Spandidos Publications Logo
  • About
    • About Spandidos
    • Aims and Scopes
    • Abstracting and Indexing
    • Editorial Policies
    • Reprints and Permissions
    • Job Opportunities
    • Terms and Conditions
    • Contact
  • Journals
    • All Journals
    • Oncology Letters
      • Oncology Letters
      • Information for Authors
      • Editorial Policies
      • Editorial Board
      • Aims and Scope
      • Abstracting and Indexing
      • Bibliographic Information
      • Archive
    • International Journal of Oncology
      • International Journal of Oncology
      • Information for Authors
      • Editorial Policies
      • Editorial Board
      • Aims and Scope
      • Abstracting and Indexing
      • Bibliographic Information
      • Archive
    • Molecular and Clinical Oncology
      • Molecular and Clinical Oncology
      • Information for Authors
      • Editorial Policies
      • Editorial Board
      • Aims and Scope
      • Abstracting and Indexing
      • Bibliographic Information
      • Archive
    • Experimental and Therapeutic Medicine
      • Experimental and Therapeutic Medicine
      • Information for Authors
      • Editorial Policies
      • Editorial Board
      • Aims and Scope
      • Abstracting and Indexing
      • Bibliographic Information
      • Archive
    • International Journal of Molecular Medicine
      • International Journal of Molecular Medicine
      • Information for Authors
      • Editorial Policies
      • Editorial Board
      • Aims and Scope
      • Abstracting and Indexing
      • Bibliographic Information
      • Archive
    • Biomedical Reports
      • Biomedical Reports
      • Information for Authors
      • Editorial Policies
      • Editorial Board
      • Aims and Scope
      • Abstracting and Indexing
      • Bibliographic Information
      • Archive
    • Oncology Reports
      • Oncology Reports
      • Information for Authors
      • Editorial Policies
      • Editorial Board
      • Aims and Scope
      • Abstracting and Indexing
      • Bibliographic Information
      • Archive
    • Molecular Medicine Reports
      • Molecular Medicine Reports
      • Information for Authors
      • Editorial Policies
      • Editorial Board
      • Aims and Scope
      • Abstracting and Indexing
      • Bibliographic Information
      • Archive
    • World Academy of Sciences Journal
      • World Academy of Sciences Journal
      • Information for Authors
      • Editorial Policies
      • Editorial Board
      • Aims and Scope
      • Abstracting and Indexing
      • Bibliographic Information
      • Archive
    • International Journal of Functional Nutrition
      • International Journal of Functional Nutrition
      • Information for Authors
      • Editorial Policies
      • Editorial Board
      • Aims and Scope
      • Abstracting and Indexing
      • Bibliographic Information
      • Archive
    • International Journal of Epigenetics
      • International Journal of Epigenetics
      • Information for Authors
      • Editorial Policies
      • Editorial Board
      • Aims and Scope
      • Abstracting and Indexing
      • Bibliographic Information
      • Archive
    • Medicine International
      • Medicine International
      • Information for Authors
      • Editorial Policies
      • Editorial Board
      • Aims and Scope
      • Abstracting and Indexing
      • Bibliographic Information
      • Archive
  • Articles
  • Information
    • Information for Authors
    • Information for Reviewers
    • Information for Librarians
    • Information for Advertisers
    • Conferences
  • Language Editing
Spandidos Publications Logo
  • About
    • About Spandidos
    • Aims and Scopes
    • Abstracting and Indexing
    • Editorial Policies
    • Reprints and Permissions
    • Job Opportunities
    • Terms and Conditions
    • Contact
  • Journals
    • All Journals
    • Biomedical Reports
      • Information for Authors
      • Editorial Policies
      • Editorial Board
      • Aims and Scope
      • Abstracting and Indexing
      • Bibliographic Information
      • Archive
    • Experimental and Therapeutic Medicine
      • Information for Authors
      • Editorial Policies
      • Editorial Board
      • Aims and Scope
      • Abstracting and Indexing
      • Bibliographic Information
      • Archive
    • International Journal of Epigenetics
      • Information for Authors
      • Editorial Policies
      • Editorial Board
      • Aims and Scope
      • Abstracting and Indexing
      • Bibliographic Information
      • Archive
    • International Journal of Functional Nutrition
      • Information for Authors
      • Editorial Policies
      • Editorial Board
      • Aims and Scope
      • Abstracting and Indexing
      • Bibliographic Information
      • Archive
    • International Journal of Molecular Medicine
      • Information for Authors
      • Editorial Policies
      • Editorial Board
      • Aims and Scope
      • Abstracting and Indexing
      • Bibliographic Information
      • Archive
    • International Journal of Oncology
      • Information for Authors
      • Editorial Policies
      • Editorial Board
      • Aims and Scope
      • Abstracting and Indexing
      • Bibliographic Information
      • Archive
    • Medicine International
      • Information for Authors
      • Editorial Policies
      • Editorial Board
      • Aims and Scope
      • Abstracting and Indexing
      • Bibliographic Information
      • Archive
    • Molecular and Clinical Oncology
      • Information for Authors
      • Editorial Policies
      • Editorial Board
      • Aims and Scope
      • Abstracting and Indexing
      • Bibliographic Information
      • Archive
    • Molecular Medicine Reports
      • Information for Authors
      • Editorial Policies
      • Editorial Board
      • Aims and Scope
      • Abstracting and Indexing
      • Bibliographic Information
      • Archive
    • Oncology Letters
      • Information for Authors
      • Editorial Policies
      • Editorial Board
      • Aims and Scope
      • Abstracting and Indexing
      • Bibliographic Information
      • Archive
    • Oncology Reports
      • Information for Authors
      • Editorial Policies
      • Editorial Board
      • Aims and Scope
      • Abstracting and Indexing
      • Bibliographic Information
      • Archive
    • World Academy of Sciences Journal
      • Information for Authors
      • Editorial Policies
      • Editorial Board
      • Aims and Scope
      • Abstracting and Indexing
      • Bibliographic Information
      • Archive
  • Articles
  • Information
    • For Authors
    • For Reviewers
    • For Librarians
    • For Advertisers
    • Conferences
  • Language Editing
Login Register Submit
  • This site uses cookies
  • You can change your cookie settings at any time by following the instructions in our Cookie Policy. To find out more, you may read our Privacy Policy.

    I agree
Search articles by DOI, keyword, author or affiliation
Search
Advanced Search
presentation
Medicine International
Join Editorial Board Propose a Special Issue
Print ISSN: 2754-3242 Online ISSN: 2754-1304
Journal Cover
March-April 2022 Volume 2 Issue 2

Full Size Image

Sign up for eToc alerts
Recommend to Library

Journals

International Journal of Molecular Medicine

International Journal of Molecular Medicine

International Journal of Molecular Medicine is an international journal devoted to molecular mechanisms of human disease.

International Journal of Oncology

International Journal of Oncology

International Journal of Oncology is an international journal devoted to oncology research and cancer treatment.

Molecular Medicine Reports

Molecular Medicine Reports

Covers molecular medicine topics such as pharmacology, pathology, genetics, neuroscience, infectious diseases, molecular cardiology, and molecular surgery.

Oncology Reports

Oncology Reports

Oncology Reports is an international journal devoted to fundamental and applied research in Oncology.

Experimental and Therapeutic Medicine

Experimental and Therapeutic Medicine

Experimental and Therapeutic Medicine is an international journal devoted to laboratory and clinical medicine.

Oncology Letters

Oncology Letters

Oncology Letters is an international journal devoted to Experimental and Clinical Oncology.

Biomedical Reports

Biomedical Reports

Explores a wide range of biological and medical fields, including pharmacology, genetics, microbiology, neuroscience, and molecular cardiology.

Molecular and Clinical Oncology

Molecular and Clinical Oncology

International journal addressing all aspects of oncology research, from tumorigenesis and oncogenes to chemotherapy and metastasis.

World Academy of Sciences Journal

World Academy of Sciences Journal

Multidisciplinary open-access journal spanning biochemistry, genetics, neuroscience, environmental health, and synthetic biology.

International Journal of Functional Nutrition

International Journal of Functional Nutrition

Open-access journal combining biochemistry, pharmacology, immunology, and genetics to advance health through functional nutrition.

International Journal of Epigenetics

International Journal of Epigenetics

Publishes open-access research on using epigenetics to advance understanding and treatment of human disease.

Medicine International

Medicine International

An International Open Access Journal Devoted to General Medicine.

Journal Cover
March-April 2022 Volume 2 Issue 2

Full Size Image

Sign up for eToc alerts
Recommend to Library

  • Article
  • Citations
    • Cite This Article
    • Download Citation
    • Create Citation Alert
    • Remove Citation Alert
    • Cited By
  • Similar Articles
    • Related Articles (in Spandidos Publications)
    • Similar Articles (Google Scholar)
    • Similar Articles (PubMed)
  • Download PDF
  • Download XML
  • View XML
Case Report Open Access

Superior mesenteric artery syndrome following esophageal cancer surgery: A report of two cases and a literature review

  • Authors:
    • Yun Zhou
    • Zhi-Liang Yang
    • Zheng Wang
  • View Affiliations / Copyright

    Affiliations: Department of Cardiothoracic Surgery and Abdominal Hernia Surgery, The People's Hospital of Kai Zhou District, Chongqing 405400, P.R. China, Department of Cardiothoracic Surgery and Abdominal Hernia Surgery, The People's Hospital of Kai Zhou District, Chongqing 405400, P.R. China
    Copyright: © Zhou et al. This is an open access article distributed under the terms of Creative Commons Attribution License.
  • Article Number: 10
    |
    Published online on: March 17, 2022
       https://doi.org/10.3892/mi.2022.35
  • Expand metrics +
Metrics: Total Views: 0 (Spandidos Publications: | PMC Statistics: )
Metrics: Total PDF Downloads: 0 (Spandidos Publications: | PMC Statistics: )
Cited By (CrossRef): 0 citations Loading Articles...

This article is mentioned in:



Abstract

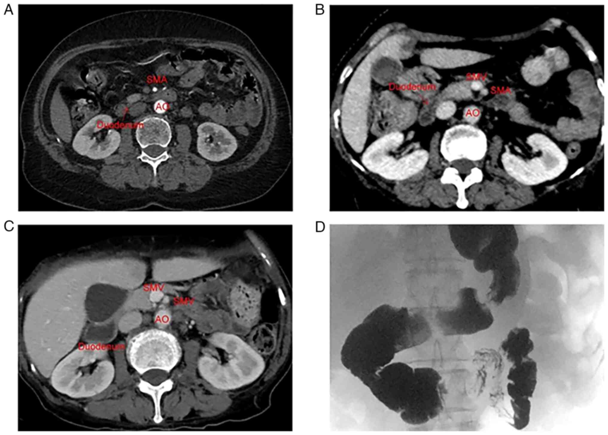
The present study describes two cases of superior mesenteric artery syndrome (SMAS) which occurred following esophageal cancer surgery. The first case was that of a 68‑year‑old woman who underwent left sided trans‑thoracic esophagectomy for esophageal squamous cell carcinoma. Specific symptoms, including bloating and postprandial vomiting, firstly appeared repeatedly 1 week following surgery. She was diagnosed with SMAS using a barium swallow (upper gastrointestinal series), and the symptoms did not improve following nutritional support treatment. Finally, the symptoms were relieved following a duodenojejunostomy. The second case involved a 66‑year‑old woman who underwent radical esophageal cancer resection. At 4 years after the surgery, the patient developed abdominal distension and postprandial vomiting. She was diagnosed with SMAS, again using an upper gastrointestinal series. Her symptoms were relieved following parenteral nutrition support. SMAS is a rare disease characterized by abdominal distension and vomiting. It is similar to the gastrointestinal manifestations caused by anastomotic stenosis and gastrointestinal reconstruction following esophageal cancer surgery, and it may also prompt thoracic surgeons to ignore the diagnosis of SMAS. Therefore, the possibility of SMAS occurrence in patients who have undergone radical esophageal cancer surgery, should be taken into consideration if they experience gastrointestinal symptoms, including abdominal distension and vomiting, following a rapid weight loss.
View Figures

Figure 1

Figure 2

Figure 3

View References

1 

Wilkie DP: Chronic duodenal ileus. Br J Surg. 9:204–214. 1921.

2 

Diab S and Hayek F: Combined superior mesenteric artery syndrome and nutcracker syndrome in a young patient: A case report and review of the literature. Am J Case Rep. 21(e922619)2020.PubMed/NCBI View Article : Google Scholar

3 

Baltazar U, Dunn J, Floresguerra C, Schmidt L and Browder W: Superior mesenteric artery syndrome: An uncommon cause of intestinal obstruction. South Med J. 93:606–608. 2000.PubMed/NCBI

4 

Rai RR, Shah S, Palliyil NS, Dalvie S and Shah R: Superior mesenteric artery syndrome complicating spinal deformity correction surgery a case report and review of the literature. JBJS Case Connect. 9(e0497)2019.PubMed/NCBI View Article : Google Scholar

5 

Merrett ND, Wilson RB, Cosman P and Biankin AV: Superior mesenteric artery syndrome: Diagnosis and treatment strategies. J Gastrointest Surg. 13:287–292. 2009.PubMed/NCBI View Article : Google Scholar

6 

Hines JR, Gore RM and Ballantyne GH: Superior mesenteric artery syndrome. Diagnostic criteria and therapeutic approaches. Am J Surg. 148:630–632. 1984.PubMed/NCBI View Article : Google Scholar

7 

Reckler JM, Bruck HM, Munster AM, Curreri PW and Pruitt BA Jr: Superior mesenteric artery syndrome as a consequence of burn injury. J Trauma. 12:979–985. 1972.PubMed/NCBI View Article : Google Scholar

8 

Biank V and Werlin S: Superior mesenteric artery syndrome in children: A 20-year experience. J Pediatr Gastroenterol Nutr. 42:522–525. 2006.PubMed/NCBI View Article : Google Scholar

9 

Sun Z, Rodriguez J, McMichael J, Walsh RM, Chalikonda S, Rosenthal RJ, Kroh MD and El-Hayek K: Minimally invasive duodenojejunostomy for superior mesenteric artery syndrome: A case series and review of the literature. Surg Endosc. 29:1137–1144. 2015.PubMed/NCBI View Article : Google Scholar

10 

Wilson-Storey D and MacKinlay GA: The superior mesenteric artery syndrome. J R Coll Surg Edinb. 31:175–178. 1986.PubMed/NCBI

11 

Yao SY, Mikami R and Mikami S: Minimally invasive surgery for superior mesenteric artery syndrome: A case report. World J Gastroenterol. 21:12970–12975. 2015.PubMed/NCBI View Article : Google Scholar

12 

Strong EK: Mechanics of arteriomesentric duodenal obstruction and direct surgical attack upon etiology. Ann Surg. 148:725–730. 1958.PubMed/NCBI View Article : Google Scholar

13 

Ha CD, Alvear DT and Leber DC: Duodenal derotation as an effective treatment of superior mesenteric artery syndrome: A thirty-three-year experience. Am Surg. 74:644–653. 2008.PubMed/NCBI

14 

Morris TC, Devitt PG and Thompson SK: Laparoscopic duodenojejunostomy for superior mesenteric artery syndrome-how I do it. J Gastrointest Surg. 13:1870–1873. 2009.PubMed/NCBI View Article : Google Scholar

15 

Sinagra E, Raimondo D, Albano D, Guarnotta V, Blasco M, Testai S, Marasà M, Mastrella V, Alaimo V, Bova V, et al: Superior mesenteric artery syndrome: Clinical, endoscopic, and radiological findings. Gastroenterol Res Pract. 2018(1937416)2018.PubMed/NCBI View Article : Google Scholar

Related Articles

  • Abstract
  • View
  • Download
Copy and paste a formatted citation
Spandidos Publications style
Zhou Y, Yang Z and Wang Z: Superior mesenteric artery syndrome following esophageal cancer surgery: A report of two cases and a literature review. Med Int 2: 10, 2022.
APA
Zhou, Y., Yang, Z., & Wang, Z. (2022). Superior mesenteric artery syndrome following esophageal cancer surgery: A report of two cases and a literature review. Medicine International, 2, 10. https://doi.org/10.3892/mi.2022.35
MLA
Zhou, Y., Yang, Z., Wang, Z."Superior mesenteric artery syndrome following esophageal cancer surgery: A report of two cases and a literature review". Medicine International 2.2 (2022): 10.
Chicago
Zhou, Y., Yang, Z., Wang, Z."Superior mesenteric artery syndrome following esophageal cancer surgery: A report of two cases and a literature review". Medicine International 2, no. 2 (2022): 10. https://doi.org/10.3892/mi.2022.35
Copy and paste a formatted citation
x
Spandidos Publications style
Zhou Y, Yang Z and Wang Z: Superior mesenteric artery syndrome following esophageal cancer surgery: A report of two cases and a literature review. Med Int 2: 10, 2022.
APA
Zhou, Y., Yang, Z., & Wang, Z. (2022). Superior mesenteric artery syndrome following esophageal cancer surgery: A report of two cases and a literature review. Medicine International, 2, 10. https://doi.org/10.3892/mi.2022.35
MLA
Zhou, Y., Yang, Z., Wang, Z."Superior mesenteric artery syndrome following esophageal cancer surgery: A report of two cases and a literature review". Medicine International 2.2 (2022): 10.
Chicago
Zhou, Y., Yang, Z., Wang, Z."Superior mesenteric artery syndrome following esophageal cancer surgery: A report of two cases and a literature review". Medicine International 2, no. 2 (2022): 10. https://doi.org/10.3892/mi.2022.35
Follow us
  • Twitter
  • LinkedIn
  • Facebook
About
  • Spandidos Publications
  • Careers
  • Cookie Policy
  • Privacy Policy
How can we help?
  • Help
  • Live Chat
  • Contact
  • Email to our Support Team