Spandidos Publications Logo
  • About
    • About Spandidos
    • Aims and Scopes
    • Abstracting and Indexing
    • Editorial Policies
    • Reprints and Permissions
    • Job Opportunities
    • Terms and Conditions
    • Contact
  • Journals
    • All Journals
    • Oncology Letters
      • Oncology Letters
      • Information for Authors
      • Editorial Policies
      • Editorial Board
      • Aims and Scope
      • Abstracting and Indexing
      • Bibliographic Information
      • Archive
    • International Journal of Oncology
      • International Journal of Oncology
      • Information for Authors
      • Editorial Policies
      • Editorial Board
      • Aims and Scope
      • Abstracting and Indexing
      • Bibliographic Information
      • Archive
    • Molecular and Clinical Oncology
      • Molecular and Clinical Oncology
      • Information for Authors
      • Editorial Policies
      • Editorial Board
      • Aims and Scope
      • Abstracting and Indexing
      • Bibliographic Information
      • Archive
    • Experimental and Therapeutic Medicine
      • Experimental and Therapeutic Medicine
      • Information for Authors
      • Editorial Policies
      • Editorial Board
      • Aims and Scope
      • Abstracting and Indexing
      • Bibliographic Information
      • Archive
    • International Journal of Molecular Medicine
      • International Journal of Molecular Medicine
      • Information for Authors
      • Editorial Policies
      • Editorial Board
      • Aims and Scope
      • Abstracting and Indexing
      • Bibliographic Information
      • Archive
    • Biomedical Reports
      • Biomedical Reports
      • Information for Authors
      • Editorial Policies
      • Editorial Board
      • Aims and Scope
      • Abstracting and Indexing
      • Bibliographic Information
      • Archive
    • Oncology Reports
      • Oncology Reports
      • Information for Authors
      • Editorial Policies
      • Editorial Board
      • Aims and Scope
      • Abstracting and Indexing
      • Bibliographic Information
      • Archive
    • Molecular Medicine Reports
      • Molecular Medicine Reports
      • Information for Authors
      • Editorial Policies
      • Editorial Board
      • Aims and Scope
      • Abstracting and Indexing
      • Bibliographic Information
      • Archive
    • World Academy of Sciences Journal
      • World Academy of Sciences Journal
      • Information for Authors
      • Editorial Policies
      • Editorial Board
      • Aims and Scope
      • Abstracting and Indexing
      • Bibliographic Information
      • Archive
    • International Journal of Functional Nutrition
      • International Journal of Functional Nutrition
      • Information for Authors
      • Editorial Policies
      • Editorial Board
      • Aims and Scope
      • Abstracting and Indexing
      • Bibliographic Information
      • Archive
    • International Journal of Epigenetics
      • International Journal of Epigenetics
      • Information for Authors
      • Editorial Policies
      • Editorial Board
      • Aims and Scope
      • Abstracting and Indexing
      • Bibliographic Information
      • Archive
    • Medicine International
      • Medicine International
      • Information for Authors
      • Editorial Policies
      • Editorial Board
      • Aims and Scope
      • Abstracting and Indexing
      • Bibliographic Information
      • Archive
  • Articles
  • Information
    • Information for Authors
    • Information for Reviewers
    • Information for Librarians
    • Information for Advertisers
    • Conferences
  • Language Editing
Spandidos Publications Logo
  • About
    • About Spandidos
    • Aims and Scopes
    • Abstracting and Indexing
    • Editorial Policies
    • Reprints and Permissions
    • Job Opportunities
    • Terms and Conditions
    • Contact
  • Journals
    • All Journals
    • Biomedical Reports
      • Information for Authors
      • Editorial Policies
      • Editorial Board
      • Aims and Scope
      • Abstracting and Indexing
      • Bibliographic Information
      • Archive
    • Experimental and Therapeutic Medicine
      • Information for Authors
      • Editorial Policies
      • Editorial Board
      • Aims and Scope
      • Abstracting and Indexing
      • Bibliographic Information
      • Archive
    • International Journal of Epigenetics
      • Information for Authors
      • Editorial Policies
      • Editorial Board
      • Aims and Scope
      • Abstracting and Indexing
      • Bibliographic Information
      • Archive
    • International Journal of Functional Nutrition
      • Information for Authors
      • Editorial Policies
      • Editorial Board
      • Aims and Scope
      • Abstracting and Indexing
      • Bibliographic Information
      • Archive
    • International Journal of Molecular Medicine
      • Information for Authors
      • Editorial Policies
      • Editorial Board
      • Aims and Scope
      • Abstracting and Indexing
      • Bibliographic Information
      • Archive
    • International Journal of Oncology
      • Information for Authors
      • Editorial Policies
      • Editorial Board
      • Aims and Scope
      • Abstracting and Indexing
      • Bibliographic Information
      • Archive
    • Medicine International
      • Information for Authors
      • Editorial Policies
      • Editorial Board
      • Aims and Scope
      • Abstracting and Indexing
      • Bibliographic Information
      • Archive
    • Molecular and Clinical Oncology
      • Information for Authors
      • Editorial Policies
      • Editorial Board
      • Aims and Scope
      • Abstracting and Indexing
      • Bibliographic Information
      • Archive
    • Molecular Medicine Reports
      • Information for Authors
      • Editorial Policies
      • Editorial Board
      • Aims and Scope
      • Abstracting and Indexing
      • Bibliographic Information
      • Archive
    • Oncology Letters
      • Information for Authors
      • Editorial Policies
      • Editorial Board
      • Aims and Scope
      • Abstracting and Indexing
      • Bibliographic Information
      • Archive
    • Oncology Reports
      • Information for Authors
      • Editorial Policies
      • Editorial Board
      • Aims and Scope
      • Abstracting and Indexing
      • Bibliographic Information
      • Archive
    • World Academy of Sciences Journal
      • Information for Authors
      • Editorial Policies
      • Editorial Board
      • Aims and Scope
      • Abstracting and Indexing
      • Bibliographic Information
      • Archive
  • Articles
  • Information
    • For Authors
    • For Reviewers
    • For Librarians
    • For Advertisers
    • Conferences
  • Language Editing
Login Register Submit
  • This site uses cookies
  • You can change your cookie settings at any time by following the instructions in our Cookie Policy. To find out more, you may read our Privacy Policy.

    I agree
Search articles by DOI, keyword, author or affiliation
Search
Advanced Search
presentation
Molecular Medicine Reports
Join Editorial Board Propose a Special Issue
Print ISSN: 1791-2997 Online ISSN: 1791-3004
Journal Cover
2014-April Volume 9 Issue 4

Full Size Image

Sign up for eToc alerts
Recommend to Library

Journals

International Journal of Molecular Medicine

International Journal of Molecular Medicine

International Journal of Molecular Medicine is an international journal devoted to molecular mechanisms of human disease.

International Journal of Oncology

International Journal of Oncology

International Journal of Oncology is an international journal devoted to oncology research and cancer treatment.

Molecular Medicine Reports

Molecular Medicine Reports

Covers molecular medicine topics such as pharmacology, pathology, genetics, neuroscience, infectious diseases, molecular cardiology, and molecular surgery.

Oncology Reports

Oncology Reports

Oncology Reports is an international journal devoted to fundamental and applied research in Oncology.

Experimental and Therapeutic Medicine

Experimental and Therapeutic Medicine

Experimental and Therapeutic Medicine is an international journal devoted to laboratory and clinical medicine.

Oncology Letters

Oncology Letters

Oncology Letters is an international journal devoted to Experimental and Clinical Oncology.

Biomedical Reports

Biomedical Reports

Explores a wide range of biological and medical fields, including pharmacology, genetics, microbiology, neuroscience, and molecular cardiology.

Molecular and Clinical Oncology

Molecular and Clinical Oncology

International journal addressing all aspects of oncology research, from tumorigenesis and oncogenes to chemotherapy and metastasis.

World Academy of Sciences Journal

World Academy of Sciences Journal

Multidisciplinary open-access journal spanning biochemistry, genetics, neuroscience, environmental health, and synthetic biology.

International Journal of Functional Nutrition

International Journal of Functional Nutrition

Open-access journal combining biochemistry, pharmacology, immunology, and genetics to advance health through functional nutrition.

International Journal of Epigenetics

International Journal of Epigenetics

Publishes open-access research on using epigenetics to advance understanding and treatment of human disease.

Medicine International

Medicine International

An International Open Access Journal Devoted to General Medicine.

Journal Cover
2014-April Volume 9 Issue 4

Full Size Image

Sign up for eToc alerts
Recommend to Library

  • Article
  • Citations
    • Cite This Article
    • Download Citation
    • Create Citation Alert
    • Remove Citation Alert
    • Cited By
  • Similar Articles
    • Related Articles (in Spandidos Publications)
    • Similar Articles (Google Scholar)
    • Similar Articles (PubMed)
  • Download PDF
  • Download XML
  • View XML
Article

Role of the local bone renin‑angiotensin system in steroid‑induced osteonecrosis in rabbits

  • Authors:
    • Yongtao Zhang
    • Kunzheng Wang
    • Qichun Song
    • Ruiyu Liu
    • Wenchen Ji
    • Le Ji
    • Chunsheng Wang
  • View Affiliations / Copyright

    Affiliations: Department of Orthopaedics, The Second Affiliated Hospital of Xi'an Jiaotong University, Xi'an, Shaanxi 710004, P.R. China, Medical College of Xi'an Jiaotong University, Xi'an, Shaanxi 710061, P.R. China
  • Pages: 1128-1134
    |
    Published online on: February 21, 2014
       https://doi.org/10.3892/mmr.2014.1978
  • Expand metrics +
Metrics: Total Views: 0 (Spandidos Publications: | PMC Statistics: )
Metrics: Total PDF Downloads: 0 (Spandidos Publications: | PMC Statistics: )
Cited By (CrossRef): 0 citations Loading Articles...

This article is mentioned in:



Abstract

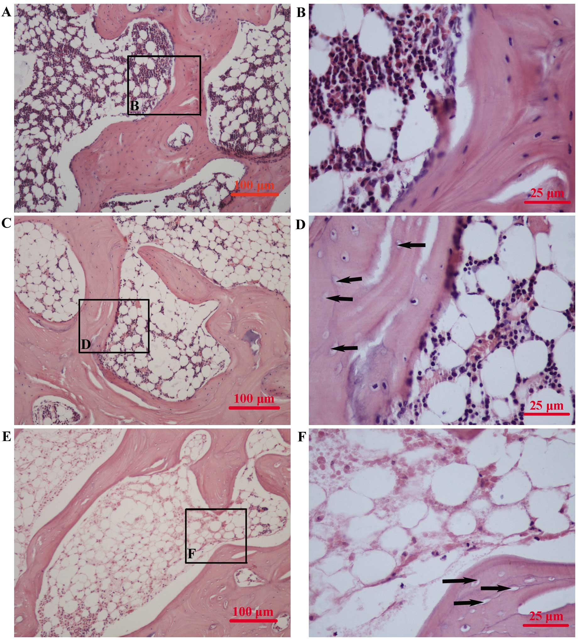
The specific pathogenesis of steroid‑induced osteonecrosis (ON) is yet to be elucidated and until recently effective prophylactic therapies have not been available. The local renin‑angiotensin system (RAS) exists in the bone and has an important role in local bone regulation. However, to the best of our knowledge, the interrelation between local bone RAS and steroid‑induced ON is yet to be investigated. In the present study, 45 rabbits were injected with a single intramuscular dose of 20 mg/kg methylprednisolone acetate (MPA) and were sacrificed 1 (group A), 2 (group B) and 3 (group C) weeks subsequent to MPA administration (n=15 per group). Ten rabbits were used as a control group (group N). The presence or absence of ON in the bilateral femoral heads was examined histopathologically. The mRNA and protein expression of components of the RAS, including angiotensin II (Ang II), angiotensin converting enzyme (ACE) and Ang II type 1 (AT1) and Ang II type 2 (AT2) receptors, were detected in the bone. Significant changes in Ang II, ACE, and AT1 and AT2 receptor expression were observed in the bone of the rabbits in the different groups. Moreover, the expression of Ang II and ACE was highest one week subsequent to administration of the glucocorticoid methylprednisolone and the expression of the AT1 and AT2 receptors was highest two weeks following methylprednisolone administration. ON occurs most significantly at three weeks following the administration of MPA in this animal model, thus the changes in Ang II, ACE and AT1 and AT2 receptor expression preceded this. The present study found that ON was strongly associated with the activation of the local bone RAS in rabbits.
View Figures

Figure 1

Figure 2

Figure 3

Figure 4

Figure 5

Figure 6

View References

1 

Miyanishi K, Yamamoto T, Irisa T, et al: Bone marrow fat cell enlargement and a rise in intraosseous pressure in steroid-treated rabbits with osteonecrosis. Bone. 30:185–190. 2002. View Article : Google Scholar : PubMed/NCBI

2 

Ichiseki T, Ueda Y, Katsuda S, Kitamura K, Kaneuji A and Matsumoto T: Oxidative stress by glutathione depletion induces osteonecrosis in rats. Rheumatology (Oxford). 45:287–290. 2006. View Article : Google Scholar : PubMed/NCBI

3 

Calder JD, Buttery L, Revell PA, Pearse M and Polak JM: Apoptosis - a significant cause of bone cell death in osteonecrosis of the femoral head. J Bone Joint Surg Br. 86:1209–1213. 2004. View Article : Google Scholar : PubMed/NCBI

4 

Ichiseki T, Matsumoto T, Nishino M, Kaneuji A and Katsuda S: Oxidative stress and vascular permeability in steroid-induced osteonecrosis model. J Orthop Sci. 9:509–515. 2004. View Article : Google Scholar : PubMed/NCBI

5 

Kabata T, Kubo T, Matsumoto T, et al: Onset of steroid-induced osteonecrosis in rabbits and its relationship to hyperlipaemia and increased free fatty acids. Rheumatology (Oxford). 44:1233–1237. 2005. View Article : Google Scholar : PubMed/NCBI

6 

Paul M, Poyan Mehr AP and Kreutz R: Physiology of local renin-angiotensin systems. Physiol Rev. 86:747–803. 2006. View Article : Google Scholar : PubMed/NCBI

7 

Asaba Y, Ito M, Fumoto T, et al: Activation of renin-angiotensin system induces osteoporosis independently of hypertension. J Bone Miner Res. 24:241–250. 2009. View Article : Google Scholar : PubMed/NCBI

8 

Garcia P, Schwenzer S, Slotta JE, et al: Inhibition of angiotensin-converting enzyme stimulates fracture healing and periosteal callus formation - role of a local renin-angiotensin system. Br J Pharmacol. 159:1672–1680. 2010. View Article : Google Scholar

9 

Schurman SJ, Bergstrom WH, Shoemaker LR and Welch TR: Angiotensin II reduces calcium uptake into bone. Pediatr Nephrol. 19:33–35. 2004. View Article : Google Scholar : PubMed/NCBI

10 

Hagiwara H, Hiruma Y, Inoue A, Yamaguchi A and Hirose S: Deceleration by angiotensin II of the differentiation and bone formation of rat calvarial osteoblastic cells. J Endocrinol. 156:543–550. 1998. View Article : Google Scholar : PubMed/NCBI

11 

Lynn H, Kwok T, Wong SY, Woo J and Leung PC: Angiotensin converting enzyme inhibitor use is associated with higher bone mineral density in elderly Chinese. Bone. 38:584–588. 2006. View Article : Google Scholar : PubMed/NCBI

12 

Marchesi C, Paradis P and Schiffrin EL: Role of the renin-angiotensin system in vascular inflammation. Trends Pharmacol Sci. 29:367–374. 2008. View Article : Google Scholar : PubMed/NCBI

13 

Fishel RS, Eisenberg S, Shai SY, Redden RA, Bernstein KE and Berk BC: Glucocorticoids induce angiotensin-converting enzyme expression in vascular smooth muscle. Hypertension. 25:343–349. 1995. View Article : Google Scholar : PubMed/NCBI

14 

Barreto-Chaves M, Anéas I and Krieger J: Glucocorticoid regulation of angiotensin-converting enzyme in primary culture of adult cardiac fibroblasts. Am J Physiol Regul Integr Comp Physiol. 280:R25–R32. 2001.PubMed/NCBI

15 

Mendelsohn FA, Lloyd CJ, Kachel C and Funder JW: Induction by glucocorticoids of angiotensin-converting enzyme production from bovine endothelial cells in culture and rat lung in vivo. J Clin Invest. 70:684–692. 1982. View Article : Google Scholar

16 

Sato A, Suzuki H, Nakazato Y, Shibata H, Inagami T and Saruta T: Increased expression of vascular angiotensin II type 1A receptor gene in glucocorticoid-induced hypertension. J Hypertens. 12:511–516. 1994. View Article : Google Scholar : PubMed/NCBI

17 

Iwakiri K, Oda Y, Kaneshiro Y, et al: Effect of simvastatin on steroid-induced osteonecrosis evidenced by the serum lipid level and hepatic cytochrome P4503A in a rabbit model. J Orthop Sci. 13:463–468. 2008. View Article : Google Scholar : PubMed/NCBI

18 

Kuribayashi M, Fujioka M, Takahashi KA, et al: Vitamin E prevents steroid-induced osteonecrosis in rabbits. Acta Orthop. 81:154–160. 2010. View Article : Google Scholar

19 

Mitani H, Bandoh T, Ishikawa J, Kimura M, Totsuka T and Hayashi S: Inhibitory effects of fluvastatin, a new HMG-CoA reductase inhibitor, on the increase in vascular ACE activity in cholesterol-fed rabbits. Br J Pharmacol. 119:1269–1275. 1996. View Article : Google Scholar : PubMed/NCBI

20 

Liu BC, Gao J, Li Q and Xu LM: Albumin caused the increasing production of angiotensin II due to the dysregulation of ACE/ACE2 expression in HK2 cells. Clin Chim Acta. 403:23–30. 2009. View Article : Google Scholar : PubMed/NCBI

21 

Izu Y, Mizoguchi F, Kawamata A, et al: Angiotensin II type 2 receptor blockade increases bone mass. J Biol Chem. 284:4857–4864. 2009. View Article : Google Scholar : PubMed/NCBI

22 

Haznedaroglu IC and Oztürk MA: Towards the understanding of the local hematopoietic bone marrow renin-angiotensin system. Int J Biochem Cell Biol. 35:867–880. 2003. View Article : Google Scholar : PubMed/NCBI

23 

Powell C, Chang C and Gershwin ME: Current concepts on the pathogenesis and natural history of steroid-induced osteonecrosis. Clin Rev Allergy Immunol. 41:102–113. 2011. View Article : Google Scholar : PubMed/NCBI

24 

Wang L, Wang N, Li M and Wang KZ: To investigate the role of the nervous system of bone in steroid-induced osteonecrosis in rabbits. Osteoporos Int. 21:2057–2066. 2010. View Article : Google Scholar : PubMed/NCBI

25 

Drescher W, Weigert KP, Bunger MH, Ingerslev J, Bünger C and Hansen ES: Femoral head blood flow reduction and hypercoagulability under 24 h megadose steroid treatment in pigs. J Orthop Res. 22:501–508. 2004. View Article : Google Scholar : PubMed/NCBI

26 

Sabanai K, Tsutsui M, Sakai A, et al: Genetic disruption of all NO synthase isoforms enhances BMD and bone turnover in mice in vivo: involvement of the renin-angiotensin system. J Bone Miner Res. 23:633–643. 2008. View Article : Google Scholar : PubMed/NCBI

27 

Fukuda D and Sata M: Role of bone marrow renin-angiotensin system in the pathogenesis of atherosclerosis. Pharmacol Ther. 118:268–276. 2008. View Article : Google Scholar : PubMed/NCBI

28 

Wassmann S and Nickenig G: Pathophysiological regulation of the AT1-receptor and implications for vascular disease. J Hypertens Suppl. 24:S15–S21. 2006. View Article : Google Scholar : PubMed/NCBI

29 

Pueyo ME, Gonzalez W, Nicoletti A, Savoie F, Arnal JF and Michel JB: Angiotensin II stimulates endothelial vascular cell adhesion molecule-1 via nuclear factor-kappaB activation induced by intracellular oxidative stress. Arterioscler Thromb Vasc Biol. 20:645–651. 2000. View Article : Google Scholar

30 

Harrison DG: Cellular and molecular mechanisms of endothelial cell dysfunction. J Clin Invest. 100:2153–2157. 1997. View Article : Google Scholar : PubMed/NCBI

31 

Yao EH, Fukuda N, Matsumoto T, et al: Losartan improves the impaired function of endothelial progenitor cells in hypertension via an antioxidant effect. Hypertens Res. 30:1119–1128. 2007. View Article : Google Scholar : PubMed/NCBI

32 

Ohtsu H, Frank GD, Utsunomiya H and Eguchi S: Redox-dependent protein kinase regulation by angiotensin II: mechanistic insights and its pathophysiology. Antioxid Redox Signal. 7:1315–1326. 2005. View Article : Google Scholar : PubMed/NCBI

33 

Vaughan DE, Lazos SA and Tong K: Angiotensin II regulates the expression of plasminogen activator inhibitor-1 in cultured endothelial cells. A potential link between the renin-angiotensin system and thrombosis. J Clin Invest. 95:995–1001. 1995. View Article : Google Scholar : PubMed/NCBI

34 

Zhao C, Irie N, Takada Y, et al: Bidirectional ephrinB2-EphB4 signaling controls bone homeostasis. Cell Metab. 4:111–121. 2006. View Article : Google Scholar : PubMed/NCBI

35 

Shimizu H, Nakagami H, Osako MK, et al: Angiotensin II accelerates osteoporosis by activating osteoclasts. FASEB J. 22:2465–2475. 2008. View Article : Google Scholar : PubMed/NCBI

36 

Liu JJ, Li DL, Zhou J, et al: Acetylcholine prevents angiotensin II-induced oxidative stress and apoptosis in H9c2 cells. Apoptosis. 16:94–103. 2011. View Article : Google Scholar : PubMed/NCBI

Related Articles

  • Abstract
  • View
  • Download
  • Twitter
Copy and paste a formatted citation
Spandidos Publications style
Zhang Y, Wang K, Song Q, Liu R, Ji W, Ji L and Wang C: Role of the local bone renin‑angiotensin system in steroid‑induced osteonecrosis in rabbits. Mol Med Rep 9: 1128-1134, 2014.
APA
Zhang, Y., Wang, K., Song, Q., Liu, R., Ji, W., Ji, L., & Wang, C. (2014). Role of the local bone renin‑angiotensin system in steroid‑induced osteonecrosis in rabbits. Molecular Medicine Reports, 9, 1128-1134. https://doi.org/10.3892/mmr.2014.1978
MLA
Zhang, Y., Wang, K., Song, Q., Liu, R., Ji, W., Ji, L., Wang, C."Role of the local bone renin‑angiotensin system in steroid‑induced osteonecrosis in rabbits". Molecular Medicine Reports 9.4 (2014): 1128-1134.
Chicago
Zhang, Y., Wang, K., Song, Q., Liu, R., Ji, W., Ji, L., Wang, C."Role of the local bone renin‑angiotensin system in steroid‑induced osteonecrosis in rabbits". Molecular Medicine Reports 9, no. 4 (2014): 1128-1134. https://doi.org/10.3892/mmr.2014.1978
Copy and paste a formatted citation
x
Spandidos Publications style
Zhang Y, Wang K, Song Q, Liu R, Ji W, Ji L and Wang C: Role of the local bone renin‑angiotensin system in steroid‑induced osteonecrosis in rabbits. Mol Med Rep 9: 1128-1134, 2014.
APA
Zhang, Y., Wang, K., Song, Q., Liu, R., Ji, W., Ji, L., & Wang, C. (2014). Role of the local bone renin‑angiotensin system in steroid‑induced osteonecrosis in rabbits. Molecular Medicine Reports, 9, 1128-1134. https://doi.org/10.3892/mmr.2014.1978
MLA
Zhang, Y., Wang, K., Song, Q., Liu, R., Ji, W., Ji, L., Wang, C."Role of the local bone renin‑angiotensin system in steroid‑induced osteonecrosis in rabbits". Molecular Medicine Reports 9.4 (2014): 1128-1134.
Chicago
Zhang, Y., Wang, K., Song, Q., Liu, R., Ji, W., Ji, L., Wang, C."Role of the local bone renin‑angiotensin system in steroid‑induced osteonecrosis in rabbits". Molecular Medicine Reports 9, no. 4 (2014): 1128-1134. https://doi.org/10.3892/mmr.2014.1978
Follow us
  • Twitter
  • LinkedIn
  • Facebook
About
  • Spandidos Publications
  • Careers
  • Cookie Policy
  • Privacy Policy
How can we help?
  • Help
  • Live Chat
  • Contact
  • Email to our Support Team