Spandidos Publications Logo
  • About
    • About Spandidos
    • Aims and Scopes
    • Abstracting and Indexing
    • Editorial Policies
    • Reprints and Permissions
    • Job Opportunities
    • Terms and Conditions
    • Contact
  • Journals
    • All Journals
    • Oncology Letters
      • Oncology Letters
      • Information for Authors
      • Editorial Policies
      • Editorial Board
      • Aims and Scope
      • Abstracting and Indexing
      • Bibliographic Information
      • Archive
    • International Journal of Oncology
      • International Journal of Oncology
      • Information for Authors
      • Editorial Policies
      • Editorial Board
      • Aims and Scope
      • Abstracting and Indexing
      • Bibliographic Information
      • Archive
    • Molecular and Clinical Oncology
      • Molecular and Clinical Oncology
      • Information for Authors
      • Editorial Policies
      • Editorial Board
      • Aims and Scope
      • Abstracting and Indexing
      • Bibliographic Information
      • Archive
    • Experimental and Therapeutic Medicine
      • Experimental and Therapeutic Medicine
      • Information for Authors
      • Editorial Policies
      • Editorial Board
      • Aims and Scope
      • Abstracting and Indexing
      • Bibliographic Information
      • Archive
    • International Journal of Molecular Medicine
      • International Journal of Molecular Medicine
      • Information for Authors
      • Editorial Policies
      • Editorial Board
      • Aims and Scope
      • Abstracting and Indexing
      • Bibliographic Information
      • Archive
    • Biomedical Reports
      • Biomedical Reports
      • Information for Authors
      • Editorial Policies
      • Editorial Board
      • Aims and Scope
      • Abstracting and Indexing
      • Bibliographic Information
      • Archive
    • Oncology Reports
      • Oncology Reports
      • Information for Authors
      • Editorial Policies
      • Editorial Board
      • Aims and Scope
      • Abstracting and Indexing
      • Bibliographic Information
      • Archive
    • Molecular Medicine Reports
      • Molecular Medicine Reports
      • Information for Authors
      • Editorial Policies
      • Editorial Board
      • Aims and Scope
      • Abstracting and Indexing
      • Bibliographic Information
      • Archive
    • World Academy of Sciences Journal
      • World Academy of Sciences Journal
      • Information for Authors
      • Editorial Policies
      • Editorial Board
      • Aims and Scope
      • Abstracting and Indexing
      • Bibliographic Information
      • Archive
    • International Journal of Functional Nutrition
      • International Journal of Functional Nutrition
      • Information for Authors
      • Editorial Policies
      • Editorial Board
      • Aims and Scope
      • Abstracting and Indexing
      • Bibliographic Information
      • Archive
    • International Journal of Epigenetics
      • International Journal of Epigenetics
      • Information for Authors
      • Editorial Policies
      • Editorial Board
      • Aims and Scope
      • Abstracting and Indexing
      • Bibliographic Information
      • Archive
    • Medicine International
      • Medicine International
      • Information for Authors
      • Editorial Policies
      • Editorial Board
      • Aims and Scope
      • Abstracting and Indexing
      • Bibliographic Information
      • Archive
  • Articles
  • Information
    • Information for Authors
    • Information for Reviewers
    • Information for Librarians
    • Information for Advertisers
    • Conferences
  • Language Editing
Spandidos Publications Logo
  • About
    • About Spandidos
    • Aims and Scopes
    • Abstracting and Indexing
    • Editorial Policies
    • Reprints and Permissions
    • Job Opportunities
    • Terms and Conditions
    • Contact
  • Journals
    • All Journals
    • Biomedical Reports
      • Information for Authors
      • Editorial Policies
      • Editorial Board
      • Aims and Scope
      • Abstracting and Indexing
      • Bibliographic Information
      • Archive
    • Experimental and Therapeutic Medicine
      • Information for Authors
      • Editorial Policies
      • Editorial Board
      • Aims and Scope
      • Abstracting and Indexing
      • Bibliographic Information
      • Archive
    • International Journal of Epigenetics
      • Information for Authors
      • Editorial Policies
      • Editorial Board
      • Aims and Scope
      • Abstracting and Indexing
      • Bibliographic Information
      • Archive
    • International Journal of Functional Nutrition
      • Information for Authors
      • Editorial Policies
      • Editorial Board
      • Aims and Scope
      • Abstracting and Indexing
      • Bibliographic Information
      • Archive
    • International Journal of Molecular Medicine
      • Information for Authors
      • Editorial Policies
      • Editorial Board
      • Aims and Scope
      • Abstracting and Indexing
      • Bibliographic Information
      • Archive
    • International Journal of Oncology
      • Information for Authors
      • Editorial Policies
      • Editorial Board
      • Aims and Scope
      • Abstracting and Indexing
      • Bibliographic Information
      • Archive
    • Medicine International
      • Information for Authors
      • Editorial Policies
      • Editorial Board
      • Aims and Scope
      • Abstracting and Indexing
      • Bibliographic Information
      • Archive
    • Molecular and Clinical Oncology
      • Information for Authors
      • Editorial Policies
      • Editorial Board
      • Aims and Scope
      • Abstracting and Indexing
      • Bibliographic Information
      • Archive
    • Molecular Medicine Reports
      • Information for Authors
      • Editorial Policies
      • Editorial Board
      • Aims and Scope
      • Abstracting and Indexing
      • Bibliographic Information
      • Archive
    • Oncology Letters
      • Information for Authors
      • Editorial Policies
      • Editorial Board
      • Aims and Scope
      • Abstracting and Indexing
      • Bibliographic Information
      • Archive
    • Oncology Reports
      • Information for Authors
      • Editorial Policies
      • Editorial Board
      • Aims and Scope
      • Abstracting and Indexing
      • Bibliographic Information
      • Archive
    • World Academy of Sciences Journal
      • Information for Authors
      • Editorial Policies
      • Editorial Board
      • Aims and Scope
      • Abstracting and Indexing
      • Bibliographic Information
      • Archive
  • Articles
  • Information
    • For Authors
    • For Reviewers
    • For Librarians
    • For Advertisers
    • Conferences
  • Language Editing
Login Register Submit
  • This site uses cookies
  • You can change your cookie settings at any time by following the instructions in our Cookie Policy. To find out more, you may read our Privacy Policy.

    I agree
Search articles by DOI, keyword, author or affiliation
Search
Advanced Search
presentation
Oncology Letters
Join Editorial Board Propose a Special Issue
Print ISSN: 1792-1074 Online ISSN: 1792-1082
Journal Cover
January 2013 Volume 5 Issue 1

Full Size Image

Sign up for eToc alerts
Recommend to Library

Journals

International Journal of Molecular Medicine

International Journal of Molecular Medicine

International Journal of Molecular Medicine is an international journal devoted to molecular mechanisms of human disease.

International Journal of Oncology

International Journal of Oncology

International Journal of Oncology is an international journal devoted to oncology research and cancer treatment.

Molecular Medicine Reports

Molecular Medicine Reports

Covers molecular medicine topics such as pharmacology, pathology, genetics, neuroscience, infectious diseases, molecular cardiology, and molecular surgery.

Oncology Reports

Oncology Reports

Oncology Reports is an international journal devoted to fundamental and applied research in Oncology.

Experimental and Therapeutic Medicine

Experimental and Therapeutic Medicine

Experimental and Therapeutic Medicine is an international journal devoted to laboratory and clinical medicine.

Oncology Letters

Oncology Letters

Oncology Letters is an international journal devoted to Experimental and Clinical Oncology.

Biomedical Reports

Biomedical Reports

Explores a wide range of biological and medical fields, including pharmacology, genetics, microbiology, neuroscience, and molecular cardiology.

Molecular and Clinical Oncology

Molecular and Clinical Oncology

International journal addressing all aspects of oncology research, from tumorigenesis and oncogenes to chemotherapy and metastasis.

World Academy of Sciences Journal

World Academy of Sciences Journal

Multidisciplinary open-access journal spanning biochemistry, genetics, neuroscience, environmental health, and synthetic biology.

International Journal of Functional Nutrition

International Journal of Functional Nutrition

Open-access journal combining biochemistry, pharmacology, immunology, and genetics to advance health through functional nutrition.

International Journal of Epigenetics

International Journal of Epigenetics

Publishes open-access research on using epigenetics to advance understanding and treatment of human disease.

Medicine International

Medicine International

An International Open Access Journal Devoted to General Medicine.

Journal Cover
January 2013 Volume 5 Issue 1

Full Size Image

Sign up for eToc alerts
Recommend to Library

  • Article
  • Citations
    • Cite This Article
    • Download Citation
    • Create Citation Alert
    • Remove Citation Alert
    • Cited By
  • Similar Articles
    • Related Articles (in Spandidos Publications)
    • Similar Articles (Google Scholar)
    • Similar Articles (PubMed)
  • Download PDF
  • Download XML
  • View XML
Article

Expression and significance of hypoxia-inducible factor‑1α and glucose transporter-1 in laryngeal carcinoma

Corrigendum in: /ol/6/1/287
  • Authors:
    • Xiao-Hong Wu
    • Su-Ping Chen
    • Jian-Ying Mao
    • Xue‑Xian  Ji
    • Hong-Tian Yao
    • Shui-Hong Zhou
  • View Affiliations / Copyright

    Affiliations: Department of Otolaryngology, The People's Hospital of Deqing County, Zhejiang (The Cooperative Hospital of The First Affiliated Hospital, College of Medicine, Zhejiang University), Deqing City, P.R. China, Department of Otolaryngology, The First Affiliated Hospital, College of Medicine, Zhejiang University, Hangzhou, P.R. China, Department of Pathology, The People’s Hospital of Deqing County, Zhejiang (The Cooperative Hospital of The First Affiliated Hospital, College of Medicine, Zhejiang University), Deqing City, P.R. China
  • Pages: 261-266
    |
    Published online on: September 26, 2012
       https://doi.org/10.3892/ol.2012.941
  • Expand metrics +
Metrics: Total Views: 0 (Spandidos Publications: | PMC Statistics: )
Metrics: Total PDF Downloads: 0 (Spandidos Publications: | PMC Statistics: )
Cited By (CrossRef): 0 citations Loading Articles...

This article is mentioned in:



Abstract

Malignant cells show increased glucose uptake in vitro and in vivo. This process is considered to be mediated by glucose transporters (GLUTs). Hypoxia-inducible factor-1α (HIF-1α) may upregulate GLUT-1 expression. Little is known about the correlation between HIF-1α and GLUT-1 expression in laryngeal carcinoma. The current study investigated this correlation immunohistochemically, according to various clinical and pathological features, in 49 paraffin‑embedded archival tissue blocks from patients with laryngeal squamous cell carcinoma. HIF-1α and GLUT-1 expression was detected in 63.3 (31/49) and 55.1% (27/49) of the tumour samples, respectively. HIF-1α expression was significantly correlated with lymph node classification (P=0.018), recurrence (P=0.02) and metastasis (P=0.031). GLUT-1A expression was significantly associated with recurrence (P=0.02) and metastasis (P=0.01). Univariate analyses revealed that HIF-1α (χ2=8.2; P=0.004) and GLUT-1 expression (χ2=9.0; P=0.003) were significantly associated with a poorer survival rate. In a multivariate analysis, GLUT-1 expression (P=0.006) was a significant predictor of poor survival rate, as well as the primary tumour site, lymph node invasion and distant metastasis. Based on Spearman's analysis, GLUT-1 expression and phosphatidylinositol 3-kinase (PI3K) expression were significantly correlated (r=0.504; P=0.000). This is the first study to demonstrate a significant correlation between GLUT-1 and HIF-1α expression in laryngeal carcinoma and to show increased GLUT-1 expression as an independent survival rate predictor. These results suggest that GLUT-1 is a potential new therapeutic target for laryngeal carcinoma.

Introduction

Malignant tumours are considered to be in a hypoxic state (1). Under hypoxic conditions, cancer cells switch from oxygen-dependent glucose metabolism to oxygen-independent glycolysis (2). Malignant cells show increased glucose uptake in vitro and in vivo. This process is considered to be mediated by glucose transporters (GLUTs). Among GLUTs, GLUT-1 is one of the most significant mediators of increased glucose influx into cells (3). The rate of glucose transport via GLUT-1 may be altered under conditions in which the metabolic rate must be adjusted, including during cell division (mitosis and meiosis), differentiation, transformation and nutrient starvation (4). In previous studies (5–11), Glut-1 expression has been correlated with lymph node metastasis, poor survival rate and clinical stage of head and neck carcinoma (HNC).

Hypoxia-inducible factor-1α (HIF-1α), a transcription factor associated with the cellular response to hypoxia (12), upregulates the expression of several hypoxia response genes, including GLUT-1 (1). The overexpression of GLUT-1 increases glucose transport to meet the energy requirements of malignant tumour cells. In numerous types of human cancer, the correlation between HIF-1α and GLUT-1 expression may promote tumour progression, leading to a poor outcome (1,13–18), although the correlation between HIF-1α and GLUT-1 expression in colorectal cancer is controversial (19,20).

To the best of our knowledge, only one study exists in the English-language literature with regard to the correlation between HIF-1α and GLUT-1 expression in laryngeal carcinoma and their association with clinicopathological features (21). This study identified no correlation between GLUT-1 overexpression and clinical outcome parameters of laryngeal carcinoma. A small quantity of studies have investigated HIF-1α (22,23) or GLUT-1 expression alone (24,25) in laryngeal carcinoma. The present study investigated the correlation between HIF-1α and GLUT-1 expression with respect to various clinical and pathological features of laryngeal carcinoma.

Patients and methods

Patients and tissues

A total of 49 paraffin-embedded archival tissue blocks from patients with laryngeal squamous cell carcinomas were obtained between 2002 and 2009; six blocks were from the surgical pathological files at The People’s Hospital of Deqing County (Zhejiang, China) and 43 blocks were from the surgical pathological files at The First Affiliated Hospital, College of Medicine, Zhejiang University (Deqing City, China). A total of 15 paraffin-embedded archival tissue blocks from patients with vocal cord polyps and 15 paraffin-embedded archival tissue blocks from patients with vocal cord leukokeratosis were also obtained. Formalin-fixed, paraffin-embedded archival tissues were obtained from institutional and consultation files. One representative paraffin block from each tumour was selected for the immunohistochemical study. Diagnosis was confirmed following blind review of all haematoxylin- and eosin-stained sections. None of the patients had received preoperative radiotherapy or chemotherapy. Demographic and clinicopathological data, including gender, age, T and N category (as established by the International Union Against Cancer TNM classification 2007, 7th edition) and current and past tobacco and alcohol use were retrospectively collected by reviewing the patient charts. Institutional Review Board approvals were obtained through The People’s Hospital of Deqing County and The First Affiliated Hospital, College of Medicine, Zhejiang University.

Immunohistochemistry

Formalin-fixed and paraffin-embedded tissue blocks from primary lesions were cut into 4-μm sections and representative sections were analysed immunohistochemically (EliVision™ Plus IHC kit; Fuzhou Maixin Biotechnology Development Co., Ltd., Fuzhou, China) for HIF-1α (1:100; Santa Cruz Biotechnology, Santa Cruz, CA, USA) and GLUT-1 (1:50, rabbit polyclonal; Santa Cruz Biotechnology) expression (22). Briefly, the sections were deparaffinised in xylene and rehydrated through graded concentrations of alcohol. Antigen retrieval was performed in a microwave oven for two cycles of 10 min each. Endogenous peroxidase activity was blocked by incubating the sections in 1.5% hydrogen peroxide in absolute methanol at room temperature for 10 min. Primary antibodies were applied for 1 h at room temperature and the sections were washed three times with 0.05 M Tris-buffered saline (TBS, pH 7.2). Then, 50 μl of polymer enhancer were added and following 20 min, 50 μl of polymerised horseradish peroxidase anti-mouse immunoglobulin G were added, followed by incubation for 30 min at room temperature. The sections were washed three times with TBS and the reaction products were visualised with diaminobenzidine (DAB kit; Maixin Biological Technology Ltd., Fujian, China). The sections were counterstained with haematoxylin and eosin, dehydrated and evaluated under a light microscope. As a negative control, samples were incubated using 10 mM TBS (pH 7.4) instead of a primary antibody. Erythrocytes in the tissue sections served as the positive control for GLUT-1 expression (5). Nuclear and cytoplasmic HIF-1α staining was scored as reported previously (22).

Scoring of immunopositive cells

Positive staining for HIF-1α and GLUT-1 was assessed in 10 high-power fields of each tumour by two pathologists using light microscopy. The mean rate of positive tumour cells was calculated. Positive expression and negative expression were defined as immunostaining of >10% and <10% of the cancer cells, respectively.

Statistical analysis

Associations between HIF-1α and GLUT-1 immunostaining and other parameters (age, T and N category, tobacco and alcohol use) were analysed using a χ2 test and Fisher’s exact test. P≤0.05 was considered to indicate a statistically significant difference. The correlation between HIF-1α and GLUT-1 was analysed by Spearman’s correlation. Overall survival rate (OS), defined as the time from surgery until mortality from any cause, was plotted as a Kaplan-Meier curve. Univariate survival rate analysis was performed using a log-rank test and multivariate analysis was performed using Cox proportional-hazards regression analysis. All analyses were conducted using SPSS for Windows (ver. 19.0; SPSS, Inc., Chicago, IL, USA).

Results

Patient characteristics

Of the 49 laryngeal carcinoma tissue samples, 43 were from male patients and 6 were from female patients, yielding a male to female ratio of ∼7:1. The median age of the 49 patients was 60.8 years (range, 32–81). Of the 49 laryngeal carcinomas, 32 (65.3%) were located in the glottic area; 14 (28.6%) in the supraglottic area and three (6.1%) in the subglottic area. At the time of diagnosis, 12 patients (24.5%) presented with lymph node metastases. Further details of the patients and tumours are presented in Table I.

Table I

Clinicopathological findings of 49 laryngeal carcinomas.

Table I

Clinicopathological findings of 49 laryngeal carcinomas.

CharacteristicsNo. (%)HIF-α-positive (%)χ2P-valueGLUT-1-positive (%)χ2P-value
Gender
  Male43 (87.8)29 (59.2)1.370.2424 (49.0)0.070.56
  Female6 (12.2)2 (4.1)3 (6.1)
Age (years)
  <6025 (51.0)14 (28.6)0.610.4412 (24.5)1.050.23
  ≥6024 (49.0)17 (34.7)15 (30.6)
Primary tumour site
  Supraglottic14 (28.6)10 (20.4)0.640.7310 (20.4)2.610.28
  Glottic32 (65.3)19 (38.8)15 (30.6)
  Subglottic3 (6.1)2 (4.1)2 (4.1)
Tumour classification
  T118 (36.7)8 (16.3)0.136a8 (16.3)0.53a
  T223 (46.9)16 (32.7)13 (26.5)
  T37 (14.3)6 (12.2)5 (10.2)
  T4a1 (2.0)1 (2.0)1 (2.0)
Lymph node metastasis
  Yes12 (24.5)11 (22.4)6.500.0189 (18.4)2.660.10
  No37 (75.5)20 (40.8)18 (36.7)
Pathological type
  SCC46 (93.9)30 (61.2)0.30a26 (53.1)0.610.42
  ACC3 (6.1)1 (2.0)1 (2.0)
Histological grade
  Well-differentiated24 (49.0)13 (26.5)3.190.2012 (24.5)2.710.29
  Moderately differentiated13 (26.5)8 (16.3)6 (12.2)
  Poorly differentiated12 (24.5)10 (20.4)9 (18.4)
Recurrence
  Yes20 (40.8)17 (34.7)5.380.0215 (30.6)5.590.02
  No29 (59.2)14 (28.6)12 (24.5)
Metastasis0.031a0.01a
  Yes7 (14.3)7 (14.3)7 (14.3)
  No42 (85.7)24 (49.0)20 (40.8)

{ label (or @symbol) needed for fn[@id='tfn1-ol-05-01-0261'] } SCC, squamous cell carcinoma; ACC, adenoid cystic carcinoma;

a Fisher’s exact test. HIF-1α, hypoxia-inducible factor-1α; GLUT-1, glucose transporter-1.

The average follow-up period was 42.6 months (range, 13–181) and 4 patients were lost to follow-up. A total of 20 patients (40.8%) developed recurrence and seven (14.3%) developed distant metastases. In total, 6 patients (12.2%) succumbed to distant metastasis and local recurrence and seven (14.3%) succumbed to local recurrence of the disease. Among the 13 deceased patients, 9 had tumours in the supraglottic area and 4 had tumours in the glottic area (P<0.001). In total, 36 were alive at the last follow-up.

HIF-1α and GLUT-1 expression in laryngeal carcinoma and associations with clinicopathological variables and prognosis

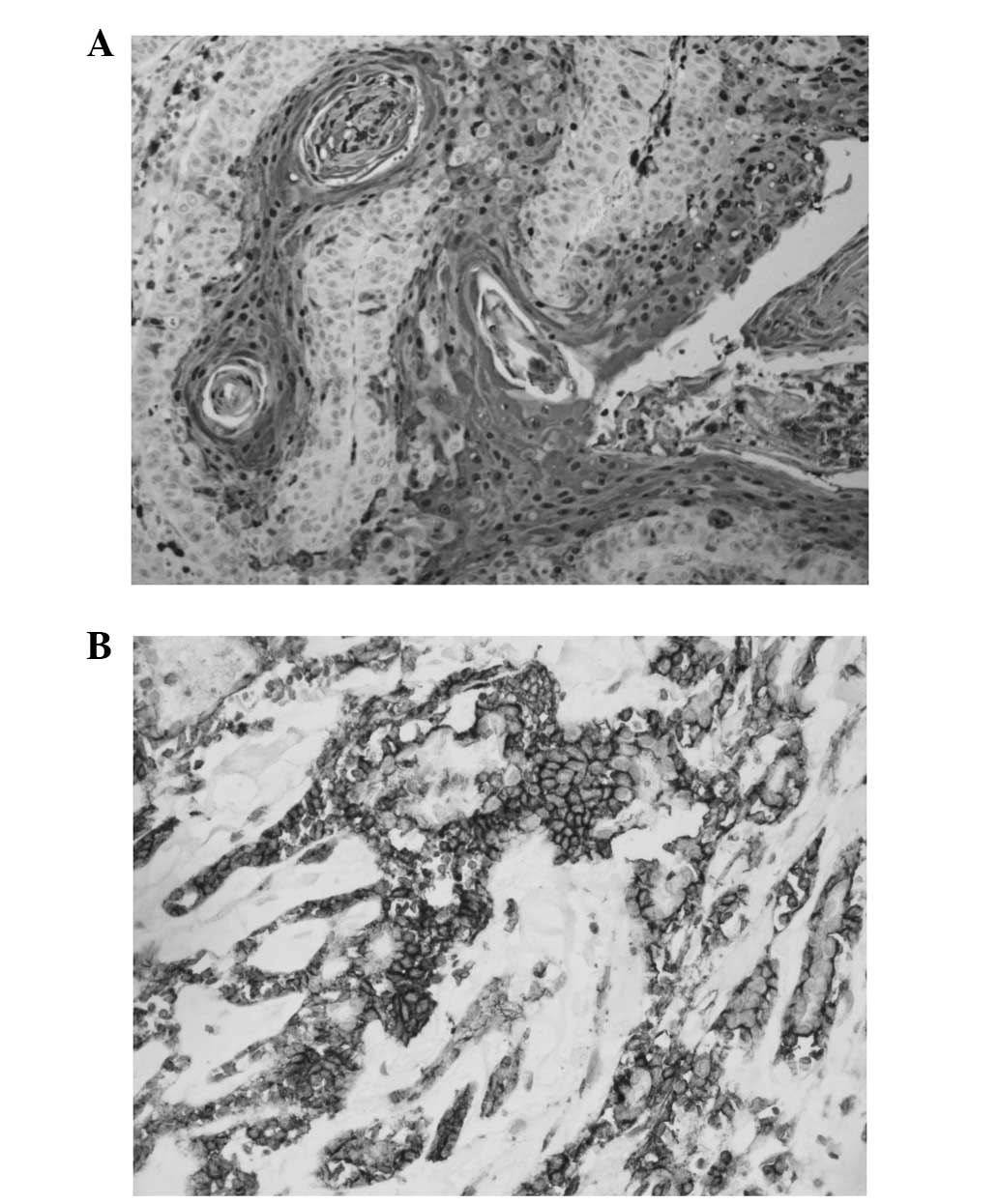
Staining for HIF-1α occurred in a granular and diffuse pattern localised mainly in the cytoplasm of cancer cells, although staining was occasionally nuclear and cytoplasmic (Fig. 1A). HIF-1α expression was detected in 63.3% (31/49) of the tumours. HIF-1α expression was higher in laryngeal carcinoma than in cord polyp or vocal cord leukokeratosis (P<0.05; Table II). HIF-1α expression did not differ significantly according to patient gender, age, tumour site, T classification, pathological type or histological grade (Table I). However, HIF-1α expression was significantly correlated with lymph node classification (P=0.018), recurrence (P=0.02) and metastasis (P=0.031) (Table I).

Figure 1

(A) Immunohistochemical staining revealed that HIF-1α existed in a granular and diffuse pattern localised mainly to the cytoplasm of cancer cells and (B) staining for GLUT-1 was observed in a diffuse pattern localised to the membrane of cancer cells (EliVision, ×40). HIF-1α, hypoxia-inducible factor-1α; GLUT-1, glucose transporter-1.

Table II

Immunohistochemical results of HIF-1α and GLUT-1 in laryngeal carcinomas, cord polyp and vocal cord leukokeratosis.

Table II

Immunohistochemical results of HIF-1α and GLUT-1 in laryngeal carcinomas, cord polyp and vocal cord leukokeratosis.

HIF-1α
GLUT-1
GroupnPositiveNegativeP-valuePositiveNegativeP-value
Cord polyp15015a0.000a015a0.000a
Leukokeratosis15213b0.001b312b0.02b
Laryngeal carcinomas4931182722

a Compared with cord polyps and laryngeal carcinomas, the expression of HIFα or Glut1 in laryngeal carcinomas was higher (Fisher’s exact test).

b Compared with leukokeratosis and laryngeal carcinomas, the expression of HIFα or Glut1 in layngeal carcinomas was higher (Fisher’s exact test). HIF-1α, hypoxia-inducible factor-1α; GLUT-1, glucose transporter-1.

Staining for GLUT-1 occurred in a diffuse pattern localised in the membrane of cancer cells (Fig. 1B). GLUT-1 expression was detected in 55.1% (27/49) of the tumours and was higher in laryngeal carcinoma than in cord polyp or vocal cord leukokeratosis (P<0.05; Table II). GLUT-1 expression did not differ significantly according to patient age, tumour site, T classification, pathological type, histological grade or lymph node classification. However, GLUT-1 expression was significantly correlated with recurrence (P=0.02) and metastasis (P=0.01) (Table I).

The median OS was 134 months [95% confidence interval (CI), 113–154]. The 3- and 5-year OS rates were 77.0% [standard error (SE), 0.06] and 69.0% (SE, 0.07), respectively. Univariate analysis revealed that improved survival rate was significantly associated with a primary cancer site in the glottic area (χ2=15.5, P<0.001), well-differentiated carcinoma (χ2=8.4, P=0.004), early T classification (T1+T2; χ2=10.2, P=0.001), no lymph node involvement (χ2=33.1, P<0.001), no recurrence (χ2=31.0, P<0.001) and no metastasis (χ2=20.9, P<0.001). HIF-1α expression (Fig. 2; χ2 =8.2, P=0.004) and GLUT-1 expression (Fig. 3; χ2 =9.0, P= 0.003) were significantly associated with a poorer survival rate in a univariate analysis. In a multivariate analysis, significant predictors of poor survival rate included a primary cancer site in the supraglottic and subglottic areas (P= 0.038), lymph node invasion (P= 0.007), distant metastasis (P= 0.006) and GLUT-1 expression (P=0.006).

Figure 2

HIF-1α-positive expression was significantly associated with a poorer survival rate in a univariate analysis (χ2=8.2, P=0.004). HIF-1α, hypoxia-inducible factor-1α. Cum, cumulative.

Figure 3

GLUT-1-positive expression was significantly associated with a poorer survival rate in a univariate analysis (χ2 =9.0, P=0.003). GLUT-1, glucose transporter-1. Cum, cumulative.

Correlation between HIF-1α and GLUT-1 expression

Spearman’s analysis revealed a significant correlation between GLUT-1 and phosphatidylinositol 3-kinase (PI3K) expression (r=0.504, P=0.000).

Discussion

Hypoxia, a common feature of malignancy and particularly of solid tumours, is thought to promote tumour invasiveness and metastasis (26). HIF is a key regulator of cellular responses to hypoxia (12). It targets the genes involved in tumour cell energy metabolism, angiogenesis, tumour metastasis, ion metabolism and catecholamine metabolism, thereby influencing the expression of proteins, including erythropoietin, vascular endothelial growth factor, GLUT-1, glyceraldehyde 3-phosphate dehydrogenase, inducible nitric oxide synthase, insulin-like growth factor-2, tyrosine hydroxylase and glycolytic enzymes (27). HIF-1α and GLUT-1 are the intrinsic hypoxia markers that have been studied the most in various tumours (13–18). Nevertheless, few studies have investigated the value of HIF-1α (22,23,28,29) or GLUT-1 expression (24,25) alone for the prediction of clinical outcome and survival rate of laryngeal carcinoma and, to the best of our knowledge, there is only one study in the English-language literature with regard to the correlation between HIF-1α and GLUT-1 expression in laryngeal carcinoma (21).

In a previous study, 67.5% (27/40) of patients with laryngeal carcinoma were immunopositive for HIF-1α and HIF-1α expression was associated with T stage and lymph node metastasis (22). Similarly, in the present study, the overexpression of HIF-1α was immunohistochemically detected in 63.3% (31) of another 49 laryngeal carcinomas and HIF-1α expression was significantly correlated with lymph node classification, recurrence and metastasis. Yu et al revealed that HIF-1α was correlated with the clinical stage of laryngeal cancer and lymph node metastasis (23). Wildeman et al suggested that the effect of hypoxia-related proteins, including carbonic anhydrase IX and HIF-1α, on an increased risk for local recurrence of laryngeal carcinoma is stronger following radiotherapy (29). Cabanillas et al reported a significant positive correlation between HIF-1α and T classification, but no association was observed with other clinicopathological variables or with the prognosis of supraglottic laryngeal squamous cell carcinoma (28). Although HIF-1α expression was significantly associated with a poorer survival rate in a univariate model in the present study, multivariate analysis revealed no significant association. These apparent discrepancies concerning the correlation between HIF-1α and survival rate may be attributable to variations in therapeutics or in patient populations, as the disease course and prognosis of head and neck squamous cell carcinoma are known to differ regionally and different patients may carry distinct genetic alterations (28). These limitations may make studies of HIF-1α in head and neck squamous cell carcinoma susceptible to bias (28).

In a previous study of GLUT-1 expression in laryngeal carcinoma, the expression of GLUT-1 mRNA and protein was increased in laryngeal carcinoma Hep-2 cells and an antisense oligonucleotide against GLUT-l mRNA reduced the expression of GLUT-1 mRNA and protein, thus inhibiting glucose uptake and cell growth in Hep-2 cells (25). Based on these results, it was suggested that GLUT-1 is a potential therapeutic target for strategies designed to inhibit the progression of laryngeal cancer (25). The present study also demonstrated the overexpression of GLUT-1 in laryngeal carcinoma tissues and there was a significant correlation between GLUT-1 expression and recurrence and metastasis. In univariate and multivariate analyses, increased GLUT-1 expression was significantly associated with a poorer survival rate. GLUT-1 may serve as an independent survival rate predictor, similar to the primary tumour site, lymph node invasion and distant metastasis of laryngeal carcinoma in the present series. The present study provides further support for considering GLUT-1 as a new therapeutic target for laryngeal carcinoma.

In normal cells, HIF-1α upregulates GLUT-1 expression in response to hypoxic injury (20). In cancer cells, the HIF-1α-induced increase in GLUT-1 serves to provide for the energy requirements of malignant tumour cells. However, certain studies do not reflect this phenomenon. Schrijvers et al reported that there was no significant correlation between GLUT-1 and HIF-1α expression detected immunohistochemically in 91 stage T1-T2 glottic laryngeal carcinomas treated with radiotherapy and that only HIF-1α was a predictor of poor survival rate (21). This is contrary to the results of the present study. Contradictory results have also been revealed among studies of other types of cancer and the reason for this remains unknown. Yasuda et al suggested that GLUT-1 expression is not fully regulated by HIF-1α in ovarian adenocarcinoma. Heterogeneous GLUT-1 expression cannot be satisfactorily explained solely through regulation by HIF-1α and GLUT-1 overexpression may be more strongly affected by micro-environmental conditions (1). Koukourakis et al identified no association between HIF-1α and GLUT-1 expression and clinicopathological characteristics in colorectal cancer, reporting GLUT-1 immunoreactivity in not only cancer cells but also the endothelium (19). Wincewicz et al reported that HIF-1α expression was correlated with GLUT-1 expression in colorectal cancer and suggested that HIF-1α-dependent induction of GLUT-1 is difficult to demonstrate, given that HIF-1α is detected mainly in the cytoplasm, while it exerts its transcriptional activity in the nucleus (20). In renal cell carcinoma, Lidgren et al revealed that HIF-1α and GLUT-1 expression levels were significantly correlated with chromophobe renal cell carcinoma (cRCC), but not with papillary renal cell carcinoma (pRCC) (17). In addition, GLUT-1 was overexpressed mainly in cRCC, but not in pRCC, suggesting that other pathways for glucose metabolism are involved in various types of RCC (17).

Thus, numerous factors, including histopathological type, immunohistochemical techniques, tumour stage, sample number and other transcriptional regulators, may affect the correlation between HIF-1α and GLUT-1 expression in types of cancer and the correlation between their expression and clinicopathological variables and cancer prognosis. HIF-1α and GLUT-1 expression in carcinomas requires further study.

The current study reports the first finding of a significant correlation between GLUT-1 and HIF-1α expression in laryngeal carcinoma. Overexpression of HIF-1α was significantly correlated with lymph node classification, recurrence and metastasis. Increased GLUT-1 expression was significantly associated with recurrence and metastasis of laryngeal carcinoma and may serve as an independent survival rate predictor. The present results further indicate that GLUT-1 may be a potential new therapeutic target for laryngeal carcinoma.

Acknowledgements

This study was supported by the Science and Technology Bureau of Deqing County, Zhejiang Province, China (No. 2009Ny01), Department of Science and Technology of Zhejiang Provincial (contract grant number: 2009C33026), Health Bureau of Zhejiang Province (contract grant number: 2010KYA062) and National Natural Science Foundation of China (No. 81172562).

References

1 

Yasuda M, Miyazawa M, Fujita M, et al: Expression of hypoxia inducible factor-1α (HIF-1α) and glucose transporter-1 (GLUT-1) in ovarian adenocarcinomas: difference in hypoxic status depending on histological character. Oncol Rep. 19:111–116. 2008.

2 

Havelund BM, Sørensen FB, Lindebjerg J, Spindler KL and Jakobsen A: Pretreatment HIF-1α and GLUT-1 expressions do not correlate with outcome after preoperative chemoradiotherapy in rectal cancer. Anticancer Res. 31:1559–1565. 2011.

3 

Gu J, Yamamoto H, Fukunaga H, et al: Correlation of GLUT-1 overexpression, tumor size, and depth of invasion with 18F-2-fluoro-2-deoxy-D-glucose uptake by positron emission tomography in colorectal cancer. Dig Dis Sci. 51:198–205. 2006.PubMed/NCBI

4 

Merrall NW, Plevin R and Gould GW: Growth factors, mitogens, oncogenes and the regulation of glucose transport. Cell Signal. 5:667–675. 1993. View Article : Google Scholar : PubMed/NCBI

5 

Zhou S, Wang S, Wu Q, Fan J and Wang Q: Expression of glucose transporter-1 and -3 in the head and neck carcinoma - the correlation of the expression with the biological behaviors. ORL J Otorhinolaryngol Relat Spec. 70:189–194. 2008. View Article : Google Scholar : PubMed/NCBI

6 

Eckert AW, Lautner MH, Taubert H, Schubert J and Bilkenroth U: Expression of Glut-1 is a prognostic marker for oral squamous cell carcinoma patients. Oncol Rep. 20:1381–1385. 2008.PubMed/NCBI

7 

Deron P, Vermeersch H, Mees G, Vangestel C, Pauwels P and Van de Wiele C: Expression and prognostic value of glucose transporters and hexokinases in tonsil and mobile tongue squamous cell carcinoma. Histol Histopathol. 26:1165–1172. 2011.PubMed/NCBI

8 

Nakajo M, Nakajo M, Tani A, et al: Clinical significance of primary lesion FDG uptake for choice between oesophagectomy and endoscopic submucosal dissection for resectable oesophageal squamous cell carcinomas. Eur Radiol. 21:2396–2407. 2011. View Article : Google Scholar

9 

Kondo Y, Yoshikawa K, Omura Y, et al: Clinicopathological significance of carbonic anhydrase 9, glucose transporter-1, Ki-67 and p53 expression in oral squamous cell carcinoma. Oncol Rep. 25:1227–1233. 2011.PubMed/NCBI

10 

Deron P, Vangestel C, Goethals I, et al: FDG uptake in primary squamous cell carcinoma of the head and neck. The relationship between overexpression of glucose transporters and hexokinases, tumour proliferation and apoptosis. Nuklearmedizin. 50:15–21. 2011. View Article : Google Scholar : PubMed/NCBI

11 

Ayala FR, Rocha RM, Carvalho KC, et al: GLUT1 and GLUT3 as potential prognostic markers for oral squamous cell carcinoma. Molecules. 15:2374–2387. 2010. View Article : Google Scholar : PubMed/NCBI

12 

Pez F, Dayan F, Durivault J, et al: The HIF-1-inducible lysyl oxidase activates HIF-1 via the Akt pathway in a positive regulation loop and synergizes with HIF-1 in promoting tumor cell growth. Cancer Res. 71:1647–1657. 2011. View Article : Google Scholar : PubMed/NCBI

13 

Eckert AW, Lautner MH, Schütze A, Taubert H, Schubert J and Bilkenroth U: Coexpression of hypoxia-inducible factor-1α and glucose transporter-1 is associated with poor prognosis in oral squamous cell carcinoma patients. Histopathology. 58:1136–1147. 2011.

14 

Ogane N, Yasuda M, Shimizu M, et al: Clinicopathological implications of expressions of hypoxia-related molecules in esophageal superficial squamous cell carcinoma. Ann Diagn Pathol. 14:23–29. 2010. View Article : Google Scholar : PubMed/NCBI

15 

Sulkowska M, Wincewicz A, Sulkowski S, Koda M and Kanczuga-Koda L: Relations of TGF-beta1 with HIF-1alpha, GLUT-1 and longer survival of colorectal cancer patients. Pathology. 41:254–260. 2009. View Article : Google Scholar : PubMed/NCBI

16 

Iida T, Yasuda M, Miyazawa M, et al: Hypoxic status in ovarian serous and mucinous tumors: relationship between histological characteristics and HIF-1α/GLUT-1 expression. Arch Gynecol Obstet. 277:539–546. 2008.PubMed/NCBI

17 

Lidgren A, Bergh A, Grankvist K, Rasmuson T and Ljungberg B: Glucose transporter-1 expression in renal cell carcinoma and its correlation with hypoxia inducible factor-1 alpha. BJU Int. 101:480–484. 2008.PubMed/NCBI

18 

Palit V, Phillips RM, Puri R, Shah T and Bibby MC: Expression of HIF-1α and Glut-1 in human bladder cancer. Oncol Rep. 14:909–913. 2005.

19 

Koukourakis MI, Giatromanolaki A, Harris AL and Sivridis E: Comparison of metabolic pathways between cancer cells and stromal cells in colorectal carcinomas: a metabolic survival role for tumor-associated stroma. Cancer Res. 66:632–637. 2006. View Article : Google Scholar

20 

Wincewicz A, Sulkowska M, Koda M and Sulkowski S: Clinicopathological significance and linkage of the distribution of HIF-1α and GLUT-1 in human primary colorectal cancer. Pathol Oncol Res. 13:15–20. 2007.PubMed/NCBI

21 

Schrijvers ML, van der Laan BF, de Bock GH, et al: Overexpression of intrinsic hypoxia markers HIF1α and CA-IX predict for local recurrence in stage T1-T2 glottic laryngeal carcinoma treated with radiotherapy. Int J Radiat Oncol Biol Phys. 72:161–169. 2008.PubMed/NCBI

22 

Wu XH, Lu YF, Hu XD, et al: Expression of hypoxia inducible factor-1α and its significance in laryngeal carcinoma. J Int Med Res. 38:2040–2046. 2010.

23 

Yu L, Liu Y and Cui Y: Expression of hypoxia inducible factor-1alpha and its relationship to apoptosis and proliferation in human laryngeal squamous cell carcinoma. J Huazhong Univ Sci Technolog Med Sci. 24:636–638. 2004. View Article : Google Scholar : PubMed/NCBI

24 

Luo XM, Zhou SH and Fan J: Glucose transporter-1 as a new therapeutic target in laryngeal carcinoma. J Int Med Res. 38:1885–1892. 2010. View Article : Google Scholar : PubMed/NCBI

25 

Zhou SH, Fan J, Chen XM, Cheng KJ and Wang SQ: Inhibition of cell proliferation and glucose uptake in human laryngeal carcinoma cells by antisense oligonucleotides against glucose transporter-1. Head Neck. 31:1624–1633. 2009. View Article : Google Scholar : PubMed/NCBI

26 

Weljie AM and Jirik FR: Hypoxia-induced metabolic shifts in cancer cells: moving beyond the Warburg effect. Int J Biochem Cell Biol. 43:981–989. 2011. View Article : Google Scholar : PubMed/NCBI

27 

Wan J, Chai H, Yu Z, et al: HIF-1α effects on angiogenic potential in human small cell lung carcinoma. J Exp Clin Cancer Res. 30:772011.

28 

Cabanillas R, Rodrigo JP, Secades P, et al: The relation between hypoxia-inducible factor (HIF)-1α expression with p53 expression and outcome in surgically treated supraglottic laryngeal cancer. J Surg Oncol. 99:373–378. 2009.

29 

Wildeman MA, Gibcus JH, Hauptmann M, et al: Radiotherapy in laryngeal carcinoma: can a panel of 13 markers predict response? Laryngoscope. 119:316–322. 2009. View Article : Google Scholar : PubMed/NCBI

Related Articles

  • Abstract
  • View
  • Download
  • Twitter
Copy and paste a formatted citation
Spandidos Publications style
Wu X, Chen S, Mao J, Ji XX, Yao H and Zhou S: Expression and significance of hypoxia-inducible factor‑1α and glucose transporter-1 in laryngeal carcinoma Corrigendum in /ol/6/1/287. Oncol Lett 5: 261-266, 2013.
APA
Wu, X., Chen, S., Mao, J., Ji, X., Yao, H., & Zhou, S. (2013). Expression and significance of hypoxia-inducible factor‑1α and glucose transporter-1 in laryngeal carcinoma Corrigendum in /ol/6/1/287. Oncology Letters, 5, 261-266. https://doi.org/10.3892/ol.2012.941
MLA
Wu, X., Chen, S., Mao, J., Ji, X., Yao, H., Zhou, S."Expression and significance of hypoxia-inducible factor‑1α and glucose transporter-1 in laryngeal carcinoma Corrigendum in /ol/6/1/287". Oncology Letters 5.1 (2013): 261-266.
Chicago
Wu, X., Chen, S., Mao, J., Ji, X., Yao, H., Zhou, S."Expression and significance of hypoxia-inducible factor‑1α and glucose transporter-1 in laryngeal carcinoma Corrigendum in /ol/6/1/287". Oncology Letters 5, no. 1 (2013): 261-266. https://doi.org/10.3892/ol.2012.941
Copy and paste a formatted citation
x
Spandidos Publications style
Wu X, Chen S, Mao J, Ji XX, Yao H and Zhou S: Expression and significance of hypoxia-inducible factor‑1α and glucose transporter-1 in laryngeal carcinoma Corrigendum in /ol/6/1/287. Oncol Lett 5: 261-266, 2013.
APA
Wu, X., Chen, S., Mao, J., Ji, X., Yao, H., & Zhou, S. (2013). Expression and significance of hypoxia-inducible factor‑1α and glucose transporter-1 in laryngeal carcinoma Corrigendum in /ol/6/1/287. Oncology Letters, 5, 261-266. https://doi.org/10.3892/ol.2012.941
MLA
Wu, X., Chen, S., Mao, J., Ji, X., Yao, H., Zhou, S."Expression and significance of hypoxia-inducible factor‑1α and glucose transporter-1 in laryngeal carcinoma Corrigendum in /ol/6/1/287". Oncology Letters 5.1 (2013): 261-266.
Chicago
Wu, X., Chen, S., Mao, J., Ji, X., Yao, H., Zhou, S."Expression and significance of hypoxia-inducible factor‑1α and glucose transporter-1 in laryngeal carcinoma Corrigendum in /ol/6/1/287". Oncology Letters 5, no. 1 (2013): 261-266. https://doi.org/10.3892/ol.2012.941
Follow us
  • Twitter
  • LinkedIn
  • Facebook
About
  • Spandidos Publications
  • Careers
  • Cookie Policy
  • Privacy Policy
How can we help?
  • Help
  • Live Chat
  • Contact
  • Email to our Support Team