Spandidos Publications Logo
  • About
    • About Spandidos
    • Aims and Scopes
    • Abstracting and Indexing
    • Editorial Policies
    • Reprints and Permissions
    • Job Opportunities
    • Terms and Conditions
    • Contact
  • Journals
    • All Journals
    • Oncology Letters
      • Oncology Letters
      • Information for Authors
      • Editorial Policies
      • Editorial Board
      • Aims and Scope
      • Abstracting and Indexing
      • Bibliographic Information
      • Archive
    • International Journal of Oncology
      • International Journal of Oncology
      • Information for Authors
      • Editorial Policies
      • Editorial Board
      • Aims and Scope
      • Abstracting and Indexing
      • Bibliographic Information
      • Archive
    • Molecular and Clinical Oncology
      • Molecular and Clinical Oncology
      • Information for Authors
      • Editorial Policies
      • Editorial Board
      • Aims and Scope
      • Abstracting and Indexing
      • Bibliographic Information
      • Archive
    • Experimental and Therapeutic Medicine
      • Experimental and Therapeutic Medicine
      • Information for Authors
      • Editorial Policies
      • Editorial Board
      • Aims and Scope
      • Abstracting and Indexing
      • Bibliographic Information
      • Archive
    • International Journal of Molecular Medicine
      • International Journal of Molecular Medicine
      • Information for Authors
      • Editorial Policies
      • Editorial Board
      • Aims and Scope
      • Abstracting and Indexing
      • Bibliographic Information
      • Archive
    • Biomedical Reports
      • Biomedical Reports
      • Information for Authors
      • Editorial Policies
      • Editorial Board
      • Aims and Scope
      • Abstracting and Indexing
      • Bibliographic Information
      • Archive
    • Oncology Reports
      • Oncology Reports
      • Information for Authors
      • Editorial Policies
      • Editorial Board
      • Aims and Scope
      • Abstracting and Indexing
      • Bibliographic Information
      • Archive
    • Molecular Medicine Reports
      • Molecular Medicine Reports
      • Information for Authors
      • Editorial Policies
      • Editorial Board
      • Aims and Scope
      • Abstracting and Indexing
      • Bibliographic Information
      • Archive
    • World Academy of Sciences Journal
      • World Academy of Sciences Journal
      • Information for Authors
      • Editorial Policies
      • Editorial Board
      • Aims and Scope
      • Abstracting and Indexing
      • Bibliographic Information
      • Archive
    • International Journal of Functional Nutrition
      • International Journal of Functional Nutrition
      • Information for Authors
      • Editorial Policies
      • Editorial Board
      • Aims and Scope
      • Abstracting and Indexing
      • Bibliographic Information
      • Archive
    • International Journal of Epigenetics
      • International Journal of Epigenetics
      • Information for Authors
      • Editorial Policies
      • Editorial Board
      • Aims and Scope
      • Abstracting and Indexing
      • Bibliographic Information
      • Archive
    • Medicine International
      • Medicine International
      • Information for Authors
      • Editorial Policies
      • Editorial Board
      • Aims and Scope
      • Abstracting and Indexing
      • Bibliographic Information
      • Archive
  • Articles
  • Information
    • Information for Authors
    • Information for Reviewers
    • Information for Librarians
    • Information for Advertisers
    • Conferences
  • Language Editing
Spandidos Publications Logo
  • About
    • About Spandidos
    • Aims and Scopes
    • Abstracting and Indexing
    • Editorial Policies
    • Reprints and Permissions
    • Job Opportunities
    • Terms and Conditions
    • Contact
  • Journals
    • All Journals
    • Biomedical Reports
      • Information for Authors
      • Editorial Policies
      • Editorial Board
      • Aims and Scope
      • Abstracting and Indexing
      • Bibliographic Information
      • Archive
    • Experimental and Therapeutic Medicine
      • Information for Authors
      • Editorial Policies
      • Editorial Board
      • Aims and Scope
      • Abstracting and Indexing
      • Bibliographic Information
      • Archive
    • International Journal of Epigenetics
      • Information for Authors
      • Editorial Policies
      • Editorial Board
      • Aims and Scope
      • Abstracting and Indexing
      • Bibliographic Information
      • Archive
    • International Journal of Functional Nutrition
      • Information for Authors
      • Editorial Policies
      • Editorial Board
      • Aims and Scope
      • Abstracting and Indexing
      • Bibliographic Information
      • Archive
    • International Journal of Molecular Medicine
      • Information for Authors
      • Editorial Policies
      • Editorial Board
      • Aims and Scope
      • Abstracting and Indexing
      • Bibliographic Information
      • Archive
    • International Journal of Oncology
      • Information for Authors
      • Editorial Policies
      • Editorial Board
      • Aims and Scope
      • Abstracting and Indexing
      • Bibliographic Information
      • Archive
    • Medicine International
      • Information for Authors
      • Editorial Policies
      • Editorial Board
      • Aims and Scope
      • Abstracting and Indexing
      • Bibliographic Information
      • Archive
    • Molecular and Clinical Oncology
      • Information for Authors
      • Editorial Policies
      • Editorial Board
      • Aims and Scope
      • Abstracting and Indexing
      • Bibliographic Information
      • Archive
    • Molecular Medicine Reports
      • Information for Authors
      • Editorial Policies
      • Editorial Board
      • Aims and Scope
      • Abstracting and Indexing
      • Bibliographic Information
      • Archive
    • Oncology Letters
      • Information for Authors
      • Editorial Policies
      • Editorial Board
      • Aims and Scope
      • Abstracting and Indexing
      • Bibliographic Information
      • Archive
    • Oncology Reports
      • Information for Authors
      • Editorial Policies
      • Editorial Board
      • Aims and Scope
      • Abstracting and Indexing
      • Bibliographic Information
      • Archive
    • World Academy of Sciences Journal
      • Information for Authors
      • Editorial Policies
      • Editorial Board
      • Aims and Scope
      • Abstracting and Indexing
      • Bibliographic Information
      • Archive
  • Articles
  • Information
    • For Authors
    • For Reviewers
    • For Librarians
    • For Advertisers
    • Conferences
  • Language Editing
Login Register Submit
  • This site uses cookies
  • You can change your cookie settings at any time by following the instructions in our Cookie Policy. To find out more, you may read our Privacy Policy.

    I agree
Search articles by DOI, keyword, author or affiliation
Search
Advanced Search
presentation
Molecular Medicine Reports
Join Editorial Board Propose a Special Issue
Print ISSN: 1791-2997 Online ISSN: 1791-3004
Journal Cover
June-2025 Volume 31 Issue 6

Full Size Image

Sign up for eToc alerts
Recommend to Library

Journals

International Journal of Molecular Medicine

International Journal of Molecular Medicine

International Journal of Molecular Medicine is an international journal devoted to molecular mechanisms of human disease.

International Journal of Oncology

International Journal of Oncology

International Journal of Oncology is an international journal devoted to oncology research and cancer treatment.

Molecular Medicine Reports

Molecular Medicine Reports

Covers molecular medicine topics such as pharmacology, pathology, genetics, neuroscience, infectious diseases, molecular cardiology, and molecular surgery.

Oncology Reports

Oncology Reports

Oncology Reports is an international journal devoted to fundamental and applied research in Oncology.

Experimental and Therapeutic Medicine

Experimental and Therapeutic Medicine

Experimental and Therapeutic Medicine is an international journal devoted to laboratory and clinical medicine.

Oncology Letters

Oncology Letters

Oncology Letters is an international journal devoted to Experimental and Clinical Oncology.

Biomedical Reports

Biomedical Reports

Explores a wide range of biological and medical fields, including pharmacology, genetics, microbiology, neuroscience, and molecular cardiology.

Molecular and Clinical Oncology

Molecular and Clinical Oncology

International journal addressing all aspects of oncology research, from tumorigenesis and oncogenes to chemotherapy and metastasis.

World Academy of Sciences Journal

World Academy of Sciences Journal

Multidisciplinary open-access journal spanning biochemistry, genetics, neuroscience, environmental health, and synthetic biology.

International Journal of Functional Nutrition

International Journal of Functional Nutrition

Open-access journal combining biochemistry, pharmacology, immunology, and genetics to advance health through functional nutrition.

International Journal of Epigenetics

International Journal of Epigenetics

Publishes open-access research on using epigenetics to advance understanding and treatment of human disease.

Medicine International

Medicine International

An International Open Access Journal Devoted to General Medicine.

Journal Cover
June-2025 Volume 31 Issue 6

Full Size Image

Sign up for eToc alerts
Recommend to Library

  • Article
  • Citations
    • Cite This Article
    • Download Citation
    • Create Citation Alert
    • Remove Citation Alert
    • Cited By
  • Similar Articles
    • Related Articles (in Spandidos Publications)
    • Similar Articles (Google Scholar)
    • Similar Articles (PubMed)
  • Download PDF
  • Download XML
  • View XML

  • Supplementary Files
    • Supplementary_Data.pdf
Article Open Access

Resveratrol inhibits lipopolysaccharide‑induced MUC5AC expression and airway inflammation via MAPK and Nrf2 pathways in human bronchial epithelial cells and an acute inflammatory mouse model

  • Authors:
    • Qiaojuan Chen
    • Liutian Xie
    • Jianming Wang
    • Xiaoshan Su
    • Xiangjia Ye
    • Xiaoping Lin
  • View Affiliations / Copyright

    Affiliations: The Second Clinical Medical College, Fujian Medical University, Fuzhou, Fujian 350012, P.R. China, Department of Pulmonary and Critical Care Medicine, The Second Affiliated Hospital of Fujian Medical University, Quanzhou, Fujian 362000, P.R. China, Department of Pulmonary and Critical Care Medicine, The Second Affiliated Hospital of Fujian Medical University, Quanzhou, Fujian 362000, P.R. China
    Copyright: © Chen et al. This is an open access article distributed under the terms of Creative Commons Attribution License.
  • Article Number: 157
    |
    Published online on: April 10, 2025
       https://doi.org/10.3892/mmr.2025.13522
  • Expand metrics +
Metrics: Total Views: 0 (Spandidos Publications: | PMC Statistics: )
Metrics: Total PDF Downloads: 0 (Spandidos Publications: | PMC Statistics: )
Cited By (CrossRef): 0 citations Loading Articles...

This article is mentioned in:



Abstract

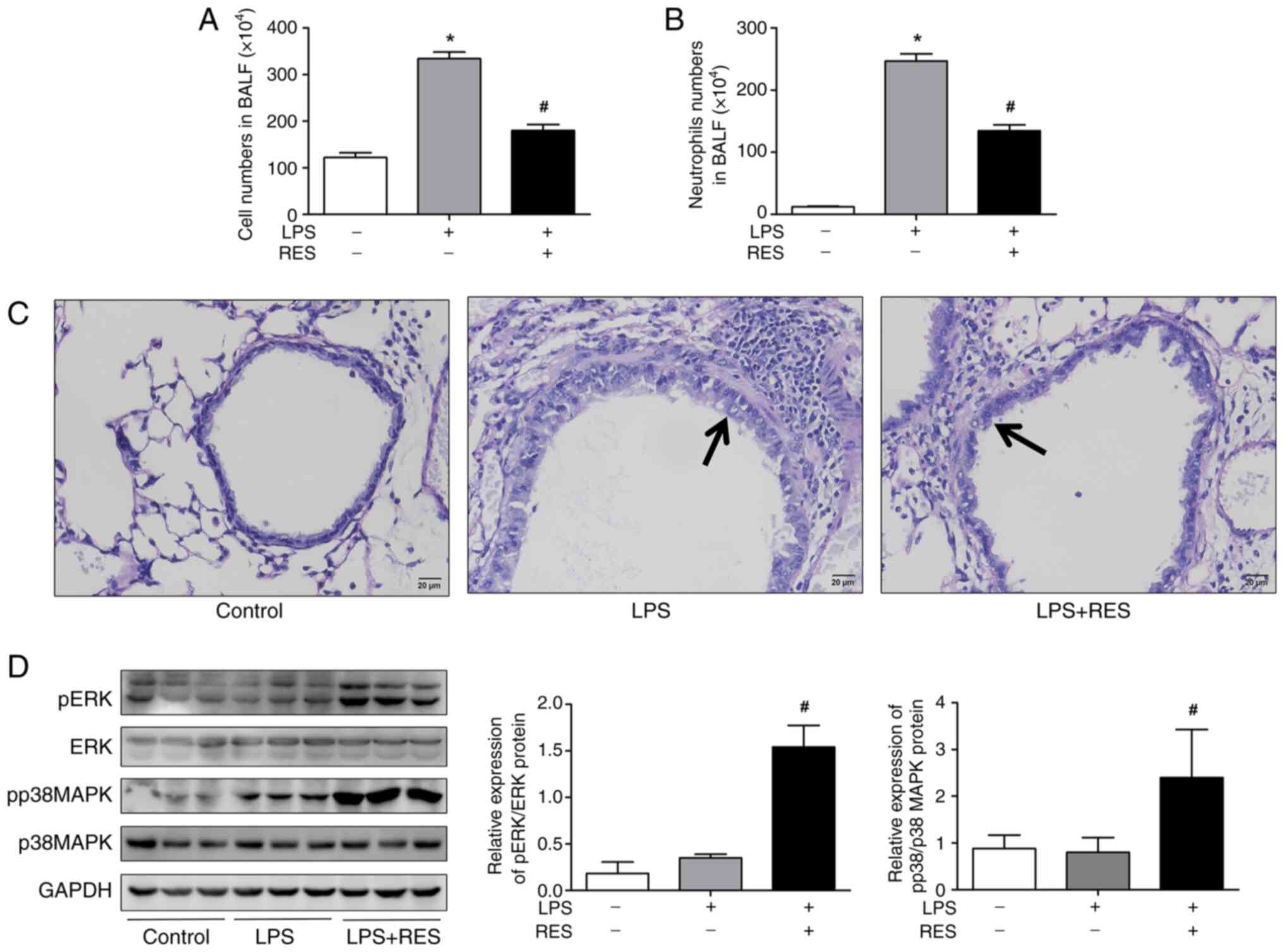
Pathological mucus hypersecretion is an important clinical hallmark of chronic airway inflammatory diseases and yet there is a lack of effective therapeutic medicine. Resveratrol, a dietary polyphenol, has been shown to possess anti‑aging, antioxidation, anti‑inflammation and tumor prevention effects. However, the effect and underlying mechanism of resveratrol in lipopolysaccharide (LPS) induced‑mucus hypersecretion remain to be elucidated. Among more than 20 mucin family members, mucin 5ac (MUC5AC) is a major glycoprotein in airway mucus. The present study investigated the therapeutic effects and mechanisms of resveratrol in LPS‑induced MUC5AC expression in human bronchial epithelial (NCI‑H292) cells and an acute inflammatory murine model. It found that resveratrol markedly attenuated LPS‑induced MUC5AC expression and reactive oxygen species production in NCI‑H292 cells. Moreover, resveratrol increased activation of nuclear factor erythroid‑2‑related factor 2 (Nrf2) and phosphorylation of mitogen‑activated protein kinase (MAPK). Notably, compared with negative control, knockdown of Nrf2 by small interfering RNA and specific inhibitors of ERK/p38 MAPK markedly abrogated the downregulative effect of resveratrol on LPS‑induced MUC5AC expression in NCI‑H292 cells. Additionally, in vivo effects on histopathology and gene expression were assessed in lung tissues collected after intratracheal instillation of LPS with or without resveratrol treatment. Western blotting of lung tissue samples confirmed that administration of resveratrol inhibited MUC5AC expression in LPS‑induced acute inflammatory mice, but increased Nrf2 expression along with phosphorylation of ERK and p38. Periodic acid‑Schiff's staining also showed that resveratrol suppressed mucin production. Compared with the LPS group, administration of resveratrol effectively decreased the numbers of inflammatory cells and neutrophils in bronchoalveolar lavage fluid, as well as markedly alleviating the infiltration of exacerbated inflammatory cells in lung tissue. In conclusion, resveratrol exerted protective effects against LPS‑induced MUC5AC overexpression, inflammation and oxidative stress by activating ERK/p38 MAPK and Nrf2 pathway. Furthermore, the results suggested that resveratrol might be a potential therapeutic agent to inhibit airway mucus hyperproduction.
View Figures

Figure 1

Figure 2

Figure 3

Figure 4

Figure 5

Figure 6

Figure 7

View References

1 

Hill DB, Button B, Rubinstein M and Boucher RC: Physiology and pathophysiology of human airway mucus. Physiol Rev. 102:1757–1836. 2022. View Article : Google Scholar : PubMed/NCBI

2 

Fahy JV and Dickey BF: Airway mucus function and dysfunction. N Engl J Med. 363:2232–2247. 2010. View Article : Google Scholar

3 

Ma J, Rubin BK and Voynow JA: Mucins, mucus, and goblet cells. Chest. 154:169–176. 2018. View Article : Google Scholar : PubMed/NCBI

4 

Vestbo J, Prescott E and Lange P: Association of chronic mucus hypersecretion with FEV1 decline and chronic obstructive pulmonary disease morbidity. Am J Respir Crit Care Med. 153:1530–1535. 1996. View Article : Google Scholar : PubMed/NCBI

5 

Burgel PR, Nesme–Meyer P, Chanez P, Caillaud D, Carré P, Perez T and Roche N: Cough and sputum production are associated with frequent exacerbations and hospitalizations in COPD subjects. Chest. 135:975–982. 2009. View Article : Google Scholar : PubMed/NCBI

6 

Prescott E, Lange P and Vestbo J: Chronic mucus hypersecretion in COPD and death from pulmonary infection. Eur Respir J. 8:1333–1338. 1995. View Article : Google Scholar : PubMed/NCBI

7 

Dickey BF, Lai Y, Frick M and Brunger AT: Discovery of a drug to treat airway mucus hypersecretion. Clin Transl Med. 12:e9722022. View Article : Google Scholar : PubMed/NCBI

8 

Maldonado RF, Sá-Correia I and Valvano MA: Lipopolysaccharide modification in Gram-negative bacteria during chronic infection. FEMS Microbiol Rev. 40:480–493. 2016. View Article : Google Scholar : PubMed/NCBI

9 

Wang X, Wang Y, Zhao X, Andersson R, Song Z and Yang D: Potential effects of peroxisome proliferator-activated receptor activator on LPS-induced lung injury in rats. Pulm Pharmacol Ther. 22:318–325. 2009. View Article : Google Scholar : PubMed/NCBI

10 

Hardaker EL, Freeman MS, Dale N, Bahra P, Raza F, Banner KH and Poll C: Exposing rodents to a combination of tobacco smoke and lipopolysaccharide results in an exaggerated inflammatory response in the lung. Br J Pharmacol. 160:1985–1996. 2010. View Article : Google Scholar : PubMed/NCBI

11 

Di Lorenzo F, Silipo A, Bianconi I, Lore NI, Scamporrino A, Sturiale L, Garozzo D, Lanzetta R, Parrilli M, Bragonzi A and Molinaro A: Persistent cystic fibrosis isolate Pseudomonas aeruginosa strain RP73 exhibits an under-acylated LPS structure responsible of its low inflammatory activity. Mol Immunol. 63:166–175. 2015. View Article : Google Scholar : PubMed/NCBI

12 

De Stefano D, Ungaro F, Giovino C, Polimeno A, Quaglia F and Carnuccio R: Sustained inhibition of IL-6 and IL-8 expression by decoy ODN to NF-κB delivered through respirable large porous particles in LPS-stimulated cystic fibrosis bronchial cells. J Gene Med. 13:200–208. 2011. View Article : Google Scholar : PubMed/NCBI

13 

Jiang L, Zhang L, Kang K, Fei D, Gong R, Cao Y, Pan S and Zhao M and Zhao M: Resveratrol ameliorates LPS-induced acute lung injury via NLRP3 inflammasome modulation. Biomed Pharmacother. 84:130–138. 2016. View Article : Google Scholar : PubMed/NCBI

14 

Guo B, Peng Y, Gu Y, Zhong Y, Su C, Liu L, Chai D, Song T, Zhao N, Yan X and Xu T: Resveratrol pretreatment mitigates LPS-induced acute lung injury by regulating conventional dendritic cells' maturation and function. Open Life Sci. 16:1064–1081. 2021. View Article : Google Scholar : PubMed/NCBI

15 

Zhang Y, Wang G, Zhang D and Sun X: Resveratrol ameliorates LPS-induced acute lung injury mouse model via induction of tristetraprolin. Comb Chem High Throughput Screen. 26:838–847. 2023. View Article : Google Scholar : PubMed/NCBI

16 

Wang C, Yuan J and Du J: Resveratrol alleviates acute lung injury through regulating PLSCR-3-mediated mitochondrial dysfunction and mitophagy in a cecal ligation and puncture model. Eur J Pharmacol. 913:1746432021. View Article : Google Scholar : PubMed/NCBI

17 

de Oliveira MTP, de Sá Coutinho D, de Souza ET, Guterres SS, Pohlmann AR, Silva PMR, Martins MA and Bernardi A: Orally delivered resveratrol-loaded lipid-core nanocapsules ameliorate LPS-induced acute lung injury via the ERK and PI3K/Akt pathways. Int J Nanomedicine. 14:5215–5228. 2019. View Article : Google Scholar : PubMed/NCBI

18 

de Oliveira MT, de Sá Coutinho D, Guterres SS, Pohlmann AR, Silva PMR, Martins MA and Bernardi A: Resveratrol-loaded lipid-core nanocapsules modulate acute lung inflammation and oxidative imbalance induced by LPS in mice. Pharmaceutics. 13:6832021. View Article : Google Scholar : PubMed/NCBI

19 

Li L, Li J, Wang Y, Liu X, Li S, Wu Y, Tang W and Qiu Y: Resveratrol prevents inflammation and oxidative stress response in LPS-induced human gingival fibroblasts by targeting the PI3K/AKT and Wnt/β-catenin signaling pathways. Genet Mol Biol. 44:e202003492021. View Article : Google Scholar : PubMed/NCBI

20 

Chen J, Yang X, Zhang W, Peng D, Xia Y, Lu Y, Han X, Song G, Zhu J and Liu R: Therapeutic effects of resveratrol in a mouse model of LPS and cigarette smoke-induced COPD. Inflammation. 39:1949–1959. 2016. View Article : Google Scholar : PubMed/NCBI

21 

Lee SY, Lee HJ, Sikder MA, Shin HD, Kim JH, Chang GT, Seok JH and Lee CJ: Resveratrol inhibits mucin gene expression, production and secretion from airway epithelial cells. Phytother Res. 26:1082–1087. 2012. View Article : Google Scholar : PubMed/NCBI

22 

Ni ZH, Tang JH, Chen G, Lai YM, Chen QG, Li Z, Yang W, Luo XM and Wang XB: Resveratrol inhibits mucus overproduction and MUC5AC expression in a murine model of asthma. Mol Med Rep. 13:287–294. 2016. View Article : Google Scholar : PubMed/NCBI

23 

Lin YH, Zhu LY, Yang YQ, Zhang ZH, Chen QG, Sun YP, Bi JJ, Luo XM, Ni ZH and Wang XB: Resveratrol inhibits MUC5AC expression by regulating SPDEF in lung cancer cells. Phytomedicine. 89:1536012021. View Article : Google Scholar : PubMed/NCBI

24 

Zhuang Y, Wu H, Wang X, He J, He S and Yin Y: Resveratrol attenuates oxidative stress-induced intestinal barrier injury through PI3K/Akt-mediated Nrf2 signaling pathway. Oxid Med Cell Longev. 2019:75918402019. View Article : Google Scholar : PubMed/NCBI

25 

Xun W, Fu Q, Shi L, Cao T, Jiang H and Ma Z: Resveratrol protects intestinal integrity, alleviates intestinal inflammation and oxidative stress by modulating AhR/Nrf2 pathways in weaned piglets challenged with diquat. Int Immunopharmacol. 99:1079892021. View Article : Google Scholar : PubMed/NCBI

26 

Li H, Shen Y, Xiao H and Sun W: Resveratrol attenuates rotenone-induced inflammation and oxidative stress via STAT1 and Nrf2/Keap1/SLC7A11 pathway in a microglia cell line. Pathol Res Pract. 225:1535762021. View Article : Google Scholar : PubMed/NCBI

27 

Ropert C, Almeida IC, Closel M, Travassos LR, Ferguson MA, Cohen P and Gazzinelli RT: Requirement of mitogen–activated protein kinases and I kappa B phosphorylation for induction of proinflammatory cytokines synthesis by macrophages indicates functional similarity of receptors triggered by glycosylphosphatidylinositol anchors from parasitic protozoa and bacterial lipopolysaccharide. J Immunol. 166:3423–3431. 2001. View Article : Google Scholar : PubMed/NCBI

28 

Kim H, Seo JH and Kim KH: The effect of p38 mitogen–activated protein kinase on mucin gene expression and apoptosis in Helicobacter pylori–infected gastric epithelial cells. Ann N Y Acad Sci. 1010:90–94. 2014. View Article : Google Scholar

29 

Wang P, Ma X, He Y, Sun B, Zhu C, Zhao R, Zhang S, Huang X and Liu Y: Effect of p38 mitogen–activate protein kinase on MUC5AC protein expression of bile duct epithelial cells in hepatolithiasis patients. Int J Clin Exp Pathol. 8:13753–13758. 2015.PubMed/NCBI

30 

Choi YS, Na HG, Bae CH, Song SY and Kim YD: Ghrelin downregulates lipopolysaccharide/leptin–induced MUC5AC expression in human nasal epithelial cells. Clin Exp Otorhinolaryngol. 16:49–58. 2023. View Article : Google Scholar : PubMed/NCBI

31 

Zhou M, Meng L, He Q, Ren C and Li C: Valsartan attenuates LPS–induced ALI by modulating NF–κB and MAPK pathways. Front Pharmacol. 15:13210952024. View Article : Google Scholar : PubMed/NCBI

32 

Ying YH, Lin XP, Zhou HB, Wu YF, Yan FG, Hua W, Xia LX, Qiu ZW, Chen ZH, Li W and Shen HH: Nuclear erythroid 2 p45-related factor-2 Nrf2 ameliorates cigarette smoking-induced mucus overproduction in airway epithelium and mouse lungs. Microbes Infect. 16:855–863. 2014. View Article : Google Scholar : PubMed/NCBI

33 

Lin XP, Xue C, Zhang JM, Wu WJ, Chen XY and Zeng YM: Curcumin inhibits lipopolysaccharide-induced mucin 5AC hypersecretion and airway inflammation via nuclear factor erythroid 2-related factor 2. Chin Med J (Engl). 131:1686–1693. 2018. View Article : Google Scholar : PubMed/NCBI

34 

Livak KJ and Schmittgen TD: Analysis of relative gene expression data using real-time quantitative PCR and the 2(−Delta Delta C(T)) method. Methods. 25:402–408. 2001. View Article : Google Scholar : PubMed/NCBI

35 

du Sert NP, Hurst V, Ahluwalia A, Alam S, Avey MT, Baker M, Browne WJ, Clark A, Cuthill IC, Dirnagl U, et al: The ARRIVE guidelines 2.0: Updated guidelines for reporting animal research. PLoS Biol. 18:e30004102020. View Article : Google Scholar : PubMed/NCBI

36 

Sun Y, Shi Z, Lin Y, Zhang M, Liu J, Zhu L, Chen Q, Bi J, Li S, Ni Z and Wang X: Benzo(a)pyrene induces MUC5AC expression through the AhR/mitochondrial ROS/ERK pathway in airway epithelial cells. Ecotoxicol Environ Saf. 210:1118572021. View Article : Google Scholar : PubMed/NCBI

37 

Yan F, Li W, Jono H, Li Q, Zhang S, Li JD and Shen H: Reactive oxygen species regulate Pseudomonas aeruginosa lipopolysaccharide-induced MUC5AC mucin expression via PKC-NADPH oxidase-ROS-TGF-alpha signaling pathways in human airway epithelial cells. Biochem Biophys Res Commun. 366:513–519. 2017. View Article : Google Scholar : PubMed/NCBI

38 

Chiba T, Uchi H, Tsuji G, Gondo H, Moroi Y and Furue M: Arylhydrocarbon receptor (AhR) activation in airway epithelial cells induces MUC5AC via reactive oxygen species (ROS) production. Pulm Pharmacol Ther. 24:133–140. 2011. View Article : Google Scholar : PubMed/NCBI

39 

Binker MG, Binker-Cosen AA, Richards D, Oliver B and Cosen-Binker LI: LPS-stimulated MUC5AC production involves Rac1-dependent MMP-9 secretion and activation in NCI-H292 cells. Biochem Biophys Res Commun. 386:124–129. 2009. View Article : Google Scholar : PubMed/NCBI

40 

Li W, Yan F, Zhou H, Lin X, Wu Y, Chen C, Zhou N, Chen Z, Li JD and Shen H: P. aeruginosa lipopolysaccharide-induced MUC5AC and CLCA3 expression is partly through Duox1 in vitro and in vivo. PLoS One. 8:e639452013. View Article : Google Scholar : PubMed/NCBI

41 

Li M, Tian Y, Wu S, Yu H and Li Y: LPS stimulates MUC5AC expression in human biliary epithelial cells: Whether there exists a possible pathway of PKC/NADPH/ROS? Mol Cell Biochem. 385:87–93. 2014. View Article : Google Scholar : PubMed/NCBI

42 

Qi L, Xiangdong Z, Hongmei Y, Xiaohong N and Xiaoyan X: Regulation of neutrophil elastase-induced MUC5AC expression by nuclear factor erythroid-2 related factor 2 in human airway epithelial cells. J Investig Med. 58:730–736. 2010. View Article : Google Scholar : PubMed/NCBI

43 

Xu D, Li Y, Zhang B, Wang Y, Liu Y, Luo Y, Niu W, Dong M, Liu M, Dong H, et al: Resveratrol alleviate hypoxic pulmonary hypertension via anti-inflammation and anti-oxidant pathways in rats. Int J Med Sci. 13:942–954. 2016. View Article : Google Scholar : PubMed/NCBI

44 

Ma Q: Role of nrf2 in oxidative stress and toxicity. Annu Rev Pharmacol Toxicol. 53:401–26. 2013. View Article : Google Scholar : PubMed/NCBI

45 

Hybertson BM, Gao B, Bose SK and McCord JM: Oxidative stress in health and disease: The therapeutic potential of Nrf2 activation. Mol Aspects Med. 32:234–246. 2011. View Article : Google Scholar : PubMed/NCBI

46 

Singh S, Vrishni S, Singh BK, Rahman I and Kakkar P: Nrf2-ARE stress response mechanism: A control point in oxidative stress-mediated dysfunctions and chronic inflammatory diseases. Free Radic Res. 44:1267–1288. 2010. View Article : Google Scholar : PubMed/NCBI

47 

Yang H, Wang Y, Liu M, Liu X, Jiao Y, Jin S, Shan A and Feng X: Effects of dietary resveratrol supplementation on growth performance and anti-inflammatory ability in ducks (Anas platyrhynchos) through the Nrf2/HO-1 and TLR4/NF-κB signaling pathways. Animals (Basel). 11:35882021. View Article : Google Scholar : PubMed/NCBI

48 

Yang H, Wang Y, Jin S, Pang Q, Shan A and Feng X: Dietary resveratrol alleviated lipopolysaccharide-induced ileitis through Nrf2 and NF-κB signalling pathways in ducks (Anas platyrhynchos). J Anim Physiol Anim Nutr (Berl). 106:1306–1320. 2022. View Article : Google Scholar : PubMed/NCBI

49 

Yang D, Jin M, Bai C, Zhou J and Shen Y: Peroxiredoxin 6 suppresses Muc5ac overproduction in LPS-induced airway inflammation through H2O2-EGFR-MAPK signaling pathway. Respir Physiol Neurobiol. 236:84–90. 2017. View Article : Google Scholar : PubMed/NCBI

50 

Huang J, Liu J, Chang G, Wang Y, Ma N, Roy AC and Shen X: Glutamine supplementation attenuates the inflammation caused by LPS-induced acute lung injury in mice by regulating the TLR4/MAPK signaling pathway. Inflamation. 44:2180–2192. 2021. View Article : Google Scholar

Related Articles

  • Abstract
  • View
  • Download
  • Twitter
Copy and paste a formatted citation
Spandidos Publications style
Chen Q, Xie L, Wang J, Su X, Ye X and Lin X: Resveratrol inhibits lipopolysaccharide‑induced MUC5AC expression and airway inflammation via MAPK and Nrf2 pathways in human bronchial epithelial cells and an acute inflammatory mouse model. Mol Med Rep 31: 157, 2025.
APA
Chen, Q., Xie, L., Wang, J., Su, X., Ye, X., & Lin, X. (2025). Resveratrol inhibits lipopolysaccharide‑induced MUC5AC expression and airway inflammation via MAPK and Nrf2 pathways in human bronchial epithelial cells and an acute inflammatory mouse model. Molecular Medicine Reports, 31, 157. https://doi.org/10.3892/mmr.2025.13522
MLA
Chen, Q., Xie, L., Wang, J., Su, X., Ye, X., Lin, X."Resveratrol inhibits lipopolysaccharide‑induced MUC5AC expression and airway inflammation via MAPK and Nrf2 pathways in human bronchial epithelial cells and an acute inflammatory mouse model". Molecular Medicine Reports 31.6 (2025): 157.
Chicago
Chen, Q., Xie, L., Wang, J., Su, X., Ye, X., Lin, X."Resveratrol inhibits lipopolysaccharide‑induced MUC5AC expression and airway inflammation via MAPK and Nrf2 pathways in human bronchial epithelial cells and an acute inflammatory mouse model". Molecular Medicine Reports 31, no. 6 (2025): 157. https://doi.org/10.3892/mmr.2025.13522
Copy and paste a formatted citation
x
Spandidos Publications style
Chen Q, Xie L, Wang J, Su X, Ye X and Lin X: Resveratrol inhibits lipopolysaccharide‑induced MUC5AC expression and airway inflammation via MAPK and Nrf2 pathways in human bronchial epithelial cells and an acute inflammatory mouse model. Mol Med Rep 31: 157, 2025.
APA
Chen, Q., Xie, L., Wang, J., Su, X., Ye, X., & Lin, X. (2025). Resveratrol inhibits lipopolysaccharide‑induced MUC5AC expression and airway inflammation via MAPK and Nrf2 pathways in human bronchial epithelial cells and an acute inflammatory mouse model. Molecular Medicine Reports, 31, 157. https://doi.org/10.3892/mmr.2025.13522
MLA
Chen, Q., Xie, L., Wang, J., Su, X., Ye, X., Lin, X."Resveratrol inhibits lipopolysaccharide‑induced MUC5AC expression and airway inflammation via MAPK and Nrf2 pathways in human bronchial epithelial cells and an acute inflammatory mouse model". Molecular Medicine Reports 31.6 (2025): 157.
Chicago
Chen, Q., Xie, L., Wang, J., Su, X., Ye, X., Lin, X."Resveratrol inhibits lipopolysaccharide‑induced MUC5AC expression and airway inflammation via MAPK and Nrf2 pathways in human bronchial epithelial cells and an acute inflammatory mouse model". Molecular Medicine Reports 31, no. 6 (2025): 157. https://doi.org/10.3892/mmr.2025.13522
Follow us
  • Twitter
  • LinkedIn
  • Facebook
About
  • Spandidos Publications
  • Careers
  • Cookie Policy
  • Privacy Policy
How can we help?
  • Help
  • Live Chat
  • Contact
  • Email to our Support Team