Spandidos Publications Logo
  • About
    • About Spandidos
    • Aims and Scopes
    • Abstracting and Indexing
    • Editorial Policies
    • Reprints and Permissions
    • Job Opportunities
    • Terms and Conditions
    • Contact
  • Journals
    • All Journals
    • Oncology Letters
      • Oncology Letters
      • Information for Authors
      • Editorial Policies
      • Editorial Board
      • Aims and Scope
      • Abstracting and Indexing
      • Bibliographic Information
      • Archive
    • International Journal of Oncology
      • International Journal of Oncology
      • Information for Authors
      • Editorial Policies
      • Editorial Board
      • Aims and Scope
      • Abstracting and Indexing
      • Bibliographic Information
      • Archive
    • Molecular and Clinical Oncology
      • Molecular and Clinical Oncology
      • Information for Authors
      • Editorial Policies
      • Editorial Board
      • Aims and Scope
      • Abstracting and Indexing
      • Bibliographic Information
      • Archive
    • Experimental and Therapeutic Medicine
      • Experimental and Therapeutic Medicine
      • Information for Authors
      • Editorial Policies
      • Editorial Board
      • Aims and Scope
      • Abstracting and Indexing
      • Bibliographic Information
      • Archive
    • International Journal of Molecular Medicine
      • International Journal of Molecular Medicine
      • Information for Authors
      • Editorial Policies
      • Editorial Board
      • Aims and Scope
      • Abstracting and Indexing
      • Bibliographic Information
      • Archive
    • Biomedical Reports
      • Biomedical Reports
      • Information for Authors
      • Editorial Policies
      • Editorial Board
      • Aims and Scope
      • Abstracting and Indexing
      • Bibliographic Information
      • Archive
    • Oncology Reports
      • Oncology Reports
      • Information for Authors
      • Editorial Policies
      • Editorial Board
      • Aims and Scope
      • Abstracting and Indexing
      • Bibliographic Information
      • Archive
    • Molecular Medicine Reports
      • Molecular Medicine Reports
      • Information for Authors
      • Editorial Policies
      • Editorial Board
      • Aims and Scope
      • Abstracting and Indexing
      • Bibliographic Information
      • Archive
    • World Academy of Sciences Journal
      • World Academy of Sciences Journal
      • Information for Authors
      • Editorial Policies
      • Editorial Board
      • Aims and Scope
      • Abstracting and Indexing
      • Bibliographic Information
      • Archive
    • International Journal of Functional Nutrition
      • International Journal of Functional Nutrition
      • Information for Authors
      • Editorial Policies
      • Editorial Board
      • Aims and Scope
      • Abstracting and Indexing
      • Bibliographic Information
      • Archive
    • International Journal of Epigenetics
      • International Journal of Epigenetics
      • Information for Authors
      • Editorial Policies
      • Editorial Board
      • Aims and Scope
      • Abstracting and Indexing
      • Bibliographic Information
      • Archive
    • Medicine International
      • Medicine International
      • Information for Authors
      • Editorial Policies
      • Editorial Board
      • Aims and Scope
      • Abstracting and Indexing
      • Bibliographic Information
      • Archive
  • Articles
  • Information
    • Information for Authors
    • Information for Reviewers
    • Information for Librarians
    • Information for Advertisers
    • Conferences
  • Language Editing
Spandidos Publications Logo
  • About
    • About Spandidos
    • Aims and Scopes
    • Abstracting and Indexing
    • Editorial Policies
    • Reprints and Permissions
    • Job Opportunities
    • Terms and Conditions
    • Contact
  • Journals
    • All Journals
    • Biomedical Reports
      • Information for Authors
      • Editorial Policies
      • Editorial Board
      • Aims and Scope
      • Abstracting and Indexing
      • Bibliographic Information
      • Archive
    • Experimental and Therapeutic Medicine
      • Information for Authors
      • Editorial Policies
      • Editorial Board
      • Aims and Scope
      • Abstracting and Indexing
      • Bibliographic Information
      • Archive
    • International Journal of Epigenetics
      • Information for Authors
      • Editorial Policies
      • Editorial Board
      • Aims and Scope
      • Abstracting and Indexing
      • Bibliographic Information
      • Archive
    • International Journal of Functional Nutrition
      • Information for Authors
      • Editorial Policies
      • Editorial Board
      • Aims and Scope
      • Abstracting and Indexing
      • Bibliographic Information
      • Archive
    • International Journal of Molecular Medicine
      • Information for Authors
      • Editorial Policies
      • Editorial Board
      • Aims and Scope
      • Abstracting and Indexing
      • Bibliographic Information
      • Archive
    • International Journal of Oncology
      • Information for Authors
      • Editorial Policies
      • Editorial Board
      • Aims and Scope
      • Abstracting and Indexing
      • Bibliographic Information
      • Archive
    • Medicine International
      • Information for Authors
      • Editorial Policies
      • Editorial Board
      • Aims and Scope
      • Abstracting and Indexing
      • Bibliographic Information
      • Archive
    • Molecular and Clinical Oncology
      • Information for Authors
      • Editorial Policies
      • Editorial Board
      • Aims and Scope
      • Abstracting and Indexing
      • Bibliographic Information
      • Archive
    • Molecular Medicine Reports
      • Information for Authors
      • Editorial Policies
      • Editorial Board
      • Aims and Scope
      • Abstracting and Indexing
      • Bibliographic Information
      • Archive
    • Oncology Letters
      • Information for Authors
      • Editorial Policies
      • Editorial Board
      • Aims and Scope
      • Abstracting and Indexing
      • Bibliographic Information
      • Archive
    • Oncology Reports
      • Information for Authors
      • Editorial Policies
      • Editorial Board
      • Aims and Scope
      • Abstracting and Indexing
      • Bibliographic Information
      • Archive
    • World Academy of Sciences Journal
      • Information for Authors
      • Editorial Policies
      • Editorial Board
      • Aims and Scope
      • Abstracting and Indexing
      • Bibliographic Information
      • Archive
  • Articles
  • Information
    • For Authors
    • For Reviewers
    • For Librarians
    • For Advertisers
    • Conferences
  • Language Editing
Login Register Submit
  • This site uses cookies
  • You can change your cookie settings at any time by following the instructions in our Cookie Policy. To find out more, you may read our Privacy Policy.

    I agree
Search articles by DOI, keyword, author or affiliation
Search
Advanced Search
presentation
Medicine International
Join Editorial Board Propose a Special Issue
Print ISSN: 2754-3242 Online ISSN: 2754-1304
Journal Cover
September-October 2023 Volume 3 Issue 5

Full Size Image

Sign up for eToc alerts
Recommend to Library

Journals

International Journal of Molecular Medicine

International Journal of Molecular Medicine

International Journal of Molecular Medicine is an international journal devoted to molecular mechanisms of human disease.

International Journal of Oncology

International Journal of Oncology

International Journal of Oncology is an international journal devoted to oncology research and cancer treatment.

Molecular Medicine Reports

Molecular Medicine Reports

Covers molecular medicine topics such as pharmacology, pathology, genetics, neuroscience, infectious diseases, molecular cardiology, and molecular surgery.

Oncology Reports

Oncology Reports

Oncology Reports is an international journal devoted to fundamental and applied research in Oncology.

Experimental and Therapeutic Medicine

Experimental and Therapeutic Medicine

Experimental and Therapeutic Medicine is an international journal devoted to laboratory and clinical medicine.

Oncology Letters

Oncology Letters

Oncology Letters is an international journal devoted to Experimental and Clinical Oncology.

Biomedical Reports

Biomedical Reports

Explores a wide range of biological and medical fields, including pharmacology, genetics, microbiology, neuroscience, and molecular cardiology.

Molecular and Clinical Oncology

Molecular and Clinical Oncology

International journal addressing all aspects of oncology research, from tumorigenesis and oncogenes to chemotherapy and metastasis.

World Academy of Sciences Journal

World Academy of Sciences Journal

Multidisciplinary open-access journal spanning biochemistry, genetics, neuroscience, environmental health, and synthetic biology.

International Journal of Functional Nutrition

International Journal of Functional Nutrition

Open-access journal combining biochemistry, pharmacology, immunology, and genetics to advance health through functional nutrition.

International Journal of Epigenetics

International Journal of Epigenetics

Publishes open-access research on using epigenetics to advance understanding and treatment of human disease.

Medicine International

Medicine International

An International Open Access Journal Devoted to General Medicine.

Journal Cover
September-October 2023 Volume 3 Issue 5

Full Size Image

Sign up for eToc alerts
Recommend to Library

  • Article
  • Citations
    • Cite This Article
    • Download Citation
    • Create Citation Alert
    • Remove Citation Alert
    • Cited By
  • Similar Articles
    • Related Articles (in Spandidos Publications)
    • Similar Articles (Google Scholar)
    • Similar Articles (PubMed)
  • Download PDF
  • Download XML
  • View XML
Case Report Open Access

Large bladder flap haematoma following a caesarean section associated with right hydroureteronephrosis: A case report and a mini‑review of the literature

  • Authors:
    • Efthymia Thanasa
    • Anna Thanasa
    • Evangelos Kamaretsos
    • Ioannis Paraoulakis
    • Vasiliki Grapsidi
    • Evangelos-Ektoras Gerokostas
    • Ioannis Thanasas
  • View Affiliations / Copyright

    Affiliations: Department of Health Sciences, Medical School, Aristotle University of Thessaloniki, 54124 Thessaloniki, Greece, Department of Obstetrics and Gynecology, General Hospital of Trikala, 42100 Trikala, Greece
    Copyright: © Thanasa et al. This is an open access article distributed under the terms of Creative Commons Attribution License [CC BY 4.0].
  • Article Number: 48
    |
    Published online on: September 5, 2023
       https://doi.org/10.3892/mi.2023.108
  • Expand metrics +
Metrics: Total Views: 0 (Spandidos Publications: | PMC Statistics: )
Metrics: Total PDF Downloads: 0 (Spandidos Publications: | PMC Statistics: )
Cited By (CrossRef): 0 citations Loading Articles...

This article is mentioned in:



Abstract

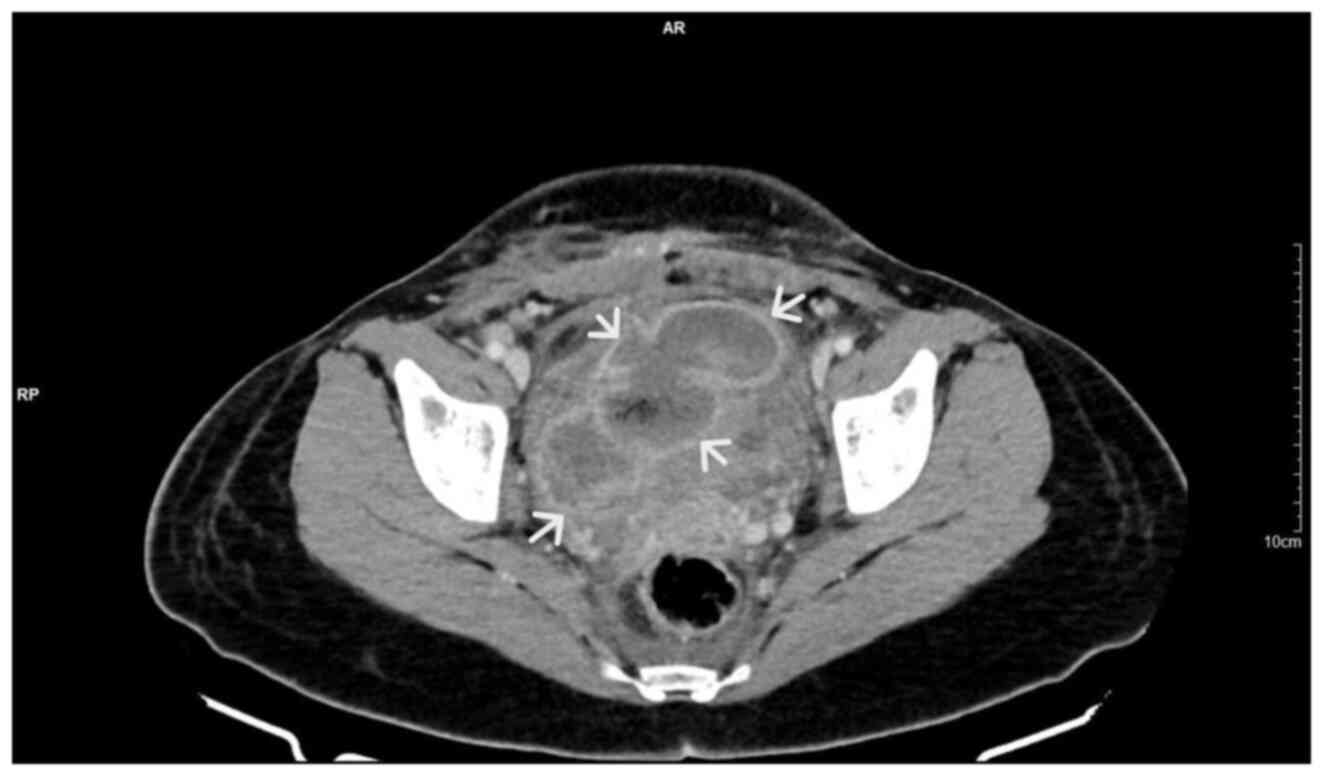
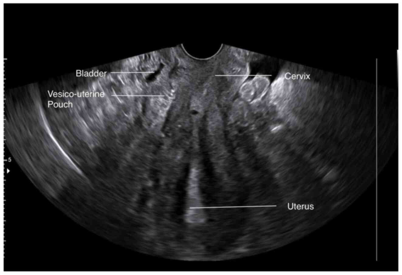
Post‑caesarean section bladder flap haematoma is a rare postpartum complication. There are currently no specific treatment protocols, at least to the best of our knowledge. In general, the failure of conservative treatment with antibiotics requires the re‑operation and surgical drainage of the haematoma. The present study describes the case of a primiparous pregnant woman who, at 40 weeks of pregnancy, delivered by caesarean section. On the 3rd post‑operative day, the puerperant, haemodynamically stable, developed febrile infection. During the evaluation, the presence of bladder flap haematoma associated with moderate right hydroureteronephrosis was found. The failure of conservative management led to the decision to perform a re‑laparotomy 1 week later. During the surgery, a large bladder flap haematoma was found with a retroperitoneal extension into the right parametrium. The surgical drainage of the haematoma and thorough haemostasis in the area of the vesicouterine pouch was performed. The patient was discharged from the clinic on the 5th post‑operative day following the re‑operation. After 2 weeks, an ultrasound revealed the complete repair of the lesions in the vesicouterine pouch and the right kidney. In the present study, a brief review of literature is also provided regarding the diagnostic and therapeutic management of patients with post‑caesarean section bladder flap hematoma.
View Figures

Figure 1

Figure 2

Figure 3

Figure 4

Figure 5

Figure 6

View References

1 

Sandall J, Tribe RM, Avery L, Mola G, Visser GH, Homer CS, Gibbons D, Kelly NM, Kennedy HP, Kidanto H, et al: Short-term and long-term effects of caesarean section on the health of women and children. Lancet. 392:1349–1357. 2018.PubMed/NCBI View Article : Google Scholar

2 

Malvasi A, Tinelli A, Tinelli R, Rahimi S, Resta L and Tinelli FG: The post-cesarean section symptomatic bladder flap hematoma: A modern reappraisal. J Matern Fetal Neonatal Med. 20:709–714. 2007.PubMed/NCBI View Article : Google Scholar

3 

Yaghoubi S, Zekiy AO, Krutova M, Gholami M, Kouhsari E, Sholeh M, Ghafouri Z and Maleki F: Tigecycline antibacterial activity, clinical effectiveness, and mechanisms and epidemiology of resistance: narrative review. Eur J Clin Microbiol Infect Dis. 41:1003–1022. 2022.PubMed/NCBI View Article : Google Scholar

4 

Lata K, Davis AA, Panwar A, Kriplani I and Kriplani A: Laparoscopic management of post-cesarean uterovesical abscess: A new approach to an old problem. J Obstet Gynaecol India. 71:313–317. 2021.PubMed/NCBI View Article : Google Scholar

5 

Baker ME, Bowie JD and Killam AP: Sonography of post-cesarean-section bladder-flap hematoma. AJR Am J Roentgenol. 144:757–759. 1985.PubMed/NCBI View Article : Google Scholar

6 

Sierra A, Burrel M, Sebastia C, Radosevic A, Barrufet M, Albela S, Buñesch L, Domingo MA, Salvador R and Real I: Utility of multidetector CT in severe postpartum hemorrhage. Radiographics. 32:1463–1481. 2012.PubMed/NCBI View Article : Google Scholar

7 

Lee NK, Kim S, Lee JW, Sol YL, Kim CW, Hyun Sung K, Jang HJ and Suh DS: Postpartum hemorrhage: Clinical and radiologic aspects. Eur J Radiol. 74:50–59. 2010.PubMed/NCBI View Article : Google Scholar

8 

Gui B, Danza FM, Valentini AL, Laino ME, Caruso A, Carducci B, Rodolfino E, Devicienti E and Bonomo L: Multidetector CT appearance of the pelvis after cesarean delivery: Normal and abnormal acute findings. Diagn Interv Radiol. 22:534–541. 2016.PubMed/NCBI View Article : Google Scholar

9 

Raagab AE, Mesbah YH, Brakat RI, Zayed AA and Alsaammani MA: Re-laparotomy after cesarean section: Risk, indications and management options. Med Arch. 68:41–43. 2014.PubMed/NCBI View Article : Google Scholar

10 

Weissmann-Brenner A, Barzilay E, Meyer R, Levin G, Harmatz D, Alakeli A, Domniz N and Yoles I: Relaparotomy post-cesarean delivery: Characteristics and risk factors. Arch Gynecol Obstet. 304:1427–1432. 2021.PubMed/NCBI View Article : Google Scholar

11 

Tinelli A, Malvasi A and Vittori G: Laparoscopic treatment of post-cesarean section bladder flap hematoma: A feasible and safe approach. Minim Invasive Ther Allied Technol. 18:356–360. 2009.PubMed/NCBI View Article : Google Scholar

12 

Sentilhes L, Schmitz T, Madar H, Bouchghoul H, Fuchs F, Garabédian C, Korb D, Nouette-Gaulain K, Pécheux O, Sananès N, et al: The cesarean procedure: Guidelines for clinical practice from the French college of obstetricians and gynecologists. Gynecol Obstet Fertil Senol. 51:7–34. 2023.PubMed/NCBI View Article : Google Scholar : (In French).

Related Articles

  • Abstract
  • View
  • Download
Copy and paste a formatted citation
Spandidos Publications style
Thanasa E, Thanasa A, Kamaretsos E, Paraoulakis I, Grapsidi V, Gerokostas E and Thanasas I: Large bladder flap haematoma following a caesarean section associated with right hydroureteronephrosis: A case report and a mini‑review of the literature. Med Int 3: 48, 2023.
APA
Thanasa, E., Thanasa, A., Kamaretsos, E., Paraoulakis, I., Grapsidi, V., Gerokostas, E., & Thanasas, I. (2023). Large bladder flap haematoma following a caesarean section associated with right hydroureteronephrosis: A case report and a mini‑review of the literature. Medicine International, 3, 48. https://doi.org/10.3892/mi.2023.108
MLA
Thanasa, E., Thanasa, A., Kamaretsos, E., Paraoulakis, I., Grapsidi, V., Gerokostas, E., Thanasas, I."Large bladder flap haematoma following a caesarean section associated with right hydroureteronephrosis: A case report and a mini‑review of the literature". Medicine International 3.5 (2023): 48.
Chicago
Thanasa, E., Thanasa, A., Kamaretsos, E., Paraoulakis, I., Grapsidi, V., Gerokostas, E., Thanasas, I."Large bladder flap haematoma following a caesarean section associated with right hydroureteronephrosis: A case report and a mini‑review of the literature". Medicine International 3, no. 5 (2023): 48. https://doi.org/10.3892/mi.2023.108
Copy and paste a formatted citation
x
Spandidos Publications style
Thanasa E, Thanasa A, Kamaretsos E, Paraoulakis I, Grapsidi V, Gerokostas E and Thanasas I: Large bladder flap haematoma following a caesarean section associated with right hydroureteronephrosis: A case report and a mini‑review of the literature. Med Int 3: 48, 2023.
APA
Thanasa, E., Thanasa, A., Kamaretsos, E., Paraoulakis, I., Grapsidi, V., Gerokostas, E., & Thanasas, I. (2023). Large bladder flap haematoma following a caesarean section associated with right hydroureteronephrosis: A case report and a mini‑review of the literature. Medicine International, 3, 48. https://doi.org/10.3892/mi.2023.108
MLA
Thanasa, E., Thanasa, A., Kamaretsos, E., Paraoulakis, I., Grapsidi, V., Gerokostas, E., Thanasas, I."Large bladder flap haematoma following a caesarean section associated with right hydroureteronephrosis: A case report and a mini‑review of the literature". Medicine International 3.5 (2023): 48.
Chicago
Thanasa, E., Thanasa, A., Kamaretsos, E., Paraoulakis, I., Grapsidi, V., Gerokostas, E., Thanasas, I."Large bladder flap haematoma following a caesarean section associated with right hydroureteronephrosis: A case report and a mini‑review of the literature". Medicine International 3, no. 5 (2023): 48. https://doi.org/10.3892/mi.2023.108
Follow us
  • Twitter
  • LinkedIn
  • Facebook
About
  • Spandidos Publications
  • Careers
  • Cookie Policy
  • Privacy Policy
How can we help?
  • Help
  • Live Chat
  • Contact
  • Email to our Support Team