Spandidos Publications Logo
  • About
    • About Spandidos
    • Aims and Scopes
    • Abstracting and Indexing
    • Editorial Policies
    • Reprints and Permissions
    • Job Opportunities
    • Terms and Conditions
    • Contact
  • Journals
    • All Journals
    • Oncology Letters
      • Oncology Letters
      • Information for Authors
      • Editorial Policies
      • Editorial Board
      • Aims and Scope
      • Abstracting and Indexing
      • Bibliographic Information
      • Archive
    • International Journal of Oncology
      • International Journal of Oncology
      • Information for Authors
      • Editorial Policies
      • Editorial Board
      • Aims and Scope
      • Abstracting and Indexing
      • Bibliographic Information
      • Archive
    • Molecular and Clinical Oncology
      • Molecular and Clinical Oncology
      • Information for Authors
      • Editorial Policies
      • Editorial Board
      • Aims and Scope
      • Abstracting and Indexing
      • Bibliographic Information
      • Archive
    • Experimental and Therapeutic Medicine
      • Experimental and Therapeutic Medicine
      • Information for Authors
      • Editorial Policies
      • Editorial Board
      • Aims and Scope
      • Abstracting and Indexing
      • Bibliographic Information
      • Archive
    • International Journal of Molecular Medicine
      • International Journal of Molecular Medicine
      • Information for Authors
      • Editorial Policies
      • Editorial Board
      • Aims and Scope
      • Abstracting and Indexing
      • Bibliographic Information
      • Archive
    • Biomedical Reports
      • Biomedical Reports
      • Information for Authors
      • Editorial Policies
      • Editorial Board
      • Aims and Scope
      • Abstracting and Indexing
      • Bibliographic Information
      • Archive
    • Oncology Reports
      • Oncology Reports
      • Information for Authors
      • Editorial Policies
      • Editorial Board
      • Aims and Scope
      • Abstracting and Indexing
      • Bibliographic Information
      • Archive
    • Molecular Medicine Reports
      • Molecular Medicine Reports
      • Information for Authors
      • Editorial Policies
      • Editorial Board
      • Aims and Scope
      • Abstracting and Indexing
      • Bibliographic Information
      • Archive
    • World Academy of Sciences Journal
      • World Academy of Sciences Journal
      • Information for Authors
      • Editorial Policies
      • Editorial Board
      • Aims and Scope
      • Abstracting and Indexing
      • Bibliographic Information
      • Archive
    • International Journal of Functional Nutrition
      • International Journal of Functional Nutrition
      • Information for Authors
      • Editorial Policies
      • Editorial Board
      • Aims and Scope
      • Abstracting and Indexing
      • Bibliographic Information
      • Archive
    • International Journal of Epigenetics
      • International Journal of Epigenetics
      • Information for Authors
      • Editorial Policies
      • Editorial Board
      • Aims and Scope
      • Abstracting and Indexing
      • Bibliographic Information
      • Archive
    • Medicine International
      • Medicine International
      • Information for Authors
      • Editorial Policies
      • Editorial Board
      • Aims and Scope
      • Abstracting and Indexing
      • Bibliographic Information
      • Archive
  • Articles
  • Information
    • Information for Authors
    • Information for Reviewers
    • Information for Librarians
    • Information for Advertisers
    • Conferences
  • Language Editing
Spandidos Publications Logo
  • About
    • About Spandidos
    • Aims and Scopes
    • Abstracting and Indexing
    • Editorial Policies
    • Reprints and Permissions
    • Job Opportunities
    • Terms and Conditions
    • Contact
  • Journals
    • All Journals
    • Biomedical Reports
      • Information for Authors
      • Editorial Policies
      • Editorial Board
      • Aims and Scope
      • Abstracting and Indexing
      • Bibliographic Information
      • Archive
    • Experimental and Therapeutic Medicine
      • Information for Authors
      • Editorial Policies
      • Editorial Board
      • Aims and Scope
      • Abstracting and Indexing
      • Bibliographic Information
      • Archive
    • International Journal of Epigenetics
      • Information for Authors
      • Editorial Policies
      • Editorial Board
      • Aims and Scope
      • Abstracting and Indexing
      • Bibliographic Information
      • Archive
    • International Journal of Functional Nutrition
      • Information for Authors
      • Editorial Policies
      • Editorial Board
      • Aims and Scope
      • Abstracting and Indexing
      • Bibliographic Information
      • Archive
    • International Journal of Molecular Medicine
      • Information for Authors
      • Editorial Policies
      • Editorial Board
      • Aims and Scope
      • Abstracting and Indexing
      • Bibliographic Information
      • Archive
    • International Journal of Oncology
      • Information for Authors
      • Editorial Policies
      • Editorial Board
      • Aims and Scope
      • Abstracting and Indexing
      • Bibliographic Information
      • Archive
    • Medicine International
      • Information for Authors
      • Editorial Policies
      • Editorial Board
      • Aims and Scope
      • Abstracting and Indexing
      • Bibliographic Information
      • Archive
    • Molecular and Clinical Oncology
      • Information for Authors
      • Editorial Policies
      • Editorial Board
      • Aims and Scope
      • Abstracting and Indexing
      • Bibliographic Information
      • Archive
    • Molecular Medicine Reports
      • Information for Authors
      • Editorial Policies
      • Editorial Board
      • Aims and Scope
      • Abstracting and Indexing
      • Bibliographic Information
      • Archive
    • Oncology Letters
      • Information for Authors
      • Editorial Policies
      • Editorial Board
      • Aims and Scope
      • Abstracting and Indexing
      • Bibliographic Information
      • Archive
    • Oncology Reports
      • Information for Authors
      • Editorial Policies
      • Editorial Board
      • Aims and Scope
      • Abstracting and Indexing
      • Bibliographic Information
      • Archive
    • World Academy of Sciences Journal
      • Information for Authors
      • Editorial Policies
      • Editorial Board
      • Aims and Scope
      • Abstracting and Indexing
      • Bibliographic Information
      • Archive
  • Articles
  • Information
    • For Authors
    • For Reviewers
    • For Librarians
    • For Advertisers
    • Conferences
  • Language Editing
Login Register Submit
  • This site uses cookies
  • You can change your cookie settings at any time by following the instructions in our Cookie Policy. To find out more, you may read our Privacy Policy.

    I agree
Search articles by DOI, keyword, author or affiliation
Search
Advanced Search
presentation
Molecular Medicine Reports
Join Editorial Board Propose a Special Issue
Print ISSN: 1791-2997 Online ISSN: 1791-3004
Journal Cover
January-2015 Volume 11 Issue 1

Full Size Image

Sign up for eToc alerts
Recommend to Library

Journals

International Journal of Molecular Medicine

International Journal of Molecular Medicine

International Journal of Molecular Medicine is an international journal devoted to molecular mechanisms of human disease.

International Journal of Oncology

International Journal of Oncology

International Journal of Oncology is an international journal devoted to oncology research and cancer treatment.

Molecular Medicine Reports

Molecular Medicine Reports

Covers molecular medicine topics such as pharmacology, pathology, genetics, neuroscience, infectious diseases, molecular cardiology, and molecular surgery.

Oncology Reports

Oncology Reports

Oncology Reports is an international journal devoted to fundamental and applied research in Oncology.

Experimental and Therapeutic Medicine

Experimental and Therapeutic Medicine

Experimental and Therapeutic Medicine is an international journal devoted to laboratory and clinical medicine.

Oncology Letters

Oncology Letters

Oncology Letters is an international journal devoted to Experimental and Clinical Oncology.

Biomedical Reports

Biomedical Reports

Explores a wide range of biological and medical fields, including pharmacology, genetics, microbiology, neuroscience, and molecular cardiology.

Molecular and Clinical Oncology

Molecular and Clinical Oncology

International journal addressing all aspects of oncology research, from tumorigenesis and oncogenes to chemotherapy and metastasis.

World Academy of Sciences Journal

World Academy of Sciences Journal

Multidisciplinary open-access journal spanning biochemistry, genetics, neuroscience, environmental health, and synthetic biology.

International Journal of Functional Nutrition

International Journal of Functional Nutrition

Open-access journal combining biochemistry, pharmacology, immunology, and genetics to advance health through functional nutrition.

International Journal of Epigenetics

International Journal of Epigenetics

Publishes open-access research on using epigenetics to advance understanding and treatment of human disease.

Medicine International

Medicine International

An International Open Access Journal Devoted to General Medicine.

Journal Cover
January-2015 Volume 11 Issue 1

Full Size Image

Sign up for eToc alerts
Recommend to Library

  • Article
  • Citations
    • Cite This Article
    • Download Citation
    • Create Citation Alert
    • Remove Citation Alert
    • Cited By
  • Similar Articles
    • Related Articles (in Spandidos Publications)
    • Similar Articles (Google Scholar)
    • Similar Articles (PubMed)
  • Download PDF
  • Download XML
  • View XML
Article

Inhibition of interleukin‑1β‑stimulated matrix metalloproteinases via the controlled release of interleukin‑1Ra from chitosan microspheres in chondrocytes

  • Authors:
    • Pang‑Hu Zhou
    • Bei‑Lei Ma
    • Lei Shi
    • Ting Xie
    • Bo Qiu
  • View Affiliations / Copyright

    Affiliations: Department of Orthopedics, Renmin Hospital of Wuhan University, Wuhan, Hubei 430060, P.R. China, Department of Laboratory, Qilu Hospital of Shandong University, Jinan, Shandong 250012, P.R. China, Department of Oncology, Renmin Hospital of Wuhan University, Wuhan, Hubei 430060, P.R. China, Department of Women Health Care, Hubei Women and Children's Hospital, Wuhan, Hubei 430070, P.R. China
  • Pages: 555-560
    |
    Published online on: October 22, 2014
       https://doi.org/10.3892/mmr.2014.2743
  • Expand metrics +
Metrics: Total Views: 0 (Spandidos Publications: | PMC Statistics: )
Metrics: Total PDF Downloads: 0 (Spandidos Publications: | PMC Statistics: )
Cited By (CrossRef): 0 citations Loading Articles...

This article is mentioned in:



Abstract

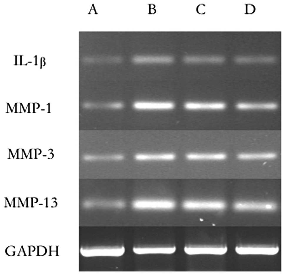
The aim of the study was to determine whether the controlled release of interleukin (IL)‑1Ra from chitosan (CS) microspheres inhibits the IL‑1β‑stimulated production of matrix metalloproteinases (MMPs) in chondrocytes. The CS‑IL‑1Ra microspheres were fabricated by an emulsification method using sodium tripolyphosphate as a crosslinker, and the controlled release of IL‑1Ra was determined using an enzyme‑linked immunosorbent assay. IL‑1β was added to normal rat chondrocytes to stimulate MMP production. The chondrocytes were incubated with CS‑IL‑1Ra microspheres to assess its effects on IL‑1β‑induced MMP expression. Chondrocyte proliferation and glycosaminoglycan (GAG) content were also determined. The mRNA expression and protein levels of IL‑1β, MMP‑1, MMP‑3 and MMP‑13 were detected using reverse transcription‑polymerase chain reaction and western blotting analyses, respectively. The IL‑1Ra release kinetics were characterized by an initial burst release, which was reduced to a linear release over seven days. The mRNA expression levels and protein levels of IL‑1β, MMP‑1, MMP‑3 and MMP‑13 were reduced compared with the control group. The present study demonstrated the chondroprotective properties of CS microspheres as a controlled release system carrying IL‑1Ra, due to the ability of the system to downregulate the expression of osteoarthritis‑associated matrix‑degrading proteinases in chondrocytes.
View Figures

Figure 1

Figure 2

Figure 3

Figure 4

View References

1 

Hardingham T: Extracellular matrix and pathogenic mechanisms in osteoarthritis. Curr Rheumatol Rep. 10:30–36. 2008. View Article : Google Scholar : PubMed/NCBI

2 

Lorenzo P, Bayliss MT and Heinegård D: Altered patterns and synthesis of extracellular matrix macromolecules in early osteoarthritis. Matrix Biol. 23:381–391. 2004. View Article : Google Scholar : PubMed/NCBI

3 

Suzuki M, Hashizume M, Yoshida H, Shiina M and Mihara M: IL-6 and IL-1 synergistically enhanced the production of MMPs from synovial cells by up-regulating IL-6 production and IL-1 receptor I expression. Cytokine. 51:178–183. 2010. View Article : Google Scholar : PubMed/NCBI

4 

Martel-Pelletier J, Boileau C, Pelletier JP and Roughley PJ: Cartilage in normal and osteoarthritis conditions. Best Pract Res Clin Rheumatol. 22:351–384. 2008. View Article : Google Scholar : PubMed/NCBI

5 

Billinghurst RC, Wu W, Ionescu M, et al: Comparison of the degradation of type II collagen and proteoglycan in nasal and articular cartilages induced by interleukin-1 and the selective inhibition of type II collagen cleavage by collagenase. Arthritis Rheum. 43:664–672. 2000. View Article : Google Scholar : PubMed/NCBI

6 

Yasuda T and Poole AR: A fibronectin fragment induces type II collagen degradation by collagenase through an interleukin-1-mediated pathway. Arthritis Rheum. 46:138–148. 2002. View Article : Google Scholar : PubMed/NCBI

7 

Wheaton AJ, Borthakur A, Shapiro EM, et al: Proteoglycan loss in human knee cartilage: quantitation with sodium MR imaging - feasibility study. Radiology. 231:900–905. 2004. View Article : Google Scholar : PubMed/NCBI

8 

Gabay C, Lamacchia C and Palmer G: IL-1 pathways in inflammation and human diseases. Nat Rev Rheumatol. 6:232–241. 2010. View Article : Google Scholar : PubMed/NCBI

9 

Gouze E, Pawliuk R, Gouze JN, et al: Lentiviral-mediated gene delivery to synovium: potent intra-articular expression with amplification by inflammation. Mol Ther. 7:460–466. 2003. View Article : Google Scholar : PubMed/NCBI

10 

Morisset S, Frisbie DD, Robbins PD, Nixon AJ and McIlwraith CW: IL-1ra/IGF-1 gene therapy modulates repair of microfractured chondral defects. Clin Orthop Relat Res. 462:221–228. 2007. View Article : Google Scholar : PubMed/NCBI

11 

Chen B, Qin J, Wang H, Magdalou J and Chen L: Effects of adenovirus-mediated bFGF, IL-1Ra and IGF-1 gene transfer on human osteoarthritic chondrocytes and osteoarthritis in rabbits. Exp Mol Med. 42:684–695. 2010. View Article : Google Scholar : PubMed/NCBI

12 

Sobol M, Bartkowiak A, de Haan B and de Vos P: Cytotoxicity study of novel water-soluble chitosan derivatives applied as membrane material of alginate microcapsules. J Biomed Mater Res A. 101:1907–1914. 2013. View Article : Google Scholar

13 

Lih E, Lee JS, Park KM and Park KD: Rapidly curable chitosan-PEG hydrogels as tissue adhesives for hemostasis and wound healing. Acta Biomater. 8:3261–3269. 2012. View Article : Google Scholar

14 

Chang SH, Hsiao YW and Lin HY: Low-frequency electromagnetic field exposure accelerates chondrocytic phenotype expression on chitosan substrate. Orthopedics. 34:202011.

15 

Haupt JL, Frisbie DD, McIlwraith CW, et al: Dual transduction of insulin-like growth factor-I and interleukin-1 receptor antagonist protein controls cartilage degradation in an osteoarthritic culture model. J Orthop Res. 23:118–126. 2005. View Article : Google Scholar

16 

Lee JE, Kim KE, Kwon IC, et al: Effects of the controlled-released TGF-beta1 from chitosan microspheres on chondrocytes cultured in a collagen/chitosan/glycosaminoglycan scaffold. Biomaterials. 25:4163–4173. 2004. View Article : Google Scholar : PubMed/NCBI

17 

Wu H, Wang S, Fang H, et al: Chitosan-polycaprolactone copolymer microspheres for transforming growth factor-β1 delivery. Colloids Surf B Biointerfaces. 82:602–8. 2011.PubMed/NCBI

18 

Zhao J, Fan X, Zhang Q, et al: Chitosan-plasmid DNA nanoparticles encoding small hairpin RNA targeting MMP-3 and -13 to inhibit the expression of dedifferentiation related genes in expanded chondrocytes. J Biomed Mater Res A. 102:373–380. 2014. View Article : Google Scholar : PubMed/NCBI

19 

Suh JK and Matthew HW: Application of chitosan-based polysaccharide biomaterials in cartilage tissue engineering: a review. Biomaterials. 21:2589–2598. 2000. View Article : Google Scholar : PubMed/NCBI

20 

Zeng W, Huang J, Hu X, et al: Ionically cross-linked chitosan microspheres for controlled release of bioactive nerve growth factor. Int J Pharm. 421:283–290. 2011. View Article : Google Scholar : PubMed/NCBI

21 

Simonaro CM: Cartilage and chondrocyte pathology in the mucopolysaccharidoses: The role of glycosaminoglycan-mediated inflammation. J Pediatr Rehabil Med. 3:85–88. 2010.PubMed/NCBI

22 

Jacques C, Gosset M, Berebaum F and Gabay C: The role of IL-1 and IL-1Ra in joint inflammation and cartilage degradation. Vitam Horm. 74:371–403. 2006. View Article : Google Scholar : PubMed/NCBI

23 

Baragi VM, Renkiewicz RR, Jordan H, et al: Transplantation of transduced chondrocytes protects articular cartilage from interleukin 1-induced extracellular matrix degradation. J Clin Invest. 96:2454–2460. 1995. View Article : Google Scholar

24 

Aida Y, Maeno M, Suzuki N, et al: The effect of IL-1beta on the expression of inflammatory cytokines and their receptors in human chondrocytes. Life Sci. 79:764–771. 2006. View Article : Google Scholar : PubMed/NCBI

25 

Pattani A, Patravale VB, Panicker L and Potdar PD: Immunological effects and membrane interactions of chitosan nanoparticles. Mol Pharm. 6:345–352. 2009. View Article : Google Scholar : PubMed/NCBI

26 

Song S, Zhou F, Nordquist RE, et al: Glycated chitosan as a new non-toxic immunological stimulant. Immunopharmacol Immunotoxicol. 31:202–208. 2009. View Article : Google Scholar : PubMed/NCBI

Related Articles

  • Abstract
  • View
  • Download
  • Twitter
Copy and paste a formatted citation
Spandidos Publications style
Zhou PH, Ma BL, Shi L, Xie T and Qiu B: Inhibition of interleukin‑1β‑stimulated matrix metalloproteinases via the controlled release of interleukin‑1Ra from chitosan microspheres in chondrocytes. Mol Med Rep 11: 555-560, 2015.
APA
Zhou, P., Ma, B., Shi, L., Xie, T., & Qiu, B. (2015). Inhibition of interleukin‑1β‑stimulated matrix metalloproteinases via the controlled release of interleukin‑1Ra from chitosan microspheres in chondrocytes. Molecular Medicine Reports, 11, 555-560. https://doi.org/10.3892/mmr.2014.2743
MLA
Zhou, P., Ma, B., Shi, L., Xie, T., Qiu, B."Inhibition of interleukin‑1β‑stimulated matrix metalloproteinases via the controlled release of interleukin‑1Ra from chitosan microspheres in chondrocytes". Molecular Medicine Reports 11.1 (2015): 555-560.
Chicago
Zhou, P., Ma, B., Shi, L., Xie, T., Qiu, B."Inhibition of interleukin‑1β‑stimulated matrix metalloproteinases via the controlled release of interleukin‑1Ra from chitosan microspheres in chondrocytes". Molecular Medicine Reports 11, no. 1 (2015): 555-560. https://doi.org/10.3892/mmr.2014.2743
Copy and paste a formatted citation
x
Spandidos Publications style
Zhou PH, Ma BL, Shi L, Xie T and Qiu B: Inhibition of interleukin‑1β‑stimulated matrix metalloproteinases via the controlled release of interleukin‑1Ra from chitosan microspheres in chondrocytes. Mol Med Rep 11: 555-560, 2015.
APA
Zhou, P., Ma, B., Shi, L., Xie, T., & Qiu, B. (2015). Inhibition of interleukin‑1β‑stimulated matrix metalloproteinases via the controlled release of interleukin‑1Ra from chitosan microspheres in chondrocytes. Molecular Medicine Reports, 11, 555-560. https://doi.org/10.3892/mmr.2014.2743
MLA
Zhou, P., Ma, B., Shi, L., Xie, T., Qiu, B."Inhibition of interleukin‑1β‑stimulated matrix metalloproteinases via the controlled release of interleukin‑1Ra from chitosan microspheres in chondrocytes". Molecular Medicine Reports 11.1 (2015): 555-560.
Chicago
Zhou, P., Ma, B., Shi, L., Xie, T., Qiu, B."Inhibition of interleukin‑1β‑stimulated matrix metalloproteinases via the controlled release of interleukin‑1Ra from chitosan microspheres in chondrocytes". Molecular Medicine Reports 11, no. 1 (2015): 555-560. https://doi.org/10.3892/mmr.2014.2743
Follow us
  • Twitter
  • LinkedIn
  • Facebook
About
  • Spandidos Publications
  • Careers
  • Cookie Policy
  • Privacy Policy
How can we help?
  • Help
  • Live Chat
  • Contact
  • Email to our Support Team