Spandidos Publications Logo
  • About
    • About Spandidos
    • Aims and Scopes
    • Abstracting and Indexing
    • Editorial Policies
    • Reprints and Permissions
    • Job Opportunities
    • Terms and Conditions
    • Contact
  • Journals
    • All Journals
    • Oncology Letters
      • Oncology Letters
      • Information for Authors
      • Editorial Policies
      • Editorial Board
      • Aims and Scope
      • Abstracting and Indexing
      • Bibliographic Information
      • Archive
    • International Journal of Oncology
      • International Journal of Oncology
      • Information for Authors
      • Editorial Policies
      • Editorial Board
      • Aims and Scope
      • Abstracting and Indexing
      • Bibliographic Information
      • Archive
    • Molecular and Clinical Oncology
      • Molecular and Clinical Oncology
      • Information for Authors
      • Editorial Policies
      • Editorial Board
      • Aims and Scope
      • Abstracting and Indexing
      • Bibliographic Information
      • Archive
    • Experimental and Therapeutic Medicine
      • Experimental and Therapeutic Medicine
      • Information for Authors
      • Editorial Policies
      • Editorial Board
      • Aims and Scope
      • Abstracting and Indexing
      • Bibliographic Information
      • Archive
    • International Journal of Molecular Medicine
      • International Journal of Molecular Medicine
      • Information for Authors
      • Editorial Policies
      • Editorial Board
      • Aims and Scope
      • Abstracting and Indexing
      • Bibliographic Information
      • Archive
    • Biomedical Reports
      • Biomedical Reports
      • Information for Authors
      • Editorial Policies
      • Editorial Board
      • Aims and Scope
      • Abstracting and Indexing
      • Bibliographic Information
      • Archive
    • Oncology Reports
      • Oncology Reports
      • Information for Authors
      • Editorial Policies
      • Editorial Board
      • Aims and Scope
      • Abstracting and Indexing
      • Bibliographic Information
      • Archive
    • Molecular Medicine Reports
      • Molecular Medicine Reports
      • Information for Authors
      • Editorial Policies
      • Editorial Board
      • Aims and Scope
      • Abstracting and Indexing
      • Bibliographic Information
      • Archive
    • World Academy of Sciences Journal
      • World Academy of Sciences Journal
      • Information for Authors
      • Editorial Policies
      • Editorial Board
      • Aims and Scope
      • Abstracting and Indexing
      • Bibliographic Information
      • Archive
    • International Journal of Functional Nutrition
      • International Journal of Functional Nutrition
      • Information for Authors
      • Editorial Policies
      • Editorial Board
      • Aims and Scope
      • Abstracting and Indexing
      • Bibliographic Information
      • Archive
    • International Journal of Epigenetics
      • International Journal of Epigenetics
      • Information for Authors
      • Editorial Policies
      • Editorial Board
      • Aims and Scope
      • Abstracting and Indexing
      • Bibliographic Information
      • Archive
    • Medicine International
      • Medicine International
      • Information for Authors
      • Editorial Policies
      • Editorial Board
      • Aims and Scope
      • Abstracting and Indexing
      • Bibliographic Information
      • Archive
  • Articles
  • Information
    • Information for Authors
    • Information for Reviewers
    • Information for Librarians
    • Information for Advertisers
    • Conferences
  • Language Editing
Spandidos Publications Logo
  • About
    • About Spandidos
    • Aims and Scopes
    • Abstracting and Indexing
    • Editorial Policies
    • Reprints and Permissions
    • Job Opportunities
    • Terms and Conditions
    • Contact
  • Journals
    • All Journals
    • Biomedical Reports
      • Information for Authors
      • Editorial Policies
      • Editorial Board
      • Aims and Scope
      • Abstracting and Indexing
      • Bibliographic Information
      • Archive
    • Experimental and Therapeutic Medicine
      • Information for Authors
      • Editorial Policies
      • Editorial Board
      • Aims and Scope
      • Abstracting and Indexing
      • Bibliographic Information
      • Archive
    • International Journal of Epigenetics
      • Information for Authors
      • Editorial Policies
      • Editorial Board
      • Aims and Scope
      • Abstracting and Indexing
      • Bibliographic Information
      • Archive
    • International Journal of Functional Nutrition
      • Information for Authors
      • Editorial Policies
      • Editorial Board
      • Aims and Scope
      • Abstracting and Indexing
      • Bibliographic Information
      • Archive
    • International Journal of Molecular Medicine
      • Information for Authors
      • Editorial Policies
      • Editorial Board
      • Aims and Scope
      • Abstracting and Indexing
      • Bibliographic Information
      • Archive
    • International Journal of Oncology
      • Information for Authors
      • Editorial Policies
      • Editorial Board
      • Aims and Scope
      • Abstracting and Indexing
      • Bibliographic Information
      • Archive
    • Medicine International
      • Information for Authors
      • Editorial Policies
      • Editorial Board
      • Aims and Scope
      • Abstracting and Indexing
      • Bibliographic Information
      • Archive
    • Molecular and Clinical Oncology
      • Information for Authors
      • Editorial Policies
      • Editorial Board
      • Aims and Scope
      • Abstracting and Indexing
      • Bibliographic Information
      • Archive
    • Molecular Medicine Reports
      • Information for Authors
      • Editorial Policies
      • Editorial Board
      • Aims and Scope
      • Abstracting and Indexing
      • Bibliographic Information
      • Archive
    • Oncology Letters
      • Information for Authors
      • Editorial Policies
      • Editorial Board
      • Aims and Scope
      • Abstracting and Indexing
      • Bibliographic Information
      • Archive
    • Oncology Reports
      • Information for Authors
      • Editorial Policies
      • Editorial Board
      • Aims and Scope
      • Abstracting and Indexing
      • Bibliographic Information
      • Archive
    • World Academy of Sciences Journal
      • Information for Authors
      • Editorial Policies
      • Editorial Board
      • Aims and Scope
      • Abstracting and Indexing
      • Bibliographic Information
      • Archive
  • Articles
  • Information
    • For Authors
    • For Reviewers
    • For Librarians
    • For Advertisers
    • Conferences
  • Language Editing
Login Register Submit
  • This site uses cookies
  • You can change your cookie settings at any time by following the instructions in our Cookie Policy. To find out more, you may read our Privacy Policy.

    I agree
Search articles by DOI, keyword, author or affiliation
Search
Advanced Search
presentation
Molecular Medicine Reports
Join Editorial Board Propose a Special Issue
Print ISSN: 1791-2997 Online ISSN: 1791-3004
Journal Cover
November-2018 Volume 18 Issue 5

Full Size Image

Sign up for eToc alerts
Recommend to Library

Journals

International Journal of Molecular Medicine

International Journal of Molecular Medicine

International Journal of Molecular Medicine is an international journal devoted to molecular mechanisms of human disease.

International Journal of Oncology

International Journal of Oncology

International Journal of Oncology is an international journal devoted to oncology research and cancer treatment.

Molecular Medicine Reports

Molecular Medicine Reports

Covers molecular medicine topics such as pharmacology, pathology, genetics, neuroscience, infectious diseases, molecular cardiology, and molecular surgery.

Oncology Reports

Oncology Reports

Oncology Reports is an international journal devoted to fundamental and applied research in Oncology.

Experimental and Therapeutic Medicine

Experimental and Therapeutic Medicine

Experimental and Therapeutic Medicine is an international journal devoted to laboratory and clinical medicine.

Oncology Letters

Oncology Letters

Oncology Letters is an international journal devoted to Experimental and Clinical Oncology.

Biomedical Reports

Biomedical Reports

Explores a wide range of biological and medical fields, including pharmacology, genetics, microbiology, neuroscience, and molecular cardiology.

Molecular and Clinical Oncology

Molecular and Clinical Oncology

International journal addressing all aspects of oncology research, from tumorigenesis and oncogenes to chemotherapy and metastasis.

World Academy of Sciences Journal

World Academy of Sciences Journal

Multidisciplinary open-access journal spanning biochemistry, genetics, neuroscience, environmental health, and synthetic biology.

International Journal of Functional Nutrition

International Journal of Functional Nutrition

Open-access journal combining biochemistry, pharmacology, immunology, and genetics to advance health through functional nutrition.

International Journal of Epigenetics

International Journal of Epigenetics

Publishes open-access research on using epigenetics to advance understanding and treatment of human disease.

Medicine International

Medicine International

An International Open Access Journal Devoted to General Medicine.

Journal Cover
November-2018 Volume 18 Issue 5

Full Size Image

Sign up for eToc alerts
Recommend to Library

  • Article
  • Citations
    • Cite This Article
    • Download Citation
    • Create Citation Alert
    • Remove Citation Alert
    • Cited By
  • Similar Articles
    • Related Articles (in Spandidos Publications)
    • Similar Articles (Google Scholar)
    • Similar Articles (PubMed)
  • Download PDF
  • Download XML
  • View XML
Article

SFRP5 serves a beneficial role in arterial aging by inhibiting the proliferation, migration and inflammation of smooth muscle cells

  • Authors:
    • Jiadela Teliewubai
    • Hongwei Ji
    • Yuyan Lu
    • Bin Bai
    • Shikai Yu
    • Chen Chi
    • Yawei Xu
    • Yi Zhang
  • View Affiliations / Copyright

    Affiliations: Department of Cardiology, Shanghai Tenth People's Hospital, Tongji University School of Medicine, Shanghai 200072, P.R. China
  • Pages: 4682-4690
    |
    Published online on: September 7, 2018
       https://doi.org/10.3892/mmr.2018.9467
  • Expand metrics +
Metrics: Total Views: 0 (Spandidos Publications: | PMC Statistics: )
Metrics: Total PDF Downloads: 0 (Spandidos Publications: | PMC Statistics: )
Cited By (CrossRef): 0 citations Loading Articles...

This article is mentioned in:



Abstract

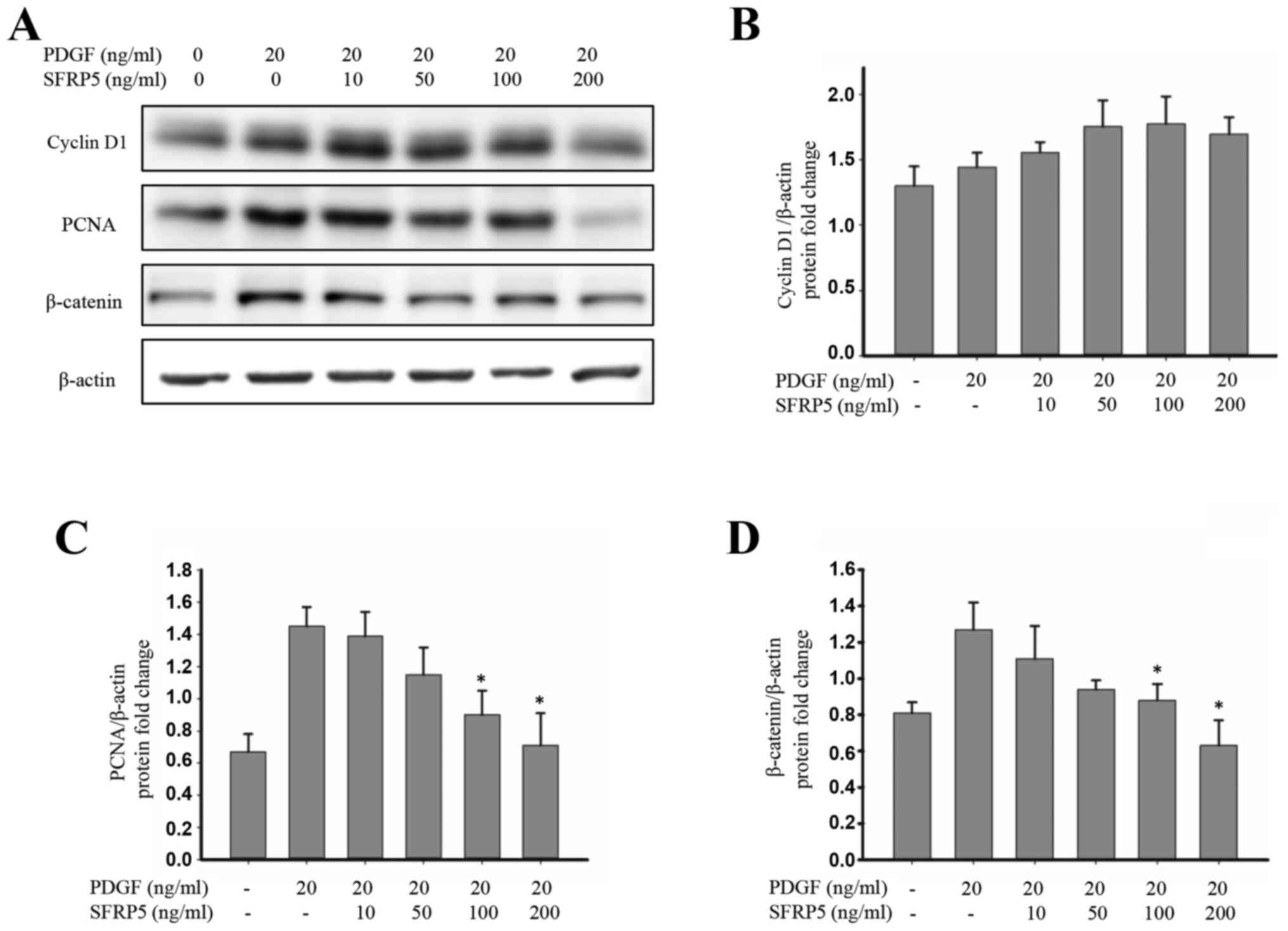
Secreted frizzled-related protein 5 (SFRP5) is one of the anti-inflammatory adipokines secreted from white adipose tissue. However, little is known about the effect of SFRP5 on the cardiovascular system. The aim of the present study was to determine the effect of SFRP5 on smooth muscle cell (SMC) proliferation, migration and inflammation. The plasma levels of SFRP5 were evaluated in a cohort‑based elderly population using ELISA, and the expression of SFRP5 in Sprague‑Dawley rat aortas was detected using immunohistochemistry. SMC proliferation and migration were evaluated in vitro using 5‑ethynyl‑2'‑deoxyuridine cell proliferation and wound‑healing assays, respectively, while reactive oxygen species (ROS) production and cell signaling were assessed using a 2',7'‑dichlorodihydrofluorescein diacetate assay and immunoblotting, respectively. The results revealed that plasma levels of SFRP5 were positively correlated with age in the elderly Chinese cohort. Similarly, aorta SFRP5 expression was significantly higher in 15‑month‑old rats compared with 6‑month‑old rats. In vitro, SFRP5 significantly inhibited rat aortic SMC proliferation and migration that were induced by platelet‑derived growth factor (PDGF)‑BB, as well as inhibiting ROS generation. Compared with the effect of PDGF‑BB on SMCs, SFRP5 at 100 and 200 ng/ml significantly decreased SMC proliferation by 31.5 and 34.8%, respectively (P<0.05). SFRP5 at 100 and 200 ng/ml also inhibited the migration of SMCs by 24.9 and 28.4%, respectively, when compared with the effects of PDGF‑BB. SFRP5 attenuated the PDGF‑BB‑induced expression of β‑catenin and proliferating cell nuclear antigen, while p38 phosphorylation was significantly attenuated. Together, the present results suggested that SFRP5 may inhibit SMC proliferation, migration and inflammation by suppressing the Wnt/β‑catenin and p38/mitogen‑activated protein kinase signaling pathways.
View Figures

Figure 1

Figure 2

Figure 3

Figure 4

Figure 5

Figure 6

Figure 7

View References

1 

North BJ and Sinclair DA: The intersection between aging and cardiovascular disease. Circ Res. 110:1097–1108. 2012. View Article : Google Scholar : PubMed/NCBI

2 

Mistriotis P and Andreadis ST: Vascular aging: Molecular mechanisms and potential treatments for vascular rejuvenation. Ageing Res Rev. 37:94–116. 2017. View Article : Google Scholar : PubMed/NCBI

3 

Ouwens DM, Sell H, Greulich S and Eckel J: The role of epicardial and perivascular adipose tissue in the pathophysiology of cardiovascular disease. J Cell Mol Med. 14:2223–2234. 2010. View Article : Google Scholar : PubMed/NCBI

4 

Rajsheker S, Manka D, Blomkalns AL, Chatterjee TK, Stoll LL and Weintraub NL: Crosstalk between perivascular adipose tissue and blood vessels. Curr Opin Pharmacol. 10:191–196. 2010. View Article : Google Scholar : PubMed/NCBI

5 

Ouchi N, Higuchi A, Ohashi K, Oshima Y, Gokce N, Shibata R, Akasaki Y, Shimono A and Walsh K: Sfrp5 is an anti-inflammatory adipokine that modulates metabolic dysfunction in obesity. Science. 329:454–457. 2010. View Article : Google Scholar : PubMed/NCBI

6 

Mori H, Prestwich TC, Reid MA, Longo KA, Gerin I, Cawthorn WP, Susulic VS, Krishnan V, Greenfield A and Macdougald OA: Secreted frizzled-related protein 5 suppresses adipocyte mitochondrial metabolism through WNT inhibition. J Clin Invest. 122:2405–2416. 2012. View Article : Google Scholar : PubMed/NCBI

7 

Koza RA, Nikonova L, Hogan J, Rim JS, Mendoza T, Faulk C, Skaf J and Kozak LP: Changes in gene expression foreshadow diet-induced obesity in genetically identical mice. PLoS Genet. 2:e812006. View Article : Google Scholar : PubMed/NCBI

8 

Chatani N, Kamada Y, Kizu T, Ogura S, Furuta K, Egawa M, Hamano M, Ezaki H, Kiso S, Shimono A, et al: Secreted frizzled-related protein 5 (Sfrp5) decreases hepatic stellate cell activation and liver fibrosis. Liver Int. 35:2017–2026. 2015. View Article : Google Scholar : PubMed/NCBI

9 

Deng D, Diao Z, Han X and Liu W: Secreted frizzled-related protein 5 attenuates high phosphate-induced calcification in vascular smooth muscle cells by inhibiting the Wnt/ß-catenin pathway. Calcif Tissue Int. 99:66–75. 2016. View Article : Google Scholar : PubMed/NCBI

10 

Miyoshi T, Doi M, Usui S, Iwamoto M, Kajiya M, Takeda K, Nosaka K, Nakayama R, Okawa K, Takagi W, et al: Low serum level of secreted frizzled-related protein 5, an anti-inflammatory adipokine, is associated with coronary artery disease. Atherosclerosis. 233:454–459. 2014. View Article : Google Scholar : PubMed/NCBI

11 

Nakamura K, Sano S, Fuster JJ, Kikuchi R, Shimizu I, Ohshima K, Katanasaka Y, Ouchi N and Walsh K: Secreted frizzled-related protein 5 diminishes cardiac inflammation and protects the heart from ischemia/reperfusion injury. J Biol Chem. 291:2566–2575. 2016. View Article : Google Scholar : PubMed/NCBI

12 

Ji H, Xiong J, Yu S, Chi C, Fan X, Bai B, Zhou Y, Teliewubai J, Lu Y, Xu H, et al: Northern shanghai study: Cardiovascular risk and its associated factors in the Chinese elderly-a study protocol of a prospective study design. BMJ Open. 7:e0138802017. View Article : Google Scholar : PubMed/NCBI

13 

Travo P, Barrett G and Burnstock G: Differences in proliferation of primary cultures of vascular smooth muscle cells taken from male and female rats. Blood Vessels. 17:110–116. 1980.PubMed/NCBI

14 

Baumgartner HR and Hosang M: Platelets, platelet-derived growth factor and arteriosclerosis. Experientia. 44:109–112. 1988. View Article : Google Scholar : PubMed/NCBI

15 

Satoh W, Matsuyama M, Takemura H, Aizawa S and Shimono A: Sfrp1, Sfrp2, and Sfrp5 regulate the Wnt/beta-catenin and the planar cell polarity pathways during early trunk formation in mouse. Genesis. 46:92–103. 2008. View Article : Google Scholar : PubMed/NCBI

16 

Li Y, Rankin SA, Sinner D, Kenny AP, Krieg PA and Zorn AM: Sfrp5 coordinates foregut specification and morphogenesis by antagonizing both canonical and noncanonical Wnt11 signaling. Genes Dev. 22:3050–3063. 2008. View Article : Google Scholar : PubMed/NCBI

17 

Lu YC, Wang CP, Hsu CC, Chiu CA, Yu TH, Hung WC, Lu LF, Chung FM, Tsai IT, Lin HC and Lee YJ: Circulating secreted frizzled-related protein 5 (Sfrp5) and wingless-type MMTV integration site family member 5a (Wnt5a) levels in patients with type 2 diabetes mellitus. Diabetes Metab Res Rev. 29:551–556. 2013.PubMed/NCBI

18 

Carstensen M, Herder C, Kempf K, Erlund I, Martin S, Koenig W, Sundvall J, Bidel S, Kuha S, Roden M and Tuomilehto J: Sfrp5 correlates with insulin resistance and oxidative stress. Eur J Clin Invest. 43:350–357. 2013. View Article : Google Scholar : PubMed/NCBI

19 

Jin X, Guo B, Yan J, Yang R, Chang L, Wang Y, Miao C, Liu S, Zhang H and Li Y: Angiotensin II increases secreted frizzled-related protein 5 (sFRP5) expression through AT1 receptor/Rho/ROCK1/JNK signaling in cardiomyocytes. Mol Cell Biochem. 408:215–222. 2015. View Article : Google Scholar : PubMed/NCBI

20 

Bovolenta P, Rodriguez J and Esteve P: Frizzled/RYK mediated signalling in axon guidance. Development. 133:4399–4408. 2006. View Article : Google Scholar : PubMed/NCBI

21 

Nelson WJ and Nusse R: Convergence of Wnt, beta-catenin, and cadherin pathways. Science. 303:1483–1487. 2004. View Article : Google Scholar : PubMed/NCBI

22 

Logan CY and Nusse R: The Wnt signaling pathway in development and disease. Annu Rev Cell Dev Biol. 20:781–810. 2004. View Article : Google Scholar : PubMed/NCBI

23 

Clevers H and Nusse R: Wnt/β-catenin signaling and disease. Cell. 149:1192–1205. 2012. View Article : Google Scholar : PubMed/NCBI

24 

Kawano Y and Kypta R: Secreted antagonists of the Wnt signalling pathway. J Cell Sci. 116:2627–2634. 2003. View Article : Google Scholar : PubMed/NCBI

25 

Suzuki H, Watkins DN, Jair KW, Schuebel KE, Markowitz SD, Chen WD, Pretlow TP, Yang B, Akiyama Y, Van Engeland M, et al: Epigenetic inactivation of SFRP genes allows constitutive WNT signaling in colorectal cancer. Nat Genet. 36:417–422. 2004. View Article : Google Scholar : PubMed/NCBI

26 

Pećina-Šlaus N, Kafka A, Varošanec AM, Marković L, Krsnik Ž, Njirić N and Mrak G: Expression patterns of Wnt signaling component, secreted frizzled-related protein 3 in astrocytoma and glioblastoma. Mol Med Rep. 13:4245–4251. 2016. View Article : Google Scholar : PubMed/NCBI

27 

Wang L, Zhu LH, Jiang H, Tang QZ, Yan L, Wang D, Liu C, Bian ZY and Li H: Grape seed proanthocyanidins attenuate vascular smooth muscle cell proliferation via blocking phosphatidylinositol 3-kinase-dependent signaling pathways. J Cell Physiol. 223:713–726. 2010.PubMed/NCBI

28 

Huang C, Jacobson K and Schaller MD: MAP kinases and cell migration. J Cell Sci. 117:4619–4628. 2004. View Article : Google Scholar : PubMed/NCBI

29 

Ono K and Han J: The p38 signal transduction pathway: Activation and function. Cell Signal. 12:1–13. 2000. View Article : Google Scholar : PubMed/NCBI

30 

Dong LH, Wen JK, Miao SB, Jia Z, Hu HJ, Sun RH, Wu Y and Han M: Baicalin inhibits PDGF-BB-stimulated vascular smooth muscle cell proliferation through suppressing PDGFRβ-ERK signaling and increase in p27 accumulation and prevents injury-induced neointimal hyperplasia. Cell Res. 20:1252–1262. 2010. View Article : Google Scholar : PubMed/NCBI

31 

Iida M, Tanabe K, Kozawa O and Iida H: Differential effects of intravenous anesthetics on PDGF-BB-induced vascular smooth muscle cell migration. Cell Physiol Biochem. 33:1827–1837. 2014. View Article : Google Scholar : PubMed/NCBI

Related Articles

  • Abstract
  • View
  • Download
  • Twitter
Copy and paste a formatted citation
Spandidos Publications style
Teliewubai J, Ji H, Lu Y, Bai B, Yu S, Chi C, Xu Y and Zhang Y: SFRP5 serves a beneficial role in arterial aging by inhibiting the proliferation, migration and inflammation of smooth muscle cells. Mol Med Rep 18: 4682-4690, 2018.
APA
Teliewubai, J., Ji, H., Lu, Y., Bai, B., Yu, S., Chi, C. ... Zhang, Y. (2018). SFRP5 serves a beneficial role in arterial aging by inhibiting the proliferation, migration and inflammation of smooth muscle cells. Molecular Medicine Reports, 18, 4682-4690. https://doi.org/10.3892/mmr.2018.9467
MLA
Teliewubai, J., Ji, H., Lu, Y., Bai, B., Yu, S., Chi, C., Xu, Y., Zhang, Y."SFRP5 serves a beneficial role in arterial aging by inhibiting the proliferation, migration and inflammation of smooth muscle cells". Molecular Medicine Reports 18.5 (2018): 4682-4690.
Chicago
Teliewubai, J., Ji, H., Lu, Y., Bai, B., Yu, S., Chi, C., Xu, Y., Zhang, Y."SFRP5 serves a beneficial role in arterial aging by inhibiting the proliferation, migration and inflammation of smooth muscle cells". Molecular Medicine Reports 18, no. 5 (2018): 4682-4690. https://doi.org/10.3892/mmr.2018.9467
Copy and paste a formatted citation
x
Spandidos Publications style
Teliewubai J, Ji H, Lu Y, Bai B, Yu S, Chi C, Xu Y and Zhang Y: SFRP5 serves a beneficial role in arterial aging by inhibiting the proliferation, migration and inflammation of smooth muscle cells. Mol Med Rep 18: 4682-4690, 2018.
APA
Teliewubai, J., Ji, H., Lu, Y., Bai, B., Yu, S., Chi, C. ... Zhang, Y. (2018). SFRP5 serves a beneficial role in arterial aging by inhibiting the proliferation, migration and inflammation of smooth muscle cells. Molecular Medicine Reports, 18, 4682-4690. https://doi.org/10.3892/mmr.2018.9467
MLA
Teliewubai, J., Ji, H., Lu, Y., Bai, B., Yu, S., Chi, C., Xu, Y., Zhang, Y."SFRP5 serves a beneficial role in arterial aging by inhibiting the proliferation, migration and inflammation of smooth muscle cells". Molecular Medicine Reports 18.5 (2018): 4682-4690.
Chicago
Teliewubai, J., Ji, H., Lu, Y., Bai, B., Yu, S., Chi, C., Xu, Y., Zhang, Y."SFRP5 serves a beneficial role in arterial aging by inhibiting the proliferation, migration and inflammation of smooth muscle cells". Molecular Medicine Reports 18, no. 5 (2018): 4682-4690. https://doi.org/10.3892/mmr.2018.9467
Follow us
  • Twitter
  • LinkedIn
  • Facebook
About
  • Spandidos Publications
  • Careers
  • Cookie Policy
  • Privacy Policy
How can we help?
  • Help
  • Live Chat
  • Contact
  • Email to our Support Team