Spandidos Publications Logo
  • About
    • About Spandidos
    • Aims and Scopes
    • Abstracting and Indexing
    • Editorial Policies
    • Reprints and Permissions
    • Job Opportunities
    • Terms and Conditions
    • Contact
  • Journals
    • All Journals
    • Oncology Letters
      • Oncology Letters
      • Information for Authors
      • Editorial Policies
      • Editorial Board
      • Aims and Scope
      • Abstracting and Indexing
      • Bibliographic Information
      • Archive
    • International Journal of Oncology
      • International Journal of Oncology
      • Information for Authors
      • Editorial Policies
      • Editorial Board
      • Aims and Scope
      • Abstracting and Indexing
      • Bibliographic Information
      • Archive
    • Molecular and Clinical Oncology
      • Molecular and Clinical Oncology
      • Information for Authors
      • Editorial Policies
      • Editorial Board
      • Aims and Scope
      • Abstracting and Indexing
      • Bibliographic Information
      • Archive
    • Experimental and Therapeutic Medicine
      • Experimental and Therapeutic Medicine
      • Information for Authors
      • Editorial Policies
      • Editorial Board
      • Aims and Scope
      • Abstracting and Indexing
      • Bibliographic Information
      • Archive
    • International Journal of Molecular Medicine
      • International Journal of Molecular Medicine
      • Information for Authors
      • Editorial Policies
      • Editorial Board
      • Aims and Scope
      • Abstracting and Indexing
      • Bibliographic Information
      • Archive
    • Biomedical Reports
      • Biomedical Reports
      • Information for Authors
      • Editorial Policies
      • Editorial Board
      • Aims and Scope
      • Abstracting and Indexing
      • Bibliographic Information
      • Archive
    • Oncology Reports
      • Oncology Reports
      • Information for Authors
      • Editorial Policies
      • Editorial Board
      • Aims and Scope
      • Abstracting and Indexing
      • Bibliographic Information
      • Archive
    • Molecular Medicine Reports
      • Molecular Medicine Reports
      • Information for Authors
      • Editorial Policies
      • Editorial Board
      • Aims and Scope
      • Abstracting and Indexing
      • Bibliographic Information
      • Archive
    • World Academy of Sciences Journal
      • World Academy of Sciences Journal
      • Information for Authors
      • Editorial Policies
      • Editorial Board
      • Aims and Scope
      • Abstracting and Indexing
      • Bibliographic Information
      • Archive
    • International Journal of Functional Nutrition
      • International Journal of Functional Nutrition
      • Information for Authors
      • Editorial Policies
      • Editorial Board
      • Aims and Scope
      • Abstracting and Indexing
      • Bibliographic Information
      • Archive
    • International Journal of Epigenetics
      • International Journal of Epigenetics
      • Information for Authors
      • Editorial Policies
      • Editorial Board
      • Aims and Scope
      • Abstracting and Indexing
      • Bibliographic Information
      • Archive
    • Medicine International
      • Medicine International
      • Information for Authors
      • Editorial Policies
      • Editorial Board
      • Aims and Scope
      • Abstracting and Indexing
      • Bibliographic Information
      • Archive
  • Articles
  • Information
    • Information for Authors
    • Information for Reviewers
    • Information for Librarians
    • Information for Advertisers
    • Conferences
  • Language Editing
Spandidos Publications Logo
  • About
    • About Spandidos
    • Aims and Scopes
    • Abstracting and Indexing
    • Editorial Policies
    • Reprints and Permissions
    • Job Opportunities
    • Terms and Conditions
    • Contact
  • Journals
    • All Journals
    • Biomedical Reports
      • Information for Authors
      • Editorial Policies
      • Editorial Board
      • Aims and Scope
      • Abstracting and Indexing
      • Bibliographic Information
      • Archive
    • Experimental and Therapeutic Medicine
      • Information for Authors
      • Editorial Policies
      • Editorial Board
      • Aims and Scope
      • Abstracting and Indexing
      • Bibliographic Information
      • Archive
    • International Journal of Epigenetics
      • Information for Authors
      • Editorial Policies
      • Editorial Board
      • Aims and Scope
      • Abstracting and Indexing
      • Bibliographic Information
      • Archive
    • International Journal of Functional Nutrition
      • Information for Authors
      • Editorial Policies
      • Editorial Board
      • Aims and Scope
      • Abstracting and Indexing
      • Bibliographic Information
      • Archive
    • International Journal of Molecular Medicine
      • Information for Authors
      • Editorial Policies
      • Editorial Board
      • Aims and Scope
      • Abstracting and Indexing
      • Bibliographic Information
      • Archive
    • International Journal of Oncology
      • Information for Authors
      • Editorial Policies
      • Editorial Board
      • Aims and Scope
      • Abstracting and Indexing
      • Bibliographic Information
      • Archive
    • Medicine International
      • Information for Authors
      • Editorial Policies
      • Editorial Board
      • Aims and Scope
      • Abstracting and Indexing
      • Bibliographic Information
      • Archive
    • Molecular and Clinical Oncology
      • Information for Authors
      • Editorial Policies
      • Editorial Board
      • Aims and Scope
      • Abstracting and Indexing
      • Bibliographic Information
      • Archive
    • Molecular Medicine Reports
      • Information for Authors
      • Editorial Policies
      • Editorial Board
      • Aims and Scope
      • Abstracting and Indexing
      • Bibliographic Information
      • Archive
    • Oncology Letters
      • Information for Authors
      • Editorial Policies
      • Editorial Board
      • Aims and Scope
      • Abstracting and Indexing
      • Bibliographic Information
      • Archive
    • Oncology Reports
      • Information for Authors
      • Editorial Policies
      • Editorial Board
      • Aims and Scope
      • Abstracting and Indexing
      • Bibliographic Information
      • Archive
    • World Academy of Sciences Journal
      • Information for Authors
      • Editorial Policies
      • Editorial Board
      • Aims and Scope
      • Abstracting and Indexing
      • Bibliographic Information
      • Archive
  • Articles
  • Information
    • For Authors
    • For Reviewers
    • For Librarians
    • For Advertisers
    • Conferences
  • Language Editing
Login Register Submit
  • This site uses cookies
  • You can change your cookie settings at any time by following the instructions in our Cookie Policy. To find out more, you may read our Privacy Policy.

    I agree
Search articles by DOI, keyword, author or affiliation
Search
Advanced Search
presentation
Oncology Letters
Join Editorial Board Propose a Special Issue
Print ISSN: 1792-1074 Online ISSN: 1792-1082
Journal Cover
May 2013 Volume 5 Issue 5

Full Size Image

Sign up for eToc alerts
Recommend to Library

Journals

International Journal of Molecular Medicine

International Journal of Molecular Medicine

International Journal of Molecular Medicine is an international journal devoted to molecular mechanisms of human disease.

International Journal of Oncology

International Journal of Oncology

International Journal of Oncology is an international journal devoted to oncology research and cancer treatment.

Molecular Medicine Reports

Molecular Medicine Reports

Covers molecular medicine topics such as pharmacology, pathology, genetics, neuroscience, infectious diseases, molecular cardiology, and molecular surgery.

Oncology Reports

Oncology Reports

Oncology Reports is an international journal devoted to fundamental and applied research in Oncology.

Experimental and Therapeutic Medicine

Experimental and Therapeutic Medicine

Experimental and Therapeutic Medicine is an international journal devoted to laboratory and clinical medicine.

Oncology Letters

Oncology Letters

Oncology Letters is an international journal devoted to Experimental and Clinical Oncology.

Biomedical Reports

Biomedical Reports

Explores a wide range of biological and medical fields, including pharmacology, genetics, microbiology, neuroscience, and molecular cardiology.

Molecular and Clinical Oncology

Molecular and Clinical Oncology

International journal addressing all aspects of oncology research, from tumorigenesis and oncogenes to chemotherapy and metastasis.

World Academy of Sciences Journal

World Academy of Sciences Journal

Multidisciplinary open-access journal spanning biochemistry, genetics, neuroscience, environmental health, and synthetic biology.

International Journal of Functional Nutrition

International Journal of Functional Nutrition

Open-access journal combining biochemistry, pharmacology, immunology, and genetics to advance health through functional nutrition.

International Journal of Epigenetics

International Journal of Epigenetics

Publishes open-access research on using epigenetics to advance understanding and treatment of human disease.

Medicine International

Medicine International

An International Open Access Journal Devoted to General Medicine.

Journal Cover
May 2013 Volume 5 Issue 5

Full Size Image

Sign up for eToc alerts
Recommend to Library

  • Article
  • Citations
    • Cite This Article
    • Download Citation
    • Create Citation Alert
    • Remove Citation Alert
    • Cited By
  • Similar Articles
    • Related Articles (in Spandidos Publications)
    • Similar Articles (Google Scholar)
    • Similar Articles (PubMed)
  • Download PDF
  • Download XML
  • View XML
Article

Extrapancreatic solid pseudopapillary neoplasm: Report of a case of primary retroperitoneal origin and review of the literature

  • Authors:
    • Hejia Zhu
    • Dan Xia
    • Bo Wang
    • Hongzhou Meng
  • View Affiliations / Copyright

    Affiliations: Department of Urology, The First Affiliated Hospital of Zhejiang University, Hangzhou, Zhejiang 310003, P.R. China, Department of Pathology, The First Affiliated Hospital of Zhejiang University, Hangzhou, Zhejiang 310003, P.R. China
  • Pages: 1501-1504
    |
    Published online on: March 11, 2013
       https://doi.org/10.3892/ol.2013.1242
  • Expand metrics +
Metrics: Total Views: 0 (Spandidos Publications: | PMC Statistics: )
Metrics: Total PDF Downloads: 0 (Spandidos Publications: | PMC Statistics: )
Cited By (CrossRef): 0 citations Loading Articles...

This article is mentioned in:


Abstract

Solid pseudopapillary tumors (SPTs) occurring as primary tumors outside the pancreas are exceedingly rare. The present study reports such a case occurring as a non‑functional adrenal tumor in a 22‑year‑old female. The tumor was completely removed from the retroperitoneum by laparoscopic surgery. A well‑defined, encapsulated tumor measuring 6x6x5 cm was histologically characterized by a combination of the solid and pseudopapillary growth patterns of tumor cells with eosinophilic cytoplasm. Ectopic pancreatic tissue was also found histologically within the resected tumor. On immunostaining, the tumor was positive for progesterone receptor, CD56, cytokeratin and CD10. The morphological and immunohistochemical features were compatible with those of SPT. To the best of our knowledge, this is the first case report of extrapancreatic SPT with evidence of a pre‑existing ectopic pancreas in the retroperitoneum. A review of the published English literature uncovered 12 cases of extrapancreatic SPTs, and revealed that extrapancreatic SPTs are likely to have a favorable clinical course and a clinical profile similar to their pancreatic counterparts.

Introduction

A solid pseudopapillary tumor of the pancreas (SPTP) is an uncommon pancreatic neoplasm with low malignancy that accounts for 0.1–3% of all exocrine pancreatic tumors, with marked adolescent female predominance. Since first described by Frantz in 1959 (1), there have been >700 well-documented cases of SPTP reported in the published English literature (2). However, SPTs that occur as primary tumors outside the pancreas are exceedingly rare. The most common extrapancreatic site is the mesocolon or omentum, where the tumor arises in ectopic pancreatic tissue (3–6). Recently, Miyazaki et al reported one case of SPT without an ectopic pancreas in the retroperitoneum, a site not previously recognized to harbor this type of tumor (7). The present study reports an additional case of this rare tumor located in the retroperitoneum and the histological observations of a pancreatic rest. A detailed review of the literature concerning extrapancreatic STPs is also discussed. Written informed consent was obtained from the patient.

Case report

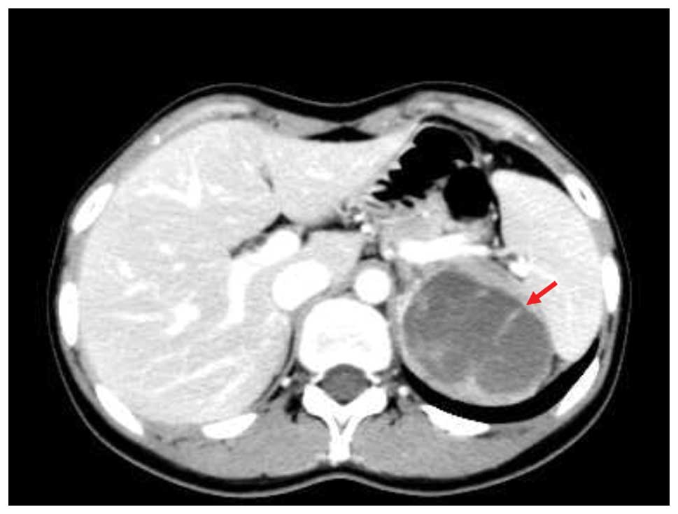
A 22-year-old female was referred to the First Affiliated Hospital of Zhejiang University School of Medicine, Zheijang, China, due to the presence of a retroperitoneal 5.9×5.3-cm mass in the left adrenal region that was detected by B ultrasound (BUS) imaging during a routine annual examination (Fig. 1). The patient did not complain of fatigue, fever or pain, and the patient’s body weight and blood pressure were within the corresponding normal ranges. The complete blood count, chemistry panel, urine analysis and liver function test results were also normal. An endocrinological evaluation of the adrenal gland, including an analysis of the plasma rennin activity and aldosterone, steroid and catecholamine levels, excluded a functional adenoma. Abdominal computed tomography (CT) revealed that the retroperitoneal mass was solid, encapsulated and ∼6 cm in diameter, with low attenuation and containing solid and cystic components. The mass was located in the adrenal region; positioned close to the pancreatic tail, behind the stomach and between the spleen and the aorta (Fig. 2). Since the diagnosis of an adrenal tumor was not excludable based on the results of the BUS and CT examinations, the patient was scheduled for laparoscopic adrenalectomy. During the surgery, the pancreas and left adrenal gland were in contact and clearly separated from the tumor. The main blood supplies originated from branches of the splenic artery. The tumor was completely removed from the retroperitoneum during this laparoscopy.

Figure 1

B ultrasound imaging showing a 5.9×5.3-cm retroperitoneal mass in the left adrenal region.

Figure 2

Computed tomography scan showing an adrenal mass suspected to be a possible adrenal tumor.

Upon gross examination, the tumor was measured as 6×6×5 cm in size, with a wight of 80 g. The external surface was smooth, and the cut surfaces showed that the solid tumor was interspersed with cystic and necrotic spaces. Microscopically, the tumor was traversed by fibrovascular septa, forming broad-to-delicate pseudopapillae and hemorrhagic foci. The cores of certain pseudopapillae had a myxohyaline appearance. The tumor cells were cuboidal with round nuclei, finely granular chromatin and an eosinophilic cytoplasm. Mitotic figures were not observed. Immunostaining for the progesterone receptor and CD56 was positive. Cytokeratin and CD10 were focally positive. Staining for CD34, synaptophysin, α-1-antitrypsin and vimentin was negative (Fig.3). Ectopic pancreatic tissue was also observed histologically within the resected tumor. Based on these observations, SPT arising in a pancreatic rest of the retroperitoneum was diagnosed. At present, 14 months subsequent to the surgery, the patient is healthy without evidence of recurrence of SPT.

Figure 3

Biopsy of the tumor. Immunostaining for (B) the progesterone receptor and (D) CD56 is positive. Cytokeratin (A) and CD10 (C) are focally positive (×400).

Discussion

SPT is a relatively rare neoplasm, which is usually found in the body or tail of the pancreas. It has been described using various terms, including solid and cystic tumor, papillary epithelial neoplasm, papillary cystic neoplasm and Frantz’s tumor. In 2000, the World Health Organization classified this clinical entity as a ‘solid pseudopapillary tumor’ of the pancreas and further defined malignant SPT as present when tumor cells show angio-invasion, perineural invasion or deep invasion into the surrounding pancreatic parenchyma (8). The tumor may present at all ages and is observed to occur more often in Asian and African-American adolescent females (9). The mean age at diagnosis of the >700 cases reported to date is 28 years (range, 7–79 years), and 89% of the patients are female (10).

Tumors presenting as SPT but arising from extrapancreatic sites are extremely rare in the literature. A review of the English literature published since 1990 (using PUBMED) revealed only 12 cases of extrapancreatic SPT. These cases, along with that of the present study, are summarized in Table I. Among these 13 cases, there are 11 female patients and 2 male patients, with a mean age of 32 years (range, 13–73 years), who presented with large tumors (mean size, 8 cm) similar to the clinical profile of the pancreatic counterpart. The clinical presentation of extrapancreatic SPT is varied. Abdominal pain and a palpable mass were the most common symptoms; however, certain patients were asymptomatic and the tumor was incidentally detected. Notably, 3 out of the 13 cases involved tumors that arose from the ectopic pancreas, a well-developed and normally organised pancreatic tissue lying outside its normal location with no anatomical or vascular connections to the proper pancreas. Ectopic pancreases are reported to be detected at a frequency of 1–2% by autopsy. The most common sites for an ectopic pancreas are the stomach, 25–38%, the duodenum, 17–36%, and the jejunum, 15–22% (11). An ectopic pancreas may also be found in Meckel’s diverticulum, the biliary tract, the gallbladder, the liver and the spleen. To the best of our knowledge, the retroperitoneum is an extremely rare location for an ectopic pancreas and our case was the first report of extrapancreatic SPT with evidence of a pre-existing ectopic pancreas in the retroperitoneum.

Table I

Clinical features of reported cases of extrapancreatic solid pseudopapillary neoplasms.

Table I

Clinical features of reported cases of extrapancreatic solid pseudopapillary neoplasms.

Age (years)GenderLocationSize (cm)PresentationEctopic pancreasTherapyRecurrenceFollow-up (months)OutcomeReference
13FMesocolon8Abdominal pain+Open surgery-36+Living/NED3
15FMesocolon21Abdominal pain+Open surgeryNANANA5
46FOmentum5Asymptomatic-Laparotomy-3+Living/NED12
45MOmentum18Abdominal mass-LaparotomyLiver and peritoneum98Succumbed to primary disease13
31FLiver30Abdominal distention-Open surgery-13+Living/NED14
17FLeft ovary25.5Abdominal mass-Open surgery-72+Living/NED15
57FRight ovary3Asymptomatic-Open surgeryNANANA15
21FLeft ovary14Abdominal swelling-Open surgeryNANANA15
25FRight ovary16.5Abdominal fullness-Open surgery-144+Living/NED16
73MDuodenum14Vomiting, fatigue and weight loss-Open surgeryLiver3Succumbed17
32FStomach10Asymptomatic-Open surgery and chemotherapyLiver, ovary and peritoneum120+Living17
22FRetroperitoneum8Abdominal discomfort-Laparotomy-6+Living/NED7
22FRetroperitoneum6Asymptomatic+Laparotomy-14+Living/NEDPresent case

[i] NED, no evidence of disease; F, female; M, male; NA, not available.

The etiology of SPT is not well established. The immunohistological features of these tumors favor an epithelial origin, but certain cases of cytokeratin and vimentin coexpression raise the question of whether these tumors are of a mesenchymal nature (18). Increasing evidence supports the hypothesis that SPT may be associated with hormonally-sensitive tissues from the gonads. The exclusive occurrence of these tumors in young females, along with the positive presence of progesterone receptor markers, supports the theory that hormones have affects on the tumor development (19). Furthermore, the identification of extrapancreatic SPT in the ovaries also indicates a possible genital link, substantiated by the closeness of the genital ridges to the pancreatic anlage during embryogenesis (18). Thus, it is currently proposed that SPT originates from omnipotent cells associated with the genital ridges; a few of these cells may be entrapped in the pancreatic anlage during organogenesis, while others follow the normal migration pathway to the definitive location of the ovaries (15). According to this theory, extrapancreatic SPT may occur at any point along the route(s) followed by the migrating cells, including in the retroperitoneal space.

The clinical course of SPT is usually favorable as the tumors are indolent with <5% demonstrating aggressive behavior (20). Aggressiveness is generally correlated with cellular atypia, mitotic activity, prominent necrobiotic nests and invasion of the vascular spaces, perineural interstitium or neighbouring organs (21,22). Metastases occur with a low incidence of 14.7% and the majority are metastases of the liver (10). The optimal treatment for SPT remains as radical surgical resection, even in cases of metastatic disease, as the clinical progression following metastasis is slow and most lesions can be treated by complete surgical excision of the metastatic tumors (23). In patients with unresectable forms of the disease, there is limited evidence supporting the use of chemotherapy (24,25). Additionally, it is difficult to assess whether the long-term survival occasionally observed is attributable to the clinical benefits associated with chemotherapy, rather than the natural course of a poorly aggressive tumor. In the literature reviewed previously, metastasis was reported in 3 out of the 13 cases with extrapancreatic tumors; however, the majority of patients demonstrated long-term survival with no evidence of disease. The benign outcome is reassuring in that extrapancreatic STPs are likely to have a favorable clinical course similar to their pancreatic counterparts.

In conclusion, tumors presenting as SPT but arising from extrapancreatic sites are extremely rare. Certain SPTs may arise from the ectopic pancreas. The present study reported a case of this tumor type with a pancreatic rest that was located in the retroperitoneum. The etiology was also discussed. STPs are presently considered to originate from omnipotent cells associated with the genital ridges. A certain number of these cells may be entrapped in the pancreatic anlage to form SPTPs, while extrapancreatic SPTs may occur at any point along the route followed by the migrating cells during organogenesis, including the retroperitoneal space. The clinical course of SPT is usually favorable and extrapancreatic SPTs are likely to have a favorable clinical course that is similar to their pancreatic counterparts.

Acknowledgements

The authors would like to thank Dr Yanmin Zhao for editing the original manuscript.

References

1 

Frantz VK: Tumors of the pancreas. Atlas of Tumor Pathology. 1st edition. US Armed Forces Institute of Pathology; Washington DC, USA: pp. 32–33. 1959

2 

Papavramidis T and Papavramidis S: Solid pseudopapillary tumors of the pancreas: review of 718 patients reported in English literature. J Am Coll Surg. 200:965–972. 2005. View Article : Google Scholar : PubMed/NCBI

3 

Ishikawa O, Ishiguro S, Ohhigashi H, et al: Solid and papillary neoplasm arising from an ectopic pancreas in the mesocolon. Am J Gastroenterol. 85:597–601. 1990.PubMed/NCBI

4 

Elorza Orúe JL, Ruiz Díaz I, Tubia Landaberea J and San Vicente Leza M: Solid and papillary tumor on ectopic pancreas in transversal mesocolon. Rev Esp Enferm Dig. 79:429–431. 1991.(In Spanish).

5 

Tornóczky T, Kálmán E, Jáksó P, et al: Solid and papillary epithelial neoplasm arising in heterotopic pancreatic tissue of the mesocolon. J Clin Pathol. 54:241–245. 2001.PubMed/NCBI

6 

Kövári E, Járay B and Pulay I: Papillary cystic neoplasms in the ectopic pancreas. Orv Hetil. 137:923–925. 1996.(In Hungarian).

7 

Miyazaki Y, Miyajima A, Maeda T, et al: Extrapancreatic solid pseudopapillary tumor: case report and review of the literature. Int J Clin Oncol. 17:165–168. 2012. View Article : Google Scholar : PubMed/NCBI

8 

Coleman KM, Doherty MC and Bigler SA: Solid-pseudopapillary tumor of the pancreas. Radiographics. 23:1644–1648. 2003. View Article : Google Scholar : PubMed/NCBI

9 

Mortenson MM, Katz MH, Tamm EP, et al: Current diagnosis and management of unusual pancreatic tumors. Am J Surg. 196:100–113. 2008. View Article : Google Scholar

10 

Mao C, Guvendi M, Domenico DR, Kim K, Thomford NR and Howard JM: Papillary cystic and solid tumors of the pancreas: a pancreatic embryonic tumor? Studies of three cases and cumulative review of the world’s literature. Surgery. 118:821–828. 1995.PubMed/NCBI

11 

Christodoulidis G, Zacharoulis D, Barbanis S, Katsogridakis E and Hatzitheofilou K: Heterotopic pancreas in the stomach: a case report and literature review. World J Gastroenterol. 13:6098–6100. 2007. View Article : Google Scholar : PubMed/NCBI

12 

Fukunaga M: Pseudopapillary solid cystic tumor arising from an extrapancreatic site. Arch Pathol Lab Med. 125:1368–1371. 2001.PubMed/NCBI

13 

Hibi T, Ojima H, Sakamoto Y, et al: A solid pseudopapillary tumor arising from the greater omentum followed by multiple metastases with increasing malignant potential. J Gastroenterol. 41:276–281. 2006. View Article : Google Scholar : PubMed/NCBI

14 

Kim YI, Kim ST, Lee GK and Choi BI: Papillary cystic tumor of the liver. A case report with ultrastructural observation. Cancer. 65:2740–2746. 1990. View Article : Google Scholar : PubMed/NCBI

15 

Deshpande V, Oliva E and Young RH: Solid pseudopapillary neoplasm of the ovary: a report of 3 primary ovarian tumors resembling those of the pancreas. Am J Surg Pathol. 34:1514–1520. 2010. View Article : Google Scholar : PubMed/NCBI

16 

Cheuk W, Beavon I, Chui DT and Chan JK: Extrapancreatic solid pseudopapillary neoplasm: report of a case of primary ovarian origin and review of the literature. Int J Gynecol Pathol. 30:539–543. 2011. View Article : Google Scholar : PubMed/NCBI

17 

Walter T, Hommell-Fontaine J, Hervieu V, et al: Primary malignant solid pseudopapillary tumors of the gastroduodenal area. Clin Res Hepatol Gastroenterol. 35:227–233. 2011. View Article : Google Scholar : PubMed/NCBI

18 

Kosmahl M, Seada LS, Jänig U, Harms D and Klöppel G: Solid-pseudopapillary tumor of the pancreas: its origin revisited. Virchows Arch. 436:473–480. 2000. View Article : Google Scholar : PubMed/NCBI

19 

Santini D, Poli F and Lega S: Solid-papillary tumors of the pancreas: histopathology. JOP. 7:131–136. 2006.PubMed/NCBI

20 

Tang LH, Aydin H, Brennan MF and Klimstra DS: Clinically aggressive solid pseudopapillary tumors of the pancreas: a report of two cases with components of undifferentiated carcinoma and a comparative clinicopathologic analysis of 34 conventional cases. Am J Surg Pathol. 29:512–519. 2005. View Article : Google Scholar

21 

Canzonieri V, Berretta M, Buonadonna A, et al: Solid pseudo-papillary tumour of the pancreas. Lancet Oncol. 4:255–256. 2003. View Article : Google Scholar

22 

Nishihara K, Nagoshi M, Tsuneyoshi M, Yamaguchi K and Hayashi I: Papillary cystic tumors of the pancreas. Assessment of their malignant potential. Cancer. 71:82–92. 1993. View Article : Google Scholar : PubMed/NCBI

23 

Reddy S, Cameron JL, Scudiere J, et al: Surgical management of solid-pseudopapillary neoplasms of the pancreas (Franz or Hamoudi tumors): a large single-institutional series. J Am Coll Surg. 208:950–959. 2009. View Article : Google Scholar

24 

Maffuz A, Bustamante Fde T, Silva JA and Torres-Vargas S: Preoperative gemcitabine for unresectable, solid pseudopapillary tumour of the pancreas. Lancet Oncol. 6:185–186. 2005. View Article : Google Scholar : PubMed/NCBI

25 

Hah JO, Park WK, Lee NH and Choi JH: Preoperative chemotherapy and intraoperative radiofrequency ablation for unresectable solid pseudopapillary tumor of the pancreas. J Pediatr Hematol Oncol. 29:851–853. 2007. View Article : Google Scholar : PubMed/NCBI

Related Articles

  • Abstract
  • View
  • Download
  • Twitter
Copy and paste a formatted citation
Spandidos Publications style
Zhu H, Xia D, Wang B and Meng H: Extrapancreatic solid pseudopapillary neoplasm: Report of a case of primary retroperitoneal origin and review of the literature. Oncol Lett 5: 1501-1504, 2013.
APA
Zhu, H., Xia, D., Wang, B., & Meng, H. (2013). Extrapancreatic solid pseudopapillary neoplasm: Report of a case of primary retroperitoneal origin and review of the literature. Oncology Letters, 5, 1501-1504. https://doi.org/10.3892/ol.2013.1242
MLA
Zhu, H., Xia, D., Wang, B., Meng, H."Extrapancreatic solid pseudopapillary neoplasm: Report of a case of primary retroperitoneal origin and review of the literature". Oncology Letters 5.5 (2013): 1501-1504.
Chicago
Zhu, H., Xia, D., Wang, B., Meng, H."Extrapancreatic solid pseudopapillary neoplasm: Report of a case of primary retroperitoneal origin and review of the literature". Oncology Letters 5, no. 5 (2013): 1501-1504. https://doi.org/10.3892/ol.2013.1242
Copy and paste a formatted citation
x
Spandidos Publications style
Zhu H, Xia D, Wang B and Meng H: Extrapancreatic solid pseudopapillary neoplasm: Report of a case of primary retroperitoneal origin and review of the literature. Oncol Lett 5: 1501-1504, 2013.
APA
Zhu, H., Xia, D., Wang, B., & Meng, H. (2013). Extrapancreatic solid pseudopapillary neoplasm: Report of a case of primary retroperitoneal origin and review of the literature. Oncology Letters, 5, 1501-1504. https://doi.org/10.3892/ol.2013.1242
MLA
Zhu, H., Xia, D., Wang, B., Meng, H."Extrapancreatic solid pseudopapillary neoplasm: Report of a case of primary retroperitoneal origin and review of the literature". Oncology Letters 5.5 (2013): 1501-1504.
Chicago
Zhu, H., Xia, D., Wang, B., Meng, H."Extrapancreatic solid pseudopapillary neoplasm: Report of a case of primary retroperitoneal origin and review of the literature". Oncology Letters 5, no. 5 (2013): 1501-1504. https://doi.org/10.3892/ol.2013.1242
Follow us
  • Twitter
  • LinkedIn
  • Facebook
About
  • Spandidos Publications
  • Careers
  • Cookie Policy
  • Privacy Policy
How can we help?
  • Help
  • Live Chat
  • Contact
  • Email to our Support Team