Spandidos Publications Logo
  • About
    • About Spandidos
    • Aims and Scopes
    • Abstracting and Indexing
    • Editorial Policies
    • Reprints and Permissions
    • Job Opportunities
    • Terms and Conditions
    • Contact
  • Journals
    • All Journals
    • Oncology Letters
      • Oncology Letters
      • Information for Authors
      • Editorial Policies
      • Editorial Board
      • Aims and Scope
      • Abstracting and Indexing
      • Bibliographic Information
      • Archive
    • International Journal of Oncology
      • International Journal of Oncology
      • Information for Authors
      • Editorial Policies
      • Editorial Board
      • Aims and Scope
      • Abstracting and Indexing
      • Bibliographic Information
      • Archive
    • Molecular and Clinical Oncology
      • Molecular and Clinical Oncology
      • Information for Authors
      • Editorial Policies
      • Editorial Board
      • Aims and Scope
      • Abstracting and Indexing
      • Bibliographic Information
      • Archive
    • Experimental and Therapeutic Medicine
      • Experimental and Therapeutic Medicine
      • Information for Authors
      • Editorial Policies
      • Editorial Board
      • Aims and Scope
      • Abstracting and Indexing
      • Bibliographic Information
      • Archive
    • International Journal of Molecular Medicine
      • International Journal of Molecular Medicine
      • Information for Authors
      • Editorial Policies
      • Editorial Board
      • Aims and Scope
      • Abstracting and Indexing
      • Bibliographic Information
      • Archive
    • Biomedical Reports
      • Biomedical Reports
      • Information for Authors
      • Editorial Policies
      • Editorial Board
      • Aims and Scope
      • Abstracting and Indexing
      • Bibliographic Information
      • Archive
    • Oncology Reports
      • Oncology Reports
      • Information for Authors
      • Editorial Policies
      • Editorial Board
      • Aims and Scope
      • Abstracting and Indexing
      • Bibliographic Information
      • Archive
    • Molecular Medicine Reports
      • Molecular Medicine Reports
      • Information for Authors
      • Editorial Policies
      • Editorial Board
      • Aims and Scope
      • Abstracting and Indexing
      • Bibliographic Information
      • Archive
    • World Academy of Sciences Journal
      • World Academy of Sciences Journal
      • Information for Authors
      • Editorial Policies
      • Editorial Board
      • Aims and Scope
      • Abstracting and Indexing
      • Bibliographic Information
      • Archive
    • International Journal of Functional Nutrition
      • International Journal of Functional Nutrition
      • Information for Authors
      • Editorial Policies
      • Editorial Board
      • Aims and Scope
      • Abstracting and Indexing
      • Bibliographic Information
      • Archive
    • International Journal of Epigenetics
      • International Journal of Epigenetics
      • Information for Authors
      • Editorial Policies
      • Editorial Board
      • Aims and Scope
      • Abstracting and Indexing
      • Bibliographic Information
      • Archive
    • Medicine International
      • Medicine International
      • Information for Authors
      • Editorial Policies
      • Editorial Board
      • Aims and Scope
      • Abstracting and Indexing
      • Bibliographic Information
      • Archive
  • Articles
  • Information
    • Information for Authors
    • Information for Reviewers
    • Information for Librarians
    • Information for Advertisers
    • Conferences
  • Language Editing
Spandidos Publications Logo
  • About
    • About Spandidos
    • Aims and Scopes
    • Abstracting and Indexing
    • Editorial Policies
    • Reprints and Permissions
    • Job Opportunities
    • Terms and Conditions
    • Contact
  • Journals
    • All Journals
    • Biomedical Reports
      • Information for Authors
      • Editorial Policies
      • Editorial Board
      • Aims and Scope
      • Abstracting and Indexing
      • Bibliographic Information
      • Archive
    • Experimental and Therapeutic Medicine
      • Information for Authors
      • Editorial Policies
      • Editorial Board
      • Aims and Scope
      • Abstracting and Indexing
      • Bibliographic Information
      • Archive
    • International Journal of Epigenetics
      • Information for Authors
      • Editorial Policies
      • Editorial Board
      • Aims and Scope
      • Abstracting and Indexing
      • Bibliographic Information
      • Archive
    • International Journal of Functional Nutrition
      • Information for Authors
      • Editorial Policies
      • Editorial Board
      • Aims and Scope
      • Abstracting and Indexing
      • Bibliographic Information
      • Archive
    • International Journal of Molecular Medicine
      • Information for Authors
      • Editorial Policies
      • Editorial Board
      • Aims and Scope
      • Abstracting and Indexing
      • Bibliographic Information
      • Archive
    • International Journal of Oncology
      • Information for Authors
      • Editorial Policies
      • Editorial Board
      • Aims and Scope
      • Abstracting and Indexing
      • Bibliographic Information
      • Archive
    • Medicine International
      • Information for Authors
      • Editorial Policies
      • Editorial Board
      • Aims and Scope
      • Abstracting and Indexing
      • Bibliographic Information
      • Archive
    • Molecular and Clinical Oncology
      • Information for Authors
      • Editorial Policies
      • Editorial Board
      • Aims and Scope
      • Abstracting and Indexing
      • Bibliographic Information
      • Archive
    • Molecular Medicine Reports
      • Information for Authors
      • Editorial Policies
      • Editorial Board
      • Aims and Scope
      • Abstracting and Indexing
      • Bibliographic Information
      • Archive
    • Oncology Letters
      • Information for Authors
      • Editorial Policies
      • Editorial Board
      • Aims and Scope
      • Abstracting and Indexing
      • Bibliographic Information
      • Archive
    • Oncology Reports
      • Information for Authors
      • Editorial Policies
      • Editorial Board
      • Aims and Scope
      • Abstracting and Indexing
      • Bibliographic Information
      • Archive
    • World Academy of Sciences Journal
      • Information for Authors
      • Editorial Policies
      • Editorial Board
      • Aims and Scope
      • Abstracting and Indexing
      • Bibliographic Information
      • Archive
  • Articles
  • Information
    • For Authors
    • For Reviewers
    • For Librarians
    • For Advertisers
    • Conferences
  • Language Editing
Login Register Submit
  • This site uses cookies
  • You can change your cookie settings at any time by following the instructions in our Cookie Policy. To find out more, you may read our Privacy Policy.

    I agree
Search articles by DOI, keyword, author or affiliation
Search
Advanced Search
presentation
Molecular Medicine Reports
Join Editorial Board Propose a Special Issue
Print ISSN: 1791-2997 Online ISSN: 1791-3004
Journal Cover
September-2018 Volume 18 Issue 3

Full Size Image

Sign up for eToc alerts
Recommend to Library

Journals

International Journal of Molecular Medicine

International Journal of Molecular Medicine

International Journal of Molecular Medicine is an international journal devoted to molecular mechanisms of human disease.

International Journal of Oncology

International Journal of Oncology

International Journal of Oncology is an international journal devoted to oncology research and cancer treatment.

Molecular Medicine Reports

Molecular Medicine Reports

Covers molecular medicine topics such as pharmacology, pathology, genetics, neuroscience, infectious diseases, molecular cardiology, and molecular surgery.

Oncology Reports

Oncology Reports

Oncology Reports is an international journal devoted to fundamental and applied research in Oncology.

Experimental and Therapeutic Medicine

Experimental and Therapeutic Medicine

Experimental and Therapeutic Medicine is an international journal devoted to laboratory and clinical medicine.

Oncology Letters

Oncology Letters

Oncology Letters is an international journal devoted to Experimental and Clinical Oncology.

Biomedical Reports

Biomedical Reports

Explores a wide range of biological and medical fields, including pharmacology, genetics, microbiology, neuroscience, and molecular cardiology.

Molecular and Clinical Oncology

Molecular and Clinical Oncology

International journal addressing all aspects of oncology research, from tumorigenesis and oncogenes to chemotherapy and metastasis.

World Academy of Sciences Journal

World Academy of Sciences Journal

Multidisciplinary open-access journal spanning biochemistry, genetics, neuroscience, environmental health, and synthetic biology.

International Journal of Functional Nutrition

International Journal of Functional Nutrition

Open-access journal combining biochemistry, pharmacology, immunology, and genetics to advance health through functional nutrition.

International Journal of Epigenetics

International Journal of Epigenetics

Publishes open-access research on using epigenetics to advance understanding and treatment of human disease.

Medicine International

Medicine International

An International Open Access Journal Devoted to General Medicine.

Journal Cover
September-2018 Volume 18 Issue 3

Full Size Image

Sign up for eToc alerts
Recommend to Library

  • Article
  • Citations
    • Cite This Article
    • Download Citation
    • Create Citation Alert
    • Remove Citation Alert
    • Cited By
  • Similar Articles
    • Related Articles (in Spandidos Publications)
    • Similar Articles (Google Scholar)
    • Similar Articles (PubMed)
  • Download PDF
  • Download XML
  • View XML
Article

Differential responses of GC‑1 spermatogonia cells to high and low doses of bisphenol A

  • Authors:
    • Yuhua Li
    • Fei Duan
    • Xiaoyu Zhou
    • Hongjie Pan
    • Runsheng Li
  • View Affiliations / Copyright

    Affiliations: Key Laboratory of Reproduction Regulation of National Population and Family Planning Committee, Shanghai Institute of Planned Parenthood Research, Institute of Reproduction and Development, Fudan University, Shanghai 200032, P.R. China
  • Pages: 3034-3040
    |
    Published online on: July 6, 2018
       https://doi.org/10.3892/mmr.2018.9256
  • Expand metrics +
Metrics: Total Views: 0 (Spandidos Publications: | PMC Statistics: )
Metrics: Total PDF Downloads: 0 (Spandidos Publications: | PMC Statistics: )
Cited By (CrossRef): 0 citations Loading Articles...

This article is mentioned in:


Abstract

Bisphenol A (BPA) is an environmental endocrine disruptor. The exact effect of BPA on spermatogenesis and the specific epigenetic effects on mouse spermatogonia remain to be elucidated. The present study exposed the GC‑1 spermatogonial cell line to a series of differing BPA concentrations and examined the subsequent effects on cell proliferation, mitogen activated protein kinase (MAPK) signaling, DNA and histone methylation. A Cell Counting Kit‑8 assay revealed that BPA significantly inhibited cell growth at the concentration of 10 µg/ml, however no significant alterations were detected at lower BPA doses. The global DNA methylation levels were reduced at the dose of 10 µg/ml of BPA, via detection of 5‑methylcytosine using a dot blot. The protein and mRNA expression levels of DNA methyltransferase (DNMT) 1 were decreased at 10 and 1 µg/ml of BPA, detected via western blotting and reverse transcription‑quantitative polymerase chain reaction, respectively. The global levels of H3K27me3 was decreased at 10 µg/ml BPA, detected via western blotting. Increased phosphorylation of p38 and decreased phosphorylation of extracellular signal‑regulated kinases 1/2 were observed at 10 and 1 µg/ml BPA. The results demonstrated that high and low doses of BPA exposure exhibit differential effects on cell growth, global DNA methylation, histone H3K9Me3 and H3K27Me3 levels and additionally affect the MAPK signaling pathways.

Introduction

Bisphenol A (BPA) is a high-production-volume chemical used in the manufacturing of polycarbonate and epoxy resins, and is extensively used for the production of medical devices and plastic food packaging (1). Trace amounts of unreacted or additional BPA may be extracted from the materials, under conditions of high temperature or extreme pH (2). Bio-monitoring of BPA in human blood and urine indicates that human exposure to BPA is very universal (3,4), primarily through oral exposure (5).

Previous studies suggest that high doses of BPA exposure may result in a variety of dysfunctions, including abnormal reproduction (6), metabolism (7) and mammary carcinogenesis (8). Conflicting data exists over the effects of low doses of BPA eon animal and human reproduction (9,10). These contrasting data sets regarding effects of BPA may result from experiments on differing cell types and tissues, or BPA exposure routes and levels. However, the effect on mouse spermatogonia and the associated underlying mechanism of different doses of BPA exposure and subsequent effects, remains to be elucidated. The present study investigated whether the effects of high and low doses of BPA result in differential responses in spermatogonial cells, using the mouse cell line GC-1, which was immortalized by transformation with the plasmid pSV3-neo in type B spermatogonia (11).

The results of the present study demonstrated that high and low doses of BPA have differential effects on the levels of global DNA methylation, in addition to H3K9Me3, H3K27Me3, and mitogen activated protein kinase (MAPK) signaling, in mouse GC-1 spermatogonia cells.

Materials and methods

Cell culture

The mouse GC-1 spermatogonial cell line (American Type Culture Collection, Manassas, VA, USA) was grown in Dulbecco's modified Eagle's medium supplemented with 5% (v/v) fetal bovine serum (FBS; Gibco; Thermo Fisher Scientific, Inc., Waltham, MA, USA), 2 mM L-glutamine, and antibiotics (100 mg streptomycin/ml, 100 IU penicillin/ml), in a humidified CO2 incubator at 37°C.

Cell proliferation assay

For cell proliferation experiments, cells were seeded in 96-well cell culture plates at a density of 2000 cells per well and grown in free phenol red (Gibco; Thermo Fisher Scientific, Inc.) medium supplemented with 3% charcoal-stripped FBS. BPA (Sigma-Aldrich; Merck KGaA, Darmstadt, Germany) was added at the final concentrations of 0.001, 0.01, 0.1, 1 and 10 µg/ml with five replicates and incubated for 5 days. Vehicle dimethyl sulfoxide (Sigma-Aldrich; Merck KGaA) was used as a negative control. A total of 10 µl of CCK-8 solution (Dojindo Molecular Technologies, Inc., Kumamoto, Japan) was added to each well of the plate, then incubated for 2 h in the CO2 incubator, and the absorbance was measured at a wavelength of 450 nm using microplate reader.

Reverse transcription-quantitative polymerase chain reaction (RT-qPCR)

Total RNA was isolated using TRIzol® reagent (Invitrogen; Thermo Fisher Scientific, Inc.) according to the manufacturer's protocol. The concentration and quality of total RNA were determined by absorbance ratio 260:280 using a spectrophotometer. cDNA was synthesized from 2 µg total RNA using ReverTra Ace qPCR RT KIT (Toyobo Life Science, Osaka, Japan) for reverse transcription of mRNA. The resulting cDNA was diluted 10-fold and used as template. qPCR was then performed using SYBRGreen real-time PCR Mix (Toyobo Life Science) using a BioRad MiniOpticon™ System under the following conditions: 95°C for 1 min, and 40 cycles of 95°C for 15 sec, 56–58°C for 15 sec and 72°C for 45 sec. Immediately following the PCR, the melting curve was generated by raising the temperature from 60°C to 95°C and reading the fluorescence 1°C/2 sec. Each gene was analyzed in triplicate. The expression of β-actin was used as an endogenous control and the 2−ΔΔCq method (12) was used to determine the relative expression of the genes. The primer sequences are listed in Table I.

Table I.

Primers used for reverse transcription-quantitative polymerase chain reaction.

Table I.

Primers used for reverse transcription-quantitative polymerase chain reaction.

GeneForward (5′-3′)Reverse (5′-3′)
DNMT1 ACTGCGTCTCGGTCATT GTCTGTGCCTCCCTCCAT
Ezh2 GTAGACACTCCTCCAAGAAAGAA GATGGTCACAGGGTTGATAGTT
Suv39h1 CTCTGCATCTTCCGCACTAAT AGTCGCTCATCAAGGTTGTCTAT
β-actin GTCCCTCACCCTCCCAAAAG GCTGCCTCAACACCTCAACCC

[i] DNMT, DNA methyltransferase; Suv39h1, Suppressor of Variegation 3–9 Homolog 1; Ezh2, Enhancer of Zeste Homolog 2.

Western blotting

Cell lysates were prepared using a cell lysis buffer for western blotting and immunoprecipitation (cat. no. P0013J, Beyotime Institute of Biotechnology), according to the manufacturer's protocol. The protein concentration was determined using a bicinchoninic acid assay (Beyotime Institute of Biotechnology). Subsequently, protein samples added with loading buffer were boiled for 5 min prior to sample electrophoresis. A total of 20 µg proteins per lane was resolved by 10 or 15% SDS-PAGE according to different target protein and blotted on a 0.22 µm polyvinylidene fluoride membrane (EMD Millipore, Billerica, MS, USA), which was blocked with 5% skim milk in PBS-T buffer for 1 h at room temperature, followed by incubation with diluted primary antibodies for 1 h at 37°C (for anti-β-actin) or overnight at 4°C for the remaining antibodies. Following washing with PBS-T, the membrane was incubated with horseradish peroxidase-labeled goat anti-mouse immunoglobulin (Ig)G (1:3,000 in PBST; cat. no. A0216, Beyotime Institute of Biotechnology) or horseradish peroxidase-labeled goat anti-rabbit IgG (1:3,000 in PBST; cat. no. A0208; Beyotime Institute of Biotechnology) at 37°C for 1 h. The blot was detected using SuperSignal® West Pico Chemiluminescent Substrate (Pierce; Thermo Fisher Scientific, Inc.) on X-ray films. The band intensity was measured by Gel-Pro analyzer (version 4.0; Media Cybernetics, Inc., Rockville, MD, USA) and normalized to a reference loading control.

The primary antibodies included: 1:500 diluted mouse anti-DNA methyltransferase (DNMT)1 monoclonal antibody (catalog no. ab13537; Abcam, Cambridge, UK); 1:2,000 diluted mouse anti-β-actin monoclonal antibody (catalog no. AA128; Beyotime Institute of Biotechnology); rabbit anti-extracellular signal-regulated kinase (ERK)1/2 polyclonal antibody (catalog no. AM076; Beyotime Institute of Biotechnology); 1:1,000 diluted mouse anti-phosphor-ERK1/2 (Thr202/Tyr204) monoclonal antibody (catalog no. AM071; Beyotime Institute of Biotechnology); 1:500 diluted mouse anti-p38 MAPK monoclonal antibody (catalog no. AM065; Beyotime Institute of Biotechnology); 1:500 diluted mouse anti-phospho-p38 MAPK (Thr180/Tyr182) antibody (catalog no. AM063; Beyotime Institute of Biotechnology); rabbit anti-H3K27Me3 polyclonal antibody (catalog no. Dam1387952; Upstate Biotechnology, Inc., Lake Placid, NY, USA); rabbit anti-H3K9Me3 polyclonal antibody (catalog no. Ab8898-100; Abcam); rabbit anti-histone H3 polyclonal antibody (catalog no. AH433; Beyotime Institute of Biotechnology).

Dot-blot assay

The dot blot assay was conducted as previously described (13). Briefly, cells were harvested for DNA isolation following BPA exposure for 5 days. Genomic DNA was extracted by classical proteinase K/phenol-chloroform methods, precipitated by mixing with 3 M sodium acetate (pH 4.8) and cold ethanol. A total of 500 ng genomic DNA was denatured in 0.1 N NaOH, 10 mM EDTA at 95°C for 5 min, and spotted on the nitrocellulose membrane. The membranes were washed with 2×SSC buffer, air-dried and baked at 80°C for 2 h. Following blocking with 5% skim milk, the monoclonal 5-methylcytosine (mC) antibody (diluted 1:1,000 in PBST with 5% skim milk; cat. no. I-MECY-0100, Eurogentec, Ltd., Southampton, UK) was incubated overnight at 4°C. Following washing with TBST, membranes were treated with 1:2,000 dilution of horseradish peroxidase-conjugated goat anti-mouse IgG (catalog no. A0216, Beyotime Institute of Biotechnology) for 1 h at room temperature. The signals were visualized using SuperSignal® West Pico Chemiluminescent Substrate (Pierce; Thermo Fisher Scientific, Inc.). The membranes were further stained with hematoxylin solution for 5 min at room temperature for quantity loading control.

Statistical analysis

Data are presented as the mean ± and standard error of the mean. Statistical analysis was performed using one-way analysis of variance followed by the least significant difference post hoc test. All analyses were conducted using SPSS software, version 20.0 (IBM SPSS, Armonk, NY, USA). P<0.05 was considered to indicate a statistically significant difference.

Results

BPA exhibits varied effects on proliferation of GC-1 spermatogonia cell line

Effects of BPA on GC-1 cell proliferation were evaluated using a Cell Counting Kit-8 assay. Exposure to 100 µg/ml of BPA resulted in cell toxicity, leading to cell death. Exposure to 10 µg/ml BPA inhibited cell growth by 33.5% relative to controls. However, there were no significant alterations in cell proliferation at other doses of BPA, although a slight increase of 10 and 17.1% compared to control was observed at concentrations of 0.1 and 1 µg/ml BPA, respectively (Fig. 1).

Figure 1.

BPA effects on GC-1 cell proliferation. GC-1 cells were treated with BPA at differing concentrations from 0.001 to 100 µg/ml, or 0.01% dimethyl sulfoxide vehicle for 5 days. Data are presented as the mean of three independent experiments. The error bars represent the corresponding standard error of the mean. **P<0.01, *P<0.05 vs. control. BPA, bisphenol A.

BPA exhibits varied effects on MAPK signaling

The MAPK signaling pathways (p38, ERK1/2) exhibit important roles in cell proliferation and development (14). The present study next evaluated whether different doses of BPA had differential effects on the MAPK pathways in GC-1 spermatogonia cells. Western blot analysis revealed that BPA slightly increased the levels of p38 at all tested concentrations, except for 0.001 µg/ml of BPA, and enhanced the levels of phosphorylated p38 (p-p38) in a dose-dependent manner (Fig. 2A and B). BPA additionally increased the levels of extracellular ERK1/2 from 0.1 to 10 µg/ml BPA exposure. However, ERK1/2 phosphorylation markedly decreased at increased BPA concentrations (10 and 1 µg/ml; Fig. 2A and C).

Figure 2.

BPA effects on mitogen activated protein kinase signaling in GC-1 cells. (A) Representative western blot of the expression levels of p38, p-p38, total ERK1/2 and p-ERK1/2 following BPA exposure. Band values were normalized to GAPDH and compared to the control to obtain the relative expression levels of (B) p-p38 and total p38 and (C) p-ERK1/2 and total ERK1/2. Data are presented as the mean of three independent experiments. The error bars represent the corresponding standard error of the mean. *P<0.05, **P<0.01. vs. control. BPA, bisphenol A; p, phosphorylated; ERK, extracellular signal-regulated kinase.

BPA decreases global DNA methylation

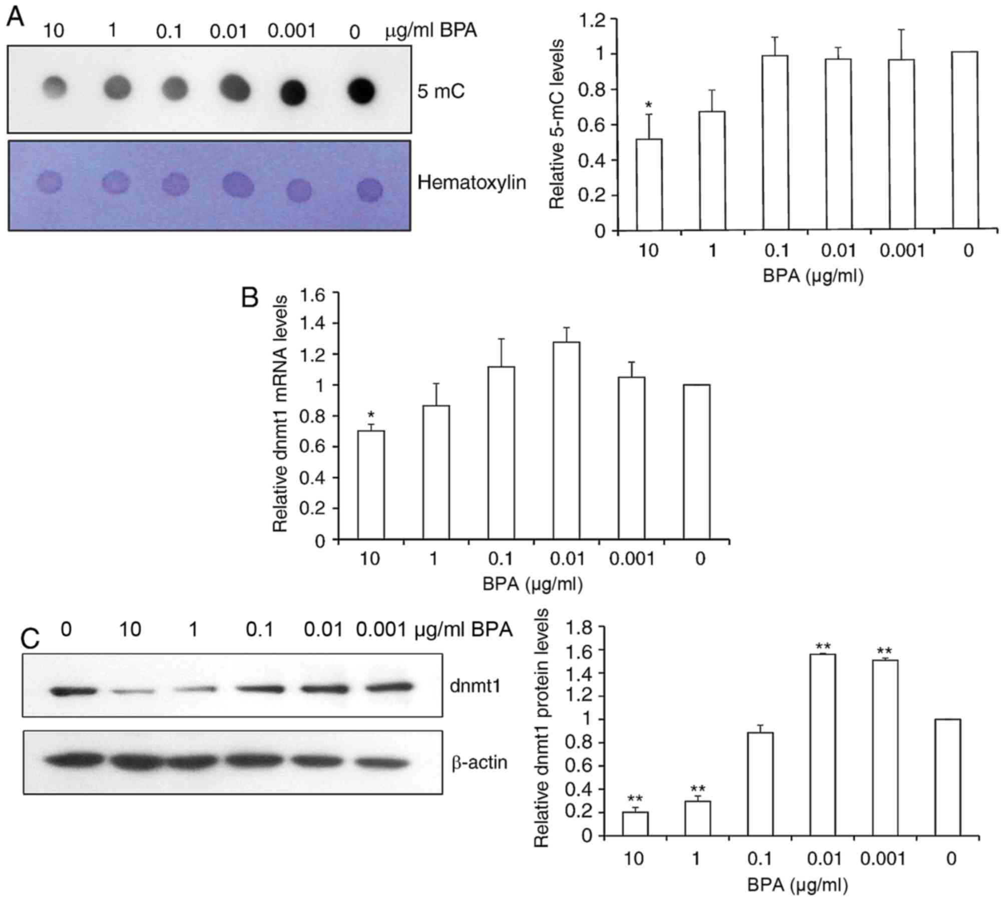
In order to investigate the role of BPA in global DNA methylation in mouse germ cells, dot-blot assays of DNA probed with an antibody specific to 5-mC were performed. Quantification of spot intensity revealed that the global 5-mC level was significantly reduced 2-fold at the high dose of 10 µg/ml BPA and slightly decreased by 21.2% at 1 µg/ml BPA (Fig. 3A).

Figure 3.

BPA effects on global levels of DNA methylation in GC-1 cells. (A) Dot-blot assay of global DNA methylation of GC-1 cells exposed to BPA using monoclonal 5-mC antibody. Dot blot presented in the top panel; the same membrane stained by hematoxylin as loading control in the bottom panel; Column values of 5-mC normalized to the loading control and compared with the control via densitometric analysis; Data are presented as the mean of four independent experiments. (B) Reverse transcription-quantitative polymerase chain reaction analysis of DNMT1 mRNA expression following BPA exposure. (C) Western blot analysis of cells treated with a series of concentrations of BPA. β-actin was used as internal control. Histogram represented relative DNMT1 protein levels normalized to β-actin and compared with control DNA by densitometric analysis. Data are presented as the mean ± standard error of the mean of three independent experiments. *P<0.05, **P<0.01 vs. control. BPA, bisphenol A; 5-mC, 5′methylcytosine; DNMT, DNA methyltransferase.

Since global DNA methylation was altered following BPA exposure and DNA DNMTs control DNA methylation, the present study next determined the relative mRNA and protein expression of DNMT1 via RT-qPCR and western blot analysis. BPA exposure resulted in the significant reduction of DNMT1 mRNA expression at 10 µg/ml of BPA, and a smaller decrease in DNMT1 mRNA levels was observed at other concentrations of BPA (Fig. 3B). Consistent with the alterations in 5-mC levels, DNMT1 protein levels were significantly decreased by 85.6 and 77.2% at 10 and 1 µg/ml BPA, respectively. DNMT1 protein levels were increased 1.5-fold at 0.01 and 0.001 µg/ml BPA exposure (Fig. 3C).

BPA exhibits varied effects on histone methylation

Methylation of lysine on histone H3 is the primary epigenetic modification of chromatin structure. Global levels of H3K9Me3, which is trimethylated H3K9, and H3K27Me3, trimethylated H3K27, in BPA-treated GC-1 cells were analyzed by western blotting. As presented in Fig. 4A and B, the global levels of H3K27me3 were decreased at the 10 µg/ml of BPA. However, the global H3K9me3 and H3K27me3 levels were increased from 0.01 to 1 µg/ml of BPA. Suppressor of Variegation 3–9 Homolog 1 (Suv39h1) and Enhancer of Zeste Homolog 2 (Ezh2) have been reported to respectively tri-methylate H3K9 and H3K27, therefore the present study evaluated the mRNA levels of Suv39h1 and Ezh2 in BPA-treated GC-1 cells using RT-qPCR. The analysis indicated that the mRNA levels of Suv39h1 and ezh2 were markedly decreased 2.5-fold at the high dose of 10 µg/ml of BPA; however, treatment with BPA at other concentrations did not significantly alter Suv39h1 and Ezh2 mRNA expression (Fig. 4C).

Figure 4.

BPA effects on the histone H3 methylation in GC-1 cells. (A) Representative western blots demonstrated alterations in histone methylation levels of H3K9Me3 and H3K27Me3 in GC-1 cells treated with different concentrations of BPA (0.001 to 10 µg/ml). The total H3 was used as a loading control. Histogram represented relative histone methylation levels estimated according to densitometric analysis of bands. Data was normalized to total H3 and compared to negative control. (B) Reverse transcription-quantitative polymerase chain reaction analysis of mRNA expression of Suv39h1 and Ezh2 in GC-1 cells treated with BPA. Data was normalized to β-actin and compared with negative control. Error bars represent the standard error of three technical replicates. *P<0.05, **P<0.01 vs. control. BPA, bisphenol A; Suv39h1, Suppressor of Variegation 3–9 Homolog 1; Ezh2, Enhancer of Zeste Homolog 2.

Discussion

The present study examined the effects of BPA on cellular proliferation of GC-1 cells, an immortalized type B spermatogonial cell line. Exposure to BPA for 5 days inhibited GC-1 cell proliferation at the high dose of 10 µg/ml of BPA, which suggested that BPA results in abnormal sperm development. An epidemiological study reported that urine BPA levels among BPA occupationally exposed workers are significantly associated with lower semen quality, including decreased sperm count and decreased sperm motility (15), revealing the deleterious effects of high doses of BPA exposure on male reproduction. Low concentrations of BPA have been reported to promote cell growth in the GC-1 and other cell lines. Stimulation of human testicular seminoma JKT-1 cell proliferation was observed at 24 h exposure to 10−5 M −10−12 M of BPA (16). Sheng et al (17) reported that 10−7 M-10−12 M BPA stimulates GC-1 cell proliferation following exposure to BPA for 12 h. However, the present study did not observe cell stimulation at low concentrations of BPA exposure for 5 days. It was demonstrated that lower concentrations of BPA increased the GC-1 cell growth, although there was no statistical significance in the study, due to variance between tests. These contrasting data sets may result from different exposure patterns and duration. These data suggested the underlying mechanisms may be different between high doses and low doses of BPA exposure.

MAPK pathways are important in regulating germ cell cycles and function in spermatogenesis. The present study observed that the significantly increased phosphorylation of p38 was paralleled by a decreased phosphorylation of ERK1/2 at high concentrations of BPA exposure (10 and 1 µg/ml). Xia et al (18) reported that p38 MAPK activation and ERK inhibition concurrently are crucial for apoptosis in rat PC-12 pheochromocytoma cells. Therefore, this finding in the study suggested that increased doses of BPA promote apoptosis of GC-1 cells and inhibit cell growth by activating p38 MAPK and suppressing ERK1/2 MAPK. Lower doses of BPA exposure activated p38 and ERK1/2 MAPK. Considering cell proliferation or apoptosis depends on the dynamic balance of the multiple signaling pathways, at present, the specific association between p38, ERK1/2 MAPK alterations and cell growth at low doses of BPA remains to be elucidated.

DNA methylation, an epigenetic modification in which a methyl group is added to the cytosine in a CpG dinucleotide to produce 5-methylcytosine (5-mC), is important in spermatogenesis, development and germ cell functions. The epigenetic effect of BPA was first demonstrated in the yellow agouti (Avy) mouse model, in which BPA exposure altered the coat color towards yellow by decreasing DNA methylation of Avy IAP sequence (19). The present study demonstrated that only high doses of BPA exposure (10 and 1 µg/ml of BPA), rather than lower doses of BPA (0.001 to 0.1 µg/ml), reduced the global DNA methylation levels in spermatogonial cells, using a dot-blot assay. In addition, high doses of BPA induced the reduction of DNMT1 protein and mRNA levels, which resulted in global DNA hypo-methylation and further disrupted the normal development of spermatogonia. A previous study reported that gene expression of DNMT1 is significantly downregulated at 200 µM BPA and not at lower concentrations. Expression of DNMT1 is less susceptible to lower doses of BPA in developing hypothalamic cells (20). These results suggested that global DNA methylation alteration occurs in response to BPA exposure.

Research regarding BPA effects on histone methylation has only recently been introduced. However, H3K9Me3 and H3K27Me3 have been demonstrated to exhibit repressive effects on gene transcription. In the present study, the mRNA expression of Suv39h1 and Ezh2, and the global levels of H3K27me3 were significantly decreased at the high concentration of 10 µg/ml BPA. Zhao et al (21) reported gene silencing of Suv39h1 induces inhibition of cell proliferation via downregulation of histone methylation of H3K9.

Levels of H3K9me3 and H3K27Me3 were upregulated with exposure to lower concentrations of BPA (0.01 to 1 µg/ml); however, there were no significant alterations in histone methyltransferase Suv39h1 and Ezh2 mRNA expression. However, it remains unknown whether protein levels or enzyme activities of Suv39h1 and Ezh2 alter. The authors previously demonstrated that H3K9me3 levels of zebrafish mature sperm are significantly increased with exposure to 1.5 mg/l BPA in the present laboratory (data not published). Doherty et al (22) reported that the level of H3K27Me3 increases in breast cancer MCF-7 cells exposed to BPA at 2.5×10−6 M, equivalent to 1 µg/ml of BPA in the present study, however the H3K27Me3 level and Ezh2 expression at increased doses (10 µg/ml) of BPA were not analyzed.

Epigenetic modifications, including DNA methylation, histone post-translational modifications and ERK1/2 MAPK typically have intimate interactions. DNA methylation promotes histone methylation. Ezh2 has been reported to directly control DNA methylation, thus linking histone methylation and DNA methylation (23). It has previously been demonstrated that DNMTs influence histone methylation (24). ERK signaling also has an important role in activity-dependent modifications of histone proteins (25). However, it is not currently clear how this cross talk occurs to precisely regulate the activities in response to diverse circumstances.

The present study demonstrated that inhibition of spermatogonia cell growth occurred at the high doses of BPA exposure (10 µg/ml). It was hypothesized that p38 MAPK activation is triggered and concurrently inhibits the activity of ERK1/2 to induce cell apoptosis, and also induce global DNA hypomethylation and histone hypomethylation of H3K27Me3, which may result in genome instability and finally, inhibition of cell proliferation. Alteration in genomic and epigenetic responses at high and low doses of BPA were observed, however there did not appear to be an association with cell proliferation at the low doses of BPA. Epigenetic alterations resulting from BPA may affect spermatogonia development and complex activities associated with cell proliferation. Therefore, BPA is associated with altered DNA methylation, however the biological effects are still unclear.

In conclusion, the findings using the GC-1 spermatogonia cell model suggested that high and low doses of BPA exposure demonstrated differential effects on cell growth, global DNA methylation and histone H3K9Me3 and H3K27Me3 levels, in addition to MAPK signaling pathways. The varied effects of BPA depending on high or low doses in spermatogonia, implied that complicated underlying mechanisms are involved and remain to be investigated in future studies.

Acknowledgements

Not applicable.

Funding

The present study was supported by grants from the National Natural Science Foundation of China (grant nos. 81270760 and 81571495), the National Basic Research Program of China (grant no. 2014CB943104) and Shanghai Municipal Committee of Science and Technology (grant nos. 10ZR1425500 and 15431902800).

Availability of data and materials

The analyzed data sets generated during the study are available from the corresponding author on reasonable request.

Authors' contributions

YHL performed western blotting, statistical analysis and drafted the manuscript. FD performed the cell culture and cell proliferation assay, XYZ performed the RT-qPCR assay, HJP performed the dot-blot assay, RSL obtained the funding and designed the study. All authors read and approved the final manuscript.

Ethics approval and consent to participate

Not applicable.

Consent for publication

Not applicable.

Competing interests

The authors declare that they have no competing interests.

References

1 

Chapin RE, Adams J, Boekelheide K, Gray LE Jr, Hayward SW, Lees PS, McIntyre BS, Portier KM, Schnorr TM, Selevan SG, et al: NTP-CERHR expert panel report on the reproductive and developmental toxicity of bisphenol A. Birth Defects Res B Dev Reprod Toxicol. 83:157–395. 2008. View Article : Google Scholar : PubMed/NCBI

2 

Geens T, Apelbaum TZ, Goeyens L, Neels H and Covaci A: Intake of bisphenol A from canned beverages and foods on the Belgian market. Food Addit Contam Part A Chem Anal Control Expo Risk Assess. 27:1627–1637. 2010. View Article : Google Scholar : PubMed/NCBI

3 

Lakind JS, Levesque J, Dumas P, Bryan S, Clarke J and Naiman DQ: Comparing United States and Canadian population exposures from National Biomonitoring Surveys: Bisphenol A intake as a case study. J Expo Sci Environ Epidemiol. 22:219–226. 2012. View Article : Google Scholar : PubMed/NCBI

4 

Takeuchi T and Tsutsumi O: Serum bisphenol a concentrations showed gender differences, possibly linked to androgen levels. Biochem Biophys Res Commun. 291:76–78. 2002. View Article : Google Scholar : PubMed/NCBI

5 

Wilson NK, Chuang JC, Morgan MK, Lordo RA and Sheldon LS: An observational study of the potential exposures of preschool children to pentachlorophenol, bisphenol-A, and nonylphenol at home and daycare. Environ Res. 103:9–20. 2007. View Article : Google Scholar : PubMed/NCBI

6 

Susiarjo M, Hassold TJ, Freeman E and Hunt PA: Bisphenol A exposure in utero disrupts early oogenesis in the mouse. PLoS Genet. 3:e52007. View Article : Google Scholar : PubMed/NCBI

7 

Batista TM, Alonso-Magdalena P, Vieira E, Amaral ME, Cederroth CR, Nef S, Quesada I, Carneiro EM and Nadal A: Short-term treatment with bisphenol-A leads to metabolic abnormalities in adult male mice. PLoS One. 7:e338142012. View Article : Google Scholar : PubMed/NCBI

8 

Jenkins S, Wang J, Eltoum I, Desmond R and Lamartiniere CA: Chronic oral exposure to bisphenol A results in a nonmonotonic dose response in mammary carcinogenesis and metastasis in MMTV-erbB2 mice. Environ Health Perspect. 119:1604–1609. 2011. View Article : Google Scholar : PubMed/NCBI

9 

Motoharu S, Seiichiroh O, Ryuta I, Shuichi K, Masamichi K, Yoshihiro H, Yasunobu A, Junzo Y and Chiharu T: Bisphenol-A affects spermatogenesis in the adult rat even at a low dose. J Occup Health. 43:185–190. 2001. View Article : Google Scholar

10 

Nagao T, Saito Y, Usumi K, Yoshimura S and Ono H: Low-dose bisphenol A does not affect reproductive organs in estrogen-sensitive C57BL/6N mice exposed at the sexually mature, juvenile, or embryonic stage. Reprod Toxicol. 16:123–130. 2002. View Article : Google Scholar : PubMed/NCBI

11 

Hofmann MC, Narisawa S, Hess RA and Millán JL: Immortalization of germ cells and somatic testicular cells using the SV40 large T antigen. Exp Cell Res. 201:417–435. 1992. View Article : Google Scholar : PubMed/NCBI

12 

Livak KJ and Schmittgen TD: Analysis of relative gene expression data using real-time quantitative PCR and the 2(-Delta Delta C(T)) method. Methods. 25:402–408. 2001. View Article : Google Scholar : PubMed/NCBI

13 

Ito S, D'Alessio AC, Taranova OV, Hong K, Sowers LC and Zhang Y: Role of Tet proteins in 5mC to 5hmC conversion, ES-cell self-renewal and inner cell mass specification. Nature. 466:1129–1133. 2010. View Article : Google Scholar : PubMed/NCBI

14 

Kim EK and Choi EJ: Pathological roles of MAPK signaling pathways in human diseases. Biochim Biophys Acta. 1802:396–405. 2010. View Article : Google Scholar : PubMed/NCBI

15 

Li DK, Zhou Z, Miao M, He Y, Wang J, Ferber J, Herrinton LJ, Gao E and Yuan W: Urine bisphenol-A (BPA) level in relation to semen quality. Fertil Steril. 95(625–630): e1–e4. 2011.PubMed/NCBI

16 

Bouskine A, Nebout M, Brücker-Davis F, Benahmed M and Fenichel P: Low doses of bisphenol A promote human seminoma cell proliferation by activating PKA and PKG via a membrane G-protein-coupled estrogen receptor. Environ Health Perspect. 117:1053–1058. 2009. View Article : Google Scholar : PubMed/NCBI

17 

Sheng ZG and Zhu BZ: Low concentrations of bisphenol A induce mouse spermatogonial cell proliferation by G protein-coupled receptor 30 and estrogen receptor-α. Environ Health Perspect. 119:1775–1780. 2011. View Article : Google Scholar : PubMed/NCBI

18 

Xia Z, Dickens M, Raingeaud J, Davis RJ and Greenberg ME: Opposing effects of ERK and JNK-p38 MAP kinases on apoptosis. Science. 270:1326–1331. 1995. View Article : Google Scholar : PubMed/NCBI

19 

Dolinoy DC, Huang D and Jirtle RL: Maternal nutrient supplementation counteracts bisphenol A-induced DNA hypomethylation in early development. Proc Natl Acad Sci USA. 104:13056–13061. 2007. View Article : Google Scholar : PubMed/NCBI

20 

Warita K, Mitsuhashi T, Ohta K, Suzuki S, Hoshi N, Miki T and Takeuchi Y: Gene expression of epigenetic regulatory factors related to primary silencing mechanism is less susceptible to lower doses of bisphenol A in embryonic hypothalamic cells. J Toxicol Sci. 38:285–289. 2013. View Article : Google Scholar : PubMed/NCBI

21 

Zhao T, Ma XD and Huang YQ: Experimental study of SUV39H1 gene specific siRNA in human leukemia cell line. Zhonghua Xue Ye Xue Za Zhi. 34:49–54. 2013.(In Chinese). PubMed/NCBI

22 

Doherty LF, Bromer JG, Zhou Y, Aldad TS and Taylor HS: In utero exposure to diethylstilbestrol (DES) or bisphenol-A (BPA) increases EZH2 expression in the mammary gland: An epigenetic mechanism linking endocrine disruptors to breast cancer. Horm Cancer. 1:146–155. 2010. View Article : Google Scholar : PubMed/NCBI

23 

Viré E, Brenner C, Deplus R, Blanchon L, Fraga M, Didelot C, Morey L, Van Eynde A, Bernard D, Vanderwinden JM, et al: The polycomb group protein EZH2 directly controls DNA methylation. Nature. 439:871–874. 2006. View Article : Google Scholar : PubMed/NCBI

24 

Fuks F, Hurd PJ, Deplus R and Kouzarides T: The DNA methyltransferases associate with HP1 and the SUV39H1 histone methyltransferase. Nucleic Acids Res. 31:2305–2312. 2003. View Article : Google Scholar : PubMed/NCBI

25 

Ciccarelli A and Giustetto M: Role of ERK signaling in activity-dependent modifications of histone proteins. Neuropharmacology. 80:34–44. 2014. View Article : Google Scholar : PubMed/NCBI

Related Articles

  • Abstract
  • View
  • Download
  • Twitter
Copy and paste a formatted citation
Spandidos Publications style
Li Y, Duan F, Zhou X, Pan H and Li R: Differential responses of GC‑1 spermatogonia cells to high and low doses of bisphenol A. Mol Med Rep 18: 3034-3040, 2018.
APA
Li, Y., Duan, F., Zhou, X., Pan, H., & Li, R. (2018). Differential responses of GC‑1 spermatogonia cells to high and low doses of bisphenol A. Molecular Medicine Reports, 18, 3034-3040. https://doi.org/10.3892/mmr.2018.9256
MLA
Li, Y., Duan, F., Zhou, X., Pan, H., Li, R."Differential responses of GC‑1 spermatogonia cells to high and low doses of bisphenol A". Molecular Medicine Reports 18.3 (2018): 3034-3040.
Chicago
Li, Y., Duan, F., Zhou, X., Pan, H., Li, R."Differential responses of GC‑1 spermatogonia cells to high and low doses of bisphenol A". Molecular Medicine Reports 18, no. 3 (2018): 3034-3040. https://doi.org/10.3892/mmr.2018.9256
Copy and paste a formatted citation
x
Spandidos Publications style
Li Y, Duan F, Zhou X, Pan H and Li R: Differential responses of GC‑1 spermatogonia cells to high and low doses of bisphenol A. Mol Med Rep 18: 3034-3040, 2018.
APA
Li, Y., Duan, F., Zhou, X., Pan, H., & Li, R. (2018). Differential responses of GC‑1 spermatogonia cells to high and low doses of bisphenol A. Molecular Medicine Reports, 18, 3034-3040. https://doi.org/10.3892/mmr.2018.9256
MLA
Li, Y., Duan, F., Zhou, X., Pan, H., Li, R."Differential responses of GC‑1 spermatogonia cells to high and low doses of bisphenol A". Molecular Medicine Reports 18.3 (2018): 3034-3040.
Chicago
Li, Y., Duan, F., Zhou, X., Pan, H., Li, R."Differential responses of GC‑1 spermatogonia cells to high and low doses of bisphenol A". Molecular Medicine Reports 18, no. 3 (2018): 3034-3040. https://doi.org/10.3892/mmr.2018.9256
Follow us
  • Twitter
  • LinkedIn
  • Facebook
About
  • Spandidos Publications
  • Careers
  • Cookie Policy
  • Privacy Policy
How can we help?
  • Help
  • Live Chat
  • Contact
  • Email to our Support Team