Spandidos Publications Logo
  • About
    • About Spandidos
    • Aims and Scopes
    • Abstracting and Indexing
    • Editorial Policies
    • Reprints and Permissions
    • Job Opportunities
    • Terms and Conditions
    • Contact
  • Journals
    • All Journals
    • Oncology Letters
      • Oncology Letters
      • Information for Authors
      • Editorial Policies
      • Editorial Board
      • Aims and Scope
      • Abstracting and Indexing
      • Bibliographic Information
      • Archive
    • International Journal of Oncology
      • International Journal of Oncology
      • Information for Authors
      • Editorial Policies
      • Editorial Board
      • Aims and Scope
      • Abstracting and Indexing
      • Bibliographic Information
      • Archive
    • Molecular and Clinical Oncology
      • Molecular and Clinical Oncology
      • Information for Authors
      • Editorial Policies
      • Editorial Board
      • Aims and Scope
      • Abstracting and Indexing
      • Bibliographic Information
      • Archive
    • Experimental and Therapeutic Medicine
      • Experimental and Therapeutic Medicine
      • Information for Authors
      • Editorial Policies
      • Editorial Board
      • Aims and Scope
      • Abstracting and Indexing
      • Bibliographic Information
      • Archive
    • International Journal of Molecular Medicine
      • International Journal of Molecular Medicine
      • Information for Authors
      • Editorial Policies
      • Editorial Board
      • Aims and Scope
      • Abstracting and Indexing
      • Bibliographic Information
      • Archive
    • Biomedical Reports
      • Biomedical Reports
      • Information for Authors
      • Editorial Policies
      • Editorial Board
      • Aims and Scope
      • Abstracting and Indexing
      • Bibliographic Information
      • Archive
    • Oncology Reports
      • Oncology Reports
      • Information for Authors
      • Editorial Policies
      • Editorial Board
      • Aims and Scope
      • Abstracting and Indexing
      • Bibliographic Information
      • Archive
    • Molecular Medicine Reports
      • Molecular Medicine Reports
      • Information for Authors
      • Editorial Policies
      • Editorial Board
      • Aims and Scope
      • Abstracting and Indexing
      • Bibliographic Information
      • Archive
    • World Academy of Sciences Journal
      • World Academy of Sciences Journal
      • Information for Authors
      • Editorial Policies
      • Editorial Board
      • Aims and Scope
      • Abstracting and Indexing
      • Bibliographic Information
      • Archive
    • International Journal of Functional Nutrition
      • International Journal of Functional Nutrition
      • Information for Authors
      • Editorial Policies
      • Editorial Board
      • Aims and Scope
      • Abstracting and Indexing
      • Bibliographic Information
      • Archive
    • International Journal of Epigenetics
      • International Journal of Epigenetics
      • Information for Authors
      • Editorial Policies
      • Editorial Board
      • Aims and Scope
      • Abstracting and Indexing
      • Bibliographic Information
      • Archive
    • Medicine International
      • Medicine International
      • Information for Authors
      • Editorial Policies
      • Editorial Board
      • Aims and Scope
      • Abstracting and Indexing
      • Bibliographic Information
      • Archive
  • Articles
  • Information
    • Information for Authors
    • Information for Reviewers
    • Information for Librarians
    • Information for Advertisers
    • Conferences
  • Language Editing
Spandidos Publications Logo
  • About
    • About Spandidos
    • Aims and Scopes
    • Abstracting and Indexing
    • Editorial Policies
    • Reprints and Permissions
    • Job Opportunities
    • Terms and Conditions
    • Contact
  • Journals
    • All Journals
    • Biomedical Reports
      • Information for Authors
      • Editorial Policies
      • Editorial Board
      • Aims and Scope
      • Abstracting and Indexing
      • Bibliographic Information
      • Archive
    • Experimental and Therapeutic Medicine
      • Information for Authors
      • Editorial Policies
      • Editorial Board
      • Aims and Scope
      • Abstracting and Indexing
      • Bibliographic Information
      • Archive
    • International Journal of Epigenetics
      • Information for Authors
      • Editorial Policies
      • Editorial Board
      • Aims and Scope
      • Abstracting and Indexing
      • Bibliographic Information
      • Archive
    • International Journal of Functional Nutrition
      • Information for Authors
      • Editorial Policies
      • Editorial Board
      • Aims and Scope
      • Abstracting and Indexing
      • Bibliographic Information
      • Archive
    • International Journal of Molecular Medicine
      • Information for Authors
      • Editorial Policies
      • Editorial Board
      • Aims and Scope
      • Abstracting and Indexing
      • Bibliographic Information
      • Archive
    • International Journal of Oncology
      • Information for Authors
      • Editorial Policies
      • Editorial Board
      • Aims and Scope
      • Abstracting and Indexing
      • Bibliographic Information
      • Archive
    • Medicine International
      • Information for Authors
      • Editorial Policies
      • Editorial Board
      • Aims and Scope
      • Abstracting and Indexing
      • Bibliographic Information
      • Archive
    • Molecular and Clinical Oncology
      • Information for Authors
      • Editorial Policies
      • Editorial Board
      • Aims and Scope
      • Abstracting and Indexing
      • Bibliographic Information
      • Archive
    • Molecular Medicine Reports
      • Information for Authors
      • Editorial Policies
      • Editorial Board
      • Aims and Scope
      • Abstracting and Indexing
      • Bibliographic Information
      • Archive
    • Oncology Letters
      • Information for Authors
      • Editorial Policies
      • Editorial Board
      • Aims and Scope
      • Abstracting and Indexing
      • Bibliographic Information
      • Archive
    • Oncology Reports
      • Information for Authors
      • Editorial Policies
      • Editorial Board
      • Aims and Scope
      • Abstracting and Indexing
      • Bibliographic Information
      • Archive
    • World Academy of Sciences Journal
      • Information for Authors
      • Editorial Policies
      • Editorial Board
      • Aims and Scope
      • Abstracting and Indexing
      • Bibliographic Information
      • Archive
  • Articles
  • Information
    • For Authors
    • For Reviewers
    • For Librarians
    • For Advertisers
    • Conferences
  • Language Editing
Login Register Submit
  • This site uses cookies
  • You can change your cookie settings at any time by following the instructions in our Cookie Policy. To find out more, you may read our Privacy Policy.

    I agree
Search articles by DOI, keyword, author or affiliation
Search
Advanced Search
presentation
Molecular Medicine Reports
Join Editorial Board Propose a Special Issue
Print ISSN: 1791-2997 Online ISSN: 1791-3004
Journal Cover
February-2022 Volume 25 Issue 2

Full Size Image

Sign up for eToc alerts
Recommend to Library

Journals

International Journal of Molecular Medicine

International Journal of Molecular Medicine

International Journal of Molecular Medicine is an international journal devoted to molecular mechanisms of human disease.

International Journal of Oncology

International Journal of Oncology

International Journal of Oncology is an international journal devoted to oncology research and cancer treatment.

Molecular Medicine Reports

Molecular Medicine Reports

Covers molecular medicine topics such as pharmacology, pathology, genetics, neuroscience, infectious diseases, molecular cardiology, and molecular surgery.

Oncology Reports

Oncology Reports

Oncology Reports is an international journal devoted to fundamental and applied research in Oncology.

Experimental and Therapeutic Medicine

Experimental and Therapeutic Medicine

Experimental and Therapeutic Medicine is an international journal devoted to laboratory and clinical medicine.

Oncology Letters

Oncology Letters

Oncology Letters is an international journal devoted to Experimental and Clinical Oncology.

Biomedical Reports

Biomedical Reports

Explores a wide range of biological and medical fields, including pharmacology, genetics, microbiology, neuroscience, and molecular cardiology.

Molecular and Clinical Oncology

Molecular and Clinical Oncology

International journal addressing all aspects of oncology research, from tumorigenesis and oncogenes to chemotherapy and metastasis.

World Academy of Sciences Journal

World Academy of Sciences Journal

Multidisciplinary open-access journal spanning biochemistry, genetics, neuroscience, environmental health, and synthetic biology.

International Journal of Functional Nutrition

International Journal of Functional Nutrition

Open-access journal combining biochemistry, pharmacology, immunology, and genetics to advance health through functional nutrition.

International Journal of Epigenetics

International Journal of Epigenetics

Publishes open-access research on using epigenetics to advance understanding and treatment of human disease.

Medicine International

Medicine International

An International Open Access Journal Devoted to General Medicine.

Journal Cover
February-2022 Volume 25 Issue 2

Full Size Image

Sign up for eToc alerts
Recommend to Library

  • Article
  • Citations
    • Cite This Article
    • Download Citation
    • Create Citation Alert
    • Remove Citation Alert
    • Cited By
  • Similar Articles
    • Related Articles (in Spandidos Publications)
    • Similar Articles (Google Scholar)
    • Similar Articles (PubMed)
  • Download PDF
  • Download XML
  • View XML
Article Open Access

Substance P prevents doxorubicin‑induced cardiomyocyte injury by regulating apoptosis and autophagy: In vitro and in vivo evidence

  • Authors:
    • Fa-Xiu Chen
    • Qin Wan
    • Qing-Ling Li
    • Jing Fang
    • Le Peng
    • Jian Hu
  • View Affiliations / Copyright

    Affiliations: Department of Geriatrics and Gerontology, People's Hospital Affiliated to Nanchang University, Nanchang, Jiangxi 330006, P.R. China
    Copyright: © Chen et al. This is an open access article distributed under the terms of Creative Commons Attribution License.
  • Article Number: 50
    |
    Published online on: December 13, 2021
       https://doi.org/10.3892/mmr.2021.12566
  • Expand metrics +
Metrics: Total Views: 0 (Spandidos Publications: | PMC Statistics: )
Metrics: Total PDF Downloads: 0 (Spandidos Publications: | PMC Statistics: )
Cited By (CrossRef): 0 citations Loading Articles...

This article is mentioned in:



Abstract

The function of substance P (SP) in myocardial ischemia is well understood, but its effects on congestive heart failure are unclear. The present study aimed to use in vitro and in vivo approaches to investigate the effects of SP on doxorubicin‑induced cardiomyocyte injury. Pathological changes, apoptosis, cardiomyocyte ultrastructure and molecular mechanisms were evaluated in vitro and in vivo. The effects of SP on cell viability of H9c2 myocardial cells were evaluated using the Cell Counting Kit‑8 and flow cytometry. B‑cell lymphoma 2 (Bcl‑2), Bcl‑2‑associated X protein (Bax), Beclin‑1 and microtubule‑associated protein 1A/1B‑light chain 3 (LC3) were detected by western blotting. Heart failure in rats was established by intraperitoneal injection of doxorubicin. The in vitro data demonstrated that SP at concentrations of 1 µg/ml inhibited doxorubicin‑induced apoptosis of H9c2 cells. Administration of doxorubicin reduced Bcl‑2, Beclin‑1 and LC3 expression levels in H9c2 cells, while having no effect on Bax levels. Administration of SP to these doxorubicin‑treated cells did not affect Bcl‑2 or Bax expression, but further reduced Beclin‑1 while inhibiting the reduction in LC3 expression. In vivo, food intake was significantly increased in rats in the SP group compared with the model group. Cardiomyocytes in the heart‑failure group underwent dysfunctional autophagy as ascertained by transmission electron microscopy. Compared with the heart‑failure group, these pathological changes, including loss of striations and vacuolation, were inhibited by SP treatment, which promoted Bax expression, reduced Beclin‑1 expression and inhibited the reduction in LC3 expression. Taken together, SP reduced cardiomyocyte apoptosis in doxorubicin‑induced cardiomyocyte injury, likely by promoting autophagy, which suggested that SP is a potential therapeutic target for doxorubicin‑induced heart failure.

Introduction

Doxorubicin is one of the most widely used chemotherapeutic drugs (1), which acts primarily by triggering apoptosis via inhibition of topoisomerase activity and generation of reactive oxygen species (ROS) (2). Cardiotoxicity and congestive heart failure (CHF) are prominent side effects of doxorubicin because of its toxic effects on cardiomyocytes (3) and this limits its clinical use. Notably, doxorubicin is widely used to produce animal and cellular models of heart failure (4,5). Apoptosis is known to be one of the key pathological processes of CHF (6); therefore, a strategy to prevent cardiomyocyte apoptosis could effectively delay and treat CHF (7).

Substance P (SP) belongs to the tachykinin family of sensory neuropeptides, which serves an important role in activating tachykinin receptor 1. SP functions in the repair of sensory injury, regulation of smooth muscle contraction and modulation of inflammation/immune responses (8–12). SP is mainly expressed in the central nervous system and peripheral afferent sensory neurons, especially in C-fibers (13). In addition to neurons, SP is also found in heart tissue (14). Expression of SP has been reported to markedly increase following ischemic injury, which SP has previously been shown to limit (15,16). In addition, SP is hypothesized to promote inflammation and cardiac hypertrophy in myocarditis (17,18). SP may also be involved in heart failure caused by hypertension or stress by promoting expression of MMPs (19). However, the effects of SP on doxorubicin-induced heart failure remain to be elucidated.

Autophagy is one type of cellular degradation, which functions to remove unnecessary or damaged components (20,21). Inappropriate autophagy is associated with several diseases, including cardiac and neurodegenerative diseases (22). The present study used cellular and animal experiments to investigate the effects of SP on cardiomyocyte injury caused by doxorubicin. Additionally, the potential mechanisms involving autophagy were investigated. The data demonstrated that SP limited doxorubicin-induced cardiomyocyte injury, probably by regulating apoptosis and autophagy. These results have implications for the prevention of doxorubicin-induced heart failure.

Materials and methods

Ethics statement

The animal protocols performed in the present study were approved by the Ethics Committee of People's Hospital Affiliated to Nanchang University (Nanchang, China; approval no. 2019-037). After the experiments, animals were anesthetized by 5% isoflurane, followed by decapitation.

Cell culture and treatments

H9c2 myocardial cells were purchased from BeNa Culture Collection (Beijing Beina Chunglian Institute of Biotechnology; cat. no. BNCC295057) and were cultured in Dulbecco's modified Eagle's medium (Gibco; Thermo Fisher Scientific, Inc.) supplemented with 10% FBS (Gibco; Thermo Fisher Scientific, Inc.) in an incubator with 5% CO2 at 37°C. The effects of SP on the viability of H9c2 cells were determined using the Cell Counting Kit-8 (CCK-8) assay (Beyotime Institute of Biotechnology). The protective effects of SP on doxorubicin-induced cell injury were evaluated as follows: After cells had adhered to the substrate, culture medium was discarded and the cells were washed with 1X phosphate buffered saline (PBS). Doxorubicin (2 µM; cat. no. D107159; Shanghai Aladdin Biochemical Technology Co., Ltd.; model group) or 2 µM doxorubicin + 1 µg/ml exogenous SP (cat. no. HY-P0201A; MedChemExpress) medium (SP group) were then added to paired wells; after 24 h at 37°C, flow cytometry and western blotting were performed. The cells in the control group did not receive any treatment.

CCK-8 assay

After H9c2 cells had completely adhered to the well, the supernatant was discarded and different concentrations of SP (0, 0.1, 0.5, 1, 5 and 10 µg/ml) suspended in fresh culture medium were added to the cells. The cells were cultured in an incubator at 37°C for 24 h and cell viability was assessed to screen for safe concentrations of SP. Briefly, following treatment, 10 µl CCK-8 solution was added to each well and incubated at 37°C for 1.5 h. Optical density was measured at a 450 nm using a microplate reader to calculate cell viability at each SP concentration and 1 µg/ml SP was selected to investigate its effect on doxorubicin-induced cardiomyocyte injury.

Flow cytometry

Following treatment for 24 h, cells were collected, washed with PBS and centrifuged at 897 × g for 3 min at 4°C. Annexin V-fluorescein isothiocyanate (3 µl) and propidium iodide (5 µl) were added to the cells according to the instructions of the assay kit (cat. no. C1062S; Beyotime Institute of Biotechnology). After gentle mixing, the cells were incubated at room temperature for 10 min in the dark and apoptosis was measured by flow cytometry (NovoCyte® 2060R; ACEA Biosciences, Inc.) and analyzed using FlowJo 7.6 (FlowJo, LLC), The percentage of early + late apoptotic cells were counted.

Preparation of a heart-failure model and treatments

A total of 18 male Sprague Dawley rats (age, 2 months; weight, 200±20 g) were purchased from Hunan Slake Jingda Experimental Animal Co., Ltd. [license no. SCXK (Xiang) 2019-0004]. The animals were housed in a specific pathogen-free condition that was automatically maintained at a temperature of 23±2°C, a relative humidity of 45–65%, and with a controlled 12 h light/dark cycle and free to access to food and water. The animals were divided into three groups (n=6/group): i) Control group; ii) model group; and iii) SP treatment group. The heart-failure rat model was prepared as previously described (23). Briefly, doxorubicin was injected intraperitoneally once every 3 days (3 mg/kg) with a cumulative total of 15 mg/kg. The injections were completed within 2 weeks to establish the rat myocardial injury model. SP was injected via the caudal vein at a dose of 6.7 µg/kg once every 4 days as previously described (24). The rats in the control and model groups were injected with the same amount of saline. An electrocardiogram (ECG) was used to monitor heart function after treatment and heart rate was automatically recorded. Thereafter, the rats were decapitated following anesthesia (5% isoflurane). Myocardial tissue was collected and fixed in 4% paraformaldehyde at 4°C overnight for determination of pathological changes.

Hematoxylin and eosin (H&E) staining

Fixed tissue was washed with running water for several hours, serially dehydrated in 70, 80 and 90% ethanol, a mixture of ethanol and xylene for 15 min, and then xylene for 30 min. The tissues were subsequently immersed in a mixture of xylene and paraffin for 15 min, and then in paraffin for 50–60 min. The paraffin-embedded tissues were then sectioned (10 µm). After warming, dewaxing and rehydrating, the sections were stained with hematoxylin (3%) and eosin (3%) for 5 min at room temperature. The sections were observed under a light microscope (BX53, Olympus Corporation).

Terminal deoxynucleotidyl transferase dUTP nick end labeling (TUNEL) assay

After dewaxing (xylene treatment for 10 min) and rehydrating in a gradient ethanol series at room temperature, 50 µg/ml proteinase K was added and the sections were incubated at 37°C for 30 min. The tissues were then washed with PBS three times (5 min/wash). The PBS was removed and TUNEL solution (5 µl/ml; Beyotime Institute of Biotechnology) was added to each slide and incubated at 45°C for 2 h in the dark, followed by DAPI (5 µg/ml) staining at room temperature for 5 min. The liquid on the slide was dried using absorbent paper and the slide was sealed and observed under a fluorescence microscope.

Transmission electron microscopy (TEM)

Myocardial tissues were placed in 2.5% glutaraldehyde at 4°C for 4 h followed by fixation with 1% osmium tetroxide for 1.5 h. and washed three times with pre-cooled PBS. After dehydration with a gradient ethanol series and acetone, the tissues were incubated in epoxy resin overnight at room temperature prior to sectioning (2 nm slices). After that, the slices were stained with 2% uranyl acetate and 0.5% lead citrate for 5 min at room temperature. Autophagic ultrastructure was observed by transmission electron microscopy (HT7700; Hitachi High-Technologies Corporation; magnification, ×8,000).

Western blotting

Myocardial tissue was ground into powder in liquid nitrogen. Proteins were extracted from tissues and H9c2 cells using a protein isolation kit (cat. no. 28-9425-44; Cytiva) and protein concentration was determined by the bicinchoninic acid method. The proteins (25 µg/lane) were denatured and separated by sodium dodecyl sulfate polyacrylamide gel electrophoresis for 2 h (12% gel), followed by transfer to a nitrocellulose membrane (300 mA was applied for 80 min) as described previously (25,26). The membranes were blocked in 5% skimmed milk for 2 h at room temperature. Thereafter, the membrane was incubated with primary antibodies at 4°C overnight, and then after washing, the membrane was incubated with a secondary antibody (horseradish peroxidase-labeled goat anti-rabbit IgG; 1:100; cat. no. ab6721; Abcam) at room temperature for 2 h. Dye solution from an enhanced chemiluminescence kit (cat. no. RPN2133; Cytiva) was added to the membrane and staining was visualized using a gel imaging system (Bio-Rad Laboratories, Inc.). The gray value was analyzed by Quantity One software (version 4.62; Bio-Rad Laboratories, Inc.). The primary antibodies included mouse monoclonal anti-β-actin (1:2,000; cat. no. TA-09; OriGene Technologies, Inc.), mouse anti-B-cell lymphoma 2 (Bcl-2; 1:500; cat. no. ab692; Abcam), rabbit anti-Bcl-2-associated X protein (Bax; 1:500; cat. no. A0207; ABclonal Biotech Co., Ltd.), rabbit anti-Beclin-1 (1:1,000; cat. no. ab62557; Abcam) and rabbit anti-microtubule-associated protein 1A/1B-light chain 3 (LC3-II; 1:500; cat. no. bs-8878R; BIOSS).

Statistical analysis

All data were expressed as the mean ± standard deviation with six repeats in both the animal and cell culture experiments. Statistical analysis was carried out with GraphPad Prism 7 (GraphPad Software, Inc.) using one-way ANOVA followed by the Bonferroni test. P<0.05 was considered to indicate a statistically significant difference.

Results

SP inhibits doxorubicin-induced apoptosis of H9c2 cells

H9c2 myocardial cells were treated with different concentrations of SP for 24 h. Viability of H9c2 cells was detected using the CCK-8 method. SP at concentrations ranging between 0.1 and 1.0 µg/ml did not affect H9c2 cell viability (Fig. 1). By contrast, 5 or 10 µg/ml SP significantly reduced cell viability compared with untreated controls.

Figure 1.

Effects of SP on the viability of H9c2 cells. SP at concentrations ranging from 0.1 to 1 µg/ml did not affect the viability of H9c2 cells. By contrast, 5 or 10 µg/ml SP reduced cell viability. *P<0.05 vs. control cells (n=6 repeats/group). SP, substance P.

Using the results of the CCK-8 assay, 1 µg/ml SP was selected to investigate the effect of SP on doxorubicin-induced injury of H9c2 cells. The apoptosis of H9c2 cells treated with doxorubicin was significantly higher compared with that detected in the control H9c2 cells, whereas SP significantly reduced this effect (Fig. 2).

Figure 2.

SP inhibits doxorubicin-induced apoptosis of H9c2 cells. Apoptosis of H9c2 cells in the doxorubicin-treated group was higher compared with that in control H9c2 cells, whereas SP attenuated doxorubicin-induced apoptosis. *P<0.05 vs. control cells; #P<0.05 vs. model cells (n=6 repeats/group). SP, substance P.

Effects of SP on the expression levels of Bax, Bcl-2, Beclin-1 and LC3 in doxorubicin-treated H9c2 cells

In order to further explore the specific effects of SP on apoptosis and autophagy, the protein expression levels of Bcl-2, Bax, Beclin-1 and LC3 were monitored in H9c2 cells. As shown in Fig. 3, Bcl-2 expression in doxorubicin-treated H9c2 cells was significantly lower compared with that in the control group, whereas the addition of SP to the doxorubicin-treated cells had no effect on Bcl-2 expression. Bax expression was comparable in all three groups, which indicated that Bax was unaffected by doxorubicin and SP.

Figure 3.

Effects of SP on the expression levels of Bax, Bcl-2, Beclin-1 and LC3 in H9c2 cells. Bcl-2 expression in the doxorubicin-treated group was significantly lower than in the control group, whereas SP did not influence Bcl-2 expression in the doxorubicin-treated group. Doxorubicin reduced the expression levels of Beclin-1 and LC3 in H9c2 cells, whereas SP further reduced Beclin-1 expression, but inhibited the doxorubicin-induced decrease in LC3 levels. *P<0.05 vs. control cells; #P<0.05 vs. model cells (n=6 repeats in each group). SP, substance P; Bcl-2, B-cell lymphoma 2; Bax, Bcl-2-associated X protein; LC3, microtubule-associated protein 1A/1B-light chain 3.

Compared with in the control H9c2 cells, doxorubicin treatment reduced the expression levels of Beclin-1 and LC3. SP further reduced Beclin-1 expression, but inhibited the doxorubicin-induced decrease in LC3 (Fig. 3). These data suggested that SP might rescue doxorubicin-induced autophagy dysfunction.

SP increases food intake in rats with heart failure

Of the 12 rats used in the present study, none died during the experiments. Compared with the control rats, the food intake and body weight of the rats in the heart-failure group were significantly decreased (Fig. 4). Administration of SP to the heart-failure rats was associated with no significant change in body weight for 12 days; however, food intake rose on days 10–12.

Figure 4.

SP increases food intake in rats with heart failure. (A) Rat weight and (B) food intake. Food intake and weight of the rats decreased in the heart-failure group. Administration of SP increased food intake on days 4–12. *P<0.05 vs. control group; #P<0.05 vs. model group (n=6 repeats/group). SP, substance P.

Subsequently, a six-lead ECG was used to monitor heart function and representative traces are shown in Fig. 5. Heart rate was also quantified in the three groups. Compared with in the control group, heart rate in the heart-failure group was significantly decreased, whereas SP treatment inhibited this decrease (Fig. 5).

Figure 5.

SP ameliorates the impaired heart rate in rats with heart failure. (A) representative ECG traces. (B) Heart rate. *P<0.05 vs. control group; #P<0.05 vs. model group (n=6 repeats/group). SP, substance P; BPM, beats per minute; ECG, electrocardiogram.

Histological observation of rat myocardium

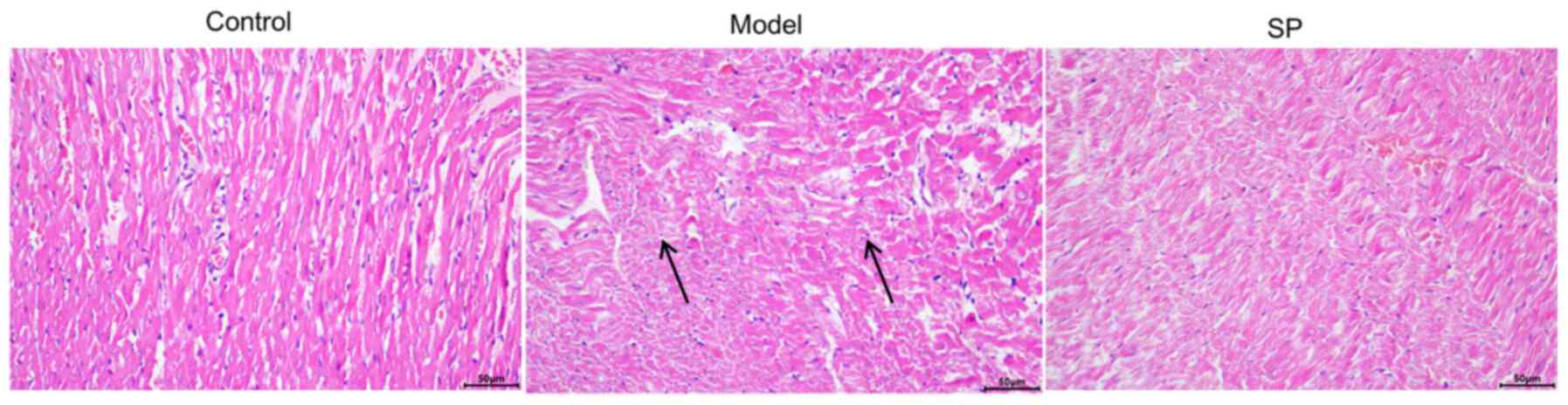
The results of H&E staining of rat myocardial tissue are shown in Fig. 6. Compared with in the control group, the cardiomyocytes in the doxorubicin-induced heart-failure group were arranged in a disordered pattern and were loosely connected. SP treatment ameliorated these pathological changes caused by doxorubicin.

Figure 6.

Pathological changes in myocardial tissues. Myocardial fibers were disordered and loose (arrows), and there were more gaps between muscle cells in the heart-failure group. SP treatment remedied the pathological changes caused by doxorubicin. Magnification, ×200. SP, substance P.

Compared with in the control group, cardiomyocytes in the heart-failure group exhibited a loss of striations, vacuolation with damaged organelle, indicating dysfunction of autophagy. By contrast, SP reduced the loss of striations, as well as vacuolation (Fig. 7).

Figure 7.

Ultrastructure of cardiomyocytes in the different groups. Cardiomyocytes in the heart-failure model lost striations, became vacuolated and exhibited obvious dysfunction of autophagy. SP promoted autophagy of cardiomyocytes in doxorubicin-induced heart failure. The arrow indicates the accumulated autophagic vacuole. Scale bar, 1 µm. SP, substance P.

SP reduces cardiomyocyte apoptosis in rats with heart failure

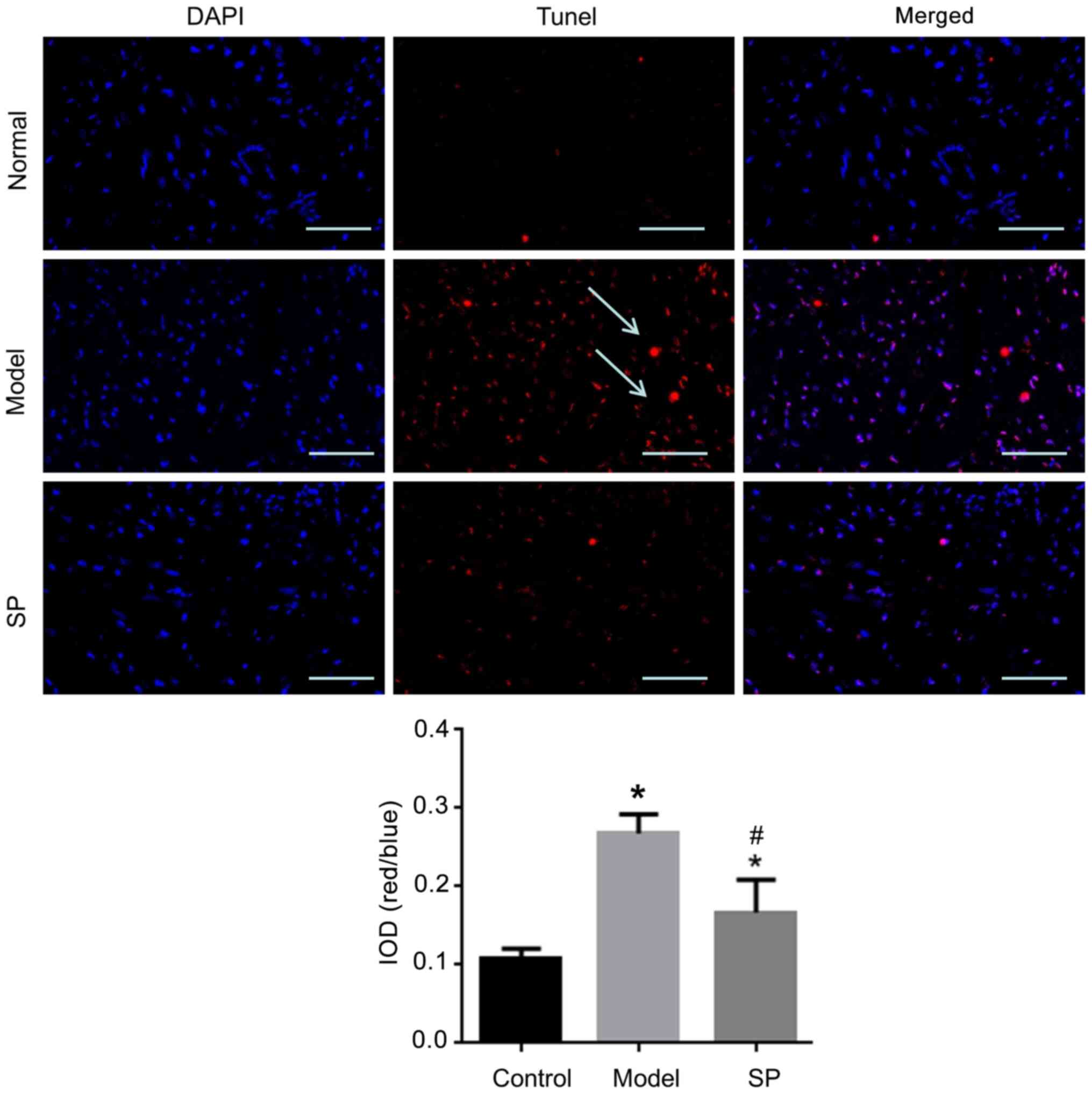
TUNEL staining was used to determine the level of apoptosis in myocardial tissue. Apoptosis in myocardial tissue from the heart-failure group was significantly higher compared with that in the control group, whereas this effect was inhibited by SP treatment (Fig. 8).

Figure 8.

SP reduces cardiomyocyte apoptosis in rats with heart failure. The level of apoptosis in myocardial tissue of the heart-failure group was significantly higher compared with that in the control group, whereas the rate of apoptosis in the SP treatment group was lower compared with in the heart-failure group. The arrow indicates apoptotic cells. Scale bar, 100 μm. *P<0.05 vs. control group; #P<0.05 vs. model group (n=6 repeats/group). SP, substance P; IOD, integrated optical density.

Effects of SP on the expression levels of Bax, Bcl-2, Beclin-1 and LC3 in heart-failure rats

Compared with in the control group, there was a significant decrease in the protein expression levels of Bcl-2, Beclin-1 and LC3, but not Bax, in the heart-failure group (Fig. 9). SP inhibited these changes in LC3, although Beclin-1 expression was further reduced. Additionally, SP increased Bax expression, while it did not affect Bcl-2 expression compared with the model group. These results indicated that SP promoted autophagy, while reducing apoptosis.

Figure 9.

Effects of SP on the expression levels of Bax, Bcl-2, Beclin-1 and LC3 in heart failure rats. The expression levels of Bcl-2, Beclin-1 and LC3 were reduced in the heart-failure model. SP promoted the expression levels of Bax and LC3, and inhibited Beclin-1 expression. *P<0.05 vs. control group; #P<0.05 vs. model group (n=6 repeats/group). SP, substance P; Bcl-2, B-cell lymphoma 2; Bax, Bcl-2-associated X protein; LC3, microtubule-associated protein 1A/1B-light chain 3.

Discussion

In the present study, the rate of apoptosis of H9c2 cells was increased following doxorubicin treatment. Pathological changes of myocardial tissue in doxorubicin-treated rats were observed. By contrast, SP protected against doxorubicin-induced injury of H9c2 cells and heart tissue. The present study provided evidence that SP limited apoptosis and triggered autophagy, which potentially has implications for therapeutic applications.

Doxorubicin is a common chemotherapeutic drug, which acts primarily through the induction of apoptosis by inhibiting topoisomerase activity and generating ROS (1). Cardiomyocytes are susceptible to doxorubicin; therefore, cardiotoxicity is a prominent side effect (3), and doxorubicin is widely used to produce animal and cellular models of heart failure (4,5). The present study found that doxorubicin triggered cardiotoxicity, as evidenced by an increase in apoptosis and apoptosis-related protein (Bcl-2) expression. Notably, it was found that a safe concentration of SP prevented doxorubicin-induced apoptosis of H9c2 cells. These data suggested that SP at specific concentrations may prevent doxorubicin-induced cardiotoxicity.

The present study demonstrated that 1 µg/ml SP had no significant effect on the viability of H9c2 cells, but reduced doxorubicin-induced apoptosis of H9c2 cells. In addition, the experimental results demonstrated that doxorubicin could reduce the expression levels of Beclin-1 and LC3 in H9c2 cells, whereas SP further reduced the expression of Beclin-1 but increased the expression of LC3. As the mammalian ortholog of the yeast Atg6 gene, Beclin-1 is an essential mediator of autophagy. In addition, it has also been reported that Beclin 1 may have a proapoptotic role (27). By contrast, LC3 can be used to indicate autophagy (28). Therefore, the present study indicated that SP may promote autophagy and reduce apoptosis.

In the apoptosis cascade, Bcl-2 and Bax balance each other in controlling release of cytochrome c from mitochondria to determine cell death (29). Therefore, the expression levels of Bcl-2 and Bax are considered to be representative of apoptosis (30). The present study detected Bcl-2 and Bax expression in H9c2 cells and heart tissue that had experienced doxorubicin-induced injury. It was observed that doxorubicin reduced Bcl-2 expression in vitro and in vivo, whereas it did not affect Bax, which implicated apoptosis in doxorubicin-induced injury of cardiomyocytes (31,32). Notably, SP could reverse the effect of doxorubicin on the Bcl-2/Bax ratio. These data further support the conclusion that SP can prevent doxorubicin-induced apoptosis of cardiomyocytes.

The present study also investigated the effects of SP on food intake and body weight in rats with heart failure. The data demonstrated that SP could increase food intake following heart failure. Reduction of heart rate is an important functional index of heart failure (33). The present study used an ECG to monitor heart function. Heart rate was reduced in model group, indicating the heart function was impaired. By contrast, SP could reduce the impairment. The results of H&E staining also suggested that SP could repair doxorubicin-induced morphological changes in heart tissue. Taken together, these data support the conclusion that SP can block doxorubicin-induced heart malfunction.

Autophagy is considered to be an important mechanism of organelle and protein turnover in cells (20). Autophagy can prevent apoptosis in cases of mild external stimulation, and the activation of apoptosis-related caspase-3 can block autophagy (34–36). The present findings indicated that SP could reduce doxorubicin-induced cardiomyocyte apoptosis by increasing autophagy in myocardial tissue, which suggested a potential for SP in the treatment of heart failure.

The data in the present study contradicted some earlier publications (37,38) in which SP antagonists inhibited doxorubicin-induced cardiomyocyte apoptosis and triple-negative breast cancer chemoresistance. These discrepancies might be caused in part by bidirectional regulation of SP signaling pathways, as discussed in a previous review in which SP was shown to have beneficial as well as detrimental effects on heart failure (39). The duration and dose of SP might also control its various functions. The present study revealed that high doses of SP were detrimental to H9c2 cells, whereas low doses exerted protection against doxorubicin-induced cardiomyocyte injury. This observation might have important implications for clinical applications of SP and warrants further investigation.

The present study demonstrated a mechanism by which SP reduced cardiomyocyte apoptosis in doxorubicin-induced cardiomyocyte injury, potentially by promoting autophagy. However, the effects of SP on doxorubicin-induced oxidative stress deserve future investigation. Additionally, the direct relationship between apoptosis and autophagy still requires investigation.

In conclusion, the present study indicated that SP reduced cardiomyocyte apoptosis, potentially by promoting autophagy, in a rat model of doxorubicin-induced heart failure, which indicated that SP might be a potential therapeutic substance for heart failure.

Acknowledgements

Not applicable.

Funding

This work was supported by the Jiangxi Science and Technology Project (grant no. 20192BBGL70031).

Availability of data and materials

The datasets used and/or analyzed during the current study are available from the corresponding author on reasonable request.

Authors' contributions

FXC, QW, QLL, JF and LP performed the experiments and analyzed the data. FC and JH designed the study, wrote the manuscript and confirm the authenticity of all the raw data. All authors have read and approved the final manuscript.

Ethics approval and consent to participate

All experimental procedures were approved by the Ethics Committee of People's Hospital Affiliated to Nanchang University (Nanchang, China; approval no. 2019-037).

Patient consent for publication

Not applicable.

Competing interests

The authors declare that they have no competing interests.

References

1 

Taheri M, Mahmud Hussen B, Tondro Anamag F, Shoorei H, Dinger ME and Ghafouri-Fard S: The role of miRNAs and lncRNAs in conferring resistance to doxorubicin. J Drug Target. Apr 15–2021.(Epub ahead of print.). View Article : Google Scholar : PubMed/NCBI

2 

Conklin KA: Chemotherapy-associated oxidative stress: Impact on chemotherapeutic effectiveness. Integr Cancer Ther. 3:294–300. 2004. View Article : Google Scholar : PubMed/NCBI

3 

Shabalala S, Muller CJF, Louw J and Johnson R: Polyphenols, autophagy and doxorubicin-induced cardiotoxicity. Life Sci. 180:160–170. 2017. View Article : Google Scholar : PubMed/NCBI

4 

Mitry MA and Edwards JG: Doxorubicin induced heart failure: Phenotype and molecular mechanisms. Int J Cardiol Heart Vasc. 10:17–24. 2016.PubMed/NCBI

5 

Jiang Y, Liu Y, Xiao W, Zhang D, Liu X, Xiao H, You S and Yuan L: Xinmailong attenuates doxorubicin-induced lysosomal dysfunction and oxidative stress in H9c2 cells via HO-1. Oxid Med Cell Longev. 2021:58969312021. View Article : Google Scholar : PubMed/NCBI

6 

Narula J, Haider N, Arbustini E and Chandrashekhar Y: Mechanisms of disease: Apoptosis in heart failure - seeing hope in death. Nat Clin Pract Cardiovasc Med. 3:681–688. 2006. View Article : Google Scholar : PubMed/NCBI

7 

van Empel VP, Bertrand AT, Hofstra L, Crijns HJ, Doevendans PA and De Windt LJ: Myocyte apoptosis in heart failure. Cardiovasc Res. 67:21–29. 2005. View Article : Google Scholar : PubMed/NCBI

8 

Pennefather JN, Lecci A, Candenas ML, Patak E, Pinto FM and Maggi CA: Tachykinins and tachykinin receptors: A growing family. Life Sci. 74:1445–1463. 2004. View Article : Google Scholar : PubMed/NCBI

9 

Brain SD and Cox HM: Neuropeptides and their receptors: Innovative science providing novel therapeutic targets. Br J Pharmacol. 147 (Suppl 1):S202–S211. 2006. View Article : Google Scholar : PubMed/NCBI

10 

Massaad CA, Safieh-Garabedian B, Poole S, Atweh SF, Jabbur SJ and Saadé NE: Involvement of substance P, CGRP and histamine in the hyperalgesia and cytokine upregulation induced by intraplantar injection of capsaicin in rats. J Neuroimmunol. 153:171–182. 2004. View Article : Google Scholar : PubMed/NCBI

11 

Vergnolle N, Bunnett NW, Sharkey KA, Brussee V, Compton SJ, Grady EF, Cirino G, Gerard N, Basbaum AI, Andrade-Gordon P, et al: Proteinase-activated receptor-2 and hyperalgesia: A novel pain pathway. Nat Med. 7:821–826. 2001. View Article : Google Scholar : PubMed/NCBI

12 

Meléndez GC, Li J, Law BA, Janicki JS, Supowit SC and Levick SP: Substance P induces adverse myocardial remodelling via a mechanism involving cardiac mast cells. Cardiovasc Res. 92:420–429. 2011. View Article : Google Scholar : PubMed/NCBI

13 

Johnson MB, Young AD and Marriott I: The Therapeutic potential of targeting substance P/NK-1R interactions in inflammatory CNS disorders. Front Cell Neurosci. 10:2962017. View Article : Google Scholar : PubMed/NCBI

14 

Hua F, Ricketts BA, Reifsteck A, Ardell JL and Williams CA: Myocardial ischemia induces the release of substance P from cardiac afferent neurons in rat thoracic spinal cord. Am J Physiol Heart Circ Physiol. 286:H1654–H1664. 2004. View Article : Google Scholar : PubMed/NCBI

15 

Wang LL, Guo Z, Han Y, Wang PF, Zhang RL, Zhao YL, Zhao FP and Zhao XY: Implication of Substance P in myocardial contractile function during ischemia in rats. Regul Pept. 167:185–191. 2011. View Article : Google Scholar : PubMed/NCBI

16 

Amadesi S, Reni C, Katare R, Meloni M, Oikawa A, Beltrami AP, Avolio E, Cesselli D, Fortunato O, Spinetti G, et al: Role for substance p-based nociceptive signaling in progenitor cell activation and angiogenesis during ischemia in mice and in human subjects. Circulation. 125:1774–1786, S1-S9. 2012. View Article : Google Scholar : PubMed/NCBI

17 

Robinson P, Garza A, Moore J, Eckols TK, Parti S, Balaji V, Vallejo J and Tweardy DJ: Substance P is required for the pathogenesis of EMCV infection in mice. Int J Clin Exp Med. 2:76–86. 2009.PubMed/NCBI

18 

Mak IT, Chmielinska JJ, Kramer JH, Spurney CF and Weglicki WB: Loss of neutral endopeptidase activity contributes to neutrophil activation and cardiac dysfunction during chronic hypomagnesemia: Protection by substance P receptor blockade. Exp Clin Cardiol. 16:121–124. 2011.PubMed/NCBI

19 

Cury PR, Canavez F, de Araújo VC, Furuse C and de Araújo NS: Substance P regulates the expression of matrix metalloproteinases and tissue inhibitors of metalloproteinase in cultured human gingival fibroblasts. J Periodontal Res. 43:255–260. 2008. View Article : Google Scholar : PubMed/NCBI

20 

Zhu G, Wang X, Wu S, Li X and Li Q: Neuroprotective effects of puerarin on 1-methyl-4-phenyl-1,2,3,6-tetrahydropyridine induced Parkinson's disease model in mice. Phytother Res. 28:179–186. 2014. View Article : Google Scholar : PubMed/NCBI

21 

Yang Y and Klionsky DJ: Autophagy and disease: Unanswered questions. Cell Death Differ. 27:858–871. 2020. View Article : Google Scholar : PubMed/NCBI

22 

Levine B and Kroemer G: Autophagy in the pathogenesis of disease. Cell. 132:27–42. 2008. View Article : Google Scholar : PubMed/NCBI

23 

Wu X, Zhang N, Kan J, Tang S, Sun R, Wang Z, Chen M, Liu J and Jin C: Polyphenols from Arctium lappa L ameliorate doxorubicin-induced heart failure and improve gut microbiota composition in mice. J Food Biochem. Apr 17–2021.(Epub ahead of print). View Article : Google Scholar

24 

Piao J, Park JS, Hwang DY, Son Y and Hong HS: Substance P blocks ovariectomy-induced bone loss by modulating inflammation and potentiating stem cell function. Aging (Albany NY). 12:20753–20777. 2020. View Article : Google Scholar : PubMed/NCBI

25 

Zhang Z, Song Z, Shen F, Xie P, Wang J, Zhu AS and Zhu G: Ginsenoside Rg1 prevents PTSD-like behaviors in mice through promoting synaptic proteins, reducing Kir4.1 and TNF-α in the hippocampus. Mol Neurobiol. 58:1550–1563. 2021. View Article : Google Scholar : PubMed/NCBI

26 

Shen F, Song Z, Xie P, Li L, Wang B, Peng D and Zhu G: Polygonatum sibiricum polysaccharide prevents depression-like behaviors by reducing oxidative stress, inflammation, and cellular and synaptic damage. J Ethnopharmacol. 275:1141642021. View Article : Google Scholar : PubMed/NCBI

27 

Huang X, Qi Q, Hua X, Li X, Zhang W, Sun H, Li S, Wang X and Li B: Beclin 1, an autophagy-related gene, augments apoptosis in U87 glioblastoma cells. Oncol Rep. 31:1761–1767. 2014. View Article : Google Scholar : PubMed/NCBI

28 

Runwal G, Stamatakou E, Siddiqi FH, Puri C, Zhu Y and Rubinsztein DC: LC3-positive structures are prominent in autophagy-deficient cells. Sci Rep. 9:101472019. View Article : Google Scholar : PubMed/NCBI

29 

Wang Q and Zhang L, Yuan X, Ou Y, Zhu X, Cheng Z, Zhang P, Wu X, Meng Y and Zhang L: The Relationship between the Bcl-2/Bax proteins and the mitochondria-mediated apoptosis pathway in the differentiation of adipose-derived stromal cells into neurons. PLoS One. 11:e01633272016. View Article : Google Scholar : PubMed/NCBI

30 

Wang X, Xu W, Chen H, Li W, Li W and Zhu G: Astragaloside IV prevents Abeta1–42 oligomers-induced memory impairment and hippocampal cell apoptosis by promoting PPARgamma/BDNF signaling pathway. Brain Res. 147041:20201747.PubMed/NCBI

31 

Korsmeyer SJ, Shutter JR, Veis DJ, Merry DE and Oltvai ZN: Bcl-2/Bax: A rheostat that regulates an anti-oxidant pathway and cell death. Semin Cancer Biol. 4:327–332. 1993.PubMed/NCBI

32 

Andreu-Fernández V, Sancho M, Genovés A, Lucendo E, Todt F, Lauterwasser J, Funk K, Jahreis G, Pérez-Payá E, Mingarro I, et al: Bax transmembrane domain interacts with prosurvival Bcl-2 proteins in biological membranes. Proc Natl Acad Sci USA. 114:310–315. 2017. View Article : Google Scholar : PubMed/NCBI

33 

Wu S, Cao J, Zhang T, Zhou Y, Wang K, Zhu G and Zhou M: Electroacupuncture ameliorates the coronary occlusion related tachycardia and hypotension in acute rat myocardial ischemia model: potential role of hippocampus. Evid Based Complement Alternat Med. 2015:9259872015. View Article : Google Scholar : PubMed/NCBI

34 

Youle RJ and Narendra DP: Mechanisms of mitophagy. Nat Rev Mol Cell Biol. 12:9–14. 2011. View Article : Google Scholar : PubMed/NCBI

35 

Pagliarini V, Wirawan E, Romagnoli A, Ciccosanti F, Lisi G, Lippens S, Cecconi F, Fimia GM, Vandenabeele P, Corazzari M, et al: Proteolysis of Ambra1 during apoptosis has a role in the inhibition of the autophagic pro-survival response. Cell Death Differ. 19:1495–1504. 2012. View Article : Google Scholar : PubMed/NCBI

36 

Mariño G, Niso-Santano M, Baehrecke EH and Kroemer G: Self-consumption: The interplay of autophagy and apoptosis. Nat Rev Mol Cell Biol. 15:81–94. 2014. View Article : Google Scholar : PubMed/NCBI

37 

Legi A, Rodriguez E, Eckols TK, Mistry C and Robinson P: Substance P antagonism prevents chemotherapy-induced cardiotoxicity. Cancers (Basel). 13:17322021. View Article : Google Scholar : PubMed/NCBI

38 

Robinson P, Kasembeli M, Bharadwaj U, Engineer N, Eckols KT, Tweardy DJ and Substance P: Substance P receptor signaling mediates doxorubicin-induced cardiomyocyte apoptosis and triple-negative breast cancer chemoresistance. BioMed Res Int. 2016:19592702016. View Article : Google Scholar : PubMed/NCBI

39 

Dehlin HM and Levick SP: Substance P in heart failure: The good and the bad. Int J Cardiol. 170:270–277. 2014. View Article : Google Scholar : PubMed/NCBI

Related Articles

  • Abstract
  • View
  • Download
  • Twitter
Copy and paste a formatted citation
Spandidos Publications style
Chen F, Wan Q, Li Q, Fang J, Peng L and Hu J: Substance P prevents doxorubicin‑induced cardiomyocyte injury by regulating apoptosis and autophagy: <em>In vitro</em> and <em>in vivo</em> evidence. Mol Med Rep 25: 50, 2022.
APA
Chen, F., Wan, Q., Li, Q., Fang, J., Peng, L., & Hu, J. (2022). Substance P prevents doxorubicin‑induced cardiomyocyte injury by regulating apoptosis and autophagy: <em>In vitro</em> and <em>in vivo</em> evidence. Molecular Medicine Reports, 25, 50. https://doi.org/10.3892/mmr.2021.12566
MLA
Chen, F., Wan, Q., Li, Q., Fang, J., Peng, L., Hu, J."Substance P prevents doxorubicin‑induced cardiomyocyte injury by regulating apoptosis and autophagy: <em>In vitro</em> and <em>in vivo</em> evidence". Molecular Medicine Reports 25.2 (2022): 50.
Chicago
Chen, F., Wan, Q., Li, Q., Fang, J., Peng, L., Hu, J."Substance P prevents doxorubicin‑induced cardiomyocyte injury by regulating apoptosis and autophagy: <em>In vitro</em> and <em>in vivo</em> evidence". Molecular Medicine Reports 25, no. 2 (2022): 50. https://doi.org/10.3892/mmr.2021.12566
Copy and paste a formatted citation
x
Spandidos Publications style
Chen F, Wan Q, Li Q, Fang J, Peng L and Hu J: Substance P prevents doxorubicin‑induced cardiomyocyte injury by regulating apoptosis and autophagy: <em>In vitro</em> and <em>in vivo</em> evidence. Mol Med Rep 25: 50, 2022.
APA
Chen, F., Wan, Q., Li, Q., Fang, J., Peng, L., & Hu, J. (2022). Substance P prevents doxorubicin‑induced cardiomyocyte injury by regulating apoptosis and autophagy: <em>In vitro</em> and <em>in vivo</em> evidence. Molecular Medicine Reports, 25, 50. https://doi.org/10.3892/mmr.2021.12566
MLA
Chen, F., Wan, Q., Li, Q., Fang, J., Peng, L., Hu, J."Substance P prevents doxorubicin‑induced cardiomyocyte injury by regulating apoptosis and autophagy: <em>In vitro</em> and <em>in vivo</em> evidence". Molecular Medicine Reports 25.2 (2022): 50.
Chicago
Chen, F., Wan, Q., Li, Q., Fang, J., Peng, L., Hu, J."Substance P prevents doxorubicin‑induced cardiomyocyte injury by regulating apoptosis and autophagy: <em>In vitro</em> and <em>in vivo</em> evidence". Molecular Medicine Reports 25, no. 2 (2022): 50. https://doi.org/10.3892/mmr.2021.12566
Follow us
  • Twitter
  • LinkedIn
  • Facebook
About
  • Spandidos Publications
  • Careers
  • Cookie Policy
  • Privacy Policy
How can we help?
  • Help
  • Live Chat
  • Contact
  • Email to our Support Team