Spandidos Publications Logo
  • About
    • About Spandidos
    • Aims and Scopes
    • Abstracting and Indexing
    • Editorial Policies
    • Reprints and Permissions
    • Job Opportunities
    • Terms and Conditions
    • Contact
  • Journals
    • All Journals
    • Oncology Letters
      • Oncology Letters
      • Information for Authors
      • Editorial Policies
      • Editorial Board
      • Aims and Scope
      • Abstracting and Indexing
      • Bibliographic Information
      • Archive
    • International Journal of Oncology
      • International Journal of Oncology
      • Information for Authors
      • Editorial Policies
      • Editorial Board
      • Aims and Scope
      • Abstracting and Indexing
      • Bibliographic Information
      • Archive
    • Molecular and Clinical Oncology
      • Molecular and Clinical Oncology
      • Information for Authors
      • Editorial Policies
      • Editorial Board
      • Aims and Scope
      • Abstracting and Indexing
      • Bibliographic Information
      • Archive
    • Experimental and Therapeutic Medicine
      • Experimental and Therapeutic Medicine
      • Information for Authors
      • Editorial Policies
      • Editorial Board
      • Aims and Scope
      • Abstracting and Indexing
      • Bibliographic Information
      • Archive
    • International Journal of Molecular Medicine
      • International Journal of Molecular Medicine
      • Information for Authors
      • Editorial Policies
      • Editorial Board
      • Aims and Scope
      • Abstracting and Indexing
      • Bibliographic Information
      • Archive
    • Biomedical Reports
      • Biomedical Reports
      • Information for Authors
      • Editorial Policies
      • Editorial Board
      • Aims and Scope
      • Abstracting and Indexing
      • Bibliographic Information
      • Archive
    • Oncology Reports
      • Oncology Reports
      • Information for Authors
      • Editorial Policies
      • Editorial Board
      • Aims and Scope
      • Abstracting and Indexing
      • Bibliographic Information
      • Archive
    • Molecular Medicine Reports
      • Molecular Medicine Reports
      • Information for Authors
      • Editorial Policies
      • Editorial Board
      • Aims and Scope
      • Abstracting and Indexing
      • Bibliographic Information
      • Archive
    • World Academy of Sciences Journal
      • World Academy of Sciences Journal
      • Information for Authors
      • Editorial Policies
      • Editorial Board
      • Aims and Scope
      • Abstracting and Indexing
      • Bibliographic Information
      • Archive
    • International Journal of Functional Nutrition
      • International Journal of Functional Nutrition
      • Information for Authors
      • Editorial Policies
      • Editorial Board
      • Aims and Scope
      • Abstracting and Indexing
      • Bibliographic Information
      • Archive
    • International Journal of Epigenetics
      • International Journal of Epigenetics
      • Information for Authors
      • Editorial Policies
      • Editorial Board
      • Aims and Scope
      • Abstracting and Indexing
      • Bibliographic Information
      • Archive
    • Medicine International
      • Medicine International
      • Information for Authors
      • Editorial Policies
      • Editorial Board
      • Aims and Scope
      • Abstracting and Indexing
      • Bibliographic Information
      • Archive
  • Articles
  • Information
    • Information for Authors
    • Information for Reviewers
    • Information for Librarians
    • Information for Advertisers
    • Conferences
  • Language Editing
Spandidos Publications Logo
  • About
    • About Spandidos
    • Aims and Scopes
    • Abstracting and Indexing
    • Editorial Policies
    • Reprints and Permissions
    • Job Opportunities
    • Terms and Conditions
    • Contact
  • Journals
    • All Journals
    • Biomedical Reports
      • Information for Authors
      • Editorial Policies
      • Editorial Board
      • Aims and Scope
      • Abstracting and Indexing
      • Bibliographic Information
      • Archive
    • Experimental and Therapeutic Medicine
      • Information for Authors
      • Editorial Policies
      • Editorial Board
      • Aims and Scope
      • Abstracting and Indexing
      • Bibliographic Information
      • Archive
    • International Journal of Epigenetics
      • Information for Authors
      • Editorial Policies
      • Editorial Board
      • Aims and Scope
      • Abstracting and Indexing
      • Bibliographic Information
      • Archive
    • International Journal of Functional Nutrition
      • Information for Authors
      • Editorial Policies
      • Editorial Board
      • Aims and Scope
      • Abstracting and Indexing
      • Bibliographic Information
      • Archive
    • International Journal of Molecular Medicine
      • Information for Authors
      • Editorial Policies
      • Editorial Board
      • Aims and Scope
      • Abstracting and Indexing
      • Bibliographic Information
      • Archive
    • International Journal of Oncology
      • Information for Authors
      • Editorial Policies
      • Editorial Board
      • Aims and Scope
      • Abstracting and Indexing
      • Bibliographic Information
      • Archive
    • Medicine International
      • Information for Authors
      • Editorial Policies
      • Editorial Board
      • Aims and Scope
      • Abstracting and Indexing
      • Bibliographic Information
      • Archive
    • Molecular and Clinical Oncology
      • Information for Authors
      • Editorial Policies
      • Editorial Board
      • Aims and Scope
      • Abstracting and Indexing
      • Bibliographic Information
      • Archive
    • Molecular Medicine Reports
      • Information for Authors
      • Editorial Policies
      • Editorial Board
      • Aims and Scope
      • Abstracting and Indexing
      • Bibliographic Information
      • Archive
    • Oncology Letters
      • Information for Authors
      • Editorial Policies
      • Editorial Board
      • Aims and Scope
      • Abstracting and Indexing
      • Bibliographic Information
      • Archive
    • Oncology Reports
      • Information for Authors
      • Editorial Policies
      • Editorial Board
      • Aims and Scope
      • Abstracting and Indexing
      • Bibliographic Information
      • Archive
    • World Academy of Sciences Journal
      • Information for Authors
      • Editorial Policies
      • Editorial Board
      • Aims and Scope
      • Abstracting and Indexing
      • Bibliographic Information
      • Archive
  • Articles
  • Information
    • For Authors
    • For Reviewers
    • For Librarians
    • For Advertisers
    • Conferences
  • Language Editing
Login Register Submit
  • This site uses cookies
  • You can change your cookie settings at any time by following the instructions in our Cookie Policy. To find out more, you may read our Privacy Policy.

    I agree
Search articles by DOI, keyword, author or affiliation
Search
Advanced Search
presentation
Medicine International
Join Editorial Board Propose a Special Issue
Print ISSN: 2754-3242 Online ISSN: 2754-1304
Journal Cover
November-December 2022 Volume 2 Issue 6

Full Size Image

Sign up for eToc alerts
Recommend to Library

Journals

International Journal of Molecular Medicine

International Journal of Molecular Medicine

International Journal of Molecular Medicine is an international journal devoted to molecular mechanisms of human disease.

International Journal of Oncology

International Journal of Oncology

International Journal of Oncology is an international journal devoted to oncology research and cancer treatment.

Molecular Medicine Reports

Molecular Medicine Reports

Covers molecular medicine topics such as pharmacology, pathology, genetics, neuroscience, infectious diseases, molecular cardiology, and molecular surgery.

Oncology Reports

Oncology Reports

Oncology Reports is an international journal devoted to fundamental and applied research in Oncology.

Experimental and Therapeutic Medicine

Experimental and Therapeutic Medicine

Experimental and Therapeutic Medicine is an international journal devoted to laboratory and clinical medicine.

Oncology Letters

Oncology Letters

Oncology Letters is an international journal devoted to Experimental and Clinical Oncology.

Biomedical Reports

Biomedical Reports

Explores a wide range of biological and medical fields, including pharmacology, genetics, microbiology, neuroscience, and molecular cardiology.

Molecular and Clinical Oncology

Molecular and Clinical Oncology

International journal addressing all aspects of oncology research, from tumorigenesis and oncogenes to chemotherapy and metastasis.

World Academy of Sciences Journal

World Academy of Sciences Journal

Multidisciplinary open-access journal spanning biochemistry, genetics, neuroscience, environmental health, and synthetic biology.

International Journal of Functional Nutrition

International Journal of Functional Nutrition

Open-access journal combining biochemistry, pharmacology, immunology, and genetics to advance health through functional nutrition.

International Journal of Epigenetics

International Journal of Epigenetics

Publishes open-access research on using epigenetics to advance understanding and treatment of human disease.

Medicine International

Medicine International

An International Open Access Journal Devoted to General Medicine.

Journal Cover
November-December 2022 Volume 2 Issue 6

Full Size Image

Sign up for eToc alerts
Recommend to Library

  • Article
  • Citations
    • Cite This Article
    • Download Citation
    • Create Citation Alert
    • Remove Citation Alert
    • Cited By
  • Similar Articles
    • Related Articles (in Spandidos Publications)
    • Similar Articles (Google Scholar)
    • Similar Articles (PubMed)
  • Download PDF
  • Download XML
  • View XML
Article Open Access

Uncommon and atypical meningiomas and imaging variants: A report of 7 cases

  • Authors:
    • George Fotakopoulos
    • Vasiliki Tsolaki
    • Aikaterini Aravantinou-Fatorou
    • Vasiliki Epameinondas Georgakopoulou
    • Demetrios A. Spandidos
    • Petros Papalexis
    • Kyriakos Tarantinos
    • Nikolaos Trakas
    • Pagona Sklapani
    • Nikolaos Mathioudakis
    • Serafeim Chlapoutakis
    • Eleftherios Lavdas
  • View Affiliations / Copyright

    Affiliations: Department of Neurosurgery, General University Hospital of Larisa, 41221 Larisa, Greece, Department of Pulmonary and Critical Care Medicine, General University Hospital of Larisa, 41221 Larisa, Greece, First Department of Internal Medicine, Laiko General Hospital, Medical School, National and Kapodistrian University of Athens, 11527 Athens, Greece, Department of Infectious Diseases and COVID‑19 Unit, Laiko General Hospital, Medical School, National and Kapodistrian University of Athens, 11527 Athens, Greece, Laboratory of Clinical Virology, School of Medicine, University of Crete, 71003 Heraklion, Greece, Unit of Endocrinology, First Department of Internal Medicine, Laiko General Hospital, Medical School, National and Kapodistrian University of Athens, 11527 Athens, Greece, First Department of Pulmonology, Sismanogleio Hospital, 15126 Athens, Greece, Department of Biochemistry, Sismanogleio Hospital, 15126 Athens, Greece, Department of Cytology, Mitera Hospital, 15123 Athens, Greece, Renal Transplantation Unit, Laiko General Hospital, 11527 Athens, Greece, Department of Thoracic Surgery, Agios Savvas Hospital, 11522 Athens, Greece, Department of Medical Radiological Technologists, University of West Attica, 12243 Athens, Greece
    Copyright: © Fotakopoulos et al. This is an open access article distributed under the terms of Creative Commons Attribution License.
  • Article Number: 35
    |
    Published online on: November 15, 2022
       https://doi.org/10.3892/mi.2022.60
  • Expand metrics +
Metrics: Total Views: 0 (Spandidos Publications: | PMC Statistics: )
Metrics: Total PDF Downloads: 0 (Spandidos Publications: | PMC Statistics: )
Cited By (CrossRef): 0 citations Loading Articles...

This article is mentioned in:



Abstract

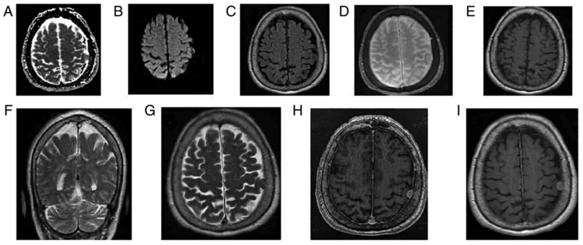
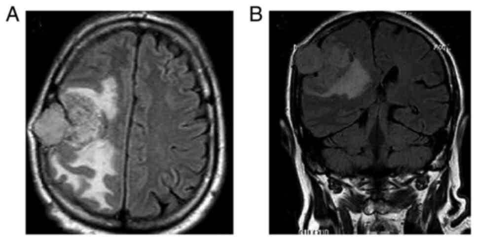
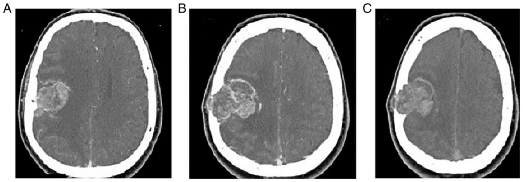
Meningiomas constitute the most common extra‑axial tumor of the central nervous system and can have a wide‑ranging manifestation of imaging. There are several types of unusual depictions depicted with the magnetic resonance imaging (MRI) of meningiomas that have been established thus far. It is thus crucial for the reporting radiologist or neurosurgeon to have an in‑depth knowledge of their variable manifestations in order to be able to differentiate these neoplasms from the numerous tumors that can mimic their appearance. Meningioma is frequently challenging to diagnose when imaging variants are present. Nevertheless, a number of unusual histological variants have imaging or clinical features which are related to typical meningiomas and, in numerous cases, these require specific surgical management. The present study describes 7 cases of meningiomas, which were either simple atypical, unusual gigantic extracranial intracranial parasagittal, or not visible meningiomas. These uncommon and atypical imaging variants of meningiomas are described herein in an aim to underline their various potential presentations.
View Figures

Figure 1

Figure 2

Figure 3

Figure 4

Figure 5

Figure 6

Figure 7

View References

1 

Ostrom QT, Cioffi G, Gittleman H, Patil N, Waite K, Kruchko C and Barnholtz-Sloan JS: CBTRUS Statistical Report: Primary brain and other central nervous system tumors diagnosed in the United States in 2012-2016. Neuro Oncol. 21 (Suppl 5):v1–v100. 2019.PubMed/NCBI View Article : Google Scholar

2 

Buerki RA, Horbinski CM, Kruser T, Horowitz PM, James CD and Lukas RV: An overview of meningiomas. Future Oncol. 14:2161–2177. 2018.PubMed/NCBI View Article : Google Scholar

3 

Nur S, Chuang L and Ramaswamy G: Primary extracranial meningioma of the pelvis: A light microscopic, immunohistochemical, and ultrastructural study. Gynecol Oncol. 103:745–748. 2006.PubMed/NCBI View Article : Google Scholar

4 

Watts J, Box G, Galvin A, Brotchie P, Trost N and Sutherland T: Magnetic resonance imaging of meningiomas: A pictorial review. Insights Imaging. 5:113–122. 2014.PubMed/NCBI View Article : Google Scholar

5 

Lyndon D, Lansley JA, Evanson J and Krishnan AS: Dural masses: Meningiomas and their mimics. Insights Imaging. 10(11)2019.PubMed/NCBI View Article : Google Scholar

6 

Fotakopoulos G, Tsianaka E, Panagiotopoulos V and Fountas K: New developments in management of meningioma. J Integr Oncol. 4(2)2015.

7 

Wiemels J, Wrensch M and Claus EB: Epidemiology and etiology of meningioma. J Neurooncol. 99:307–314. 2010.PubMed/NCBI View Article : Google Scholar

8 

Louis DN, Perry A, Wesseling P, Brat DJ, Cree IA, Figarella-Branger D, Hawkins C, Ng HK, Pfister SM, Reifenberger G, et al: The 2021 WHO classification of tumors of the central nervous system: A summary. Neuro Oncol. 23:1231–1251. 2021.PubMed/NCBI View Article : Google Scholar

9 

Ogasawara C, Philbrick BD and Adamson DC: Meningioma: A review of epidemiology, pathology, diagnosis, treatment, and future directions. Biomedicines. 9(319)2021.PubMed/NCBI View Article : Google Scholar

10 

Saraf S, McCarthy BJ and Villano JL: Update on meningiomas. Oncologist. 16:1604–1613. 2011.PubMed/NCBI View Article : Google Scholar

11 

Young RJ and Knopp EA: Brain MRI: Tumor evaluation. J Magn Reson Imaging. 24:709–724. 2006.PubMed/NCBI View Article : Google Scholar

12 

Santelli L, Ramondo G, Della Puppa A, Ermani M, Scienza R, d'Avella D and Manara R: Diffusion-weighted imaging does not predict histological grading in meningiomas. Acta Neurochir (Wien). 152:1315–1319; discussion 1319. 2010.PubMed/NCBI View Article : Google Scholar

13 

O'Leary S, Adams WM, Parrish RW and Mukonoweshuro W: Atypical imaging appearances of intracranial meningiomas. Clin Radiol. 62:10–17. 2007.PubMed/NCBI View Article : Google Scholar

14 

Hakyemez B, Yildirim N, Erdoğan C, Kocaeli H, Korfali E and Parlak M: Meningiomas with conventional MRI findings resembling intra-axial tumors: Can perfusion-weighted MRI be helpful in differentiation? Neuroradiology. 48:695–702. 2006.PubMed/NCBI View Article : Google Scholar

15 

Toh CH, Siow TY and Castillo M: Peritumoral brain edema in meningiomas may be related to glymphatic dysfunction. Front Neurosci. 15(674898)2021.PubMed/NCBI View Article : Google Scholar

16 

Whittle IR, Smith C, Navoo P and Collie D: Meningiomas. Lancet. 363:1535–1543. 2004.PubMed/NCBI View Article : Google Scholar

17 

Tokgoz N, Oner YA, Kaymaz M, Ucar M, Yilmaz G and Tali TE: Primary intraosseous meningioma: CT and MRI appearance. AJNR Am J Neuroradiol. 26:2053–2056. 2005.PubMed/NCBI

18 

Elder JB, Atkinson R, Zee CS and Chen TC: Primary intraosseous meningioma. Neurosurg Focus. 23(E13)2007.PubMed/NCBI View Article : Google Scholar

19 

Smirniotopoulos JG and Jäger HR: Chapter 8 Differential Diagnosis of Intracranial Masses. In: Diseases of the Brain, Head and Neck, Spine 2020–2023: Diagnostic Imaging [Internet]. Hodler J, Kubik-Huch RA, von Schulthess GK (eds). Springer, New York, NY, 2020.

20 

Marjanović S, Mijusković Z, Stamatović D, Madjaru L, Ralić T, Trimcev J, Stojanović J and Radović V II: Multiple myeloma invasion of the central nervous system. Vojnosanit Pregl. 69:209–213. 2012.PubMed/NCBI

21 

Cerase A, Tarantino A, Gozzetti A, Muccio CF, Gennari P, Monti L, Di Blasi A and Venturi C: Intracranial involvement in plasmacytomas and multiple myeloma: A pictorial essay. Neuroradiology. 50:665–674. 2008.PubMed/NCBI View Article : Google Scholar

22 

Petersen SL, Wagner A and Gimsing P: Cerebral and meningeal multiple myeloma after autologous stem cell transplantation. A case report and review of the literature. Am J Hematol. 62:228–233. 1999.PubMed/NCBI View Article : Google Scholar

23 

Yi HJ, Hwang HS, Moon SM, Shin IY and Choi YH: A case of multiple myeloma with brain parenchyme involvement. Brain Tumor Res Treat. 1:103–106. 2013.PubMed/NCBI View Article : Google Scholar

Related Articles

  • Abstract
  • View
  • Download
Copy and paste a formatted citation
Spandidos Publications style
Fotakopoulos G, Tsolaki V, Aravantinou-Fatorou A, Georgakopoulou VE, Spandidos DA, Papalexis P, Tarantinos K, Trakas N, Sklapani P, Mathioudakis N, Mathioudakis N, et al: Uncommon and atypical meningiomas and imaging variants: A report of 7 cases. Med Int 2: 35, 2022.
APA
Fotakopoulos, G., Tsolaki, V., Aravantinou-Fatorou, A., Georgakopoulou, V.E., Spandidos, D.A., Papalexis, P. ... Lavdas, E. (2022). Uncommon and atypical meningiomas and imaging variants: A report of 7 cases. Medicine International, 2, 35. https://doi.org/10.3892/mi.2022.60
MLA
Fotakopoulos, G., Tsolaki, V., Aravantinou-Fatorou, A., Georgakopoulou, V. E., Spandidos, D. A., Papalexis, P., Tarantinos, K., Trakas, N., Sklapani, P., Mathioudakis, N., Chlapoutakis, S., Lavdas, E."Uncommon and atypical meningiomas and imaging variants: A report of 7 cases". Medicine International 2.6 (2022): 35.
Chicago
Fotakopoulos, G., Tsolaki, V., Aravantinou-Fatorou, A., Georgakopoulou, V. E., Spandidos, D. A., Papalexis, P., Tarantinos, K., Trakas, N., Sklapani, P., Mathioudakis, N., Chlapoutakis, S., Lavdas, E."Uncommon and atypical meningiomas and imaging variants: A report of 7 cases". Medicine International 2, no. 6 (2022): 35. https://doi.org/10.3892/mi.2022.60
Copy and paste a formatted citation
x
Spandidos Publications style
Fotakopoulos G, Tsolaki V, Aravantinou-Fatorou A, Georgakopoulou VE, Spandidos DA, Papalexis P, Tarantinos K, Trakas N, Sklapani P, Mathioudakis N, Mathioudakis N, et al: Uncommon and atypical meningiomas and imaging variants: A report of 7 cases. Med Int 2: 35, 2022.
APA
Fotakopoulos, G., Tsolaki, V., Aravantinou-Fatorou, A., Georgakopoulou, V.E., Spandidos, D.A., Papalexis, P. ... Lavdas, E. (2022). Uncommon and atypical meningiomas and imaging variants: A report of 7 cases. Medicine International, 2, 35. https://doi.org/10.3892/mi.2022.60
MLA
Fotakopoulos, G., Tsolaki, V., Aravantinou-Fatorou, A., Georgakopoulou, V. E., Spandidos, D. A., Papalexis, P., Tarantinos, K., Trakas, N., Sklapani, P., Mathioudakis, N., Chlapoutakis, S., Lavdas, E."Uncommon and atypical meningiomas and imaging variants: A report of 7 cases". Medicine International 2.6 (2022): 35.
Chicago
Fotakopoulos, G., Tsolaki, V., Aravantinou-Fatorou, A., Georgakopoulou, V. E., Spandidos, D. A., Papalexis, P., Tarantinos, K., Trakas, N., Sklapani, P., Mathioudakis, N., Chlapoutakis, S., Lavdas, E."Uncommon and atypical meningiomas and imaging variants: A report of 7 cases". Medicine International 2, no. 6 (2022): 35. https://doi.org/10.3892/mi.2022.60
Follow us
  • Twitter
  • LinkedIn
  • Facebook
About
  • Spandidos Publications
  • Careers
  • Cookie Policy
  • Privacy Policy
How can we help?
  • Help
  • Live Chat
  • Contact
  • Email to our Support Team