Spandidos Publications Logo
  • About
    • About Spandidos
    • Aims and Scopes
    • Abstracting and Indexing
    • Editorial Policies
    • Reprints and Permissions
    • Job Opportunities
    • Terms and Conditions
    • Contact
  • Journals
    • All Journals
    • Oncology Letters
      • Oncology Letters
      • Information for Authors
      • Editorial Policies
      • Editorial Board
      • Aims and Scope
      • Abstracting and Indexing
      • Bibliographic Information
      • Archive
    • International Journal of Oncology
      • International Journal of Oncology
      • Information for Authors
      • Editorial Policies
      • Editorial Board
      • Aims and Scope
      • Abstracting and Indexing
      • Bibliographic Information
      • Archive
    • Molecular and Clinical Oncology
      • Molecular and Clinical Oncology
      • Information for Authors
      • Editorial Policies
      • Editorial Board
      • Aims and Scope
      • Abstracting and Indexing
      • Bibliographic Information
      • Archive
    • Experimental and Therapeutic Medicine
      • Experimental and Therapeutic Medicine
      • Information for Authors
      • Editorial Policies
      • Editorial Board
      • Aims and Scope
      • Abstracting and Indexing
      • Bibliographic Information
      • Archive
    • International Journal of Molecular Medicine
      • International Journal of Molecular Medicine
      • Information for Authors
      • Editorial Policies
      • Editorial Board
      • Aims and Scope
      • Abstracting and Indexing
      • Bibliographic Information
      • Archive
    • Biomedical Reports
      • Biomedical Reports
      • Information for Authors
      • Editorial Policies
      • Editorial Board
      • Aims and Scope
      • Abstracting and Indexing
      • Bibliographic Information
      • Archive
    • Oncology Reports
      • Oncology Reports
      • Information for Authors
      • Editorial Policies
      • Editorial Board
      • Aims and Scope
      • Abstracting and Indexing
      • Bibliographic Information
      • Archive
    • Molecular Medicine Reports
      • Molecular Medicine Reports
      • Information for Authors
      • Editorial Policies
      • Editorial Board
      • Aims and Scope
      • Abstracting and Indexing
      • Bibliographic Information
      • Archive
    • World Academy of Sciences Journal
      • World Academy of Sciences Journal
      • Information for Authors
      • Editorial Policies
      • Editorial Board
      • Aims and Scope
      • Abstracting and Indexing
      • Bibliographic Information
      • Archive
    • International Journal of Functional Nutrition
      • International Journal of Functional Nutrition
      • Information for Authors
      • Editorial Policies
      • Editorial Board
      • Aims and Scope
      • Abstracting and Indexing
      • Bibliographic Information
      • Archive
    • International Journal of Epigenetics
      • International Journal of Epigenetics
      • Information for Authors
      • Editorial Policies
      • Editorial Board
      • Aims and Scope
      • Abstracting and Indexing
      • Bibliographic Information
      • Archive
    • Medicine International
      • Medicine International
      • Information for Authors
      • Editorial Policies
      • Editorial Board
      • Aims and Scope
      • Abstracting and Indexing
      • Bibliographic Information
      • Archive
  • Articles
  • Information
    • Information for Authors
    • Information for Reviewers
    • Information for Librarians
    • Information for Advertisers
    • Conferences
  • Language Editing
Spandidos Publications Logo
  • About
    • About Spandidos
    • Aims and Scopes
    • Abstracting and Indexing
    • Editorial Policies
    • Reprints and Permissions
    • Job Opportunities
    • Terms and Conditions
    • Contact
  • Journals
    • All Journals
    • Biomedical Reports
      • Information for Authors
      • Editorial Policies
      • Editorial Board
      • Aims and Scope
      • Abstracting and Indexing
      • Bibliographic Information
      • Archive
    • Experimental and Therapeutic Medicine
      • Information for Authors
      • Editorial Policies
      • Editorial Board
      • Aims and Scope
      • Abstracting and Indexing
      • Bibliographic Information
      • Archive
    • International Journal of Epigenetics
      • Information for Authors
      • Editorial Policies
      • Editorial Board
      • Aims and Scope
      • Abstracting and Indexing
      • Bibliographic Information
      • Archive
    • International Journal of Functional Nutrition
      • Information for Authors
      • Editorial Policies
      • Editorial Board
      • Aims and Scope
      • Abstracting and Indexing
      • Bibliographic Information
      • Archive
    • International Journal of Molecular Medicine
      • Information for Authors
      • Editorial Policies
      • Editorial Board
      • Aims and Scope
      • Abstracting and Indexing
      • Bibliographic Information
      • Archive
    • International Journal of Oncology
      • Information for Authors
      • Editorial Policies
      • Editorial Board
      • Aims and Scope
      • Abstracting and Indexing
      • Bibliographic Information
      • Archive
    • Medicine International
      • Information for Authors
      • Editorial Policies
      • Editorial Board
      • Aims and Scope
      • Abstracting and Indexing
      • Bibliographic Information
      • Archive
    • Molecular and Clinical Oncology
      • Information for Authors
      • Editorial Policies
      • Editorial Board
      • Aims and Scope
      • Abstracting and Indexing
      • Bibliographic Information
      • Archive
    • Molecular Medicine Reports
      • Information for Authors
      • Editorial Policies
      • Editorial Board
      • Aims and Scope
      • Abstracting and Indexing
      • Bibliographic Information
      • Archive
    • Oncology Letters
      • Information for Authors
      • Editorial Policies
      • Editorial Board
      • Aims and Scope
      • Abstracting and Indexing
      • Bibliographic Information
      • Archive
    • Oncology Reports
      • Information for Authors
      • Editorial Policies
      • Editorial Board
      • Aims and Scope
      • Abstracting and Indexing
      • Bibliographic Information
      • Archive
    • World Academy of Sciences Journal
      • Information for Authors
      • Editorial Policies
      • Editorial Board
      • Aims and Scope
      • Abstracting and Indexing
      • Bibliographic Information
      • Archive
  • Articles
  • Information
    • For Authors
    • For Reviewers
    • For Librarians
    • For Advertisers
    • Conferences
  • Language Editing
Login Register Submit
  • This site uses cookies
  • You can change your cookie settings at any time by following the instructions in our Cookie Policy. To find out more, you may read our Privacy Policy.

    I agree
Search articles by DOI, keyword, author or affiliation
Search
Advanced Search
presentation
Molecular Medicine Reports
Join Editorial Board Propose a Special Issue
Print ISSN: 1791-2997 Online ISSN: 1791-3004
Journal Cover
July-2018 Volume 18 Issue 1

Full Size Image

Sign up for eToc alerts
Recommend to Library

Journals

International Journal of Molecular Medicine

International Journal of Molecular Medicine

International Journal of Molecular Medicine is an international journal devoted to molecular mechanisms of human disease.

International Journal of Oncology

International Journal of Oncology

International Journal of Oncology is an international journal devoted to oncology research and cancer treatment.

Molecular Medicine Reports

Molecular Medicine Reports

Covers molecular medicine topics such as pharmacology, pathology, genetics, neuroscience, infectious diseases, molecular cardiology, and molecular surgery.

Oncology Reports

Oncology Reports

Oncology Reports is an international journal devoted to fundamental and applied research in Oncology.

Experimental and Therapeutic Medicine

Experimental and Therapeutic Medicine

Experimental and Therapeutic Medicine is an international journal devoted to laboratory and clinical medicine.

Oncology Letters

Oncology Letters

Oncology Letters is an international journal devoted to Experimental and Clinical Oncology.

Biomedical Reports

Biomedical Reports

Explores a wide range of biological and medical fields, including pharmacology, genetics, microbiology, neuroscience, and molecular cardiology.

Molecular and Clinical Oncology

Molecular and Clinical Oncology

International journal addressing all aspects of oncology research, from tumorigenesis and oncogenes to chemotherapy and metastasis.

World Academy of Sciences Journal

World Academy of Sciences Journal

Multidisciplinary open-access journal spanning biochemistry, genetics, neuroscience, environmental health, and synthetic biology.

International Journal of Functional Nutrition

International Journal of Functional Nutrition

Open-access journal combining biochemistry, pharmacology, immunology, and genetics to advance health through functional nutrition.

International Journal of Epigenetics

International Journal of Epigenetics

Publishes open-access research on using epigenetics to advance understanding and treatment of human disease.

Medicine International

Medicine International

An International Open Access Journal Devoted to General Medicine.

Journal Cover
July-2018 Volume 18 Issue 1

Full Size Image

Sign up for eToc alerts
Recommend to Library

  • Article
  • Citations
    • Cite This Article
    • Download Citation
    • Create Citation Alert
    • Remove Citation Alert
    • Cited By
  • Similar Articles
    • Related Articles (in Spandidos Publications)
    • Similar Articles (Google Scholar)
    • Similar Articles (PubMed)
  • Download PDF
  • Download XML
  • View XML
Article

Identification of a mutL‑homolog 1 mutation via whole‑exome sequencing in a Chinese family with Gardner syndrome

  • Authors:
    • Zilan Lv
    • Chuan Wang
    • Lixiang Wu
    • Bianqin Guo
    • Darong Zhang
    • Yang Zhang
    • Shengxing Huang
    • Minglin Ou
  • View Affiliations / Copyright

    Affiliations: Department of Laboratory Medicine, Chongqing University Cancer Hospital and Chongqing Cancer Institute and Chongqing Cancer Hospital, Chongqing 400030, P.R. China, Department of Gastroenterology, Chongqing General Hospital, Chongqing 400014, P.R. China, Medical Center of Stomatology, The Second Clinical Medical College, Jinan University, Shenzhen People's Hospital, Shenzhen, Guangdong 518020, P.R. China, Clinical Medical Research Center, The Second Clinical Medical College, Jinan University, Shenzhen People's Hospital, Shenzhen, Guangdong 518020, P.R. China
  • Pages: 987-992
    |
    Published online on: May 23, 2018
       https://doi.org/10.3892/mmr.2018.9063
  • Expand metrics +
Metrics: Total Views: 0 (Spandidos Publications: | PMC Statistics: )
Metrics: Total PDF Downloads: 0 (Spandidos Publications: | PMC Statistics: )
Cited By (CrossRef): 0 citations Loading Articles...

This article is mentioned in:



Abstract

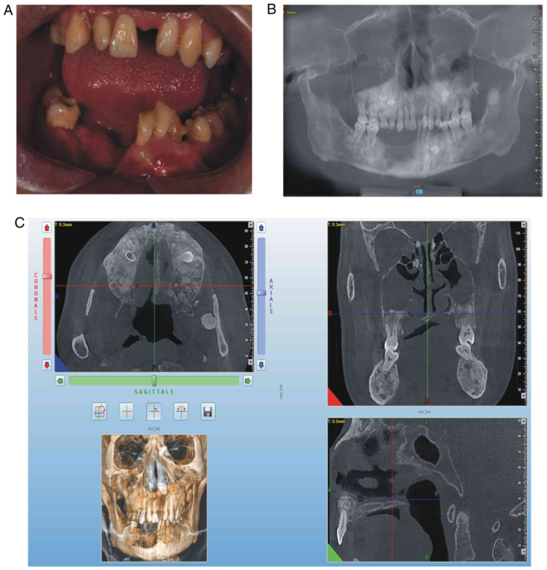
Gardner syndrome (GS), a variant of familial adenomatous polyposis, is a rare genetic disorder with autosomal dominant inheritance, characterized by the presence of multiple intestinal polyps, multiple osteomas, dental abnormalities and soft tissue tumors. To date, only a few gene mutations have been demonstrated to be responsible for GS. To explore potential unknown mutations responsible for GS, the present study used whole‑exome sequencing of two affected individuals from a family with GS to identify a candidate mutation in mutL‑homolog (MLH)1. The two patients with GS were diagnosed based on a combination of clinical features, family history, physical examinations and cone‑beam computed tomographic imaging. Through whole‑genome sequencing, the present study subsequently identified a missense mutation in MLH1 (NM_000249.3:p.Tyr379Ser/c.1136A>C), which was further confirmed by Sanger sequencing. Furthermore, the amino acid residue p.Tyr379 was identified to be highly conserved among different species through sequence alignment with ClustalW2. In conclusion, the results identified for the first time a MLH1 missense mutation (NM_000249.3:​p.Tyr379Ser/c.1136A>C) in a Chinese family with GS, thus broadening the range of mutated genes associated with GS. This highlights the value of whole‑exome sequencing in identifying disease mutations in a family.
View Figures

Figure 1

Figure 2

Figure 3

Figure 4

Figure 5

View References

1 

Cankaya AB, Erdem MA, Isler SC, Cifter M, Olgac V, Kasapoglu C and Oral CK: Oral and maxillofacial considerations in Gardner's Syndrome. Int J Med Sci. 9:137–141. 2012. View Article : Google Scholar : PubMed/NCBI

2 

Ramaglia L, Morgese F, Filippella M and Colao A: Oral and maxillofacial manifestations of Gardner's syndrome associated with growth hormone deficiency: Case report and literature review. Oral Surg Oral Med Oral Pathol Oral Radiol Endod. 103:e30–e34. 2007. View Article : Google Scholar : PubMed/NCBI

3 

Ponti G, Tomasi A, Manfredini M and Pellacani G: Oral mucosal stigmata in hereditary-cancer syndromes: From germline mutations to distinctive clinical phenotypes and tailored therapies. Gene. 582:23–32. 2016. View Article : Google Scholar : PubMed/NCBI

4 

Klein OD, Oberoi S, Huysseune A, Hovorakova M, Peterka M and Peterkova R: Developmental disorders of the dentition: An update. Am J Med Genet C Semin Med Genet. 163C:318–332. 2013. View Article : Google Scholar : PubMed/NCBI

5 

Singh K, Singh A, Kumar P and Gupta N: Prosthodontic management of a patient with Gardner's syndrome: A clinical case report. Dent Res J (Isfahan). 11:276–280. 2014.PubMed/NCBI

6 

Madani M and Madani F: Gardner's syndrome presenting with dental complaints. Arch Iran Med. 10:535–539. 2007.PubMed/NCBI

7 

Aretz S: The differential diagnosis and surveillance of hereditary gastrointestinal polyposis syndromes. Dtsch Arztebl Int. 107:163–173. 2010.PubMed/NCBI

8 

Davies DR, Armstrong JG, Thakker N, Horner K, Guy SP, Clancy T, Sloan P, Blair V, Dodd C, Warnes TW, et al: Severe Gardner syndrome in families with mutations restricted to a specific region of the APC gene. Am J Hum Genet. 57:1151–1158. 1995.PubMed/NCBI

9 

Juhn E and Khachemoune A: Gardner syndrome: Skin manifestations, differential diagnosis and management. Am J Clin Dermatol. 11:117–122. 2010. View Article : Google Scholar : PubMed/NCBI

10 

Gu GL, Wang SL, Wei XM and Bai L: Diagnosis and treatment of Gardner syndrome with gastric polyposis: A case report and review of the literature. World J Gastroenterol. 14:2121–2123. 2008. View Article : Google Scholar : PubMed/NCBI

11 

Yang Y, Muzny DM, Reid JG, Bainbridge MN, Willis A, Ward PA, Braxton A, Beuten J, Xia F, Niu Z, et al: Clinical whole-exome sequencing for the diagnosis of mendelian disorders. N Engl J Med. 369:1502–1511. 2013. View Article : Google Scholar : PubMed/NCBI

12 

Bamshad MJ, Ng SB, Bigham AW, Tabor HK, Emond MJ, Nickerson DA and Shendure J: Exome sequencing as a tool for Mendelian disease gene discovery. Nat Rev Genet. 12:745–755. 2011. View Article : Google Scholar : PubMed/NCBI

13 

Li H and Durbin R: Fast and accurate long-read alignment with Burrows-Wheeler transform. Bioinformatics. 26:589–595. 2010. View Article : Google Scholar : PubMed/NCBI

14 

Li H and Durbin R: Fast and accurate short read alignment with Burrows-Wheeler transform. Bioinformatics. 25:1754–1760. 2010. View Article : Google Scholar

15 

DePristo MA, Banks E, Poplin R, Garimella KV, Maguire JR, Hartl C, Philippakis AA, del Angel G, Rivas MA, Hanna M, et al: A framework for variation discovery and genotyping using next-generation DNA sequencing data. Nat Genet. 43:491–498. 2011. View Article : Google Scholar : PubMed/NCBI

16 

Mckenna A, Hanna M, Banks E, Sivachenko A, Cibulskis K, Kernytsky A, Garimella K, Altshuler D, Gabriel S, Daly M and DePristo MA: The Genome Analysis Toolkit: a MapReduce framework for analyzing next-generation DNA sequencing data. Genome Res. 20:1297–1303. 2010. View Article : Google Scholar : PubMed/NCBI

17 

Ng PC and Henikoff S: SIFT: Predicting amino acid changes that affect protein function. Nucleic Acids Res. 31:3812–3814. 2003. View Article : Google Scholar : PubMed/NCBI

18 

Basaran G and Erkan M: One of the rarest syndromes in dentistry: Gardner syndrome. Eur J Dent. 2:208–212. 2008.PubMed/NCBI

19 

Jaiswal AS, Balusu R and Narayan S: Involvement of adenomatous polyposis coli in colorectal tumorigenesis. Front Biosci. 10:1118–1134. 2005. View Article : Google Scholar : PubMed/NCBI

20 

Chung J, Namkoong S, Jung KE, Park JW, Park BC, Cinn YW and Kim MH: A case of gardner's syndrome associated with desmoid tumor. Ann Dermatol. 22:418–421. 2010. View Article : Google Scholar : PubMed/NCBI

21 

Fotiadis C, Tsekouras DK, Antonakis P, Sfiniadakis J, Genetzakis M and Zografos GC: Gardner's syndrome: A case report and review of the literature. World J Gastroenterol. 11:5408–5411. 2005. View Article : Google Scholar : PubMed/NCBI

22 

Herford AS, Stoffella E and Tandon R: Osteomas involving the facial skeleton: A report of 2 cases and review of the literature. Oral Surg Oral Med Oral Pathol Oral Radiol. 115:e1–e6. 2013. View Article : Google Scholar : PubMed/NCBI

23 

Lu Y, Wajapeyee N, Turker MS and Glazer PM: Silencing of the DNA mismatch repair gene MLH1 induced by hypoxic stress in a pathway dependent on the histone demethylase LSD1. Cell Rep. 8:501–513. 2014. View Article : Google Scholar : PubMed/NCBI

24 

Kadyrova LY and Kadyrov FA: Endonuclease activities of MutLα and its homologs in DNA mismatch repair. DNA Repair (Amst). 38:42–49. 2016. View Article : Google Scholar : PubMed/NCBI

25 

Bronner CE, Baker SM, Morrison PT, Warren G, Smith LG, Lescoe MK, Kane M, Earabino C, Lipford J and Lindblom A: Mutation in the DNA mismatch repair gene homologue hMLH1 is associated with hereditary non-polyposis colon cancer. Nature. 368:258–261. 1994. View Article : Google Scholar : PubMed/NCBI

26 

Ryan E, Sheahan K, Creavin B, Mohan HM and Winter DC: The current value of determining the mismatch repair status of colorectal cancer: A rationale for routine testing. Crit Rev Oncol Hematol. 116:38–57. 2017. View Article : Google Scholar : PubMed/NCBI

27 

Hinrichsen I, Ernst BP, Nuber F, Passmann S, Schäfer D, Steinke V, Friedrichs N, Plotz G, Zeuzem S and Brieger A: Reduced migration of MLH1 deficient colon cancer cells depends on SPTAN1. Mol Cancer. 13:112014. View Article : Google Scholar : PubMed/NCBI

28 

Cruz-Correa M, Pérez-Mayoral J, Dutil J, Echenique M, Mosquera R, Rivera-Román K, Umpierre S, Rodriguez-Quilichini S, Gonzalez-Pons M, Olivera MI, et al: Hereditary cancer syndromes in Latino populations: Genetic characterization and surveillance guidelines. Hered Cancer Clin Pract. 15:32017. View Article : Google Scholar : PubMed/NCBI

Related Articles

  • Abstract
  • View
  • Download
  • Twitter
Copy and paste a formatted citation
Spandidos Publications style
Lv Z, Wang C, Wu L, Guo B, Zhang D, Zhang Y, Huang S and Ou M: Identification of a mutL‑homolog 1 mutation via whole‑exome sequencing in a Chinese family with Gardner syndrome. Mol Med Rep 18: 987-992, 2018.
APA
Lv, Z., Wang, C., Wu, L., Guo, B., Zhang, D., Zhang, Y. ... Ou, M. (2018). Identification of a mutL‑homolog 1 mutation via whole‑exome sequencing in a Chinese family with Gardner syndrome. Molecular Medicine Reports, 18, 987-992. https://doi.org/10.3892/mmr.2018.9063
MLA
Lv, Z., Wang, C., Wu, L., Guo, B., Zhang, D., Zhang, Y., Huang, S., Ou, M."Identification of a mutL‑homolog 1 mutation via whole‑exome sequencing in a Chinese family with Gardner syndrome". Molecular Medicine Reports 18.1 (2018): 987-992.
Chicago
Lv, Z., Wang, C., Wu, L., Guo, B., Zhang, D., Zhang, Y., Huang, S., Ou, M."Identification of a mutL‑homolog 1 mutation via whole‑exome sequencing in a Chinese family with Gardner syndrome". Molecular Medicine Reports 18, no. 1 (2018): 987-992. https://doi.org/10.3892/mmr.2018.9063
Copy and paste a formatted citation
x
Spandidos Publications style
Lv Z, Wang C, Wu L, Guo B, Zhang D, Zhang Y, Huang S and Ou M: Identification of a mutL‑homolog 1 mutation via whole‑exome sequencing in a Chinese family with Gardner syndrome. Mol Med Rep 18: 987-992, 2018.
APA
Lv, Z., Wang, C., Wu, L., Guo, B., Zhang, D., Zhang, Y. ... Ou, M. (2018). Identification of a mutL‑homolog 1 mutation via whole‑exome sequencing in a Chinese family with Gardner syndrome. Molecular Medicine Reports, 18, 987-992. https://doi.org/10.3892/mmr.2018.9063
MLA
Lv, Z., Wang, C., Wu, L., Guo, B., Zhang, D., Zhang, Y., Huang, S., Ou, M."Identification of a mutL‑homolog 1 mutation via whole‑exome sequencing in a Chinese family with Gardner syndrome". Molecular Medicine Reports 18.1 (2018): 987-992.
Chicago
Lv, Z., Wang, C., Wu, L., Guo, B., Zhang, D., Zhang, Y., Huang, S., Ou, M."Identification of a mutL‑homolog 1 mutation via whole‑exome sequencing in a Chinese family with Gardner syndrome". Molecular Medicine Reports 18, no. 1 (2018): 987-992. https://doi.org/10.3892/mmr.2018.9063
Follow us
  • Twitter
  • LinkedIn
  • Facebook
About
  • Spandidos Publications
  • Careers
  • Cookie Policy
  • Privacy Policy
How can we help?
  • Help
  • Live Chat
  • Contact
  • Email to our Support Team