Spandidos Publications Logo
  • About
    • About Spandidos
    • Aims and Scopes
    • Abstracting and Indexing
    • Editorial Policies
    • Reprints and Permissions
    • Job Opportunities
    • Terms and Conditions
    • Contact
  • Journals
    • All Journals
    • Oncology Letters
      • Oncology Letters
      • Information for Authors
      • Editorial Policies
      • Editorial Board
      • Aims and Scope
      • Abstracting and Indexing
      • Bibliographic Information
      • Archive
    • International Journal of Oncology
      • International Journal of Oncology
      • Information for Authors
      • Editorial Policies
      • Editorial Board
      • Aims and Scope
      • Abstracting and Indexing
      • Bibliographic Information
      • Archive
    • Molecular and Clinical Oncology
      • Molecular and Clinical Oncology
      • Information for Authors
      • Editorial Policies
      • Editorial Board
      • Aims and Scope
      • Abstracting and Indexing
      • Bibliographic Information
      • Archive
    • Experimental and Therapeutic Medicine
      • Experimental and Therapeutic Medicine
      • Information for Authors
      • Editorial Policies
      • Editorial Board
      • Aims and Scope
      • Abstracting and Indexing
      • Bibliographic Information
      • Archive
    • International Journal of Molecular Medicine
      • International Journal of Molecular Medicine
      • Information for Authors
      • Editorial Policies
      • Editorial Board
      • Aims and Scope
      • Abstracting and Indexing
      • Bibliographic Information
      • Archive
    • Biomedical Reports
      • Biomedical Reports
      • Information for Authors
      • Editorial Policies
      • Editorial Board
      • Aims and Scope
      • Abstracting and Indexing
      • Bibliographic Information
      • Archive
    • Oncology Reports
      • Oncology Reports
      • Information for Authors
      • Editorial Policies
      • Editorial Board
      • Aims and Scope
      • Abstracting and Indexing
      • Bibliographic Information
      • Archive
    • Molecular Medicine Reports
      • Molecular Medicine Reports
      • Information for Authors
      • Editorial Policies
      • Editorial Board
      • Aims and Scope
      • Abstracting and Indexing
      • Bibliographic Information
      • Archive
    • World Academy of Sciences Journal
      • World Academy of Sciences Journal
      • Information for Authors
      • Editorial Policies
      • Editorial Board
      • Aims and Scope
      • Abstracting and Indexing
      • Bibliographic Information
      • Archive
    • International Journal of Functional Nutrition
      • International Journal of Functional Nutrition
      • Information for Authors
      • Editorial Policies
      • Editorial Board
      • Aims and Scope
      • Abstracting and Indexing
      • Bibliographic Information
      • Archive
    • International Journal of Epigenetics
      • International Journal of Epigenetics
      • Information for Authors
      • Editorial Policies
      • Editorial Board
      • Aims and Scope
      • Abstracting and Indexing
      • Bibliographic Information
      • Archive
    • Medicine International
      • Medicine International
      • Information for Authors
      • Editorial Policies
      • Editorial Board
      • Aims and Scope
      • Abstracting and Indexing
      • Bibliographic Information
      • Archive
  • Articles
  • Information
    • Information for Authors
    • Information for Reviewers
    • Information for Librarians
    • Information for Advertisers
    • Conferences
  • Language Editing
Spandidos Publications Logo
  • About
    • About Spandidos
    • Aims and Scopes
    • Abstracting and Indexing
    • Editorial Policies
    • Reprints and Permissions
    • Job Opportunities
    • Terms and Conditions
    • Contact
  • Journals
    • All Journals
    • Biomedical Reports
      • Information for Authors
      • Editorial Policies
      • Editorial Board
      • Aims and Scope
      • Abstracting and Indexing
      • Bibliographic Information
      • Archive
    • Experimental and Therapeutic Medicine
      • Information for Authors
      • Editorial Policies
      • Editorial Board
      • Aims and Scope
      • Abstracting and Indexing
      • Bibliographic Information
      • Archive
    • International Journal of Epigenetics
      • Information for Authors
      • Editorial Policies
      • Editorial Board
      • Aims and Scope
      • Abstracting and Indexing
      • Bibliographic Information
      • Archive
    • International Journal of Functional Nutrition
      • Information for Authors
      • Editorial Policies
      • Editorial Board
      • Aims and Scope
      • Abstracting and Indexing
      • Bibliographic Information
      • Archive
    • International Journal of Molecular Medicine
      • Information for Authors
      • Editorial Policies
      • Editorial Board
      • Aims and Scope
      • Abstracting and Indexing
      • Bibliographic Information
      • Archive
    • International Journal of Oncology
      • Information for Authors
      • Editorial Policies
      • Editorial Board
      • Aims and Scope
      • Abstracting and Indexing
      • Bibliographic Information
      • Archive
    • Medicine International
      • Information for Authors
      • Editorial Policies
      • Editorial Board
      • Aims and Scope
      • Abstracting and Indexing
      • Bibliographic Information
      • Archive
    • Molecular and Clinical Oncology
      • Information for Authors
      • Editorial Policies
      • Editorial Board
      • Aims and Scope
      • Abstracting and Indexing
      • Bibliographic Information
      • Archive
    • Molecular Medicine Reports
      • Information for Authors
      • Editorial Policies
      • Editorial Board
      • Aims and Scope
      • Abstracting and Indexing
      • Bibliographic Information
      • Archive
    • Oncology Letters
      • Information for Authors
      • Editorial Policies
      • Editorial Board
      • Aims and Scope
      • Abstracting and Indexing
      • Bibliographic Information
      • Archive
    • Oncology Reports
      • Information for Authors
      • Editorial Policies
      • Editorial Board
      • Aims and Scope
      • Abstracting and Indexing
      • Bibliographic Information
      • Archive
    • World Academy of Sciences Journal
      • Information for Authors
      • Editorial Policies
      • Editorial Board
      • Aims and Scope
      • Abstracting and Indexing
      • Bibliographic Information
      • Archive
  • Articles
  • Information
    • For Authors
    • For Reviewers
    • For Librarians
    • For Advertisers
    • Conferences
  • Language Editing
Login Register Submit
  • This site uses cookies
  • You can change your cookie settings at any time by following the instructions in our Cookie Policy. To find out more, you may read our Privacy Policy.

    I agree
Search articles by DOI, keyword, author or affiliation
Search
Advanced Search
presentation
Molecular Medicine Reports
Join Editorial Board Propose a Special Issue
Print ISSN: 1791-2997 Online ISSN: 1791-3004
Journal Cover
March-2020 Volume 21 Issue 3

Full Size Image

Sign up for eToc alerts
Recommend to Library

Journals

International Journal of Molecular Medicine

International Journal of Molecular Medicine

International Journal of Molecular Medicine is an international journal devoted to molecular mechanisms of human disease.

International Journal of Oncology

International Journal of Oncology

International Journal of Oncology is an international journal devoted to oncology research and cancer treatment.

Molecular Medicine Reports

Molecular Medicine Reports

Covers molecular medicine topics such as pharmacology, pathology, genetics, neuroscience, infectious diseases, molecular cardiology, and molecular surgery.

Oncology Reports

Oncology Reports

Oncology Reports is an international journal devoted to fundamental and applied research in Oncology.

Experimental and Therapeutic Medicine

Experimental and Therapeutic Medicine

Experimental and Therapeutic Medicine is an international journal devoted to laboratory and clinical medicine.

Oncology Letters

Oncology Letters

Oncology Letters is an international journal devoted to Experimental and Clinical Oncology.

Biomedical Reports

Biomedical Reports

Explores a wide range of biological and medical fields, including pharmacology, genetics, microbiology, neuroscience, and molecular cardiology.

Molecular and Clinical Oncology

Molecular and Clinical Oncology

International journal addressing all aspects of oncology research, from tumorigenesis and oncogenes to chemotherapy and metastasis.

World Academy of Sciences Journal

World Academy of Sciences Journal

Multidisciplinary open-access journal spanning biochemistry, genetics, neuroscience, environmental health, and synthetic biology.

International Journal of Functional Nutrition

International Journal of Functional Nutrition

Open-access journal combining biochemistry, pharmacology, immunology, and genetics to advance health through functional nutrition.

International Journal of Epigenetics

International Journal of Epigenetics

Publishes open-access research on using epigenetics to advance understanding and treatment of human disease.

Medicine International

Medicine International

An International Open Access Journal Devoted to General Medicine.

Journal Cover
March-2020 Volume 21 Issue 3

Full Size Image

Sign up for eToc alerts
Recommend to Library

  • Article
  • Citations
    • Cite This Article
    • Download Citation
    • Create Citation Alert
    • Remove Citation Alert
    • Cited By
  • Similar Articles
    • Related Articles (in Spandidos Publications)
    • Similar Articles (Google Scholar)
    • Similar Articles (PubMed)
  • Download PDF
  • Download XML
  • View XML
Article Open Access

miR‑21 promotes osteoclastogenesis through activation of PI3K/Akt signaling by targeting Pten in RAW264.7 cells

  • Authors:
    • Shengli Wang
    • Zhigang Liu
    • Jingchun Wang
    • Xinying Ji
    • Zhenqiang Yao
    • Xinchun Wang
  • View Affiliations / Copyright

    Affiliations: Department of Orthopedics, The First Affiliated Hospital of Henan University, Kaifeng, Henan 475001, P.R. China, Department of Pharmacy, The First Affiliated Hospital of Henan University, Kaifeng, Henan 475001, P.R. China, Molecular Immunology Laboratory, Basic Medical College of Henan University, Kaifeng, Henan 475001, P.R. China, Molecular Biology Laboratory, The First Affiliated Hospital of Henan University, Kaifeng, Henan 475001, P.R. China
    Copyright: © Wang et al. This is an open access article distributed under the terms of Creative Commons Attribution License.
  • Pages: 1125-1132
    |
    Published online on: January 13, 2020
       https://doi.org/10.3892/mmr.2020.10938
  • Expand metrics +
Metrics: Total Views: 0 (Spandidos Publications: | PMC Statistics: )
Metrics: Total PDF Downloads: 0 (Spandidos Publications: | PMC Statistics: )
Cited By (CrossRef): 0 citations Loading Articles...

This article is mentioned in:



Abstract

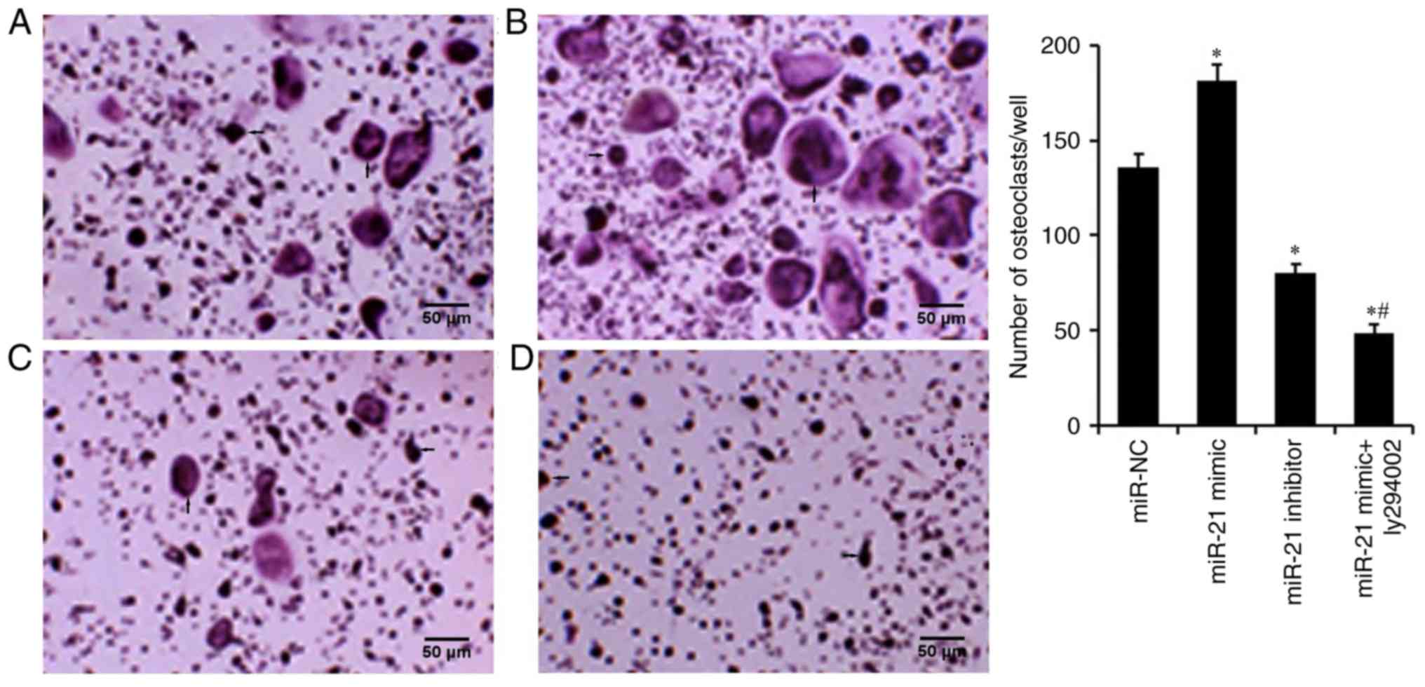
The present study aimed to investigate the effects of microRNA (miR)‑21 on osteoclastogenesis and its underlying molecular mechanisms. The expression levels of tartrate‑resistant acid phosphatase (TRAP) and miR‑21 were detected during osteoclastogenesis in receptor activator of NF‑κB ligand (RANKL)‑induced RAW264.7 cells via reverse transcription‑quantitative PCR. Bioinformatics and dual luciferase reporter assays were performed to analyze the association between miR‑21 and Pten. RANKL‑induced RAW264.7 cells were divided into the following groups: MiR‑negative control (NC), miR‑21 mimic, miR‑21 inhibitor and miR‑21 mimic + LY294002. The effects of miR‑21 on osteoclastogenesis and bone resorption were then detected using TRAP staining and a bone resorption assay. Pten, phosphorylated‑Akt and nuclear factor of activated T cell (NFATc1) expression levels were measured by western blotting to analyze the effects of miR‑21 on the PI3K/Akt signaling pathway. The present study revealed that miR‑21 was upregulated during osteoclastogenesis in RANKL‑induced RAW264.7 cells. Furthermore, miR‑21 negatively regulated Pten. Compared with the miR‑negative control (NC) group, the number of osteoclasts and the percentage of bone resorption were increased in the miR‑21 mimic group, whereas they were decreased in the miR‑21 inhibitor group. The number of osteoclasts and the percentage of bone resorption in the miR‑21 mimic + LY294002 group were lower than in the miR‑21 mimic group. Compared with the miR‑NC group, the protein expression levels of Pten were decreased, whereas p‑Akt and NFATc1 were increased in the miR‑21 mimic group. Conversely, Pten protein expression was increased, whereas p‑Akt and NFATc1 were decreased in the miR‑21 inhibitor group. In the miR‑21 mimic + LY294002 group, Pten protein expression was higher, and p‑Akt and NFATc1 were lower than in the miR‑21 mimic group. In conclusion, miR‑21 is upregulated during osteoclastogenesis, and may promote osteoclastogenesis and bone resorption through activating the PI3K/Akt signaling pathway via targeting Pten.
View Figures

Figure 1

Figure 2

Figure 3

Figure 4

Figure 5

Figure 6

View References

1 

Drissi H and Sanjay A: The multifaceted osteoclast; far and beyond bone resorption. J Cell Biochem. 117:1753–1756. 2016. View Article : Google Scholar : PubMed/NCBI

2 

Boyce BF: Advances in the regulation of osteoclasts and osteoclast functions. J Dent Res. 92:860–867. 2013. View Article : Google Scholar : PubMed/NCBI

3 

Hodge JM, Collier FM, Pavlos NJ, Kirkland MA and Nicholson GC: M-CSF potently augments RANKL-induced resorption activation in mature human osteoclasts. PLoS One. 6:e214622011. View Article : Google Scholar : PubMed/NCBI

4 

Takayanagi H, Kim S, Koga T, Nishina H, Isshiki M, Yoshida H, Saiura A, Isobe M, Yokochi T, Inoue J, et al: Induction and activation of the transcription factor NFATc1 (NFAT2) integrate RANKL signaling in terminal differentiation of osteoclasts. Dev Cell. 3:889–901. 2002. View Article : Google Scholar : PubMed/NCBI

5 

Chen C, Cheng P, Xie H, Zhou HD, Wu XP, Liao EY and Luo XH: MiR-503 regulates osteoclastogenesis via targeting RANK. J Bone Miner Res. 29:338–347. 2014. View Article : Google Scholar : PubMed/NCBI

6 

Cheng P, Chen C, He HB, Hu R, Zhou HD, Xie H, Zhu W, Dai RC, Wu XP, Liao EY and Luo XH: miR-148a regulates osteoclastogenesis by targeting V-maf musculoaponeurotic fibrosarcoma oncogene homolog B. J Bone Miner Res. 28:1180–1190. 2013. View Article : Google Scholar : PubMed/NCBI

7 

Mizoguchi F, Murakami Y, Saito T, Miyasaka N and Kohsaka H: miR-31 controls osteoclast formation and bone resorption by targeting RhoA. Arthritis Res Ther. 15:R1022013. View Article : Google Scholar : PubMed/NCBI

8 

Ge J, Guo S, Fu Y, Zhou P, Zhang P, Du Y, Li M, Cheng J and Jiang H: Dental follicle cells participate in tooth eruption via the RUNX2-MiR-31-SATB2 loop. J Dent Res. 94:936–944. 2015. View Article : Google Scholar : PubMed/NCBI

9 

Wang JH, Zheng WW, Cheng ST, Liu BX, Liu FR and Song JQ: Correlation between microRNA21 and sprouty homolog 2 gene expression in multiple myeloma. Mol Med Rep. 11:4220–4224. 2015. View Article : Google Scholar : PubMed/NCBI

10 

Pitari MR, Rossi M, Amodio N, Botta C, Morelli E, Federico C, Gullà A, Caracciolo D, Di Martino MT, Arbitrio M, et al: Inhibition of miR-21 restores RANKL/OPG ratio in multiple myeloma-derived bone marrow stromal cells and impairs the resorbing activity of mature osteoclasts. Oncotarget. 6:27343–27358. 2015. View Article : Google Scholar : PubMed/NCBI

11 

Sugatani T and Hruska KA: Down-regulation of miR-21 biogenesis by estrogen action contributes to osteoclastic apoptosis. J Cell Biochem. 114:1217–1222. 2013. View Article : Google Scholar : PubMed/NCBI

12 

Ocana A, Vera-Badillo F, Al-Mubarak M, Templeton AJ, Corrales-Sanchez V, Diez-Gonzalez L, Cuenca-Lopez MD, Seruga B, Pandiella A and Amir E: Activation of the PI3K/mTOR/AKT pathway and survival in solid tumors: Systematic review and meta-analysis. PLoS One. 9:e952192014. View Article : Google Scholar : PubMed/NCBI

13 

Wang L and Guo X: Research advance in signal pathways and signal factors during the process of osteoclast differentiation. Chin J Osteoporo. 21:742–748. 2015.

14 

Livak KJ and Schmittgen TD: Analysis of relative gene expression data using real-time quantitative PCR and the 2(-Delta Delta C(T)) method. Methods. 25:402–408. 2001. View Article : Google Scholar : PubMed/NCBI

15 

Wan J, Ling X, Peng B and Ding G: MiR-142-5p regulates CD4+ T cells in human non-small cell lung cancer through PD-L1 expression via the PTEN pathway. Oncol Rep. 40:272–282. 2018.PubMed/NCBI

16 

Jang HD, Noh JY, Shin JH, Lin JJ and Lee SY: PTEN regulation by the Akt/GSK-3β axis during RANKL signaling. Bone. 55:126–131. 2013. View Article : Google Scholar : PubMed/NCBI

17 

Kagiya T and Nakamura S: Expression profiling of microRNAs in RAW264.7 cells treated with a combination of tumor necrosis factor alpha and RANKL during osteoclast differentiation. J Periodontal Res. 48:373–385. 2013. View Article : Google Scholar : PubMed/NCBI

18 

Deng Z and Jin J: MicroRNAs in regulation of bone metabolism: A literature review. Orthop J China. 24:1019–1022. 2016.

19 

Zhang BG, Li JF, Yu BQ, Zhu ZG, Liu BY and Yan M: microRNA-21 promotes tumor proliferation and invasion in gastric cancer by targeting PTEN. Oncol Rep. 27:1019–1026. 2012. View Article : Google Scholar : PubMed/NCBI

20 

Peacock O, Lee AC, Cameron F, Tarbox R, Vafadar-Isfahani N, Tufarelli C and Lund JN: Inflammation and MiR-21 pathways functionally interact to downregulate PDCD4 in colorectal cancer. PLoS One. 9:e1102672014. View Article : Google Scholar : PubMed/NCBI

21 

Xu LF, Wu ZP, Chen Y, Zhu QS, Hamidi S and Navab R: MicroRNA-21 (miR-21) regulates cellular proliferation, invasion, migration, and apoptosis by targeting PTEN, RECK and Bcl-2 in lung squamous carcinoma, Gejiu City, China. PLoS One. 9:e1036982014. View Article : Google Scholar : PubMed/NCBI

22 

Sun Y, Xu L, Huang S, Hou Y, Liu Y, Chan KM, Pan XH and Li G: mir-21 overexpressing mesenchymal stem cells accelerate fracture healing in a rat closed femur fracture model. Biomed Res Int. 2015:4123272015. View Article : Google Scholar : PubMed/NCBI

23 

Hu CH, Sui BD, Du FY, Shuai Y, Zheng CX, Zhao P, Yu XR and Jin Y: miR-21 deficiency inhibits osteoclast function and prevents bone loss in mice. Sci Rep. 7:431912017. View Article : Google Scholar : PubMed/NCBI

24 

Xu Z, Liu X, Wang H, Li J, Dai L, Li J and Dong C: Lung adenocarcinoma cell-derived exosomal miR-21 facilitates osteoclastogenesis. Gene. 666:116–122. 2018. View Article : Google Scholar : PubMed/NCBI

25 

Sugatani T, Vacher J and Hruska KA: A microRNA expression signature of osteoclastogenesis. Blood. 117:3648–3657. 2011. View Article : Google Scholar : PubMed/NCBI

26 

Fujita S, Ito T Mizutani T, Minoguchi S, Yamamichi N, Sakurai K and Iba H: miR-21 gene expression triggered by AP-1 is sustained through a double-negative feedback mechanism. J Mol Biol. 378:492–504. 2008. View Article : Google Scholar : PubMed/NCBI

27 

Wang P, Guan Q, Zhou D, Yu Z, Song Y and Qiu W: miR-21 inhibitors modulate biological functions of gastric cancer cells via PTEN/PI3K/mTOR pathway. Dna Cell Biol. 37:38–45. 2018. View Article : Google Scholar : PubMed/NCBI

28 

Xiong B, Cheng Y, Ma L and Zhang C: MiR-21 regulates biological behavior through the PTEN/PI-3 K/Akt signaling pathway in human colorectal cancer cells. Int J Oncol. 42:219–228. 2013. View Article : Google Scholar : PubMed/NCBI

Related Articles

  • Abstract
  • View
  • Download
  • Twitter
Copy and paste a formatted citation
Spandidos Publications style
Wang S, Liu Z, Wang J, Ji X, Yao Z and Wang X: miR‑21 promotes osteoclastogenesis through activation of PI3K/Akt signaling by targeting Pten in RAW264.7 cells. Mol Med Rep 21: 1125-1132, 2020.
APA
Wang, S., Liu, Z., Wang, J., Ji, X., Yao, Z., & Wang, X. (2020). miR‑21 promotes osteoclastogenesis through activation of PI3K/Akt signaling by targeting Pten in RAW264.7 cells. Molecular Medicine Reports, 21, 1125-1132. https://doi.org/10.3892/mmr.2020.10938
MLA
Wang, S., Liu, Z., Wang, J., Ji, X., Yao, Z., Wang, X."miR‑21 promotes osteoclastogenesis through activation of PI3K/Akt signaling by targeting Pten in RAW264.7 cells". Molecular Medicine Reports 21.3 (2020): 1125-1132.
Chicago
Wang, S., Liu, Z., Wang, J., Ji, X., Yao, Z., Wang, X."miR‑21 promotes osteoclastogenesis through activation of PI3K/Akt signaling by targeting Pten in RAW264.7 cells". Molecular Medicine Reports 21, no. 3 (2020): 1125-1132. https://doi.org/10.3892/mmr.2020.10938
Copy and paste a formatted citation
x
Spandidos Publications style
Wang S, Liu Z, Wang J, Ji X, Yao Z and Wang X: miR‑21 promotes osteoclastogenesis through activation of PI3K/Akt signaling by targeting Pten in RAW264.7 cells. Mol Med Rep 21: 1125-1132, 2020.
APA
Wang, S., Liu, Z., Wang, J., Ji, X., Yao, Z., & Wang, X. (2020). miR‑21 promotes osteoclastogenesis through activation of PI3K/Akt signaling by targeting Pten in RAW264.7 cells. Molecular Medicine Reports, 21, 1125-1132. https://doi.org/10.3892/mmr.2020.10938
MLA
Wang, S., Liu, Z., Wang, J., Ji, X., Yao, Z., Wang, X."miR‑21 promotes osteoclastogenesis through activation of PI3K/Akt signaling by targeting Pten in RAW264.7 cells". Molecular Medicine Reports 21.3 (2020): 1125-1132.
Chicago
Wang, S., Liu, Z., Wang, J., Ji, X., Yao, Z., Wang, X."miR‑21 promotes osteoclastogenesis through activation of PI3K/Akt signaling by targeting Pten in RAW264.7 cells". Molecular Medicine Reports 21, no. 3 (2020): 1125-1132. https://doi.org/10.3892/mmr.2020.10938
Follow us
  • Twitter
  • LinkedIn
  • Facebook
About
  • Spandidos Publications
  • Careers
  • Cookie Policy
  • Privacy Policy
How can we help?
  • Help
  • Live Chat
  • Contact
  • Email to our Support Team