Spandidos Publications Logo
  • About
    • About Spandidos
    • Aims and Scopes
    • Abstracting and Indexing
    • Editorial Policies
    • Reprints and Permissions
    • Job Opportunities
    • Terms and Conditions
    • Contact
  • Journals
    • All Journals
    • Oncology Letters
      • Oncology Letters
      • Information for Authors
      • Editorial Policies
      • Editorial Board
      • Aims and Scope
      • Abstracting and Indexing
      • Bibliographic Information
      • Archive
    • International Journal of Oncology
      • International Journal of Oncology
      • Information for Authors
      • Editorial Policies
      • Editorial Board
      • Aims and Scope
      • Abstracting and Indexing
      • Bibliographic Information
      • Archive
    • Molecular and Clinical Oncology
      • Molecular and Clinical Oncology
      • Information for Authors
      • Editorial Policies
      • Editorial Board
      • Aims and Scope
      • Abstracting and Indexing
      • Bibliographic Information
      • Archive
    • Experimental and Therapeutic Medicine
      • Experimental and Therapeutic Medicine
      • Information for Authors
      • Editorial Policies
      • Editorial Board
      • Aims and Scope
      • Abstracting and Indexing
      • Bibliographic Information
      • Archive
    • International Journal of Molecular Medicine
      • International Journal of Molecular Medicine
      • Information for Authors
      • Editorial Policies
      • Editorial Board
      • Aims and Scope
      • Abstracting and Indexing
      • Bibliographic Information
      • Archive
    • Biomedical Reports
      • Biomedical Reports
      • Information for Authors
      • Editorial Policies
      • Editorial Board
      • Aims and Scope
      • Abstracting and Indexing
      • Bibliographic Information
      • Archive
    • Oncology Reports
      • Oncology Reports
      • Information for Authors
      • Editorial Policies
      • Editorial Board
      • Aims and Scope
      • Abstracting and Indexing
      • Bibliographic Information
      • Archive
    • Molecular Medicine Reports
      • Molecular Medicine Reports
      • Information for Authors
      • Editorial Policies
      • Editorial Board
      • Aims and Scope
      • Abstracting and Indexing
      • Bibliographic Information
      • Archive
    • World Academy of Sciences Journal
      • World Academy of Sciences Journal
      • Information for Authors
      • Editorial Policies
      • Editorial Board
      • Aims and Scope
      • Abstracting and Indexing
      • Bibliographic Information
      • Archive
    • International Journal of Functional Nutrition
      • International Journal of Functional Nutrition
      • Information for Authors
      • Editorial Policies
      • Editorial Board
      • Aims and Scope
      • Abstracting and Indexing
      • Bibliographic Information
      • Archive
    • International Journal of Epigenetics
      • International Journal of Epigenetics
      • Information for Authors
      • Editorial Policies
      • Editorial Board
      • Aims and Scope
      • Abstracting and Indexing
      • Bibliographic Information
      • Archive
    • Medicine International
      • Medicine International
      • Information for Authors
      • Editorial Policies
      • Editorial Board
      • Aims and Scope
      • Abstracting and Indexing
      • Bibliographic Information
      • Archive
  • Articles
  • Information
    • Information for Authors
    • Information for Reviewers
    • Information for Librarians
    • Information for Advertisers
    • Conferences
  • Language Editing
Spandidos Publications Logo
  • About
    • About Spandidos
    • Aims and Scopes
    • Abstracting and Indexing
    • Editorial Policies
    • Reprints and Permissions
    • Job Opportunities
    • Terms and Conditions
    • Contact
  • Journals
    • All Journals
    • Biomedical Reports
      • Information for Authors
      • Editorial Policies
      • Editorial Board
      • Aims and Scope
      • Abstracting and Indexing
      • Bibliographic Information
      • Archive
    • Experimental and Therapeutic Medicine
      • Information for Authors
      • Editorial Policies
      • Editorial Board
      • Aims and Scope
      • Abstracting and Indexing
      • Bibliographic Information
      • Archive
    • International Journal of Epigenetics
      • Information for Authors
      • Editorial Policies
      • Editorial Board
      • Aims and Scope
      • Abstracting and Indexing
      • Bibliographic Information
      • Archive
    • International Journal of Functional Nutrition
      • Information for Authors
      • Editorial Policies
      • Editorial Board
      • Aims and Scope
      • Abstracting and Indexing
      • Bibliographic Information
      • Archive
    • International Journal of Molecular Medicine
      • Information for Authors
      • Editorial Policies
      • Editorial Board
      • Aims and Scope
      • Abstracting and Indexing
      • Bibliographic Information
      • Archive
    • International Journal of Oncology
      • Information for Authors
      • Editorial Policies
      • Editorial Board
      • Aims and Scope
      • Abstracting and Indexing
      • Bibliographic Information
      • Archive
    • Medicine International
      • Information for Authors
      • Editorial Policies
      • Editorial Board
      • Aims and Scope
      • Abstracting and Indexing
      • Bibliographic Information
      • Archive
    • Molecular and Clinical Oncology
      • Information for Authors
      • Editorial Policies
      • Editorial Board
      • Aims and Scope
      • Abstracting and Indexing
      • Bibliographic Information
      • Archive
    • Molecular Medicine Reports
      • Information for Authors
      • Editorial Policies
      • Editorial Board
      • Aims and Scope
      • Abstracting and Indexing
      • Bibliographic Information
      • Archive
    • Oncology Letters
      • Information for Authors
      • Editorial Policies
      • Editorial Board
      • Aims and Scope
      • Abstracting and Indexing
      • Bibliographic Information
      • Archive
    • Oncology Reports
      • Information for Authors
      • Editorial Policies
      • Editorial Board
      • Aims and Scope
      • Abstracting and Indexing
      • Bibliographic Information
      • Archive
    • World Academy of Sciences Journal
      • Information for Authors
      • Editorial Policies
      • Editorial Board
      • Aims and Scope
      • Abstracting and Indexing
      • Bibliographic Information
      • Archive
  • Articles
  • Information
    • For Authors
    • For Reviewers
    • For Librarians
    • For Advertisers
    • Conferences
  • Language Editing
Login Register Submit
  • This site uses cookies
  • You can change your cookie settings at any time by following the instructions in our Cookie Policy. To find out more, you may read our Privacy Policy.

    I agree
Search articles by DOI, keyword, author or affiliation
Search
Advanced Search
presentation
Oncology Letters
Join Editorial Board Propose a Special Issue
Print ISSN: 1792-1074 Online ISSN: 1792-1082
Journal Cover
November-December 2010 Volume 1 Issue 6

Full Size Image

Sign up for eToc alerts
Recommend to Library

Journals

International Journal of Molecular Medicine

International Journal of Molecular Medicine

International Journal of Molecular Medicine is an international journal devoted to molecular mechanisms of human disease.

International Journal of Oncology

International Journal of Oncology

International Journal of Oncology is an international journal devoted to oncology research and cancer treatment.

Molecular Medicine Reports

Molecular Medicine Reports

Covers molecular medicine topics such as pharmacology, pathology, genetics, neuroscience, infectious diseases, molecular cardiology, and molecular surgery.

Oncology Reports

Oncology Reports

Oncology Reports is an international journal devoted to fundamental and applied research in Oncology.

Experimental and Therapeutic Medicine

Experimental and Therapeutic Medicine

Experimental and Therapeutic Medicine is an international journal devoted to laboratory and clinical medicine.

Oncology Letters

Oncology Letters

Oncology Letters is an international journal devoted to Experimental and Clinical Oncology.

Biomedical Reports

Biomedical Reports

Explores a wide range of biological and medical fields, including pharmacology, genetics, microbiology, neuroscience, and molecular cardiology.

Molecular and Clinical Oncology

Molecular and Clinical Oncology

International journal addressing all aspects of oncology research, from tumorigenesis and oncogenes to chemotherapy and metastasis.

World Academy of Sciences Journal

World Academy of Sciences Journal

Multidisciplinary open-access journal spanning biochemistry, genetics, neuroscience, environmental health, and synthetic biology.

International Journal of Functional Nutrition

International Journal of Functional Nutrition

Open-access journal combining biochemistry, pharmacology, immunology, and genetics to advance health through functional nutrition.

International Journal of Epigenetics

International Journal of Epigenetics

Publishes open-access research on using epigenetics to advance understanding and treatment of human disease.

Medicine International

Medicine International

An International Open Access Journal Devoted to General Medicine.

Journal Cover
November-December 2010 Volume 1 Issue 6

Full Size Image

Sign up for eToc alerts
Recommend to Library

  • Article
  • Citations
    • Cite This Article
    • Download Citation
    • Create Citation Alert
    • Remove Citation Alert
    • Cited By
  • Similar Articles
    • Related Articles (in Spandidos Publications)
    • Similar Articles (Google Scholar)
    • Similar Articles (PubMed)
  • Download PDF
  • Download XML
  • View XML
Case Report

Myoepithelial carcinoma of the parotid gland with bilateral thyroid involvement: A case report and review of the literature

  • Authors:
    • Lei Zhang
    • Dianjun Wang
    • Yipeng Ren
    • Jin Feng
    • Rongfa Bu
  • View Affiliations / Copyright

    Affiliations: Department of Oral and Maxillofacial Surgery, The Chinese PLA General Hospital, The Stomatological Institute of Chinese PLA, Beijing 100853, P.R. China, Department of Pathology, The Chinese PLA General Hospital, Beijing 100853, P.R.China
  • Pages: 1079-1082
    |
    Published online on: September 22, 2010
       https://doi.org/10.3892/ol.2010.174
  • Expand metrics +
Metrics: Total Views: 0 (Spandidos Publications: | PMC Statistics: )
Metrics: Total PDF Downloads: 0 (Spandidos Publications: | PMC Statistics: )
Cited By (CrossRef): 0 citations Loading Articles...

This article is mentioned in:



Abstract

A patient was admitted to hospital with enlarged lobes of the thyroid gland with bilateral cervical lymph node involvement, and surgical excision followed. Histological examination of this specimen revealed a lesion that showed myoepithelial cell differentiation. Primary thyroid and skin appendage tumors were excluded based on clinical examination, conventional histology and immunohistochemistry. A tumor of the right parotid surgically treated in June 2008, approximately 2 years previously, was originally classified as a basal cell adenocarcinoma with focal invasion, but was re-examined. Using immunohistochemistry, the parotid tumor was re-classified as a myoepithelial carcinoma. The thyroid tumor proved to be metastasis from a primary parotid tumor, which was not found in the updated review of the literature. The literature is reviewed, including current knowledge on the histological and immunohistochemical features of myoepithelial carcinoma, with limited data on treatment suggestions.

Introduction

Myoepithelial carcinoma is a rare, locally aggressive, malignant neoplasm that shows exclusive or prominent myoepithelial cell differentiation (1). Its histopathological features, immunohistochemical profile and clinical behavior remain to be delineated and are characterized by a wide range of cytomorphologic features, such as epithelioid, plasmacytoid, spindle and clear cell types, rendering a diagnosis difficult. This entity was initially described in the salivary glands (2). However, it was also identified in the breast, upper aerodigestive tract, skin and other soft tissues (3).

Current observations of this entity showed its invasive behavior as being more infiltrative and metastatic, unlike previous predictions of low-grade malignancy (4). The rate of recurrence and metastasis accounts for approximately 60% (3). Only limited reports on its metastatic behavior are available in the literature. The metastatic sites included the lungs, kidneys, cervical lymph nodes, brain, ribs and the scalp (3,5). This study presents a case of metastatic myoepithelial carcinoma of the thyroid from the parotid gland, which was not found in the updated review of the literature. Immunochemical studies are crucial in order to confirm myoepithelial differentiation of tumor cells. Knowledge of the clinical history, radiographic characterization and morphological correlation with the primary tumor are emphasized.

Patient and methods

Clinical history of patient

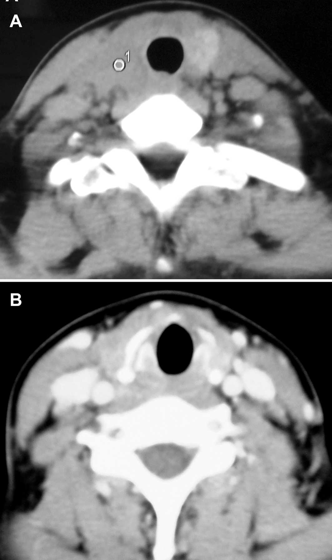
A CT scan (Fig. 1) revealed that a 39-year-old Chinese female had a 3.3 cm solid mass in her thyroid, mainly located in the right lobe with bilateral cervical lymph node enlargement, in March 10, 2010. This occurred 21 months following total resection of the right parotid gland. In June 2008, the patient had undergone surgery on the right salivary gland tumor, pathologically diagnosed as ‘the basal cell adenocarcinoma’. The patient then received local 125I radioactive bead implantation one month after the operation. Approximately 12 months later, a soybean-sized tumor appeared on her neck, followed by dysphagia and hoarseness with thyroid enlargement. A neck CT examination was performed in March 10, 2010, showing the thyroid gland and right cervical lymph node enlargement, with no abnormality in the parotid region. A bilateral neck dissection with a total right and partial left thyroidectomy were concomitantly performed. An intraoperative dissection showed the bilateral cervical lymph nodes and thyroid glands to be involved, with the former being swollen, solid and showing invasion into the surrounding tissue, and the latter, particularly the right lobe, having an indefinite boundary with the surrounding tissue. A myoepithelial carcinoma was pathologically diagnosed in the lymph nodes and thyroid postoperatively. Full consent was obtained by the patient.

Figure 1

The CT scan showed a thyroid mass.

Methods

The specimens were routinely processed and stained with hematoxylin and eosin (H&E). Immunohistochemical staining for CK5, CK18, p63, Calponin, Ki-67 and S-100 was performed using standard avidin-biotin techniques.

Results

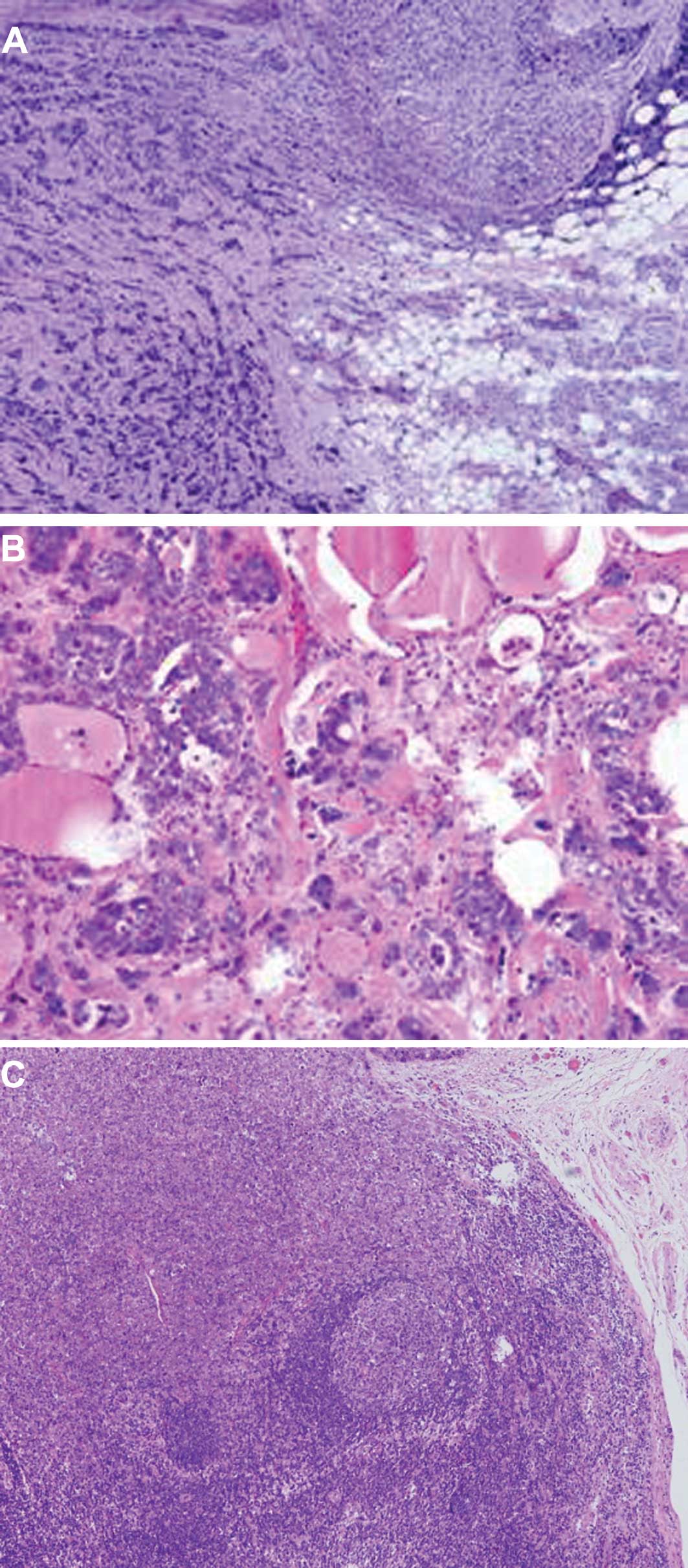
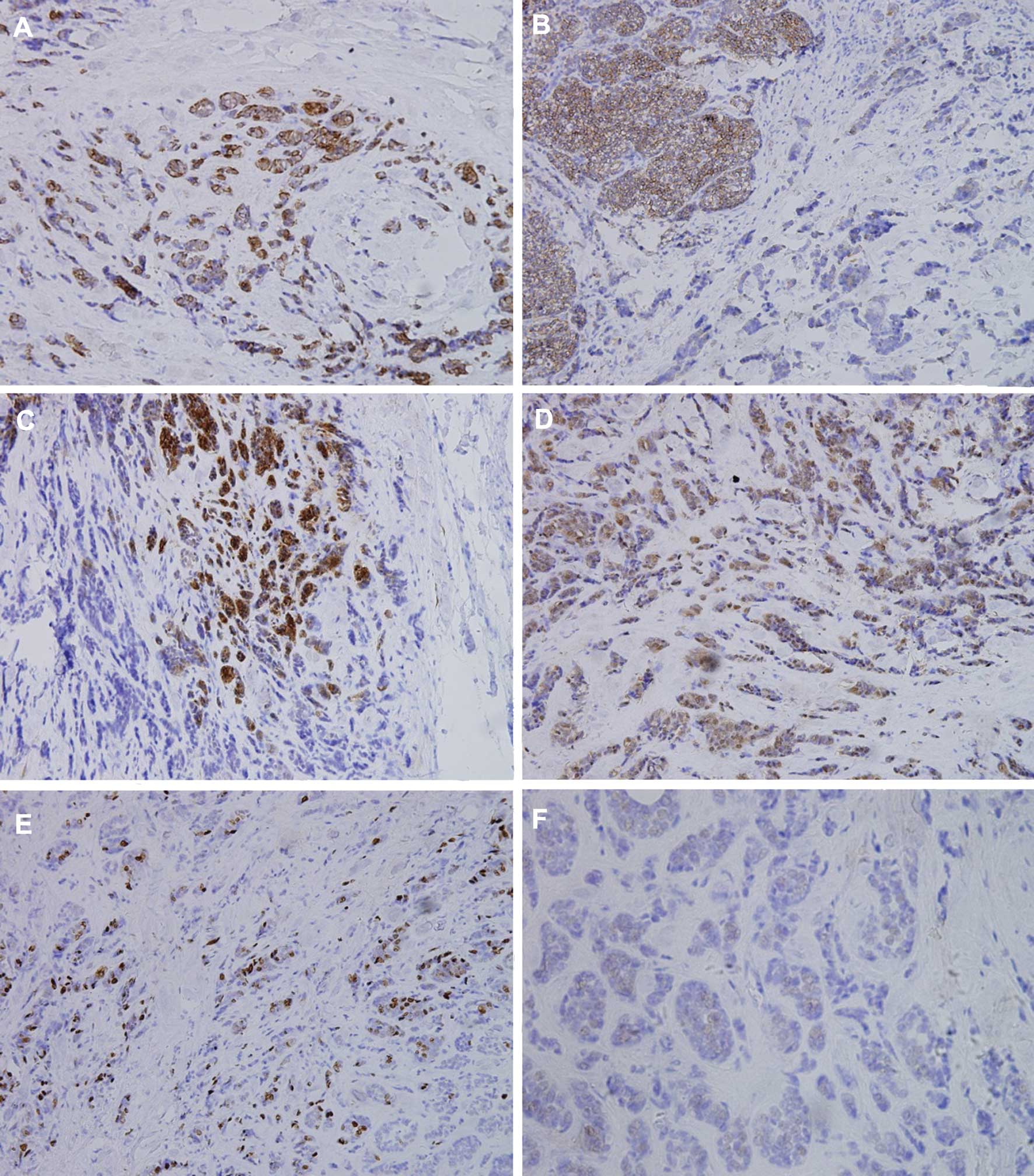
The parotid tumor showed nests or trabecular architecture divided by fibrous septa with no ductal or acinar differentiation (Fig. 2A). The neoplastic cells with a myxoid stroma, from the thyroid, exhibited mild cytological atypia and minimal cytoplasm without the ductal lumen structure (Fig. 2B). The neoplastic cells from the involved lymph nodes showed identical morphological features to the primary lesion in the parotid gland (Fig. 2C). The neoplastic cells showed positive immunoreaction for CK5, CK18, Calponin, S-100, Ki-67 and P63, respectively, in Fig. 3, with a strong to weak expression.

Figure 2

(A) The tumor showed nests or trabecular architecture divided by fibrous septa; H&E; magnification, × 100. (B) The tumor metastasized to the thyroid; H&E; magnification, × 200. (C) The tumor metastasized to the lymph nodes; H&E; magnification, × 40.

Figure 3

Positive immunohistochemical staining with (A) CK5, magnification, × 100; (B) CK18, magnification, × 100; (C) Calponin, magnification, × 100; and (D) S-100, magnification, × 100. (E) The nuclear staining of Ki-67 in MEC, magnification, × 100. (F) The tumor cells showed weak nuclear staining of P63 in MEC, magnification, × 200.

The cytomorphology and immunohistochemical findings were similar to those of the previously resected primary myoepithelial carcinoma (MCA) of the parotid gland. The original tumor exhibited an infiltrative multilobular growth pattern with increased mitotic activity (up to 8 mitoses per 10 high power fields) and proliferative rate (Ki-67 index of >75%).

Discussion

Epidemiology and biological behavior of myoepithelial carcinomas

Both benign and malignant tumors in the parotid gland show myoepithelial cell differentiation. Neoplasms composed exclusively of myoepithelial cells are relatively uncommon; their incidence has been identified in 1% of all tumors of the parotid glands, while malignant MCA is extremely rare. The neoplasm occurs primarily in the large salivary glands (85–90%), particularly in the parotid (1–6). Approximately 125 cases of myoepithelial carcinomas have been described thus far (19). The majority of these carcinomas are located in the salivary glands with the exception of cartain rare cases found in the nasal cavity, paranasal sinuses, lacrimal glands, bronchus, lungs or kidneys (7). Due to a lack of myoepithelial differentiation in the thyroid, MCA is generally considered not to occur in the thyroid.

Since myoepithelial carcinomas are rare, no mature and unified identification of their biological behavior exists. The tumor is recognized to be a low-grade malignant tumor by the World Health Organization salivary gland classification, due to its low metastatic potential and potential for local recurrence (8). Nevertheless, with the accumulating data, more than 50% of cases have high-grade potency (3) and either recurrence or distant metastasis. The de novo form is considered to be more aggressive and to have greater metastatic potential (2). However, observations have been contradictory and the metastatic behavior of MCA has yet to be elucidated (1).

The primary parotid MCA exhibits not only the lymph transfer predilection, which often transfers to cervical lymph nodes, but also distant metastasis, including the lungs, bones and liver (9). To the best of our knowledge, this case is the first to involve bilateral thyroids and cervical lymph nodes.

Histological features and pathological diagnosis of myoepithelial carcinomas

Cytomorphologically, myoepithelial tumors may contain four cell types thought to represent various stages in myoepithelial cell differentiation (10). These cell types include spindle-shaped, epithelioid, plasmacytoid and clear cells, or combinations thereof.

The identification of MCA depends on the presence of infiltrative growth, mitotic count, cellular polymorphism, tumor necrosis or a combination thereof (1,2).

Few previous studies exist on the histocytological features of MCA, which showed its cytomorphology to be diverse. Depending on the predominant cell type and immunohistochemical analysis within MCA, differential diagnoses include tumors such as epithelial myoepithelial carcinoma (EMC), clear cell carcinoma (CCC) and carcinoma ex pleomorphic adenoma, which previously contained the two carcinomas. EMC, another type of salivary gland tumors, has both epithelial and myoepithelial differentiation microscopically with a notable ductal lumen appearance, while CCC lacks epithelial structure (10–13).

Immunohistochemical studies play a key role in the confirmation of myoepithelial differentiation. Current immunohistochemical criteria are dual positivity for the two cytokeratins (including CK5 and CK18). The myoepithelial markers, S-100 protein, calponin, p63, GFAP, CD10, maspin and actins, were shown to be immunohistochemically expressed (14,15). In this case, mild cytological atypia with little focal necrosis was noted. Myoepithelial differentiation was confirmed by strong and diffuse immunoreactivity to keratins 5 and 10, S-100 and P63.

Studies have shown that the anti-P63 antibody is an effective marker of myoepithelial cells with higher specificity (10). However, few studies were published on the expression of P63 in salivary gland tumors (14–17). Certain authors considered that Calponin, an α-smooth muscle actin, is most effective in detecting myoepithelial carcinomas (18). Calponin reacts with 75% of myoepithelial carcinomas (3). In this study, the Calponin expression is strong-positive. Recent research showed that in order to identify the hyperplasty activity using the Ki-67 antibody, immunohistostaining was found to aid somewhat in differentiating the diagnosis of benign from malignant myoepithelialioma. A Ki-67 labeling index of more than 10% may lead to a diagnosis of non-benign myoepithelial carcinoma. On the other hand, the cytological appearance, including infiltrative growth, mitotic count, cellular polymorphism or tumor necrosis, renders it difficult to differentiate malignant from benign myoepithelial carcinoma. In this study, the Ki-67 labeling index was more than 75%.

Myoepithelial carcinoma therapy

As in the case of other malignant tumors, the histological features of MCA have thus far failed to reliably predict prognosis, including biological behavior and clinical outcome. Generally speaking, primary MCAs with significant cytological atypia, high proliferative activity, brisk mitotic rate and necrosis behave aggressively and are more likely to develop distant metastasis (3). Since the clinical manifestation varies from case to case, its pathological features do not correlate with prognosis and a low neoplasm incidence rate. Moreover, effective treatment, particularly for distant metastasis, is scarce. Surgery is the preferred choice of treatment, whether in the primary or transferred region. We used 125I radioactive bead local implantation for the recurrence of MCA and yielded satisfactory results, taking into account the limited period. While the primary lesion is controlled effectively, the predisposing area for the metastasis should be carefully monitored. Image examination should be used for the neck dissection when any subtle changes showing cervical lymph node metastasis are noted. Due to the high occurrence of distant metastasis, an examination of the lungs or other organs should be conducted upon diagnosis of myoepithelial carcinoma. In conclusion, postoperative chemotherapy or radiotherapy may help to prevent metastasis and recurrence (1).

References

1 

Nagao T, Sugano I, Ishida Y, Tajima Y, Matsuzaki O, Konno A, Kondo Y and Nagao K: Salivary gland malignant myoepithelioma: a clinicopathologic and immunohistochemical study of ten cases. Cancer. 83:1292–1299. 1998. View Article : Google Scholar : PubMed/NCBI

2 

Di Palma S and Guzzo M: Malignant myoepithelioma of salivary glands: clinicopathological features of ten cases. Virchows Arch A Pathol Anat Histopathol. 423:389–396. 1993.PubMed/NCBI

3 

Savera AT, Sloman A, Huvos AG and Klimstra DS, Huvos AG and Klimstra DS: Myoepithelial carcinoma of the salivary glands: a clinicopathologic study of 25 patients. Am J Surg Pathol. 24:761–774. 2000. View Article : Google Scholar : PubMed/NCBI

4 

Cheuk W and Chan JK: Advances in salivary gland pathology. Histopathology. 51:1–20. 2007. View Article : Google Scholar

5 

Wang Z, Herrington B, Schwartz MR and Laucirica R: Myoepithelial carcinoma of the parotid gland metastatic to the kidney: case report and review of the literature. Diagn Cytopathol. 38:27–282. 2010.

6 

Chhieng DC and Paulino AF: Cytology of myoepithelial carcinoma of the salivary gland. Cancer. 96:32–36. 2002. View Article : Google Scholar : PubMed/NCBI

7 

Hornick JL and Fletcher CD: Myoepithelial tumors of soft tissue: a clinicopathologic and immunohistochemical study of 101 cases with evaluation of prognostic parameters. Am J Surg Pathol. 27:1183–1196. 2003. View Article : Google Scholar : PubMed/NCBI

8 

Seifert G and Sobin LH: Histological typing of salivary gland tumors. World Health Organization International Histological Classification of Tumors. 2nd edition. Springer-Verlag; NY: 1991

9 

Darvishian F and Lin O: Myoepithelial cell-rich neoplasms cytologic features of benign and malignant lesions. Cancer. 102:355–361. 2004. View Article : Google Scholar : PubMed/NCBI

10 

Seethala RR, Barnes EL and Hunt JL: Epithelial-myoepithelial carcinoma: a review of the clinicopathologic spectrum and immunophenotypic characteristics in 61 tumors of the salivary glands and upper aerodigestive tract. Am J Surg Pathol. 31:44–56. 2007. View Article : Google Scholar

11 

Wang B, Brandwein M, Gordon R, Robinson R, Urken M and Zarbo RJ: Primary salivary clear cell tumors – a diagnostic approach a clinicopathologic and immunohistochemical study of 20 patients with clear cell carcinoma, clear cell myoepithelial carcinoma, and epithelial-myoepithelial carcinoma. Arch Pathol Lab Med. 126:676–685. 2002.

12 

Ogawa I, Nishida T, Miyauchi M, Sato S and Takata T: Dedifferentiated malignant myoepithelioma of the parotid gland. Pathol Int. 53:704–709. 2003. View Article : Google Scholar : PubMed/NCBI

13 

Jain M, Thomas S and Singh S: Epithelial myoepitheial carcinoma of minor salivary gland – low grade malignant tumor presenting with nodal metastasis. Indian J Pathol Microbiol. 49:399–401. 2006.PubMed/NCBI

14 

Genelhu MC, Gobbi H, Soares FA, Campos AH, Ribeiro CA and Cassali GD: Immunohistochemical expression of p63 in pleomorphic adenomas and carcinomas ex-pleomorphic adenomas of salivary glands. Oral Oncol. 42:154–160. 2006. View Article : Google Scholar : PubMed/NCBI

15 

Edwards PC, Bhuiya T and Kelsch RD: Assessment of p63 expression in the salivary gland neoplasms adenoid cystic carcinoma, polymorphous low-grade adenocarcinoma, and basal cell and canicular adenomas. Oral Surg Oral Med Oral Pathol Oral Radiol Endod. 97:613–619. 2004. View Article : Google Scholar

16 

Bilal H, Handra-Luca A, Bertrand JC and Fouret PJ: p63 is expressed in basal and myoepithelial cells of human normal and tumor salivary gland tissues. J Histochem Cytochem. 51:133–139. 2003. View Article : Google Scholar : PubMed/NCBI

17 

Emanuel P, Wang B, Wu M and Burstein DA: p63 immunohistochemistry in the distinction of adenoid cystic carcinoma from basaloid squamous cell carcinoma. Mod Pathol. 18:645–650. 2005. View Article : Google Scholar : PubMed/NCBI

18 

Furuse C, Sousa SO, Nunes FD, Magalhães MH and Araújo VC: Myoepithelial cell markers in salivary gland neoplasms. Int J Surg Pathol. 13:57–65. 2005. View Article : Google Scholar : PubMed/NCBI

19 

Kane SV and Bagwan IN: Myoepithelial carcinoma of the salivary glands: a clinicopathologic study of 51 cases in a tertiary cancer center. Arch Otolaryngol Head Neck Surg. 136:702–712. 2010. View Article : Google Scholar : PubMed/NCBI

Related Articles

  • Abstract
  • View
  • Download
  • Twitter
Copy and paste a formatted citation
Spandidos Publications style
Zhang L, Wang D, Ren Y, Feng J and Bu R: Myoepithelial carcinoma of the parotid gland with bilateral thyroid involvement: A case report and review of the literature. Oncol Lett 1: 1079-1082, 2010.
APA
Zhang, L., Wang, D., Ren, Y., Feng, J., & Bu, R. (2010). Myoepithelial carcinoma of the parotid gland with bilateral thyroid involvement: A case report and review of the literature. Oncology Letters, 1, 1079-1082. https://doi.org/10.3892/ol.2010.174
MLA
Zhang, L., Wang, D., Ren, Y., Feng, J., Bu, R."Myoepithelial carcinoma of the parotid gland with bilateral thyroid involvement: A case report and review of the literature". Oncology Letters 1.6 (2010): 1079-1082.
Chicago
Zhang, L., Wang, D., Ren, Y., Feng, J., Bu, R."Myoepithelial carcinoma of the parotid gland with bilateral thyroid involvement: A case report and review of the literature". Oncology Letters 1, no. 6 (2010): 1079-1082. https://doi.org/10.3892/ol.2010.174
Copy and paste a formatted citation
x
Spandidos Publications style
Zhang L, Wang D, Ren Y, Feng J and Bu R: Myoepithelial carcinoma of the parotid gland with bilateral thyroid involvement: A case report and review of the literature. Oncol Lett 1: 1079-1082, 2010.
APA
Zhang, L., Wang, D., Ren, Y., Feng, J., & Bu, R. (2010). Myoepithelial carcinoma of the parotid gland with bilateral thyroid involvement: A case report and review of the literature. Oncology Letters, 1, 1079-1082. https://doi.org/10.3892/ol.2010.174
MLA
Zhang, L., Wang, D., Ren, Y., Feng, J., Bu, R."Myoepithelial carcinoma of the parotid gland with bilateral thyroid involvement: A case report and review of the literature". Oncology Letters 1.6 (2010): 1079-1082.
Chicago
Zhang, L., Wang, D., Ren, Y., Feng, J., Bu, R."Myoepithelial carcinoma of the parotid gland with bilateral thyroid involvement: A case report and review of the literature". Oncology Letters 1, no. 6 (2010): 1079-1082. https://doi.org/10.3892/ol.2010.174
Follow us
  • Twitter
  • LinkedIn
  • Facebook
About
  • Spandidos Publications
  • Careers
  • Cookie Policy
  • Privacy Policy
How can we help?
  • Help
  • Live Chat
  • Contact
  • Email to our Support Team