Spandidos Publications Logo
  • About
    • About Spandidos
    • Aims and Scopes
    • Abstracting and Indexing
    • Editorial Policies
    • Reprints and Permissions
    • Job Opportunities
    • Terms and Conditions
    • Contact
  • Journals
    • All Journals
    • Oncology Letters
      • Oncology Letters
      • Information for Authors
      • Editorial Policies
      • Editorial Board
      • Aims and Scope
      • Abstracting and Indexing
      • Bibliographic Information
      • Archive
    • International Journal of Oncology
      • International Journal of Oncology
      • Information for Authors
      • Editorial Policies
      • Editorial Board
      • Aims and Scope
      • Abstracting and Indexing
      • Bibliographic Information
      • Archive
    • Molecular and Clinical Oncology
      • Molecular and Clinical Oncology
      • Information for Authors
      • Editorial Policies
      • Editorial Board
      • Aims and Scope
      • Abstracting and Indexing
      • Bibliographic Information
      • Archive
    • Experimental and Therapeutic Medicine
      • Experimental and Therapeutic Medicine
      • Information for Authors
      • Editorial Policies
      • Editorial Board
      • Aims and Scope
      • Abstracting and Indexing
      • Bibliographic Information
      • Archive
    • International Journal of Molecular Medicine
      • International Journal of Molecular Medicine
      • Information for Authors
      • Editorial Policies
      • Editorial Board
      • Aims and Scope
      • Abstracting and Indexing
      • Bibliographic Information
      • Archive
    • Biomedical Reports
      • Biomedical Reports
      • Information for Authors
      • Editorial Policies
      • Editorial Board
      • Aims and Scope
      • Abstracting and Indexing
      • Bibliographic Information
      • Archive
    • Oncology Reports
      • Oncology Reports
      • Information for Authors
      • Editorial Policies
      • Editorial Board
      • Aims and Scope
      • Abstracting and Indexing
      • Bibliographic Information
      • Archive
    • Molecular Medicine Reports
      • Molecular Medicine Reports
      • Information for Authors
      • Editorial Policies
      • Editorial Board
      • Aims and Scope
      • Abstracting and Indexing
      • Bibliographic Information
      • Archive
    • World Academy of Sciences Journal
      • World Academy of Sciences Journal
      • Information for Authors
      • Editorial Policies
      • Editorial Board
      • Aims and Scope
      • Abstracting and Indexing
      • Bibliographic Information
      • Archive
    • International Journal of Functional Nutrition
      • International Journal of Functional Nutrition
      • Information for Authors
      • Editorial Policies
      • Editorial Board
      • Aims and Scope
      • Abstracting and Indexing
      • Bibliographic Information
      • Archive
    • International Journal of Epigenetics
      • International Journal of Epigenetics
      • Information for Authors
      • Editorial Policies
      • Editorial Board
      • Aims and Scope
      • Abstracting and Indexing
      • Bibliographic Information
      • Archive
    • Medicine International
      • Medicine International
      • Information for Authors
      • Editorial Policies
      • Editorial Board
      • Aims and Scope
      • Abstracting and Indexing
      • Bibliographic Information
      • Archive
  • Articles
  • Information
    • Information for Authors
    • Information for Reviewers
    • Information for Librarians
    • Information for Advertisers
    • Conferences
  • Language Editing
Spandidos Publications Logo
  • About
    • About Spandidos
    • Aims and Scopes
    • Abstracting and Indexing
    • Editorial Policies
    • Reprints and Permissions
    • Job Opportunities
    • Terms and Conditions
    • Contact
  • Journals
    • All Journals
    • Biomedical Reports
      • Information for Authors
      • Editorial Policies
      • Editorial Board
      • Aims and Scope
      • Abstracting and Indexing
      • Bibliographic Information
      • Archive
    • Experimental and Therapeutic Medicine
      • Information for Authors
      • Editorial Policies
      • Editorial Board
      • Aims and Scope
      • Abstracting and Indexing
      • Bibliographic Information
      • Archive
    • International Journal of Epigenetics
      • Information for Authors
      • Editorial Policies
      • Editorial Board
      • Aims and Scope
      • Abstracting and Indexing
      • Bibliographic Information
      • Archive
    • International Journal of Functional Nutrition
      • Information for Authors
      • Editorial Policies
      • Editorial Board
      • Aims and Scope
      • Abstracting and Indexing
      • Bibliographic Information
      • Archive
    • International Journal of Molecular Medicine
      • Information for Authors
      • Editorial Policies
      • Editorial Board
      • Aims and Scope
      • Abstracting and Indexing
      • Bibliographic Information
      • Archive
    • International Journal of Oncology
      • Information for Authors
      • Editorial Policies
      • Editorial Board
      • Aims and Scope
      • Abstracting and Indexing
      • Bibliographic Information
      • Archive
    • Medicine International
      • Information for Authors
      • Editorial Policies
      • Editorial Board
      • Aims and Scope
      • Abstracting and Indexing
      • Bibliographic Information
      • Archive
    • Molecular and Clinical Oncology
      • Information for Authors
      • Editorial Policies
      • Editorial Board
      • Aims and Scope
      • Abstracting and Indexing
      • Bibliographic Information
      • Archive
    • Molecular Medicine Reports
      • Information for Authors
      • Editorial Policies
      • Editorial Board
      • Aims and Scope
      • Abstracting and Indexing
      • Bibliographic Information
      • Archive
    • Oncology Letters
      • Information for Authors
      • Editorial Policies
      • Editorial Board
      • Aims and Scope
      • Abstracting and Indexing
      • Bibliographic Information
      • Archive
    • Oncology Reports
      • Information for Authors
      • Editorial Policies
      • Editorial Board
      • Aims and Scope
      • Abstracting and Indexing
      • Bibliographic Information
      • Archive
    • World Academy of Sciences Journal
      • Information for Authors
      • Editorial Policies
      • Editorial Board
      • Aims and Scope
      • Abstracting and Indexing
      • Bibliographic Information
      • Archive
  • Articles
  • Information
    • For Authors
    • For Reviewers
    • For Librarians
    • For Advertisers
    • Conferences
  • Language Editing
Login Register Submit
  • This site uses cookies
  • You can change your cookie settings at any time by following the instructions in our Cookie Policy. To find out more, you may read our Privacy Policy.

    I agree
Search articles by DOI, keyword, author or affiliation
Search
Advanced Search
presentation
Oncology Letters
Join Editorial Board Propose a Special Issue
Print ISSN: 1792-1074 Online ISSN: 1792-1082
Journal Cover
October 2012 Volume 4 Issue 4

Full Size Image

Sign up for eToc alerts
Recommend to Library

Journals

International Journal of Molecular Medicine

International Journal of Molecular Medicine

International Journal of Molecular Medicine is an international journal devoted to molecular mechanisms of human disease.

International Journal of Oncology

International Journal of Oncology

International Journal of Oncology is an international journal devoted to oncology research and cancer treatment.

Molecular Medicine Reports

Molecular Medicine Reports

Covers molecular medicine topics such as pharmacology, pathology, genetics, neuroscience, infectious diseases, molecular cardiology, and molecular surgery.

Oncology Reports

Oncology Reports

Oncology Reports is an international journal devoted to fundamental and applied research in Oncology.

Experimental and Therapeutic Medicine

Experimental and Therapeutic Medicine

Experimental and Therapeutic Medicine is an international journal devoted to laboratory and clinical medicine.

Oncology Letters

Oncology Letters

Oncology Letters is an international journal devoted to Experimental and Clinical Oncology.

Biomedical Reports

Biomedical Reports

Explores a wide range of biological and medical fields, including pharmacology, genetics, microbiology, neuroscience, and molecular cardiology.

Molecular and Clinical Oncology

Molecular and Clinical Oncology

International journal addressing all aspects of oncology research, from tumorigenesis and oncogenes to chemotherapy and metastasis.

World Academy of Sciences Journal

World Academy of Sciences Journal

Multidisciplinary open-access journal spanning biochemistry, genetics, neuroscience, environmental health, and synthetic biology.

International Journal of Functional Nutrition

International Journal of Functional Nutrition

Open-access journal combining biochemistry, pharmacology, immunology, and genetics to advance health through functional nutrition.

International Journal of Epigenetics

International Journal of Epigenetics

Publishes open-access research on using epigenetics to advance understanding and treatment of human disease.

Medicine International

Medicine International

An International Open Access Journal Devoted to General Medicine.

Journal Cover
October 2012 Volume 4 Issue 4

Full Size Image

Sign up for eToc alerts
Recommend to Library

  • Article
  • Citations
    • Cite This Article
    • Download Citation
    • Create Citation Alert
    • Remove Citation Alert
    • Cited By
  • Similar Articles
    • Related Articles (in Spandidos Publications)
    • Similar Articles (Google Scholar)
    • Similar Articles (PubMed)
  • Download PDF
  • Download XML
  • View XML
Article

Increased plasma microRNA and CD133/CK18‑positive cancer cells in the pleural fluid of a pancreatic cancer patient with liver and pleural metastases and correlation with chemoresistance

  • Authors:
    • Chuanli Ren
    • Hui Chen
    • Chongxu Han
    • Daxin Wang
    • Deyuan Fu
  • View Affiliations / Copyright

    Affiliations: Medical Laboratory, Northern Jiangsu People's Hospital and Clinical Medical College of Yangzhou University, Yangzhou 225001, P.R China, Geriatric Medicine Department, Northern Jiangsu People's Hospital and Clinical Medical College of Yangzhou University, Yangzhou 225001, P.R China, Research Centre of Biomedical Engineering, Northern Jiangsu People's Hospital and Clinical Medical College of Yangzhou University, Yangzhou 225001, P.R China, General Surgery Department, Northern Jiangsu People's Hospital and Clinical Medical College of Yangzhou University, Yangzhou 225001, P.R China
  • Pages: 691-694
    |
    Published online on: July 13, 2012
       https://doi.org/10.3892/ol.2012.798
  • Expand metrics +
Metrics: Total Views: 0 (Spandidos Publications: | PMC Statistics: )
Metrics: Total PDF Downloads: 0 (Spandidos Publications: | PMC Statistics: )
Cited By (CrossRef): 0 citations Loading Articles...

This article is mentioned in:



Abstract

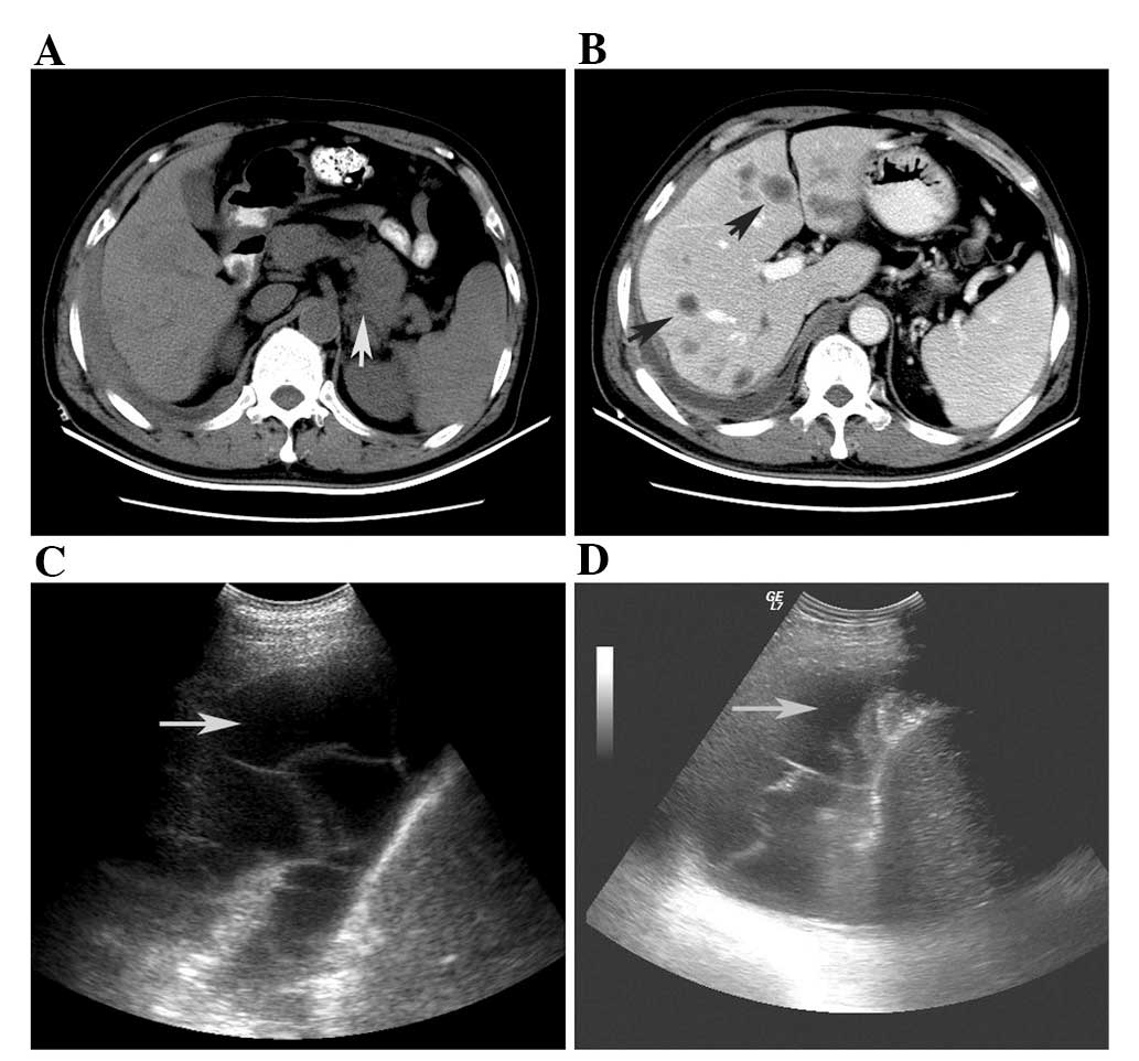
We report a case of notably increased plasma levels of microRNA (miR)‑21, miR‑25, miR‑103 and miR‑151 in a pancreatic cancer patient with liver and pleural metastases. CD45‑coated immunomagnetic beads detected an enrichment of malignant cancer cells in the pleural fluid, and CD133+CK18+ cancer cells were identified. Using computer tomography (CT) combined with cancer cells stained in the pleural fluid, a previously healthy 60‑year‑old male was diagnosed with pancreatic cancer with multiple liver tumor metastases. Cancer antigen 19‑9 (CA19‑9), alkaline phosphatase (ALP) and γ‑glutamate‑transpeptidase (γ‑GT) were notably increased in the serum, and carcinoembryonic antigen (CEA) was increased in the pleural fluid. The patient succumbed to the disease three months following standard chemotherapy. The increased levels of plasma miR‑21, miR‑25, miR‑103 and miR‑151, as well as the identification of CD133+CK18+ cells in the pleural fluid of a pancreatic cancer patient with liver metastases, may regulate the molecular mechanisms involved in chemoresistance. The patient was insensitive to chemotherapy and succumbed 3 months later. Full elucidation of the molecular and pathological features of pancreatic cancer may be a novel strategy for diagnosis and tailored therapy.
View Figures

Figure 1

Figure 2

View References

1. 

PC HermannSL HuberT HerrlerDistinct populations of cancer stem cells determine tumor growth and metastatic activity in human pancreatic cancerCell Stem Cell1313323200710.1016/j.stem.2007.06.00218371365

2. 

Z WangY LiA AhmadPancreatic cancer: understanding and overcoming chemoresistanceNat Rev Gastroenterol Hepatol82733201110.1038/nrgastro.2010.18821102532

3. 

JB StokesSJ AdairJK Slack-DavisInhibition of focal adhesion kinase by PF-562,271 inhibits the growth and metastasis of pancreatic cancer concomitant with altering the tumor micro-environmentMol Cancer Ther1021352145201110.1158/1535-7163.MCT-11-026121903606

4. 

C RenC HanJ ZhangDetection of apoptotic circulating tumor cells in advanced pancreatic cancer following 5-fluorouracil chemotherapyCancer Biol Ther12700706201110.4161/cbt.12.8.1596021811100

5. 

J LiuJ GaoY DuCombination of plasma microRNAs with serum CA19-9 for early detection of pancreatic cancerInt J Cancer131683691201110.1002/ijc.2642221913185

6. 

JY ParkJ HelmD CoppolaD KimM MalafaSJ KimMicroRNAs in pancreatic ductal adenocarcinomaWorld J Gastroenterol17817827201110.3748/wjg.v17.i7.81721412491

7. 

C RoldoE MissiagliaJP HaganMicroRNA expression abnormalities in pancreatic endocrine and acinar tumors are associated with distinctive pathologic features and clinical behaviorJ Clin Oncol2446774684200610.1200/JCO.2005.05.519416966691

8. 

C RenP HeJ ZhangZ ZhengY QianX ZhaoMalignant characteristics of circulating tumor cells and corresponding primary tumor in a patient with esophageal squamous cell carcinoma before and after surgeryCancer Biol Ther11633638201110.4161/cbt.11.7.1495021307656

9. 

AD RhimET MirekNM AielloEMT and dissemination precede pancreatic tumor formationCell148349361201210.1016/j.cell.2011.11.02522265420

10. 

V AscoliS TaccognaCC ScalzoF NardiUtility of cytokeratin 20 in identifying the origin of metastatic carcinomas in effusionsDiagn Cytopathol12303308199510.1002/dc.28401204047656755

11. 

J YaoY AnJS WieCyclopamine reverts acquired chemoresistance and down-regulates cancer stem cell markers in pancreatic cancer cell linesSwiss Med Wkly141w13208201121630164

12. 

E GiovannettiN FunelGJ PetersMicroRNA-21 in pancreatic cancer: correlation with clinical outcome and pharmacologic aspects underlying its role in the modulation of gemcitabine activityCancer Res7045284538201010.1158/0008-5472.CAN-09-446720460539

13. 

S AliA AhmadS BanerjeeGemcitabine sensitivity can be induced in pancreatic cancer cells through modulation of miR-200 and miR-21 expression by curcumin or its analogue CDFCancer Res7036063617201010.1158/0008-5472.CAN-09-459820388782

14. 

T MoriyamaK OhuchidaK MizumotoMicroRNA-21 modulates biological functions of pancreatic cancer cells including their proliferation, invasion, and chemoresistanceMol Cancer Ther810671074200910.1158/1535-7163.MCT-08-0592

Related Articles

  • Abstract
  • View
  • Download
  • Twitter
Copy and paste a formatted citation
Spandidos Publications style
Ren C, Chen H, Han C, Wang D and Fu D: Increased plasma microRNA and CD133/CK18‑positive cancer cells in the pleural fluid of a pancreatic cancer patient with liver and pleural metastases and correlation with chemoresistance. Oncol Lett 4: 691-694, 2012.
APA
Ren, C., Chen, H., Han, C., Wang, D., & Fu, D. (2012). Increased plasma microRNA and CD133/CK18‑positive cancer cells in the pleural fluid of a pancreatic cancer patient with liver and pleural metastases and correlation with chemoresistance. Oncology Letters, 4, 691-694. https://doi.org/10.3892/ol.2012.798
MLA
Ren, C., Chen, H., Han, C., Wang, D., Fu, D."Increased plasma microRNA and CD133/CK18‑positive cancer cells in the pleural fluid of a pancreatic cancer patient with liver and pleural metastases and correlation with chemoresistance". Oncology Letters 4.4 (2012): 691-694.
Chicago
Ren, C., Chen, H., Han, C., Wang, D., Fu, D."Increased plasma microRNA and CD133/CK18‑positive cancer cells in the pleural fluid of a pancreatic cancer patient with liver and pleural metastases and correlation with chemoresistance". Oncology Letters 4, no. 4 (2012): 691-694. https://doi.org/10.3892/ol.2012.798
Copy and paste a formatted citation
x
Spandidos Publications style
Ren C, Chen H, Han C, Wang D and Fu D: Increased plasma microRNA and CD133/CK18‑positive cancer cells in the pleural fluid of a pancreatic cancer patient with liver and pleural metastases and correlation with chemoresistance. Oncol Lett 4: 691-694, 2012.
APA
Ren, C., Chen, H., Han, C., Wang, D., & Fu, D. (2012). Increased plasma microRNA and CD133/CK18‑positive cancer cells in the pleural fluid of a pancreatic cancer patient with liver and pleural metastases and correlation with chemoresistance. Oncology Letters, 4, 691-694. https://doi.org/10.3892/ol.2012.798
MLA
Ren, C., Chen, H., Han, C., Wang, D., Fu, D."Increased plasma microRNA and CD133/CK18‑positive cancer cells in the pleural fluid of a pancreatic cancer patient with liver and pleural metastases and correlation with chemoresistance". Oncology Letters 4.4 (2012): 691-694.
Chicago
Ren, C., Chen, H., Han, C., Wang, D., Fu, D."Increased plasma microRNA and CD133/CK18‑positive cancer cells in the pleural fluid of a pancreatic cancer patient with liver and pleural metastases and correlation with chemoresistance". Oncology Letters 4, no. 4 (2012): 691-694. https://doi.org/10.3892/ol.2012.798
Follow us
  • Twitter
  • LinkedIn
  • Facebook
About
  • Spandidos Publications
  • Careers
  • Cookie Policy
  • Privacy Policy
How can we help?
  • Help
  • Live Chat
  • Contact
  • Email to our Support Team