Spandidos Publications Logo
  • About
    • About Spandidos
    • Aims and Scopes
    • Abstracting and Indexing
    • Editorial Policies
    • Reprints and Permissions
    • Job Opportunities
    • Terms and Conditions
    • Contact
  • Journals
    • All Journals
    • Oncology Letters
      • Oncology Letters
      • Information for Authors
      • Editorial Policies
      • Editorial Board
      • Aims and Scope
      • Abstracting and Indexing
      • Bibliographic Information
      • Archive
    • International Journal of Oncology
      • International Journal of Oncology
      • Information for Authors
      • Editorial Policies
      • Editorial Board
      • Aims and Scope
      • Abstracting and Indexing
      • Bibliographic Information
      • Archive
    • Molecular and Clinical Oncology
      • Molecular and Clinical Oncology
      • Information for Authors
      • Editorial Policies
      • Editorial Board
      • Aims and Scope
      • Abstracting and Indexing
      • Bibliographic Information
      • Archive
    • Experimental and Therapeutic Medicine
      • Experimental and Therapeutic Medicine
      • Information for Authors
      • Editorial Policies
      • Editorial Board
      • Aims and Scope
      • Abstracting and Indexing
      • Bibliographic Information
      • Archive
    • International Journal of Molecular Medicine
      • International Journal of Molecular Medicine
      • Information for Authors
      • Editorial Policies
      • Editorial Board
      • Aims and Scope
      • Abstracting and Indexing
      • Bibliographic Information
      • Archive
    • Biomedical Reports
      • Biomedical Reports
      • Information for Authors
      • Editorial Policies
      • Editorial Board
      • Aims and Scope
      • Abstracting and Indexing
      • Bibliographic Information
      • Archive
    • Oncology Reports
      • Oncology Reports
      • Information for Authors
      • Editorial Policies
      • Editorial Board
      • Aims and Scope
      • Abstracting and Indexing
      • Bibliographic Information
      • Archive
    • Molecular Medicine Reports
      • Molecular Medicine Reports
      • Information for Authors
      • Editorial Policies
      • Editorial Board
      • Aims and Scope
      • Abstracting and Indexing
      • Bibliographic Information
      • Archive
    • World Academy of Sciences Journal
      • World Academy of Sciences Journal
      • Information for Authors
      • Editorial Policies
      • Editorial Board
      • Aims and Scope
      • Abstracting and Indexing
      • Bibliographic Information
      • Archive
    • International Journal of Functional Nutrition
      • International Journal of Functional Nutrition
      • Information for Authors
      • Editorial Policies
      • Editorial Board
      • Aims and Scope
      • Abstracting and Indexing
      • Bibliographic Information
      • Archive
    • International Journal of Epigenetics
      • International Journal of Epigenetics
      • Information for Authors
      • Editorial Policies
      • Editorial Board
      • Aims and Scope
      • Abstracting and Indexing
      • Bibliographic Information
      • Archive
    • Medicine International
      • Medicine International
      • Information for Authors
      • Editorial Policies
      • Editorial Board
      • Aims and Scope
      • Abstracting and Indexing
      • Bibliographic Information
      • Archive
  • Articles
  • Information
    • Information for Authors
    • Information for Reviewers
    • Information for Librarians
    • Information for Advertisers
    • Conferences
  • Language Editing
Spandidos Publications Logo
  • About
    • About Spandidos
    • Aims and Scopes
    • Abstracting and Indexing
    • Editorial Policies
    • Reprints and Permissions
    • Job Opportunities
    • Terms and Conditions
    • Contact
  • Journals
    • All Journals
    • Biomedical Reports
      • Information for Authors
      • Editorial Policies
      • Editorial Board
      • Aims and Scope
      • Abstracting and Indexing
      • Bibliographic Information
      • Archive
    • Experimental and Therapeutic Medicine
      • Information for Authors
      • Editorial Policies
      • Editorial Board
      • Aims and Scope
      • Abstracting and Indexing
      • Bibliographic Information
      • Archive
    • International Journal of Epigenetics
      • Information for Authors
      • Editorial Policies
      • Editorial Board
      • Aims and Scope
      • Abstracting and Indexing
      • Bibliographic Information
      • Archive
    • International Journal of Functional Nutrition
      • Information for Authors
      • Editorial Policies
      • Editorial Board
      • Aims and Scope
      • Abstracting and Indexing
      • Bibliographic Information
      • Archive
    • International Journal of Molecular Medicine
      • Information for Authors
      • Editorial Policies
      • Editorial Board
      • Aims and Scope
      • Abstracting and Indexing
      • Bibliographic Information
      • Archive
    • International Journal of Oncology
      • Information for Authors
      • Editorial Policies
      • Editorial Board
      • Aims and Scope
      • Abstracting and Indexing
      • Bibliographic Information
      • Archive
    • Medicine International
      • Information for Authors
      • Editorial Policies
      • Editorial Board
      • Aims and Scope
      • Abstracting and Indexing
      • Bibliographic Information
      • Archive
    • Molecular and Clinical Oncology
      • Information for Authors
      • Editorial Policies
      • Editorial Board
      • Aims and Scope
      • Abstracting and Indexing
      • Bibliographic Information
      • Archive
    • Molecular Medicine Reports
      • Information for Authors
      • Editorial Policies
      • Editorial Board
      • Aims and Scope
      • Abstracting and Indexing
      • Bibliographic Information
      • Archive
    • Oncology Letters
      • Information for Authors
      • Editorial Policies
      • Editorial Board
      • Aims and Scope
      • Abstracting and Indexing
      • Bibliographic Information
      • Archive
    • Oncology Reports
      • Information for Authors
      • Editorial Policies
      • Editorial Board
      • Aims and Scope
      • Abstracting and Indexing
      • Bibliographic Information
      • Archive
    • World Academy of Sciences Journal
      • Information for Authors
      • Editorial Policies
      • Editorial Board
      • Aims and Scope
      • Abstracting and Indexing
      • Bibliographic Information
      • Archive
  • Articles
  • Information
    • For Authors
    • For Reviewers
    • For Librarians
    • For Advertisers
    • Conferences
  • Language Editing
Login Register Submit
  • This site uses cookies
  • You can change your cookie settings at any time by following the instructions in our Cookie Policy. To find out more, you may read our Privacy Policy.

    I agree
Search articles by DOI, keyword, author or affiliation
Search
Advanced Search
presentation
Molecular Medicine Reports
Join Editorial Board Propose a Special Issue
Print ISSN: 1791-2997 Online ISSN: 1791-3004
Journal Cover
April-2016 Volume 13 Issue 4

Full Size Image

Sign up for eToc alerts
Recommend to Library

Journals

International Journal of Molecular Medicine

International Journal of Molecular Medicine

International Journal of Molecular Medicine is an international journal devoted to molecular mechanisms of human disease.

International Journal of Oncology

International Journal of Oncology

International Journal of Oncology is an international journal devoted to oncology research and cancer treatment.

Molecular Medicine Reports

Molecular Medicine Reports

Covers molecular medicine topics such as pharmacology, pathology, genetics, neuroscience, infectious diseases, molecular cardiology, and molecular surgery.

Oncology Reports

Oncology Reports

Oncology Reports is an international journal devoted to fundamental and applied research in Oncology.

Experimental and Therapeutic Medicine

Experimental and Therapeutic Medicine

Experimental and Therapeutic Medicine is an international journal devoted to laboratory and clinical medicine.

Oncology Letters

Oncology Letters

Oncology Letters is an international journal devoted to Experimental and Clinical Oncology.

Biomedical Reports

Biomedical Reports

Explores a wide range of biological and medical fields, including pharmacology, genetics, microbiology, neuroscience, and molecular cardiology.

Molecular and Clinical Oncology

Molecular and Clinical Oncology

International journal addressing all aspects of oncology research, from tumorigenesis and oncogenes to chemotherapy and metastasis.

World Academy of Sciences Journal

World Academy of Sciences Journal

Multidisciplinary open-access journal spanning biochemistry, genetics, neuroscience, environmental health, and synthetic biology.

International Journal of Functional Nutrition

International Journal of Functional Nutrition

Open-access journal combining biochemistry, pharmacology, immunology, and genetics to advance health through functional nutrition.

International Journal of Epigenetics

International Journal of Epigenetics

Publishes open-access research on using epigenetics to advance understanding and treatment of human disease.

Medicine International

Medicine International

An International Open Access Journal Devoted to General Medicine.

Journal Cover
April-2016 Volume 13 Issue 4

Full Size Image

Sign up for eToc alerts
Recommend to Library

  • Article
  • Citations
    • Cite This Article
    • Download Citation
    • Create Citation Alert
    • Remove Citation Alert
    • Cited By
  • Similar Articles
    • Related Articles (in Spandidos Publications)
    • Similar Articles (Google Scholar)
    • Similar Articles (PubMed)
  • Download PDF
  • Download XML
  • View XML
Article Open Access

Omacetaxine mepesuccinate induces apoptosis and cell cycle arrest, promotes cell differentiation, and reduces telomerase activity in diffuse large B‑cell lymphoma cells

  • Authors:
    • Lina Zhang
    • Zhenzhu Chen
    • Wenli Zuo
    • Xinghu Zhu
    • Yufu Li
    • Xinjian Liu
    • Xudong Wei
  • View Affiliations / Copyright

    Affiliations: Department of Hematology, The Affiliated Cancer Hospital of Zhengzhou University, Henan Cancer Hospital, Zhengzhou, Henan 450008, P.R. China, Department of Medical Oncology, The Affiliated Cancer Hospital of Zhengzhou University, Henan Cancer Hospital, Zhengzhou, Henan 450008, P.R. China
    Copyright: © Zhang et al. This is an open access article distributed under the terms of Creative Commons Attribution License.
  • Pages: 3092-3100
    |
    Published online on: February 16, 2016
       https://doi.org/10.3892/mmr.2016.4899
  • Expand metrics +
Metrics: Total Views: 0 (Spandidos Publications: | PMC Statistics: )
Metrics: Total PDF Downloads: 0 (Spandidos Publications: | PMC Statistics: )
Cited By (CrossRef): 0 citations Loading Articles...

This article is mentioned in:



Abstract

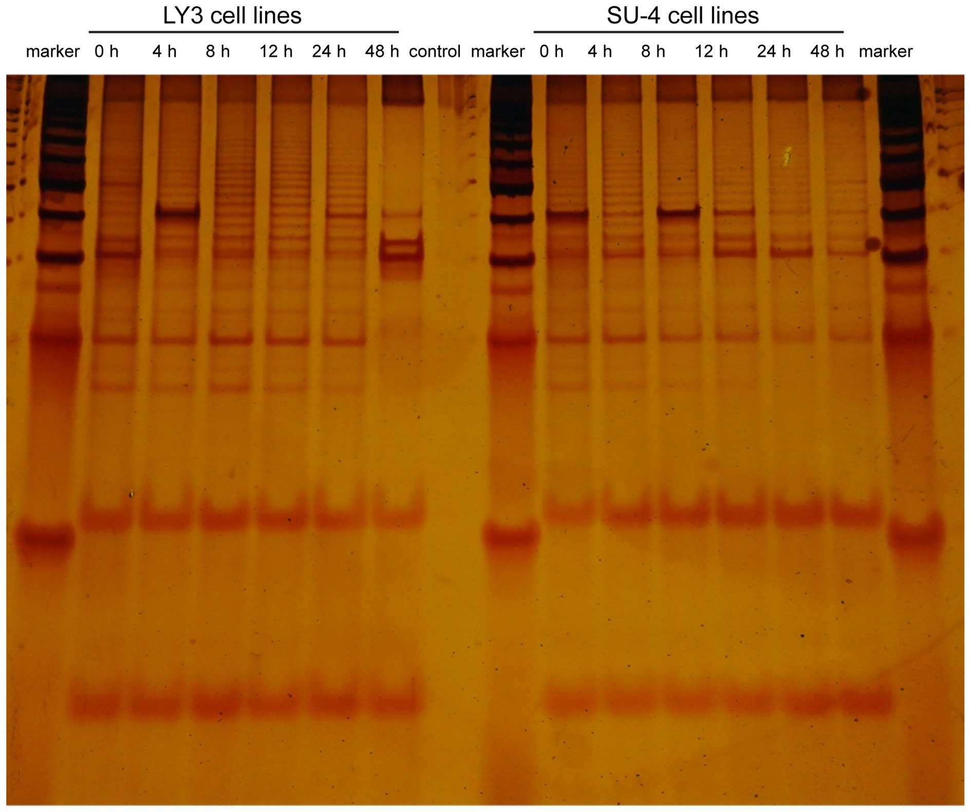
Clinical studies have demonstrated that omacetaxine mepesuccinate exerts beneficial effects on acute myelogenous leukemia. It has been suggested that omacetaxine mepesuccinate, used alone or with interferon‑α or cytarabine, induces remission in patients with chronic myelogenous leukemia. These effects are possibly mediated by its ability to induce apoptosis of leukemia cells and inhibit the activity of telomerase. To determine whether omacetaxine mepesuccinate is beneficial in diffuse large B‑cell lymphoma (DLBCL), two DLBCL cell lines [a germinal center B cell‑like subtype (GCB) and an activated B cell‑like subtype (ABC)] were treated with omacetaxine mepesuccinate at various concentrations for different durations. The present study indicated that omacetaxine mepesuccinate exerts proapoptotic effects in the two cell types in a dose‑ and time‑dependent manner. The ABC subtype demonstrated increased sensitivity compared with the GCB subtype. At 40 ng/ml, omacetaxine mepesuccinate exhibited a marked proapoptotic effect on DLBCL cells compared with the other tumor cells investigated. Furthermore, omacetaxine mepesuccinate induced cell cycle arrest at G0/G1 phase, and promoted cell terminal differentiation of pro‑B cells. The present study also demonstrated that omacetaxine mepesuccinate exerted its antitumor effect by reducing telomerase activity. In conclusion, the present study demonstrated that omacetaxine mepesuccinate may induce apoptosis and cell cycle arrest, promote cell differentiation, and reduce telomerase activity in DLBCL cells, thus aiding the development of omacetaxine mepesuccinate‑based DLBCL therapeutic strategies.
View Figures

Figure 1

Figure 2

Figure 3

Figure 4

Figure 5

Figure 6

View References

1 

Cultrera JL and Dalia SM: Diffuse large B-cell lymphoma: Current strategies and future directions. Cancer Control. 19:204–213. 2012.PubMed/NCBI

2 

Rosenwald A, Wright G, Chan WC, Connors JM, Campo E, Fisher RI, Gascoyne RD, Muller-Hermelink HK, Smeland EB, Giltnane JM, et al Lymphoma/Leukemia Molecular Profiling Project: The use of molecular profiling to predict survival after chemotherapy for diffuse large-B-cell lymphoma. N Engl J Med. 346:1937–1947. 2002. View Article : Google Scholar : PubMed/NCBI

3 

Grillo-López AJ, White CA, Dallaire BK, Varns CL, Shen CD, Wei A, Leonard JE, McClure A, Weaver R, Cairelli S and Rosenberg J: Rituximab: The first monoclonal antibody approved for the treatment of lymphoma. Curr Pharm Biotechnol. 1:1–9. 2000. View Article : Google Scholar

4 

Pfreundschuh M, Trümper L, Osterborg A, Pettengell R, Trneny M, Imrie K, Ma D, Gill D, Walewski J, Zinzani PL, et al MabThera International Trial Group: CHOP-like chemotherapy plus rituximab versus CHOP-like chemotherapy alone in young patients with good-prognosis diffuse large-B-cell lymphoma: A randomised controlled trial by the MabThera International Trial (MInT) Group. Lancet Oncol. 7:379–391. 2006. View Article : Google Scholar : PubMed/NCBI

5 

Martelli M, Ferreri AJ, Agostinelli C, Di Rocco A, Pfreundschuh M and Pileri SA: Diffuse large B-cell lymphoma. Crit Rev Oncol Hematol. 87:146–171. 2013. View Article : Google Scholar : PubMed/NCBI

6 

Colomo L, López-Guillermo A, Perales M, Rives S, Martínez A, Bosch F, Colomer D, Falini B, Montserrat E and Campo E: Clinical impact of the differentiation profile assessed by immunophenotyping in patients with diffuse large B-cell lymphoma. Blood. 101:78–84. 2003. View Article : Google Scholar

7 

Meyer PN, Fu K, Greiner TC, Smith LM, Delabie J, Gascoyne RD, Ott G, Rosenwald A, Braziel RM, Campo E, et al: Immunohistochemical methods for predicting cell of origin and survival in patients with diffuse large B-cell lymphoma treated with rituximab. J Clin Oncol. 29:200–207. 2011. View Article : Google Scholar :

8 

Saad AA, Awed NM, Abdel-Hafeez ZM, Kamal GM, Elsallaly HM and Alloub AI: Prognostic value of immunohistochemical classification of diffuse large B-cell lymphoma into germinal center B-cell and non-germinal center B-cell subtypes. Saudi Med J. 31:135–141. 2010.PubMed/NCBI

9 

Li M, Liu CL, Yin WJ, He YX, Xue XM, Duan ZJ and Gao ZF: The clinical significance of a new classification algorithm in Chinese DLBCL cases. Zhonghua Xue Ye Xue Za Zhi. 33:801–804. 2012.In Chinese.

10 

Zhou XJ, Zhou YH, Chen XH and Qian WB: Homoharringtonine combined arsenic trioxide induced apoptosis in human multiple myeloma cell line RPMI 8226: An experimental research. Zhongguo Zhong Xi Yi Jie He Za Zhi. 33:834–839. 2013.In Chinese. PubMed/NCBI

11 

Daver N, Vega-Ruiz A, Kantarjian HM, Estrov Z, Ferrajoli A, Kornblau S, Verstovsek S, Garcia-Manero G and Cortes JE: A phase II open-label study of the intravenous administration of homoharringtonine in the treatment of myelodysplastic syndrome. Eur J Cancer Care (Engl). 22:605–611. 2013. View Article : Google Scholar

12 

Cao H, Cheng Y, You L, Qian J and Qian W: Homohar-ringtonine and SAHA synergistically enhance apoptosis in human acute myeloid leukemia cells through upregulation of TRAIL and death receptors. Mol Med Rep. 7:1838–1844. 2013.PubMed/NCBI

13 

Chen R, Guo L, Chen Y, Jiang Y, Wierda WG and Plunkett W: Homoharringtonine reduced Mcl-1 expression and induced apoptosis in chronic lymphocytic leukemia. Blood. 117:156–164. 2011. View Article : Google Scholar :

14 

Cai Z, Lin M, Ludwig WD and Karawajew L: Involvement of mitochondrial membrane potential in the homoharringtonine induced apoptosis of leukemic T-cells. Zhonghua Xue Ye Xue Za Zhi. 22:238–240. 2001.In Chinese.

15 

Wang L and Jin J: Study on inhibition of telomerase activity of human T lymphocyte Jurkat cells by homoharringtonine and its mechanism. Shiyong Zhongliu Zazhi. 20:391–394. 2005.In Chinese.

16 

Li YF, Liu X, Liu DS, Din BH and Zhu JB: The effect of homoharringtonine in patients with chronic myeloid leukemia who have failed or responded suboptimally to imatinib therapy. Leuk Lymphoma. 50:1889–1891. 2009. View Article : Google Scholar : PubMed/NCBI

17 

Xie WZ, Lin MF, Huang H and Cai Z: Homoharringtonine-induced apoptosis of human leukemia HL-60 cells is associated with downregulation of telomerase. Am J Chin Med. 34:233–244. 2006. View Article : Google Scholar

18 

Huang HJ, He XZ and Jiao F: Induction of apoptosis on SGC-7901 cells by harringtonine. Dongnan Daxue Xuebao (Yixueban). 32:206–209. 2013.In Chinese.

19 

Liu X and Ji YB: Study on anticancer effects of homoharringtonine to HepG2 by MTT in vitro. J Harbin Univ Commer (Nat Sci Ed. 28:393–395. 2012.

20 

Jin Y, Lu Z, Cao K, Zhu Y, Chen Q, Zhu F, Qian C and Pan J: The antitumor activity of homoharringtonine against human mast cells harboring the KIT D816V mutation. Mol Cancer Ther. 9:211–223. 2010. View Article : Google Scholar : PubMed/NCBI

21 

Beranova L, Pombinho AR, Spegarova J, Koc M, Klanova M, Molinsky J, Klener P, Bartunek P and Andera L: The plant alkaloid and anti-leukemia drug homoharringtonine sensitizes resistant human colorectal carcinoma cells to TRAIL-induced apoptosis via multiple mechanisms. Apoptosis. 18:739–750. 2013. View Article : Google Scholar : PubMed/NCBI

22 

Belletti B, Nicoloso MS, Schiappacassi M, Chimienti E, Berton S, Lovat F, Colombatti A and Baldassarre G: p27 (kip1) functional regulation in human cancer: A potential target for therapeutic designs. Curr Med Chem. 12:1589–1605. 2005. View Article : Google Scholar

23 

Liu JN, Bi GF, Wen PE, Yang WH, Ren X, Tang TH, Xie C, Dong W, Jiang GS and Lin RX: Study on variation of CD44 expression and its role in differentiation of HL-60 cells induced by HHT. Chinese Journal of Cancer Prevention and Treatment. 15:1361–1364. 2008.

24 

Mengual Gómez DL, Armando RG, Farina HG and Gómez DE: Telomerase and telomere: Their structure and dynamics in health and disease. Medicina (B Aires). 74:69–76. 2014.In Spanish.

25 

Autexier C and Lue NF: The structure and function of telomerase reverse transcriptase. Annu Rev Biochem. 75:493–517. 2006. View Article : Google Scholar : PubMed/NCBI

26 

Yu YF, Zhang Y, Shen N, Zhang RY and Lu XQ: Effect of VEGF, P53 and telomerase on angiogenesis of gastric carcinoma tissue. Asian Pac J Trop Med. 7:293–296. 2014. View Article : Google Scholar : PubMed/NCBI

27 

Xu D, Wang Q, Gruber A, Björkholm M, Chen Z, Zaid A, Selivanova G, Peterson C, Wiman KG and Pisa P: Downregulation of telomerase reverse transcriptase mRNA expression by wild type p53 in human tumor cells. Oncogene. 19:5123–5133. 2000. View Article : Google Scholar : PubMed/NCBI

28 

Sakurai S, Fukayama M, Kaizaki Y, Saito K, Kanazawa K, Kitamura M, Iwasaki Y, Hishima T, Hayashi Y and Koike M: Telomerase activity in gastrointestinal stromal tumors. Cancer. 83:2060–2066. 1998. View Article : Google Scholar : PubMed/NCBI

29 

Akiyama M, Yamada O, Kanda N, Akita S, Kawano T, Ohno T, Mizoguchi H, Eto Y, Anderson KC and Yamada H: Telomerase overexpression in K562 leukemia cells protects against apoptosis by serum deprivation and double-stranded DNA break inducing agents, but not against DNA synthesis inhibitors. Cancer Lett. 178:187–197. 2002. View Article : Google Scholar : PubMed/NCBI

30 

Guo M and Wang J: Advances in study on telomerase of esophageal carcinoma. Chinese Journal of Gastroenterology. 18:122–124. 2013.

31 

Lin G, Chen Q, Yu S, Lin S, Yao H, Ding Z, Chen S, Lin MC and Wang X: Overexpression of human telomerase reverse transcriptase C-terminal polypeptide sensitizes HeLa cells to 5-fluorouracilinduced growth inhibition and apoptosis. Mol Med Rep. 9:279–284. 2014.

32 

Park ES, Lee J, Kang SY, Lee EJ, Lee MH, Yoon N, Oh YL and Kim KM: A comparative study of telomerase activity and cytologic diagnosis in malignant ascites. Anal Quant Cytopathol Histpathol. 35:146–151. 2013.PubMed/NCBI

33 

Li HJ, Wang JM, Tian YT, Bai ML, Zhang LX and Zhao XX: Effect of matrine on Fas, VEGF, and activities of telomerase of MCF-7 cells. Zhongguo Zhong Xi Yi Jie He Za Zhi. 33:1247–1251. 2013.In Chinese. PubMed/NCBI

34 

Lin G, Chen Q, Yu S, Lin S, Yao H, Ding Z, Chen S, Lin MC and Wang X: Overexpression of human telomerase reverse transcriptase C-terminal polypeptide sensitizes HeLa cells to 5-fluorouracilinduced growth inhibition and apoptosis. Mol Med Rep. 9:279–284. 2014.

35 

Tomizawa A, Kanno SI, Osanai Y, Yomogida S and Ishikawa M: Cytotoxic effects of caffeic acid undecyl ester are involved in the inhibition of telomerase activity in NALM-6 human B-cell leukemia cells. Oncol Lett. 6:875–877. 2013.PubMed/NCBI

36 

Halacli SO, Canpinar H, Cimen E and Sunguroglu A: Effects of gamma irradiation on cell cycle, apoptosis and telomerase activity in p53 wild-type and deficient HCT116 colon cancer cell lines. Oncol Lett. 6:807–810. 2013.PubMed/NCBI

37 

Nakashima M, Nandakumar J, Sullivan KD, Espinosa JM and Cech TR: Inhibition of telomerase recruitment and cancer cell death. J Biol Chem. 288:33171–33180. 2013. View Article : Google Scholar : PubMed/NCBI

38 

Norrback KF, Enblad G, Erlanson M, Sundström C and Roos G: Telomerase activity in Hodgkin's disease. Blood. 92:567–573. 1998.PubMed/NCBI

39 

Armitage JO and Weisenburger DD: New approach to classifying non-Hodgkin's lymphomas: Clinical features of the major histologic subtypes. Non-Hodgkin's lymphoma classification project. J Clin Oncol. 16:2780–2795. 1998.PubMed/NCBI

Related Articles

  • Abstract
  • View
  • Download
  • Twitter
Copy and paste a formatted citation
Spandidos Publications style
Zhang L, Chen Z, Zuo W, Zhu X, Li Y, Liu X and Wei X: Omacetaxine mepesuccinate induces apoptosis and cell cycle arrest, promotes cell differentiation, and reduces telomerase activity in diffuse large B‑cell lymphoma cells. Mol Med Rep 13: 3092-3100, 2016.
APA
Zhang, L., Chen, Z., Zuo, W., Zhu, X., Li, Y., Liu, X., & Wei, X. (2016). Omacetaxine mepesuccinate induces apoptosis and cell cycle arrest, promotes cell differentiation, and reduces telomerase activity in diffuse large B‑cell lymphoma cells. Molecular Medicine Reports, 13, 3092-3100. https://doi.org/10.3892/mmr.2016.4899
MLA
Zhang, L., Chen, Z., Zuo, W., Zhu, X., Li, Y., Liu, X., Wei, X."Omacetaxine mepesuccinate induces apoptosis and cell cycle arrest, promotes cell differentiation, and reduces telomerase activity in diffuse large B‑cell lymphoma cells". Molecular Medicine Reports 13.4 (2016): 3092-3100.
Chicago
Zhang, L., Chen, Z., Zuo, W., Zhu, X., Li, Y., Liu, X., Wei, X."Omacetaxine mepesuccinate induces apoptosis and cell cycle arrest, promotes cell differentiation, and reduces telomerase activity in diffuse large B‑cell lymphoma cells". Molecular Medicine Reports 13, no. 4 (2016): 3092-3100. https://doi.org/10.3892/mmr.2016.4899
Copy and paste a formatted citation
x
Spandidos Publications style
Zhang L, Chen Z, Zuo W, Zhu X, Li Y, Liu X and Wei X: Omacetaxine mepesuccinate induces apoptosis and cell cycle arrest, promotes cell differentiation, and reduces telomerase activity in diffuse large B‑cell lymphoma cells. Mol Med Rep 13: 3092-3100, 2016.
APA
Zhang, L., Chen, Z., Zuo, W., Zhu, X., Li, Y., Liu, X., & Wei, X. (2016). Omacetaxine mepesuccinate induces apoptosis and cell cycle arrest, promotes cell differentiation, and reduces telomerase activity in diffuse large B‑cell lymphoma cells. Molecular Medicine Reports, 13, 3092-3100. https://doi.org/10.3892/mmr.2016.4899
MLA
Zhang, L., Chen, Z., Zuo, W., Zhu, X., Li, Y., Liu, X., Wei, X."Omacetaxine mepesuccinate induces apoptosis and cell cycle arrest, promotes cell differentiation, and reduces telomerase activity in diffuse large B‑cell lymphoma cells". Molecular Medicine Reports 13.4 (2016): 3092-3100.
Chicago
Zhang, L., Chen, Z., Zuo, W., Zhu, X., Li, Y., Liu, X., Wei, X."Omacetaxine mepesuccinate induces apoptosis and cell cycle arrest, promotes cell differentiation, and reduces telomerase activity in diffuse large B‑cell lymphoma cells". Molecular Medicine Reports 13, no. 4 (2016): 3092-3100. https://doi.org/10.3892/mmr.2016.4899
Follow us
  • Twitter
  • LinkedIn
  • Facebook
About
  • Spandidos Publications
  • Careers
  • Cookie Policy
  • Privacy Policy
How can we help?
  • Help
  • Live Chat
  • Contact
  • Email to our Support Team