Spandidos Publications Logo
  • About
    • About Spandidos
    • Aims and Scopes
    • Abstracting and Indexing
    • Editorial Policies
    • Reprints and Permissions
    • Job Opportunities
    • Terms and Conditions
    • Contact
  • Journals
    • All Journals
    • Oncology Letters
      • Oncology Letters
      • Information for Authors
      • Editorial Policies
      • Editorial Board
      • Aims and Scope
      • Abstracting and Indexing
      • Bibliographic Information
      • Archive
    • International Journal of Oncology
      • International Journal of Oncology
      • Information for Authors
      • Editorial Policies
      • Editorial Board
      • Aims and Scope
      • Abstracting and Indexing
      • Bibliographic Information
      • Archive
    • Molecular and Clinical Oncology
      • Molecular and Clinical Oncology
      • Information for Authors
      • Editorial Policies
      • Editorial Board
      • Aims and Scope
      • Abstracting and Indexing
      • Bibliographic Information
      • Archive
    • Experimental and Therapeutic Medicine
      • Experimental and Therapeutic Medicine
      • Information for Authors
      • Editorial Policies
      • Editorial Board
      • Aims and Scope
      • Abstracting and Indexing
      • Bibliographic Information
      • Archive
    • International Journal of Molecular Medicine
      • International Journal of Molecular Medicine
      • Information for Authors
      • Editorial Policies
      • Editorial Board
      • Aims and Scope
      • Abstracting and Indexing
      • Bibliographic Information
      • Archive
    • Biomedical Reports
      • Biomedical Reports
      • Information for Authors
      • Editorial Policies
      • Editorial Board
      • Aims and Scope
      • Abstracting and Indexing
      • Bibliographic Information
      • Archive
    • Oncology Reports
      • Oncology Reports
      • Information for Authors
      • Editorial Policies
      • Editorial Board
      • Aims and Scope
      • Abstracting and Indexing
      • Bibliographic Information
      • Archive
    • Molecular Medicine Reports
      • Molecular Medicine Reports
      • Information for Authors
      • Editorial Policies
      • Editorial Board
      • Aims and Scope
      • Abstracting and Indexing
      • Bibliographic Information
      • Archive
    • World Academy of Sciences Journal
      • World Academy of Sciences Journal
      • Information for Authors
      • Editorial Policies
      • Editorial Board
      • Aims and Scope
      • Abstracting and Indexing
      • Bibliographic Information
      • Archive
    • International Journal of Functional Nutrition
      • International Journal of Functional Nutrition
      • Information for Authors
      • Editorial Policies
      • Editorial Board
      • Aims and Scope
      • Abstracting and Indexing
      • Bibliographic Information
      • Archive
    • International Journal of Epigenetics
      • International Journal of Epigenetics
      • Information for Authors
      • Editorial Policies
      • Editorial Board
      • Aims and Scope
      • Abstracting and Indexing
      • Bibliographic Information
      • Archive
    • Medicine International
      • Medicine International
      • Information for Authors
      • Editorial Policies
      • Editorial Board
      • Aims and Scope
      • Abstracting and Indexing
      • Bibliographic Information
      • Archive
  • Articles
  • Information
    • Information for Authors
    • Information for Reviewers
    • Information for Librarians
    • Information for Advertisers
    • Conferences
  • Language Editing
Spandidos Publications Logo
  • About
    • About Spandidos
    • Aims and Scopes
    • Abstracting and Indexing
    • Editorial Policies
    • Reprints and Permissions
    • Job Opportunities
    • Terms and Conditions
    • Contact
  • Journals
    • All Journals
    • Biomedical Reports
      • Information for Authors
      • Editorial Policies
      • Editorial Board
      • Aims and Scope
      • Abstracting and Indexing
      • Bibliographic Information
      • Archive
    • Experimental and Therapeutic Medicine
      • Information for Authors
      • Editorial Policies
      • Editorial Board
      • Aims and Scope
      • Abstracting and Indexing
      • Bibliographic Information
      • Archive
    • International Journal of Epigenetics
      • Information for Authors
      • Editorial Policies
      • Editorial Board
      • Aims and Scope
      • Abstracting and Indexing
      • Bibliographic Information
      • Archive
    • International Journal of Functional Nutrition
      • Information for Authors
      • Editorial Policies
      • Editorial Board
      • Aims and Scope
      • Abstracting and Indexing
      • Bibliographic Information
      • Archive
    • International Journal of Molecular Medicine
      • Information for Authors
      • Editorial Policies
      • Editorial Board
      • Aims and Scope
      • Abstracting and Indexing
      • Bibliographic Information
      • Archive
    • International Journal of Oncology
      • Information for Authors
      • Editorial Policies
      • Editorial Board
      • Aims and Scope
      • Abstracting and Indexing
      • Bibliographic Information
      • Archive
    • Medicine International
      • Information for Authors
      • Editorial Policies
      • Editorial Board
      • Aims and Scope
      • Abstracting and Indexing
      • Bibliographic Information
      • Archive
    • Molecular and Clinical Oncology
      • Information for Authors
      • Editorial Policies
      • Editorial Board
      • Aims and Scope
      • Abstracting and Indexing
      • Bibliographic Information
      • Archive
    • Molecular Medicine Reports
      • Information for Authors
      • Editorial Policies
      • Editorial Board
      • Aims and Scope
      • Abstracting and Indexing
      • Bibliographic Information
      • Archive
    • Oncology Letters
      • Information for Authors
      • Editorial Policies
      • Editorial Board
      • Aims and Scope
      • Abstracting and Indexing
      • Bibliographic Information
      • Archive
    • Oncology Reports
      • Information for Authors
      • Editorial Policies
      • Editorial Board
      • Aims and Scope
      • Abstracting and Indexing
      • Bibliographic Information
      • Archive
    • World Academy of Sciences Journal
      • Information for Authors
      • Editorial Policies
      • Editorial Board
      • Aims and Scope
      • Abstracting and Indexing
      • Bibliographic Information
      • Archive
  • Articles
  • Information
    • For Authors
    • For Reviewers
    • For Librarians
    • For Advertisers
    • Conferences
  • Language Editing
Login Register Submit
  • This site uses cookies
  • You can change your cookie settings at any time by following the instructions in our Cookie Policy. To find out more, you may read our Privacy Policy.

    I agree
Search articles by DOI, keyword, author or affiliation
Search
Advanced Search
presentation
Molecular and Clinical Oncology
Join Editorial Board Propose a Special Issue
Print ISSN: 2049-9450 Online ISSN: 2049-9469
Journal Cover
May-2023 Volume 18 Issue 5

Full Size Image

Sign up for eToc alerts
Recommend to Library

Journals

International Journal of Molecular Medicine

International Journal of Molecular Medicine

International Journal of Molecular Medicine is an international journal devoted to molecular mechanisms of human disease.

International Journal of Oncology

International Journal of Oncology

International Journal of Oncology is an international journal devoted to oncology research and cancer treatment.

Molecular Medicine Reports

Molecular Medicine Reports

Covers molecular medicine topics such as pharmacology, pathology, genetics, neuroscience, infectious diseases, molecular cardiology, and molecular surgery.

Oncology Reports

Oncology Reports

Oncology Reports is an international journal devoted to fundamental and applied research in Oncology.

Experimental and Therapeutic Medicine

Experimental and Therapeutic Medicine

Experimental and Therapeutic Medicine is an international journal devoted to laboratory and clinical medicine.

Oncology Letters

Oncology Letters

Oncology Letters is an international journal devoted to Experimental and Clinical Oncology.

Biomedical Reports

Biomedical Reports

Explores a wide range of biological and medical fields, including pharmacology, genetics, microbiology, neuroscience, and molecular cardiology.

Molecular and Clinical Oncology

Molecular and Clinical Oncology

International journal addressing all aspects of oncology research, from tumorigenesis and oncogenes to chemotherapy and metastasis.

World Academy of Sciences Journal

World Academy of Sciences Journal

Multidisciplinary open-access journal spanning biochemistry, genetics, neuroscience, environmental health, and synthetic biology.

International Journal of Functional Nutrition

International Journal of Functional Nutrition

Open-access journal combining biochemistry, pharmacology, immunology, and genetics to advance health through functional nutrition.

International Journal of Epigenetics

International Journal of Epigenetics

Publishes open-access research on using epigenetics to advance understanding and treatment of human disease.

Medicine International

Medicine International

An International Open Access Journal Devoted to General Medicine.

Journal Cover
May-2023 Volume 18 Issue 5

Full Size Image

Sign up for eToc alerts
Recommend to Library

  • Article
  • Citations
    • Cite This Article
    • Download Citation
    • Create Citation Alert
    • Remove Citation Alert
    • Cited By
  • Similar Articles
    • Related Articles (in Spandidos Publications)
    • Similar Articles (Google Scholar)
    • Similar Articles (PubMed)
  • Download PDF
  • Download XML
  • View XML
Case Report Open Access

Metaplastic breast carcinoma producing prominent basal lamina with neuroendocrine differentiation: A case report

  • Authors:
    • Yoshitaka Furuya
    • Kenzo Hiroshima
    • Takashi Wakahara
    • Harutoshi Akimoto
    • Shigeo Kawai
    • Masayuki Ota
    • Yukio Nakatani
    • Akinori Furuya
    • Hironobu Yanagie
  • View Affiliations / Copyright

    Affiliations: Department of Surgery, Sodegaura Satsukidai Hospital, Sodegaura, Chiba 299‑0246, Japan, Department of Pathology, Sodegaura Satsukidai Hospital, Sodegaura, Chiba 299‑0246, Japan, Department of Diagnostic Pathology, Tochigi Medical Center Shimotsuga, Tochigi, Tochigi 329‑4498, Japan, Department of Diagnostic Pathology, Graduate School of Medicine, Chiba University, Chiba, Chiba 260‑8670, Japan, Department of Pathology, Yokosuka Kyosai Hospital, Yokosuka, Kanagawa 238‑0011, Japan, Faculty of Science and Engineering, Tokushima Bunri University, Sanuki, Kagawa 769‑2193, Japan, Research Institute of Healthy Living, Faculty of Pharmaceutical Sciences, Niigata University of Pharmacy and Applied Life Sciences, Niigata, Niigata 956‑8603, Japan
    Copyright: © Furuya et al. This is an open access article distributed under the terms of Creative Commons Attribution License.
  • Article Number: 36
    |
    Published online on: March 10, 2023
       https://doi.org/10.3892/mco.2023.2632
  • Expand metrics +
Metrics: Total Views: 0 (Spandidos Publications: | PMC Statistics: )
Metrics: Total PDF Downloads: 0 (Spandidos Publications: | PMC Statistics: )
Cited By (CrossRef): 0 citations Loading Articles...

This article is mentioned in:



Abstract

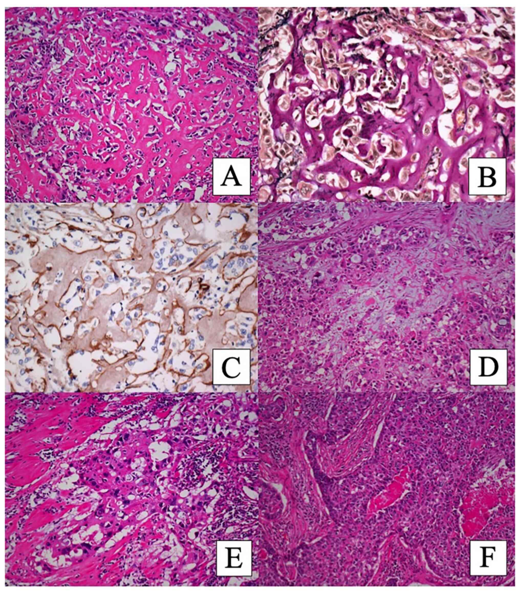
Metaplastic breast carcinoma (MBC) is a heterogeneous group of invasive breast carcinomas (IBCs) characterized by the differentiation of the neoplastic epithelium toward squamous cells and/or mesenchymal‑appearing elements. The present study describes the case of a 42‑year‑old woman who underwent a mastectomy and sentinel lymph node biopsy for two tumors in their left breast. One of the resected tumors was diagnosed as MBC with neuroendocrine (NE) differentiation and the other was diagnosed as IBC of no special type. The MBC tumor contained a matrix composed of basal lamina with a focal area of myxoid matrix and squamoid differentiation. To the best of our knowledge, the present study is the first report of MBC producing prominent basal lamina. The patient has remained alive and well for >10 years without recurrence, and has been treated with oral and injected anticancer drugs.
View Figures

Figure 1

Figure 2

Figure 3

View References

1 

Brogi E: Carcinoma with metaplasia and low-grade adenosquamous carcinoma. Rosen's Breast Pathology. 4th edition. Lippincott Williams & Wilkins, Philadelphia, PA, pp547-pp598, 2014.

2 

Reis-Filho JS, Gobbi H, McCart Reed AE, Rakha EA, Shin SJ, Sotiriou C and Vincent-Salomon A: Metaplastic carcinoma. WHO Classification of Tumours Editorial Board. Breast Tumours. 5th edition. International Agency for Research on Cancer, Lyon, pp134-pp138, 2019.

3 

Ong CT, Campbell BM, Thomas SM, Greenup RA, Plichta JK, Rosenberger LH, Force J, Hall A, Hyslop T, Hwang ES and Fayanju OM: Metaplastic breast cancer treatment and outcomes in 2,500 patients: A retrospective analysis of a national oncology database. Ann Surg Oncol. 25:2249–2260. 2018.PubMed/NCBI View Article : Google Scholar

4 

Ordonez NG: SATB2 is a novel marker of osteoblastic differentiation and colorectal adenocarcinoma. Adv Anat Pathol. 21:63–67. 2014.PubMed/NCBI View Article : Google Scholar

5 

Mazur MT and Battifora HA: Adenoid cystic carcinoma of the uterine cervix: Ultrastructure, immunofluorescence, and criteria for diagnosis. Am J Clin Pathol. 77:494–500. 1982.PubMed/NCBI View Article : Google Scholar

6 

Jakobiec FA, Stagner AM, Eagle RC Jr, Lally SE and Krane JF: Unusual pleomorphic adenoma of the lacrimal gland: Immunohistochemical demonstration of PLAG1 and HMGA2 oncoproteins. Surv Ophthalmol. 62:219–226. 2017.PubMed/NCBI View Article : Google Scholar

7 

Asai S, Tang X, Ohta Y and Tsutsumi Y: Myoepithelial carcinoma in pleomorphic adenoma of salivary gland type, occurring in the mandible of an infant. Pathol Int. 45:677–683. 1995.PubMed/NCBI View Article : Google Scholar

8 

Kato N, Takeda J, Fukase M and Motoyama T: Alternate mucoid and hyalinized stroma in clear cell carcinoma of the ovary: Manifestation of serial stromal remodeling. Mod Pathol. 23:881–888. 2010.PubMed/NCBI View Article : Google Scholar

9 

Al-Obaidy KI, Williamson SR, Shelman N, Idrees MT and Ulbright TM: Hepatoid Teratoma, Hepatoid yolk sac tumor, and hepatocellular carcinoma: A morphologic and immunohistochemical study of 30 cases. Am J Surg Pathol. 45:127–136. 2021.PubMed/NCBI View Article : Google Scholar

10 

Weber L, Krieg T, Müller PK, Kirsch E and Timpl R: Immunofluorescent localization of type IV collagen and laminin in human skin and its application in junctional zone pathology. Br J Dermatol. 106:267–273. 1982.PubMed/NCBI View Article : Google Scholar

11 

Murrell TG: The potential for oxytocin (OT) to prevent breast cancer: A hypothesis. Breast Cancer Res Treat. 35:225–229. 1995.PubMed/NCBI View Article : Google Scholar

12 

Lepucki A, Orlińska K, Mielczarek-Palacz A, Kabut J, Olczyk P and Komosińska-Vassev K: The role of extracellular matrix proteins in breast cancer. J Clin Med. 11(1250)2022.PubMed/NCBI View Article : Google Scholar

13 

Gudjonsson T, Rønnov-Jessen L, Villadsen R, Rank F, Bissell MJ and Petersen OW: Normal and tumor-derived myoepithelial cells differ in their ability to interact with luminal breast epithelial cells for polarity and basement membrane deposition. J Cell Sci. 115:39–50. 2002.PubMed/NCBI View Article : Google Scholar

14 

Tavassoli FA and Soares J: Myoepithelial lesions. In: Pathology and Genetics of Tumours of the Breast and Female Genital Organs. Tavassoli FA and Devilee P (eds). International Agency for Research on Cancer, Lyon, pp86-88, 2003.

15 

Rakha EA, Coimbra ND, Hodi Z, Juneinah E, Ellis IO and Lee AH: Immunoprofile of metaplastic carcinomas of the breast. Histopathology. 70:975–985. 2017.PubMed/NCBI View Article : Google Scholar

16 

Cakir A, Isik Gonul I, Ekinci O, Cetin B, Benekli M and Uluoglu O: GATA3 expression and its relationship with clinicopathological parameters in invasive breast carcinomas. Pathol Res Pract. 213:227–234. 2017.PubMed/NCBI View Article : Google Scholar

17 

Rayson D, Adjei AA, Suman VJ, Wold LE and Ingle JN: Metaplastic breast cancer: Prognosis and response to systemic therapy. Ann Oncol. 10:413–419. 1999.PubMed/NCBI View Article : Google Scholar

18 

Rakha EA, Tan PH, Varga Z, Tse GM, Shaaban AM, Climent F, van Deurzen CH, Purnell D, Dodwell D, Chan T and Ellis IO: Prognostic factors in metaplastic carcinoma of the breast: A multi-institutional study. Br J Cancer. 112:283–289. 2015.PubMed/NCBI View Article : Google Scholar

19 

Frachon S, Pasquier D, Treilleux I, Seigneurin D, Ringeisen F, Rosier P, Bolla M and Boutonnat J: Breast carcinoma with predominant neuroendocrine differentiation. Ann Pathol. 24:278–283. 2004.PubMed/NCBI View Article : Google Scholar : (In French).

20 

Ding HY and Gao LX: Spindle cell carcinoma of breast with neuroendocrine differentiation. Zhonghua Bing Li Xue Za Zhi. 35:13–17. 2006.PubMed/NCBI(In Chinese).

21 

Lai BS, Tsang JY, Poon IK, Shao Y, Chan SK, Tam FK, Cheung SY, Shea KH and Tse GM: The clinical significance of neuroendocrine features in invasive breast carcinomas. Oncologist. 25:e1318–1329. 2020.PubMed/NCBI View Article : Google Scholar

22 

Rosen SE and Gattuso P: Neuroendocrine tumors of the breast. Arch Pathol Lab Med. 141:1577–1581. 2017.PubMed/NCBI View Article : Google Scholar

Related Articles

  • Abstract
  • View
  • Download
  • Twitter
Copy and paste a formatted citation
Spandidos Publications style
Furuya Y, Hiroshima K, Wakahara T, Akimoto H, Kawai S, Ota M, Nakatani Y, Furuya A and Yanagie H: Metaplastic breast carcinoma producing prominent basal lamina with neuroendocrine differentiation: A case report. Mol Clin Oncol 18: 36, 2023.
APA
Furuya, Y., Hiroshima, K., Wakahara, T., Akimoto, H., Kawai, S., Ota, M. ... Yanagie, H. (2023). Metaplastic breast carcinoma producing prominent basal lamina with neuroendocrine differentiation: A case report. Molecular and Clinical Oncology, 18, 36. https://doi.org/10.3892/mco.2023.2632
MLA
Furuya, Y., Hiroshima, K., Wakahara, T., Akimoto, H., Kawai, S., Ota, M., Nakatani, Y., Furuya, A., Yanagie, H."Metaplastic breast carcinoma producing prominent basal lamina with neuroendocrine differentiation: A case report". Molecular and Clinical Oncology 18.5 (2023): 36.
Chicago
Furuya, Y., Hiroshima, K., Wakahara, T., Akimoto, H., Kawai, S., Ota, M., Nakatani, Y., Furuya, A., Yanagie, H."Metaplastic breast carcinoma producing prominent basal lamina with neuroendocrine differentiation: A case report". Molecular and Clinical Oncology 18, no. 5 (2023): 36. https://doi.org/10.3892/mco.2023.2632
Copy and paste a formatted citation
x
Spandidos Publications style
Furuya Y, Hiroshima K, Wakahara T, Akimoto H, Kawai S, Ota M, Nakatani Y, Furuya A and Yanagie H: Metaplastic breast carcinoma producing prominent basal lamina with neuroendocrine differentiation: A case report. Mol Clin Oncol 18: 36, 2023.
APA
Furuya, Y., Hiroshima, K., Wakahara, T., Akimoto, H., Kawai, S., Ota, M. ... Yanagie, H. (2023). Metaplastic breast carcinoma producing prominent basal lamina with neuroendocrine differentiation: A case report. Molecular and Clinical Oncology, 18, 36. https://doi.org/10.3892/mco.2023.2632
MLA
Furuya, Y., Hiroshima, K., Wakahara, T., Akimoto, H., Kawai, S., Ota, M., Nakatani, Y., Furuya, A., Yanagie, H."Metaplastic breast carcinoma producing prominent basal lamina with neuroendocrine differentiation: A case report". Molecular and Clinical Oncology 18.5 (2023): 36.
Chicago
Furuya, Y., Hiroshima, K., Wakahara, T., Akimoto, H., Kawai, S., Ota, M., Nakatani, Y., Furuya, A., Yanagie, H."Metaplastic breast carcinoma producing prominent basal lamina with neuroendocrine differentiation: A case report". Molecular and Clinical Oncology 18, no. 5 (2023): 36. https://doi.org/10.3892/mco.2023.2632
Follow us
  • Twitter
  • LinkedIn
  • Facebook
About
  • Spandidos Publications
  • Careers
  • Cookie Policy
  • Privacy Policy
How can we help?
  • Help
  • Live Chat
  • Contact
  • Email to our Support Team