A1 in hemangioma and normal skin tissue.

GroupsIODNo. of cases
Normal skin24.59±8.376
Involuting hemangioma 55.82±9.80a6
Proliferating hemangioma 126.09±20.65a,b6

[i] Each data point represents the mean ± SD.

[ii] aP<0.01 vs. normal skin;

[iii] bP<0.01 vs. involuting hemangioma. n=15 for each group. IOP, integral optical density.

HIF-1α expression in hemangioma

It has been demonstrated that hypoxia is one of the mechanisms that induces proliferation of hemangioma endothelial cells (18). HIF-1α is a key regulator of hypoxia signal transduction (19). Therefore, HIF-1α expression in hemangioma was investigated. It was observed that the expression levels of HIF-1α in both proliferative and involuting hemangiomas were elevated compared with those in the control group (P<0.01). However, the expression levels of HIF-1α in the involuting phase were significantly lower than those in the proliferative phase (P<0.01; Fig. 4).

Figure 4

Detection of HIF-1α expression using western blot analysis. HIF-1α expression was detected in Cont (normal skin tissue), IH and PH by western blot analysis. Tubulin was used as an internal control. HIF-1α was upregulated in PH and IH compared with Cont. Each data point represents the mean ± SD. *P<0.01 vs. Cont; #P<0.01 vs. IH. n=15 for each group. HIF-1α, hypoxia-inducible factor-1α; Cont, control; IH, involuting hemangioma; PH, proliferative hemangioma.

In order to determine whether ANX A1 expression is associated to HIF-1α during the proliferation stage of hemangioma, the double-label immunofluorescence method was used to detect the localization of HIF-1α and ANX A1 expression in hemangioma tissues simultaneously. As revealed in Fig. 5, HIF-1α was predominantly localized to the nucleus of endothelial cells, and positive cells for both HIF-1α and ANX A1 were frequently observed in proliferative hemangiomas. Overall, the number of double-labeled cells was significantly greater in proliferative hemangioma tissues than in involuting hemangiomas (proliferative hemangioma, 51.46±9.24% vs. involuting hemangioma, 6.51±3.75%; P<0.01). HIF-1α and ANX A1 co-labeled cells were not detected in the control tissues. This phenomenon indicated that high ANX A1 expression may be associated to the increase of HIF-1α.

Figure 5

Detection of the localization of HIF-1α and ANX A1 expression in hemangioma tissues. Double-label immunofluorescence of whole-mount sections showing the co-localization of HIF-1α (green fluorescence) with ANX A1 (red fluorescence). Cell nuclei were stained with DAPI (blue fluorescence). The composite images reveal cells co-labeled with HIF-1α and ANX A1. The arrows indicate cells co-labeled with HIF-1α and ANX A1. Scale bar, 20 µM. HIF-1α, hypoxia-inducible factor-1α; ANX A1, Annexin A1.

Phosphorylation of ERK1/2 in hemangioma

Previous studies have reported that ANX A1 regulates cell proliferation, apoptosis and differentiation by inducing the activation of the ERK1/2 signaling pathway (8). Therefore, the present study further explored the phosphorylation levels of the ERK1/2 pathway in samples exhibiting high expression levels of ANX A1. The results demonstrated that the phosphorylation levels of ERK1/2 in the proliferative and involuting hemangioma tissues were significantly higher than those in the control group, and the difference was statistically significant (P<0.01). In addition, the phosphorylation levels of ERK1/2 in involuting hemangiomas were lower than those in proliferative hemangioma (P<0.01; Fig. 6).

Figure 6

Phosphorylation of ERK1/2 evaluated using western blot analysis. The phosphorylation level of ERK1/2 in the IH and PH tissues was significantly higher than that in the Cont group, and the phosphorylation of ERK1/2 in IH was lower than that in PH. Each data point represents the mean ± SD. *P<0.01 vs. Cont; #P<0.01 vs. IH. n=15 for each group. Cont, control; IH, involuting hemangioma; PH, proliferative hemangioma; p-, phosphorylated.

Discussion

Endothelial cell proliferation and apoptosis are considered to be associated with the pathogenesis of hemangioma (20). The mechanism that regulates the proliferation and migration of vascular endothelial cells is complex and involves the regulation of multiple cytokines. In previous studies, VEGF, basic fibroblast growth factor (bFGF), glucose transporter 1 and MMP were found to be closely associated with proliferation of hemangiomas (21-23). There are numerous methods to detect the expression of these factors in patients with infantile hemangiomas, e.g., by urine, serum, or hemangioma tissue. The method of urine and serum detection is non-invasive; however, the accuracy remains to be verified. For example, serum VEGF and bFGF may exhibit different trends in different research (24-26). It is more direct and accurate to analyze gene or protein expression in surgically removed hemangioma tissues. However, as a popular protein in tumor research, ANX A1 has not yet been detected in infantile hemangiomas. The present study revealed abnormal ANX A1 expression in proliferating and involuting hemangiomas using western blotting and immunohistochemical methods.

ANX A1 is one of the 13 members of the Annexin superfamily. As an epidermal growth factor receptor substrate, ANX A1 is involved in the processes of cell proliferation and migration (8). ANX A1 is widely expressed in multiple tissues, including epithelial and endothelial cells. A previous study demonstrated that treatment with ANX A12-26 increased angiogenesis and migration of fibroblasts on a heterologous skin scaffold transplantation model. Furthermore, ANX A12-26 was demonstrated to increase endothelial cell migration and actin polymerization in vitro (27). Yi and Schnitzer (28) found that absence of ANX A1 prevented the formation of blood vessels in tumors, and thus inhibited the growth of tumors. These studies suggest that ANX A1 may be a key regulator in modulating the balance of pathological and physiological angiogenesis. These findings suggest that ANX A1 may be involved in the proliferation or apoptosis of endothelial cells in hemangiomas. In the present study, human hemangioma tissues were collected to investigate whether there is a change in ANX A1 expression in infantile hemangioma. First, ANX A1 expression was examined by western blotting in different phases of hemangioma development/progression. The results demonstrated that the highest expression levels of ANX A1 were detected in proliferating hemangioma tissues, and involuting hemangioma was associated with lower expression levels of ANX A1, while normal skin tissues exhibited the lowest expression levels of ANX A1. However, hemangioma tissue contains a variety of cells, and western blotting can only detect total tissue proteins. Therefore, to confirm the observations from western blotting of hemangioma tissues and to investigate the intracellular localization of ANX A1, immunohistochemical analysis was performed to detect ANX A1 expression in different phases of hemangioma and in normal skin tissues. It was revealed that infantile hemangiomas stained positively for ANX A1 during both the proliferative and involution phases, while the normal skin tissues exhibited barely detectable staining of ANX A1. Notably, in the proliferative phase, the strongest staining of ANX A1 was observed in newly born capillaries, and the staining of ANX A1 became weaker in enlarged vessels. This phenomenon suggested that ANX A1 may serve an important role in promoting the formation of capillaries during the proliferation of hemangioma. Taken together, the present results provide original evidence for the increased expression of ANX A1 in the development of infantile hemangiomas, indicating that the higher the expression of this protein, the faster the hemangioma grows.

It has been hypothesized that hypoxia may be a pathogenesis of infantile hemangioma (18). When tissues suffer from hypoxia, the expression of hypoxia-induced factors induced by vascular endothelial cells, including MMP-9, VEGF-A and HIF-1α, promotes the proliferation of vessels, thereby improving the blood supply of hypoxic tissues (29,30). Under hypoxic conditions, the protein levels of HIF-1α, which is one of the main transcription factors, can rapidly increase and regulate the expression of downstream hypoxia-responsive genes. It was revealed that hypoxia induced ANX A1 protein expression, and ANX A1 expression decreased when HIF-1α was inhibited, indicating that ANX A1 is a direct regulatory target of HIF-1α (31,32). The present study demonstrated that HIF-1α expression in proliferating hemangioma was markedly higher than that in normal skin tissues, and that HIF-1α expression was positively associated with the expression trend of ANX A1. Furthermore, immunofluorescence results revealed that ~51% of the HIF-1α cells were co-labeled with ANX A1 in proliferating hemangioma. Therefore, it was hypothesized that the upregulation of ANX A1 in the proliferative phase of infantile hemangioma may be associated with the increase in HIF-1α expression induced by hypoxia.

The present study revealed that the activation levels of ERK1/2 in proliferating hemangiomas were markedly higher than those in normal skin. As hemangiomas entered the involuting phase, the activation of ERK1/2 decreased. MAPKs serve an important role in cell proliferation and angiogenesis. ERKs are important members of the MAPK family (33). It has been demonstrated that ERK1/2 can regulate transcription factors such as c-Jun and activator protein-1, which serve a key role in regulating angiogenesis factors and inhibitors (34,35). EGF receptor activation and internalization can lead to the tyrosine phosphorylation of ANX A1, thereby targeting PI3K and ERK/MAPK signaling, and exerting important signaling functions in cell proliferation (36). Pin et al (37) reported that the proliferation and differentiation of vascular endothelial cells were markedly inhibited after the application of microRNA-196a to specifically inhibit ANX A1 expression, and this process was also closely associated with the activation of the MAPK signaling pathway. ANX A1 expression was upregulated in glioma cells, and downregulation of ANX A1 inhibited glioma cell proliferation via negative regulation of the activation of the PI3K/AKT signaling pathway (38). The present study revealed that the activation levels of ERK1/2 in proliferating hemangiomas were markedly higher than those in normal skin. As hemangiomas entered the involuting phase, the activation of ERK1/2 decreased. However, it has been revealed that hypoxia induced phosphorylation of ERK1/2, and ERK1/2 inhibitors inhibited hypoxia-induced HIF-1α expression or phosphorylation (39,40). Therefore, whether the increase of ERK1/2 activity in proliferating hemangiomas is involved in ANX A1 signaling or in hypoxia-induced HIF-1 expression remains to be further investigated.

In summary, the results of the present study demonstrated that the expression levels of ANX A1 were increased in proliferating hemangioma tissues, and the high expression levels of ANX A1 may be closely associated with the formation of capillaries in infantile hemangioma. ANX A1 may become a marker for the occurrence and development of infantile hemangioma in the future and is expected to become a novel target for the combined genetic treatment of infantile hemangioma.

Acknowledgements

Not applicable.

Funding

Funding: This article was supported mainly by the Natural Science Foundation of Guangxi, China (grant no. 2018GXNSFBA138001).

Availability of data and materials

The data presented in this study are available on request from the corresponding author.

Authors' contributions

XP conceived the present study. XP, HH and KW performed the experiments and data collection. XT contributed to the data analysis. XP was a major contributor to the preparation of the manuscript. XP and HH confirm the authenticity of all the raw data. All authors have read and agreed to the published version of the manuscript.

Ethics approval and consent to participate

The present study was approved by the Bioethics Committee of Minzu Hospital of Guangxi Zhuang Autonomous Region [approval no. (2018)12].

Patient consent for publication

Not applicable.

Competing interests

The authors declare that they have no competing interests.

References

1 

Kanada KN, Merin MR, Munden A and Friedlander SF: A prospective study of cutaneous fifindings in newborns in the United States: Correlation with race, ethnicity, and gestational status using updated classifification and nomenclature. J Pediatr. 161:240–245. 2012.PubMed/NCBI View Article : Google Scholar

2 

Kilcline C and Frieden IJ: Infantile hemangiomas: How common are they? A systematic review of the medical literature. Pediatr Dermatol. 25:168–173. 2008.PubMed/NCBI View Article : Google Scholar

3 

Couto RA, Maclellan RA, Zurakowski D and Greene AK: Infantile hemangioma: Clinical assessment of the involuting phase and implications for management. Plast Reconstr Surg. 130:619–624. 2012.PubMed/NCBI View Article : Google Scholar

4 

Nguyen HP, Pickrell BB and Wright TS: Beta-blockers as therapy for infantile hemangiomas. Semin Plast Surg. 28:87–90. 2014.PubMed/NCBI View Article : Google Scholar

5 

Priya C, Varshini C and Biswakumar B: Case report: A rare case of infantile hemangioma, treated in a private clinic as out patient. Prim Health Care. 9(321)2019.

6 

Wu Y, Li H, Xie J, Wang F, Cao D and Lou Y: miR-139-5p affects cell proliferation, migration and adipogenesis by targeting insulin-like growth factor 1 receptor in hemangioma stem cells. Int J Mol Med. 45:569–577. 2020.PubMed/NCBI View Article : Google Scholar

7 

Jin W, Chen L, Gao F, Yang M, Liu Y and Wang B: Down-regulation of miR-556-3p inhibits hemangioma cell proliferation and promotes apoptosis by targeting VEGFC. Cell Mol Biol (Noisy-le-grand). 66:204–207. 2020.PubMed/NCBI

8 

Lim LH and Pervaiz S: Annexin 1: The new face of an old molecule. FASEB J. 21:968–975. 2007.PubMed/NCBI View Article : Google Scholar

9 

Biaoxue R, Xiguang C and Shuanying Y: Annexin A1 in malignant tumors: Current opinions and controversies. Int J Biol Markers. 29:e8–e20. 2014.PubMed/NCBI View Article : Google Scholar

10 

Rubinstein MR, Baik JE, Lagana SM, Han RP, Raab WJ, Sahoo D, Dalerba P, Wang TC and Han YW: Fusobacterium nucleatum promotes colorectal cancer by inducing Wnt/β-catenin modulator Annexin A1. EMBO Rep. 20(e47638)2019.PubMed/NCBI View Article : Google Scholar

11 

Boudhraa Z, Rondepierre F, Ouchchane L, Kintossou R, Trzeciakiewicz A, Franck F, Kanitakis J, Labeille B, Joubert-Zakeyh J, Bouchon B, et al: Annexin A1 in primary tumors promotes melanoma dissemination. Clin Exp Metastasis. 31:749–760. 2014.PubMed/NCBI View Article : Google Scholar

12 

Pessolano E, Belvedere R, Bizzarro V, Franco P, Marco I, Porta A, Tosco A, Parente L, Perretti M and Petrella A: Annexin A1 may induce pancreatic cancer progression as a key player of extracellular vesicles effects as evidenced in the in vitro MIA PaCa-2 model system. Int J Mol Sci. 19(3878)2018.PubMed/NCBI View Article : Google Scholar

13 

Lin Y, Lin G, Fang W, Zhu H and Chu K: Increased expression of annexin A1 predicts poor prognosis in human hepatocellular carcinoma and enhances cell malignant phenotype. Med Oncol. 31(327)2014.PubMed/NCBI View Article : Google Scholar

14 

Paweletz CP, Ornstein DK, Roth MJ, Bichsel VE, Gillespie JW, Calvert VS, Vocke CD, Hewitt SM, Duray PH, Herring J, et al: Loss of annexin 1 correlates with early onset of tumorigenesis in esophageal and prostate carcinoma. Cancer Res. 60:6293–6297. 2000.PubMed/NCBI

15 

Zhu DW, Yang X, Yang CZ, Ma J, Liu Y, Yan M, Wang LZ, Li J, Zhang CP, Zhang ZY and Zhong LP: Annexin A1 down-regulation in oral squamous cell carcinoma correlates to pathological differentiation grade. Oral Oncol. 49:542–550. 2013.PubMed/NCBI View Article : Google Scholar

16 

Ge Y, Li S, Hu XY, Tong HL, Li SF and Yan YQ: TCEA3 promotes differentiation of C2C12 cells via an Annexin A1-mediated transforming growth factor-β signaling pathway. J Cell Physiol. 234:10554–10565. 2019.PubMed/NCBI View Article : Google Scholar

17 

Vishwanatha JK, Salazar E and Gopalakrishnan VK: Absence of annexin I expression in B-cell non-Hodgkin's lymphomas and cell lines. BMC Cancer. 4(8)2004.PubMed/NCBI View Article : Google Scholar

18 

de Jong S, Itinteang T, Withers AH, Davis PF and Tan ST: Does hypoxia play a role in infantile hemangioma? Arch Dermatol Res. 308:219–227. 2016.PubMed/NCBI View Article : Google Scholar

19 

Adams JM, Difazio LT, Rolandelli RH, Luján JJ, Haskó G, Csóka B, Selmeczy Z and Németh ZH: HIF-1: A key mediator in hypoxia. Acta Physiol Hung. 96:19–28. 2009.PubMed/NCBI View Article : Google Scholar

20 

Marchuk DA: Pathogenesis of hemangioma. J Clin Invest. 107:665–666. 2001.PubMed/NCBI View Article : Google Scholar

21 

Aydin Köker S, Kömüroğlu AU, Köksoy AY, Şiraz ÜG, Tekin E and Köker A: Evaluation of GLUT1, IGF-2, VEGF, FGF 1, and angiopoietin 2 in infantile hemangioma. Arch Pediatr. 28:296–300. 2021.PubMed/NCBI View Article : Google Scholar

22 

Yin RR, Hao D and Chen P: Expression and correlation of MMP-9, VEGF, and p16 in infantile hemangioma. Eur Rev Med Pharmacol Sci. 22:4806–4811. 2018.PubMed/NCBI View Article : Google Scholar

23 

Thaivalappil S, Bauman N, Saieg A, Movius E, Brown KJ and Preciado D: Propranolol-mediated attenuation of MMP-9 excretion in infants with hemangiomas. JAMA Otolaryngol Head Neck Surg. 139:1026–1031. 2013.PubMed/NCBI View Article : Google Scholar

24 

Şen HS, Yalçın B, Canpınar H, Ocak S and Akyüz C: Serum levels of VEGF and bFGF in infantile hemangiomas treated with propranolol. Turk J Pediatr. 62:979–985. 2020.PubMed/NCBI View Article : Google Scholar

25 

Park M, Jung HL, Shim YJ, Kim HS, Yoon HS, Park SK, Cheuh HW, Lee MJ, Lee JM, Park ES, et al: Serum cytokine profiles in infants with infantile hemangiomas on oral propranolol treatment: VEGF and bFGF, potential biomarkers predicting clinical outcomes. Pediatr Res. 88:749–755. 2020.PubMed/NCBI View Article : Google Scholar

26 

Rotter A, Lima XT and Oliveira ZNP: Evaluation of plasma and urinary levels of vascular endothelial growth factor and matrix metalloproteinase-9 in patients with infantile hemangioma. Int J Dermatol. 60:1263–1269. 2021.PubMed/NCBI View Article : Google Scholar

27 

Lacerda JZ, Drewes CC, Mimura KKO, Zanon CF, Ansari T, Gil CD, Greco KV, Farsky SHP and Oliani SM: Annexin A12-26 treatment improves skin heterologous transplantation by modulating inflammation and angiogenesis processes. Front Pharmacol. 9(1015)2018.PubMed/NCBI View Article : Google Scholar

28 

Yi M and Schnitzer JE: Impaired tumor growth, metastasis, angiogenesis and wound healing in annexin A1-null mice. Proc Natl Acad Sci USA. 106:17886–17891. 2009.PubMed/NCBI View Article : Google Scholar

29 

Ramakrishnan S, Anand V and Roy S: Vascular endothelial growth factor signaling in hypoxia and inflammation. J Neuroimmune Pharmacol. 9:142–160. 2014.PubMed/NCBI View Article : Google Scholar

30 

Wang X, Tang G and Sun H: Effect of hypoxia on the proliferation and expressions of hypoxia-inducible factor-1α, vascular endothelial growth factor and matrix metalloproteinase-9 in keratinocytes obtained from oral lichen planus lesions. Zhonghua Kou Qiang Yi Xue Za Zhi. 50:89–94. 2015.PubMed/NCBI(In Chinese).

31 

Liao SH, Zhao XY, Han YH, Zhang J, Wang LS, Xia L, Zhao KW, Zheng Y, Guo M and Chen GQ: Proteomics-based identification of two novel direct targets of hypoxia-inducible factor-1 and their potential roles in migration/invasion of cancer cells. Proteomics. 9:3901–3912. 2009.PubMed/NCBI View Article : Google Scholar

32 

Yang F, Cai J, Zhan H, Situ J, Li W, Mao Y and Luo Y: Suppression of TRPM7 inhibited hypoxia-induced migration and invasion of androgen-independent prostate cancer cells by enhancing RACK1-mediated degradation of HIF-1α. Oxid Med Cell Longev. 2020(6724810)2020.PubMed/NCBI View Article : Google Scholar

33 

Roskoski R Jr: ERK1/2 MAP kinases: Structure, function, and regulation. Pharmacol Res. 66:105–143. 2012.PubMed/NCBI View Article : Google Scholar

34 

Lee CC, Chen SC, Tsai SC, Wang BW, Liu YC, Lee HM and Shyu KG: Hyperbaric oxygen induces VEGF expression through ERK, JNK and c-Jun/AP-1 activation in human umbilical vein endothelial cells. J Biomed Sci. 13:143–156. 2006.PubMed/NCBI View Article : Google Scholar

35 

Catar R, Moll G, Hosp I, Simon M, Luecht C, Zhao H, Wu D, Chen L, Kamhieh-Milz J, Korybalska K, et al: Transcriptional regulation of thrombin-induced endothelial VEGF induction and proangiogenic response. Cells. 10(910)2021.PubMed/NCBI View Article : Google Scholar

36 

Poeter M, Radke S, Koese M, Hessner F, Hegemann A, Musiol A, Gerke V, Grewal T and Rescher U: Disruption of the annexin A1/S100A11 complex increases the migration and clonogenic growth by dysregulating epithelial growth factor (EGF) signaling. Biochim Biophys Acta. 1833:1700–1711. 2013.PubMed/NCBI View Article : Google Scholar

37 

Pin AL, Houle F, Fournier P, Guillonneau M, Paquet ÉR, Simard MJ, Royal I and Huot J: Annexin-1-mediated endothelial cell migration and angiogenesis are regulated by vascular endothelial growth factor (VEGF)-induced inhibition of miR-196a expression. J Biol Chem. 287:30541–30551. 2012.PubMed/NCBI View Article : Google Scholar

38 

Wei L, Li L, Liu L, Yu R, Li X and Luo Z: Knockdown of Annexin-A1 Inhibits growth, migration and invasion of glioma cells by suppressing the PI3K/Akt signaling pathway. ASN Neuro. 13(17590914211001218)2021.PubMed/NCBI View Article : Google Scholar

39 

Minet E, Arnould T, Michel G, Roland I, Mottet D, Raes M, Remacle J and Michiels C: ERK activation upon hypoxia: Involvement in HIF-1 activation. FEBS Lett. 468:53–58. 2000.PubMed/NCBI View Article : Google Scholar

40 

Liu L, Ning X, Han S, Zhang H, Sun L, Shi Y, Sun S, Guo C, Yin F, Qiao T, et al: Hypoxia induced HIF-1 accumulation and VEGF expression in gastric epithelial mucosa cells: Involvement of ERK1/2 and PI3K/Akt. Mol Biol (Mosk). 42:459–469. 2008.PubMed/NCBI(In Russian).

Related Articles

  • Abstract
  • View
  • Download
  • Twitter
Copy and paste a formatted citation
Spandidos Publications style
Pan X, Hui H, Teng X and Wei K: Overexpression of Annexin A1 is associated with the formation of capillaries in infantile hemangioma. Mol Clin Oncol 17: 133, 2022.
APA
Pan, X., Hui, H., Teng, X., & Wei, K. (2022). Overexpression of Annexin A1 is associated with the formation of capillaries in infantile hemangioma. Molecular and Clinical Oncology, 17, 133. https://doi.org/10.3892/mco.2022.2566
MLA
Pan, X., Hui, H., Teng, X., Wei, K."Overexpression of Annexin A1 is associated with the formation of capillaries in infantile hemangioma". Molecular and Clinical Oncology 17.3 (2022): 133.
Chicago
Pan, X., Hui, H., Teng, X., Wei, K."Overexpression of Annexin A1 is associated with the formation of capillaries in infantile hemangioma". Molecular and Clinical Oncology 17, no. 3 (2022): 133. https://doi.org/10.3892/mco.2022.2566
Copy and paste a formatted citation
x
Spandidos Publications style
Pan X, Hui H, Teng X and Wei K: Overexpression of Annexin A1 is associated with the formation of capillaries in infantile hemangioma. Mol Clin Oncol 17: 133, 2022.
APA
Pan, X., Hui, H., Teng, X., & Wei, K. (2022). Overexpression of Annexin A1 is associated with the formation of capillaries in infantile hemangioma. Molecular and Clinical Oncology, 17, 133. https://doi.org/10.3892/mco.2022.2566
MLA
Pan, X., Hui, H., Teng, X., Wei, K."Overexpression of Annexin A1 is associated with the formation of capillaries in infantile hemangioma". Molecular and Clinical Oncology 17.3 (2022): 133.
Chicago
Pan, X., Hui, H., Teng, X., Wei, K."Overexpression of Annexin A1 is associated with the formation of capillaries in infantile hemangioma". Molecular and Clinical Oncology 17, no. 3 (2022): 133. https://doi.org/10.3892/mco.2022.2566
Follow us
  • Twitter
  • LinkedIn
  • Facebook
About
  • Spandidos Publications
  • Careers
  • Cookie Policy
  • Privacy Policy
How can we help?
  • Help
  • Live Chat
  • Contact
  • Email to our Support Team