Spandidos Publications Logo
  • About
    • About Spandidos
    • Aims and Scopes
    • Abstracting and Indexing
    • Editorial Policies
    • Reprints and Permissions
    • Job Opportunities
    • Terms and Conditions
    • Contact
  • Journals
    • All Journals
    • Oncology Letters
      • Oncology Letters
      • Information for Authors
      • Editorial Policies
      • Editorial Board
      • Aims and Scope
      • Abstracting and Indexing
      • Bibliographic Information
      • Archive
    • International Journal of Oncology
      • International Journal of Oncology
      • Information for Authors
      • Editorial Policies
      • Editorial Board
      • Aims and Scope
      • Abstracting and Indexing
      • Bibliographic Information
      • Archive
    • Molecular and Clinical Oncology
      • Molecular and Clinical Oncology
      • Information for Authors
      • Editorial Policies
      • Editorial Board
      • Aims and Scope
      • Abstracting and Indexing
      • Bibliographic Information
      • Archive
    • Experimental and Therapeutic Medicine
      • Experimental and Therapeutic Medicine
      • Information for Authors
      • Editorial Policies
      • Editorial Board
      • Aims and Scope
      • Abstracting and Indexing
      • Bibliographic Information
      • Archive
    • International Journal of Molecular Medicine
      • International Journal of Molecular Medicine
      • Information for Authors
      • Editorial Policies
      • Editorial Board
      • Aims and Scope
      • Abstracting and Indexing
      • Bibliographic Information
      • Archive
    • Biomedical Reports
      • Biomedical Reports
      • Information for Authors
      • Editorial Policies
      • Editorial Board
      • Aims and Scope
      • Abstracting and Indexing
      • Bibliographic Information
      • Archive
    • Oncology Reports
      • Oncology Reports
      • Information for Authors
      • Editorial Policies
      • Editorial Board
      • Aims and Scope
      • Abstracting and Indexing
      • Bibliographic Information
      • Archive
    • Molecular Medicine Reports
      • Molecular Medicine Reports
      • Information for Authors
      • Editorial Policies
      • Editorial Board
      • Aims and Scope
      • Abstracting and Indexing
      • Bibliographic Information
      • Archive
    • World Academy of Sciences Journal
      • World Academy of Sciences Journal
      • Information for Authors
      • Editorial Policies
      • Editorial Board
      • Aims and Scope
      • Abstracting and Indexing
      • Bibliographic Information
      • Archive
    • International Journal of Functional Nutrition
      • International Journal of Functional Nutrition
      • Information for Authors
      • Editorial Policies
      • Editorial Board
      • Aims and Scope
      • Abstracting and Indexing
      • Bibliographic Information
      • Archive
    • International Journal of Epigenetics
      • International Journal of Epigenetics
      • Information for Authors
      • Editorial Policies
      • Editorial Board
      • Aims and Scope
      • Abstracting and Indexing
      • Bibliographic Information
      • Archive
    • Medicine International
      • Medicine International
      • Information for Authors
      • Editorial Policies
      • Editorial Board
      • Aims and Scope
      • Abstracting and Indexing
      • Bibliographic Information
      • Archive
  • Articles
  • Information
    • Information for Authors
    • Information for Reviewers
    • Information for Librarians
    • Information for Advertisers
    • Conferences
  • Language Editing
Spandidos Publications Logo
  • About
    • About Spandidos
    • Aims and Scopes
    • Abstracting and Indexing
    • Editorial Policies
    • Reprints and Permissions
    • Job Opportunities
    • Terms and Conditions
    • Contact
  • Journals
    • All Journals
    • Biomedical Reports
      • Information for Authors
      • Editorial Policies
      • Editorial Board
      • Aims and Scope
      • Abstracting and Indexing
      • Bibliographic Information
      • Archive
    • Experimental and Therapeutic Medicine
      • Information for Authors
      • Editorial Policies
      • Editorial Board
      • Aims and Scope
      • Abstracting and Indexing
      • Bibliographic Information
      • Archive
    • International Journal of Epigenetics
      • Information for Authors
      • Editorial Policies
      • Editorial Board
      • Aims and Scope
      • Abstracting and Indexing
      • Bibliographic Information
      • Archive
    • International Journal of Functional Nutrition
      • Information for Authors
      • Editorial Policies
      • Editorial Board
      • Aims and Scope
      • Abstracting and Indexing
      • Bibliographic Information
      • Archive
    • International Journal of Molecular Medicine
      • Information for Authors
      • Editorial Policies
      • Editorial Board
      • Aims and Scope
      • Abstracting and Indexing
      • Bibliographic Information
      • Archive
    • International Journal of Oncology
      • Information for Authors
      • Editorial Policies
      • Editorial Board
      • Aims and Scope
      • Abstracting and Indexing
      • Bibliographic Information
      • Archive
    • Medicine International
      • Information for Authors
      • Editorial Policies
      • Editorial Board
      • Aims and Scope
      • Abstracting and Indexing
      • Bibliographic Information
      • Archive
    • Molecular and Clinical Oncology
      • Information for Authors
      • Editorial Policies
      • Editorial Board
      • Aims and Scope
      • Abstracting and Indexing
      • Bibliographic Information
      • Archive
    • Molecular Medicine Reports
      • Information for Authors
      • Editorial Policies
      • Editorial Board
      • Aims and Scope
      • Abstracting and Indexing
      • Bibliographic Information
      • Archive
    • Oncology Letters
      • Information for Authors
      • Editorial Policies
      • Editorial Board
      • Aims and Scope
      • Abstracting and Indexing
      • Bibliographic Information
      • Archive
    • Oncology Reports
      • Information for Authors
      • Editorial Policies
      • Editorial Board
      • Aims and Scope
      • Abstracting and Indexing
      • Bibliographic Information
      • Archive
    • World Academy of Sciences Journal
      • Information for Authors
      • Editorial Policies
      • Editorial Board
      • Aims and Scope
      • Abstracting and Indexing
      • Bibliographic Information
      • Archive
  • Articles
  • Information
    • For Authors
    • For Reviewers
    • For Librarians
    • For Advertisers
    • Conferences
  • Language Editing
Login Register Submit
  • This site uses cookies
  • You can change your cookie settings at any time by following the instructions in our Cookie Policy. To find out more, you may read our Privacy Policy.

    I agree
Search articles by DOI, keyword, author or affiliation
Search
Advanced Search
presentation
Molecular Medicine Reports
Join Editorial Board Propose a Special Issue
Print ISSN: 1791-2997 Online ISSN: 1791-3004
Journal Cover
June-2016 Volume 13 Issue 6

Full Size Image

Sign up for eToc alerts
Recommend to Library

Journals

International Journal of Molecular Medicine

International Journal of Molecular Medicine

International Journal of Molecular Medicine is an international journal devoted to molecular mechanisms of human disease.

International Journal of Oncology

International Journal of Oncology

International Journal of Oncology is an international journal devoted to oncology research and cancer treatment.

Molecular Medicine Reports

Molecular Medicine Reports

Covers molecular medicine topics such as pharmacology, pathology, genetics, neuroscience, infectious diseases, molecular cardiology, and molecular surgery.

Oncology Reports

Oncology Reports

Oncology Reports is an international journal devoted to fundamental and applied research in Oncology.

Experimental and Therapeutic Medicine

Experimental and Therapeutic Medicine

Experimental and Therapeutic Medicine is an international journal devoted to laboratory and clinical medicine.

Oncology Letters

Oncology Letters

Oncology Letters is an international journal devoted to Experimental and Clinical Oncology.

Biomedical Reports

Biomedical Reports

Explores a wide range of biological and medical fields, including pharmacology, genetics, microbiology, neuroscience, and molecular cardiology.

Molecular and Clinical Oncology

Molecular and Clinical Oncology

International journal addressing all aspects of oncology research, from tumorigenesis and oncogenes to chemotherapy and metastasis.

World Academy of Sciences Journal

World Academy of Sciences Journal

Multidisciplinary open-access journal spanning biochemistry, genetics, neuroscience, environmental health, and synthetic biology.

International Journal of Functional Nutrition

International Journal of Functional Nutrition

Open-access journal combining biochemistry, pharmacology, immunology, and genetics to advance health through functional nutrition.

International Journal of Epigenetics

International Journal of Epigenetics

Publishes open-access research on using epigenetics to advance understanding and treatment of human disease.

Medicine International

Medicine International

An International Open Access Journal Devoted to General Medicine.

Journal Cover
June-2016 Volume 13 Issue 6

Full Size Image

Sign up for eToc alerts
Recommend to Library

  • Article
  • Citations
    • Cite This Article
    • Download Citation
    • Create Citation Alert
    • Remove Citation Alert
    • Cited By
  • Similar Articles
    • Related Articles (in Spandidos Publications)
    • Similar Articles (Google Scholar)
    • Similar Articles (PubMed)
  • Download PDF
  • Download XML
  • View XML
Article Open Access

Simvastatin ameliorates ventricular remodeling via the TGF‑β1 signaling pathway in rats following myocardial infarction

  • Authors:
    • Xiangbin Xiao
    • Guanglei Chang
    • Jian Liu
    • Guangyun Sun
    • Li Liu
    • Shu Qin
    • Dongying Zhang
  • View Affiliations / Copyright

    Affiliations: Department of Cardiology, The First Affiliated Hospital of Chongqing Medical University, Chongqing 400016, P.R. China, Department of Cardiology, The Second People's Hospital of Yibin, Yibin, Sichuan 644000, P.R. China
    Copyright: © Xiao et al. This is an open access article distributed under the terms of Creative Commons Attribution License.
  • Pages: 5093-5101
    |
    Published online on: April 25, 2016
       https://doi.org/10.3892/mmr.2016.5178
  • Expand metrics +
Metrics: Total Views: 0 (Spandidos Publications: | PMC Statistics: )
Metrics: Total PDF Downloads: 0 (Spandidos Publications: | PMC Statistics: )
Cited By (CrossRef): 0 citations Loading Articles...

This article is mentioned in:



Abstract

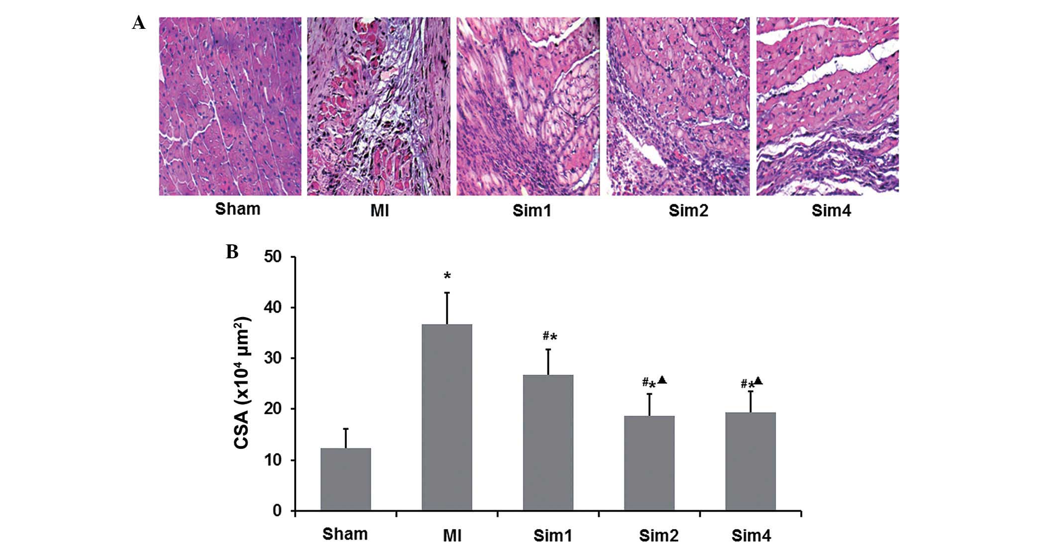
Statins are widely used in patients with cardiovascular diseases. A considerable number of previous studies revealed that the intracellular signaling of transforming growth factor (TGF)‑β1 mediated the development of cardiomyocyte hypertrophy and interstitial fibrosis. However, whether statins can ameliorate ventricular remodeling in post‑myocardial infarction via the TGF‑β1 signaling pathway remains to be rigorously tested. The left anterior descending artery was ligated to induce a rat model of myocardial infarction. The rat model of myocardial infarction was treated with simvastatin through gastric gavage (10, 20 or 40 mg kg‑1·d‑1). All rats were sacrificed on day 28 after the myocardial infarction operation. The results revealed that simvastatin significantly improved the hemodynamic indexes, left ventricular mass index, the myocardial tissue structure, the cardiomyocyte cross‑sectional area and the collagen volume fraction, and also showed that the levels of TGF‑β1, TGF‑activated kinase (TAK)1 and drosophila mothers against decapentaplegic (Smad)3 were significantly reduced following treatment with simvastatin, while the levels of Smad7 in the simvastatin treatment groups were markedly increased. The results of the present study suggested that statins ameliorated ventricular remodeling in post‑myocardial infarction rats via the TGF‑β1 signaling pathway, which provided a novel explanation for the pleiotropic effects of statins that benefit the cardiovascular system.
View Figures

Figure 1

Figure 2

Figure 3

Figure 4

Figure 5

Figure 6

Figure 7

View References

1 

Wassmann S, Laufs U, Bäumer AT, Müller K, Ahlbory K, Linz W, Itter G, Rösen R, Böhm M and Nickenig G: HMG-CoA reductase inhibitors improve endothelial dysfunction in normocholesterolemic hypertension via reduced production of reactive oxygen species. Hypertension. 37:1450–1457. 2001. View Article : Google Scholar : PubMed/NCBI

2 

Stumpf C, Petzi S, Seybold K, Wasmeier G, Arnold M, Raaz D, Yilmaz A, Daniel WG and Garlichs CD: Atorvastatin enhances interleukin-10 levels and improves cardiac function in rats after acute myocardial infarction. Clin Sci (Lond). 116:45–52. 2009. View Article : Google Scholar

3 

Porter KE and Turner NA: Statins and myocardial remodelling: Cell and molecular pathways. Expert Rev Mol Med. 13:e222011. View Article : Google Scholar : PubMed/NCBI

4 

Correale M, Abruzzese S, Greco CA, Concilio M, Biase MD and Brunetti ND: Pleiotropic effects of statin in therapy in heart failure: A review. Curr Vasc Pharmacol. 12:873–884. 2014. View Article : Google Scholar : PubMed/NCBI

5 

Bonifacio A, Mullen PJ, Mityko IS, Navegantes LC, Bouitbir J and Krähenbühl S: Simvastatin induces mitochondrial dysfunction and increased atrogin-1 expression in H9c2 cardiomyocytes and mice in vivo. Arch Toxicol. 2014.Epub ahead of print. PubMed/NCBI

6 

Node K, Fujita M, Kitakaze M, Hori M and Liao JK: Short-term statin therapy improves cardiac function and symptoms in patients with idiopathic dilated cardiomyopathy. Circulation. 108:839–843. 2003. View Article : Google Scholar : PubMed/NCBI

7 

Horwich TB, MacLellan WR and Fonarow GC: Statin therapy is associated with improved survival in ischemic and non-ischemic heart failure. J Am Coll Cardio. 43:642–648. 2004. View Article : Google Scholar

8 

Li L, Chen Y, Doan J, Murray J, Molkentin JD and Liu Q: Transforming growth factor β-activated kinase 1 signaling pathway critically regulates myocardial survival and remodeling. Circulation. 130:2162–2172. 2014. View Article : Google Scholar : PubMed/NCBI

9 

Wang BW, Wu GJ, Cheng WP and Shyu KG: Mechanical stretch via transforming growth factor-β1 activates microRNA-208a to regulate hypertrophy in cultured rat cardiac myocytes. J Formos Med Assoc. 112:635–643. 2013. View Article : Google Scholar : PubMed/NCBI

10 

Shi Y and Massagué J: Mechanisms of TGF-beta signaling from cell membrane to the nucleus. Cell. 113:685–700. 2003. View Article : Google Scholar : PubMed/NCBI

11 

Ding YF, Peng YR, Li J, Shen H, Shen MQ and Fang TH: Gualou xiebai decoction prevents myocardial fibrosis by blocking TGF-beta/Smad signalling. J Pharm Pharmacol. 65:1373–1381. 2013. View Article : Google Scholar : PubMed/NCBI

12 

Zhang HY, Chu JF, Li P, Li N and Lv ZH: Expression and diagnosis of transient receptor potential vanilloid1 in urothelium of patients with overactive bladder. J Biol Regul Homeost Agents. 29:875–879. 2015.

13 

Guo Y, Shi DZ, Yin HJ and Chen KJ: Effects of tribuli saponins on ventricular remodeling after myocardial infarction in hyper-lipidemic rats. Am J Chin Med. 35:309–316. 2007. View Article : Google Scholar

14 

Nishikawa H, Miura S, Zhang B, Shimomura H, Arai H, Tsuchiya Y, Matsuo K and Saku K: Statins induce the regression of left ventricular mass in patients with angina. Circ J. 68:12l–125. 2004. View Article : Google Scholar

15 

Li TS, Takahashi M, Suzuki R, Kobayashi T, Ito H, Mikamo A and Hamano K: Pravastatin improves remodeling and cardiac function after myocardial infarction by an antiinflammatory mechanism rather than by the induction of angiogenesis. Ann Thorac Surg. 81:2217–2225. 2006. View Article : Google Scholar : PubMed/NCBI

16 

Martin J, Denver R, Bailey M and Krum H: In vitro inhibitory effects of atorvastatin on cardiac fibroblasts: Implications for ventricular remodeling. Clin Exp Pharmacol Physiol. 32:697–701. 2005. View Article : Google Scholar : PubMed/NCBI

17 

Zhang DY, Qin S, Tang XJ and Yang H: Effect of simvastatin on left ventricular remodeling and heart function in rats with myocardial infarction. Chin Pharmacol Bull. 22:814–818. 2006.

18 

Bauersachs J, Galuppo P, Fraccarollo D, Christ M and Ertl G: Improvement of left ventricular remodeling and function by hydroxymethylglutaryl coenzyme a reductase inhibition with cerivastatin in rats with heart failure after myocardial infarction. Circulation. 104:982–985. 2001. View Article : Google Scholar : PubMed/NCBI

19 

Zhang J, Cheng X, Liao YH, Lu B, Yang Y, Li B, Ge H, Wang M, Liu Y, Guo Z and Zhang L: Simvastatin regulates myocardial cytokine expression and improves ventricular remodeling in rats after acute myocardial infarction. Cardiovasc Drugs Ther. 19:13–21. 2005. View Article : Google Scholar : PubMed/NCBI

20 

Flanders KC: Smad3 as a mediator of the fibrotic response. Int J Exp Pathol. 85:47–64. 2004. View Article : Google Scholar : PubMed/NCBI

21 

Matsumoto-Ida M, Takimoto Y, Aoyama T, Akao M, Takeda T and Kita T: Activation of TGF-beta1-TAK1-p38 MAPK pathway in spared cardiomyocytes is involved in left ventricular remodeling after myocardial infarction in rats. Am J Physiol Heart Circ Physiol. 290:H709–H715. 2006. View Article : Google Scholar

22 

Jinnin M, Ihn H and Tamaki K: Characterization of SIS3, a novel specific inhibitor of smad3 and its effect on transforming growth factor-beta1-induced extracellular matrix expression. Mol Pharmacol. 69:597–607. 2006. View Article : Google Scholar

23 

Johnson C, Waters DD, DeMicco DA, Breazna A, Bittner V, Greten H, Grundy SM and LaRosa JC: Comparison of effectiveness of atorvastatin 10 mg versus 80 mg in reducing major cardiovascular events and repeat revascularization in patients with previous percutaneous coronary intervention (post hoc analysis of the Treating to New Targets [TNT] Study). Am J Cardiol. 102:1312–1317. 2008. View Article : Google Scholar : PubMed/NCBI

24 

Reddy G and Bittner V: LDL lowering after acute coronary syndrome: Is lower better? Curr Treat Options Cardiovasc Med. 15:33–40. 2013. View Article : Google Scholar

25 

Colivicchi F, Tubaro M and Santini M: Clinical implications of switching from intensive to moderate statin therapy after acute coronary syndromes. Int J Cardiol. 152:56–60. 2011. View Article : Google Scholar

26 

Shepherd J, Kastelein JJ, Bittner V, Deedwania P, Breazna A, Dobson S, Wilson DJ, Zuckerman A and Wenger NK: TNT (Treating to New Targets) Investigators. Intensive lipid lowering with atorvastatin in patients with coronary heart disease and chronic kidney disease: The TNT (Treating to New Targets) study. J Am Coll Cardiol. 51:1448–1454. 2008. View Article : Google Scholar : PubMed/NCBI

27 

Apiyasawat S, Sritara P, Ngarmukos T, Sriratanasathavorn C and Kasemsuwan P: Association of statin therapy with ventricular arrhythmias among patients with acute coronary syndrome. Heart Asia. 5:39–41. 2013. View Article : Google Scholar : PubMed/NCBI

Related Articles

  • Abstract
  • View
  • Download
  • Twitter
Copy and paste a formatted citation
Spandidos Publications style
Xiao X, Chang G, Liu J, Sun G, Liu L, Qin S and Zhang D: Simvastatin ameliorates ventricular remodeling via the TGF‑β1 signaling pathway in rats following myocardial infarction. Mol Med Rep 13: 5093-5101, 2016.
APA
Xiao, X., Chang, G., Liu, J., Sun, G., Liu, L., Qin, S., & Zhang, D. (2016). Simvastatin ameliorates ventricular remodeling via the TGF‑β1 signaling pathway in rats following myocardial infarction. Molecular Medicine Reports, 13, 5093-5101. https://doi.org/10.3892/mmr.2016.5178
MLA
Xiao, X., Chang, G., Liu, J., Sun, G., Liu, L., Qin, S., Zhang, D."Simvastatin ameliorates ventricular remodeling via the TGF‑β1 signaling pathway in rats following myocardial infarction". Molecular Medicine Reports 13.6 (2016): 5093-5101.
Chicago
Xiao, X., Chang, G., Liu, J., Sun, G., Liu, L., Qin, S., Zhang, D."Simvastatin ameliorates ventricular remodeling via the TGF‑β1 signaling pathway in rats following myocardial infarction". Molecular Medicine Reports 13, no. 6 (2016): 5093-5101. https://doi.org/10.3892/mmr.2016.5178
Copy and paste a formatted citation
x
Spandidos Publications style
Xiao X, Chang G, Liu J, Sun G, Liu L, Qin S and Zhang D: Simvastatin ameliorates ventricular remodeling via the TGF‑β1 signaling pathway in rats following myocardial infarction. Mol Med Rep 13: 5093-5101, 2016.
APA
Xiao, X., Chang, G., Liu, J., Sun, G., Liu, L., Qin, S., & Zhang, D. (2016). Simvastatin ameliorates ventricular remodeling via the TGF‑β1 signaling pathway in rats following myocardial infarction. Molecular Medicine Reports, 13, 5093-5101. https://doi.org/10.3892/mmr.2016.5178
MLA
Xiao, X., Chang, G., Liu, J., Sun, G., Liu, L., Qin, S., Zhang, D."Simvastatin ameliorates ventricular remodeling via the TGF‑β1 signaling pathway in rats following myocardial infarction". Molecular Medicine Reports 13.6 (2016): 5093-5101.
Chicago
Xiao, X., Chang, G., Liu, J., Sun, G., Liu, L., Qin, S., Zhang, D."Simvastatin ameliorates ventricular remodeling via the TGF‑β1 signaling pathway in rats following myocardial infarction". Molecular Medicine Reports 13, no. 6 (2016): 5093-5101. https://doi.org/10.3892/mmr.2016.5178
Follow us
  • Twitter
  • LinkedIn
  • Facebook
About
  • Spandidos Publications
  • Careers
  • Cookie Policy
  • Privacy Policy
How can we help?
  • Help
  • Live Chat
  • Contact
  • Email to our Support Team