Spandidos Publications Logo
  • About
    • About Spandidos
    • Aims and Scopes
    • Abstracting and Indexing
    • Editorial Policies
    • Reprints and Permissions
    • Job Opportunities
    • Terms and Conditions
    • Contact
  • Journals
    • All Journals
    • Oncology Letters
      • Oncology Letters
      • Information for Authors
      • Editorial Policies
      • Editorial Board
      • Aims and Scope
      • Abstracting and Indexing
      • Bibliographic Information
      • Archive
    • International Journal of Oncology
      • International Journal of Oncology
      • Information for Authors
      • Editorial Policies
      • Editorial Board
      • Aims and Scope
      • Abstracting and Indexing
      • Bibliographic Information
      • Archive
    • Molecular and Clinical Oncology
      • Molecular and Clinical Oncology
      • Information for Authors
      • Editorial Policies
      • Editorial Board
      • Aims and Scope
      • Abstracting and Indexing
      • Bibliographic Information
      • Archive
    • Experimental and Therapeutic Medicine
      • Experimental and Therapeutic Medicine
      • Information for Authors
      • Editorial Policies
      • Editorial Board
      • Aims and Scope
      • Abstracting and Indexing
      • Bibliographic Information
      • Archive
    • International Journal of Molecular Medicine
      • International Journal of Molecular Medicine
      • Information for Authors
      • Editorial Policies
      • Editorial Board
      • Aims and Scope
      • Abstracting and Indexing
      • Bibliographic Information
      • Archive
    • Biomedical Reports
      • Biomedical Reports
      • Information for Authors
      • Editorial Policies
      • Editorial Board
      • Aims and Scope
      • Abstracting and Indexing
      • Bibliographic Information
      • Archive
    • Oncology Reports
      • Oncology Reports
      • Information for Authors
      • Editorial Policies
      • Editorial Board
      • Aims and Scope
      • Abstracting and Indexing
      • Bibliographic Information
      • Archive
    • Molecular Medicine Reports
      • Molecular Medicine Reports
      • Information for Authors
      • Editorial Policies
      • Editorial Board
      • Aims and Scope
      • Abstracting and Indexing
      • Bibliographic Information
      • Archive
    • World Academy of Sciences Journal
      • World Academy of Sciences Journal
      • Information for Authors
      • Editorial Policies
      • Editorial Board
      • Aims and Scope
      • Abstracting and Indexing
      • Bibliographic Information
      • Archive
    • International Journal of Functional Nutrition
      • International Journal of Functional Nutrition
      • Information for Authors
      • Editorial Policies
      • Editorial Board
      • Aims and Scope
      • Abstracting and Indexing
      • Bibliographic Information
      • Archive
    • International Journal of Epigenetics
      • International Journal of Epigenetics
      • Information for Authors
      • Editorial Policies
      • Editorial Board
      • Aims and Scope
      • Abstracting and Indexing
      • Bibliographic Information
      • Archive
    • Medicine International
      • Medicine International
      • Information for Authors
      • Editorial Policies
      • Editorial Board
      • Aims and Scope
      • Abstracting and Indexing
      • Bibliographic Information
      • Archive
  • Articles
  • Information
    • Information for Authors
    • Information for Reviewers
    • Information for Librarians
    • Information for Advertisers
    • Conferences
  • Language Editing
Spandidos Publications Logo
  • About
    • About Spandidos
    • Aims and Scopes
    • Abstracting and Indexing
    • Editorial Policies
    • Reprints and Permissions
    • Job Opportunities
    • Terms and Conditions
    • Contact
  • Journals
    • All Journals
    • Biomedical Reports
      • Information for Authors
      • Editorial Policies
      • Editorial Board
      • Aims and Scope
      • Abstracting and Indexing
      • Bibliographic Information
      • Archive
    • Experimental and Therapeutic Medicine
      • Information for Authors
      • Editorial Policies
      • Editorial Board
      • Aims and Scope
      • Abstracting and Indexing
      • Bibliographic Information
      • Archive
    • International Journal of Epigenetics
      • Information for Authors
      • Editorial Policies
      • Editorial Board
      • Aims and Scope
      • Abstracting and Indexing
      • Bibliographic Information
      • Archive
    • International Journal of Functional Nutrition
      • Information for Authors
      • Editorial Policies
      • Editorial Board
      • Aims and Scope
      • Abstracting and Indexing
      • Bibliographic Information
      • Archive
    • International Journal of Molecular Medicine
      • Information for Authors
      • Editorial Policies
      • Editorial Board
      • Aims and Scope
      • Abstracting and Indexing
      • Bibliographic Information
      • Archive
    • International Journal of Oncology
      • Information for Authors
      • Editorial Policies
      • Editorial Board
      • Aims and Scope
      • Abstracting and Indexing
      • Bibliographic Information
      • Archive
    • Medicine International
      • Information for Authors
      • Editorial Policies
      • Editorial Board
      • Aims and Scope
      • Abstracting and Indexing
      • Bibliographic Information
      • Archive
    • Molecular and Clinical Oncology
      • Information for Authors
      • Editorial Policies
      • Editorial Board
      • Aims and Scope
      • Abstracting and Indexing
      • Bibliographic Information
      • Archive
    • Molecular Medicine Reports
      • Information for Authors
      • Editorial Policies
      • Editorial Board
      • Aims and Scope
      • Abstracting and Indexing
      • Bibliographic Information
      • Archive
    • Oncology Letters
      • Information for Authors
      • Editorial Policies
      • Editorial Board
      • Aims and Scope
      • Abstracting and Indexing
      • Bibliographic Information
      • Archive
    • Oncology Reports
      • Information for Authors
      • Editorial Policies
      • Editorial Board
      • Aims and Scope
      • Abstracting and Indexing
      • Bibliographic Information
      • Archive
    • World Academy of Sciences Journal
      • Information for Authors
      • Editorial Policies
      • Editorial Board
      • Aims and Scope
      • Abstracting and Indexing
      • Bibliographic Information
      • Archive
  • Articles
  • Information
    • For Authors
    • For Reviewers
    • For Librarians
    • For Advertisers
    • Conferences
  • Language Editing
Login Register Submit
  • This site uses cookies
  • You can change your cookie settings at any time by following the instructions in our Cookie Policy. To find out more, you may read our Privacy Policy.

    I agree
Search articles by DOI, keyword, author or affiliation
Search
Advanced Search
presentation
Oncology Letters
Join Editorial Board Propose a Special Issue
Print ISSN: 1792-1074 Online ISSN: 1792-1082
Journal Cover
October 2012 Volume 4 Issue 4

Full Size Image

Sign up for eToc alerts
Recommend to Library

Journals

International Journal of Molecular Medicine

International Journal of Molecular Medicine

International Journal of Molecular Medicine is an international journal devoted to molecular mechanisms of human disease.

International Journal of Oncology

International Journal of Oncology

International Journal of Oncology is an international journal devoted to oncology research and cancer treatment.

Molecular Medicine Reports

Molecular Medicine Reports

Covers molecular medicine topics such as pharmacology, pathology, genetics, neuroscience, infectious diseases, molecular cardiology, and molecular surgery.

Oncology Reports

Oncology Reports

Oncology Reports is an international journal devoted to fundamental and applied research in Oncology.

Experimental and Therapeutic Medicine

Experimental and Therapeutic Medicine

Experimental and Therapeutic Medicine is an international journal devoted to laboratory and clinical medicine.

Oncology Letters

Oncology Letters

Oncology Letters is an international journal devoted to Experimental and Clinical Oncology.

Biomedical Reports

Biomedical Reports

Explores a wide range of biological and medical fields, including pharmacology, genetics, microbiology, neuroscience, and molecular cardiology.

Molecular and Clinical Oncology

Molecular and Clinical Oncology

International journal addressing all aspects of oncology research, from tumorigenesis and oncogenes to chemotherapy and metastasis.

World Academy of Sciences Journal

World Academy of Sciences Journal

Multidisciplinary open-access journal spanning biochemistry, genetics, neuroscience, environmental health, and synthetic biology.

International Journal of Functional Nutrition

International Journal of Functional Nutrition

Open-access journal combining biochemistry, pharmacology, immunology, and genetics to advance health through functional nutrition.

International Journal of Epigenetics

International Journal of Epigenetics

Publishes open-access research on using epigenetics to advance understanding and treatment of human disease.

Medicine International

Medicine International

An International Open Access Journal Devoted to General Medicine.

Journal Cover
October 2012 Volume 4 Issue 4

Full Size Image

Sign up for eToc alerts
Recommend to Library

  • Article
  • Citations
    • Cite This Article
    • Download Citation
    • Create Citation Alert
    • Remove Citation Alert
    • Cited By
  • Similar Articles
    • Related Articles (in Spandidos Publications)
    • Similar Articles (Google Scholar)
    • Similar Articles (PubMed)
  • Download PDF
  • Download XML
  • View XML
Article

Cyclin A overexpression is associated with chemosensitivity to paclitaxel‑based chemotherapy in patients with esophageal squamous cell carcinoma

  • Authors:
    • Jun‑Xing Huang
    • Shuang‑Le Shen
    • Mei Lin
    • Wei Xiao
    • Wei‑Chang Chen
    • Mao‑Song Lin
    • Hong Yu
    • Ping Chen
    • Rong‑Yu Qian
  • View Affiliations / Copyright

    Affiliations: Department of Oncology, The People's Hospital of Taizhou, Taizhou Medical School, Nantong and Yangzhou University, Taizhou, Jiangsu 225300, P.R. China, Department of Pathology, The People's Hospital of Taizhou, Taizhou Medical School, Nantong and Yangzhou University, Taizhou, Jiangsu 225300, P.R. China, Department of Gastroenterology, The First Affiliated Hospital of Soochow University, Suzhou, Jiangsu 215006, P.R. China
  • Pages: 607-611
    |
    Published online on: July 20, 2012
       https://doi.org/10.3892/ol.2012.814
  • Expand metrics +
Metrics: Total Views: 0 (Spandidos Publications: | PMC Statistics: )
Metrics: Total PDF Downloads: 0 (Spandidos Publications: | PMC Statistics: )
Cited By (CrossRef): 0 citations Loading Articles...

This article is mentioned in:


Abstract

The aim of this study was to investigate the correlation between cyclin A expression and efficacy of paclitaxel‑based chemotherapy in patients with esophageal squamous cell carcinoma (ESCC). The expression of cyclin A was examined in 48 newly diagnosed ESCC patients prior to treatment using the MaxVision immunohistochemistry method. The patients received four cycles of paclitaxel‑based chemotherapy, the short‑term treatment efficacy was evaluated and a 3‑year follow‑up was conducted. The response rate was greater in patients with positive cyclin A expression compared with those with negative expression (54.8 vs. 23.5%; χ2=4.373; P<0.05). Univariate and multivariate Cox analysis revealed that clinicopathological stage, degree of differentiation and expression of cyclin A were independent prognosis factors in patients with ESCC following paclitaxel‑based chemotherapy. ESCC patients with positive cyclin A expression demonstrated an increased sensitivity to paclitaxel‑based chemotherapy, suggesting that cyclin A may be used as a marker to predict the treatment efficacy of paclitaxel in patients with ESCC.

Introduction

Esophageal squamous cell carcinoma (ESCC) remains the most common type of esophageal cancer worldwide. Even in resectable esophageal cancer, the 5-year survival rate remains only 14–45% (1,2). Treatment failure of ESCC is due to the high incidence of local-regional failure and early systemic dissemination of the disease (3). Chemotherapy is one of the most important treatment methods for advanced esophageal carcinoma. Several prospective and retrospective studies in patients with locally advanced thoracic esophageal cancers or in elderly patients with early stage esophageal cancer, particularly epidermoid, who respond to chemoradiotherapy, have suggested that there is no benefit from the addition of surgery following chemoradiotherapy compared with the continuation of additional chemoradiotherapy. Following chemoradiotherapy, with salvage therapy if required, treatment outcomes among patients with resectable thoracic ESCC were comparable or superior to the treatment outcomes following surgery alone (4–7). Therefore, the role of chemotherapy is becoming increasingly important in the treatment of ESCC.

Patients with ESCC demonstrate different sensitivity for chemotherapy. Therefore, in order to improve the prognosis of esophageal carcinoma, there is an urgent requirement to predict the sensitivity of chemotherapy drugs and tailor individual treatment. Paclitaxel is one of the most effective drugs for esophageal carcinoma treatment as it targets cells in the G2/M phase transition. As a critical regulatory protein, cyclin A may promote G2/M phase transition and mitosis (8). Our previous studies have revealed that overexpression of cyclin A in ESCC is associated with cell proliferation and survival (9–11). As the clinical application of immunohistochemistry is relatively cost-effective (2), in this study, we explore the possibility of evaluating paclitaxel efficacy by examining the correlation between cyclin A expression and efficacy of paclitaxel-based chemotherapy in patients with ESCC.

Patients and methods

Patients and specimens

All specimens collected for this retrospective study were obtained from patients who had not received chemotherapy or radiotherapy prior to biopsy. A total of 48 ESCC patients were diagnosed by endoscopic biopsy pathology between 2006 and 2009 at The People’s Hospital of Taizhou (Taizhou, Jiangsu, China). Those deemed unsuitable for surgery based on their performance status, bulky local disease, Karnofsky score (≥70 points) or personal choice received chemotherapy. Of the 48 patients, 33 were male and 15 were female. The age of the patients ranged from 47 to 78 years and the median age was 58 years. A total of 16, 19 and 13 cases were upper, middle and lower thoracic ESCC, respectively. Staging was determined according to the American Joint Committee on Cancer tumor-node-metastasis (TNM) classification (12). A total of 7, 13 and 28 cases were stage I–II, III and IV, respectively; while 10 cases from normal esophageal mucosa were used as a control group. With regards to cancer cell differentiation, 10, 16 and 22 cases were well-, moderately and poorly differentiated, respectively.

Treatment methods

Paclitaxel (180 mg/m2) was infused on day 1 and cisplatin (20 mg/m2) was infused on days 1–3 of a 21-day cycle, yielding a total of 4 chemotherapy cycles. The patients were also administered conventional anti-allergy pretreatment prior to chemotherapy.

Short-term efficacy evaluation

All patients received an endoscopy examination, esophageal barium X-ray and a neck and chest computed tomography (CT) scan prior to treatment and 1 month following treatment. The evaluation of the response rate was based on WHO treatment efficacy evaluation criteria for solid tumors, which divides efficacy into the subgroups: CR, complete remission; PR, partial remission; SD, no change; PD, progressive disease; CR+PR, overall response rate (13).

Follow-up cases

During follow-up, all patients were contacted via telephone and the last date of follow-up was March 1 2010. A total of 3 cases were lost; thus, the follow-up rate was 93.8%. The follow-up time ranged from 6 to 50 months and the average time was 16 months. The survival time was calculated from the diagnostic date of esophageal carcinoma to the date of mortality or the last date of follow-up.

Antibody

The antibody used in this study was rabbit polyclonal antibody anti-human cyclin A (Thermo Fisher Scientific, Fremont, CA, USA). The final diluted concentration for anti-cyclin A in TBS containing 1% bovine serum albumin (BSA) was 1:100.

Immunohistochemical staining

Sliced sections (4 μm) of paraffin-embedded specimens were prepared on microscope slides pre-coated with saline. Once the paraffin was removed by xylene, the slides were washed in a graded series of ethanol and the sections were placed in Tris-buffered saline (TBS) for 10 min. Sections were then incubated with a blocking solution for 5 min to block endogenous peroxidase activity and placed in TBS. Sections were then placed in 0.01 mM Tris buffer (pH 6.0) and heated at 121°C for 20 min in an autoclave oven. Following this, the sections were incubated with TBS consisting of 1% BSA for 20 min to block non-specific binding of the immunoreagents. Once the cells were washed in TBS, the sections were incubated with 1:100 diluted primary antibodies at 4°C overnight. Following further washing in TBS, an immunoperoxidase staining was performed by a MaxVision antibody complex method using the MaxVision kit (Fujian Maixin Biological Technology, Fujian, China). Finally, the localization of cyclin A was visualized using diaminobenzidine tetrahydrochloride (DAB) and the sections were lightly counterstained in Harris’ hematoxylin solution for microscopic examination.

The immunostained specimens were analyzed by two independent pathologists. At least 10 visual fields were observed and nuclear staining was used to indicate a positive result. A total of 1,000 cells in the tumor and nontumor sections were evaluated at a medium magnification (x200) to determine the proportion of tumor cells and the staining intensity of the nuclei in entire sections. Immunohistochemical expression of cyclin A was determined according to the a+b criteria (14). Category a was defined as the percentage of carcinoma cells with cyclin A expression. The percentage of positively stained tumor cells was determined semi-quantitatively by assessing the whole tumor section, and each sample was assigned to one of the following categories: 0, 0% cyclin A expression; 1, 1–25%; 2, 26–50%; 3, >50%. Category b was defined by the intensity of cyclin A staining. The intensity of immunostaining was defined as 0 (negative), 1 (weak), 2 (moderate) and 3 (strong). The carcinomas were regarded to have a positive response to cyclin A when the total scores of a+b were >3.

Statistical analysis

The Chi-square test was used to examine the difference between the two groups, and the Cox proportional hazards model was used to analyze the association of overall survival in cyclin A positive and negative expression groups. Variables significantly associated with survival in univariate Cox models were included in a multivariate Cox model. The results were quantified by calculating the hazard ratios (HRs) with 95% confidence intervals (CIs). Survival curves were calculated using the Kaplan-Meier method and differences between the curves were determined using the log-rank test.

In all tests, P<0.05 was considered to indicate a statistically significant difference. Statistical calculations were conducted using the SPSS version 16.0 System (SPSS, Chicago, IL, USA).

Results

Expression pattern of cyclin A in normal human esophageal mucosa and ESCC

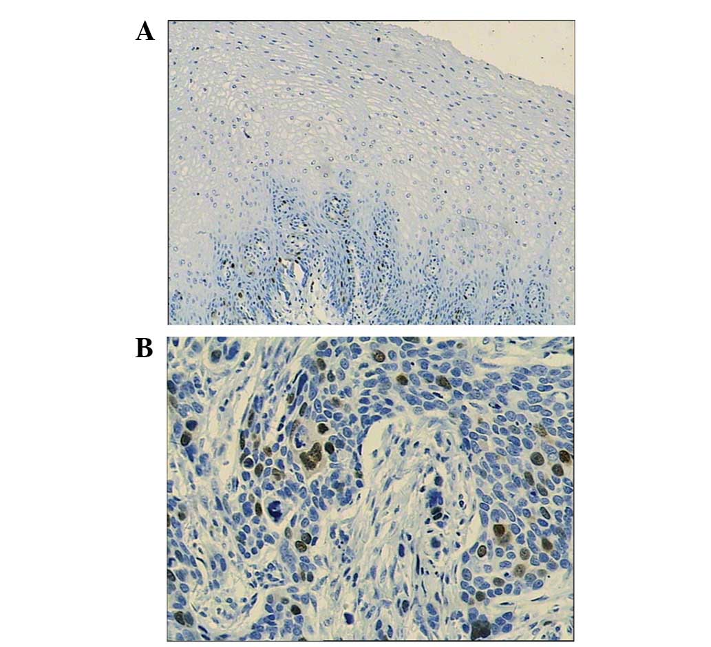
Cyclin A was expressed mainly in the nuclei of cancer cells and in the basal cells of normal esophageal mucosa (P<0.05; Fig. 1). The positive cyclin A expression rate was 64.6% (31/48) in 48 cases with ESCC, and 20% (2/10) in 10 cases with normal esophageal mucosa. Comparisons between cyclin A expression pattern in ESCC and normal tissues have been revealed in our previous studies (10,11).

Figure 1.

(A) Positive cyclin A expression in normal human esophageal mucosa (MaxVision; magnification, x100) only expressed in basal cells. (B) Positive cyclin A expression in ESCC (MaxVision; magnification, x200) expressed mainly in the nuclei of cancer cells. ESCC, esophageal squamous cell carcinoma.

Cyclin A staining and clinicopathological factors

The correlations between cyclin A expression and clinicopathological factors of ESCC are summarized in Table I. Statistically, the expression of cyclin A was not significantly associated with the age, gender, tumor size or clinical stage of the patients; however, the expression levels of cyclin A were significantly higher in poorly differentiated ESCC cases compared with well-differentiated ESCC cases (χ2=5.274; P<0.05). This results is consistent with our previous studies in post-surgery ESCC samples (10,11).

Table I.

Correlation between cyclin A expression and clinicopathological factors.

Table I.

Correlation between cyclin A expression and clinicopathological factors.

Clinicopathological factorsPositive (%)
n=31
Negative (%)
n=17
χ2P-value
Age (years)
  ≥6025 (71.4)10 (28.6)
  <606 (46.2)7 (53.8)2.6470.104
Gender
  Male21 (63.6)12 (36.4)
  Female10 (66.7)5 (33.3)0.0410.839
Tumor size (cm)
  <514 (56.0)11 (44.0)
  ≥517 (73.9)6 (26.1)1.6800.195
TNM stage
  I–III12 (60.0)8 (40.0)
  IV19 (67.9)9 (32.1)0.3150.575
Differentiation
  Well/moderate13 (50.0)13 (50.0)
  Poor18 (81.8)4 (18.2)5.2740.022
Cyclin A staining and short-term treatment efficacy

Of the 48 ESCC patients, the number of CR, PR, SD and PD cases were 6, 15, 24 and 3, respectively. The overall response rate (CR+PR) was 43.8% (21/48). According to the expression levels of cyclin A, the response rate was 54.8% (17/31) and 23.5% (4/17) in the positive and negative group, respectively (χ2=4.373; P=0.037; Table II).

Table II.

Correlation between cyclin A expression and short-term treating efficacy.

Table II.

Correlation between cyclin A expression and short-term treating efficacy.

EfficacyPositive
n=31 (%)
Negative
n=17 (%)
χ2P-value
CR5 (16.13)1 (5.88)1.0540.305
PR12 (38.71)3 (17.65)2.2670.132
SD13 (41.94)11 (64.71)0.0240.877
PD1 (3.22)2 (11.76)4.2960.039
CR+PRa17 (54.84)4 (23.53)4.3730.037

a Overall response rate. CR, complete remission; PR, partial remission; SD, no change; PD, progressive disease.

Cyclin A staining and prognosis

Univariate Cox analysis revealed that the clinicopathological stage, degree of cancer cell differentiation and expression of cyclin A were impact factors for prognosis in ESCC patients; while no significant correlation was observed between age, gender and tumor size (Table III). The median survival time for patients with positive cyclin A expression was 17 months. This was significantly shorter compared with that for the patients with negative cyclin A expression, which was 33 months (P=0.016). Kaplan-Meier survival curves demonstrated that the 1- and 3-year survival rates in patients with positive cyclin A expression were significantly lower compared with that of the patients with negative cyclin A expression (54.9 vs. 82.4%, P=0.037; 6.2 vs. 41.2%, P=0.016, respectively) (Fig. 2).

Figure 2.

Kaplan-Meier survival curve reveals that patients with positive cyclin A expression have a lower survival rate.

Table III.

Univariate analysis of prognostic impact factors of ESCC patients.

Table III.

Univariate analysis of prognostic impact factors of ESCC patients.

Impact factorNo.Median survival (months)χ2P-value
Age (years)
  ≥603518
  >6013200.0800.778
Gender
  Male3318
  Female15250.0760.783
Tumor size (cm)
  <52520
  ≥523180.1160.733
TNM stage
  I–III2028
  IV2810.53.9800.046
Differentiation
  Well/moderate2626
  Poor22125.8630.015
Cyclin A expression
  Positive3117
  Negative17335.7490.016

[i] ESCC, esophageal squamous cell carcinoma.

Multivariate Cox analysis revealed that the clinicopathological stage, degree of cancer cell differentiation and expression of cyclin A were of statistical significance in ESCC patients. We demonstrated that advanced clinicopathological stage (P=0.000; 95% CI, 0.018–0.309), poor cancer cell differentiation (P=0.008; 95% CI, 0.138–0.739) and positive expression of cyclin A (P=0.002, 95% CI, 0.119–0.611) were independent prognostic factors in patients with ESCC following paclitaxel-based chemoradiotherapy (Table IV).

Table IV.

Multivariate Cox analysis of clinicopathological and biological molecular characteristics in ESCC patients.

Table IV.

Multivariate Cox analysis of clinicopathological and biological molecular characteristics in ESCC patients.

BSEWaldP-valueExp (B)95% CI for Exp (B)
LowerUpper
TNM stage−2.6070.73212.6930.0000.0740.0180.309
Differentiation−1.4140.4277.1330.0080.3200.1380.739
Cyclin A expression−1.3120.4189.8450.0020.2690.1190.611

[i] ESCC, esophageal squamous cell carcinoma; CI, confidence interval.

Discussion

Since the overall survival rate of ESCC patients following surgery alone is poor, multimodality approaches have been developed. However, these are inadequate with regard to improving the treatment efficacy of esophageal cancer by basing treatment on surgical approaches alone. Instead, surgeons should be prepared for a new approach, which comprises biological tumor staging and targeted therapies combined with neoadjuvant chemoradiotherapy. Certain studies suggest that the tumor response to induction chemoradiotherapy aids the identification of patients with good prognosis, regardless of whether surgery is conducted or not (3,15). In these patients, surgery may no longer be recommended as routine treatment (15); therefore, ESCC patients may have a survival benefit if they are responsive to chemoradiotherapy. To predict the response prior to chemoradiotherapy is undoubtedly one of the critical factors to determine the best treatment. Although not all tumors respond to paclitaxel, it is used widely in the treatment of ESCC. A previous study has revealed that the response rate of paclitaxel as a single drug in ESCC patients was only 20–37%, and the overall response rate of paclitaxel in combination with cisplatin was 42.6% (16). The characteristics that distinguish drug-resistant tumors from drug-sensitive tumors are not well defined, and for that reason, predicting the response prior to chemotherapy is a research hotspot. Therefore, several studies have focused on predicting paclitaxel sensitivity in vitro using BRCA1, CDK1 and CDK2 (17,18).

Cyclins, which control key checkpoints of the cell cycle, play a fundamental role in regulating cell growth and survival. In humans, several types of cyclin, including three categories, A-, B- and C-type (C-, D- and E-types), have now been isolated. Cyclins A and B1–2 reach maximum levels in the S and G2 phases. Cyclin A may be activated during the transition from the G1 to the S phase of the cell cycle; therefore, it is suggested to be an important regulator of mitosis (19,20). In this study, we detected the expression of cyclin A in tissue samples from 48 patients with ESCC prior to treatment with paclitaxel/cisplatin. We revealed that the expression of cyclin A was significantly correlated with the degree of cell differentiation and the response to paclitaxel-based chemotherapy. The expression of cyclin A in the poorly differentiated ESCC samples was higher compared with that of the well-differentiated ESCC samples, indicating that cyclin A expression correlates with the degree of ESCC malignancy. This suggests that ESCC samples with positive cyclin A expression were poorly differentiated, and the cell proliferation cycle was more active. Of the 48 cases of ESCC, the response rate of 31 cases with positive cyclin A expression was 54.8%, while the response rate of 17 cases with negative cyclin A expression was 23.5%. This result indicates that ESCC patients with positive cyclin A expression were sensitive to paclitaxel-based chemotherapy and may have a higher response rate.

Paclitaxel binds to microtubules and stabilizes the polymerized structure. Consequently, paclitaxel inhibits microtubule depolymerization, suppressing tumor growth and holding proliferative cells in the G2/M phase (21). Nakayama et al reported that the analysis of cyclin-dependent kinase activity in the clinical setting may be a powerful approach for predicting paclitaxel sensitivity (18). Another study revealed that targeting cyclin B1 sensitized breast cancer cells to taxol, suggesting that specific cyclin B1 targeting is an attractive strategy to be used in combination with conventionally used agents in gynecological cancer therapy (22). Our study demonstrated that cyclin A expression was correlated with chemosensitivity to paclitaxel-based chemotherapy in patients with ESCC. This indicates that the cell cycle is located at the G2/M phase and that when the expression of cyclin A was positive in tumor cells, patients had a higher response to paclitaxel, which is consistent with the cell cycle theory.

Our data also revealed that ESCC patients with positive cyclin A expression had poor prognosis, while the patients with negative cyclin A expression had good prognosis. This result is consistent with previous studies on breast (23), ovarian (24) and laryngeal cancer (25).

Determining whether the tumor is sensitive to paclitaxel prior to treatment is one of the most efficient ways of improving response. Our study revealed that ESCC patients overexpressing cyclin A prior to treatment may be more sensitive to paclitaxel-based chemotherapy. It would be beneficial to extend this preliminary result into a larger sample size study in order to formalize it as a standard procedure for the clinical treatment of ESCC. Our study indicates the importance of applying ‘personalized cancer medicine’ in the clinical treatment of cancer, which is based on gene expression profile, to guide the antitumor drug selection.

Acknowledgements

This study was supported by the 333 Plan Foundation (Grant No. 2009-24) of Jiangsu Province, China, the Six Talents Peak Foundation (Grant No. 2011-WS-023) of Jiangsu, China, and the Key Medical Talent Foundation (Grant No. RC2011212) of Jiangsu, China. The authors are grateful to Dr Jianming Zhang for his assistance with the manuscript preparation.

References

1. 

PC EnzingerRJ MayerEsophageal cancerN Engl J Med34922412252200310.1056/NEJMra03501014657432

2. 

S TakenoT NoguchiY TakahashiS FumotoT ShibataK KawaharaAssessment of clinical outcome in patients with esophageal squamous cell carcinoma using TNM classification score and molecular biological classificationAnn Surg Oncol1414311438200710.1245/s10434-006-9286-3

3. 

DH IlsonEsophageal cancer chemotherapy: recent advancesGastrointest Cancer Res285922008

4. 

L BedenneP MichelO BouchéChemoradiation followed by surgery compared with chemoradiation alone in squamous cancer of the esophagus: FFCD 9102J Clin Oncol2511601168200710.1200/JCO.2005.04.711817401004

5. 

JA AbramsDL BuonoJ StraussRB McBrideDL HershmanAI NeugutEsophagectomy compared with chemoradiation for early stage esophageal cancer in the elderlyCancer11549244933200910.1002/cncr.2453619637343

6. 

H YamashitaK OkumaY SetoA retrospective comparison of clinical outcomes and quality of life measures between definitive chemoradiation alone and radical surgery for clinical stage II–III esophageal carcinomaJ Surg Oncol100435441200919653240

7. 

H ArigaK NemotoS MiyazakiProspective comparison of surgery alone and chemoradiotherapy with selective surgery in resectable squamous cell carcinoma of the esophagusInt J Radiat Oncol Biol Phys75348356200910.1016/j.ijrobp.2009.02.08619735862

8. 

C Cordon-CardoMutations of cell cycle regulators. Biological and clinical implications for human neoplasiaAm J Pathol14754556019957677168

9. 

JX HuangW YanZX SongRelationship between proliferative activity of cancer cells and clinicopathological factors in patients with esophageal squamous cell carcinomaWorld J Gastroenterol1129562959200510.3748/wjg.v11.i19.295615902736

10. 

JX HuangW XiaoWC ChenRelationship between COX-2 and cell cycle-regulatory proteins in patients with esophageal squamous cell carcinomaWorld J Gastroenterol1659755981201021157974

11. 

JX HuangWC ChenM LinClinicopathological significance of cyclooxygenase-2 and cell cycle-regulatory proteins expression in patients with esophageal squamous cell carcinomaDis Esophagus25121129201210.1111/j.1442-2050.2011.01219.x21762277

12. 

J HuangEsophageal cancerManual Medical OncologyY SunYK Shi5th editionThe People’s Medical Publishing HouseBeijing4664692007

13. 

Y SunThe clinical experiment of anti-tumor drugsManual Medical OncologyY SunYK Shi5th editionThe People’s Medical Publishing HouseBeijing1611622007

14. 

T NozoeD KorenagaM FutatsugiH SaekiT OhgaK SugimachiCyclin A expression in superficial squamous cell carcinoma of the esophagus and coexisting infiltrated lymphocyte follicleCancer Lett188221229200210.1016/S0304-3835(02)00434-212406568

15. 

MC WolfM StahlBJ KrauseCurative treatment of oesophageal carcinoma: current options and future developmentsRadiat Oncol655201110.1186/1748-717X-6-5521615894

16. 

XD ZhangL ShenJ LiProspective non-randomized study of chemotherapy combined with radiotherapy versus chemotherapy alone in patients with metastatic or relapsed esophageal squamous cell carcinomaZhonghua Zhong Liu Za Zhi294744772007(In Chinese).

17. 

B StordalR DaveyA systematic review of genes involved in the inverse resistance relationship between cisplatin and paclitaxel chemotherapy: role of BRCA1Curr Cancer Drug Targets9354365200910.2174/15680090978816659219442054

18. 

S NakayamaY TorikoshiT TakahashiPrediction of paclitaxel sensitivity by CDK1 and CDK2 activity in human breast cancer cellsBreast Cancer Res11R12200910.1186/bcr223119239702

19. 

T HunterJ PinesCyclins and cancerCell6610711074199110.1016/0092-8674(91)90028-W

20. 

M PaganoR PepperkokF VerdeW AnsorgeG DraettaCyclin A is required at two points in the human cell cycleEMBO J1196197119921312467

21. 

TJ MitchisonThe proliferation rate paradox in antimitotic chemotherapyMol Biol Cell2316201210.1091/mbc.E10-04-033522210845

22. 

I AndroicA KrämerR YanTargeting cyclin B1 inhibits proliferation and sensitizes breast cancer cells to taxolBMC Cancer8391402200810.1186/1471-2407-8-39119113992

23. 

P BoströmM SöderströmT PalokangasT VahlbergY CollanO CarpenP HirsimäkiAnalysis of cyclins A, B1, D1 and E in breast cancer in relation to tumour grade and other prognostic factorsBMC Res Notes2140148200919615042

24. 

BS YoonYT KimS KimPrognostic value of nuclear DNA quantification and cyclin A expression in epithelial ovarian carcinomaEur J Obstet Gynecol Reprod Biol136110115200810.1016/j.ejogrb.2006.10.00817157431

25. 

M FraczekZ WozniakD RamseyT ZatonskiT KrecickiClinicopathologic significance and prognostic role of cyclin E and cyclin A expression in laryngeal epithelial lesionsActa Otolaryngol128329334200810.1080/0001648070148774217917837

Related Articles

  • Abstract
  • View
  • Download
  • Twitter
Copy and paste a formatted citation
Spandidos Publications style
Huang JX, Shen SL, Lin M, Xiao W, Chen WC, Lin MS, Yu H, Chen P and Qian RY: Cyclin A overexpression is associated with chemosensitivity to paclitaxel‑based chemotherapy in patients with esophageal squamous cell carcinoma. Oncol Lett 4: 607-611, 2012.
APA
Huang, J., Shen, S., Lin, M., Xiao, W., Chen, W., Lin, M. ... Qian, R. (2012). Cyclin A overexpression is associated with chemosensitivity to paclitaxel‑based chemotherapy in patients with esophageal squamous cell carcinoma. Oncology Letters, 4, 607-611. https://doi.org/10.3892/ol.2012.814
MLA
Huang, J., Shen, S., Lin, M., Xiao, W., Chen, W., Lin, M., Yu, H., Chen, P., Qian, R."Cyclin A overexpression is associated with chemosensitivity to paclitaxel‑based chemotherapy in patients with esophageal squamous cell carcinoma". Oncology Letters 4.4 (2012): 607-611.
Chicago
Huang, J., Shen, S., Lin, M., Xiao, W., Chen, W., Lin, M., Yu, H., Chen, P., Qian, R."Cyclin A overexpression is associated with chemosensitivity to paclitaxel‑based chemotherapy in patients with esophageal squamous cell carcinoma". Oncology Letters 4, no. 4 (2012): 607-611. https://doi.org/10.3892/ol.2012.814
Copy and paste a formatted citation
x
Spandidos Publications style
Huang JX, Shen SL, Lin M, Xiao W, Chen WC, Lin MS, Yu H, Chen P and Qian RY: Cyclin A overexpression is associated with chemosensitivity to paclitaxel‑based chemotherapy in patients with esophageal squamous cell carcinoma. Oncol Lett 4: 607-611, 2012.
APA
Huang, J., Shen, S., Lin, M., Xiao, W., Chen, W., Lin, M. ... Qian, R. (2012). Cyclin A overexpression is associated with chemosensitivity to paclitaxel‑based chemotherapy in patients with esophageal squamous cell carcinoma. Oncology Letters, 4, 607-611. https://doi.org/10.3892/ol.2012.814
MLA
Huang, J., Shen, S., Lin, M., Xiao, W., Chen, W., Lin, M., Yu, H., Chen, P., Qian, R."Cyclin A overexpression is associated with chemosensitivity to paclitaxel‑based chemotherapy in patients with esophageal squamous cell carcinoma". Oncology Letters 4.4 (2012): 607-611.
Chicago
Huang, J., Shen, S., Lin, M., Xiao, W., Chen, W., Lin, M., Yu, H., Chen, P., Qian, R."Cyclin A overexpression is associated with chemosensitivity to paclitaxel‑based chemotherapy in patients with esophageal squamous cell carcinoma". Oncology Letters 4, no. 4 (2012): 607-611. https://doi.org/10.3892/ol.2012.814
Follow us
  • Twitter
  • LinkedIn
  • Facebook
About
  • Spandidos Publications
  • Careers
  • Cookie Policy
  • Privacy Policy
How can we help?
  • Help
  • Live Chat
  • Contact
  • Email to our Support Team