Spandidos Publications Logo
  • About
    • About Spandidos
    • Aims and Scopes
    • Abstracting and Indexing
    • Editorial Policies
    • Reprints and Permissions
    • Job Opportunities
    • Terms and Conditions
    • Contact
  • Journals
    • All Journals
    • Oncology Letters
      • Oncology Letters
      • Information for Authors
      • Editorial Policies
      • Editorial Board
      • Aims and Scope
      • Abstracting and Indexing
      • Bibliographic Information
      • Archive
    • International Journal of Oncology
      • International Journal of Oncology
      • Information for Authors
      • Editorial Policies
      • Editorial Board
      • Aims and Scope
      • Abstracting and Indexing
      • Bibliographic Information
      • Archive
    • Molecular and Clinical Oncology
      • Molecular and Clinical Oncology
      • Information for Authors
      • Editorial Policies
      • Editorial Board
      • Aims and Scope
      • Abstracting and Indexing
      • Bibliographic Information
      • Archive
    • Experimental and Therapeutic Medicine
      • Experimental and Therapeutic Medicine
      • Information for Authors
      • Editorial Policies
      • Editorial Board
      • Aims and Scope
      • Abstracting and Indexing
      • Bibliographic Information
      • Archive
    • International Journal of Molecular Medicine
      • International Journal of Molecular Medicine
      • Information for Authors
      • Editorial Policies
      • Editorial Board
      • Aims and Scope
      • Abstracting and Indexing
      • Bibliographic Information
      • Archive
    • Biomedical Reports
      • Biomedical Reports
      • Information for Authors
      • Editorial Policies
      • Editorial Board
      • Aims and Scope
      • Abstracting and Indexing
      • Bibliographic Information
      • Archive
    • Oncology Reports
      • Oncology Reports
      • Information for Authors
      • Editorial Policies
      • Editorial Board
      • Aims and Scope
      • Abstracting and Indexing
      • Bibliographic Information
      • Archive
    • Molecular Medicine Reports
      • Molecular Medicine Reports
      • Information for Authors
      • Editorial Policies
      • Editorial Board
      • Aims and Scope
      • Abstracting and Indexing
      • Bibliographic Information
      • Archive
    • World Academy of Sciences Journal
      • World Academy of Sciences Journal
      • Information for Authors
      • Editorial Policies
      • Editorial Board
      • Aims and Scope
      • Abstracting and Indexing
      • Bibliographic Information
      • Archive
    • International Journal of Functional Nutrition
      • International Journal of Functional Nutrition
      • Information for Authors
      • Editorial Policies
      • Editorial Board
      • Aims and Scope
      • Abstracting and Indexing
      • Bibliographic Information
      • Archive
    • International Journal of Epigenetics
      • International Journal of Epigenetics
      • Information for Authors
      • Editorial Policies
      • Editorial Board
      • Aims and Scope
      • Abstracting and Indexing
      • Bibliographic Information
      • Archive
    • Medicine International
      • Medicine International
      • Information for Authors
      • Editorial Policies
      • Editorial Board
      • Aims and Scope
      • Abstracting and Indexing
      • Bibliographic Information
      • Archive
  • Articles
  • Information
    • Information for Authors
    • Information for Reviewers
    • Information for Librarians
    • Information for Advertisers
    • Conferences
  • Language Editing
Spandidos Publications Logo
  • About
    • About Spandidos
    • Aims and Scopes
    • Abstracting and Indexing
    • Editorial Policies
    • Reprints and Permissions
    • Job Opportunities
    • Terms and Conditions
    • Contact
  • Journals
    • All Journals
    • Biomedical Reports
      • Information for Authors
      • Editorial Policies
      • Editorial Board
      • Aims and Scope
      • Abstracting and Indexing
      • Bibliographic Information
      • Archive
    • Experimental and Therapeutic Medicine
      • Information for Authors
      • Editorial Policies
      • Editorial Board
      • Aims and Scope
      • Abstracting and Indexing
      • Bibliographic Information
      • Archive
    • International Journal of Epigenetics
      • Information for Authors
      • Editorial Policies
      • Editorial Board
      • Aims and Scope
      • Abstracting and Indexing
      • Bibliographic Information
      • Archive
    • International Journal of Functional Nutrition
      • Information for Authors
      • Editorial Policies
      • Editorial Board
      • Aims and Scope
      • Abstracting and Indexing
      • Bibliographic Information
      • Archive
    • International Journal of Molecular Medicine
      • Information for Authors
      • Editorial Policies
      • Editorial Board
      • Aims and Scope
      • Abstracting and Indexing
      • Bibliographic Information
      • Archive
    • International Journal of Oncology
      • Information for Authors
      • Editorial Policies
      • Editorial Board
      • Aims and Scope
      • Abstracting and Indexing
      • Bibliographic Information
      • Archive
    • Medicine International
      • Information for Authors
      • Editorial Policies
      • Editorial Board
      • Aims and Scope
      • Abstracting and Indexing
      • Bibliographic Information
      • Archive
    • Molecular and Clinical Oncology
      • Information for Authors
      • Editorial Policies
      • Editorial Board
      • Aims and Scope
      • Abstracting and Indexing
      • Bibliographic Information
      • Archive
    • Molecular Medicine Reports
      • Information for Authors
      • Editorial Policies
      • Editorial Board
      • Aims and Scope
      • Abstracting and Indexing
      • Bibliographic Information
      • Archive
    • Oncology Letters
      • Information for Authors
      • Editorial Policies
      • Editorial Board
      • Aims and Scope
      • Abstracting and Indexing
      • Bibliographic Information
      • Archive
    • Oncology Reports
      • Information for Authors
      • Editorial Policies
      • Editorial Board
      • Aims and Scope
      • Abstracting and Indexing
      • Bibliographic Information
      • Archive
    • World Academy of Sciences Journal
      • Information for Authors
      • Editorial Policies
      • Editorial Board
      • Aims and Scope
      • Abstracting and Indexing
      • Bibliographic Information
      • Archive
  • Articles
  • Information
    • For Authors
    • For Reviewers
    • For Librarians
    • For Advertisers
    • Conferences
  • Language Editing
Login Register Submit
  • This site uses cookies
  • You can change your cookie settings at any time by following the instructions in our Cookie Policy. To find out more, you may read our Privacy Policy.

    I agree
Search articles by DOI, keyword, author or affiliation
Search
Advanced Search
presentation
Molecular Medicine Reports
Join Editorial Board Propose a Special Issue
Print ISSN: 1791-2997 Online ISSN: 1791-3004
Journal Cover
July-2015 Volume 12 Issue 1

Full Size Image

Sign up for eToc alerts
Recommend to Library

Journals

International Journal of Molecular Medicine

International Journal of Molecular Medicine

International Journal of Molecular Medicine is an international journal devoted to molecular mechanisms of human disease.

International Journal of Oncology

International Journal of Oncology

International Journal of Oncology is an international journal devoted to oncology research and cancer treatment.

Molecular Medicine Reports

Molecular Medicine Reports

Covers molecular medicine topics such as pharmacology, pathology, genetics, neuroscience, infectious diseases, molecular cardiology, and molecular surgery.

Oncology Reports

Oncology Reports

Oncology Reports is an international journal devoted to fundamental and applied research in Oncology.

Experimental and Therapeutic Medicine

Experimental and Therapeutic Medicine

Experimental and Therapeutic Medicine is an international journal devoted to laboratory and clinical medicine.

Oncology Letters

Oncology Letters

Oncology Letters is an international journal devoted to Experimental and Clinical Oncology.

Biomedical Reports

Biomedical Reports

Explores a wide range of biological and medical fields, including pharmacology, genetics, microbiology, neuroscience, and molecular cardiology.

Molecular and Clinical Oncology

Molecular and Clinical Oncology

International journal addressing all aspects of oncology research, from tumorigenesis and oncogenes to chemotherapy and metastasis.

World Academy of Sciences Journal

World Academy of Sciences Journal

Multidisciplinary open-access journal spanning biochemistry, genetics, neuroscience, environmental health, and synthetic biology.

International Journal of Functional Nutrition

International Journal of Functional Nutrition

Open-access journal combining biochemistry, pharmacology, immunology, and genetics to advance health through functional nutrition.

International Journal of Epigenetics

International Journal of Epigenetics

Publishes open-access research on using epigenetics to advance understanding and treatment of human disease.

Medicine International

Medicine International

An International Open Access Journal Devoted to General Medicine.

Journal Cover
July-2015 Volume 12 Issue 1

Full Size Image

Sign up for eToc alerts
Recommend to Library

  • Article
  • Citations
    • Cite This Article
    • Download Citation
    • Create Citation Alert
    • Remove Citation Alert
    • Cited By
  • Similar Articles
    • Related Articles (in Spandidos Publications)
    • Similar Articles (Google Scholar)
    • Similar Articles (PubMed)
  • Download PDF
  • Download XML
  • View XML
Article

3,3'-Diindolylmethane attenuates cardiac H9c2 cell hypertrophy through 5'-adenosine monophosphate-activated protein kinase-α

  • Authors:
    • Jing Zong
    • Qing‑Qing Wu
    • Heng Zhou
    • Jie‑Yu Zhang
    • Yuan Yuan
    • Zhou‑Yan Bian
    • Wei Deng
    • Jia Dai
    • Fang‑Fang Li
    • Man Xu
    • Yi Fang
    • Qi‑Zhu Tang
  • View Affiliations / Copyright

    Affiliations: Department of Cardiology, Renmin Hospital of Wuhan University, Wuhan, Hubei 430060, P.R. China
  • Pages: 1247-1252
    |
    Published online on: March 20, 2015
       https://doi.org/10.3892/mmr.2015.3523
  • Expand metrics +
Metrics: Total Views: 0 (Spandidos Publications: | PMC Statistics: )
Metrics: Total PDF Downloads: 0 (Spandidos Publications: | PMC Statistics: )
Cited By (CrossRef): 0 citations Loading Articles...

This article is mentioned in:



Abstract

3,3'-Diindolylmethane (DIM) is the major product of the acid-catalyzed condensation of indole-3-carbinol (I3C), a component of extracts of Brassica food plants. Numerous studies have suggested that DIM has several beneficial biological activities, including elimination of free radicals, antioxidant and anti‑angiogenic effects and activation of apoptosis of various tumor cells. In the present study, an in vitro model was established, using 1 µM angiotensin II (Ang II) in cultured rat cardiac H9c2 cells, to observe the effects of DIM on cardiac hypertrophy. Following 24 h stimulation with DIM (1, 5, and 10 µM) with or without Ang II, cells were characterized by immunofluorescence to analyze cardiac α‑actinin expression. Cardiomyocyte hypertrophy and molecular markers of cardiac hypertrophy were assessed by quantitative polymerase chain reaction. Atrial natriuretic peptide, brain natriuretic peptide and myosin heavy chain β mRNA expression were induced by Ang II in H9c2 cells treated with the optimal concentration of DIM for 6, 12, and 24 h. The levels of phosphorylated and total proteins of the 5' AMP‑activated protein kinase α (AMPKα)/mitogen‑activated protein kinase (MAPK)/mechanistic target of rapamycin (mTOR) signaling pathways in H9c2 cells treated with DIM for 0, 15, 30, and 60 min induced by Ang II were determined by western blot analysis. The results showed that DIM attenuated cellular hypertrophy in vitro, enhanced the phosphorylation of AMPKα and inhibited the MAPK‑mTOR signaling pathway in response to hypertrophic stimuli.

Introduction

Cardiac hypertrophy is an important compensatory mechanism for pathophysiological states, involving an increase in size and/or thickness of the ventricles of the heart. Cardiac hypertrophy is an adaptive response to increased workload or to defects in the efficiency of the contractile machinery of the heart. Sustained hypertrophic stimulation, however, is a maladaptive response causing adverse effects, including cardiomyocyte fetal gene re-expression and cardiac interstitial fibrosis (1,2). Cardiac hypertrophy is a well-established risk factor of cardiovascular mortality, and can significantly increase the incidence of cardiovascular events, including sudden death, ventricular arrhythmia, myocardial ischemia and heart failure, and can thus contribute to an increase in the rate of mortality (3). The mechanistic process of cardiac hypertrophy remains to be fully elucidated. Current therapies for cardiac hypertrophy have predominantly focused on the regulation of hemodynamics (4); however, an effective method to prevent and treat cardiac hypertrophy remains to be developed. Pharmacological interventions targeting the molecular changes involved in cardiac hypertrophy may be a promising approach for the prevention of cardiac hypertrophy and progression to heart failure.

3,3′-Diindolylmethane (DIM) is a Traditional Chinese Medicine that is extracted from Brassica plants. It is the major in vivo product derived from the acid-catalyzed condensation of indole-3-carbinol (I3C). Numerous studies have suggested that DIM has various properties, including eliminating free radicals, antioxidant and anti-angiogenic effects and promoting apoptosis in tumor cells (5–7). DIM can affect mitogen-activated protein kinase (MAPK), phosphoinositide 3-kinase (PI3K)/Akt and the nuclear factor-KB (NF-κB) signaling pathways (6,8,9), and functions of anti-cancer agents (8), anti-angiogenic (6) and anti-inflammatory (9) processes. In a previous study by our group (10), it was shown that DIM prevented the development of cardiac hypertrophy and could revert established cardiac hypertrophy through the promotion of AMPKα and inhibition of mechanistic target of rapamycin (mTOR) signaling in vivo. Furthermore, the cardioprotective effects of DIM were ameliorated in mice lacking functional 5′ AMP-activated protein kinase α (AMPKα)2 (10).

Angiotensin II (Ang II) has a central function in the regulation of the cardiovascular system (11). Activation of the renin-angiotensin system (RAS), and the subsequent generation of Ang II, are important mediators of myocardial fibrosis, pathological hypertrophy and heart failure (12,13). The purpose of the present study was to use an in vitro model of hypertrophy, induced by 1 μM Ang II in cultured rat cardiac H9c2 cells, to evaluate the effects of DIM on the cellular response.

Materials and methods

Materials

The primary antibodies included phosphorylated (p)-AMPKα (sc- 01631; Santa Cruz, Santa Cruz, CA, USA), p-c-Jun, total (T-)c-Jun, T-AMPKα (BS4046, BS1061, BS6271, respectively; Bioworld Technology Inc., St. Louis Park, MN, USA) and p-mTOR (2971), T-mTOR (2983; Cell Signalling Technology, Inc.), p-p70S6K (9234), T-p70S6K (2708), p-S6 (2215), T-S6 (2217), p-eIF4E (9741), T-eIF4E (2067P), p-4E-BP1 (2855), T-4E-BP1 (9644), p-mitogen-activated protein kinase kinase (MEK)1/2 (9154), T-MEK1/2 (9122), p-extracellular signal-regulated kinase (ERK)1/2 (4370), T-ERK1/2 (4695), p-p38 (511), T-p38 (9212), p-c-Jun N-terminal kinase (JNK)1/2 (4668P), T-JNK1/2 (9258) and GAPDH (2118) (all purchased from Cell Signalling Technology, Inc., Danvers, MA, USA). DIM was purchased from Sigma-Aldrich (St. Louis, MO, USA; D9568-5G) and dissolved in dimethyl sulfoxide (RNBC0311; Sigma-Aldrich) for the in vitro bioassay.

Cell culture

Rat cardiac H9c2 cells (Cell Bank of the Chinese Academy of Sciences, Shanghai, China) were cultured in Dulbecco’s modified Eagle’s medium (DMEM, C1 1995; Gibco-BRL, Carlsbad, CA, USA) supplemented with 10% fetal bovine serum (FBS; Gibco-BRL, 10099-133), 100 U/ml penicillin/100 mg/ml streptomycin (Gibco-BRL, 15140) and 5% CO2 at 37°C. The media was exchanged every 1–2 days and subcultured to 70–80% confluency. Cells were plated at an appropriate density according to each experimental design. H9c2 cells were seeded in six-well plates at a density of 0.25×106 cells/well. Following 24 h adherence, the culture medium was changed to serum-free DMEM 12 h prior to the experiment. Cells were incubated with DIM (1, 5, and 10 μM) in serum-free DMEM at 37°C with or without 1 μM AngII (A9525; Sigma-Aldrich) for 24 or 48 h.

Immunofluorescence

Cells were analyzed for cardiac α-actinin expression by immunofluorescence, in order to identify rat cardiac H9c2 cells and assess cardiomyocyte hypertrophy. The cells were washed with phosphate-buffered saline (PBS), fixed with RCL2® (RCL2-CS24L; ALPHELYS, Plaisir, France) and permeabilized in 0.1% Triton™ X-100 in PBS. The cells were then incubated with anti-α-actinin (05-384; Millipore, Billerica, MA, USA) at a dilution of 1:100 in 1% goat serum. The cells were then incubated with Alexa FluorH 488 goat anti-mouse immunoglobulin (Ig)G (A11001; Invitrogen Life Technologies, Carlsbad, CA, USA) secondary antibody. The cells on coverslips were mounted onto glass slides with Slow Fade Gold antifade reagent with DAPI (S36939; Invitrogen Life Technologies). The outline of 40 cells from each group were visualized by light microscopy (BX51TRF; Olympus Corporation, Tokyo, Japan). A single cell was measured using a quantitative digital image analysis system (Image-Pro Plus version 6.0; Media Cybernetics, Rockville, MD, USA).

Quantitative polymerase chain reaction (qPCR)

qPCR was used to detect RNA expression levels of hypertrophic and fibrotic markers. Total RNA was extracted from frozen, pulverized mouse cardiac tissue using TRIzol™ (15596-026; Roche Diagnostics, Mannheim, Germany). RNA yield and purity were evaluated using a SmartSpec Plus Spectrophotometer (Bio-Rad, Hercules, CA, USA), comparing the A260/A280 and A230/260 ratios. The RNA (2 μg of each sample) was reverse-transcribed into cDNA using oligo(DT) primers and the Transcriptor First Strand cDNA Synthesis kit (04896866001; Roche Diagnostics). The PCR products were quantified using a LightCycler 480 SYBR® Green 1 Master Mix (04707516001; Roche Diagnostics). Following an initial 5 min denaturation step at 95°C, a total of 42 primer-extension cycles were carried out. Each cycle consisted of a 10 sec denaturation step at 95°C, a 20 secannealing step at 60°C, and a 20 sec incubation at 72°C for extension. Then a final extension step was performed at 72 °C for 10 min. The double standard curve was used to quantify the PCR results. Calibrator Normalized Ratio = (concentration of sample target/concentrations of sample reference)/(concentration of calibrator target/concentration of calibrator reference). The results were normalized against GAPDH gene expression. The sequences of the oligonucleotide primers (Sangon Biotech, Shanaghai, China) were as follows: : Atrial natriuretic peptide (ANP) forward, 5′-AAAGCAAACTGAGGGCTCTGCTCG-3′, reverse, 5′-TTCGGTACCGGAAGCTGTTGCA-3′; brain natriuretic peptide (BNP) forward, 5′-CAGCAGCTTCTGCATC GTGGAT-3′, reverse, 5′-TTCCTTAATCTGTCGCCGCTGG-3′; myosin heavy chain β (β-MHC) forward, 5′-TCTGGACAGCTC CCCATTCT-3′, reverse, 5′-CAAGGCTAACCTGGAGAA GATG-3′; and GAPDH forward, 5′-GACATGCCGCCTGGAGA AAC-3′, and reverse, 5′-AGCCCAGGATGCCCTTTAGT-3′.

Western blot analysis

Cultured cardiac H9c2 cells were lysed in radioimmunoprecipitation (RIPA) lysis buffer (720 μl RIPA, 20 μl PMSF (1 mM), 100 μl complete, 100 μl cOmplete (Roche, Indianapolis, IN, USA, 04693124001), 100 μl phostop (Roche, 04906837001), 50 μl NaF (1 mM), 10 μL Na3VO4, per ml) and 30 μg cell lysate was used for protein separation by 10% SDS-PAGE. The proteins were then transferred to polyvinylidene difluoride (PVDF) membranes (Millipore). Specific protein expression levels were normalized to the GAPDH protein levels of the total cell lysate and cytosolic proteins on the same PVDF membranes. The following primary antibodies were used: p-AMPKα, p-c-Jun, T-c-Jun, T-AMPKα, p-mTOR, T-mTOR, p-p70S6K, T-p70S6K, p-S6, T-S6, p-eIF4E, T-eIF4E, p-4E-BP1, T-4E-BP1, p-mitogen-activated protein kinase kinase (MEK)1/2, T- MEK 1/2, p-extracellular signal-regulated kinase (ERK)1/2, T-ERK1/2, p-p38, T-p38, p-c-Jun N-terminal kinase (JNK)1/2, T-JNK1/2 and GAPDH. The primary antibodies were diluted at 1:1,000, with the exception of p-AMPKα, which was diluted 1:200. Antibody incubation was performed overnight with gentle shaking at 4°C. Quantification of the western blots was performed using an Odyssey infrared imaging system (LI-COR Biosciences, Lincoln, NE, USA). The secondary antibodies, goat anti-rabbit IRdye® 800 CW (LI-COR, 926-32211) IgG and goat anti-mouse IRdye® 800 CW (LI-COR, 926-32210), were used at a 1:10,000 dilution at 37°C in Odyssey blocking for 1 h. The blots were scanned using an infrared Li-Cor scanner, allowing for simultaneous detection of two targets (phosphorylated and total protein) within the same experiment.

Statistical analysis

Data are expressed as the mean ± standard error of the mean. Differences among groups were determined by two-way analysis of variance followed by Tukey’s post-hoc test. Comparisons between two groups were performed using an unpaired Student’s t-test. Statistical analyses were conducted using SPSS version 13.0 (SPSS Inc., Chicago, IL, USA). P<0.05 was considered to indicate a statistically significant difference.

Results

DIM attenuates cardiac H9c2 cell hypertrophy

An in vitro model using Ang II (1 μM) in cultured rat cardiac H9c2 cells was established in order to confirm the effects of DIM on cardiac hypertrophy. Following stimulation with DIM (1, 5, and 10 μM) with or without Ang II (1 μM) for 24 h, cells were characterized for cardiac α-actinin expression by immunofluorescence, to assess cardiomyocyte hypertrophy. H9c2 cells showed an enlarged cell surface area as compared with those induced by DIM (1, 5, and 10 μM) with Ang II for 24 h (Fig. 1A and B). qPCR demonstrated that DIM (1, 5, and 10 μM) markedly decreased the induction of ANP, BNP and β-MHC mRNA expression induced by Ang II (1 μM), most significantly in cells treated with 5 μM DIM (Fig. 1C). There were no significant differences between the DIM 5 μM and DIM 10 μM groups. Additionally, qPCR demonstrated that cells treated with 5 μM DIM for 6, 12, and 24 h exhibited a markedly decreased induction of ANP, BNP and β-MHC mRNA expression by Ang II (Fig. 1D). These findings indicated that DIM attenuated cell hypertrophy in vitro.

Figure 1

DIM attenuates cardiac H9c2 cell hypertrophy in vitro. (A and B) Effects of DIM on the reduction in size of H9c2 cells induced by Ang II (1 μM) for 24 h. (A) Representative immunofluorescent staining. Scale bar, 10 μm. (B) Quantitative analysis of immunofluorescence. *P<0.05 vs control group. #P<0.05 vs Ang II group. (C) qPCR analysis of the mRNA levels of ANP, BNP and β-MHC induced by DIM (1, 5, 10 μM) with Ang II (1 μM) for 24 h. *P<0.05 vs control group. #P<0.05 vs Ang II group. (D) qPCR analysis of the mRNA levels of ANP, BNP and β-MHC induced by DIM (5 μM) with Ang II (1 μM) at the time-points indicated. #P<0.05 vs Ang II group at the same time-point. ANP, atrial natriuretic peptide; BNP, brain natriuretic peptide; Ang II, angiotensin II; DIM, 3,3′-diindolylmehane; β-MHC, myosin heavy chain β; CSA, cell surface area; qPCR, quantitative polymerase chain reaction analysis.

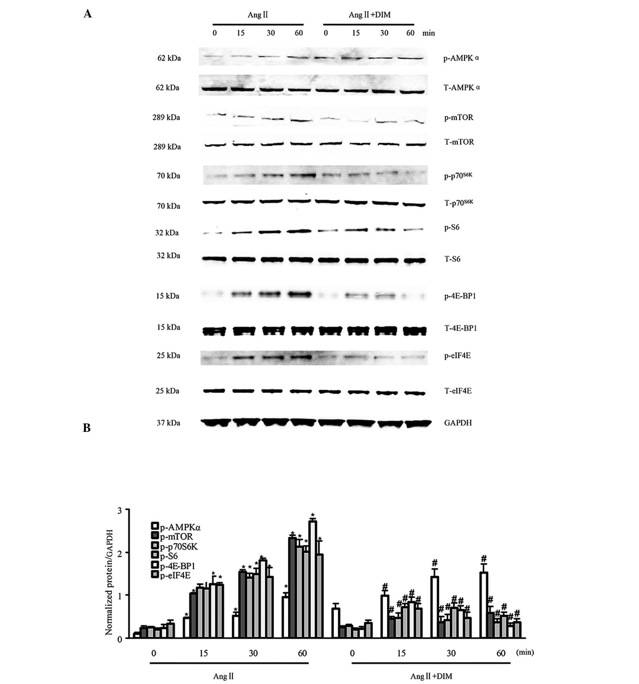
DIM promotes p-AMPKa activity and inhibits mTOR signaling in response to Ang II in vitro

In a previous study by our group, it was identified by western blotting that DIM could enhance the phosphorylation of AMPKα and block mTOR signaling induced by pressure overload in vivo (7). In the present study, the activation of AMPKα and mTOR signaling by Ang II (1 μM) in H9c2 cells treated with DIM (5 μM) or PBS for 0, 15, 30 and 60 min was evaluated for the first time, to the best of our knowledge. The activation of AMPKα was increased in H9c2 cells treated with 5 μM DIM, as compared with that in response to 1 μM AngII alone. The levels of phosphorylated mTOR, p70S6K, S6, eIF4E and 4E-BP1 were significantly increased in H9c2 cells in response to 1 μM Ang II. However, the increased levels of mTOR, p70S6K, S6, eIF4E and 4E-BP1 were reduced in cells treated with 5 μM DIM (Fig. 2A and B). These findings indicated that DIM attenuated cell hypertrophy, predominantly through stimulating p-AMPKα activity and inhibiting mTOR signaling in vitro.

Figure 2

DIM enhances p-AMPKα activity and inhibits mTOR signaling in response to hypertrophic stimuli in vitro. (A and B) The levels of total (T-) and phosphorylated (p-)AMPKα, mTOR, p70S6K, S6, eIF4E, and 4E-BP1 expression in H9c2 cells treated with DIM (5 μM) with Ang II (1 μM) at the time-points indicated. (A) Representative blots. (B) Quantitative results. *P<0.05 vs Ang II group at time-point 0. #P<0.05 vs Ang II group at the same time-point. Ang II, angiotensin II; DIM, 3,3′-diindolylmehane; p-AMPKα, phosphorylated 5′ AMP-activated protein kinase α; mTOR, mammalian target of rapamycin.

DIM inhibits MAPK signaling in response to hypertrophic stimuli in vitro

MAPK signaling has a central function in cardiac hypertrophy (14). The state of activation of MAPK signaling in H9c2 cells treated with 5 μM DIM or PBS for 0, 15, 30, and 60 min by 1 μM Ang II, was therefore evaluated. It was identified that the phosphorylated levels of MEK1/2, ERK1/2, p38, JNK1/2 and c-Jun were significantly increased in H9c2 cells in response to Ang II (1 μM). However, the increased levels of MEK1/2, ERK1/2, JNK1/2 and c-Jun were attenuated in cells treated with 5 μM DIM, whereas p38 was similarly activated in DIM- and PBS-treated groups (Fig. 3A and B). The results indicated that DIM significantly ameliorated cardiac hypertrophy through direct inhibition of the MAPK signaling pathway in vitro.

Figure 3

DIM inhibits MAPK signaling induced by Ang II. (A and B) The levels of total (T-) and phosphorylated (p-)MEK1/2, ERK1/2, p38, JNK1/2 and c-Jun expression in H9c2 cells treated with DIM (5 μM) with Ang II (1 μM) at the indicated time-points. (A) Representative blots. (B) Quantitative results. *P<0.05 vs Ang II group at time-point 0. #P<0.05 vs AngII group at the same time-point. Ang II, angiotensin II; DIM, 3,3′-diindolylmehane; MAPK, mitogen-activated protein kinase; p-MEK, phosphorylated mitogen-activated protein kinase kinase; ERK, extracellular signal-regulated kinase; JNK, c-Jun N-terminal kinase.

Discussion

In the present study, the role of DIM in cultured rat cardiac H9c2 cells with induced hypertrophy by Ang II in vitro was examined. The results demonstrated that DIM significantly ameliorated cardiac cell hypertrophy by stimulating p-AMPKα activity and disrupting mTOR and MAPK signaling in response to Ang II stimuli in vitro. These findings suggested that DIM has a protective role in the regulation of rat cardiac H9c2 cell hypertrophy induced by Ang II in vitro.

H9c2 cells have been used as an alternative source for non-proliferating adult cardiomyocytes, originating from the ventricular muscle of the embryonic rat heart (15,16). H9c2 cells display similarities to adult cardiomyocytes in their morphology, protein expression, signaling and hypertrophy-associated characteristics (15). Previous studies have cultured primary rat neonatal cardiomyocytes (PNCM) and H9c2 cells and treated the cells with Ang II and endothelin-1 (ET-1) to promote a hypertrophic response (17). Ang II and ET-1 are closely associated hypertrophic stimuli and have been observed to cause a similar increase in cell size, rearrangement of contractile proteins and upregulation of hypertrophic genes in both PNCM and H9C2 cells (15). These findings validate the importance of H9C2 cells as a model for in vitro studies of cardiac hypertrophy (15). The present study used an in vitro model of hypertrophy with 1 μM Ang II in cultured rat cardiac H9c2 cells, to demonstrate the effects of DIM on the cellular phenotype. It was shown that DIM (1, 5, and 10 μM) inhibited the enlargement of the cell surface area and decreased the induction of ANP, BNP and β-MHC mRNA expression induced by Ang II. The effect was most significant in the 5 μM DIM-treated group. In addition, 5 μM DIM markedly decreased the induction of ANP, BNP and β-MHC mRNA expression induced by Ang II for 6, 12, and 24 h. There were no significant differences between the 5 and 10 μM DIM-treated groups. In a previous study by our group (10), it was demonstrated that DIM attenuated cardiac hypertrophy with improvements to the cardiomyocyte cross-sectional area in both the forward and reverse experiments, and blunted the expression of hypertrophic markers (10).

Diverse intracellular signaling pathways affecting nuclear factors and the regulation of gene expression, are implicated in the pathological processes involved in cardiac hypertrophy, including AMPK/mTOR (18), MAPKs (19), PI3K/AKT (20) and NF-κB (21). AMPK is highly expressed in cardiac myocytes and functions as a trimer of the α(1–2) catalytic subunit with the β(1–2) and γ(1–3) regulatory subunits (22). A previous study (23) has demonstrated that 5-aminoimidazole-4-carboxamide riboside, an AMPK activator, attenuated cardiac hypertrophy induced by pressure overload in vivo. Another study (18) showed that mice deficient of the major α catalytic subunit in cardiac muscle, AMPKα2, were protected from pressure-overload-induced left ventricular remodeling, which was associated with regulating mTOR/p70S6K signaling (18). In our previous study (10), it was found that DIM not only prevented the development of cardiac hypertrophy, but also reversed the established cardiac hypertrophy by regulating AMPKα and mTOR signaling in vivo. The cardioprotective effects of DIM were ameliorated in mice lacking functional AMPKα2 (10).

The MAPK signaling pathway consists of a sequence of successively functioning kinases that ultimately result in the dual phosphorylation and activation of p38, JNKs and ERKs (24). MEK-ERK1/2 signaling is sufficient to promote cardiac hypertrophy in vivo (25). However, pharmacological inhibition of MEK1-ERK1/2 may diminish the beneficial effects that are associated with compensated hypertrophy, whereas the inhibition of p38 and/or JNK may lead to a maladaptive hypertrophic response over a longer period (20). The status of MAPK signaling was evaluated in the presented hypertrophic model. This study showed that MEK, ERK1/2, JNK1/2 and c-Jun activation were inhibited in DIM-treated hearts and H9c2 cells (5 μM) as compared with the control groups stimulated with Ang II (1 μM). The findings indicated that the inhibitory effects of DIM on cardiac hypertrophy are partly mediated through MAPK signaling.

In conclusion, the present study indicated that DIM protected against rat cardiac H9c2 cell hypertrophy in response to Ang II. These observations have revealed new insights into the pathogenesis of cardiac remodeling and may have considerable implications for the development of strategies for the treatment of cardiac hypertrophy and heart failure through the application of DIM. Additional studies are required to explore the potential clinical uses of DIM.

Acknowledgments

This work was supported by the National Nature Science Foundation of China (nos. 30901628, 30972954, 81000036 and 81000095) and the Fundamental Research Funds for the Central Universities of China (nos. 5107002 and 2012302020212).

References

1 

Blaxall BC, Tschannen-Moran BM, Milano CA and Koch WJ: Differential gene expression and genomic patient stratification following left ventricular assist device support. J Am Coll Cardiol. 41:1096–1106. 2003. View Article : Google Scholar : PubMed/NCBI

2 

Kuwahara K and Nakao K: New molecular mechanisms for cardiovascular disease: transcriptional pathways and novel therapeutic targets in heart failure. J Pharmacol Sci. 116:337–342. 2011. View Article : Google Scholar

3 

Proud CG: Ras, PI3-kinase and mTOR signaling in cardiac hypertrophy. Cardiovasc Res. 63:403–413. 2004. View Article : Google Scholar : PubMed/NCBI

4 

Duan C, LM, Zhang J and Ma R: RASSF1A: A potential novel therapeutic target against cardiac hypertrophy. Prog Biophys Mol Biol. 113:284–288. 2013. View Article : Google Scholar : PubMed/NCBI

5 

Jayakumar P, PK and Sankaran M: Attenuation of hyperglycemiamediated oxidative stress by indole-3-carbinol and its metabolite 3,3′-diindolylmethane in C57BL/6J mice. J Physiol Biochem. 70:525–534. 2014. View Article : Google Scholar : PubMed/NCBI

6 

Kunimasa K, Kobayashi T, Kaji K and Ohta T: Antiangiogenic effects of indole-3-carbinol and 3,3′-diindolylmethane are associated with their differential regulation of ERK1/2 and Akt in tube-forming HUVEC. J Nutr. 140:1–6. 2010. View Article : Google Scholar

7 

Azmi AS, AA, Banerjee S, Rangnekar VM, Mohammad RM and Sarkar FH: Chemoprevention of pancreatic cancer: Characterization of Par-4 and its modulation by 3,3′ diindolylmethane (DIM). Pahrm Res. 25:2117–2124. 2008. View Article : Google Scholar

8 

Xue L, Firestone GL and Bjeldanes LF: DIM stimulates IFNgamma gene expression in human breast cancer cells via the specific activation of JNK and p38 pathways. Oncogene. 24:2343–2353. 2005. View Article : Google Scholar : PubMed/NCBI

9 

Cho HJ, Seon MR, Lee YM, et al: 3,3′-Diindolylmethane suppresses the inflammatory response to lipopolysaccharide in murine macrophages. J Nutr. 138:17–23. 2008.

10 

Zong J, Deng W, Zhou H, et al: 3,3′-Diindolylmethane protects against cardiac hypertrophy via 5′-adenosine monophosphate-activated protein kinase-α2. PLoS One. 8:e534272013. View Article : Google Scholar

11 

Matsubara H: Renin-angiotensin system in human failing hearts: message from nonmyocyte cells to myocytes. Circ Res. 88:861–863. 2001. View Article : Google Scholar : PubMed/NCBI

12 

Weber KT and Brilla CG: Pathological hypertrophy and cardiac interstitium. Fibrosis and renin-angiotensin-aldosterone system Circulation. 83:1849–1865. 1991.

13 

Mehta PK and Griendling KK: Angiotensin II cell signaling: physiological and pathological effects in the cardiovascular system. Am J Physiol Cell Physiol. 292:C82–C97. 2007. View Article : Google Scholar

14 

Zhou H, Shen DF, Bian ZY, et al: Activating transcription factor 3 deficiency promotes cardiac hypertrophy, dysfunction, and fbrosis induced by pressure overload. PLoS One. 6:e267442011. View Article : Google Scholar

15 

Watkins SJ, Borthwick GM and Arthur HM: The H9C2 cell line and primary neonatal cardiomyocyte cells show similar hypertrophic responses in vitro. In vitro Cell Dev Biol Anim. 47:125–131. 2011. View Article : Google Scholar

16 

Dick E, Rajamohan D, Ronksley J and Denning C: Evaluating the utility of cardiomyocytes from human pluripotent stem cells for drug screening. Biochem Soc Trans. 38:1037–1045. 2010. View Article : Google Scholar : PubMed/NCBI

17 

Kimes BW and Brandt BL: Properties of a clonal muscle cell line from rat heart. Exp Cell Res. 98:367–381. 1976. View Article : Google Scholar : PubMed/NCBI

18 

Zhang P, Hu X, Xu X, et al: AMP activated protein kinase-alpha2 deficiency exacerbates pressure-overload-induced left ventricular hypertrophy and dysfunction in mice. Hyper tension. 52:918–924. 2008. View Article : Google Scholar

19 

Zhou H, Bian ZY, Zong J, et al: Stem cell antigen 1 protects against cardiac hypertrophy and fibrosis after pressure overload. Hypertension. 60:802–809. 2012. View Article : Google Scholar : PubMed/NCBI

20 

Heineke J and Molkentin JD: Regulation of cardiac hypertrophy by intracellular signalling pathways. Nat Rev Mol Cell Biol. 7:589–600. 2006. View Article : Google Scholar : PubMed/NCBI

21 

Yan L, Huang H, Tang QZ, et al: Breviscapine protects against cardiac hypertrophy through blocking PKC-alpha-dependent signaling. J Cell Biochem. 109:1158–1171. 2010.PubMed/NCBI

22 

Arad M, Seidman CE and Seidman JG: AMP-activated protein kinase in the heart: role during health and disease. Circ Res. 100:474–488. 2007. View Article : Google Scholar : PubMed/NCBI

23 

Li HL, Yin R, Chen D, et al: Long-term activation of adenosine monophosphate-activated protein kinase attenuates pressure-overload-induced cardiac hypertrophy. J Cell Biochem. 100:1086–1099. 2007. View Article : Google Scholar : PubMed/NCBI

24 

Garrington TP and Johnson GL: Organization and regulation of mitogen-activated protein kinase signaling pathways. Curr Opin Cell Biol. 11:211–218. 1999. View Article : Google Scholar : PubMed/NCBI

25 

Zong J, Zhang DP, Zhou H, et al: Baicalein protects against cardiac hypertrophy through blocking MEK-ERK1/2 signaling. J Cell Biochem. 2013. View Article : Google Scholar

Related Articles

  • Abstract
  • View
  • Download
  • Twitter
Copy and paste a formatted citation
Spandidos Publications style
Zong J, Wu QQ, Zhou H, Zhang JY, Yuan Y, Bian ZY, Deng W, Dai J, Li FF, Xu M, Xu M, et al: 3,3'-Diindolylmethane attenuates cardiac H9c2 cell hypertrophy through 5'-adenosine monophosphate-activated protein kinase-α. Mol Med Rep 12: 1247-1252, 2015.
APA
Zong, J., Wu, Q., Zhou, H., Zhang, J., Yuan, Y., Bian, Z. ... Tang, Q. (2015). 3,3'-Diindolylmethane attenuates cardiac H9c2 cell hypertrophy through 5'-adenosine monophosphate-activated protein kinase-α. Molecular Medicine Reports, 12, 1247-1252. https://doi.org/10.3892/mmr.2015.3523
MLA
Zong, J., Wu, Q., Zhou, H., Zhang, J., Yuan, Y., Bian, Z., Deng, W., Dai, J., Li, F., Xu, M., Fang, Y., Tang, Q."3,3'-Diindolylmethane attenuates cardiac H9c2 cell hypertrophy through 5'-adenosine monophosphate-activated protein kinase-α". Molecular Medicine Reports 12.1 (2015): 1247-1252.
Chicago
Zong, J., Wu, Q., Zhou, H., Zhang, J., Yuan, Y., Bian, Z., Deng, W., Dai, J., Li, F., Xu, M., Fang, Y., Tang, Q."3,3'-Diindolylmethane attenuates cardiac H9c2 cell hypertrophy through 5'-adenosine monophosphate-activated protein kinase-α". Molecular Medicine Reports 12, no. 1 (2015): 1247-1252. https://doi.org/10.3892/mmr.2015.3523
Copy and paste a formatted citation
x
Spandidos Publications style
Zong J, Wu QQ, Zhou H, Zhang JY, Yuan Y, Bian ZY, Deng W, Dai J, Li FF, Xu M, Xu M, et al: 3,3'-Diindolylmethane attenuates cardiac H9c2 cell hypertrophy through 5'-adenosine monophosphate-activated protein kinase-α. Mol Med Rep 12: 1247-1252, 2015.
APA
Zong, J., Wu, Q., Zhou, H., Zhang, J., Yuan, Y., Bian, Z. ... Tang, Q. (2015). 3,3'-Diindolylmethane attenuates cardiac H9c2 cell hypertrophy through 5'-adenosine monophosphate-activated protein kinase-α. Molecular Medicine Reports, 12, 1247-1252. https://doi.org/10.3892/mmr.2015.3523
MLA
Zong, J., Wu, Q., Zhou, H., Zhang, J., Yuan, Y., Bian, Z., Deng, W., Dai, J., Li, F., Xu, M., Fang, Y., Tang, Q."3,3'-Diindolylmethane attenuates cardiac H9c2 cell hypertrophy through 5'-adenosine monophosphate-activated protein kinase-α". Molecular Medicine Reports 12.1 (2015): 1247-1252.
Chicago
Zong, J., Wu, Q., Zhou, H., Zhang, J., Yuan, Y., Bian, Z., Deng, W., Dai, J., Li, F., Xu, M., Fang, Y., Tang, Q."3,3'-Diindolylmethane attenuates cardiac H9c2 cell hypertrophy through 5'-adenosine monophosphate-activated protein kinase-α". Molecular Medicine Reports 12, no. 1 (2015): 1247-1252. https://doi.org/10.3892/mmr.2015.3523
Follow us
  • Twitter
  • LinkedIn
  • Facebook
About
  • Spandidos Publications
  • Careers
  • Cookie Policy
  • Privacy Policy
How can we help?
  • Help
  • Live Chat
  • Contact
  • Email to our Support Team