Spandidos Publications Logo
  • About
    • About Spandidos
    • Aims and Scopes
    • Abstracting and Indexing
    • Editorial Policies
    • Reprints and Permissions
    • Job Opportunities
    • Terms and Conditions
    • Contact
  • Journals
    • All Journals
    • Oncology Letters
      • Oncology Letters
      • Information for Authors
      • Editorial Policies
      • Editorial Board
      • Aims and Scope
      • Abstracting and Indexing
      • Bibliographic Information
      • Archive
    • International Journal of Oncology
      • International Journal of Oncology
      • Information for Authors
      • Editorial Policies
      • Editorial Board
      • Aims and Scope
      • Abstracting and Indexing
      • Bibliographic Information
      • Archive
    • Molecular and Clinical Oncology
      • Molecular and Clinical Oncology
      • Information for Authors
      • Editorial Policies
      • Editorial Board
      • Aims and Scope
      • Abstracting and Indexing
      • Bibliographic Information
      • Archive
    • Experimental and Therapeutic Medicine
      • Experimental and Therapeutic Medicine
      • Information for Authors
      • Editorial Policies
      • Editorial Board
      • Aims and Scope
      • Abstracting and Indexing
      • Bibliographic Information
      • Archive
    • International Journal of Molecular Medicine
      • International Journal of Molecular Medicine
      • Information for Authors
      • Editorial Policies
      • Editorial Board
      • Aims and Scope
      • Abstracting and Indexing
      • Bibliographic Information
      • Archive
    • Biomedical Reports
      • Biomedical Reports
      • Information for Authors
      • Editorial Policies
      • Editorial Board
      • Aims and Scope
      • Abstracting and Indexing
      • Bibliographic Information
      • Archive
    • Oncology Reports
      • Oncology Reports
      • Information for Authors
      • Editorial Policies
      • Editorial Board
      • Aims and Scope
      • Abstracting and Indexing
      • Bibliographic Information
      • Archive
    • Molecular Medicine Reports
      • Molecular Medicine Reports
      • Information for Authors
      • Editorial Policies
      • Editorial Board
      • Aims and Scope
      • Abstracting and Indexing
      • Bibliographic Information
      • Archive
    • World Academy of Sciences Journal
      • World Academy of Sciences Journal
      • Information for Authors
      • Editorial Policies
      • Editorial Board
      • Aims and Scope
      • Abstracting and Indexing
      • Bibliographic Information
      • Archive
    • International Journal of Functional Nutrition
      • International Journal of Functional Nutrition
      • Information for Authors
      • Editorial Policies
      • Editorial Board
      • Aims and Scope
      • Abstracting and Indexing
      • Bibliographic Information
      • Archive
    • International Journal of Epigenetics
      • International Journal of Epigenetics
      • Information for Authors
      • Editorial Policies
      • Editorial Board
      • Aims and Scope
      • Abstracting and Indexing
      • Bibliographic Information
      • Archive
    • Medicine International
      • Medicine International
      • Information for Authors
      • Editorial Policies
      • Editorial Board
      • Aims and Scope
      • Abstracting and Indexing
      • Bibliographic Information
      • Archive
  • Articles
  • Information
    • Information for Authors
    • Information for Reviewers
    • Information for Librarians
    • Information for Advertisers
    • Conferences
  • Language Editing
Spandidos Publications Logo
  • About
    • About Spandidos
    • Aims and Scopes
    • Abstracting and Indexing
    • Editorial Policies
    • Reprints and Permissions
    • Job Opportunities
    • Terms and Conditions
    • Contact
  • Journals
    • All Journals
    • Biomedical Reports
      • Information for Authors
      • Editorial Policies
      • Editorial Board
      • Aims and Scope
      • Abstracting and Indexing
      • Bibliographic Information
      • Archive
    • Experimental and Therapeutic Medicine
      • Information for Authors
      • Editorial Policies
      • Editorial Board
      • Aims and Scope
      • Abstracting and Indexing
      • Bibliographic Information
      • Archive
    • International Journal of Epigenetics
      • Information for Authors
      • Editorial Policies
      • Editorial Board
      • Aims and Scope
      • Abstracting and Indexing
      • Bibliographic Information
      • Archive
    • International Journal of Functional Nutrition
      • Information for Authors
      • Editorial Policies
      • Editorial Board
      • Aims and Scope
      • Abstracting and Indexing
      • Bibliographic Information
      • Archive
    • International Journal of Molecular Medicine
      • Information for Authors
      • Editorial Policies
      • Editorial Board
      • Aims and Scope
      • Abstracting and Indexing
      • Bibliographic Information
      • Archive
    • International Journal of Oncology
      • Information for Authors
      • Editorial Policies
      • Editorial Board
      • Aims and Scope
      • Abstracting and Indexing
      • Bibliographic Information
      • Archive
    • Medicine International
      • Information for Authors
      • Editorial Policies
      • Editorial Board
      • Aims and Scope
      • Abstracting and Indexing
      • Bibliographic Information
      • Archive
    • Molecular and Clinical Oncology
      • Information for Authors
      • Editorial Policies
      • Editorial Board
      • Aims and Scope
      • Abstracting and Indexing
      • Bibliographic Information
      • Archive
    • Molecular Medicine Reports
      • Information for Authors
      • Editorial Policies
      • Editorial Board
      • Aims and Scope
      • Abstracting and Indexing
      • Bibliographic Information
      • Archive
    • Oncology Letters
      • Information for Authors
      • Editorial Policies
      • Editorial Board
      • Aims and Scope
      • Abstracting and Indexing
      • Bibliographic Information
      • Archive
    • Oncology Reports
      • Information for Authors
      • Editorial Policies
      • Editorial Board
      • Aims and Scope
      • Abstracting and Indexing
      • Bibliographic Information
      • Archive
    • World Academy of Sciences Journal
      • Information for Authors
      • Editorial Policies
      • Editorial Board
      • Aims and Scope
      • Abstracting and Indexing
      • Bibliographic Information
      • Archive
  • Articles
  • Information
    • For Authors
    • For Reviewers
    • For Librarians
    • For Advertisers
    • Conferences
  • Language Editing
Login Register Submit
  • This site uses cookies
  • You can change your cookie settings at any time by following the instructions in our Cookie Policy. To find out more, you may read our Privacy Policy.

    I agree
Search articles by DOI, keyword, author or affiliation
Search
Advanced Search
presentation
Oncology Letters
Join Editorial Board Propose a Special Issue
Print ISSN: 1792-1074 Online ISSN: 1792-1082
Journal Cover
July 2013 Volume 6 Issue 1

Full Size Image

Sign up for eToc alerts
Recommend to Library

Journals

International Journal of Molecular Medicine

International Journal of Molecular Medicine

International Journal of Molecular Medicine is an international journal devoted to molecular mechanisms of human disease.

International Journal of Oncology

International Journal of Oncology

International Journal of Oncology is an international journal devoted to oncology research and cancer treatment.

Molecular Medicine Reports

Molecular Medicine Reports

Covers molecular medicine topics such as pharmacology, pathology, genetics, neuroscience, infectious diseases, molecular cardiology, and molecular surgery.

Oncology Reports

Oncology Reports

Oncology Reports is an international journal devoted to fundamental and applied research in Oncology.

Experimental and Therapeutic Medicine

Experimental and Therapeutic Medicine

Experimental and Therapeutic Medicine is an international journal devoted to laboratory and clinical medicine.

Oncology Letters

Oncology Letters

Oncology Letters is an international journal devoted to Experimental and Clinical Oncology.

Biomedical Reports

Biomedical Reports

Explores a wide range of biological and medical fields, including pharmacology, genetics, microbiology, neuroscience, and molecular cardiology.

Molecular and Clinical Oncology

Molecular and Clinical Oncology

International journal addressing all aspects of oncology research, from tumorigenesis and oncogenes to chemotherapy and metastasis.

World Academy of Sciences Journal

World Academy of Sciences Journal

Multidisciplinary open-access journal spanning biochemistry, genetics, neuroscience, environmental health, and synthetic biology.

International Journal of Functional Nutrition

International Journal of Functional Nutrition

Open-access journal combining biochemistry, pharmacology, immunology, and genetics to advance health through functional nutrition.

International Journal of Epigenetics

International Journal of Epigenetics

Publishes open-access research on using epigenetics to advance understanding and treatment of human disease.

Medicine International

Medicine International

An International Open Access Journal Devoted to General Medicine.

Journal Cover
July 2013 Volume 6 Issue 1

Full Size Image

Sign up for eToc alerts
Recommend to Library

  • Article
  • Citations
    • Cite This Article
    • Download Citation
    • Create Citation Alert
    • Remove Citation Alert
    • Cited By
  • Similar Articles
    • Related Articles (in Spandidos Publications)
    • Similar Articles (Google Scholar)
    • Similar Articles (PubMed)
  • Download PDF
  • Download XML
  • View XML
Article

Expression and clinical significance of complement C3, complement C4b1 and apolipoprotein E in pancreatic cancer

  • Authors:
    • Jiong Chen
    • Wen Wu
    • Chunsheng Zhen
    • Hangchen Zhou
    • Renbao Yang
    • Longjiang Chen
    • Liwei Hu
  • View Affiliations / Copyright

    Affiliations: Department of General Surgery, Anhui Provincial Hospital Affiliated to Anhui Medical University, Hefei, Anhui 230001, P.R. China
  • Pages: 43-48
    |
    Published online on: April 30, 2013
       https://doi.org/10.3892/ol.2013.1326
  • Expand metrics +
Metrics: Total Views: 0 (Spandidos Publications: | PMC Statistics: )
Metrics: Total PDF Downloads: 0 (Spandidos Publications: | PMC Statistics: )
Cited By (CrossRef): 0 citations Loading Articles...

This article is mentioned in:



Abstract

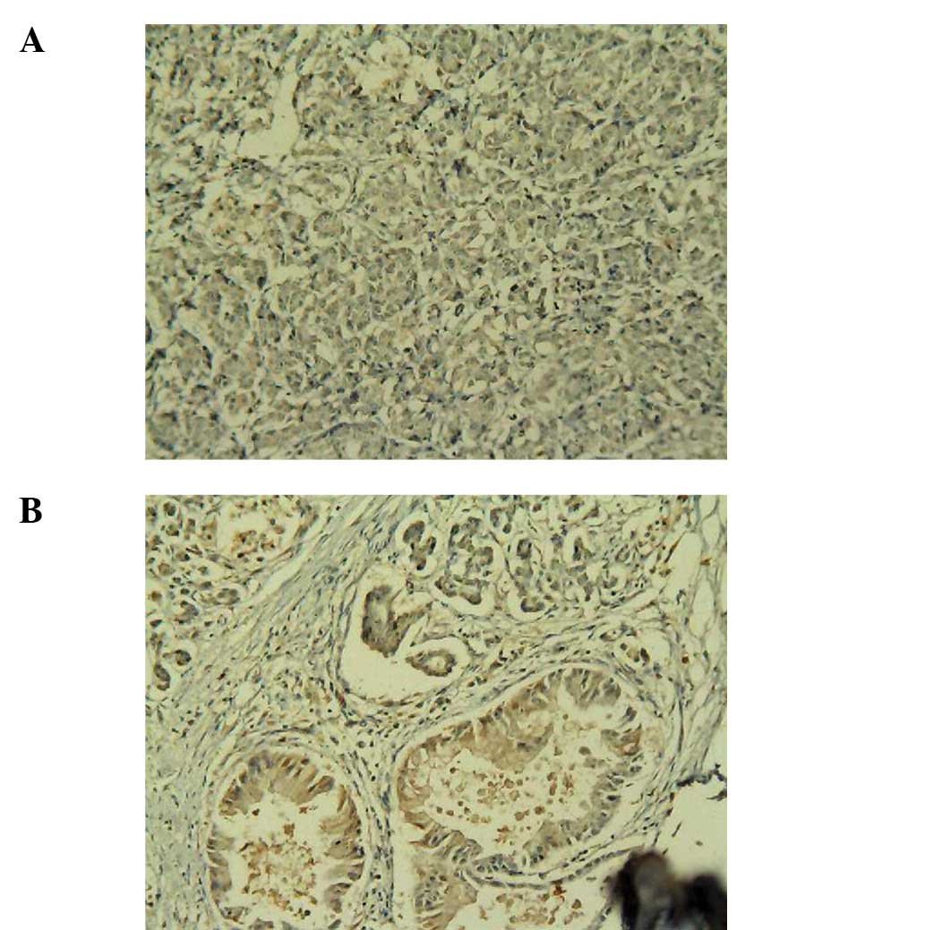
Pancreatic cancer (PC) remains a devastating disease with a five‑year survival rate of <5%. The difficulty in making an early diagnosis and the frequent occurrence of metastasis are important reasons for this poor prognosis. In China, the incidence of PC has been increasing steadily. Therefore, the present study aimed to identify effective markers in the early and advanced stages of PC. The expression levels of complement C3, complement C4b1 and apolipoprotein E (ApoE) in the various stages of PC were assessed by immunohistochemistry, RT‑PCR and western blotting. Additionally, the statistical significance of the results was analyzed. The expression levels of complement C3, complement C4b1 and apoE were higher in PC compared with normal pancreatic tissues. No correlations were observed between complement C3 and tumor TNM staging or lymph node metastasis. However, complement C4b1 and apoE were markedly correlated with tumor TNM staging and lymph node metastasis. Complement C3 may be used as a marker for the diagnosis of early‑stage PC, while complement C4b1 and apoE are closely correlated with tumor development, reflecting the biological behavior of PC, and thus may be used as diagnostic markers of advanced PC.
View Figures

Figure 1

Figure 2

Figure 3

Figure 4

Figure 5

View References

1. 

Guo X and Cui Z: Current diagnosis and treatment of pancreatic cancer in China. Pancreas. 31:13–22. 2005. View Article : Google Scholar : PubMed/NCBI

2. 

Willett CG, Daly WJ and Warshaw AL: CA 19–9 is an index of response to neoadjunctive chemoradiation therapy in pancreatic cancer. Am J Surg. 172:350–352. 1996.

3. 

Goonetilleke KS and Siriwardena AK: Systematic review of carbohydrate antigen (CA 19–9) as a biochemical marker in the diagnosis of pancreatic cancer. Eur J Surg Oncol. 33:266–270. 2007.PubMed/NCBI

4. 

Marrelli D, Caruso S, Pedrazzani C, et al: CA19-9 serum levels in obstructive jaundice: clinical value in benign and malignant conditions. Am J Surg. 198:333–339. 2009. View Article : Google Scholar : PubMed/NCBI

5. 

Grønborg M, Bunkenborg J, Kristiansen TZ, et al: Comprehensive proteomic analysis of human pancreatic juice. J Proteome Res. 3:1042–1055. 2004.

6. 

Cecconi D, Palmieri M and Donadelli M: Proteomics in pancreatic cancer research. Proteomics. 11:816–828. 2011. View Article : Google Scholar : PubMed/NCBI

7. 

Hugli TE: Structure and function of the anaphylatoxins. Springer Semin Immunopathol. 7:193–219. 1984. View Article : Google Scholar : PubMed/NCBI

8. 

Scholz W, McClurg MR, Cardenas GJ, et al: C5a-mediated release of interleukin 6 by human monocytes. Clin Immunol Immunopathol. 57:297–307. 1990. View Article : Google Scholar : PubMed/NCBI

9. 

Wang W, Abbruzzese JL, Evans DB, et al: The nuclear factor-kappa B RelA transcription factor is constitutively activated in human pancreatic adenocarcinoma cells. Clin Cancer Res. 5:119–127. 1999.PubMed/NCBI

10. 

Habermann JK, Roblick UJ, Luke BT, et al: Increased serum levels of complement C3a anaphylatoxin indicate the presence of colorectal tumors. Gastroenterology. 131:1020–1029. 2006. View Article : Google Scholar : PubMed/NCBI

11. 

Pickering MC, Botto M, Taylor PR, et al: Systemic lupus erythematosus, complement deficiency, and apoptosis. Adv Immunol. 76:227–324. 2000. View Article : Google Scholar : PubMed/NCBI

12. 

Einav S, Pozdnyakova OO, Ma M and Carroll MC: Complement C4 is protective for lupus disease independent of C3. J Immunol. 168:1036–1041. 2002. View Article : Google Scholar : PubMed/NCBI

13. 

Fujita T, Hara A and Yamazaki Y: The value of acute-phase protein measurements after curative gastric cancer surgery. Arch Surg. 134:73–75. 1999. View Article : Google Scholar : PubMed/NCBI

14. 

Greenow K, Pearce NJ and Ramji DP: The key role of apolipoprotein E in atherosclerosis. J Mol Med (Berl). 83:329–342. 2005. View Article : Google Scholar : PubMed/NCBI

15. 

Trompet S, Jukema JW, Katan MB, et al: Apolipoprotein e genotype, plasma cholesterol, and cancer: a Mendelian randomization study. Am J Epidemiol. 170:1415–1421. 2009. View Article : Google Scholar : PubMed/NCBI

16. 

Trost Z, Marc J, Sok M and Cerne D: Increased apolipoprotein E gene expression and protein concentration in lung cancer tissue do not contribute to the clinical assessment of non-small cell lung cancer patients. Arch Med Res. 39:663–667. 2008. View Article : Google Scholar : PubMed/NCBI

17. 

Grant WB: A multicountry ecological study of risk-modifying factors for prostate cancer: apolipoprotein E epsilon4 as a risk factor and cereals as a risk reduction factor. Anticancer Res. 30:189–199. 2010.PubMed/NCBI

18. 

Andreotti G, Chen J, Gao YT, et al: Polymorphisms of genes in the lipid metabolism pathway and risk of biliary tract cancers and stones: a population-based case-control study in Shanghai, China. Cancer Epidemiol Biomarkers Prev. 17:525–534. 2008. View Article : Google Scholar : PubMed/NCBI

19. 

Moore LE, Brennan P, Karami S, et al: Apolipoprotein E/C1 locus variants modify renal cell carcinoma risk. Cancer Res. 69:8001–8008. 2009. View Article : Google Scholar : PubMed/NCBI

20. 

Beppu T, Gil-Bernabe P, Boveda-Ruiz D, et al: High incidence of tumors in diabetic thrombin activatable fibrinolysis inhibitor and apolipoprotein E double-deficient mice. J Tromb Haemost. 8:2514–2522. 2010. View Article : Google Scholar : PubMed/NCBI

21. 

Mrkonjic M, Chappell E, Pethe VV, et al: Association of apolipoprotein E polymorphisms and dietary factors in colorectal cancer. Br J Cancer. 100:1966–1974. 2009. View Article : Google Scholar : PubMed/NCBI

22. 

Grønborg M, Kristiansen TZ, Iwahori A, et al: Biomarker discovery from pancreatic cancer secretome using a differential proteomic approach. Mol Cell Proteomics. 5:157–171. 2006.PubMed/NCBI

23. 

Yu KH, Rustgi AK and Blair IA: Characterization of proteins in human pancreatic cancer serum using differential gel electrophoresis and tandem mass spectrometry. J Proteome Res. 4:1742–1751. 2005. View Article : Google Scholar : PubMed/NCBI

24. 

Gillard BK, Lin HY, Massey JB and Pownall HJ: Apolipoproteins A-I, A-II and E are independently distributed among intracellular and newly secreted HDL of human hepatoma cells. Biochim Biophys Acta. 1791:1125–1132. 2009. View Article : Google Scholar : PubMed/NCBI

25. 

Huvila J, Brandt A, Rojas CR, et al: Gene expression profiling of endometrial adenocarcinomas reveals increased apolipoprotein E expression in poorly differentiated tumors. Int J Gynecol Cancer. 19:1226–1231. 2009. View Article : Google Scholar : PubMed/NCBI

26. 

Martínez-Clemente M, Ferré N, González-Périz A, et al: 5-lipoxygenase deficiency reduces hepatic inflammation and tumor necrosis factor alpha-induced hepatocyte damage in hyperlipidemia-prone ApoE-null mice. Hepatology. 51:817–827. 2010.PubMed/NCBI

Related Articles

  • Abstract
  • View
  • Download
  • Twitter
Copy and paste a formatted citation
Spandidos Publications style
Chen J, Wu W, Zhen C, Zhou H, Yang R, Chen L and Hu L: Expression and clinical significance of complement C3, complement C4b1 and apolipoprotein E in pancreatic cancer. Oncol Lett 6: 43-48, 2013.
APA
Chen, J., Wu, W., Zhen, C., Zhou, H., Yang, R., Chen, L., & Hu, L. (2013). Expression and clinical significance of complement C3, complement C4b1 and apolipoprotein E in pancreatic cancer. Oncology Letters, 6, 43-48. https://doi.org/10.3892/ol.2013.1326
MLA
Chen, J., Wu, W., Zhen, C., Zhou, H., Yang, R., Chen, L., Hu, L."Expression and clinical significance of complement C3, complement C4b1 and apolipoprotein E in pancreatic cancer". Oncology Letters 6.1 (2013): 43-48.
Chicago
Chen, J., Wu, W., Zhen, C., Zhou, H., Yang, R., Chen, L., Hu, L."Expression and clinical significance of complement C3, complement C4b1 and apolipoprotein E in pancreatic cancer". Oncology Letters 6, no. 1 (2013): 43-48. https://doi.org/10.3892/ol.2013.1326
Copy and paste a formatted citation
x
Spandidos Publications style
Chen J, Wu W, Zhen C, Zhou H, Yang R, Chen L and Hu L: Expression and clinical significance of complement C3, complement C4b1 and apolipoprotein E in pancreatic cancer. Oncol Lett 6: 43-48, 2013.
APA
Chen, J., Wu, W., Zhen, C., Zhou, H., Yang, R., Chen, L., & Hu, L. (2013). Expression and clinical significance of complement C3, complement C4b1 and apolipoprotein E in pancreatic cancer. Oncology Letters, 6, 43-48. https://doi.org/10.3892/ol.2013.1326
MLA
Chen, J., Wu, W., Zhen, C., Zhou, H., Yang, R., Chen, L., Hu, L."Expression and clinical significance of complement C3, complement C4b1 and apolipoprotein E in pancreatic cancer". Oncology Letters 6.1 (2013): 43-48.
Chicago
Chen, J., Wu, W., Zhen, C., Zhou, H., Yang, R., Chen, L., Hu, L."Expression and clinical significance of complement C3, complement C4b1 and apolipoprotein E in pancreatic cancer". Oncology Letters 6, no. 1 (2013): 43-48. https://doi.org/10.3892/ol.2013.1326
Follow us
  • Twitter
  • LinkedIn
  • Facebook
About
  • Spandidos Publications
  • Careers
  • Cookie Policy
  • Privacy Policy
How can we help?
  • Help
  • Live Chat
  • Contact
  • Email to our Support Team