Spandidos Publications Logo
  • About
    • About Spandidos
    • Aims and Scopes
    • Abstracting and Indexing
    • Editorial Policies
    • Reprints and Permissions
    • Job Opportunities
    • Terms and Conditions
    • Contact
  • Journals
    • All Journals
    • Oncology Letters
      • Oncology Letters
      • Information for Authors
      • Editorial Policies
      • Editorial Board
      • Aims and Scope
      • Abstracting and Indexing
      • Bibliographic Information
      • Archive
    • International Journal of Oncology
      • International Journal of Oncology
      • Information for Authors
      • Editorial Policies
      • Editorial Board
      • Aims and Scope
      • Abstracting and Indexing
      • Bibliographic Information
      • Archive
    • Molecular and Clinical Oncology
      • Molecular and Clinical Oncology
      • Information for Authors
      • Editorial Policies
      • Editorial Board
      • Aims and Scope
      • Abstracting and Indexing
      • Bibliographic Information
      • Archive
    • Experimental and Therapeutic Medicine
      • Experimental and Therapeutic Medicine
      • Information for Authors
      • Editorial Policies
      • Editorial Board
      • Aims and Scope
      • Abstracting and Indexing
      • Bibliographic Information
      • Archive
    • International Journal of Molecular Medicine
      • International Journal of Molecular Medicine
      • Information for Authors
      • Editorial Policies
      • Editorial Board
      • Aims and Scope
      • Abstracting and Indexing
      • Bibliographic Information
      • Archive
    • Biomedical Reports
      • Biomedical Reports
      • Information for Authors
      • Editorial Policies
      • Editorial Board
      • Aims and Scope
      • Abstracting and Indexing
      • Bibliographic Information
      • Archive
    • Oncology Reports
      • Oncology Reports
      • Information for Authors
      • Editorial Policies
      • Editorial Board
      • Aims and Scope
      • Abstracting and Indexing
      • Bibliographic Information
      • Archive
    • Molecular Medicine Reports
      • Molecular Medicine Reports
      • Information for Authors
      • Editorial Policies
      • Editorial Board
      • Aims and Scope
      • Abstracting and Indexing
      • Bibliographic Information
      • Archive
    • World Academy of Sciences Journal
      • World Academy of Sciences Journal
      • Information for Authors
      • Editorial Policies
      • Editorial Board
      • Aims and Scope
      • Abstracting and Indexing
      • Bibliographic Information
      • Archive
    • International Journal of Functional Nutrition
      • International Journal of Functional Nutrition
      • Information for Authors
      • Editorial Policies
      • Editorial Board
      • Aims and Scope
      • Abstracting and Indexing
      • Bibliographic Information
      • Archive
    • International Journal of Epigenetics
      • International Journal of Epigenetics
      • Information for Authors
      • Editorial Policies
      • Editorial Board
      • Aims and Scope
      • Abstracting and Indexing
      • Bibliographic Information
      • Archive
    • Medicine International
      • Medicine International
      • Information for Authors
      • Editorial Policies
      • Editorial Board
      • Aims and Scope
      • Abstracting and Indexing
      • Bibliographic Information
      • Archive
  • Articles
  • Information
    • Information for Authors
    • Information for Reviewers
    • Information for Librarians
    • Information for Advertisers
    • Conferences
  • Language Editing
Spandidos Publications Logo
  • About
    • About Spandidos
    • Aims and Scopes
    • Abstracting and Indexing
    • Editorial Policies
    • Reprints and Permissions
    • Job Opportunities
    • Terms and Conditions
    • Contact
  • Journals
    • All Journals
    • Biomedical Reports
      • Information for Authors
      • Editorial Policies
      • Editorial Board
      • Aims and Scope
      • Abstracting and Indexing
      • Bibliographic Information
      • Archive
    • Experimental and Therapeutic Medicine
      • Information for Authors
      • Editorial Policies
      • Editorial Board
      • Aims and Scope
      • Abstracting and Indexing
      • Bibliographic Information
      • Archive
    • International Journal of Epigenetics
      • Information for Authors
      • Editorial Policies
      • Editorial Board
      • Aims and Scope
      • Abstracting and Indexing
      • Bibliographic Information
      • Archive
    • International Journal of Functional Nutrition
      • Information for Authors
      • Editorial Policies
      • Editorial Board
      • Aims and Scope
      • Abstracting and Indexing
      • Bibliographic Information
      • Archive
    • International Journal of Molecular Medicine
      • Information for Authors
      • Editorial Policies
      • Editorial Board
      • Aims and Scope
      • Abstracting and Indexing
      • Bibliographic Information
      • Archive
    • International Journal of Oncology
      • Information for Authors
      • Editorial Policies
      • Editorial Board
      • Aims and Scope
      • Abstracting and Indexing
      • Bibliographic Information
      • Archive
    • Medicine International
      • Information for Authors
      • Editorial Policies
      • Editorial Board
      • Aims and Scope
      • Abstracting and Indexing
      • Bibliographic Information
      • Archive
    • Molecular and Clinical Oncology
      • Information for Authors
      • Editorial Policies
      • Editorial Board
      • Aims and Scope
      • Abstracting and Indexing
      • Bibliographic Information
      • Archive
    • Molecular Medicine Reports
      • Information for Authors
      • Editorial Policies
      • Editorial Board
      • Aims and Scope
      • Abstracting and Indexing
      • Bibliographic Information
      • Archive
    • Oncology Letters
      • Information for Authors
      • Editorial Policies
      • Editorial Board
      • Aims and Scope
      • Abstracting and Indexing
      • Bibliographic Information
      • Archive
    • Oncology Reports
      • Information for Authors
      • Editorial Policies
      • Editorial Board
      • Aims and Scope
      • Abstracting and Indexing
      • Bibliographic Information
      • Archive
    • World Academy of Sciences Journal
      • Information for Authors
      • Editorial Policies
      • Editorial Board
      • Aims and Scope
      • Abstracting and Indexing
      • Bibliographic Information
      • Archive
  • Articles
  • Information
    • For Authors
    • For Reviewers
    • For Librarians
    • For Advertisers
    • Conferences
  • Language Editing
Login Register Submit
  • This site uses cookies
  • You can change your cookie settings at any time by following the instructions in our Cookie Policy. To find out more, you may read our Privacy Policy.

    I agree
Search articles by DOI, keyword, author or affiliation
Search
Advanced Search
presentation
Oncology Letters
Join Editorial Board Propose a Special Issue
Print ISSN: 1792-1074 Online ISSN: 1792-1082
Journal Cover
November-December 2011 Volume 2 Issue 6

Full Size Image

Sign up for eToc alerts
Recommend to Library

Journals

International Journal of Molecular Medicine

International Journal of Molecular Medicine

International Journal of Molecular Medicine is an international journal devoted to molecular mechanisms of human disease.

International Journal of Oncology

International Journal of Oncology

International Journal of Oncology is an international journal devoted to oncology research and cancer treatment.

Molecular Medicine Reports

Molecular Medicine Reports

Covers molecular medicine topics such as pharmacology, pathology, genetics, neuroscience, infectious diseases, molecular cardiology, and molecular surgery.

Oncology Reports

Oncology Reports

Oncology Reports is an international journal devoted to fundamental and applied research in Oncology.

Experimental and Therapeutic Medicine

Experimental and Therapeutic Medicine

Experimental and Therapeutic Medicine is an international journal devoted to laboratory and clinical medicine.

Oncology Letters

Oncology Letters

Oncology Letters is an international journal devoted to Experimental and Clinical Oncology.

Biomedical Reports

Biomedical Reports

Explores a wide range of biological and medical fields, including pharmacology, genetics, microbiology, neuroscience, and molecular cardiology.

Molecular and Clinical Oncology

Molecular and Clinical Oncology

International journal addressing all aspects of oncology research, from tumorigenesis and oncogenes to chemotherapy and metastasis.

World Academy of Sciences Journal

World Academy of Sciences Journal

Multidisciplinary open-access journal spanning biochemistry, genetics, neuroscience, environmental health, and synthetic biology.

International Journal of Functional Nutrition

International Journal of Functional Nutrition

Open-access journal combining biochemistry, pharmacology, immunology, and genetics to advance health through functional nutrition.

International Journal of Epigenetics

International Journal of Epigenetics

Publishes open-access research on using epigenetics to advance understanding and treatment of human disease.

Medicine International

Medicine International

An International Open Access Journal Devoted to General Medicine.

Journal Cover
November-December 2011 Volume 2 Issue 6

Full Size Image

Sign up for eToc alerts
Recommend to Library

  • Article
  • Citations
    • Cite This Article
    • Download Citation
    • Create Citation Alert
    • Remove Citation Alert
    • Cited By
  • Similar Articles
    • Related Articles (in Spandidos Publications)
    • Similar Articles (Google Scholar)
    • Similar Articles (PubMed)
  • Download PDF
  • Download XML
  • View XML
Article

Elevated microRNA-126 is associated with high vascular endothelial growth factor receptor 2 expression levels and high microvessel density in colorectal cancer

  • Authors:
    • Torben Frøstrup Hansen
    • Claus Lindbjerg Andersen
    • Boye Schnack Nielsen
    • Karen-Lise Garm Spindler
    • Flemming Brandt Sørensen
    • Jan Lindebjerg
    • Ivan Brandslund
    • Anders Jakobsen
  • View Affiliations / Copyright

    Affiliations: Department of Oncology, Vejle Hospital, 7100 Vejle, Denmark, Department of Molecular Medicine, Aarhus University Hospital Skejby, Aarhus, Denmark, Exiqon A/S, Diagnostic Product Development, Vedbaek, Denmark, Department of Clinical Pathology, Vejle Hospital, Vejle, Denmark, Department of Biochemistry, Vejle Hospital, Vejle, Denmark
  • Pages: 1101-1106
    |
    Published online on: August 4, 2011
       https://doi.org/10.3892/ol.2011.372
  • Expand metrics +
Metrics: Total Views: 0 (Spandidos Publications: | PMC Statistics: )
Metrics: Total PDF Downloads: 0 (Spandidos Publications: | PMC Statistics: )
Cited By (CrossRef): 0 citations Loading Articles...

This article is mentioned in:



Abstract

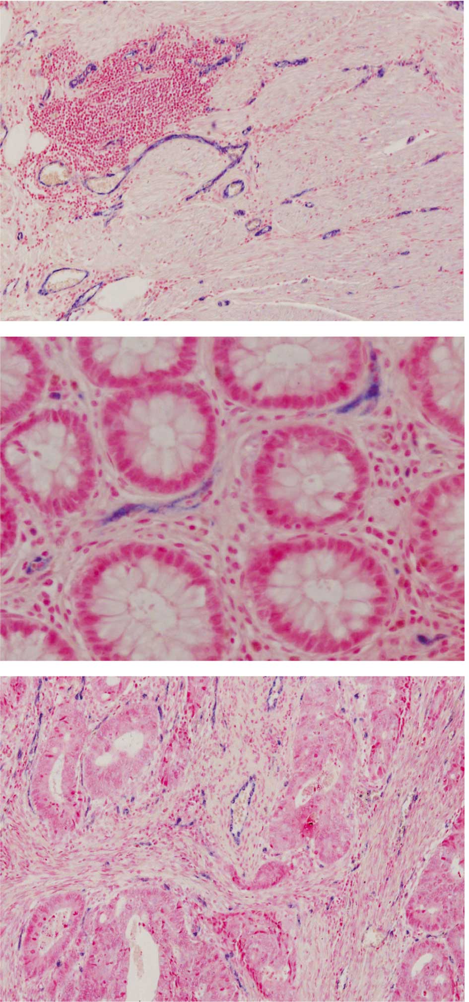
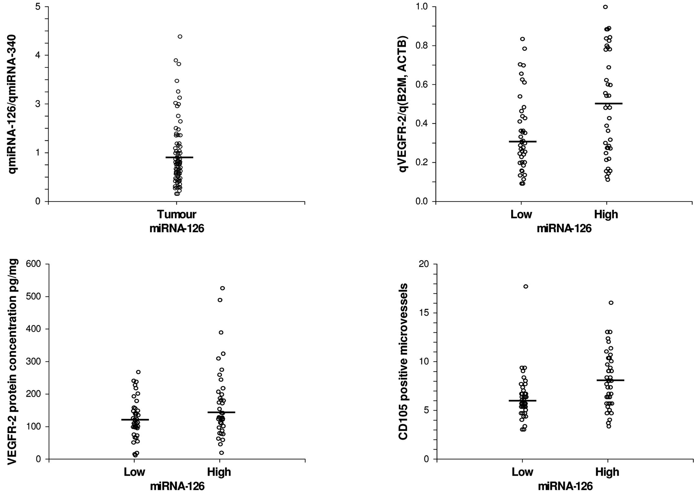
MicroRNAs (miRNAs) are involved in a number of biological processes, including tumour biology. Pre-clinical studies have shown that miRNA-126 regulates signalling downstream of vascular endothelial growth factor receptor 2 (VEGFR-2) and, consequently, angiogenesis. The aim of this study was to analyse the possible relationship between miRNA-126, VEGFR-2 and angiogenesis in tumour tissue from patients with colorectal cancer (CRC). Tumour tissue was obtained from 81 patients. The miRNA-126 and VEGFR-2 gene expression levels were analysed by PCR and the protein concentrations of VEGFR-2 were analysed by ELISA. Angiogenesis, visualised by the endothelial cell marker CD105 combined with caldesmon, was assessed by immunohistochemistry and the microvessel density (MVD) technique. In situ hybridisation was performed for miRNA-126. Tumours were classified as low or high miRNA‑126-expressing using the median as the cut-off. The median gene expression levels of VEGFR-2 were significantly lower in the tumours expressing low levels of miRNA-126, 0.30 (95% CI, 0.24‑0.36), compared to those expressing high levels of miRNA-126, 0.48 (95% CI, 0.28-0.60), p=0.02. A positive association was observed with VEGFR-2 protein concentrations, p=0.06. The median MVD was significantly lower in the tumours expressing low levels of miRNA-126, 5.8 (95% CI, 5.33‑6.67), compared to those expressing high levels, 8.0 (95% CI, 6.33‑9.00), p<0.01. miRNA-126 was detected in endothelial cells by in situ hybridisation analysis. These results suggest that high levels of miRNA-126 in CRC are associated with high VEGFR-2 mRNA and protein levels and a higher density of newly formed microvessels. However, further studies should be conducted to analyse the clinical value of miRNA‑126 in CRC.
View Figures

Figure 1

Figure 2

Figure 3

View References

1 

Folkman J: What is the evidence that tumors are angiogenesis dependent? J Natl Cancer Inst. 82:4–6. 1990. View Article : Google Scholar : PubMed/NCBI

2 

Ferrara N, Gerber HP and LeCouter J: The biology of VEGF and its receptors. Nat Med. 9:669–676. 2003. View Article : Google Scholar : PubMed/NCBI

3 

Wagner AD, Arnold D, Grothey AA, Haerting J and Unverzagt S: Anti-angiogenic therapies for metastatic colorectal cancer. Cochrane Database Syst Rev. 8:CD0053922009.PubMed/NCBI

4 

Hua Z, Lv Q, Ye W, et al: MiRNA-directed regulation of VEGF and other angiogenic factors under hypoxia. Plos One. 1:E1162006. View Article : Google Scholar : PubMed/NCBI

5 

Kuehbacher A, Urbich C, Zeiher AM and Dimmeler S: Role of Dicer and Drosha for endothelial microRNA expression and angiogenesis. Circ Res. 101:59–68. 2007. View Article : Google Scholar : PubMed/NCBI

6 

Fish JE, Santoro MM, Morton SU, Yu S, Yeh RF, Wythe JD, Ivey KN, Bruneau BG, Stainier DY and Srivastava D: miR-126 regulates angiogenic signaling and vascular integrity. Dev Cell. 15:272–284. 2008. View Article : Google Scholar : PubMed/NCBI

7 

Guo C, Sah JF, Beard L, Willson JK, Markowitz SD and Guda K: The noncoding RNA, miR-126, suppresses the growth of neoplastic cells by targeting phosphatidylinositol 3-kinase signaling and is frequently lost in colon cancers. Genes Chromosomes Cancer. 47:939–946. 2008. View Article : Google Scholar : PubMed/NCBI

8 

Nicoli S, Standley C, Walker P, Hurlstone A, Fogarty KE and Lawson ND: MicroRNA-mediated integration of haemodynamics and Vegf signalling during angiogenesis. Nature. 464:1196–1200. 2010. View Article : Google Scholar : PubMed/NCBI

9 

Wang S, Aurora AB, Johnson BA, Qi X, McAnally J, Hill JA, Richardson JA, Bassel-Duby R and Olson EN: The endothelial-specific microRNA miR-126 governs vascular integrity and angiogenesis. Dev Cell. 15:261–271. 2008. View Article : Google Scholar : PubMed/NCBI

10 

Esquela-Kerscher A and Slack FJ: Oncomirs – microRNAs with a role in cancer. Nat Rev Cancer. 6:259–269. 2006.

11 

Filipowicz W, Bhattacharyya SN and Sonenberg N: Mechanisms of post-transcriptional regulation by microRNAs: are the answers in sight? Nat Rev Genet. 9:102–114. 2008. View Article : Google Scholar : PubMed/NCBI

12 

Faber C, Kirchner T and Hlubek F: The impact of microRNAs on colorectal cancer. Virchows Arch. 454:359–367. 2009. View Article : Google Scholar : PubMed/NCBI

13 

Michael MZ, O'Connor SM, van Holst Pellekaan NG, Young GP and James RJ: Reduced accumulation of specific microRNAs in colorectal neoplasia. Mol Cancer Res. 1:882–891. 2003.PubMed/NCBI

14 

Yamamichi N, Shimomura R, Inada K, et al: Locked nucleic acid in situ hybridization analysis of miR-21 expression during colorectal cancer development. Clin Cancer Res. 15:4009–4016. 2009. View Article : Google Scholar : PubMed/NCBI

15 

Díaz R, Silva J, Garcia JM, Lorenzo Y, Garcia V, Pena C, Rodriguez R, Munoz C, Garcia F, Bonilla F and Dominguez G: Deregulated expression of miR-106a predicts survival in human colon cancer patients. Genes Chromosomes Cancer. 47:794–802. 2008.PubMed/NCBI

16 

Schepeler T, Reinert JT, Ostenfeld MS, et al: Diagnostic and prognostic microRNAs in stage II colon cancer. Cancer Res. 68:6416–6424. 2008. View Article : Google Scholar : PubMed/NCBI

17 

Schetter AJ, Leung SY, Sohn JJ, Zanetti KA, Bowman ED, Yanaihara N, Yuen ST, Chan TL, Kwong DL, Au GK, Liu CG, Calin GA, Croce CM and Harris CC: MicroRNA expression profiles associated with prognosis and therapeutic outcome in colon adenocarcinoma. Jama. 299:425–436. 2008. View Article : Google Scholar : PubMed/NCBI

18 

Hansen TF, Spindler KL, Lorentzen KA, Olsen DA, Andersen RF, Lindebjerg J, Brandslund I and Jakobsen A: Quantitative analysis of vascular endothelial growth factor receptors 1 and 2 in colorectal cancer. Mol Med Reports. 2:787–792. 2009. View Article : Google Scholar : PubMed/NCBI

19 

Hansen TF, Sorensen FB, Spindler KL, Olsen DA, Andersen RF, Lindebjerg J, Brandslund I and Jakobsen A: Microvessel density and the association with single nucleotide polymorphisms of the vascular endothelial growth factor receptor 2 in patients with colorectal cancer. Virchows Arch. 456:251–260. 2010. View Article : Google Scholar

20 

Andersen CL, Jensen JL and Orntoft TF: Normalization of real-time quantitative reverse transcription-PCR data: a model-based variance estimation approach to identify genes suited for normalization, applied to bladder and colon cancer data sets. Cancer Res. 64:5245–5250. 2004. View Article : Google Scholar

21 

Jorgensen S, Baker A, Moller S and Nielsen BS: Robust one-day in situ hybridization protocol for detection of microRNAs in paraffin samples using LNA probes. Methods. 52:375–381. 2010.

22 

Kuhnert F, Mancuso MR, Hampton J, Stankunas K, Asano T, Chen CZ and Kuo CJ: Attribution of vascular phenotypes of the murine Egfl7 locus to the microRNA miR-126. Development. 135:3989–3993. 2008. View Article : Google Scholar : PubMed/NCBI

23 

Ionov Y, Peinado MA, Malkhosyan S, Shibata D and Perucho M: Ubiquitous somatic mutations in simple repeated sequences reveal a new mechanism for colonic carcinogenesis. Nature. 363:558–561. 1993. View Article : Google Scholar : PubMed/NCBI

24 

Des GG, Uzzan B, Nicolas P, Cucherat M, Morere JF, Benamouzig R, Breau JL and Perret GY: Microvessel density and VEGF expression are prognostic factors in colorectal cancer. Meta-analysis of the literature. Br J Cancer. 94:1823–1832. 2006. View Article : Google Scholar : PubMed/NCBI

25 

Kuehbacher A, Urbich C and Dimmeler S: Targeting microRNA expression to regulate angiogenesis. Trends Pharmacol Sci. 29:12–15. 2008. View Article : Google Scholar

Related Articles

  • Abstract
  • View
  • Download
  • Twitter
Copy and paste a formatted citation
Spandidos Publications style
Hansen TF, Andersen CL, Nielsen BS, Spindler KG, Sørensen FB, Lindebjerg J, Brandslund I and Jakobsen A: Elevated microRNA-126 is associated with high vascular endothelial growth factor receptor 2 expression levels and high microvessel density in colorectal cancer. Oncol Lett 2: 1101-1106, 2011.
APA
Hansen, T.F., Andersen, C.L., Nielsen, B.S., Spindler, K.G., Sørensen, F.B., Lindebjerg, J. ... Jakobsen, A. (2011). Elevated microRNA-126 is associated with high vascular endothelial growth factor receptor 2 expression levels and high microvessel density in colorectal cancer. Oncology Letters, 2, 1101-1106. https://doi.org/10.3892/ol.2011.372
MLA
Hansen, T. F., Andersen, C. L., Nielsen, B. S., Spindler, K. G., Sørensen, F. B., Lindebjerg, J., Brandslund, I., Jakobsen, A."Elevated microRNA-126 is associated with high vascular endothelial growth factor receptor 2 expression levels and high microvessel density in colorectal cancer". Oncology Letters 2.6 (2011): 1101-1106.
Chicago
Hansen, T. F., Andersen, C. L., Nielsen, B. S., Spindler, K. G., Sørensen, F. B., Lindebjerg, J., Brandslund, I., Jakobsen, A."Elevated microRNA-126 is associated with high vascular endothelial growth factor receptor 2 expression levels and high microvessel density in colorectal cancer". Oncology Letters 2, no. 6 (2011): 1101-1106. https://doi.org/10.3892/ol.2011.372
Copy and paste a formatted citation
x
Spandidos Publications style
Hansen TF, Andersen CL, Nielsen BS, Spindler KG, Sørensen FB, Lindebjerg J, Brandslund I and Jakobsen A: Elevated microRNA-126 is associated with high vascular endothelial growth factor receptor 2 expression levels and high microvessel density in colorectal cancer. Oncol Lett 2: 1101-1106, 2011.
APA
Hansen, T.F., Andersen, C.L., Nielsen, B.S., Spindler, K.G., Sørensen, F.B., Lindebjerg, J. ... Jakobsen, A. (2011). Elevated microRNA-126 is associated with high vascular endothelial growth factor receptor 2 expression levels and high microvessel density in colorectal cancer. Oncology Letters, 2, 1101-1106. https://doi.org/10.3892/ol.2011.372
MLA
Hansen, T. F., Andersen, C. L., Nielsen, B. S., Spindler, K. G., Sørensen, F. B., Lindebjerg, J., Brandslund, I., Jakobsen, A."Elevated microRNA-126 is associated with high vascular endothelial growth factor receptor 2 expression levels and high microvessel density in colorectal cancer". Oncology Letters 2.6 (2011): 1101-1106.
Chicago
Hansen, T. F., Andersen, C. L., Nielsen, B. S., Spindler, K. G., Sørensen, F. B., Lindebjerg, J., Brandslund, I., Jakobsen, A."Elevated microRNA-126 is associated with high vascular endothelial growth factor receptor 2 expression levels and high microvessel density in colorectal cancer". Oncology Letters 2, no. 6 (2011): 1101-1106. https://doi.org/10.3892/ol.2011.372
Follow us
  • Twitter
  • LinkedIn
  • Facebook
About
  • Spandidos Publications
  • Careers
  • Cookie Policy
  • Privacy Policy
How can we help?
  • Help
  • Live Chat
  • Contact
  • Email to our Support Team