Spandidos Publications Logo
  • About
    • About Spandidos
    • Aims and Scopes
    • Abstracting and Indexing
    • Editorial Policies
    • Reprints and Permissions
    • Job Opportunities
    • Terms and Conditions
    • Contact
  • Journals
    • All Journals
    • Oncology Letters
      • Oncology Letters
      • Information for Authors
      • Editorial Policies
      • Editorial Board
      • Aims and Scope
      • Abstracting and Indexing
      • Bibliographic Information
      • Archive
    • International Journal of Oncology
      • International Journal of Oncology
      • Information for Authors
      • Editorial Policies
      • Editorial Board
      • Aims and Scope
      • Abstracting and Indexing
      • Bibliographic Information
      • Archive
    • Molecular and Clinical Oncology
      • Molecular and Clinical Oncology
      • Information for Authors
      • Editorial Policies
      • Editorial Board
      • Aims and Scope
      • Abstracting and Indexing
      • Bibliographic Information
      • Archive
    • Experimental and Therapeutic Medicine
      • Experimental and Therapeutic Medicine
      • Information for Authors
      • Editorial Policies
      • Editorial Board
      • Aims and Scope
      • Abstracting and Indexing
      • Bibliographic Information
      • Archive
    • International Journal of Molecular Medicine
      • International Journal of Molecular Medicine
      • Information for Authors
      • Editorial Policies
      • Editorial Board
      • Aims and Scope
      • Abstracting and Indexing
      • Bibliographic Information
      • Archive
    • Biomedical Reports
      • Biomedical Reports
      • Information for Authors
      • Editorial Policies
      • Editorial Board
      • Aims and Scope
      • Abstracting and Indexing
      • Bibliographic Information
      • Archive
    • Oncology Reports
      • Oncology Reports
      • Information for Authors
      • Editorial Policies
      • Editorial Board
      • Aims and Scope
      • Abstracting and Indexing
      • Bibliographic Information
      • Archive
    • Molecular Medicine Reports
      • Molecular Medicine Reports
      • Information for Authors
      • Editorial Policies
      • Editorial Board
      • Aims and Scope
      • Abstracting and Indexing
      • Bibliographic Information
      • Archive
    • World Academy of Sciences Journal
      • World Academy of Sciences Journal
      • Information for Authors
      • Editorial Policies
      • Editorial Board
      • Aims and Scope
      • Abstracting and Indexing
      • Bibliographic Information
      • Archive
    • International Journal of Functional Nutrition
      • International Journal of Functional Nutrition
      • Information for Authors
      • Editorial Policies
      • Editorial Board
      • Aims and Scope
      • Abstracting and Indexing
      • Bibliographic Information
      • Archive
    • International Journal of Epigenetics
      • International Journal of Epigenetics
      • Information for Authors
      • Editorial Policies
      • Editorial Board
      • Aims and Scope
      • Abstracting and Indexing
      • Bibliographic Information
      • Archive
    • Medicine International
      • Medicine International
      • Information for Authors
      • Editorial Policies
      • Editorial Board
      • Aims and Scope
      • Abstracting and Indexing
      • Bibliographic Information
      • Archive
  • Articles
  • Information
    • Information for Authors
    • Information for Reviewers
    • Information for Librarians
    • Information for Advertisers
    • Conferences
  • Language Editing
Spandidos Publications Logo
  • About
    • About Spandidos
    • Aims and Scopes
    • Abstracting and Indexing
    • Editorial Policies
    • Reprints and Permissions
    • Job Opportunities
    • Terms and Conditions
    • Contact
  • Journals
    • All Journals
    • Biomedical Reports
      • Information for Authors
      • Editorial Policies
      • Editorial Board
      • Aims and Scope
      • Abstracting and Indexing
      • Bibliographic Information
      • Archive
    • Experimental and Therapeutic Medicine
      • Information for Authors
      • Editorial Policies
      • Editorial Board
      • Aims and Scope
      • Abstracting and Indexing
      • Bibliographic Information
      • Archive
    • International Journal of Epigenetics
      • Information for Authors
      • Editorial Policies
      • Editorial Board
      • Aims and Scope
      • Abstracting and Indexing
      • Bibliographic Information
      • Archive
    • International Journal of Functional Nutrition
      • Information for Authors
      • Editorial Policies
      • Editorial Board
      • Aims and Scope
      • Abstracting and Indexing
      • Bibliographic Information
      • Archive
    • International Journal of Molecular Medicine
      • Information for Authors
      • Editorial Policies
      • Editorial Board
      • Aims and Scope
      • Abstracting and Indexing
      • Bibliographic Information
      • Archive
    • International Journal of Oncology
      • Information for Authors
      • Editorial Policies
      • Editorial Board
      • Aims and Scope
      • Abstracting and Indexing
      • Bibliographic Information
      • Archive
    • Medicine International
      • Information for Authors
      • Editorial Policies
      • Editorial Board
      • Aims and Scope
      • Abstracting and Indexing
      • Bibliographic Information
      • Archive
    • Molecular and Clinical Oncology
      • Information for Authors
      • Editorial Policies
      • Editorial Board
      • Aims and Scope
      • Abstracting and Indexing
      • Bibliographic Information
      • Archive
    • Molecular Medicine Reports
      • Information for Authors
      • Editorial Policies
      • Editorial Board
      • Aims and Scope
      • Abstracting and Indexing
      • Bibliographic Information
      • Archive
    • Oncology Letters
      • Information for Authors
      • Editorial Policies
      • Editorial Board
      • Aims and Scope
      • Abstracting and Indexing
      • Bibliographic Information
      • Archive
    • Oncology Reports
      • Information for Authors
      • Editorial Policies
      • Editorial Board
      • Aims and Scope
      • Abstracting and Indexing
      • Bibliographic Information
      • Archive
    • World Academy of Sciences Journal
      • Information for Authors
      • Editorial Policies
      • Editorial Board
      • Aims and Scope
      • Abstracting and Indexing
      • Bibliographic Information
      • Archive
  • Articles
  • Information
    • For Authors
    • For Reviewers
    • For Librarians
    • For Advertisers
    • Conferences
  • Language Editing
Login Register Submit
  • This site uses cookies
  • You can change your cookie settings at any time by following the instructions in our Cookie Policy. To find out more, you may read our Privacy Policy.

    I agree
Search articles by DOI, keyword, author or affiliation
Search
Advanced Search
presentation
Molecular Medicine Reports
Join Editorial Board Propose a Special Issue
Print ISSN: 1791-2997 Online ISSN: 1791-3004
Journal Cover
March-2019 Volume 19 Issue 3

Full Size Image

Sign up for eToc alerts
Recommend to Library

Journals

International Journal of Molecular Medicine

International Journal of Molecular Medicine

International Journal of Molecular Medicine is an international journal devoted to molecular mechanisms of human disease.

International Journal of Oncology

International Journal of Oncology

International Journal of Oncology is an international journal devoted to oncology research and cancer treatment.

Molecular Medicine Reports

Molecular Medicine Reports

Covers molecular medicine topics such as pharmacology, pathology, genetics, neuroscience, infectious diseases, molecular cardiology, and molecular surgery.

Oncology Reports

Oncology Reports

Oncology Reports is an international journal devoted to fundamental and applied research in Oncology.

Experimental and Therapeutic Medicine

Experimental and Therapeutic Medicine

Experimental and Therapeutic Medicine is an international journal devoted to laboratory and clinical medicine.

Oncology Letters

Oncology Letters

Oncology Letters is an international journal devoted to Experimental and Clinical Oncology.

Biomedical Reports

Biomedical Reports

Explores a wide range of biological and medical fields, including pharmacology, genetics, microbiology, neuroscience, and molecular cardiology.

Molecular and Clinical Oncology

Molecular and Clinical Oncology

International journal addressing all aspects of oncology research, from tumorigenesis and oncogenes to chemotherapy and metastasis.

World Academy of Sciences Journal

World Academy of Sciences Journal

Multidisciplinary open-access journal spanning biochemistry, genetics, neuroscience, environmental health, and synthetic biology.

International Journal of Functional Nutrition

International Journal of Functional Nutrition

Open-access journal combining biochemistry, pharmacology, immunology, and genetics to advance health through functional nutrition.

International Journal of Epigenetics

International Journal of Epigenetics

Publishes open-access research on using epigenetics to advance understanding and treatment of human disease.

Medicine International

Medicine International

An International Open Access Journal Devoted to General Medicine.

Journal Cover
March-2019 Volume 19 Issue 3

Full Size Image

Sign up for eToc alerts
Recommend to Library

  • Article
  • Citations
    • Cite This Article
    • Download Citation
    • Create Citation Alert
    • Remove Citation Alert
    • Cited By
  • Similar Articles
    • Related Articles (in Spandidos Publications)
    • Similar Articles (Google Scholar)
    • Similar Articles (PubMed)
  • Download PDF
  • Download XML
  • View XML
Article

Expression and functional analysis of Brucella outer membrane protein 25 in recombinant goat pox virus

  • Authors:
    • Zhihua Sun
    • Laizhen Liu
    • Hui Zhang
    • Youwen Li
    • Feng Wei
    • Zhiqiang Li
    • Pengyan Wang
    • Qiang Fu
    • Yan Ren
    • Yu Zhang
    • Zhiru Guo
    • Chuangfu Chen
  • View Affiliations / Copyright

    Affiliations: College of Animal Science and Technology, Shihezi University, Shihezi, Xinjiang 832000, P.R. China, College of Biology and Food, Shangqiu Normal University, Shangqiu, Henan 476000, P.R. China, College of Medicine, Shihezi University, Shihezi, Xinjiang 832000, P.R. China
  • Pages: 2323-2329
    |
    Published online on: January 16, 2019
       https://doi.org/10.3892/mmr.2019.9868
  • Expand metrics +
Metrics: Total Views: 0 (Spandidos Publications: | PMC Statistics: )
Metrics: Total PDF Downloads: 0 (Spandidos Publications: | PMC Statistics: )
Cited By (CrossRef): 0 citations Loading Articles...

This article is mentioned in:



Abstract

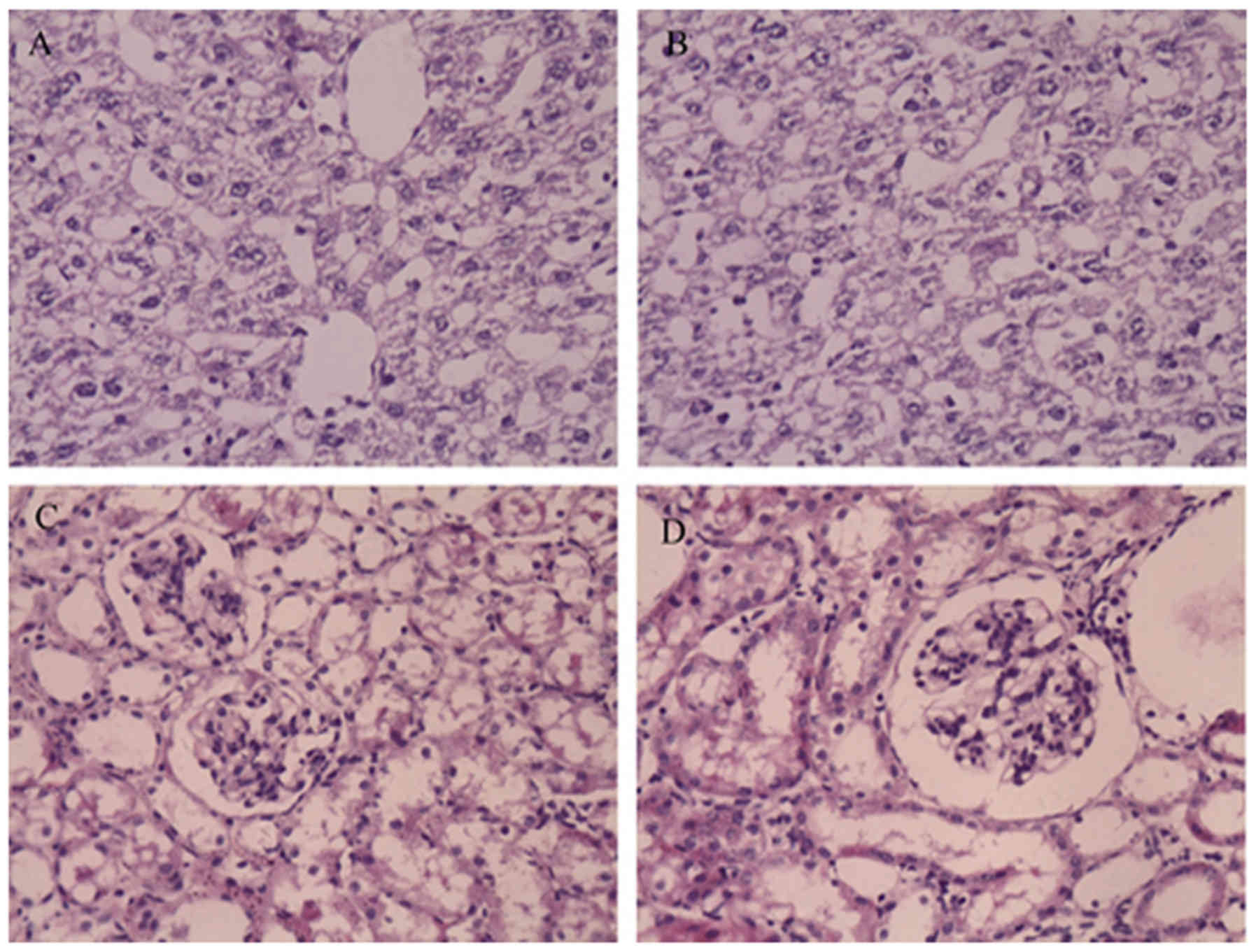
The Capripoxvirus (CaPV) has a large double‑stranded DNA genome and a restricted host‑range. At present, it is being investigated as an ideal vaccine vector. In the present study, a novel recombinant goat pox virus (rGTPV) was constructed to express Brucella outer membrane protein (OMP)25, and was validated by in vitro and in vivo immunization assays. A novel rGTPV vector was created, in which the thymidine kinase gene was used as a flanking sequence, I1L was inserted as a promoter element to enhance Brucella OMP25 expression, and p7.5 as another promoter element was used to regulate guanine phosphoribosyl‑transferase as a selection maker. The rGTPV vector was transfected into sheep fetal fibroblast/lamb testis cells pre‑infected with GTPV G14‑STV44‑55 to recombine. Brucella OMP25 protein was expressed in cells by rGTPV, and activated immune reactivity to Brucella OMP25 protein, as detected by western blotting. Furthermore, rGTPV elicited, anti‑Brucella‑specific immunoglobulin G responses, as determined by ELISA. Mice vaccinated with rGTPV did not exhibit pathology alterations in the kidney and liver. These results suggested that the novel rGTPV was able to efficiently drive Brucella OMP25 protein expression and activate immune reactivity, and may have applications in CaPV live vector vaccines and associated research.
View Figures

Figure 1

Figure 2

Figure 3

Figure 4

Figure 5

Figure 6

View References

1 

Bercovich Z: The use of skin delayed-type hypersensitivity as an adjunct test to diagnose brucellosis in cattle: A review. Vet Q. 22:123–130. 2000. View Article : Google Scholar : PubMed/NCBI

2 

Wang Z and Wu Q: Research progress in live attenuated Brucella vaccine development. Curr Pharm Biotechnol. 14:887–896. 2013. View Article : Google Scholar : PubMed/NCBI

3 

Cloeckaert A, de Wergifosse P, Dubray G and Limet J: Identification of seven surface-exposed Brucella outer membrane proteins by use of monoclonal antibodies: Immunogold labeling for electron microscopy and enzyme-linked immunosorbent assay. Infect Immun. 58:3980–3987. 1990.PubMed/NCBI

4 

Shevtsov A, Tarlykov P, Zholdybayeva E, Shevtsova E, Momynkulov D, Sytnik I, Karibaev T, Chsherbakov A and Momynaliev K: Draft genome sequence of the live vaccine strain Brucella abortus 82. Genome Announc. 1:e01101–01113. 2013. View Article : Google Scholar : PubMed/NCBI

5 

Schurig GG, Sriranganathan N and Corbel MJ: Brucellosis vaccines: Past, present and future. Vet Microbiol. 90:479–496. 2002. View Article : Google Scholar : PubMed/NCBI

6 

Diallo A, Minet C, Berhe G, Le Goff C, Black DN, Fleming M, Barrett T, Grillet C and Libeau G: Goat immune response to capripox vaccine expressing the hemagglutinin protein of peste des petits ruminants. Ann N Y Acad Sci. 969:88–91. 2002. View Article : Google Scholar : PubMed/NCBI

7 

Venkatesan G, Balamurugan V, Yogisharadhya R, Kumar A and Bhanuprakash V: Differentiation of sheeppox and goatpox viruses by polymerase Chain reaction-restriction fragment length polymorphism. Virol Sin. 27:353–359. 2012. View Article : Google Scholar : PubMed/NCBI

8 

Zhao Z, Wu G, Zhu X, Yan X, Dou Y, Li J, Zhu H, Zhang Q and Cai X: RNA interference targeting virion core protein ORF095 inhibits Goatpox virus replication in Vero cells. Virol J. 9:482012. View Article : Google Scholar : PubMed/NCBI

9 

Mackett M, Smith GL and Moss B: Vaccinia virus: A selectable eukaryotic cloning and expression vector. Proc Natl Acad Sci USA. 79:7415–7419. 1982. View Article : Google Scholar : PubMed/NCBI

10 

Liu X, Kremer M and Broyles SS: A natural vaccinia virus promoter with exceptional capacity to direct protein synthesis. J Virol Methods. 122:141–145. 2004. View Article : Google Scholar : PubMed/NCBI

11 

Falkner FG and Moss B: Escherichia coli gpt gene provides dominant selection for vaccinia virus open reading frame expression vectors. J Virol. 62:1849–1854. 1988.PubMed/NCBI

12 

Fick WC and Viljoen GJ: Identification and characterisation of an early/late bi-directional promoter of the capripoxvirus, lumpy skin disease virus. Arch Virol. 144:1229–1239. 1999. View Article : Google Scholar : PubMed/NCBI

13 

Chen H, Li Y, Li Z, Shi J, Shinya K, Deng G, Qi Q, Tian G, Fan S, Zhao H, et al: Properties and dissemination of H5N1 viruses isolated during an influenza outbreak in migratory waterfowl in western China. J Virol. 80:5976–5983. 2006. View Article : Google Scholar : PubMed/NCBI

14 

Feng W, Zhiru G, Chuangfu C and Jun Q: Construction of the recombinant goat pox virus expressing OMP 25 gene of B. melitensis. Prog Veterinary Med. 29:6–9. 2008.

15 

Goel D, Rajendran V, Ghosh PC and Bhatnagar R: Cell mediated immune response after challenge in Omp25 liposome immunized mice contributes to protection against virulent Brucella abortus 544. Vaccine. 31:1231–1237. 2013. View Article : Google Scholar : PubMed/NCBI

16 

Gershon PD and Black DN: A comparison of the genomes of capripoxvirus isolates of sheep, goats, and cattle. Virology. 164:341–349. 1988. View Article : Google Scholar : PubMed/NCBI

17 

Tulman ER, Afonso CL, Lu Z, Zsak L, Sur JH, Sandybaev NT, Kerembekova UZ, Zaitsev VL, Kutish GF and Rock DL: The genomes of sheeppox and goatpox viruses. J Virol. 76:6054–6061. 2002. View Article : Google Scholar : PubMed/NCBI

18 

Berhe G, Minet C, Le Goff C, Barrett T, Ngangnou A, Grillet C, Libeau G, Fleming M, Black DN and Diallo A: Development of a dual recombinant vaccine to protect small ruminants against peste-des-petits-ruminants virus and capripoxvirus infections. J Virol. 77:1571–1577. 2003. View Article : Google Scholar : PubMed/NCBI

Related Articles

  • Abstract
  • View
  • Download
  • Twitter
Copy and paste a formatted citation
Spandidos Publications style
Sun Z, Liu L, Zhang H, Li Y, Wei F, Li Z, Wang P, Fu Q, Ren Y, Zhang Y, Zhang Y, et al: Expression and functional analysis of Brucella outer membrane protein 25 in recombinant goat pox virus. Mol Med Rep 19: 2323-2329, 2019.
APA
Sun, Z., Liu, L., Zhang, H., Li, Y., Wei, F., Li, Z. ... Chen, C. (2019). Expression and functional analysis of Brucella outer membrane protein 25 in recombinant goat pox virus. Molecular Medicine Reports, 19, 2323-2329. https://doi.org/10.3892/mmr.2019.9868
MLA
Sun, Z., Liu, L., Zhang, H., Li, Y., Wei, F., Li, Z., Wang, P., Fu, Q., Ren, Y., Zhang, Y., Guo, Z., Chen, C."Expression and functional analysis of Brucella outer membrane protein 25 in recombinant goat pox virus". Molecular Medicine Reports 19.3 (2019): 2323-2329.
Chicago
Sun, Z., Liu, L., Zhang, H., Li, Y., Wei, F., Li, Z., Wang, P., Fu, Q., Ren, Y., Zhang, Y., Guo, Z., Chen, C."Expression and functional analysis of Brucella outer membrane protein 25 in recombinant goat pox virus". Molecular Medicine Reports 19, no. 3 (2019): 2323-2329. https://doi.org/10.3892/mmr.2019.9868
Copy and paste a formatted citation
x
Spandidos Publications style
Sun Z, Liu L, Zhang H, Li Y, Wei F, Li Z, Wang P, Fu Q, Ren Y, Zhang Y, Zhang Y, et al: Expression and functional analysis of Brucella outer membrane protein 25 in recombinant goat pox virus. Mol Med Rep 19: 2323-2329, 2019.
APA
Sun, Z., Liu, L., Zhang, H., Li, Y., Wei, F., Li, Z. ... Chen, C. (2019). Expression and functional analysis of Brucella outer membrane protein 25 in recombinant goat pox virus. Molecular Medicine Reports, 19, 2323-2329. https://doi.org/10.3892/mmr.2019.9868
MLA
Sun, Z., Liu, L., Zhang, H., Li, Y., Wei, F., Li, Z., Wang, P., Fu, Q., Ren, Y., Zhang, Y., Guo, Z., Chen, C."Expression and functional analysis of Brucella outer membrane protein 25 in recombinant goat pox virus". Molecular Medicine Reports 19.3 (2019): 2323-2329.
Chicago
Sun, Z., Liu, L., Zhang, H., Li, Y., Wei, F., Li, Z., Wang, P., Fu, Q., Ren, Y., Zhang, Y., Guo, Z., Chen, C."Expression and functional analysis of Brucella outer membrane protein 25 in recombinant goat pox virus". Molecular Medicine Reports 19, no. 3 (2019): 2323-2329. https://doi.org/10.3892/mmr.2019.9868
Follow us
  • Twitter
  • LinkedIn
  • Facebook
About
  • Spandidos Publications
  • Careers
  • Cookie Policy
  • Privacy Policy
How can we help?
  • Help
  • Live Chat
  • Contact
  • Email to our Support Team