Spandidos Publications Logo
  • About
    • About Spandidos
    • Aims and Scopes
    • Abstracting and Indexing
    • Editorial Policies
    • Reprints and Permissions
    • Job Opportunities
    • Terms and Conditions
    • Contact
  • Journals
    • All Journals
    • Oncology Letters
      • Oncology Letters
      • Information for Authors
      • Editorial Policies
      • Editorial Board
      • Aims and Scope
      • Abstracting and Indexing
      • Bibliographic Information
      • Archive
    • International Journal of Oncology
      • International Journal of Oncology
      • Information for Authors
      • Editorial Policies
      • Editorial Board
      • Aims and Scope
      • Abstracting and Indexing
      • Bibliographic Information
      • Archive
    • Molecular and Clinical Oncology
      • Molecular and Clinical Oncology
      • Information for Authors
      • Editorial Policies
      • Editorial Board
      • Aims and Scope
      • Abstracting and Indexing
      • Bibliographic Information
      • Archive
    • Experimental and Therapeutic Medicine
      • Experimental and Therapeutic Medicine
      • Information for Authors
      • Editorial Policies
      • Editorial Board
      • Aims and Scope
      • Abstracting and Indexing
      • Bibliographic Information
      • Archive
    • International Journal of Molecular Medicine
      • International Journal of Molecular Medicine
      • Information for Authors
      • Editorial Policies
      • Editorial Board
      • Aims and Scope
      • Abstracting and Indexing
      • Bibliographic Information
      • Archive
    • Biomedical Reports
      • Biomedical Reports
      • Information for Authors
      • Editorial Policies
      • Editorial Board
      • Aims and Scope
      • Abstracting and Indexing
      • Bibliographic Information
      • Archive
    • Oncology Reports
      • Oncology Reports
      • Information for Authors
      • Editorial Policies
      • Editorial Board
      • Aims and Scope
      • Abstracting and Indexing
      • Bibliographic Information
      • Archive
    • Molecular Medicine Reports
      • Molecular Medicine Reports
      • Information for Authors
      • Editorial Policies
      • Editorial Board
      • Aims and Scope
      • Abstracting and Indexing
      • Bibliographic Information
      • Archive
    • World Academy of Sciences Journal
      • World Academy of Sciences Journal
      • Information for Authors
      • Editorial Policies
      • Editorial Board
      • Aims and Scope
      • Abstracting and Indexing
      • Bibliographic Information
      • Archive
    • International Journal of Functional Nutrition
      • International Journal of Functional Nutrition
      • Information for Authors
      • Editorial Policies
      • Editorial Board
      • Aims and Scope
      • Abstracting and Indexing
      • Bibliographic Information
      • Archive
    • International Journal of Epigenetics
      • International Journal of Epigenetics
      • Information for Authors
      • Editorial Policies
      • Editorial Board
      • Aims and Scope
      • Abstracting and Indexing
      • Bibliographic Information
      • Archive
    • Medicine International
      • Medicine International
      • Information for Authors
      • Editorial Policies
      • Editorial Board
      • Aims and Scope
      • Abstracting and Indexing
      • Bibliographic Information
      • Archive
  • Articles
  • Information
    • Information for Authors
    • Information for Reviewers
    • Information for Librarians
    • Information for Advertisers
    • Conferences
  • Language Editing
Spandidos Publications Logo
  • About
    • About Spandidos
    • Aims and Scopes
    • Abstracting and Indexing
    • Editorial Policies
    • Reprints and Permissions
    • Job Opportunities
    • Terms and Conditions
    • Contact
  • Journals
    • All Journals
    • Biomedical Reports
      • Information for Authors
      • Editorial Policies
      • Editorial Board
      • Aims and Scope
      • Abstracting and Indexing
      • Bibliographic Information
      • Archive
    • Experimental and Therapeutic Medicine
      • Information for Authors
      • Editorial Policies
      • Editorial Board
      • Aims and Scope
      • Abstracting and Indexing
      • Bibliographic Information
      • Archive
    • International Journal of Epigenetics
      • Information for Authors
      • Editorial Policies
      • Editorial Board
      • Aims and Scope
      • Abstracting and Indexing
      • Bibliographic Information
      • Archive
    • International Journal of Functional Nutrition
      • Information for Authors
      • Editorial Policies
      • Editorial Board
      • Aims and Scope
      • Abstracting and Indexing
      • Bibliographic Information
      • Archive
    • International Journal of Molecular Medicine
      • Information for Authors
      • Editorial Policies
      • Editorial Board
      • Aims and Scope
      • Abstracting and Indexing
      • Bibliographic Information
      • Archive
    • International Journal of Oncology
      • Information for Authors
      • Editorial Policies
      • Editorial Board
      • Aims and Scope
      • Abstracting and Indexing
      • Bibliographic Information
      • Archive
    • Medicine International
      • Information for Authors
      • Editorial Policies
      • Editorial Board
      • Aims and Scope
      • Abstracting and Indexing
      • Bibliographic Information
      • Archive
    • Molecular and Clinical Oncology
      • Information for Authors
      • Editorial Policies
      • Editorial Board
      • Aims and Scope
      • Abstracting and Indexing
      • Bibliographic Information
      • Archive
    • Molecular Medicine Reports
      • Information for Authors
      • Editorial Policies
      • Editorial Board
      • Aims and Scope
      • Abstracting and Indexing
      • Bibliographic Information
      • Archive
    • Oncology Letters
      • Information for Authors
      • Editorial Policies
      • Editorial Board
      • Aims and Scope
      • Abstracting and Indexing
      • Bibliographic Information
      • Archive
    • Oncology Reports
      • Information for Authors
      • Editorial Policies
      • Editorial Board
      • Aims and Scope
      • Abstracting and Indexing
      • Bibliographic Information
      • Archive
    • World Academy of Sciences Journal
      • Information for Authors
      • Editorial Policies
      • Editorial Board
      • Aims and Scope
      • Abstracting and Indexing
      • Bibliographic Information
      • Archive
  • Articles
  • Information
    • For Authors
    • For Reviewers
    • For Librarians
    • For Advertisers
    • Conferences
  • Language Editing
Login Register Submit
  • This site uses cookies
  • You can change your cookie settings at any time by following the instructions in our Cookie Policy. To find out more, you may read our Privacy Policy.

    I agree
Search articles by DOI, keyword, author or affiliation
Search
Advanced Search
presentation
Molecular Medicine Reports
Join Editorial Board Propose a Special Issue
Print ISSN: 1791-2997 Online ISSN: 1791-3004
Journal Cover
May-2019 Volume 19 Issue 5

Full Size Image

Sign up for eToc alerts
Recommend to Library

Journals

International Journal of Molecular Medicine

International Journal of Molecular Medicine

International Journal of Molecular Medicine is an international journal devoted to molecular mechanisms of human disease.

International Journal of Oncology

International Journal of Oncology

International Journal of Oncology is an international journal devoted to oncology research and cancer treatment.

Molecular Medicine Reports

Molecular Medicine Reports

Covers molecular medicine topics such as pharmacology, pathology, genetics, neuroscience, infectious diseases, molecular cardiology, and molecular surgery.

Oncology Reports

Oncology Reports

Oncology Reports is an international journal devoted to fundamental and applied research in Oncology.

Experimental and Therapeutic Medicine

Experimental and Therapeutic Medicine

Experimental and Therapeutic Medicine is an international journal devoted to laboratory and clinical medicine.

Oncology Letters

Oncology Letters

Oncology Letters is an international journal devoted to Experimental and Clinical Oncology.

Biomedical Reports

Biomedical Reports

Explores a wide range of biological and medical fields, including pharmacology, genetics, microbiology, neuroscience, and molecular cardiology.

Molecular and Clinical Oncology

Molecular and Clinical Oncology

International journal addressing all aspects of oncology research, from tumorigenesis and oncogenes to chemotherapy and metastasis.

World Academy of Sciences Journal

World Academy of Sciences Journal

Multidisciplinary open-access journal spanning biochemistry, genetics, neuroscience, environmental health, and synthetic biology.

International Journal of Functional Nutrition

International Journal of Functional Nutrition

Open-access journal combining biochemistry, pharmacology, immunology, and genetics to advance health through functional nutrition.

International Journal of Epigenetics

International Journal of Epigenetics

Publishes open-access research on using epigenetics to advance understanding and treatment of human disease.

Medicine International

Medicine International

An International Open Access Journal Devoted to General Medicine.

Journal Cover
May-2019 Volume 19 Issue 5

Full Size Image

Sign up for eToc alerts
Recommend to Library

  • Article
  • Citations
    • Cite This Article
    • Download Citation
    • Create Citation Alert
    • Remove Citation Alert
    • Cited By
  • Similar Articles
    • Related Articles (in Spandidos Publications)
    • Similar Articles (Google Scholar)
    • Similar Articles (PubMed)
  • Download PDF
  • Download XML
  • View XML
Article Open Access

Ginsenoside Rb1 attenuates intestinal ischemia/reperfusion‑induced inflammation and oxidative stress via activation of the PI3K/Akt/Nrf2 signaling pathway

  • Authors:
    • Sufang Chen
    • Xiang Li
    • Yanling Wang
    • Panwei Mu
    • Chaojin Chen
    • Pinjie Huang
    • Dezhao Liu
  • View Affiliations / Copyright

    Affiliations: Department of Anesthesiology, The Third Affiliated Hospital of Sun Yat‑sen University, Guangzhou, Guangdong 510630, P.R. China, Department of Endocrinology, The Third Affiliated Hospital of Sun Yat‑sen University, Guangzhou, Guangdong 510630, P.R. China
    Copyright: © Chen et al. This is an open access article distributed under the terms of Creative Commons Attribution License.
  • Pages: 3633-3641
    |
    Published online on: March 12, 2019
       https://doi.org/10.3892/mmr.2019.10018
  • Expand metrics +
Metrics: Total Views: 0 (Spandidos Publications: | PMC Statistics: )
Metrics: Total PDF Downloads: 0 (Spandidos Publications: | PMC Statistics: )
Cited By (CrossRef): 0 citations Loading Articles...

This article is mentioned in:



Abstract

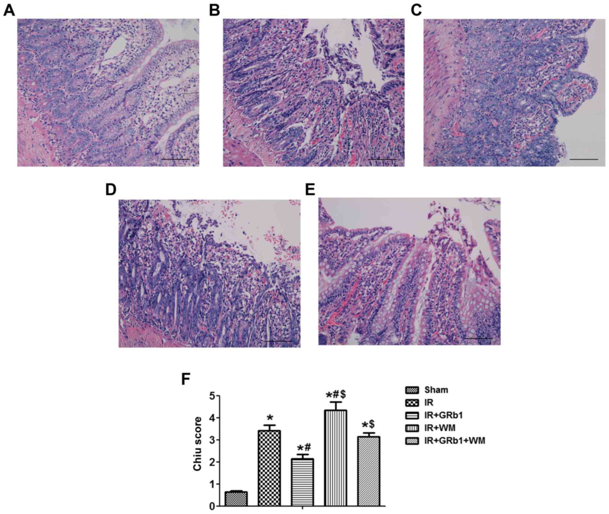
Ginsenoside Rb1 (GRb1), one of the major active saponins isolated from ginseng, has recently been reported to protect various organs against ischemia/reperfusion (IR) injury; however, the mechanisms underlying these protective effects following intestinal IR (IIR) remain unclear. The present study aimed to evaluate the effects of GRb1 on IIR injury and determine the mechanisms involved in these effects. Sprague Dawley rats were subjected to 75 min of superior mesenteric artery occlusion, followed by 3 h of reperfusion. GRb1 (15 mg/kg) was administered intraperitoneally 1 h prior to the induction of IIR, with or without intravenous administration of Wortmannin [WM; a phosphoinositide 3‑kinase (PI3K) inhibitor, 0.6 mg/kg]. The degree of intestinal injury and oxidative stress‑induced damage was determined by histopathologic evaluation and measurement of the serum activity levels of D‑lactate, diamine oxidase and endotoxin, and the levels of malondialdehyde (MDA), superoxide dismutase (SOD) and 8‑iso‑prostaglandin F2α (8‑iso‑PGF2α). The protein expression levels of p85, phosphorylated (p)‑p85, protein kinase B (Akt), p‑Akt and nuclear factor erythroid 2‑related factor 2 (Nrf2) were determined via western blotting, and the concentrations of tumor necrosis factor‑α (TNF‑α), interleukin (IL)‑1β and IL‑6 were measured via ELISA. It was revealed that IIR led to severe intestinal injury (as determined by significant increases in intestinal Chiu scores), which was accompanied with disruptions in the integrity of the intestinal mucosal barrier. IIR also increased the expression levels of TNF‑α, IL‑1β, IL‑6, MDA and 8‑iso‑PGF2α in the intestine, and decreased those of SOD. GRb1 reduced intestinal histological injury, and suppressed inflammatory responses and oxidative stress. Additionally, the protective effects of GRb1 were eliminated by WM. These findings indicated that GRb1 may ameliorate IIR injury by activating the PI3K/protein kinase B/Nrf2 pathway.
View Figures

Figure 1

Figure 2

Figure 3

Figure 4

Figure 5

View References

1 

Khadaroo RG, Churchill TA, Tso V, Madsen KL, Lukowski C and Salim SY: Metabolomic profiling to characterize acute intestinal ischemia/reperfusion injury. PLoS One. 12:e01793262017. View Article : Google Scholar : PubMed/NCBI

2 

Huang P, Liu D, Gan X, Zhang R, Gao W, Xia Z and Hei Z: Mast cells activation contribute to small intestinal ischemia reperfusion induced acute lung injury in rats. Injury. 43:1250–1256. 2012. View Article : Google Scholar : PubMed/NCBI

3 

Zhou J, Huang WQ, Li C, Wu GY, Li YS, Wen SH, Lei WL and Liu KX: Intestinal ischemia/reperfusion enhances microglial activation and induces cerebral injury and memory dysfunction in rats. Crit Care Med. 40:2438–2448. 2012. View Article : Google Scholar : PubMed/NCBI

4 

Grootjans J, Lenaerts K, Buurman WA, Dejong CH and Derikx JP: Life and death at the mucosal-luminal interface: New perspectives on human intestinal ischemia-reperfusion. World J Gastroenterol. 22:2760–2770. 2016. View Article : Google Scholar : PubMed/NCBI

5 

Hwang YP and Jeong HG: Ginsenoside Rb1 protects against 6-hydroxydopamine-induced oxidative stress by increasing heme oxygenase-1 expression through an estrogen receptor-related PI3K/Akt/Nrf2-dependent pathway in human dopaminergic cells. Toxicol Appl Pharmacol. 242:18–28. 2010. View Article : Google Scholar : PubMed/NCBI

6 

Peng Y, Li SN, Pei X and Hao K: The multivariate regression statistics strategy to investigate content-effect correlation of multiple components in traditional Chinese medicine based on a partial least squares method. Molecules. 23:E5452018. View Article : Google Scholar : PubMed/NCBI

7 

Zheng Q, Bao XY, Zhu PC, Tong Q, Zheng GQ and Wang Y: Ginsenoside Rb1 for myocardial ischemia/reperfusion injury: Preclinical evidence and possible mechanisms. Oxid Med Cell Longev. 2017:63136252017. View Article : Google Scholar : PubMed/NCBI

8 

Liu D, Zhang H, Gu W, Liu Y and Zhang M: Neuroprotective effects of ginsenoside Rb1 on high glucose-induced neurotoxicity in primary cultured rat hippocampal neurons. PLoS One. 8:e793992013. View Article : Google Scholar : PubMed/NCBI

9 

Xue X, Wang L, Meng X, Jiao J and Dang N: Regulator of G protein signaling 4 inhibits human melanoma cells proliferation and invasion through the PI3K/AKT signaling pathway. Oncotarget. 8:78530–78544. 2017. View Article : Google Scholar : PubMed/NCBI

10 

Huang L, Cao J, Cao L, Gao L, Yang Y and Xu L: Puerarin induces cell apoptosis in human chondrosarcoma cell line SW1353 via inhibition of the PI3K/Akt signaling pathway. Oncol Lett. 14:5585–5590. 2017.PubMed/NCBI

11 

Mellor P, Furber LA, Nyarko JN and Anderson DH: Multiple roles for the p85α isoform in the regulation and function of PI3K signalling and receptor trafficking. Biochem J. 441:23–37. 2012. View Article : Google Scholar : PubMed/NCBI

12 

Ren M, Wang X, Du G, Tian J and Liu Y: Calycosin-7-O-β-D-glucoside attenuates ischemia-reperfusion injury in vivo via activation of the PI3K/Akt pathway. Mol Med Rep. 13:633–640. 2016. View Article : Google Scholar : PubMed/NCBI

13 

Wang L, Yao Y, He R, Meng Y, Li N, Zhang D, Xu J, Chen O, Cui J, Bian J, et al: Methane ameliorates spinal cord ischemia-reperfusion injury in rats: Antioxidant, anti-inflammatory and anti-apoptotic activity mediated by Nrf2 activation. Free Radic Biol Med. 103:69–86. 2017. View Article : Google Scholar : PubMed/NCBI

14 

Lee YJ, Jeong HY, Kim YB, Lee YJ, Won SY, Shim JH, Cho MK, Nam HS and Lee SH: Reactive oxygen species and PI3K/Akt signaling play key roles in the induction of Nrf2-driven heme oxygenase-1 expression in sulforaphane-treated human mesothelioma MSTO-211H cells. Food Chem Toxicol. 50:116–123. 2012. View Article : Google Scholar : PubMed/NCBI

15 

Zhang R, Chae S, Lee JH and Hyun JW: The cytoprotective effect of butin against oxidative stress is mediated by the up-regulation of manganese superoxide dismutase expression through a PI3K/Akt/Nrf2-dependent pathway. J Cell Biochem. 113:1987–1997. 2012. View Article : Google Scholar : PubMed/NCBI

16 

Ministry of Science and Technology of China: Guideline on the humane treatment of laboratory animals. 2006.

17 

Gan X, Liu D, Huang P, Gao W, Chen X and Hei Z: Mast-cell-releasing tryptase triggers acute lung injury induced by small intestinal ischemia-reperfusion by activating PAR-2 in rats. Inflammation. 35:1144–1153. 2012. View Article : Google Scholar : PubMed/NCBI

18 

Zhuang CL, Mao XY, Liu S, Chen WZ, Huang DD, Zhang CJ, Chen BC, Shen X and Yu Z: Ginsenoside Rb1 improves postoperative fatigue syndrome by reducing skeletal muscle oxidative stress through activation of the PI3K/Akt/Nrf2 pathway in aged rats. Eur J Pharmacol. 740:480–487. 2014. View Article : Google Scholar : PubMed/NCBI

19 

Wang Z, Ye Z, Huang G, Wang N, Wang E and Guo Q: Sevoflurane post-conditioning enhanced hippocampal neuron resistance to global cerebral ischemia induced by cardiac arrest in rats through PI3K/Akt survival pathway. Front Cell Neurosci. 10:2712016. View Article : Google Scholar : PubMed/NCBI

20 

Petrat F, Swoboda S, de Groot H and Schmitz KJ: Quantification of ischemia-reperfusion injury to the small intestine using a macroscopic score. J Invest Surg. 23:208–217. 2010. View Article : Google Scholar : PubMed/NCBI

21 

Jiang Y, Zhou Z, Meng QT, Sun Q, Su W, Lei S, Xia Z and Xia ZY: Ginsenoside Rb1 treatment attenuates pulmonary inflammatory cytokine release and tissue injury following intestinal ischemia reperfusion injury in mice. Oxid Med Cell Longev. 2015:8437212015. View Article : Google Scholar : PubMed/NCBI

22 

Cui YC, Pan CS, Yan L, Li L, Hu BH, Chang X, Liu YY, Fan JY, Sun K, -Li Q and Han JY: Ginsenoside Rb1 protects against ischemia/reperfusion-induced myocardial injury via energy metabolism regulation mediated by RhoA signaling pathway. Sci Rep. 7:445792017. View Article : Google Scholar : PubMed/NCBI

23 

Xun W, Shi L, Zhou H, Hou G, Cao T and Zhao C: Effects of curcumin on growth performance, jejunal mucosal membrane integrity, morphology and immune status in weaned piglets challenged with enterotoxigenic Escherichia coli. Int Immunopharmacol. 27:46–52. 2015. View Article : Google Scholar : PubMed/NCBI

24 

Tornai T, Palyu E, Vitalis Z, Tornai I, Tornai D, Antal-Szalmas P, Norman GL, Shums Z, Veres G, Dezsofi A, et al: Gut barrier failure biomarkers are associated with poor disease outcome in patients with primary sclerosing cholangitis. World J Gastroenterol. 23:5412–5421. 2017. View Article : Google Scholar : PubMed/NCBI

25 

Lin ZL, Tan SJ, Cheng MH, Zhao CY, Yu WK, He YL, Li J and Li N: Lipid-rich enteral nutrition controls intestinal inflammation, improves intestinal motility and mucosal barrier damage in a rat model of intestinal ischemia/reperfusion injury. J Surg Res. 213:75–83. 2017. View Article : Google Scholar : PubMed/NCBI

26 

Ge M, Gan X, Liu D, Zhang W, Gao W, Huang P and Hei Z: Time-course analysis of counts and degranulation of mast cells during early intestinal ischemia-reperfusion injury in mice. Mol Med Rep. 8:401–406. 2013. View Article : Google Scholar : PubMed/NCBI

27 

Zhao W, Zhou S, Yao W, Gan X, Su G, Yuan D and Hei Z: Propofol prevents lung injury after intestinal ischemia-reperfusion by inhibiting the interaction between mast cell activation and oxidative stress. Life Sci. 108:80–87. 2014. View Article : Google Scholar : PubMed/NCBI

28 

Takayama G, Ohtani M, Minowa A, Matsuda S and Koyasu S: Class I PI3K-mediated Akt and ERK signals play a critical role in FcεRI-induced degranulation in mast cells. Int Immunol. 25:215–220. 2013. View Article : Google Scholar : PubMed/NCBI

29 

Kai-lan W and Si Z: Pretreatment with erythropoietin attenuates intestinal ischemia reperfusion injury by further promoting PI3K/Akt signaling activation. Transplant Proc. 47:1639–1645. 2015. View Article : Google Scholar : PubMed/NCBI

30 

Kim JH, Kim J, Chun J, Lee C, Im JP and Kim JS: Role of iRhom2 in intestinal ischemia-reperfusion-mediated acute lung injury. Sci Rep. 8:37972018. View Article : Google Scholar : PubMed/NCBI

31 

Liu D, Gan X, Huang P, Chen X, Ge M and Hei Z: Inhibiting tryptase after ischemia limits small intestinal ischemia-reperfusion injury through protease-activated receptor 2 in rats. J Trauma Acute Care Surg. 73:1138–1144. 2012. View Article : Google Scholar : PubMed/NCBI

32 

Mancuso C and Santangelo R: Panax ginseng and Panax quinquefolius: From pharmacology to toxicology. Food Chem Toxicol. 107:362–372. 2017. View Article : Google Scholar : PubMed/NCBI

33 

Cheng Z and Li L: Ginsenoside Rg3 ameliorates lipopolysaccharide-induced acute lung injury in mice through inactivating the nuclear factor-κB (NF-κB) signaling pathway. Int Immunopharmacol. 34:53–59. 2016. View Article : Google Scholar : PubMed/NCBI

34 

Tan S, Yu W, Lin Z, Chen Q, Shi J, Dong Y, Duan K, Bai X, Xu L, Li J and Li N: Anti-inflammatory effect of ginsenoside Rb1 contributes to the recovery of gastrointestinal motility in the rat model of postoperative ileus. Biol Pharm Bull. 37:1788–1794. 2014. View Article : Google Scholar : PubMed/NCBI

35 

Li Y, Tang J, Khatibi NH, Zhu M, Chen D, Tu L, Chen L and Wang S: Treatment with ginsenoside rb1, a component of panax ginseng, provides neuroprotection in rats subjected to subarachnoid hemorrhage-induced brain injury. Acta Neurochir Suppl. 110:75–79. 2011.PubMed/NCBI

36 

Tan S, Zhou F, Li N, Dong Q, Zhang X, Ye X, Guo J, Chen B and Yu Z: Anti-fatigue effect of ginsenoside Rb1 on postoperative fatigue syndrome induced by major small intestinal resection in rat. Biol Pharm Bull. 36:1634–1639. 2013. View Article : Google Scholar : PubMed/NCBI

37 

Li G, Qian W and Zhao C: Analyzing the anti-ischemia-reperfusion injury effects of ginsenoside Rb1 mediated through the inhibition of p38α MAPK. Can J Physiol Pharmacol. 94:97–103. 2016. View Article : Google Scholar : PubMed/NCBI

38 

Sun Q, Meng QT, Jiang Y and Xia ZY: Ginsenoside Rb1 attenuates intestinal ischemia reperfusion induced renal injury by activating Nrf2/ARE pathway. Molecules. 17:7195–7205. 2012. View Article : Google Scholar : PubMed/NCBI

39 

Chen T, Xue H, Lin R and Huang Z: MiR-126 impairs the intestinal barrier function via inhibiting S1PR2 mediated activation of PI3K/AKT signaling pathway. Biochem Biophys Res Commun. 494:427–432. 2017. View Article : Google Scholar : PubMed/NCBI

40 

Zhao LL, Hu GC, Zhu SS, Li JF and Liu GJ: Propofol pretreatment attenuates lipopolysaccharide-induced acute lung injury in rats by activating thephosphoinositide-3-kinase/Akt pathway. Braz J Med Biol Res. 47:1062–1067. 2014. View Article : Google Scholar : PubMed/NCBI

41 

Nier A, Engstler AJ, Maier IB and Bergheim I: Markers of intestinal permeability are already altered in early stages of non-alcoholic fatty liver disease: Studies in children. PLoS One. 12:e01832822017. View Article : Google Scholar : PubMed/NCBI

42 

Li H, Chen Y, Huo F, Wang Y and Zhang D: Association between acute gastrointestinal injury and biomarkers of intestinal barrier function in critically ill patients. BMC Gastroenterol. 17:452017. View Article : Google Scholar : PubMed/NCBI

43 

Guo YY, Liu ML, He XD, Jiang CQ and Liu RL: Functional changes of intestinal mucosal barrier in surgically critical patients. World J Emerg Med. 1:205–208. 2010.PubMed/NCBI

44 

Jin X, Yu CH, Lv GC and Li YM: Increased intestinal permeability in pathogenesis and progress of nonalcoholic steatohepatitis in rats. World J Gastroenterol. 13:1732–1736. 2007. View Article : Google Scholar : PubMed/NCBI

45 

Song WB, Lv YH, Zhang ZS, Li YN, Xiao LP, Yu XP, Wang YY, Ji HL and Ma L: Soluble intercellular adhesion molecule-1, D-lactate and diamine oxidase in patients with inflammatory bowel disease. World J Gastroenterol. 15:3916–3919. 2009. View Article : Google Scholar : PubMed/NCBI

46 

Uramatsu M, Matsumoto T, Tateda K, Shibuya K, Miyazaki S, Horino T, Tanabe M, Sumiyama Y, Kusachi S and Yamaguchi K: Involvement of endotoxin in the mortality of mice with gut-derived sepsis due to methicillin-resistant Staphylococcus aureus. Microbiol Immunol. 54:330–337. 2010. View Article : Google Scholar : PubMed/NCBI

47 

Yuan DD, Chi XJ, Jin Y, Li X, Ge M, Gao WL, Guan JQ, Zhang AL and Hei ZQ: Intestinal injury following liver transplantation was mediated by TLR/NF-ĸB activation-induced cell apoptosis. Mol Med Rep. 13:1525–1532. 2016. View Article : Google Scholar : PubMed/NCBI

48 

Onal O, Yetisir F, Sarer AE, Zeybek ND, Onal CO, Yurekli B, Celik HT, Sirma A and Kılıc M: Prophylactic ozone administration reduces intestinal mucosa injury induced by intestinal ischemia-reperfusion in the rat. Mediators Inflamm. 2015:7920162015. View Article : Google Scholar : PubMed/NCBI

49 

Zhao W, Gan X, Su G, Wanling G, Li S, Hei Z, Yang C and Wang H: The interaction between oxidative stress and mast cell activation plays a role in acute lung injuries induced by intestinal ischemia-reperfusion. J Surg Res. 187:542–552. 2014. View Article : Google Scholar : PubMed/NCBI

50 

Scott JR, Cukiernik MA, Ott MC, Bihari A, Badhwar A, Gray DK, Harris KA, Parry NG and Potter RF: Low-dose inhaled carbon monoxide attenuates the remote intestinal inflammatory response elicited by hindlimb ischemia-reperfusion. Am J Physiol Gastrointest Liver Physiol. 296:G9–G14. 2009. View Article : Google Scholar : PubMed/NCBI

51 

Liu ZQ: Chemical insights into ginseng as a resource for natural antioxidants. Chem Rev. 112:3329–3355. 2012. View Article : Google Scholar : PubMed/NCBI

52 

Oh SJ, Kim K and Lim CJ: Protective properties of ginsenoside Rb1 against UV-B radiation-induced oxidative stress in human dermal keratinocytes. Pharmazie. 70:381–387. 2015.PubMed/NCBI

53 

Huang CY, Hsiao JK, Lu YZ, Lee TC and Yu LC: Anti-apoptotic PI3K/Akt signaling by sodium/glucose transporter 1 reduces epithelial barrier damage and bacterial translocation in intestinal ischemia. Lab Invest. 91:294–309. 2011. View Article : Google Scholar : PubMed/NCBI

54 

Yin X, Wang X, Fan Z, Peng C, Ren Z, Huang L, Liu Z and Zhao K: Hyperbaric oxygen preconditioning attenuates myocardium ischemia-reperfusion injury Through upregulation of heme oxygenase 1 expression: PI3K/Akt/Nrf2 pathway involved. J Cardiovasc Pharmacol Ther. 20:428–438. 2015. View Article : Google Scholar : PubMed/NCBI

55 

Zhang J, Yao Y, Xiao F, Lan X, Yu C, Zhang Y, Jiang C, Yang J, Pei G, Li Y, et al: Administration of dexamethasone protects mice against ischemia/reperfusion induced renal injury by suppressing PI3K/AKT signaling. Int J Clin Exp Pathol. 6:2366–2375. 2013.PubMed/NCBI

56 

Zhu J, Chen X, Wang H and Yan Q: Catalpol protects mice against renal ischemia/reperfusion injury via suppressing PI3K/Akt-eNOS signaling and inflammation. Int J Clin Exp Med. 8:2038–2044. 2015.PubMed/NCBI

57 

Oudit GY, Sun H, Kerfant BG, Crackower MA, Penninger JM and Backx PH: The role of phosphoinositide-3 kinase and PTEN in cardiovascular physiology and disease. J Mol Cell Cardiol. 37:449–471. 2004. View Article : Google Scholar : PubMed/NCBI

58 

Li W, Ma F, Zhang L, Huang Y, Li X, Zhang A, Hou C and Zhu Y and Zhu Y: S-Propargyl-cysteine exerts a novel protective effect on methionine and choline deficient diet-induced fatty liver via Akt/Nrf2/HO-1 pathway. Oxid Med Cell Longev. 2016:46908572016. View Article : Google Scholar : PubMed/NCBI

Related Articles

  • Abstract
  • View
  • Download
  • Twitter
Copy and paste a formatted citation
Spandidos Publications style
Chen S, Li X, Wang Y, Mu P, Chen C, Huang P and Liu D: Ginsenoside Rb1 attenuates intestinal ischemia/reperfusion‑induced inflammation and oxidative stress via activation of the PI3K/Akt/Nrf2 signaling pathway. Mol Med Rep 19: 3633-3641, 2019.
APA
Chen, S., Li, X., Wang, Y., Mu, P., Chen, C., Huang, P., & Liu, D. (2019). Ginsenoside Rb1 attenuates intestinal ischemia/reperfusion‑induced inflammation and oxidative stress via activation of the PI3K/Akt/Nrf2 signaling pathway. Molecular Medicine Reports, 19, 3633-3641. https://doi.org/10.3892/mmr.2019.10018
MLA
Chen, S., Li, X., Wang, Y., Mu, P., Chen, C., Huang, P., Liu, D."Ginsenoside Rb1 attenuates intestinal ischemia/reperfusion‑induced inflammation and oxidative stress via activation of the PI3K/Akt/Nrf2 signaling pathway". Molecular Medicine Reports 19.5 (2019): 3633-3641.
Chicago
Chen, S., Li, X., Wang, Y., Mu, P., Chen, C., Huang, P., Liu, D."Ginsenoside Rb1 attenuates intestinal ischemia/reperfusion‑induced inflammation and oxidative stress via activation of the PI3K/Akt/Nrf2 signaling pathway". Molecular Medicine Reports 19, no. 5 (2019): 3633-3641. https://doi.org/10.3892/mmr.2019.10018
Copy and paste a formatted citation
x
Spandidos Publications style
Chen S, Li X, Wang Y, Mu P, Chen C, Huang P and Liu D: Ginsenoside Rb1 attenuates intestinal ischemia/reperfusion‑induced inflammation and oxidative stress via activation of the PI3K/Akt/Nrf2 signaling pathway. Mol Med Rep 19: 3633-3641, 2019.
APA
Chen, S., Li, X., Wang, Y., Mu, P., Chen, C., Huang, P., & Liu, D. (2019). Ginsenoside Rb1 attenuates intestinal ischemia/reperfusion‑induced inflammation and oxidative stress via activation of the PI3K/Akt/Nrf2 signaling pathway. Molecular Medicine Reports, 19, 3633-3641. https://doi.org/10.3892/mmr.2019.10018
MLA
Chen, S., Li, X., Wang, Y., Mu, P., Chen, C., Huang, P., Liu, D."Ginsenoside Rb1 attenuates intestinal ischemia/reperfusion‑induced inflammation and oxidative stress via activation of the PI3K/Akt/Nrf2 signaling pathway". Molecular Medicine Reports 19.5 (2019): 3633-3641.
Chicago
Chen, S., Li, X., Wang, Y., Mu, P., Chen, C., Huang, P., Liu, D."Ginsenoside Rb1 attenuates intestinal ischemia/reperfusion‑induced inflammation and oxidative stress via activation of the PI3K/Akt/Nrf2 signaling pathway". Molecular Medicine Reports 19, no. 5 (2019): 3633-3641. https://doi.org/10.3892/mmr.2019.10018
Follow us
  • Twitter
  • LinkedIn
  • Facebook
About
  • Spandidos Publications
  • Careers
  • Cookie Policy
  • Privacy Policy
How can we help?
  • Help
  • Live Chat
  • Contact
  • Email to our Support Team