Spandidos Publications Logo
  • About
    • About Spandidos
    • Aims and Scopes
    • Abstracting and Indexing
    • Editorial Policies
    • Reprints and Permissions
    • Job Opportunities
    • Terms and Conditions
    • Contact
  • Journals
    • All Journals
    • Oncology Letters
      • Oncology Letters
      • Information for Authors
      • Editorial Policies
      • Editorial Board
      • Aims and Scope
      • Abstracting and Indexing
      • Bibliographic Information
      • Archive
    • International Journal of Oncology
      • International Journal of Oncology
      • Information for Authors
      • Editorial Policies
      • Editorial Board
      • Aims and Scope
      • Abstracting and Indexing
      • Bibliographic Information
      • Archive
    • Molecular and Clinical Oncology
      • Molecular and Clinical Oncology
      • Information for Authors
      • Editorial Policies
      • Editorial Board
      • Aims and Scope
      • Abstracting and Indexing
      • Bibliographic Information
      • Archive
    • Experimental and Therapeutic Medicine
      • Experimental and Therapeutic Medicine
      • Information for Authors
      • Editorial Policies
      • Editorial Board
      • Aims and Scope
      • Abstracting and Indexing
      • Bibliographic Information
      • Archive
    • International Journal of Molecular Medicine
      • International Journal of Molecular Medicine
      • Information for Authors
      • Editorial Policies
      • Editorial Board
      • Aims and Scope
      • Abstracting and Indexing
      • Bibliographic Information
      • Archive
    • Biomedical Reports
      • Biomedical Reports
      • Information for Authors
      • Editorial Policies
      • Editorial Board
      • Aims and Scope
      • Abstracting and Indexing
      • Bibliographic Information
      • Archive
    • Oncology Reports
      • Oncology Reports
      • Information for Authors
      • Editorial Policies
      • Editorial Board
      • Aims and Scope
      • Abstracting and Indexing
      • Bibliographic Information
      • Archive
    • Molecular Medicine Reports
      • Molecular Medicine Reports
      • Information for Authors
      • Editorial Policies
      • Editorial Board
      • Aims and Scope
      • Abstracting and Indexing
      • Bibliographic Information
      • Archive
    • World Academy of Sciences Journal
      • World Academy of Sciences Journal
      • Information for Authors
      • Editorial Policies
      • Editorial Board
      • Aims and Scope
      • Abstracting and Indexing
      • Bibliographic Information
      • Archive
    • International Journal of Functional Nutrition
      • International Journal of Functional Nutrition
      • Information for Authors
      • Editorial Policies
      • Editorial Board
      • Aims and Scope
      • Abstracting and Indexing
      • Bibliographic Information
      • Archive
    • International Journal of Epigenetics
      • International Journal of Epigenetics
      • Information for Authors
      • Editorial Policies
      • Editorial Board
      • Aims and Scope
      • Abstracting and Indexing
      • Bibliographic Information
      • Archive
    • Medicine International
      • Medicine International
      • Information for Authors
      • Editorial Policies
      • Editorial Board
      • Aims and Scope
      • Abstracting and Indexing
      • Bibliographic Information
      • Archive
  • Articles
  • Information
    • Information for Authors
    • Information for Reviewers
    • Information for Librarians
    • Information for Advertisers
    • Conferences
  • Language Editing
Spandidos Publications Logo
  • About
    • About Spandidos
    • Aims and Scopes
    • Abstracting and Indexing
    • Editorial Policies
    • Reprints and Permissions
    • Job Opportunities
    • Terms and Conditions
    • Contact
  • Journals
    • All Journals
    • Biomedical Reports
      • Information for Authors
      • Editorial Policies
      • Editorial Board
      • Aims and Scope
      • Abstracting and Indexing
      • Bibliographic Information
      • Archive
    • Experimental and Therapeutic Medicine
      • Information for Authors
      • Editorial Policies
      • Editorial Board
      • Aims and Scope
      • Abstracting and Indexing
      • Bibliographic Information
      • Archive
    • International Journal of Epigenetics
      • Information for Authors
      • Editorial Policies
      • Editorial Board
      • Aims and Scope
      • Abstracting and Indexing
      • Bibliographic Information
      • Archive
    • International Journal of Functional Nutrition
      • Information for Authors
      • Editorial Policies
      • Editorial Board
      • Aims and Scope
      • Abstracting and Indexing
      • Bibliographic Information
      • Archive
    • International Journal of Molecular Medicine
      • Information for Authors
      • Editorial Policies
      • Editorial Board
      • Aims and Scope
      • Abstracting and Indexing
      • Bibliographic Information
      • Archive
    • International Journal of Oncology
      • Information for Authors
      • Editorial Policies
      • Editorial Board
      • Aims and Scope
      • Abstracting and Indexing
      • Bibliographic Information
      • Archive
    • Medicine International
      • Information for Authors
      • Editorial Policies
      • Editorial Board
      • Aims and Scope
      • Abstracting and Indexing
      • Bibliographic Information
      • Archive
    • Molecular and Clinical Oncology
      • Information for Authors
      • Editorial Policies
      • Editorial Board
      • Aims and Scope
      • Abstracting and Indexing
      • Bibliographic Information
      • Archive
    • Molecular Medicine Reports
      • Information for Authors
      • Editorial Policies
      • Editorial Board
      • Aims and Scope
      • Abstracting and Indexing
      • Bibliographic Information
      • Archive
    • Oncology Letters
      • Information for Authors
      • Editorial Policies
      • Editorial Board
      • Aims and Scope
      • Abstracting and Indexing
      • Bibliographic Information
      • Archive
    • Oncology Reports
      • Information for Authors
      • Editorial Policies
      • Editorial Board
      • Aims and Scope
      • Abstracting and Indexing
      • Bibliographic Information
      • Archive
    • World Academy of Sciences Journal
      • Information for Authors
      • Editorial Policies
      • Editorial Board
      • Aims and Scope
      • Abstracting and Indexing
      • Bibliographic Information
      • Archive
  • Articles
  • Information
    • For Authors
    • For Reviewers
    • For Librarians
    • For Advertisers
    • Conferences
  • Language Editing
Login Register Submit
  • This site uses cookies
  • You can change your cookie settings at any time by following the instructions in our Cookie Policy. To find out more, you may read our Privacy Policy.

    I agree
Search articles by DOI, keyword, author or affiliation
Search
Advanced Search
presentation
Medicine International
Join Editorial Board Propose a Special Issue
Print ISSN: 2754-3242 Online ISSN: 2754-1304
Journal Cover
May-June 2022 Volume 2 Issue 3

Full Size Image

Sign up for eToc alerts
Recommend to Library

Journals

International Journal of Molecular Medicine

International Journal of Molecular Medicine

International Journal of Molecular Medicine is an international journal devoted to molecular mechanisms of human disease.

International Journal of Oncology

International Journal of Oncology

International Journal of Oncology is an international journal devoted to oncology research and cancer treatment.

Molecular Medicine Reports

Molecular Medicine Reports

Covers molecular medicine topics such as pharmacology, pathology, genetics, neuroscience, infectious diseases, molecular cardiology, and molecular surgery.

Oncology Reports

Oncology Reports

Oncology Reports is an international journal devoted to fundamental and applied research in Oncology.

Experimental and Therapeutic Medicine

Experimental and Therapeutic Medicine

Experimental and Therapeutic Medicine is an international journal devoted to laboratory and clinical medicine.

Oncology Letters

Oncology Letters

Oncology Letters is an international journal devoted to Experimental and Clinical Oncology.

Biomedical Reports

Biomedical Reports

Explores a wide range of biological and medical fields, including pharmacology, genetics, microbiology, neuroscience, and molecular cardiology.

Molecular and Clinical Oncology

Molecular and Clinical Oncology

International journal addressing all aspects of oncology research, from tumorigenesis and oncogenes to chemotherapy and metastasis.

World Academy of Sciences Journal

World Academy of Sciences Journal

Multidisciplinary open-access journal spanning biochemistry, genetics, neuroscience, environmental health, and synthetic biology.

International Journal of Functional Nutrition

International Journal of Functional Nutrition

Open-access journal combining biochemistry, pharmacology, immunology, and genetics to advance health through functional nutrition.

International Journal of Epigenetics

International Journal of Epigenetics

Publishes open-access research on using epigenetics to advance understanding and treatment of human disease.

Medicine International

Medicine International

An International Open Access Journal Devoted to General Medicine.

Journal Cover
May-June 2022 Volume 2 Issue 3

Full Size Image

Sign up for eToc alerts
Recommend to Library

  • Article
  • Citations
    • Cite This Article
    • Download Citation
    • Create Citation Alert
    • Remove Citation Alert
    • Cited By
  • Similar Articles
    • Related Articles (in Spandidos Publications)
    • Similar Articles (Google Scholar)
    • Similar Articles (PubMed)
  • Download PDF
  • Download XML
  • View XML
Case Report Open Access

A nitrous oxide abuser presenting with cerebral venous thrombosis: A case report

  • Authors:
    • Shum-Shin Lin
    • I-Wei Fan
    • Chun-Yu Chen
    • Yu-Jang Su
  • View Affiliations / Copyright

    Affiliations: Department of Emergency Medicine, Tao‑Yuan General Hospital, Taoyuan City 330, Taiwan, R.O.C., Department of Neurology, Neurological Institute, Taipei Veterans General Hospital, Taipei 112201, Taiwan, R.O.C., Department of Emergency Medicine, Mackay Memorial Hospital, Taipei 10449, Taiwan, R.O.C.
    Copyright: © Lin et al. This is an open access article distributed under the terms of Creative Commons Attribution License.
  • Article Number: 20
    |
    Published online on: June 7, 2022
       https://doi.org/10.3892/mi.2022.45
  • Expand metrics +
Metrics: Total Views: 0 (Spandidos Publications: | PMC Statistics: )
Metrics: Total PDF Downloads: 0 (Spandidos Publications: | PMC Statistics: )
Cited By (CrossRef): 0 citations Loading Articles...

This article is mentioned in:



Abstract

The present study describes the case of a 25‑year‑old male patient who presented to the emergency department with severe headache and vertigo lasting for 3 days. The patient did not have a recent history of trauma. He was vaccinated with a second dose of the AstraZeneca COVID‑19 vaccine ~1 month prior, and he suffered from a vitamin B12 deficiency due to nitrous oxide abuse. Upon an examination of his vital signs, he was found to have a body temperature of 36.4˚C, a pulse rate of 64 beats per minute, a respiratory rate of 18 breaths per minute and a blood pressure of 119/68 mmHg. A neurological examination only revealed left homonymous upper quadrantanopia. The serum platelet count of the patient was 361x1,000/µl and he had elevated D‑dimer levels (0.98 µg/ml). A provisional clinical diagnosis of acute cerebrovascular accident was made. A computed tomography scan of the head revealed an abnormal hyperattenuation in the straight sinus and bilateral transverse sinuses. A diagnosis of cerebral sinovenous thrombosis (CSVT) was made following a consultation with a neurologist. The patient was treated with enoxaparin at 6,000 IU, levetiracetam at 1,000 mg and mannitol at 100 ml via an intravenous drip. After admission, magnetic resonance venography revealed the absence of flow in the straight sinus and bilateral transverse sinuses. A thrombophilic investigation revealed a plasma homocysteine level of 59.03 µmol/l (upper normal limit, 15.39 µmol/l), a vitamin B12 level of <148 (lower normal limit, 187 pg/ml). CSVT secondary to homocystinemia was diagnosed. The treatment included anticoagulation and vitamin B12 supplementation. The patient was administered vitamin B12 at 500 mcg twice per day, pyridoxine at 50 mg per day, folic acid at 5 mg two times per day and edoxaban at 60 mg per day. After 7 days of treatment, his headache and quadrantanopia were improved, and the patient was discharged.

Introduction

In the coronavirus 2019 era, individuals who suffer from headaches and neurologic deficits may have an increased risk of developing acute cerebrovascular disease, particularly after receiving the COVID-19 vaccine (1). In a previous study performed in Mexico in May 2022 found that patients vaccinated with the AstraZeneca-Oxford vaccine with vaccination-induced immune thrombotic thrombocytopenia (VITT) were more likely to be young females (aged 21 to 77 years), who were administered the vaccine 5-14 days prior to the presentation of symptoms (2). The patients' signs, symptoms and imaging findings were consistent with those of cerebral sinovenous thrombosis (CSVT), or with thrombosis of the deep vein, lung and other sites. The laboratory findings of that study revealed thrombocytopenia, low fibrinogen levels and elevated D-dimer levels, while antibodies against platelet factor 4 were positive in the majority of assays performed (2). However, it should be noted that sometimes, in certain age groups of patients, these symptoms may be associated with congenital vascular anomalies or drug abuse (3,4). Carbon monoxide, viper envenomation, methylenedioxymethamphetamine have been reported to lead to acute cerebral venous thrombosis (5-7).

The present study described the case of a young male who was a nitrous oxide (N2O) abuser with CSVT. The patient had received the second dose of the AstraZeneca COVID-19 vaccine at ~1 month prior to his presentation to the emergency department. His laboratory findings was not compatible with VITT.

Case report

A 25-year-old male patient presented to the Emergency Department of Tao-Yuan General Hospital (Taoyuan City, Taiwan) with a severe headache and vertigo lasting for 3 days. He had a history of recurrent pulmonary embolism without regular medical follow-up and vitamin B12 deficiency due to N2O abuse. He had no recent trauma history. He had been vaccinated with the second dose of the AstraZeneca COVID-19 vaccine at ~1 month prior to his admission.

Upon an examination of his vital signs, he was found to have a body temperature of 36.4˚C, a pulse rate of 64 beats per minute, a respiratory rate of 18 breaths per minute and a blood pressure of 119/68 mmHg. A neurological examination only revealed left homonymous upper quadrantanopia. His serum white blood cell count was 12.58x103/µl with a neutrophil percentage of 68.7%, C-reactive protein level of 1.34 mg/l, a platelet count of 361x103/µl and elevated D-dimer levels (0.98 µg/ml). A provisional clinical diagnosis of acute cerebrovascular accident was thus made.

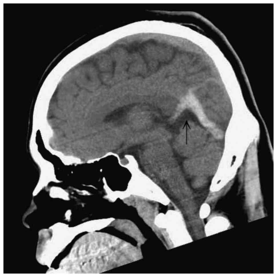
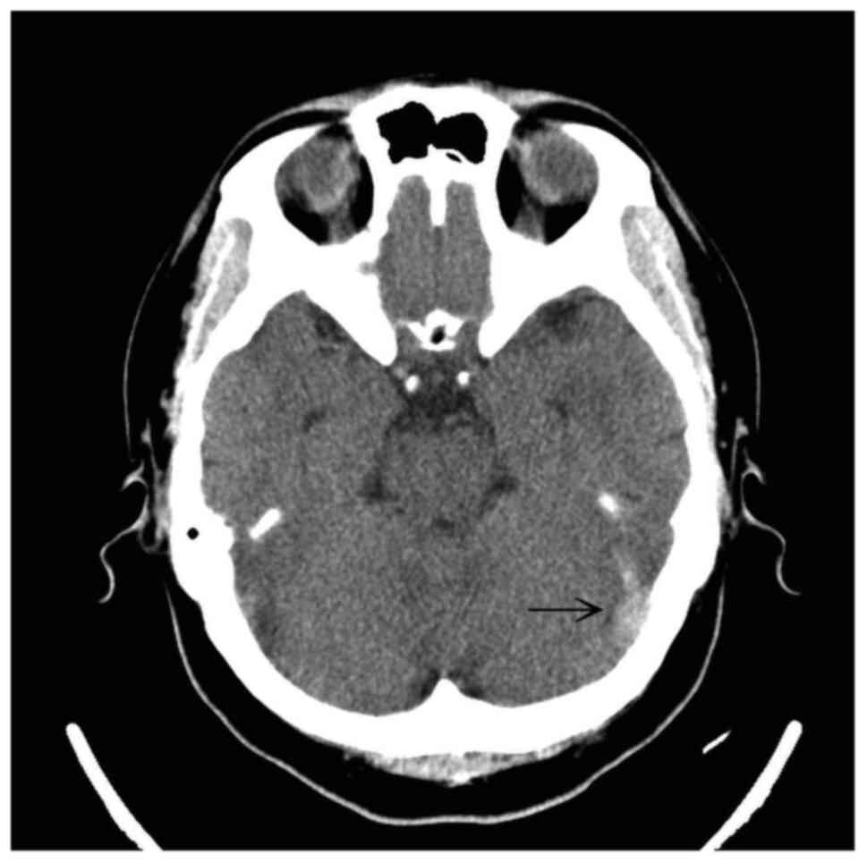
A computed tomography (CT) scan of the head revealed an abnormal hyperattenuation in the straight sinus and bilateral transverse sinuses (Figs. 1 and 2). A diagnosis of CSVT was made following a consultation with a neurologist. The patient was treated with enoxaparin at 6,000 IU, levetiracetam at 1,000 mg and mannitol at 100 ml via an intravenous drip. Following admission, a magnetic resonance venography revealed the absence of flow in the straight sinus and bilateral transverse sinuses (Fig. 3). A thrombophilic investigation revealed a plasma homocysteine level of 59.03 µmol/l (upper normal limit, 15.39 µmol/l) and a vitamin B12 level of <148 (lower normal limit, 187 pg/ml). The levels of protein C (70-140%), protein S (60-130%) and antithrombin III (75-125%) were within the normal range. CSVT secondary to homocystinemia was diagnosed, which is an unusual, yet treatable condition.

Figure 1

Computed tomography scan of the head illustrating an abnormal hyperattenuation (arrow) in the straight sinus and bilateral transverse sinuses.

Figure 2

Lateral view of the computed tomography scan of the head illustrating an abnormal hyperattenuation (arrow) in the straight sinus and bilateral transverse sinuses.

Figure 3

Magnetic resonance venography illustrating the absence of flow in the straight sinus and bilateral transverse sinuses (white arrow).

The treatment administered included anticoagulation and vitamin B12 supplementation. The patient was administered vitamin B12 at 500 mcg twice per day, pyridoxine at 50 mg per day, folic acid at 5 mg two times per day and edoxaban at 60 mg per day. After 7 days of treatment, his headache and quadrantanopia were improved, and the patient was discharged.

Discussion

N2O is a recreational inhalant which exerts euphoric and hallucinatory effects and has recently become popular among adolescents and young adults in Taiwan. Previous studies have found several adverse effects related to the dysfunction of vitamin B12 metabolism, such as macrocytic anemia, peripheral neuropathy, skin hyperpigmentation, subacute combined degeneration of the spinal cord, deep vein thrombosis, pulmonary embolism, aortic thrombosis and bone marrow suppression. CSVT has an estimated incidence of 3-4 per million adults and 7 per million children per year, with a predominance among younger individuals (8). N2O irreversibly oxidizes the cobalt atom of vitamin B12 and inhibits the methionine synthase, leading to an increased blood homocysteine level. Hyperhomocysteinemia and vitamin B12 deficiency are considered as risk factors for venous thrombosis (9-11).

During the COVID-19 era, post-vaccination cerebral venous thrombosis is the most common manifestation of VITT. In particularly, individuals who received the vaccine were found to suffer from headache with the acute onset of neurological deficits such as weakness, visual loss and hypotonia (1).

VITT commonly occurs at 7-10 days after the first dose of the vaccine; however, in the patient described herein, it occurred at 1 month after the second dose of the vaccine. The blood test did not meet the diagnostic criteria for VITT (platelet count <15x103/Ul and D-dimer levels >2 µg/ml); thus, the consumption of N2O was considered the leading cause of cerebral venous thrombosis rather than the COVID-19 vaccine (12). The treatment of the patient included anticoagulation and vitamin B12 supplementation (13). In the present study, the patient was administered vitamin B12 at 500 mcg twice per day, pyridoxine at 50 mg per day, folic acid at 5 mg two times per day and edoxaban at 60 mg per day. After 7 days of treatment, his headache and quadrantanopia were improved, and the patient was discharged.

Apart from CSVT, nitrous oxide can damage multiple systems, particularly the nervous system; however, the exact mechanisms of N2O-induced toxicity remain controversial. The discontinuation of N2O use and the timely supplementation of vitamin B12 are essential for a good prognosis (14).

Acknowledgements

Not applicable.

Funding

Funding: No funding was received.

Availability of data and materials

The datasets used and/or analyzed during the current study are available from the corresponding author on reasonable request.

Authors' contributions

SSL was involved in the writing of the manuscript and in obtaining patient data. IWF was involved in obtaining patient data and in the treatment of the patient. CYC was involved in editing of the manuscript and in obtaining patient data. YJS was involved in the writing and editing of the manuscript, in the conception of the study and in the revision of the manuscript and correspondence. SSL and IWF confirm the authenticity of all the raw data. All authors have read and approved the final manuscript.

Ethics approval and consent to participate

The patient provided written informed consent for his participation in the present case report.

Patient consent for publication

The patient provided written informed consent for his data to be published.

Competing interests

The authors declare that they have no competing interests.

References

1 

Qureshi MIA, Azam B, Waheed MA and Imran A: Venous sinus thrombosis after the first dose of Pfizer BioNTech vaccine. BMJ Case Rep. 15(e247493)2022.PubMed/NCBI View Article : Google Scholar

2 

Ornelas-Aguirre JM, Gómez-Alcalá AV and Ramírez-Leyva DH: Increment of D-dimer Associated with Immune Thrombotic Thrombocytopenia in ChAdOx1 nCoV-19 Vaccinated Individuals. Arch Med Res. 53:341–351. 2022.PubMed/NCBI View Article : Google Scholar

3 

Rasyid A, Mesiano T, Kurniawan M, Hidayat R, Mulyadi R, Nugroho SW, Yolanda S, Wiyarta E and Harris S: Spontaneous subarachnoid hemorrhage due to arteriovenous malformation mimicking migraine: A case report. Radiol Case Rep. 17:790–793. 2021.PubMed/NCBI View Article : Google Scholar

4 

Ohta K, Mori M, Yoritaka A, Okamoto K and Kishida S: Delayed ischemic stroke associated with methamphetamine use. J Emerg Med. 28:165–167. 2005.PubMed/NCBI View Article : Google Scholar

5 

Phinney TA, Gibb GJ and Laghari FJ: CO poisoning as an associated risk factor for CVT. Am J Emerg Med. 36:1123.e1–1123.e3. 2018.PubMed/NCBI View Article : Google Scholar

6 

Senthilkumaran S, Balamurugan N and Thirumalaikolandusubramanian P: Viper envenomation and cerebral venous thrombosis. J Postgrad Med. 59:171–172. 2013.PubMed/NCBI View Article : Google Scholar

7 

Goldstein LH, Mordish Y, Abu-Kishak I, Toledano M and Berkovitch M: Acute paralysis following recreational MDMA (Ecstasy) use. Clin Toxicol (Phila). 44:339–341. 2006.PubMed/NCBI View Article : Google Scholar

8 

Alvis-Miranda HR, Milena Castellar-Leones S, Alcala-Cerra G and Rafael Moscote-Salazar L: Cerebral Sinus venous thrombosis. J Neurosci Rural Pract. 4:427–438. 2013.PubMed/NCBI View Article : Google Scholar

9 

Gatt A and Makris M: Hyperhomocysteinemia and venous thrombosis. Semin Hematol. 44:70–76. 2007.PubMed/NCBI View Article : Google Scholar

10 

Farhat W, Pariente A and Mijahed R: Extensive cerebral venous thrombosis secondary to recreational nitrous oxide abuse. Cerebrovasc Dis. 51:114–117. 2022.PubMed/NCBI View Article : Google Scholar

11 

de Valck L, Defelippe VM and Bouwman NAMG: Cerebral venous sinus thrombosis: A complication of nitrous oxide abuse. BMJ Case Rep. 14(e244478)2021.PubMed/NCBI View Article : Google Scholar

12 

Perry RJ, Tamborska A, Singh B, Craven B, Marigold R, Arthur-Farraj P, Yeo JM, Zhang L, Hassan-Smith G, Jones M, et al: Cerebral venous thrombosis after vaccination against COVID-19 in the UK: A multicentre cohort study. Lancet. 398:1147–1156. 2021.PubMed/NCBI View Article : Google Scholar

13 

Pratt DN, Patterson KC and Quin K: Venous thrombosis after nitrous oxide abuse, a case report. J Thromb Thrombolysis. 49:501–503. 2020.PubMed/NCBI View Article : Google Scholar

14 

Xiang Y, Li L, Ma X, Li S, Xue Y, Yan P, Chen M and Wu J: Recreational nitrous oxide abuse: Prevalence, neurotoxicity, and treatment. Neurotox Res. 39:975–985. 2021.PubMed/NCBI View Article : Google Scholar

Related Articles

  • Abstract
  • View
  • Download
Copy and paste a formatted citation
Spandidos Publications style
Lin S, Fan I, Chen C and Su Y: A nitrous oxide abuser presenting with cerebral venous thrombosis: A case report. Med Int 2: 20, 2022.
APA
Lin, S., Fan, I., Chen, C., & Su, Y. (2022). A nitrous oxide abuser presenting with cerebral venous thrombosis: A case report. Medicine International, 2, 20. https://doi.org/10.3892/mi.2022.45
MLA
Lin, S., Fan, I., Chen, C., Su, Y."A nitrous oxide abuser presenting with cerebral venous thrombosis: A case report". Medicine International 2.3 (2022): 20.
Chicago
Lin, S., Fan, I., Chen, C., Su, Y."A nitrous oxide abuser presenting with cerebral venous thrombosis: A case report". Medicine International 2, no. 3 (2022): 20. https://doi.org/10.3892/mi.2022.45
Copy and paste a formatted citation
x
Spandidos Publications style
Lin S, Fan I, Chen C and Su Y: A nitrous oxide abuser presenting with cerebral venous thrombosis: A case report. Med Int 2: 20, 2022.
APA
Lin, S., Fan, I., Chen, C., & Su, Y. (2022). A nitrous oxide abuser presenting with cerebral venous thrombosis: A case report. Medicine International, 2, 20. https://doi.org/10.3892/mi.2022.45
MLA
Lin, S., Fan, I., Chen, C., Su, Y."A nitrous oxide abuser presenting with cerebral venous thrombosis: A case report". Medicine International 2.3 (2022): 20.
Chicago
Lin, S., Fan, I., Chen, C., Su, Y."A nitrous oxide abuser presenting with cerebral venous thrombosis: A case report". Medicine International 2, no. 3 (2022): 20. https://doi.org/10.3892/mi.2022.45
Follow us
  • Twitter
  • LinkedIn
  • Facebook
About
  • Spandidos Publications
  • Careers
  • Cookie Policy
  • Privacy Policy
How can we help?
  • Help
  • Live Chat
  • Contact
  • Email to our Support Team