Spandidos Publications Logo
  • About
    • About Spandidos
    • Aims and Scopes
    • Abstracting and Indexing
    • Editorial Policies
    • Reprints and Permissions
    • Job Opportunities
    • Terms and Conditions
    • Contact
  • Journals
    • All Journals
    • Oncology Letters
      • Oncology Letters
      • Information for Authors
      • Editorial Policies
      • Editorial Board
      • Aims and Scope
      • Abstracting and Indexing
      • Bibliographic Information
      • Archive
    • International Journal of Oncology
      • International Journal of Oncology
      • Information for Authors
      • Editorial Policies
      • Editorial Board
      • Aims and Scope
      • Abstracting and Indexing
      • Bibliographic Information
      • Archive
    • Molecular and Clinical Oncology
      • Molecular and Clinical Oncology
      • Information for Authors
      • Editorial Policies
      • Editorial Board
      • Aims and Scope
      • Abstracting and Indexing
      • Bibliographic Information
      • Archive
    • Experimental and Therapeutic Medicine
      • Experimental and Therapeutic Medicine
      • Information for Authors
      • Editorial Policies
      • Editorial Board
      • Aims and Scope
      • Abstracting and Indexing
      • Bibliographic Information
      • Archive
    • International Journal of Molecular Medicine
      • International Journal of Molecular Medicine
      • Information for Authors
      • Editorial Policies
      • Editorial Board
      • Aims and Scope
      • Abstracting and Indexing
      • Bibliographic Information
      • Archive
    • Biomedical Reports
      • Biomedical Reports
      • Information for Authors
      • Editorial Policies
      • Editorial Board
      • Aims and Scope
      • Abstracting and Indexing
      • Bibliographic Information
      • Archive
    • Oncology Reports
      • Oncology Reports
      • Information for Authors
      • Editorial Policies
      • Editorial Board
      • Aims and Scope
      • Abstracting and Indexing
      • Bibliographic Information
      • Archive
    • Molecular Medicine Reports
      • Molecular Medicine Reports
      • Information for Authors
      • Editorial Policies
      • Editorial Board
      • Aims and Scope
      • Abstracting and Indexing
      • Bibliographic Information
      • Archive
    • World Academy of Sciences Journal
      • World Academy of Sciences Journal
      • Information for Authors
      • Editorial Policies
      • Editorial Board
      • Aims and Scope
      • Abstracting and Indexing
      • Bibliographic Information
      • Archive
    • International Journal of Functional Nutrition
      • International Journal of Functional Nutrition
      • Information for Authors
      • Editorial Policies
      • Editorial Board
      • Aims and Scope
      • Abstracting and Indexing
      • Bibliographic Information
      • Archive
    • International Journal of Epigenetics
      • International Journal of Epigenetics
      • Information for Authors
      • Editorial Policies
      • Editorial Board
      • Aims and Scope
      • Abstracting and Indexing
      • Bibliographic Information
      • Archive
    • Medicine International
      • Medicine International
      • Information for Authors
      • Editorial Policies
      • Editorial Board
      • Aims and Scope
      • Abstracting and Indexing
      • Bibliographic Information
      • Archive
  • Articles
  • Information
    • Information for Authors
    • Information for Reviewers
    • Information for Librarians
    • Information for Advertisers
    • Conferences
  • Language Editing
Spandidos Publications Logo
  • About
    • About Spandidos
    • Aims and Scopes
    • Abstracting and Indexing
    • Editorial Policies
    • Reprints and Permissions
    • Job Opportunities
    • Terms and Conditions
    • Contact
  • Journals
    • All Journals
    • Biomedical Reports
      • Information for Authors
      • Editorial Policies
      • Editorial Board
      • Aims and Scope
      • Abstracting and Indexing
      • Bibliographic Information
      • Archive
    • Experimental and Therapeutic Medicine
      • Information for Authors
      • Editorial Policies
      • Editorial Board
      • Aims and Scope
      • Abstracting and Indexing
      • Bibliographic Information
      • Archive
    • International Journal of Epigenetics
      • Information for Authors
      • Editorial Policies
      • Editorial Board
      • Aims and Scope
      • Abstracting and Indexing
      • Bibliographic Information
      • Archive
    • International Journal of Functional Nutrition
      • Information for Authors
      • Editorial Policies
      • Editorial Board
      • Aims and Scope
      • Abstracting and Indexing
      • Bibliographic Information
      • Archive
    • International Journal of Molecular Medicine
      • Information for Authors
      • Editorial Policies
      • Editorial Board
      • Aims and Scope
      • Abstracting and Indexing
      • Bibliographic Information
      • Archive
    • International Journal of Oncology
      • Information for Authors
      • Editorial Policies
      • Editorial Board
      • Aims and Scope
      • Abstracting and Indexing
      • Bibliographic Information
      • Archive
    • Medicine International
      • Information for Authors
      • Editorial Policies
      • Editorial Board
      • Aims and Scope
      • Abstracting and Indexing
      • Bibliographic Information
      • Archive
    • Molecular and Clinical Oncology
      • Information for Authors
      • Editorial Policies
      • Editorial Board
      • Aims and Scope
      • Abstracting and Indexing
      • Bibliographic Information
      • Archive
    • Molecular Medicine Reports
      • Information for Authors
      • Editorial Policies
      • Editorial Board
      • Aims and Scope
      • Abstracting and Indexing
      • Bibliographic Information
      • Archive
    • Oncology Letters
      • Information for Authors
      • Editorial Policies
      • Editorial Board
      • Aims and Scope
      • Abstracting and Indexing
      • Bibliographic Information
      • Archive
    • Oncology Reports
      • Information for Authors
      • Editorial Policies
      • Editorial Board
      • Aims and Scope
      • Abstracting and Indexing
      • Bibliographic Information
      • Archive
    • World Academy of Sciences Journal
      • Information for Authors
      • Editorial Policies
      • Editorial Board
      • Aims and Scope
      • Abstracting and Indexing
      • Bibliographic Information
      • Archive
  • Articles
  • Information
    • For Authors
    • For Reviewers
    • For Librarians
    • For Advertisers
    • Conferences
  • Language Editing
Login Register Submit
  • This site uses cookies
  • You can change your cookie settings at any time by following the instructions in our Cookie Policy. To find out more, you may read our Privacy Policy.

    I agree
Search articles by DOI, keyword, author or affiliation
Search
Advanced Search
presentation
Molecular Medicine Reports
Join Editorial Board Propose a Special Issue
Print ISSN: 1791-2997 Online ISSN: 1791-3004
Journal Cover
January-2019 Volume 19 Issue 1

Full Size Image

Sign up for eToc alerts
Recommend to Library

Journals

International Journal of Molecular Medicine

International Journal of Molecular Medicine

International Journal of Molecular Medicine is an international journal devoted to molecular mechanisms of human disease.

International Journal of Oncology

International Journal of Oncology

International Journal of Oncology is an international journal devoted to oncology research and cancer treatment.

Molecular Medicine Reports

Molecular Medicine Reports

Covers molecular medicine topics such as pharmacology, pathology, genetics, neuroscience, infectious diseases, molecular cardiology, and molecular surgery.

Oncology Reports

Oncology Reports

Oncology Reports is an international journal devoted to fundamental and applied research in Oncology.

Experimental and Therapeutic Medicine

Experimental and Therapeutic Medicine

Experimental and Therapeutic Medicine is an international journal devoted to laboratory and clinical medicine.

Oncology Letters

Oncology Letters

Oncology Letters is an international journal devoted to Experimental and Clinical Oncology.

Biomedical Reports

Biomedical Reports

Explores a wide range of biological and medical fields, including pharmacology, genetics, microbiology, neuroscience, and molecular cardiology.

Molecular and Clinical Oncology

Molecular and Clinical Oncology

International journal addressing all aspects of oncology research, from tumorigenesis and oncogenes to chemotherapy and metastasis.

World Academy of Sciences Journal

World Academy of Sciences Journal

Multidisciplinary open-access journal spanning biochemistry, genetics, neuroscience, environmental health, and synthetic biology.

International Journal of Functional Nutrition

International Journal of Functional Nutrition

Open-access journal combining biochemistry, pharmacology, immunology, and genetics to advance health through functional nutrition.

International Journal of Epigenetics

International Journal of Epigenetics

Publishes open-access research on using epigenetics to advance understanding and treatment of human disease.

Medicine International

Medicine International

An International Open Access Journal Devoted to General Medicine.

Journal Cover
January-2019 Volume 19 Issue 1

Full Size Image

Sign up for eToc alerts
Recommend to Library

  • Article
  • Citations
    • Cite This Article
    • Download Citation
    • Create Citation Alert
    • Remove Citation Alert
    • Cited By
  • Similar Articles
    • Related Articles (in Spandidos Publications)
    • Similar Articles (Google Scholar)
    • Similar Articles (PubMed)
  • Download PDF
  • Download XML
  • View XML
Article Open Access

Function of BRD4 in the pathogenesis of high glucose‑induced cardiac hypertrophy

  • Authors:
    • Qian Wang
    • Yuxin Sun
    • Tianshu Li
    • Lianqin Liu
    • Yunxia Zhao
    • Liyuan Li
    • Ling Zhang
    • Yan Meng
  • View Affiliations / Copyright

    Affiliations: Department of Pathophysiology, Prostate Diseases Prevention and Treatment Research Center, College of Basic Medical Science, Jilin University, Changchun, Jilin 130021, P.R. China, Department of Otorhinolaryngology, China‑Japan Union Hospital, Jilin University, Changchun, Jilin 130021, P.R. China, Department of Functional Science Experiment Center, College of Basic Medical Science, Jilin University, Changchun, Jilin 130021, P.R. China
    Copyright: © Wang et al. This is an open access article distributed under the terms of Creative Commons Attribution License.
  • Pages: 499-507
    |
    Published online on: November 21, 2018
       https://doi.org/10.3892/mmr.2018.9681
  • Expand metrics +
Metrics: Total Views: 0 (Spandidos Publications: | PMC Statistics: )
Metrics: Total PDF Downloads: 0 (Spandidos Publications: | PMC Statistics: )
Cited By (CrossRef): 0 citations Loading Articles...

This article is mentioned in:



Abstract

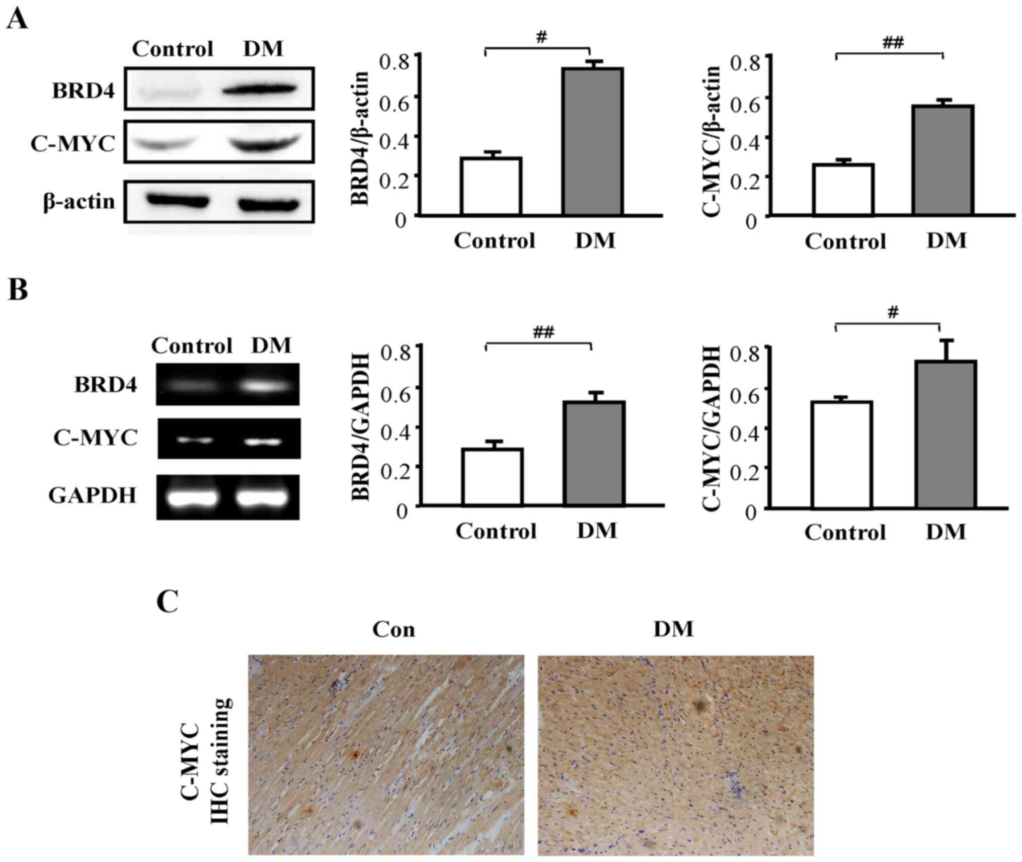
Diabetic cardiomyopathy is one of the major complications of diabetes, and due to the increasing number of patients with diabetes it is a growing concern. Diabetes‑induced cardiomyopathy has a complex pathogenesis and histone deacetylase‑mediated epigenetic processes are of prominent importance. The olfactory bromodomain‑containing protein 4 (BRD4) is a protein that recognizes and binds acetylated lysine. It has been reported that the high expression of BRD4 is involved in the process of cardiac hypertrophy. The aim of the present study was to investigate the function of BRD4 in the process of high glucose (HG)‑induced cardiac hypertrophy, and to clarify whether epigenetic regulation involving BRD4 is an important mechanism. It was revealed that BRD4 expression levels were increased in H9C2 cells following 48 h of HG stimulation. This result was also observed in a diabetic rat model. Furthermore, HG stimulation resulted in the upregulation of the myocardial hypertrophy marker, atrial natriuretic peptide, the cytoskeletal protein α‑actin and fibrosis‑associated genes including transforming growth factor‑β, SMAD family member 3, connective tissue growth factor and collagen, type 1, α1. However, administration of the specific BRD4 inhibitor JQ1 (250 nM) for 48 h reversed this phenomenon. Furthermore, protein kinase B (AKT) phosphorylation was activated by HG stimulation and suppressed by JQ1. In conclusion, BRD4 serves an important role in the pathogenesis of HG‑induced cardiomyocyte hypertrophy through the AKT pathway.
View Figures

Figure 1

Figure 2

Figure 3

Figure 4

Figure 5

View References

1 

Spiltoir JI, Stratton MS, Cavasin MA, Demos-Davies K, Reid BG, Qi J, Bradner JE and McKinsey TA: BET acetyl-lysine binding proteins control pathological cardiac hypertrophy. J Mol Cell Cardiol. 63:175–179. 2013. View Article : Google Scholar : PubMed/NCBI

2 

Roger VL, Go AS, Lloyd-Jones DM, Benjamin EJ, Berry JD, Borden WB, Bravata DM, Dai S, Ford ES, Fox CS, et al: Heart disease and stroke statistics-2012 update: A report from the American Heart Association. Circulation. 125:e2–e220. 2012.PubMed/NCBI

3 

Gao Q, Guan L, Hu S, Yao Y, Ren X, Zhang Z, Cheng C, Liu Y, Zhang C, Huang J, et al: Study on the mechanism of HIF1a-SOX9 in glucose-induced cardiomyocyte hypertrophy. Biomed Pharmacother. 74:57–62. 2015. View Article : Google Scholar : PubMed/NCBI

4 

Manyari DE: Prognostic implications of echocardiographically determined left ventricular mass in the Framingham Heart Study. N Engl J Med. 323:1706–1707. 1990. View Article : Google Scholar : PubMed/NCBI

5 

Rababa'h A, Singh S, Suryavanshi SV, Altarabsheh SE, Deo SV and McConnell BK: Compartmentalization role of A-kinase anchoring proteins (AKAPs) in mediating protein kinase A (PKA) signaling and cardiomyocyte hypertrophy. Int J Mol Sci. 16:218–229. 2014. View Article : Google Scholar : PubMed/NCBI

6 

Liang D, Zhong P, Hu J, Lin F, Qian Y, Xu Z, Wang J, Zeng C, Li X and Liang G: EGFR inhibition protects cardiac damage and remodeling through attenuating oxidative stress in STZ-induced diabetic mouse model. J Mol Cell Cardiol. 82:63–74. 2015. View Article : Google Scholar : PubMed/NCBI

7 

Fukushima A and Lopaschuk GD: Cardiac fatty acid oxidation in heart failure associated with obesity and diabetes. Biochim Biophys Acta. 1861:1525–1534. 2016. View Article : Google Scholar : PubMed/NCBI

8 

Wang Y, Zhang J, Zhang L, Gao P and Wu X: Adiponectin attenuates high glucose-induced apoptosis through the AMPK/p38 MAPK signaling pathway in NRK-52E cells. PLoS One. 12:e01782152017. View Article : Google Scholar : PubMed/NCBI

9 

Lin CY, Hsu YJ, Hsu SC, Chen Y, Lee HS, Lin SH, Huang SM, Tsai CS and Shih CC: CB1 cannabinoid receptor antagonist attenuates left ventricular hypertrophy and Akt-mediated cardiac fibrosis in experimental uremia. J Mol Cell Cardiol. 85:249–261. 2015. View Article : Google Scholar : PubMed/NCBI

10 

Langer S, Kreutz R and Eisenreich A: Metformin modulates apoptosis and cell signaling of human podocytes under high glucose conditions. J Nephrol. 29:765–773. 2016. View Article : Google Scholar : PubMed/NCBI

11 

Kim SY, Morales CR, Gillette TG and Hill JA: Epigenetic regulation in heart failure. Curr Opin Cardiol. 31:255–265. 2016. View Article : Google Scholar : PubMed/NCBI

12 

Dekker J and Mirny L: The 3D genome as moderator of chromosomal communication. Cell. 164:1110–1121. 2016. View Article : Google Scholar : PubMed/NCBI

13 

Heinz S, Romanoski CE, Benner C and Glass CK: The selection and function of cell type-specific enhancers. Nat Rev Mol Cell Biol. 16:144–154. 2015. View Article : Google Scholar : PubMed/NCBI

14 

May D, Blow MJ, Kaplan T, McCulley DJ, Jensen BC, Akiyama JA, Holt A, Plajzer-Frick I, Shoukry M, Wright C, et al: Large-scale discovery of enhancers from human heart tissue. Nat Genet. 44:89–93. 2011. View Article : Google Scholar : PubMed/NCBI

15 

Phillips JE and Corces VG: CTCF: Master weaver of the genome. Cell. 137:1194–1211. 2009. View Article : Google Scholar : PubMed/NCBI

16 

Schmitt AD, Hu M, Jung I, Xu Z, Qiu Y, Tan CL, Li Y, Lin S, Lin Y, Barr CL and Ren B: A compendium of chromatin contact maps reveals spatially active regions in the human genome. Cell Rep. 17:2042–2059. 2016. View Article : Google Scholar : PubMed/NCBI

17 

Wamstad JA, Alexander JM, Truty RM, Shrikumar A, Li F, Eilertson KE, Ding H, Wylie JN, Pico AR, Capra JA, et al: Dynamic and coordinated epigenetic regulation of developmental transitions in the cardiac lineage. Cell. 151:206–220. 2012. View Article : Google Scholar : PubMed/NCBI

18 

Sun Y, Huang J and Song K: BET protein inhibition mitigates acute myocardial infarction damage in rats via the TLR4/TRAF6/NF-κB pathway. Exp Ther Med. 10:2319–2324. 2015. View Article : Google Scholar : PubMed/NCBI

19 

Mumby S, Gambaryan N, Meng C, Perros F, Humbert M, Wort SJ and Adcock IM: Bromodomain and extra-terminal protein mimic JQ1 decreases inflammation in human vascular endothelial cells: Implications for pulmonary arterial hypertension. Respirology. 22:157–164. 2017. View Article : Google Scholar : PubMed/NCBI

20 

Zhang HP, Li GQ, Guo WZ, Chen GH, Tang HW, Yan B, Li J, Zhang JK, Wen PH, Wang ZH, et al: Oridonin synergistically enhances JQ1-triggered apoptosis in hepatocellular cancer cells through mitochondrial pathway. Oncotarget. 8:106833–106843. 2017.PubMed/NCBI

21 

Mio C, Conzatti K, Baldan F, Allegri L, Sponziello M, Rosignolo F, Russo D, Filetti S and Damante G: BET bromodomain inhibitor JQ1 modulates microRNA expression in thyroid cancer cells. Oncol Rep. 39:582–588. 2018.PubMed/NCBI

22 

Wang H, Hong B, Li X, Deng K, Li H, Yan Lui VW and Lin W: JQ1 synergizes with the Bcl-2 inhibitor ABT-263 against MYCN-amplified small cell lung cancer. Oncotarget. 8:86312–86324. 2017.PubMed/NCBI

23 

Huynh K, Bernardo BC, McMullen JR and Ritchie RH: Diabetic cardiomyopathy: Mechanisms and new treatment strategies targeting antioxidant signaling pathways. Pharmacol Ther. 142:375–415. 2014. View Article : Google Scholar : PubMed/NCBI

24 

Owen DJ, Ornaghi P, Yang JC, Lowe N, Evans PR, Ballario P, Neuhaus D, Filetici P and Travers AA: The structural basis for the recognition of acetylated histone H4 by the bromodomain of histone acetyltransferase gcn5p. EMBO J. 19:6141–6149. 2000. View Article : Google Scholar : PubMed/NCBI

25 

Bennett RL and Licht JD: Targeting epigenetics in cancer. Annu Rev Pharmacol Toxicol. 58:187–207. 2018. View Article : Google Scholar : PubMed/NCBI

26 

Livak KJ and Schmittgen TD: Analysis of relative gene expression data using real-time quantitative PCR and the 2(-Delta Delta C(T)) method. Methods. 25:402–408. 2001. View Article : Google Scholar : PubMed/NCBI

27 

Perry MM, Durham AL, Austin PJ, Adcock IM and Chung KF: BET bromodomains regulate transforming growth factor-β-induced proliferation and cytokine release in asthmatic airway smooth muscle. J Biol Chem. 290:9111–9121. 2015. View Article : Google Scholar : PubMed/NCBI

28 

Johnson R, Dludla P, Joubert E, February F, Mazibuko S, Ghoor S, Muller C and Louw J: Aspalathin, a dihydrochalcone C-glucoside, protects H9c2 cardiomyocytes against high glucose induced shifts in substrate preference and apoptosis. Mol Nutr Food Res. 60:922–934. 2016. View Article : Google Scholar : PubMed/NCBI

29 

Zhang Y, Babcock SA, Hu N, Maris JR, Wang H and Ren J: Mitochondrial aldehyde dehydrogenase (ALDH2) protects against streptozotocin-induced diabetic cardiomyopathy: Role of GSK3β and mitochondrial function. BMC Med. 10:402012. View Article : Google Scholar : PubMed/NCBI

30 

Duan Q, McMahon S, Anand P, Shah H, Thomas S, Salunga HT, Huang Y, Zhang R, Sahadevan A, Lemieux ME, et al: BET bromodomain inhibition suppresses innate inflammatory and profibrotic transcriptional networks in heart failure. Sci Transl Med. 9(pii): eaah50842017. View Article : Google Scholar : PubMed/NCBI

31 

Ning B, Li W, Zhao W and Wang R: Targeting epigenetic regulations in cancer. Acta Biochim Biophys Sin (Shanghai). 48:97–109. 2016.PubMed/NCBI

32 

Itzen F, Greifenberg AK, Bösken CA and Geyer M: Brd4 activates P-TEFb for RNA polymerase II CTD phosphorylation. Nucleic Acids Res. 42:7577–7590. 2014. View Article : Google Scholar : PubMed/NCBI

Related Articles

  • Abstract
  • View
  • Download
  • Twitter
Copy and paste a formatted citation
Spandidos Publications style
Wang Q, Sun Y, Li T, Liu L, Zhao Y, Li L, Zhang L and Meng Y: Function of BRD4 in the pathogenesis of high glucose‑induced cardiac hypertrophy. Mol Med Rep 19: 499-507, 2019.
APA
Wang, Q., Sun, Y., Li, T., Liu, L., Zhao, Y., Li, L. ... Meng, Y. (2019). Function of BRD4 in the pathogenesis of high glucose‑induced cardiac hypertrophy. Molecular Medicine Reports, 19, 499-507. https://doi.org/10.3892/mmr.2018.9681
MLA
Wang, Q., Sun, Y., Li, T., Liu, L., Zhao, Y., Li, L., Zhang, L., Meng, Y."Function of BRD4 in the pathogenesis of high glucose‑induced cardiac hypertrophy". Molecular Medicine Reports 19.1 (2019): 499-507.
Chicago
Wang, Q., Sun, Y., Li, T., Liu, L., Zhao, Y., Li, L., Zhang, L., Meng, Y."Function of BRD4 in the pathogenesis of high glucose‑induced cardiac hypertrophy". Molecular Medicine Reports 19, no. 1 (2019): 499-507. https://doi.org/10.3892/mmr.2018.9681
Copy and paste a formatted citation
x
Spandidos Publications style
Wang Q, Sun Y, Li T, Liu L, Zhao Y, Li L, Zhang L and Meng Y: Function of BRD4 in the pathogenesis of high glucose‑induced cardiac hypertrophy. Mol Med Rep 19: 499-507, 2019.
APA
Wang, Q., Sun, Y., Li, T., Liu, L., Zhao, Y., Li, L. ... Meng, Y. (2019). Function of BRD4 in the pathogenesis of high glucose‑induced cardiac hypertrophy. Molecular Medicine Reports, 19, 499-507. https://doi.org/10.3892/mmr.2018.9681
MLA
Wang, Q., Sun, Y., Li, T., Liu, L., Zhao, Y., Li, L., Zhang, L., Meng, Y."Function of BRD4 in the pathogenesis of high glucose‑induced cardiac hypertrophy". Molecular Medicine Reports 19.1 (2019): 499-507.
Chicago
Wang, Q., Sun, Y., Li, T., Liu, L., Zhao, Y., Li, L., Zhang, L., Meng, Y."Function of BRD4 in the pathogenesis of high glucose‑induced cardiac hypertrophy". Molecular Medicine Reports 19, no. 1 (2019): 499-507. https://doi.org/10.3892/mmr.2018.9681
Follow us
  • Twitter
  • LinkedIn
  • Facebook
About
  • Spandidos Publications
  • Careers
  • Cookie Policy
  • Privacy Policy
How can we help?
  • Help
  • Live Chat
  • Contact
  • Email to our Support Team