Spandidos Publications Logo
  • About
    • About Spandidos
    • Aims and Scopes
    • Abstracting and Indexing
    • Editorial Policies
    • Reprints and Permissions
    • Job Opportunities
    • Terms and Conditions
    • Contact
  • Journals
    • All Journals
    • Oncology Letters
      • Oncology Letters
      • Information for Authors
      • Editorial Policies
      • Editorial Board
      • Aims and Scope
      • Abstracting and Indexing
      • Bibliographic Information
      • Archive
    • International Journal of Oncology
      • International Journal of Oncology
      • Information for Authors
      • Editorial Policies
      • Editorial Board
      • Aims and Scope
      • Abstracting and Indexing
      • Bibliographic Information
      • Archive
    • Molecular and Clinical Oncology
      • Molecular and Clinical Oncology
      • Information for Authors
      • Editorial Policies
      • Editorial Board
      • Aims and Scope
      • Abstracting and Indexing
      • Bibliographic Information
      • Archive
    • Experimental and Therapeutic Medicine
      • Experimental and Therapeutic Medicine
      • Information for Authors
      • Editorial Policies
      • Editorial Board
      • Aims and Scope
      • Abstracting and Indexing
      • Bibliographic Information
      • Archive
    • International Journal of Molecular Medicine
      • International Journal of Molecular Medicine
      • Information for Authors
      • Editorial Policies
      • Editorial Board
      • Aims and Scope
      • Abstracting and Indexing
      • Bibliographic Information
      • Archive
    • Biomedical Reports
      • Biomedical Reports
      • Information for Authors
      • Editorial Policies
      • Editorial Board
      • Aims and Scope
      • Abstracting and Indexing
      • Bibliographic Information
      • Archive
    • Oncology Reports
      • Oncology Reports
      • Information for Authors
      • Editorial Policies
      • Editorial Board
      • Aims and Scope
      • Abstracting and Indexing
      • Bibliographic Information
      • Archive
    • Molecular Medicine Reports
      • Molecular Medicine Reports
      • Information for Authors
      • Editorial Policies
      • Editorial Board
      • Aims and Scope
      • Abstracting and Indexing
      • Bibliographic Information
      • Archive
    • World Academy of Sciences Journal
      • World Academy of Sciences Journal
      • Information for Authors
      • Editorial Policies
      • Editorial Board
      • Aims and Scope
      • Abstracting and Indexing
      • Bibliographic Information
      • Archive
    • International Journal of Functional Nutrition
      • International Journal of Functional Nutrition
      • Information for Authors
      • Editorial Policies
      • Editorial Board
      • Aims and Scope
      • Abstracting and Indexing
      • Bibliographic Information
      • Archive
    • International Journal of Epigenetics
      • International Journal of Epigenetics
      • Information for Authors
      • Editorial Policies
      • Editorial Board
      • Aims and Scope
      • Abstracting and Indexing
      • Bibliographic Information
      • Archive
    • Medicine International
      • Medicine International
      • Information for Authors
      • Editorial Policies
      • Editorial Board
      • Aims and Scope
      • Abstracting and Indexing
      • Bibliographic Information
      • Archive
  • Articles
  • Information
    • Information for Authors
    • Information for Reviewers
    • Information for Librarians
    • Information for Advertisers
    • Conferences
  • Language Editing
Spandidos Publications Logo
  • About
    • About Spandidos
    • Aims and Scopes
    • Abstracting and Indexing
    • Editorial Policies
    • Reprints and Permissions
    • Job Opportunities
    • Terms and Conditions
    • Contact
  • Journals
    • All Journals
    • Biomedical Reports
      • Information for Authors
      • Editorial Policies
      • Editorial Board
      • Aims and Scope
      • Abstracting and Indexing
      • Bibliographic Information
      • Archive
    • Experimental and Therapeutic Medicine
      • Information for Authors
      • Editorial Policies
      • Editorial Board
      • Aims and Scope
      • Abstracting and Indexing
      • Bibliographic Information
      • Archive
    • International Journal of Epigenetics
      • Information for Authors
      • Editorial Policies
      • Editorial Board
      • Aims and Scope
      • Abstracting and Indexing
      • Bibliographic Information
      • Archive
    • International Journal of Functional Nutrition
      • Information for Authors
      • Editorial Policies
      • Editorial Board
      • Aims and Scope
      • Abstracting and Indexing
      • Bibliographic Information
      • Archive
    • International Journal of Molecular Medicine
      • Information for Authors
      • Editorial Policies
      • Editorial Board
      • Aims and Scope
      • Abstracting and Indexing
      • Bibliographic Information
      • Archive
    • International Journal of Oncology
      • Information for Authors
      • Editorial Policies
      • Editorial Board
      • Aims and Scope
      • Abstracting and Indexing
      • Bibliographic Information
      • Archive
    • Medicine International
      • Information for Authors
      • Editorial Policies
      • Editorial Board
      • Aims and Scope
      • Abstracting and Indexing
      • Bibliographic Information
      • Archive
    • Molecular and Clinical Oncology
      • Information for Authors
      • Editorial Policies
      • Editorial Board
      • Aims and Scope
      • Abstracting and Indexing
      • Bibliographic Information
      • Archive
    • Molecular Medicine Reports
      • Information for Authors
      • Editorial Policies
      • Editorial Board
      • Aims and Scope
      • Abstracting and Indexing
      • Bibliographic Information
      • Archive
    • Oncology Letters
      • Information for Authors
      • Editorial Policies
      • Editorial Board
      • Aims and Scope
      • Abstracting and Indexing
      • Bibliographic Information
      • Archive
    • Oncology Reports
      • Information for Authors
      • Editorial Policies
      • Editorial Board
      • Aims and Scope
      • Abstracting and Indexing
      • Bibliographic Information
      • Archive
    • World Academy of Sciences Journal
      • Information for Authors
      • Editorial Policies
      • Editorial Board
      • Aims and Scope
      • Abstracting and Indexing
      • Bibliographic Information
      • Archive
  • Articles
  • Information
    • For Authors
    • For Reviewers
    • For Librarians
    • For Advertisers
    • Conferences
  • Language Editing
Login Register Submit
  • This site uses cookies
  • You can change your cookie settings at any time by following the instructions in our Cookie Policy. To find out more, you may read our Privacy Policy.

    I agree
Search articles by DOI, keyword, author or affiliation
Search
Advanced Search
presentation
Molecular Medicine Reports
Join Editorial Board Propose a Special Issue
Print ISSN: 1791-2997 Online ISSN: 1791-3004
Journal Cover
September-2018 Volume 18 Issue 3

Full Size Image

Sign up for eToc alerts
Recommend to Library

Journals

International Journal of Molecular Medicine

International Journal of Molecular Medicine

International Journal of Molecular Medicine is an international journal devoted to molecular mechanisms of human disease.

International Journal of Oncology

International Journal of Oncology

International Journal of Oncology is an international journal devoted to oncology research and cancer treatment.

Molecular Medicine Reports

Molecular Medicine Reports

Covers molecular medicine topics such as pharmacology, pathology, genetics, neuroscience, infectious diseases, molecular cardiology, and molecular surgery.

Oncology Reports

Oncology Reports

Oncology Reports is an international journal devoted to fundamental and applied research in Oncology.

Experimental and Therapeutic Medicine

Experimental and Therapeutic Medicine

Experimental and Therapeutic Medicine is an international journal devoted to laboratory and clinical medicine.

Oncology Letters

Oncology Letters

Oncology Letters is an international journal devoted to Experimental and Clinical Oncology.

Biomedical Reports

Biomedical Reports

Explores a wide range of biological and medical fields, including pharmacology, genetics, microbiology, neuroscience, and molecular cardiology.

Molecular and Clinical Oncology

Molecular and Clinical Oncology

International journal addressing all aspects of oncology research, from tumorigenesis and oncogenes to chemotherapy and metastasis.

World Academy of Sciences Journal

World Academy of Sciences Journal

Multidisciplinary open-access journal spanning biochemistry, genetics, neuroscience, environmental health, and synthetic biology.

International Journal of Functional Nutrition

International Journal of Functional Nutrition

Open-access journal combining biochemistry, pharmacology, immunology, and genetics to advance health through functional nutrition.

International Journal of Epigenetics

International Journal of Epigenetics

Publishes open-access research on using epigenetics to advance understanding and treatment of human disease.

Medicine International

Medicine International

An International Open Access Journal Devoted to General Medicine.

Journal Cover
September-2018 Volume 18 Issue 3

Full Size Image

Sign up for eToc alerts
Recommend to Library

  • Article
  • Citations
    • Cite This Article
    • Download Citation
    • Create Citation Alert
    • Remove Citation Alert
    • Cited By
  • Similar Articles
    • Related Articles (in Spandidos Publications)
    • Similar Articles (Google Scholar)
    • Similar Articles (PubMed)
  • Download PDF
  • Download XML
  • View XML
Article

Cognitive impairments induced by severe acute pancreatitis are attenuated by berberine treatment in rats

  • Authors:
    • Xiaofeng Ou
    • Yusi Hua
    • Xuelian Liao
    • Cansheng Gong
    • Yan Kang
  • View Affiliations / Copyright

    Affiliations: Department of Critical Care Medicine, West China Hospital, Sichuan University, Chengdu, Sichuan 610041, P.R. China, Department of Anesthesiology, West China Hospital, Sichuan University, Chengdu, Sichuan 610041, P.R. China
  • Pages: 3437-3444
    |
    Published online on: July 24, 2018
       https://doi.org/10.3892/mmr.2018.9313
  • Expand metrics +
Metrics: Total Views: 0 (Spandidos Publications: | PMC Statistics: )
Metrics: Total PDF Downloads: 0 (Spandidos Publications: | PMC Statistics: )
Cited By (CrossRef): 0 citations Loading Articles...

This article is mentioned in:



Abstract

Cognitive impairments induced by severe acute pancreatitis (SAP) are severe complications, for which there are a lack of effective pharmacological treatment strategies. Berberine is an isoquinoline alkaloid extracted from the Chinese herb, Coptis rhizome, which exhibits numerous biological effects on gastrointestinal disorders. However, the effects of berberine on SAP‑induced cognitive impairments remain unknown. The present study aimed to investigate the effects of berberine on cognitive impairments associated with SAP. Wistar rats were randomly divided into Sham, Sham + berberine, SAP and SAP + berberine groups. Rats were intraperitoneally injected with L‑arginine (3 g/kg) to induce SAP. Subsequently, selected rats were intragastrically administered berberine (100 mg/kg) once daily for 6 consecutive days. Disease severities of rats were investigated 48 h post‑induction of SAP via determination of serum amylase levels and hematoxylin and eosin staining. Survival rates, performance of behavioral tests (automated rotarod and fear conditioning tests), blood brain barrier (BBB) permeability, and the expression levels of tumor necrosis factor (TNF)‑α and interleukin (IL)‑1β in hippocampal tissues were also determined. Proteins associated with apoptosis and necroptosis in the hippocampal tissues of SAP rats, including caspase‑3, receptor‑interacting protein kinase (RIP)1 and RIP3, were detected via western blotting. The results revealed that treatment with L‑arginine induced SAP, which subsequently resulted in increased BBB permeability, mortality rates and cognitive deficits in rats. The expression levels of TNF‑α, IL‑1β, caspase‑3, RIP1 and RIP3 were significantly increased in the hippocampal tissues of SAP rats, thus suggesting that neuroinflammation, apoptosis and necroptosis may be involved in neurodegeneration associated with the development of SAP. Notably, administration of berberine protected the integrity of the BBB, decreased levels of brain inflammation and mortality rates, and attenuated increased levels of proteins associated with apoptosis and necroptosis and cognitive deficits associated with SAP in rats. The results of the present study demonstrated that daily treatment with berberine may attenuate cognitive deficits and reduce associated mortality via exhibition of anti‑neuroinflammatory effects and attenuation of neuronal apoptosis and necroptosis in the hippocampal tissues of SAP rats.

Introduction

Severe acute pancreatitis (SAP) is a severe systemic disease that can lead to local and systemic life-threatening complications. Cognitive impairments induced by SAP, otherwise known as pancreatic encephalopathy (PE), are severe complications that significantly contribute to the increased mortality rate of patients with SAP (1). The mortality rate of patients with SAP accompanied with PE may reach 67–100% (2). Improvement of SAP-induced cognitive impairments is important in order to decrease mortality associated with SAP. Diagnoses of SAP-induced cognitive impairments are challenging, as they predominantly depend upon the exclusion of all other underlying conditions that exhibit similar symptoms (1). The exact etiology of PE and the functional brain area affected by PE remain unknown, and, to the best of our knowledge, there have been no previous studies that have investigated effective therapeutic strategies for the treatment of SAP-induced cognitive impairments.

During the development of SAP, inflammatory mediators have a critical role in SAP-associated pathogenesis, which not only aggravate pancreatic injury, but also contribute to the subsequent systemic inflammatory response syndrome and multiple organ dysfunction syndrome (3). The pathological sequelae of SAP are regulated by inflammatory mediators, including proinflammatory cytokines, such as tumor necrosis factor (TNF)-α and interleukin (IL)-1β; anti-inflammatory cytokines, such as IL-10 and IL-13; and numerous endogenous regulators, such as heme oxygenase 1 and its by-product, carbon monoxide (4,5). It has been well established that neuroinflammation significantly contributes to brain damage, during which astrocytes and microglia are activated and proinflammatory cytokines are released, including IL-1β, TNF-α and cytokine receptors, from endothelial cells and immune cells (6). Development of a neuroprotective drug with anti-inflammatory properties may represent a potential therapeutic strategy for the treatment of patients with PE.

Berberine is an isoquinoline alkaloid that is extractable from the Chinese herb, Coptis rhizome, and has been widely used as a traditional drug in China. Coptis rhizome exhibits numerous biological effects, including anti-inflammatory, anti-oxidative, anti-bacterial and anti-apoptotic effects, and is able to scavenge free radicals (7,8). Studies have revealed that berberine exhibits neuroprotective effects on spatial memory impairment when administered to rat models of Parkinson's disease (9) and diabetes (10). Recently, it has been reported that treatment with berberine may have therapeutic effects against status epilepticus and spontaneous recurrent seizures in intrahippocampal kainate models of epilepsy, as well as exerting neuroprotective effects, primarily via suppression of oxidative stress and neuroinflammation, and potentially via suppression of apoptosis (11). However, to the best of our knowledge, the effect of berberine on SAP-induced cognitive impairments in rats has not yet been investigated. The present study hypothesized that berberine may attenuate SAP-induced cognitive deficits. Furthermore, the present study aimed to determine the underlying mechanisms of PE.

Materials and methods

Animals

The present study was approved by the Institutional Animal Experimental Ethics Committee of Sichuan University (Chengdu, China). Adult male Wistar rats (n=128; age, 3 months old; body weight, 200–300 g) were purchased from the Experimental Animal Centre of West China, Centre of Medical Sciences of Sichuan University (Chengdu, China) and were used in the present study. Animals were housed in cages under a 12-h light/dark cycle, with free access to food and water. The temperature of the cages were maintained at 21–25°C with 50–60% humidity. To reduce the potential influences of sex differences (12) and transportation (13) on cognitive assessment, only male rats were used in the present study, which were transferred from the rearing room into the behavioral testing room at least 30 min prior to the initiation of each experiment.

Experimental design

Rats were randomly divided into four groups (n=32 per group): Sham group, Sham + berberine group, SAP group and SAP + berberine group. The SAP model was induced via two intraperitoneal injections of 3 g/kg L-arginine (dissolved in normal saline, 1:5, w/v; Sigma-Aldrich; Merck KGaA, Darmstadt, Germany) at an interval of 1 h (14), whereas rats in the sham groups received equivalent volumes of a saline vehicle. Following the second injection of L-arginine, 100 mg/kg berberine (15) (dissolved in 1 ml normal saline/200 g body weight; Sigma-Aldrich; Merck KGaA) was administered immediately and then once a day for 6 consecutive days. A total of 48 h after the 2nd injection of L-arginine was administered, disease severity of SAP was assessed. A total of 7 days post-SAP induction, the survival rates of rats were calculated and behavioral tests were subsequently performed. Furthermore, surviving rats were sacrificed and hippocampal tissues were isolated for subsequent biochemical analysis.

Assessment of SAP disease severity

A total of 48 h post-SAP induction, rats were sacrificed via i.p. injection of 2% sodium pentobarbital (100 mg/kg; Sigma-Aldrich; Merck KGaA) and pancreatic tissues were removed and subsequently fixed in 10% neutral buffer formaldehyde at room temperature for 24 h. Subsequently, tissues were embedded in paraffin and sectioned. The tissue sections (1 mm3) were then stained using hematoxylin and eosin, and were observed under light microscopy. Histological alterations were assessed using a previously established histopathological scoring system (16) with slight modifications: For each pathological section, ten visual fields were randomly selected, visualized under a high-power microscope (magnification, ×100) and then blindly scored by a pathologist. The overall score was presented as the sum of severity of inflammation, extension of inflammation (none, 0; slight, 1; moderate, 2; and severe, 3) and fat/acinar necrosis (none, 0; basal 1/3 damaged, 1; basal 2/3 damaged, 2; only surface epithelium intact, 3; and transmural, 4). In addition, disease severity of SAP was also assessed by measuring the levels of serum amylase. Blood samples were centrifuged at 3000 × g at 4°C for 10 min and serum amylase was subsequently determined by routine colorimetric methods using a commercial kit (cat. no. C016; Nanjing Jiancheng Bioengineering Institute, Nanjing, China) and expressed as U/L.

Locomotor activity assessment

To investigate locomotor activity, which may affect the results of cognitive assessment, an automated rotarod (cat. no. 47750; Ugo Basile SRL, Gemonio, Italy) was used to ensure locomotor activity of rats was completely recovered following the induction of SAP. Locomotor activity assessment was conducted twice, with an accelerating rotational speed of 0.2 rotations/sec (from 4–40 rpm), including two consecutive training trials and one testing trial. One test was performed prior to SAP induction (the baseline latency) and the other was performed on the 7th day prior to cognitive assessment. A blinded observer recorded the average time spent on the bar, which was considered to represent the latency to fall from the rod, with a 10 min interval between each trial in one test.

Fear conditioning test (FCT)

On the next day following locomotor activity assessment, FCT was performed using a dedicated conditioning chamber (cat. no. 46000; Ugo Basile SRL) as previously described (13) with modifications, including training, context testing and cued testing. During the training period in FCT, rats were placed in the conditioning chamber and were permitted to explore the training environment for 5 min. Following this, an auditory cue (2500 Hz, 75 dB) was presented for 2.5 sec as a conditioned stimulus (CS) that co-terminated with a 0.5 mA electric foot shock, which represented an unconditioned stimulus (US) during the last 2 sec of the auditory cue. Following a 57.5 sec inter-trial interval, the pairing of the auditory cue and the foot shock (CS-US) was again administered and repeated a further 15 times. A total of 24 h post-CS-US testing, all rats were placed back in the same chamber to investigate long-term memory. During the context test, which investigates hippocampus-dependent memory, rats were permitted to freely explore the chamber for 10 min in the absence of CS and US stimulation. Following this, the cued test was performed to determine hippocampus-independent memory functioning, in which rats were placed in a novel context environment with altered olfactory cues and lighting, as well as the attachment of patterned contexts on the walls and floor, received an auditory cue (2500 Hz, 75 dB), 10 times at 57.5 sec time intervals, without the foot shock. Cognitive deficit was investigated via determination of the percentage of time spent completely immobilized except for respiration, which was automatically recorded by a digital video-tracking system.

Blood brain barrier (BBB) permeability

A total of 48 h post-SAP induction, 3 ml/kg 2% Evans blue (EB) dye in PBS was administrated into the tail vein to evaluate the integrity of the BBB. A total of 1 h post-administration, rats were sacrificed via i.p. injection of 2% sodium pentobarbital (100 mg/kg) and perfused through the left heart ventricle with PBS until the outflow from the right auricle was colorless. Following this, brain tissues were harvested and homogenized in formamide solution buffer and then centrifuged at 10,000 × g for 20 min at 4°C. The extracted supernatant was investigated at a wavelength of 655 nm using a spectrophotometer based on external standards in the same solvent as the control, and data are expressed as ng/mg of total brain tissue.

ELISA

Following cognitive assessment, rats were sacrificed via i.p. injection of 2% sodium pentobarbital (100 mg/kg). The brains of each group were harvested and hippocampal tissues were isolated, which were subsequently snap-frozen in liquid nitrogen and stored at −80°C prior to further experimentation. Levels of TNF-α (cat. no. CSB-E11987r; Cusabio Biotech Co. Ltd., Wuhan, China) and IL-1β (cat. no. CSB-E08055r, Cusabio Biotech Co. Ltd., Wuhan, China) were determined by ELISA in accordance with the manufacturer's protocols. Briefly, the stored brain tissues were homogenized in normal saline using a sonicator (120 times; 1 time for 0.8 sec, then 1 sec with 2 sec intervals) at room temperature, and the supernatants were subsequently harvested and centrifuged at 3000 × g for 15 min at 4°C. The supernatant was subsequently collected and incubated with biotinylated antibodies (included in the ELISA kits) for 30 min at 37°C. Subsequently, the supernatant was incubated with streptavidin-horseradish peroxidase solution for 1 h at 37°C and the protein concentrations were subsequently quantified using the Bradford protein assay (cat. no. P0010; Beyotime Institute of Biotechnology, Haimen, China). Following incubation with supplied chromogen solution and stop solution, protein concentrations were determined at an absorbance of 450 nm. Levels of TNF-α and IL-1β were calculated using a standard curve and expressed as pg/ml.

Western blotting

Following cognitive assessment, rats were sacrificed via i.p. injection of 2% sodium pentobarbital (100 mg/kg). Hippocampal tissues were harvested following cognitive assessments to investigate the protein expression levels of anti-cleaved caspase-3 (1:500; cat. no. 9661; Cell Signaling Technology, Inc., Danvers, MA, USA), anti-receptor-interacting protein kinase (RIP)1 (1:750; cat. no. ab106393; Abcam, Cambridge, UK) and anti-RIP3 (1:750; cat. no. ab62344; Abcam) via western blotting. Briefly, the frozen hippocampal tissue samples were homogenized in cell lysis buffer (Cell Signaling Technology, Inc.) The samples were then centrifuged at 3000 × g for 15 min at 4°C, the supernatant was collected and total protein concentrations of the supernatants were determined using a Bradford protein assay (P0010, Beyotime Institute of Biotechnology). Equal amounts of protein (0.1 mg/µl) extracts were heated, denatured and separated by electrophoresis on a NuPAGE 8–15% Bis-Tris gel (Invitrogen; Thermo Fisher Scientific, Inc., Waltham, MA, USA) and subsequently transferred to polyvinylidene difluoride membranes. Following blocking using 5% non-fat dry milk for 90 min at room temperature, these membranes were probed with primary antibodies overnight at 4°C and then incubated with horseradish peroxidase-conjugated secondary antibodies (1:5,000; cat. no. 7076; Cell Signaling Technology, Inc.) for 1 h at room temperature. β-actin (1:1,000; cat. no. 8457; Cell Signaling Technology, Inc.) was used as an internal housekeeping protein. Proteins were visualized using an enhanced chemiluminescence detection kit (cat. no. sc-2048; Santa Cruz Biotechnology, Inc., Dallas, TX, USA) and densitometric analysis was performed using ImageJ software (version 1.52; National Institutes of Health, Bethesda, MD, USA).

Statistical analysis

Data are presented as the means ± standard error of the mean of three repeated experiments, and were analyzed using SPSS software (version 22.0; IBM Corp., Armonk, NY, USA). One-way analysis of variance followed by the Bonferroni test was used to analyze the differences among the groups. Survival rates were analyzed using the Kaplan-Meier method and subsequently compared using the log-rank test. P<0.05 was considered to indicate a statistically significant difference.

Results

Berberine attenuates the severity of SAP and improves survival in SAP rats

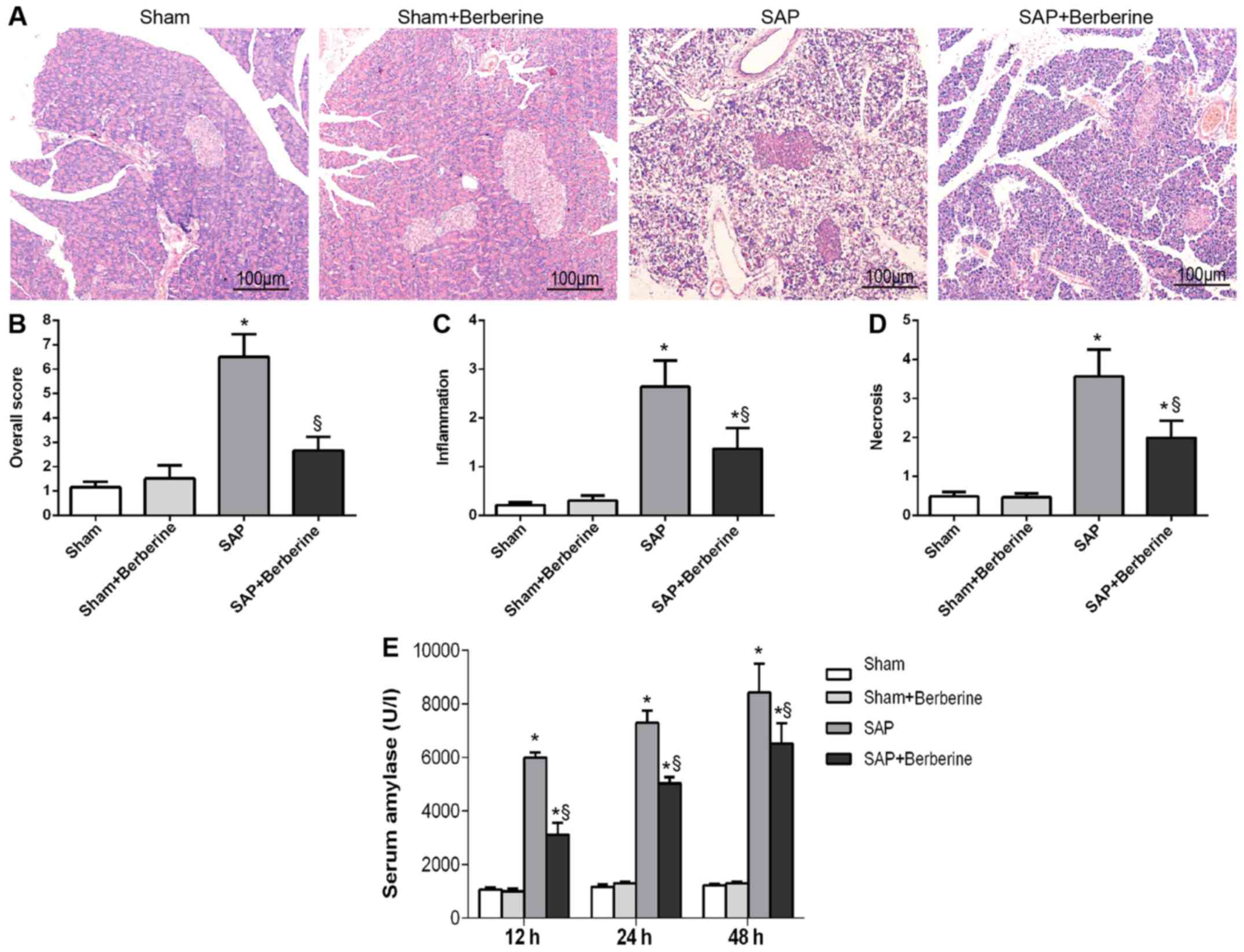
It has been reported that repeated injections with high doses of L-arginine may induce AP in rodents with well-defined, gradually progressive pancreatic necrosis (14). In the present study, L-arginine was used to induce SAP, and disease severity was assessed by investigating alterations in pancreatic histopathology and serum amylase levels. Following treatment with L-arginine for a total of 48 h, all typical features of SAP, including significant isolation of pancreatic lobes, marked inflammatory cell infiltration, hemorrhaging and acinar cell necrosis, were observed in the SAP group (Fig. 1A). Following treatment with berberine, pancreatic morphology was markedly attenuated in the SAP + berberine group compared with the SAP group (Fig. 1A). These pancreatic morphological alterations at 48 h were reflected by the pancreatic histopathological scores (Fig. 1B-D). Pancreatic tissues obtained from the SAP + berberine group exhibited a significantly decreased overall histopathological score compared with the SAP group (mean score, 2.66 vs. 6.49; P<0.05; Fig. 1B), and significantly decreased neutrophil infiltration and acinar necrosis scores compared with the SAP group (Fig. 1C and D). As presented in Fig. 1E, serum amylase levels were significantly increased in the SAP group compared with the Sham group, and significantly decreased in the SAP + berberine group compared with the SAP group. In the present study, the survival rate of rats in the SAP group over the 7 day time period was investigated, and the results revealed that the survival rate of rats with SAP was ~50%, which was consistent with the findings of a previous study (17). Following repeated treatment with berberine, there was a significant increase in the survival rate of rats in the SAP + berberine group compared with the SAP group (75 vs. 50%; Fig. 2; P<0.05).

Figure 1.

Effects of berberine on pancreatic histopathology and serum amylase levels. (A) Representative hematoxylin and eosin-stained sections of pancreatic tissue. (B) Overall histopathological scores, and (C) inflammation and (D) necrosis scores. (E) Serum amylase levels. Data are presented as the means ± standard error of the mean (n=6 rats/group). *P<0.05 vs. Sham group; §P<0.05 vs. SAP group. SAP, severe acute pancreatitis.

Figure 2.

Effects of berberine on the survival rate of rats in all groups. The mortality rate in the SAP group was 50% (16/32 rats). Following treatment with berberine for 6 consecutive days following induction of SAP, there was a significant increase in the survival rate of rats in the SAP + berberine group (75%; 24/32 rats). Survival rate was investigated a total of 7 days post-induction of SAP. *P<0.05 vs. SAP group (n=32/group). SAP, severe acute pancreatitis.

Berberine attenuates cognitive deficits in SAP rats

To ensure that the locomotor activity of rats was completely recovered following SAP, an automated rotarod was used to investigate the locomotor activity of rats, which may have affected the results of cognitive assessment. Compared with the baseline locomotor activity, there was no significant difference among all groups prior to cognitive assessment (P>0.05; Fig. 3A). The clinical presentation of cognitive impairments induced by SAP is not specific, and is characterized by functional disabilities and long-term cognitive impairment (2). In the present study, FCTs were performed to investigate SAP-induced cognitive impairments. The FCT is one of the most reliable and widely used behavioral paradigms used to assess associative fear learning and memory in rodents (13,18), which predominantly includes context and cued FCTs. Context fear conditioning requires the presentation of complex associations of stimuli and an aversive stimulus, which is processed by the hippocampus. Therefore, context FCT is used to investigate hippocampus-dependent memory, whereas cued FCT is performed to investigate hippocampus-independent memory. The results revealed that the freezing time exhibited by rats in the SAP group during the context test was significantly decreased compared with the Sham group, thus suggesting that SAP may induce hippocampus-dependent long-term memory deficits, whereas this effect was significantly attenuated following treatment with berberine (Fig. 3B). In addition, there were no significant differences in the freezing times exhibited by rats in all four groups during the cued test (Fig. 3C), which suggested that the hippocampus-independent memory of rats was not affected by SAP.

Figure 3.

Rats were subjected to assessment of locomotor activity and fear conditioning testing. (A) Compared with the baseline locomotor activity, there were no significant differences among all groups prior to cognitive assessment (baseline, 144.5±4.7 sec; Sham group, 134.0±6.9 sec; Sham + berberine group, 135.6±4.9 sec; SAP group, 124.1±7.5 sec; SAP + berberine group: 131.9±4.9 sec; P>0.05). (B) Treatment with berberine significantly attenuated SAP-induced decrease of freezing time during context testing. (C) There were no significant differences in freezing time among the four groups during cued testing. Data are presented as the means ± standard error of the mean (n=6/group). *P<0.05 vs. Sham group; §P<0.05 vs. SAP group. SAP, severe acute pancreatitis.

Berberine attenuates SAP-induced increases in BBB permeability and inflammatory responses

BBB breakdown has been revealed to represent an important factor associated with the development of sepsis-associated cognitive impairment (19). The permeability of the BBB was investigated via determination of EB content in rat brain tissues. A total of 48 h post-induction of SAP, the rats in the SAP group exhibited significantly increased levels of extravasation of EB into brain tissues compared with the Sham group; however the extravasation of EB was significantly decreased in the SAP + berberine group compared with the SAP group (Fig. 4A).

Figure 4.

Berberine attenuates permeability changes in the blood brain barrier and inflammatory responses in SAP rats. (A) Extravasation of Evans blue into the brain tissues increased significantly in the SAP group; however, this effect was significantly attenuated following treatment with berberine. Levels of (B) TNF-α and (C) IL-1β were significantly increased in the hippocampal tissues of rats in the SAP group; however, these effects were significantly attenuated following treatment with berberine. Data are presented as the means ± standard error of the mean (n=6/group). *P<0.05 vs. Sham group; §P<0.05 vs. SAP group. IL-1β, interleukin-1β; SAP, severe acute pancreatitis; TNF-α, tumor necrosis factor-α.

Levels of TNF-α and IL-1β proinflammatory cytokines in rat hippocampal tissues during the development of SAP were investigated via ELISA analyses. The results revealed that levels of TNF-α and IL-1β were significantly increased in the brain tissues of rats in the SAP group compared with rats in the Sham group. Therefore, the results suggested that treatment with berberine attenuates elevated levels of IL-1β and TNF-α in rat hippocampal tissues (Fig. 4B and C).

Berberine attenuates increased levels of proteins associated with neuronal apoptosis and necroptosis in the hippocampal tissues of SAP rats

It has been well established that neuronal apoptosis and necroptosis represent crucial factors associated with the development of neurodegeneration during brain dysfunction (20,21). To further investigate the hippocampus-dependent memory impairment exhibited by rats in the SAP group, as demonstrated by the aforementioned FCT, western blotting was performed to determine the expression levels of proteins associated with apoptosis and necroptosis in hippocampal tissues (Fig. 5A). The results demonstrated that the protein expression levels of caspase-3, an inducing apoptosis effector, were significantly increased in the hippocampal tissues of SAP rats compared with rats belonging to the Sham group; however, this effect was significantly attenuated following treatment with berberine (Fig. 5B). RIP1 and RIP3 are the predominant inducers of neuronal necroptosis (22). In comparison with the Sham group, SAP-induced rats exhibited significantly increased expression levels of RIP1 and RIP3 in hippocampal tissues. Notably, rats in the SAP + berberine group exhibited significantly decreased expression levels of RIP1 and RIP3 in hippocampal tissues compared with the SAP group (Fig. 5C and D).

Figure 5.

Berberine attenuates neuronal necroptosis in the hippocampal tissues of SAP rats. (A) Representative western blotting results of caspase-3, RIP1 and RIP3 expression levels in hippocampal tissues of rats. Semi-quantitative analysis of (B) caspase-3, (C) RIP1 and (D) RIP3 in the hippocampal tissues of rats. Data are presented as the means ± standard error of the mean (n=6/group). *P<0.05 vs. Sham group; §P<0.05 vs. SAP group. RIP, receptor-interacting protein kinase; SAP, severe acute pancreatitis.

Discussion

The present study investigated the effects of berberine on cognitive impairments in a rat model of SAP. Berberine was demonstrated to significantly attenuate cognitive deficits induced by SAP. The protective effect of berberine may be associated with suppression of inflammation and necroptosis in the hippocampal tissues of rats with SAP. To the best of our knowledge, the present study is the first to investigate the protective effects of berberine on cognitive impairments using a SAP rat model.

Clinical presentations of cognitive impairments associated with SAP are variable among patients and diagnoses are challenging (2). In addition, the functional brain area affected by SAP has not been accurately identified. Following investigations of hippocampus-dependent and hippocampus-independent memory via context and cued testing, respectively, the results revealed that the hippocampus, an important brain region for learning and memory, was affected during SAP. Although berberine may affect other areas of the brain (9), the results of the present study suggested that treatment with berberine may protect hippocampal tissues from damage in rats with SAP.

Previous clinical and experimental studies have demonstrated that inflammatory cytokines are involved in the pathogenesis of cognitive impairments (23,24). Systemic manifestations of SAP are regulated by numerous pro- and anti-inflammatory cytokines (25,26). During inflammatory responses, numerous type 2 anti-inflammatory cytokines, such as IL-10 and IL-13, may inhibit the production of TNF-α and IL-1β (25). Furthermore, numerous endogenous regulators of IL-1, such as IL-1 Ra and IL-1 RII, may downregulate neuroinflammatory responses (26), which may subsequently attenuate cognitive impairment associated with SAP. In the present study, the results demonstrated that levels of TNF-α and IL-1β proinflammatory cytokines were significantly increased in the hippocampal tissue of rats suffering from SAP. It has been reported that the toll-like receptor (TLR)4-mediated nuclear factor (NF)-κB signaling pathway is a potential important mediator in the development of SAP (27,28). In the present study, treatment with berberine attenuated hippocampal TNF-α expression levels in rats suffering from SAP and exerted neuroprotective effects; these findings suggested that the effects of berberine may be mediated by the TLR4-mediated NF-κB signaling pathway in SAP model. Increased proinflammatory cytokines that cross the BBB and enter cerebrospinal fluid and interstitial fluid spaces of the brain may directly interact with the central nervous system (CNS) and affect its function. Tight junctions associated with the BBB have important roles in the maintenance of a stable cerebral microenvironment via regulation of the movement of molecules in and out of the brain (29). In the present study, BBB permeability was investigated using a large molecule, EB, which could be excluded by the BBB under certain physiological conditions. The results demonstrated that the concentration of EB in the brain of rats with SAP was significantly increased compared with the Sham group. Numerous studies have revealed that dysfunction of the BBB may lead to brain edema, destruction of the cerebral microenvironment and subsequent brain damage (19,30). Consequently, BBB dysfunction has been proposed to represent an important factor associated with the development of PE (19,20,30). In the present study, decreased levels of EB extravasation suggested that berberine has a protective effect against BBB dysfunction.

Inflammation is an important factor involved in sepsis-associated encephalopathy, which is strongly associated with neuronal apoptosis (20,31). Another form of programmed cell death, necroptosis (32), which is strongly associated with inflammation, shares common morphological features with apoptosis and is tightly regulated by kinases, such as RIP1 and RIP3 (33). Numerous studies have demonstrated that necroptosis is a common feature of neuronal death in a number of CNS diseases, such as neurodegenerative diseases (34,35) and traumatic brain injury (36). Therefore, the present study aimed to identify whether necroptosis was involved in SAP-induced cognitive impairments. Following the determination of the expression levels of important kinases associated with necroptosis (RIP1 and RIP3) in hippocampal tissues via western blotting, the results demonstrated that the expression levels of RIP1 and RIP3 were significantly increased in the hippocampal tissues of SAP rats and were significantly attenuated following treatment with berberine. The results demonstrated that the protective effects of berberine may be associated with attenuation of necroptosis.

There were two limitations of the present study. Firstly, only surviving rats were subjected to neurocognitive testing and biochemical analyses, which may have introduced survival bias into the study. Secondly, SAP model only induced by L-arginine, which may generate choice bias, so, the results of the present study should be further investigated using alternative AP models, such as AP models induced by L-ornithine, bile acids and hyperlipidemia (37).

In conclusion, the results of the present study revealed that SAP induces neuroinflammation, BBB breakdown, and elevated levels of proteins associated with apoptosis and necroptosis, which may result in the development of hippocampus-dependent cognitive impairments and eventual mortality. Furthermore, the results revealed that berberine may protect the integrity of the BBB, decrease levels of brain inflammation, attenuate necroptosis and cognitive deficits, and reduce the 7-day mortality rate in SAP rats. In addition, it was revealed that necroptosis was involved in neurodegeneration associated with the development of SAP. The results of the present study suggested that berberine may represent a novel therapeutic strategy for the treatment of cognitive impairments induced by SAP.

Acknowledgements

The authors would like to acknowledge the excellent technical support provided by members of the Laboratory of Anesthesia and Critical Care Medicine, West China Hospital of Sichuan University (Chengdu, China).

Funding

No funding was received.

Availability of data and materials

The datasets and materials used and analyzed during the current study are available from the corresponding author on reasonable request.

Authors' contributions

YK, XO and YH designed the study, collected and analyzed the data, and drafted the manuscript. XO induced the SAP model and administered treatment. YH performed SAP disease severity assessment. XL performed locomotor activity assessment and the fear conditioning test (FCT). CG performed ELISA and western blot analysis. All authors read and approved the final manuscript.

Ethics approval and consent to participate

The present study was approved by the Institutional Animal Experimental Ethics Committee of Sichuan University (Chengdu, China).

Patient consent for publication

Not applicable.

Competing interests

The authors declare that they have no competing interests.

References

1 

Estrada RV, Moreno J, Martinez E, Hernandez MC, Gilsanz G and Gilsanz V: Pancreatic encephalopathy. Acta Neurol Scand. 59:135–139. 1979. View Article : Google Scholar : PubMed/NCBI

2 

Menza MA and Murray GB: Pancreatic encephalopathy. Biol Psychiatry. 25:781–784. 1989. View Article : Google Scholar : PubMed/NCBI

3 

Bhatia M, Wong FL, Cao Y, Lau HY, Huang J, Puneet P and Chevali L: Pathophysiology of acute pancreatitis. Pancreatology. 5:132–144. 2005. View Article : Google Scholar : PubMed/NCBI

4 

Xiong J, Wang K, Yuan C, Xing R, Ni J, Hu G, Chen F and Wang X: Luteolin protects mice from severe acute pancreatitis by exerting HO-1-mediated anti-inflammatory and antioxidant effects. Int J Mol Med. 39:113–125. 2017. View Article : Google Scholar : PubMed/NCBI

5 

Chen P, Sun B, Chen H, Wang G, Pan S, Kong R, Bai X and Wang S: Effects of carbon monoxide releasing molecule-liberated CO on severe acute pancreatitis in rats. Cytokine. 49:15–23. 2010. View Article : Google Scholar : PubMed/NCBI

6 

Vezzani A, Aronica E, Mazarati A and Pittman QJ: Epilepsy and brain inflammation. Exp Neurol. 244:11–21. 2013. View Article : Google Scholar : PubMed/NCBI

7 

Yang Y, Wang Q, Xie M, Liu P, Qi X, Liu X and Li Z: Berberine exerts an anti-inflammatory role in ocular Behcet's disease. Mol Med Rep. 15:97–102. 2017. View Article : Google Scholar : PubMed/NCBI

8 

Huang M, Chen S, Liang Y and Guo Y: The role of berberine in the multi-target treatment of senile dementia. Curr Top Med Chem. 16:867–873. 2016. View Article : Google Scholar : PubMed/NCBI

9 

Kim M, Cho KH, Shin MS, Lee JM, Cho HS, Kim CJ, Shin DH and Yang HJ: Berberine prevents nigrostriatal dopaminergic neuronal loss and suppresses hippocampal apoptosis in mice with Parkinson's disease. Int J Mol Med. 33:870–878. 2014. View Article : Google Scholar : PubMed/NCBI

10 

Zhou J, Du X, Long M, Zhang Z, Zhou S, Zhou J and Qian G: Neuroprotective effect of berberine is mediated by MAPK signaling pathway in experimental diabetic neuropathy in rats. Eur J Pharmacol. 774:87–94. 2016. View Article : Google Scholar : PubMed/NCBI

11 

Sedaghat R, Taab Y, Kiasalari Z, Afshin-Majd S, Baluchnejadmojarad T and Roghani M: Berberine ameliorates intrahippocampal kainate-induced status epilepticus and consequent epileptogenic process in the rat: Underlying mechanisms. Biomed Pharmacother. 87:200–208. 2017. View Article : Google Scholar : PubMed/NCBI

12 

Daviu N, Andero R, Armario A and Nadal R: Sex differences in the behavioural and hypothalamic-pituitary-adrenal response to contextual fear conditioning in rats. Horm Behav. 66:713–723. 2014. View Article : Google Scholar : PubMed/NCBI

13 

Shoji H, Takao K, Hattori S and Miyakawa T: Contextual and cued fear conditioning test using a video analyzing system in mice. J Vis Exp. e508712014.

14 

Zhang CL, Lin ZQ, Luo RJ, Zhang XX, Guo J, Wu W, Shi N, Deng LH, Chen WW, Zhang XY, et al: Chai-Qin-Cheng-Qi decoction and carbachol improve intestinal motility by regulating protein kinase C-mediated Ca2+ release in colonic smooth muscle cells in rats with acute necrotising pancreatitis. Evid Based Complement Alternat Med. 2017:58649452017. View Article : Google Scholar : PubMed/NCBI

15 

Feng AW, Gao W, Zhou GR, Yu R, Li N, Huang XL, Li QR and Li JS: Berberine ameliorates COX-2 expression in rat small intestinal mucosa partially through PPARγ pathway during acute endotoxemia. Int Immunopharmacol. 12:182–188. 2012. View Article : Google Scholar : PubMed/NCBI

16 

Schmidt J, Rattner DW, Lewandrowski K, Compton CC, Mandavilli U, Knoefel WT and Warshaw AL: A better model of acute pancreatitis for evaluating therapy. Ann Surg. 215:44–56. 1992. View Article : Google Scholar : PubMed/NCBI

17 

Rau BM, Kruger CM, Hasel C, Oliveira V, Rubie C, Beger HG and Schilling MK: Effects of immunosuppressive and immunostimulative treatment on pancreatic injury and mortality in severe acute experimental pancreatitis. Pancreas. 33:174–183. 2006. View Article : Google Scholar : PubMed/NCBI

18 

Fanselow MS and Poulos AM: The neuroscience of mammalian associative learning. Annu Rev Psychol. 56:207–234. 2005. View Article : Google Scholar : PubMed/NCBI

19 

Vajtr D, Benada O, Kukacka J, Prusa R, Houstava L, Toupalik P and Kizek R: Correlation of ultrastructural changes of endothelial cells and astrocytes occurring during blood brain barrier damage after traumatic brain injury with biochemical markers of BBB leakage and inflammatory response. Physiol Res. 58:263–268. 2009.PubMed/NCBI

20 

Ning Q, Liu Z, Wang X, Zhang R, Zhang J, Yang M, Sun H, Han F, Zhao W and Zhang X: Neurodegenerative changes and neuroapoptosis induced by systemic lipopolysaccharide administration are reversed by dexmedetomidine treatment in mice. Neurol Res. 39:357–366. 2017. View Article : Google Scholar : PubMed/NCBI

21 

Chavez-Valdez R, Martin LJ, Flock DL and Northington FJ: Necrostatin-1 attenuates mitochondrial dysfunction in neurons and astrocytes following neonatal hypoxia-ischemia. Neuroscience. 219:192–203. 2012. View Article : Google Scholar : PubMed/NCBI

22 

Guo Q, Li A, Xia Q, Liu X, Tian B, Mai G, Huang Z, Chen G, Tang W, Jin X, et al: The role of organ failure and infection in necrotizing pancreatitis: A prospective study. Ann Surg. 259:1201–1207. 2014. View Article : Google Scholar : PubMed/NCBI

23 

Wichmann MA, Cruickshanks KJ, Carlsson CM, Chappell R, Fischer ME, Klein BE, Klein R, Tsai MY and Schubert CR: Long-term systemic inflammation and cognitive impairment in a population-based cohort. J Am Geriatr Soc. 62:1683–1691. 2014. View Article : Google Scholar : PubMed/NCBI

24 

Calsavara AC, Rodrigues DH, Miranda AS, Costa PA, Lima CX, Vilela MC, Rachid MA and Teixeira AL: Late anxiety-like behavior and neuroinflammation in mice subjected to sublethal polymicrobial sepsis. Neurotox Res. 24:103–108. 2013. View Article : Google Scholar : PubMed/NCBI

25 

Nicoletti F, Mancuso G, Cusumano V, Di Marco R, Zaccone P, Bendtzen K and Teti G: Prevention of endotoxin-induced lethality in neonatal mice by interleukin-13. Eur J Immunol. 27:1580–1583. 1997. View Article : Google Scholar : PubMed/NCBI

26 

Dujmovic I, Mangano K, Pekmezovic T, Quattrocchi C, Mesaros S, Stojsavljevic N, Nicoletti F and Drulovic J: The analysis of IL-1 beta and its naturally occurring inhibitors in multiple sclerosis: The elevation of IL-1 receptor antagonist and IL-1 receptor type II after steroid therapy. J Neuroimmunol. 207:101–106. 2009. View Article : Google Scholar : PubMed/NCBI

27 

Li G, Wu XJ, Yang L, He YX, Liu Y, Jin X and Yuan H: TLR4-mediated NF-κB signaling pathway mediates HMGB1-induced pancreatic injury in mice with severe acute pancreatitis. Int J Mol Med. 37:99–107. 2016. View Article : Google Scholar : PubMed/NCBI

28 

Li J, Csakai A, Jin J, Zhang F and Yin H: Therapeutic developments targeting toll-like receptor-4-mediated neuroinflammation. ChemMedChem. 11:154–165. 2016. View Article : Google Scholar : PubMed/NCBI

29 

Kniesel U and Wolburg H: Tight junctions of the blood-brain barrier. Cell Mol Neurobiol. 20:57–76. 2000. View Article : Google Scholar : PubMed/NCBI

30 

Toklu HZ, Uysal MK, Kabasakal L, Sirvanci S, Ercan F and Kaya M: The effects of riluzole on neurological, brain biochemical, and histological changes in early and late term of sepsis in rats. J Surg Res. 152:238–248. 2009. View Article : Google Scholar : PubMed/NCBI

31 

Hotchkiss RS and Nicholson DW: Apoptosis and caspases regulate death and inflammation in sepsis. Nat Rev Immunol. 6:813–822. 2006. View Article : Google Scholar : PubMed/NCBI

32 

Linkermann A and Green DR: Necroptosis. N Engl J Med. 370:455–465. 2014. View Article : Google Scholar : PubMed/NCBI

33 

Li J, McQuade T, Siemer AB, Napetschnig J, Moriwaki K, Hsiao YS, Damko E, Moquin D, Walz T, McDermott A, et al: The RIP1/RIP3 necrosome forms a functional amyloid signaling complex required for programmed necrosis. Cell. 150:339–350. 2012. View Article : Google Scholar : PubMed/NCBI

34 

Ito Y, Ofengeim D, Najafov A, Das S, Saberi S, Li Y, Hitomi J, Zhu H, Chen H, Mayo L, et al: RIPK1 mediates axonal degeneration by promoting inflammation and necroptosis in ALS. Science. 353:603–608. 2016. View Article : Google Scholar : PubMed/NCBI

35 

Ofengeim D, Ito Y, Najafov A, Zhang Y, Shan B, DeWitt JP, Ye J, Zhang X, Chang A, Vakifahmetoglu-Norberg H, et al: Activation of necroptosis in multiple sclerosis. Cell Rep. 10:1836–1849. 2015. View Article : Google Scholar : PubMed/NCBI

36 

You Z, Savitz SI, Yang J, Degterev A, Yuan J, Cuny GD, Moskowitz MA and Whalen MJ: Necrostatin-1 reduces histopathology and improves functional outcome after controlled cortical impact in mice. J Cereb Blood Flow Metab. 28:1564–1573. 2008. View Article : Google Scholar : PubMed/NCBI

37 

Huang W, Szatmary P, Wan M, Bharucha S, Awais M, Tang W, Criddle DN, Xia Q and Sutton R: Translational insights into peroxisome proliferator-activated receptors in experimental acute pancreatitis. Pancreas. 45:167–178. 2016. View Article : Google Scholar : PubMed/NCBI

Related Articles

  • Abstract
  • View
  • Download
  • Twitter
Copy and paste a formatted citation
Spandidos Publications style
Ou X, Hua Y, Liao X, Gong C and Kang Y: Cognitive impairments induced by severe acute pancreatitis are attenuated by berberine treatment in rats. Mol Med Rep 18: 3437-3444, 2018.
APA
Ou, X., Hua, Y., Liao, X., Gong, C., & Kang, Y. (2018). Cognitive impairments induced by severe acute pancreatitis are attenuated by berberine treatment in rats. Molecular Medicine Reports, 18, 3437-3444. https://doi.org/10.3892/mmr.2018.9313
MLA
Ou, X., Hua, Y., Liao, X., Gong, C., Kang, Y."Cognitive impairments induced by severe acute pancreatitis are attenuated by berberine treatment in rats". Molecular Medicine Reports 18.3 (2018): 3437-3444.
Chicago
Ou, X., Hua, Y., Liao, X., Gong, C., Kang, Y."Cognitive impairments induced by severe acute pancreatitis are attenuated by berberine treatment in rats". Molecular Medicine Reports 18, no. 3 (2018): 3437-3444. https://doi.org/10.3892/mmr.2018.9313
Copy and paste a formatted citation
x
Spandidos Publications style
Ou X, Hua Y, Liao X, Gong C and Kang Y: Cognitive impairments induced by severe acute pancreatitis are attenuated by berberine treatment in rats. Mol Med Rep 18: 3437-3444, 2018.
APA
Ou, X., Hua, Y., Liao, X., Gong, C., & Kang, Y. (2018). Cognitive impairments induced by severe acute pancreatitis are attenuated by berberine treatment in rats. Molecular Medicine Reports, 18, 3437-3444. https://doi.org/10.3892/mmr.2018.9313
MLA
Ou, X., Hua, Y., Liao, X., Gong, C., Kang, Y."Cognitive impairments induced by severe acute pancreatitis are attenuated by berberine treatment in rats". Molecular Medicine Reports 18.3 (2018): 3437-3444.
Chicago
Ou, X., Hua, Y., Liao, X., Gong, C., Kang, Y."Cognitive impairments induced by severe acute pancreatitis are attenuated by berberine treatment in rats". Molecular Medicine Reports 18, no. 3 (2018): 3437-3444. https://doi.org/10.3892/mmr.2018.9313
Follow us
  • Twitter
  • LinkedIn
  • Facebook
About
  • Spandidos Publications
  • Careers
  • Cookie Policy
  • Privacy Policy
How can we help?
  • Help
  • Live Chat
  • Contact
  • Email to our Support Team